Volume 29, Number 12—December 2023
Research Letter
Systemic Erysipelas Outbreak among Free-Ranging Bottlenose Dolphins, San Diego, California, USA, 2022
Abstract
We diagnosed fatalErysipelothrix rhusiopathiae sepsis in 3 stranded bottlenose dolphins (Tursiops truncatus) during summer 2022, in San Diego, California, USA. The previously undetected disease in this relatively small, regional population of dolphins most likely indicates an environmental or biological change in the coastal ocean or organisms.
Erysipelas is a disease of animals caused by the bacteriumErysipelothrix rhusiopathiae, which can be transmitted via exposure to feces, urine, saliva, and nasal secretions from infected animals and contaminated food, water, and soil (1). Human infection with this bacterium most often involves occupational exposure (1). In cetaceans, the disease is thought to be caused by ingesting infected fish, tooth raking from infected conspecifics, or infected wounds. Chronic cutaneous and acute fatal septicemic forms of the disease have been reported for captive and free-ranging cetaceans (2) but not for free-ranging cetaceans along the Pacific Coast of the United States.
Two stocks of bottlenose dolphins (Tursiops truncatus) inhabit the waters of California, USA: coastal and offshore. The coastal population comprises ≈500 dolphins that range from San Francisco, California, USA, to San Quintin, Mexico (latitudinal distance = 802 km), with little site fidelity (3). In southern California, the coastal bottlenose dolphins are typically found within 500 meters of the land.
During summer 2022 (June–September), 3 coastal bottlenose dolphins, of mixed sex and age class, were found stranded within 46 km of each other in San Diego, California, USA; we diagnosed sepsis caused byE.rhusiopathiae. The diagnoses coincided with increased strandings for this species in the region. In 2022, a total of 8 bottlenose dolphins were stranded, compared with a 20-year average of 4.35 per year (K. Danil, unpub. data; calculated by using Southwest Fisheries Science Center stranding records).
Figure

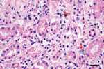
Figure. Section of kidney with neutrophilic nephritis associated with histiocytic bacterial rods (arrows) consistent withErysipelothrixinfection in specimen KXD0395 from study of systemic erysipelas outbreak among free-ranging bottlenose dolphins,...
We determined cause of death for 6 of the 8 dolphins: 3 systemic erysipelas, 1 brucellosis, 1 trauma, and 1 malnutrition (Table). Gross necropsy findings for the 3 with erysipelas included open rake wounds (Appendix), mottled livers, distended urinary bladders, empty stomachs, and pulmonary edema; 2 dolphins also had ascites and icterus. Histopathologic examination for the 3 dolphins with erysipelas indicated vasculitis associated with multiorgan inflammation, necrotizing adrenalitis and nephritis for 1, and gastroenteritis for 1. Intracellular bacteria were identified (Figure), andE. rhusiopathiae were cultured from>2 organs from all 3 dolphins (Table). We confirmed the identity of all colonies of interest by using biochemical testing and matrix-assisted laser desorption/ionization time-of-flight mass spectrometry. Overall, the gross and histopathologic findings were consistent with other reports ofE. rhusiopathiae infection in cetaceans (2).
For the past 20 years, histopathology and microbiology have been used to determine marine mammal cause of death in the San Diego region. Lack of erysipelas detection during that time suggests that the recent cluster indicates emerging erysipelas in cetaceans of this region. Similarly, a recent large mortality event of harbor porpoises (Phocoena phocoena) in the Netherlands was attributed toE. rhusiopathiae, which had not been previously detected in that area (4). The close temporal and geographic proximity of the affected dolphins in San Diego suggests that an erysipelas outbreak may have led to the increased coastal bottlenose dolphin deaths in this region. Although the causes of this outbreak are unclear, possible explanations include a changing environment, poor water quality, increased susceptibility toE. rhusiopathiae via emergence of a more pathogenic strain, or host immunosuppression in coastal bottlenose dolphins.
Links between environmental conditions and exposureto E. rhusiopathiae in other mammals have been found, although the mechanism is unclear (5). Similarly, short- and long-term ocean warming along the California coast could affect bacterial growth conditions or bottlenose dolphin prey. A change in prey could influence exposure if the presence, abundance, or pathogenicity ofE. rhusiopathiae varies by fish species. In southern San Diego, untreated wastewater effluent from the Tijuana River Estuary and a wastewater treatment plant in Tijuana, Mexico, has resulted in poor ocean water quality and frequent beach closures (6). During a 2019–2020 winter study,Erysipelothrix spp. were detected by molecular genetic techniques in low numbers in the Tijuana River Estuary (7). However, it is unknown whetherE. rhusiopathiae was present during the 2022 outbreak. It is also unknown whether coastal bottlenose dolphins have suppressed immune systems that may make them more susceptible to infection withErysipelothrix spp. bacteria. Recorded concentrations of DDT compounds are higher among California coastal bottlenose dolphins than among any cetacean in the world (8), and halogenated organic compound load (e.g., from DDT) has been correlated with endocrine disruption in that population (9), which is relevant because endocrine function is closely tied to immune function (10).
If erysipelas outbreaks continue, they could threaten this relatively small population of dolphins. In addition, emergence ofE. rhusiopathiae has potential health implications for persons who recreate in these waters or work with fish, and for free-ranging marine mammals or for other animals that prey on fish in this region.
Mrs. Danil is a research biologist at the National Oceanic and Atmospheric Administration Southwest Fisheries Science Center. Her research interests include the interplay of cetacean life history, health, and the environment.
Acknowledgments
We thank Brittany Hanser, Alaina Harmon, Madilyn Pardini, Melanie Peel, Zoe Prescott, and Jessica Ruth for necropsy support and Heather Fritz for Erysipelothrix identification and consultation. Thanks to Judy St. Leger for conversations about erysipelas and histopathology.
This research was funded by the National and Oceanic and Atmospheric Administration and is SeaWorld technical contribution no. 2023-6.
References
- Ugochukwu ICI,Samuel F,Orakpoghenor O,Nwobi OC,Anyaoha CO,Majesty-Alukagberie LO,et al.Erysipelas, the opportunistic zoonotic disease: history, epidemiology, pathology, and diagnosis—a review.Comp Clin Pathol.2019;28:853–9.DOIGoogle Scholar
- St. Leger J,Raverty S,Mena A. Cetacea. In: Terio KA, McAloose D, St. Leger J, editors. Pathology of Wildlife and Zoo Animals. Cambridge (MA): Academic Press;2018. p. 533–68.
- Carretta JV,Oleson EM,Forney KA,Muto MM,Weller DW,Lang AR,et al. U.S. Pacific marine mammal stock assessments:2021 [cited 2023 Oct 5].https://repository.library.noaa.gov/view/noaa/44406
- IJsseldijk LL,Begeman L,Duim B,Gröne A,Kik MJL,Klijnstra MD,et al.Harbor porpoise deaths associated withErysipelothrix rhusiopathiae, the Netherlands, 2021.Emerg Infect Dis.2023;29:835–8.DOIPubMedGoogle Scholar
- Aleuy OA,Anholt M,Orsel K,Mavrot F,Gagnon CA,Beckmen K,et al.Association of environmental factors with seasonal intensity ofErysipelothrix rhusiopathiae seropositivity among Arctic caribou.Emerg Infect Dis.2022;28:1650–8.DOIPubMedGoogle Scholar
- Feddersen F,Boehm AB,Giddings SN,Wu X,Liden D. Modeling untreated wastewater evolution and swimmer illness for four wastewater infrastructure scenarios in the San Diego-Tijuana (US/MX) border region. Geohealth.2021;5:e2021GH000490.
- Allsing N,Kelley ST,Fox AN,Sant KE.Metagenomic analysis of microbial contamination in the U.S. portion of the Tijuana River watershed.Int J Environ Res Public Health.2022;20:600.DOIPubMedGoogle Scholar
- Mackintosh SA,Dodder NG,Shaul NJ,Aluwihare LI,Maruya KA,Chivers SJ,et al.Newly identified DDT-related compounds accumulating in southern California bottlenose dolphins.Environ Sci Technol.2016;50:12129–37.DOIPubMedGoogle Scholar
- Trego ML,Hoh E,Whitehead A,Kellar NM,Lauf M,Datuin DO,et al.Contaminant exposure linked to cellular and endocrine biomarkers in southern California bottlenose dolphins.Environ Sci Technol.2019;53:3811–22.DOIPubMedGoogle Scholar
- Wensveen FM,Šestan M,Turk Wensveen T,Polić B.‘Beauty and the beast’ in infection: How immune-endocrine interactions regulate systemic metabolism in the context of infection.Eur J Immunol.2019;49:982–95.DOIPubMedGoogle Scholar
Figure
Table
Cite This ArticleDOI: 10.3201/eid2912.230811
Original Publication Date: October 31, 2023
Table of Contents – Volume 29, Number 12—December 2023
| EID Search Options |
|---|
Please use the form below to submit correspondence to the authors or contact them at the following address:
Kerri Danil, Southwest Fisheries Science Center, 8901 La Jolla Shores Dr, La Jolla, CA 92037, USA
Article Citations
Highlight and copy the desired format.
| EID | Danil K, Colegrove KM, Delaney MA, Mena A, Stedman N, Wurster E. Systemic Erysipelas Outbreak among Free-Ranging Bottlenose Dolphins, San Diego, California, USA, 2022. Emerg Infect Dis. 2023;29(12):2561-2563. https://doi.org/10.3201/eid2912.230811 |
|---|---|
| AMA | Danil K, Colegrove KM, Delaney MA, et al. Systemic Erysipelas Outbreak among Free-Ranging Bottlenose Dolphins, San Diego, California, USA, 2022.Emerging Infectious Diseases. 2023;29(12):2561-2563. doi:10.3201/eid2912.230811. |
| APA | Danil, K., Colegrove, K. M., Delaney, M. A., Mena, A., Stedman, N., & Wurster, E. (2023). Systemic Erysipelas Outbreak among Free-Ranging Bottlenose Dolphins, San Diego, California, USA, 2022.Emerging Infectious Diseases,29(12), 2561-2563. https://doi.org/10.3201/eid2912.230811. |
Metric Details
Systemic Erysipelas Outbreak among Free-Ranging Bottlenose Dolphins, San Diego, California, USA, 2022
Volume 29, Number 12—December 2023
Article Views: 1733
Data is collected weekly and does not include downloads and attachments. View data is from.
Altmetrics
What is the Altmetric Attention Score?
The Altmetric Attention Score for a research output provides an indicator of the amount of attention that it has received. The score is derived from an automated algorithm, and represents a weighted count of the amount of attention Altmetric picked up for a research output.
[8]ページ先頭