
Structure–Activity Relationship Analysis ofPsychedelics in a Rat Model of Asthma Reveals the Anti-InflammatoryPharmacophore
ThomasW Flanagan
Gerald B Billac
Alexus N Landry
Melaine N Sebastian
Stephania A Cormier
Charles D Nichols
Email:cnich1@lsuhsc.edu.
Received 2020 Jun 4; Collection date 2021 Apr 9.
Abstract

Psychedelic drugscan exert potent anti-inflammatory effects. However,anti-inflammatory effects do not appear to correlate with behavioralactivity, suggesting different underlying mechanisms. We hypothesizedthat the distinct structural features of psychedelics underlie functionallyselective mechanisms at the target 5-HT2A receptor to elicitmaximal anti-inflammatory effects. In order to test this hypothesis,we developed a new rat-based screening platform for allergic asthma.Next, we investigated 21 agonists at the 5-HT2A receptorfrom the three primary chemotypes (phenylalkylamine, ergoline, andtryptamine) for their ability to prevent airways hyperresponsiveness as a measure of pulmonaryinflammation. Furthermore, we assessed each drug forin vitro activation of the canonical signaling pathway, calcium mobilization,from the 5-HT2A receptor. We find that the drug 2,5-dimethoxyphenethylamine(2C-H) represents the pharmacophore for anti-inflammatory activityand identify structural modifications that are either permissive ordetrimental to anti-inflammatory activity. Additionally, there isno correlation between the ability of a particular psychedelic toactivate intracellular calcium mobilization and to prevent the symptomsof asthma or with behavioral potencies. Our results support the notionsthat specific structural features mediate functional selectivity underlyinganti-inflammatory activity and that relevant receptor activated pathwaysnecessary for anti-inflammatory activity are different from canonicalsignaling pathways. Our results inform on the nature of interactionsbetween ligands at the 5-HT2A receptor as they relate toanti-inflammatory activity and are crucial for the development ofnew 5-HT2A receptor agonists for anti-inflammatory therapeuticsin the clinic that may be devoid of behavioral activity.
Keywords: psychedelic, asthma, 5-HT2A receptor, inflammation, anti-inflammatory, chemical structure
Serotonin (5-hydroxytryp tamine,5-HT) is a small molecule and hormone that mediates many aspects ofphysiology and behavior. Its effects are mediated through action atseven families of 5-HT receptors.1 Withthe exception of the ligand-gated 5-HT3 receptors, allare of the seven-transmembrane-spanning G-protein-coupled receptor(GPCR) superfamily. Importantly, 5-HT has been shown to influencenumerous components of the immune system,2 including proinflammatory cytokine production and activation ofspecific immune constituents, with serotonin itself largely considereda proinflammatory mediator.3,4 Accordingly, several5-HT receptors are expressed in many immune-related tissues, withinteractions at specific 5-HT receptors modulating aspects of theimmune response and inflammation.5
Of all the mammalian serotonin receptors, the 5-HT2A subtypeis the most widely expressed and is found in nearly everytissue and cell type (e.g., muscle, endothelial, endocrine, and centralnervous system (CNS)).1 In the CNS, 5-HT2A receptors are principally distributed in serotonin-richterminal areas and are linked to complex behaviors associated withcognition and memory.6 In immune-relatedtissues and cells, including the spleen, thymus, and circulating lymphocytes,7 activity at 5-HT2A receptors can profoundlyimpact immune responses, where the effects of serotonin are predominantlyproinflammatory.2
We have previouslydiscovered that activation of 5-HT2A receptors with psychedelics8 producespotent anti-inflammatory effectsin vitro(9) and in whole animal studies,10 including disease models for asthma11,12 as well as cardiovascular and metabolic disease.13 In those studies, we primarily used the 5-HT2 receptor selective agonist (R)-2,5-dimethoxy-4-iodoamphetamine[(R)-DOI]. Whereas (R)-DOI affordspotent and efficacious anti-inflammatory activity, we found otherpsychedelics, including those closely related in structure and pharmacologicalproperties to (R)-DOI, are significantly less effective.These findings led us to hypothesize that certain structural featuresof 5-HT2A receptor agonists underlie the ability of someagonists to be more potent than others at the receptor with respectto anti-inflammatory activity through functionally selective mechanisms.Furthermore, regardless of general affinity for the receptor and thepotency/efficacy to activate canonical effector pathways, some 5-HT2A receptor agonists are able to independently recruit anti-inflammatoryeffector pathways.
To test this hypothesis, we examined theability of several agonistsof differing chemical structures to prevent airways hyperresponsiveness(AHR) in a rodent model of allergic asthma, rather than a cell-basedsystem. First, testing in anin vivo model of asthmaprovides greater translational relevance to results. Second, airwayresponse in rodent models of asthma takes into account not only pulmonaryinflammation but also other aspects of disease processes involvingimmune cell function. Demonstrating suppression of AHR in a rodentmodel of asthma indicates pleiotropic therapeutic effects are occurringthat together prevent inflammation in the lung and enhance our abilityto detect anti-inflammatory effects regardless of its nature or source.
We desired to test several compounds from the three main chemotypesof psychedelics: phenylalkylamines, ergolines, and tryptamines. Unfortunately,mice have a very active form of monoamine oxidase14 that rapidly deaminates tryptamines like psilocybin andits active metabolite psilocin to an inactive form in a matter ofminutes.15 Ergolines like LSD are alsorapidly metabolized in mice, likely through P450 enzymes. These shorthalf-lives are predicted to not be compatible with the experimentaldesign of drug treatment prior to OVA exposure (∼20 min) andthe length of the OVA exposure (30 min), which require drug to bepresent at therapeutic levels for nearly an hour. For that reason,we performed testing in an allergic asthma model using rats, whichdo not rapidly metabolize tryptamines and ergolines and where drughalf-lives are compatible with the experimental design time considerations.Whereas the vast majority of rodent-based allergic asthma models utilizemice16,17 and several studies have used rats,18,19 a thorough literature search revealed few adult-rat-based modelsof allergic asthma that used or were suitable for drug screening.20−22 Therefore, we developed protocols to generate an adult-rat-basedexperimental system for use as a screening platform. Validation experimentswere performed by comparing results of (R)-DOI inthis system with our previous results in mice.11 We chose to use the Brown Norway rat because it has a robustTh2-mediated immune response compared to other strains23,24 and has been used in asthma studies by others.25−27 After developingand validating our experimental system, we tested several compoundsfrom the three main chemotypes of psychedelics for their ability toprevent the development of AHR as a proxy for anti-inflammatory activity.We focused on phenylalkylamines because they have greater selectivityfor 5-HT2 receptors than tryptamines and ergolines, whichcan have affinity and efficacy at other serotonin receptors. In additiontoin vivo testing, we examined the ability of eachdrug to activate canonical canonical signaling pathways in HEK293cells heterologously expressing human 5-HT2A receptors.We then determined whetherin vivo anti-asthma activitycorrelated with activation ofin vitro canonicalsignaling pathways. We further explored the therapeutic efficacy ofour prototype molecule, (R)-DOI, by performing dose–responseexperiments and testing efficacy after different routes of administration.
Resultsand Discussion
(R)-DOI Prevents the Developmentof SymptomsAssociated with Asthma in Rats
Figure 1.
Chemical structures.The structures of the drugs used for SAR analysisare shown. Particular structural relationships relevant to data interpretationare indicated as gray arrows and marked with a number referring tothe nature of the relationship between the molecules connected witha particular arrow as defined in the text to the right of the structures.Efficacy of a particular drug to prevent AHR at the 0.5 mg/kg (inhaled)dose is also indicated under the name of the drug with an F (fullyefficacious), P (partially efficacious), or ND (no efficacy detected).For the phenylalkylamines, the 2C-H pharmacophore anti-inflammatorymolecule is at the center. For ergolines, LSD is presented in thecenter as the prototypic ergoline. For tryptamines,N,N-DMT is shown at the center as the prototypic,least-modified tryptamine.
Figure 2.
Sensitizationand challenge protocols for rat model of allergicasthma. Adult male Brown Norway rats received two intraperitonealsensitizations with 2 mg of chicken egg ovalbumin emulsified in 2mL of Imject Alum on days 0 and 7. From day 14–16, rats werechallenged with either 1% ovalbumin or sterile saline aerosol for30 min. Thirty minutes prior to OVA challenge, each rat was exposedto indicated drugs in a total volume of 4.5 mL using an inExpose nose-onlyinhalation system for 15 min. On day 18, AHR was measured using wholebody plethysmography.
Figure 3.
(R)-DOIrobustly prevents the development of AHRin an acute rodent allergic airways disease model. Results from wholebody plethysmography on awake, freely moving rats with (A) 1.0 mg/kg(R)-DOI, (B) 0.01 mg/kg (R)-DOI,n = 5–6 animals/treatment group, and (C) 0.006 mg/kg(R)-DOI with 30 mg/mL isoproterenol exposure after32 mg/mL methacholine challenge. *,p < 0.0001OVA vs naïve; #,p < 0.0001 OVA vs (R)-DOI+OVA; #,p < 0.05 0.006 mg/kgDOI+OVA vs OVA. Error bars represent ± SE; 2-way ANOVA with Bonferonniposthoc test.
Lung Remains Responsiveto Other Asthma Treatment Modalitiesafter Exposure to (R)-DOI
To determine whetherthe lung remains responsive to a conventional treatment for asthmafollowing (R)-DOI administration, we assessed theability of a β2-receptor agonist, isoproterenol, to lower PenHfollowing administration of an approximate EC50 dose of(R)-DOI and 32 mg/mL methacholine. As expected, isoproterenollowers PenH values to nearly those of naïve levels that wereequivalent between experimental treatment groups (Figure3C). These results suggest that5-HT2A-receptor-mediated therapy for asthma in the clinicmay be compatible with traditional types of rescue therapy like bronchodilators.
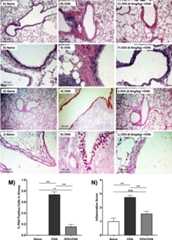
(R)-DOI Treatment Prevents OVA Exposure-MediatedPulmonary Inflammation and Mucus Overproduction
Histologicalanalysis of the lungs reveals significant OVA-induced pulmonary inflammation(Figure4B,E,M) andmucus overproduction (Figure4H,K,N) in the OVA-alone treated animals. Pretreatment with(R)-DOI (0.5 mg/kg; nose-only) prevents OVA-inducedpulmonary inflammation (Figure4C,F,M) and mucus over production (Figure4I,L,N).
Figure 4.
Inhaled (R)-DOI preventspulmonary inflammationand mucus overproduction. Nasally administered (R)-DOI (0.5 mg/kg) inhibits OVA-induced lung inflammation and mucushyperproduction. Representative sections of airways (4 μm) stainedwith the hematoxylin and eosin (H&E, A–F) and periodicacid–Schiff (PAS, G–L) techniques are shown in thisfigure to highlight inflammation (dark purple color) and mucus (brightpink color). Saline-treated animals have normal airway morphologyand no mucus or inflammation (A, D, G, J). OVA-alone-treated animalshave thickened airways with a significant amount of peribronchialinflammation (B, E) and mucus-stained goblet cells (H, K). Animalspretreated with (R)-DOI (0.5 mg/kg) exhibit normalairway morphology, with little to no detectable mucus or inflammation(C, F, I, L). (M) Inflammatory index scored to peribronchial and perivascularinflammation degree. (N) Fraction of airways cells containing mucus,as determined by PAS staining. Airways were scored by 5 unbiased observersfor 3 animals/treatment (n = 3). ***,p < 0.0001; **,p < 0.01; n.s. = no-significance.Error bars represent ± SE; ANOVA with Bonferonni post hoc test.
(R)-DOI Prevents OVA-InducedProinflammatoryRelated Gene Expression in the Lung
We validated our ratmodel at the gene expression level by assessing the pulmonary expressionof certain genes associated with the pathology of asthma by qRT-PCRanalysis. These included examining mRNA levels ofIL-1β,IL-4,IL-5,IL-6,IL-13,Muc5ac,TNFα, andGm-csf from whole lung homogenates. Similarto our earlier results with the acute OVA mouse model, (R)-DOI pretreatment prevented the expression of OVA-induced increasesin the mRNAs forIL-5,IL-6,IL-13,Gm-csf, andMuc5ac in the lung (Figure5A–F). Also similar to our previous results from the acuteOVA mouse model, (R)-DOI does not affect the expressionof mRNAs for other cytokines such asIL-4 (Figure5G), indicating thatas in the mouse (R)-DOI is not acting as a generalimmunosuppressant and is only affecting a subset of proinflammatory/asthma-relatedgenes.
Figure 5.
Inhaled (R)-DOI selectively inhibits proinflammatorygene expression in the whole lung after allergen challenge. QuantitativeRT-PCR measurement of mRNA expression levels of several inflammatorymarkers is shown. OVA produces a significant increase in the mRNAlevels of all genes shown. (R)-DOI prevents OVA-inducedincreases in all butIL-4. ***,P < 0.0001; **,P < 0.01; *,P < 0.05; n.s. = no significance.n = 5 animalsfor the Naïve group,n = 4–6 for theOVA group, andn = 5–6 animals for the (R)-DOI+OVA treatment groups. Error bars represent ±SE; ANOVA with Tukey post hoc test.
Determination of Potency and Efficacy by Different Routes ofAdministration for (R)-DOI
To determinethe potency of (R)-DOI to prevent the symptoms ofallergic asthma, we performed dose–response experiments. Wealso compared different routes of administration to determine EC50 values for both nebulized and intraperitoneal drug administration.The use of whole-body plethysmography (WBP) as a proxy to generatedose–response curves and test the effects of biological alterationsto the bronchoconstriction response has been described elsewhere.30,31 Dose–response curves were generated for the effects of differentconcentrations of (R)-DOI (0.0001–1.0 mg/kg)plotted against the highest dose of methacholine administered (32mg/mL). We determined the EC50 dose of (R)-DOI to be 0.008 mg/kg when delivered via nose-only (Figure6A) and 0.003 mg/kg when deliveredvia intraperitoneal (i.p.) injection (Figure6B). These doses are roughly 30-fold lessthan the minimal threshold dose for behavioral effects in rats whenadministered by i.p. injection (0.1 mg/kg)32−35 and are consistent with our earlierstudies in mice demonstrating therapeutic efficacy at levels far belowthose necessary to produce behaviors. The nearly equivalent potencyof noninhaled drug may at first seem surprising, but this may be dueto the lung serving as a depot for drugs of this class. In rats, [131I]-labeled DOI shows the highest tissue concentrations inthe lung after systemic injection.36 Rapidlocalization to the lung is also observed in full body scans in humansfor the closely related compound 2,5-dimethoxy-4-bromoamphetamine(DOB) after systemic administration of radiolabeled DOB.37 Furthermore, in rats given oral and subcutaneousdoses of DOB, the highest concentration of DOB is found in the lungs.38 Therefore, we predict that i.p.-injected (R)-DOI is rapidly accumulating in the lung to provide effectsequivalent to those of the nebulized drug. Together, our data indicatethat the potential anti-inflammatory therapeutic levels for diseaseslike asthma in the clinic with drugs like (R)-DOIwould be sub-behavioral and potentially orally available.
Figure 6.
Dose response.Dose–response curves were determined forthe effects of (R)-DOI on maximal PenH at concentrationsranging from 0.001 mg/kg to 1.0 mg/kg administered either (A) nebulizednose-only or (B) via intraperitoneal injection (i.p.). Peak enhancedpause values represent baseline-normalized values.n = 5–6 animals/treatment group; error bars represent ±SEM.
Structure–ActivityRelationship Analysis
Wetested the efficacy of a panel of several known ligands with differentstructural features in our rat allergic asthma OVA model to determinehow structural modifications alter responses. All compounds were initiallytested at the same screening dose of 0.5 mg/kg delivered via nose-onlyroute and dissolved in sterile saline. Our rationale for this dosechoice was that it should provide for complete normalization of PenHand inflammation based on our dose–response study with (R)-DOI and be high enough so as to be a fully efficaciousdose for drugs that may have significantly lower potency than (R)-DOI. Therefore, in this study we are comparing only efficacy(EMAX) and not potency (EC50) of the compounds tested to reduce the magnitude of OVA-inducedAHR in response to MeCh challenge. Our results were grouped into threecategories based on their ability to rescue/normalize MeCh-inducedPenH: fully efficacious, partially efficacious, and no significanteffect. For a few drugs, like psilocin, we performed additional testingat different doses to address potency issues. The rationale for examiningonly efficacy at a high dose of test compound as the primary comparatorwas that given our throughput of one test compound/dose per week,it simply was not feasible to generate full dose–response curvesfor 20+ different drugs, which would have required nearly three yearsof continual weekly testing.Figure7 shows the PenH curves for phenylalkylamines (Figure7A–N), ergolines(Figure7O–Q),and tryptamines (Figure7R–V) screened.
Figure 7.
PenH analysis of psychedelics. The individual curves fordeterminationof airways hyperresponsivity to increasing doses of methacholine todetermine PenH and the ability of drug pretreatment to prevent OVA-inducedincreases are shown. Phenalkylamines (A-N); Ergolines (O-Q); Tryptamine(R-V).n = 5–6 animals/treatment group; *,p < 0.0001 OVA vs naïve; #,p < 0.0001 OVA vs drug+OVA; #,p < 0.05; ns= no significance. Error bars represent ± SEM; 2-way ANOVA withBonferonni post hoc test.
Phenylalkylamines
Our primary focus in this study wason the phenylalkylamine chemotype. Phenylalkylamines are not onlymore selective for 5-HT2 receptors but also better suitedfor drug development because they are generally more chemically stablethan ergolines and tryptamines. Knowledge of the structure–activityrelationships (SAR) of this class of drug with respect to anti-inflammatoryactivity will enable potential development of next generation 5-HT2A receptor agonist therapeutics with less behavioral liability.Starting with (R)-DOI as the prototype anti-inflammatoryagonist, neither removal of the α-carbon from the side chainor replacing the 4-iodo with a bromine had a measurable effect onactivity, as 2C-B had full efficacy (Figure7A).
Modification of the side chainby rigidifying it (TCB-2) resulted in reduced efficacy (Figure7B). It should be noted thateach of these drugs that demonstrate reduced efficacy in our systemare known to be highly potent and efficacious drugs for canonicalsignaling and inducing mouse head twitch behaviors, with nearly thesame pharmacological properties as (R)-DOI. Therefore,we propose that a 2-carbon side chain ending in a primary amine isnecessary and sufficient, as well as able to tolerate the additionof an alpha-methyl, but any other more extreme types of modificationare not well tolerated for full anti-inflammatory efficacy.
The 2- and 5-methoxy substituents for phenethylamines are hypothesizedto serve as hydrogen bond acceptors to orient the compound in thecorrect orientation for proper receptor interaction.39 Therefore, both moieties must be taken into account whenconsidering any modification to the basic DOx or2C structure. 2C-B-Fly, which tethers the 2- and 5-oxygens into adihydrofuran structure, has affinity for the 5-HT2A receptorand agonist activity at canonical pathways nearly equal to (R)-DOI. However, 2C-B-Fly has significantly reduced efficacycompared to (R)-DOI for reducing AHR (Figure7C). Loss of the 5-methoxy (2,4-DMA)is also detrimental to efficacy (Figure7D), as is substitution of the 5-methoxy withan isopropoxy moiety (5-iPro-2C-E) (Figure7E). Together, these data indicate that conformationalrestraint of the methoxys at the 2- and 5- position is detrimental,and at least a methoxy at the 5-position is necessary for full anti-inflammatoryefficacy.
The nature of the 4-position substituent of phenethylaminepsychedelicshas been previously linked to 5-HT2 receptor selectivityas well as agonist properties at 5-HT2 receptors.40 Analysis of the 4-position demonstrated thatthe identity of the moiety at this position was rather flexible. Fullyefficacious substitutions at the 4-position included the halogensiodine and bromine (R)-DOI (Figure3), 2C-B (Figure7A), methoxy (TMA-2) (Figure7G), short-chain hydrocarbons (R)-DOM (Figure7H),(R)-DOET) (Figure7I), and a branched hydrocarbon (DOiBu) (Figure7J). An exception was 2C-T-33(Figure7K), whichhas a large hydrophobic 2-methoxythiophenyl at the 4′-positionthat demonstrated reduced efficacy. That may be due to the overallbulk at the 4-position or to the thiol. Further testing of additional2C-T compounds is necessary to answer this issue.
Although allof these 4-substituted compounds, with the exceptionof 2C-T-33, demonstrated full efficacy at 0.5 mg/kg inhaled, potenciesmay differ. To examine this possibility, we tested (R)-2,5-DMA (Figure7L) at 0.03 mg/kg, a fully efficacious dose for (R)-DOI, and found that (R)-2,5-DMA was only partiallyefficacious at this lower dose (Figure7M). Conversely, for drugs that only demonstrated partialefficacy at 0.5/mg/kg inhaled, their efficacy may be due to not providingsufficient levels to achieve full efficacy. To test for this possibility,we doubled the dose of 5-iPrO-2C-E to 1.0 mg/kg (Figure7F). No increase in efficacywas found between the 0.5 and the 1.0 mg/kg doses. Together, theseresults indicate that aside from absolute potencies the 0.5 mg/kgdose we chose for screening was likely a maximally efficacious doseacross the panel of compounds tested and valid for meaningful comparisonsof efficacy between drugs.
Remarkably, we found that a substitutionat the 4-position wasnot even necessary to provide full efficacy. The compounds 2,5-DMA(Figure7L) and 2C-H(Figure7N) were bothfully efficacious at 0.5 mg/kg. Interestingly, Dr. Alexander Shulginhas reported no behavioral effects of 2,5-DMA in humans up to a veryhigh dose.41 Whether or not the lack ofbehavioral effects in humans and rodents is due to potential rapidmetabolism from first-pass metabolism after oral or i.p. administrationthat is not present following direct application to the lung remainsto be tested. With all of our data taken together, we propose that2C-H represents the pharmacophore anti-inflammatory structure forthe phenylethylamine class of psychedelic. Modifications of the alkylside chain, with the exception of the addition of an alpha-methyl,are not well tolerated. Furthermore, modifications or substitutionsof the 2- and 5-methoxys are not well tolerated. However, substitutionsat the 4-position are well-tolerated and can maintain anti-inflammatoryactivity, but perhaps only to a point where steric bulk exceeds somecritical value.
Ergolines
LSD and ETH-LAD, whichhave significantlyhigher affinities than (R)-DOI for the 5-HT2A receptor and are more potent for eliciting HTR in mice, demonstrateonly partial normalization of PenH (Figure7O,P). Lisuride, which has been proposed tobe a nonhallucinogenic agonist at the 5-HT2A receptor hadno ability to normalize PenH at the tested dose (Figure7Q). LSD is only a partial agonistwith respect to canonical signaling pathways at the 5-HT2A receptor. The closely related drug ETH-LAD (Figure7P) has the same affinity for the receptoras LSD, however, is a full agonist at canonical signaling pathways.Because both LSD and ETH-LAD had only partial efficacy to preventthe development of allergic asthma symptoms, the degree of efficacyat the receptor by ergolines by canonical signaling is likely notthe primary driver for efficacy in the asthma model. Together, ourresults indicate that ergolines as a class may simply be less efficaciousat engaging anti-inflammatory pathways than phenethylamines, althoughseveral more would need to be tested to make this claim definitively.
Tryptamines
Psilocin, which has significantly weakeraffinity for the 5-HT2A receptor and less potency than(R)-DOI at activating canonical signaling pathways,is potent at normalizing PenH (Figure7R), and a low sub-behavioral dose of 0.01 mg/kg (Figure7S) inhaled is sufficientto completely prevent OVA-induced AHR to methacholine. The closelyrelated drugN,N-dimethyl tryptamine(N,N-DMT) had no measurable effect(Figure7T), nor did5-MeO–DMT (Figure7U). However, 4-OH-DiPT (Figure7V) does possess full efficacy to normalize PenH at0.5 mg/kg. These results indicate that perhaps for tryptamines a 4-OHgroup is necessary for therapeutic efficacy and also that the requirementsfor the identity ofN′-R groups are less stringent.Further testing of additional compounds will be necessary, however,to test this hypothesis fully. Our results withN,N-DMT having no efficacy in our asthma model, andby extrapolation no anti-inflammatory activity, are at odds with thework of others who have proposed it does have anti-inflammatory effects.Specifically,N,N-DMT has been proposedto act on the sigma-1 receptor on cells of the immune system to preventinflammation.42 That we did not observeany measurable effects in our model system suggests sigma-1-receptor-mediatedanti-inflammatory mechanisms may not be relevant for therapeutic efficacyin pulmonary inflammation, and/or that the anti-inflammatory activityofN,N-DMT is dependent on specifictissues that may or may not express sufficient sigma-1 receptor protein.43
Activation of Canonical Signaling Is NotCorrelated with Efficacyto Prevent OVA-Induced AHR
Several, but not all, drugs weexamined have known affinities for the 5-HT2A receptorand known behavioral potencies.8,41,44 In order to attempt to correlate canonical signaling downstreamof the 5-HT2A receptor to anti-asthma efficacy, we measuredefficacy and potencies for each of the drugs used for calcium flux,which is induced by activation of the Gαq canonicalsignaling pathway, in heterologously expressed human 5-HT2A receptors in HEK cells. In a comparison of PenH-AUC values determinedfor each drug as a proxy measure of anti-inflammatory efficacy (Figure8A) to either EC50 orEMax for calcium mobilizationdownstream of 5-HT2A receptor activation (Table1), we found no correlation betweencanonical signaling and anti-asthma efficacy (Figure8B,C). As expected, our prototypical drug(R)-DOI, which is fully anti-inflammatory, was apotent and full activator of calcium mobilization. Drugs with similarreceptor potencies such as 2C-B-Fly, however, were only partiallyefficacious as anti-inflammatories (Table1;Figure8A). These results are consistent with noncanonicalsignaling pathways linking anti-inflammatory activity to 5-HT2A receptor activation that remain to be elucidated in futureexperiments. This uncoupling of traditional pharmacological propertiesof drug–receptor interaction and therapeutic effect is notunprecedented.45 Therefore, it is likelythat noncanonical signaling pathways yet to be identified underliethe anti-inflammatory/asthma effects of psychedelics.
Figure 8.
Efficacy comparisons.(A) Overall efficacy of individual drugstested at 0.5 mg/kg (inhaled) to prevent methacholine induced AHRpresented in rank order based on analysis of area under the curve(AUC), with values normalized to OVA-alone responses (Y-axis = 100), and saline control responses (Y-axis= 0).No efficacy:p Drug+OVAvs OVA = ns andp Drug+OVA vs saline < 0.05.Partial efficacy:p Drug+OVA vs OVA< 0.05 andp Drug + OVA vs saline < 0.05, orp Drug+OVA vs OVA = nsand p Drug+OVA vssaline = ns.Full efficacy:p Drug+OVA vs OVA < 0.05 andp Drug+OVA vs saline= ns. Statistical significance determined by 2-way ANOVA with Turkeypost hoc analysis (complete tabular results shown inTable1). (B) Comparison of PenH AUCvalues from (A) plotted against EMAX of calcium mobilizationfor the same drugs tested in h5-HT2A receptor-expressingHEK cells (seeTable1 for values). (C) Comparison of PenH AUC values from (A) plottedagainst the pEC50 of calcium mobilization for the samedrugs tested in h5-HT2A receptor-expressing HEK cells (seeTable1 for values). Thereis no significant correlation between efficacy of drugs to decreasePenH in response to methacholine and canonical signaling through calciumelicited by 5-HT2A receptor activation (PenH AUC vsEMAX calcium, Spearmanr = −0.387,p = 0.0754; PenH AUC vs EC50 calcium, Spearmanr = 0.2422,p = 0.277).
Table 1.
| drug | calciumEMAX | calcium pEC50 | PenH (AUC) relativeto OVA alone | SEM | |
|---|---|---|---|---|---|
| 2,4-DMA | 116.55 | –5.53 | 8.53 | 20.97 | |
| 2,5-DMA | 108.96 | –5.45 | 5.79 | 43.65 | |
| 2C-B | 97.89 | –7.23 | 2.71 | 11.80 | |
| 2C-B-Fly | 99.05 | –7.27 | 34.56 | 9.87 | |
| 2C-H | 77.76 | –5.38 | 22.35 | 22.41 | |
| 2C-I | 86.80 | –7.33 | –18.81 | 15.21 | |
| 2C-T-33 | 75.62 | –6.31 | 62.93 | 24.89 | |
| 4-OH-DIPT | 105.72 | –6.40 | 5.32 | 14.85 | |
| 5-iPO-2CE | 93.47 | –6.72 | 35.12 | 16.80 | |
| 5-MeO-DMT | 105.17 | –6.98 | 82.49 | 33.63 | |
| DMT | 88.82 | –6.06 | 103.85 | 19.38 | |
| DOiBu | 98.82 | –7.90 | –0.66 | 16.27 | |
| ETH-LAD | 102.71 | –7.48 | 39.43 | 16.02 | |
| lisuride | 42.61 | –5.34 | 78.23 | 28.18 | |
| LSD | 84.53 | –6.66 | 55.06 | 14.63 | |
| psilocin | 80.02 | –6.47 | 15.80 | 29.0 | |
| R-DOET | 97.37 | –7.80 | 8.21 | 18.63 | |
| R-DOI | 112.28 | –7.88 | 5.43 | 28.05 | |
| R-DOM | 110.26 | –7.28 | 15.46 | 7.05 | |
| TCB-2 | 100.40 | –8.43 | 36.46 | 11.56 | |
| TMA2 | 101.87 | –5.73 | 32.22 | 9.14 | |
| BW723C86 | 139.10 | 32.21 | |||
| 1-methyl psilocin | 79.73 | 29.16 | |||
| Ro 60-0175 | 72.30 | 19.06 |
5-HT2B and 5-HT2C Receptors Are Not Involvedin the Effects of (R)-DOI
Because (R)-DOI, as well as all other psychedelic drugs tested, alsohas significant affinity for and are agonists at 5-HT2B and 5-HT2C receptors, we sought to determine any potentialinvolvement in the therapeutic effects to normalize PenH. We tested0.5 mg/kg of a selective 5-HT2C agonist and 5-HT2B inverse agonist (1-methyl psilocin) (Figure9A), and two mixed 5-HT2B/2C agonists(Ro 60–0175 fumarate and BW 723C86) (Figure9B,C). There were no significant effects onPenH hyperresponsiveness to MeCh in the OVA treated animals for anyof these three drugs. These results indicate that activity at 5-HT2B/2C receptors is not involved in the therapeutic effectsof (R)-DOI to prevent allergic asthma in our model.Although these results are highly indicative of activity at the 5-HT2A receptor being necessary and sufficient for anti-inflammatory/asthmaactivity, we performed a further experiment examining the abilityof (R)-DOI to prevent allergic asthma inHTR2A–/– knockout mice lackingexpression of the 5-HT2A receptor (Figure S1). We followed protocols as previously describedfor our mouse model of acute OVA allergic asthma11 and administered 0.5 mg/kg (R)-DOI noseonly prior to each OVA exposure. We found that there was no effectof (R)-DOI to prevent the development of AHR. Utilizingour models, we have demonstrated that agonism at serotonin 5-HT2B and 5-HT2C receptors does not have therapeuticefficacy. Combined with our data demonstrating no anti-asthma effectsin theHTR2A–/– mouse, weconclude that the activation of 5-HT2A receptors by selectpsychedelics is necessary and sufficient to confer anti-inflammatoryactivity and to prevent the symptoms of asthma in our model. Thisfinding is in agreement with our previousin vitro(9) andin vivo studies.10−12 Regardless, a possibility we cannot rule out without further testingis that some of these drugs may be interacting with off-target receptorsto produce their effects. The most common off-target receptors forpsychedelics include 5-HT1A receptors (tryptamines andergolines) and α2 adrenergic receptors (phenakylamines).8 We do not, however, believe that this is thecase. There is little to no evidence in the literature of 5-HT1A receptors having any anti-inflammatory or therapeutic effectsin the lung relevant to asthma, and in human clinical studies testingthe effects of the α2 agonist clonidine on methacholine-inducedairway reactivity, no significant differences between placebo andclonidine groups were measured.46
Figure 9.
5-HT2B/C receptors are not implicated. Animals wereexposed to 5-HT2C and 5-HT2B selective drugsprior to OVA exposure. (A) 5-HT2C receptor selective agonist1-methylpsilocin (0.5 mg/kg; inhaled) did not prevent AHR. (B) 5-HT2C receptor selective agonist 60–1075 Fumarate (0.5mg/kg; inhaled) did not prevent AHR. (C) 5-HT2B/C receptoragonist BW723C86 (0.5 mg/kg; inhaled) did not prevent AHR.n = 5–6 animals/treatment group. *,p < 0.0001 OVA vs Naïve; ns = no significance drug vs OVA.Error bars represent ± SE; 2-way ANOVA with Bonferonni post hoctest.
Summary
Our previousin vitro workdemonstrated that different 5-HT2A receptor agonists havedisparate anti-inflammatory properties.9 We hypothesized that structural differences between ligands gaverise to differential anti-inflammatory potencies and efficacy throughfunctionally selective (ligand biased) mechanisms. Here, we examinedthe structure–activity relationships between agonist and anti-inflammatory/asthmaefficacy in a new rat model of allergic asthma. We first validatedour asthma model, and then used it to examine structure–activityrelationships. During this process, we demonstrated the utility ofour rat model as anin vivo platform that is robustand long-lasting for the analysis and/or screening of compounds fortherapeutic efficacy to treat symptoms associated with pulmonary inflammationand asthma. Parameters measured were more consistent between individualrats than we have found for mice, and once sensitized to OVA, therats maintain a stable hyper-allergic state and have a robust testingperiod of ∼1 year, compared to only ∼6 months in BALB/cmice. Results showing equipotency for nebulized compared to intraperitonealinjection for (R)-DOI indicate that potential therapiesin the clinic need not be limited to inhaled formulations. SAR analysisindicates that 2C-H represents the pharmacophore for phenalkylamineanti-inflammatory efficacy, and it also highlights certain modificationsthat are permissive or detrimental to efficacy for phenalkylaminesand tryptamines and that ergolines as a class may not be fully efficacious.In vitro data with regard to potency and efficacy at canonicalsignaling pathways indicate that relevant anti-inflammatory pathwaysdo not correlate with canonical signaling pathways. These results,together with no apparent correlation between behavioral effects,support the notion that anti-inflammatory and behavioral effects maybe separable through functionally selective mechanisms in drug discoveryefforts to identify nonbehavioral 5-HT2A receptor agonistswith anti-inflammatory activity for the treatment of inflammation-relateddiseases like asthma in the clinic.
The data in theSupporting Information further support our findingsin rats that activation of 5-HT2A receptors is necessaryand sufficient for the anti-asthma effects of psychedelics. In summary,treatment with a high dose of the 5-HT2 receptor agonist(R)-DOI does not reduce or affect OVA-induced AHRinHTR2A–/– knockout mice.
Methods
Drugs and Reagents
(R)-DOI was synthesizedand provided by Dr. Bruce Blough at Research Triangle Institute (ResearchTriangle Park, NC) and by Eleusis Therapeutics (New York, NY). LSD;ETH-LAD, 2,4-DMA, 5-iPrO-2CE, 2C-B, TCB-2, (R)-DOB,(R)-DOM, (R)-DOiBu, (S)-DOI, (R)-DOET, 5-MeO-DMT, psilocin, and mescalinewere synthesized and provided by Dr. David Nichols (Purdue University).2C-T-33 was synthesized and provided by Dr. Daniel Traschel (ReseaChemGmbh, Burgdorf, CH). 2C-H, 2C-I, 4-OH-DIPT, 2,5-DMA, and TMA-2 werepurchased from Cayman Chemical (MI). Lisuride; 1-methylpsilocin; Ro-0175fumarate; and BW723C86 were purchased from Tocris Bioscience (Bristol,UK).N,N-DMT, 5-HT, ovalbumin (OVA),methacholine (MeCh), anddl-isoproterenol hydrochloride werepurchased from Sigma-Aldrich (St. Louis, MO). SeeFigure1 for the structures of eachcompound.
Animals
For all experiments described, respiratory-pathogen-freeBrown Norway (RijHsd-BN) rats were obtained from Envigo (Somerset,NJ) and Charles River (Raleigh, NC). All animals used in these studieswere male and 6–8 weeks of age on arrival with a body weightof 170–220 g. Animals were allowed to acclimate at least 1week prior to initiation of OVA sensitization. For the duration ofthe study, rats were housed singly in the animal care facility atthe Louisiana State University Health Sciences Center (New Orleans,LA) in ventilated cages housed in a pathogen-free animal facilitywithad libitum access to food and water on a 12h/12 h light/dark cycle. All protocols were prepared in accordancewith theGuide for the Care and Use of Laboratory Animals(340) and approved by the InstitutionalAnimal Care and Use Committee at Louisiana State University HealthSciences Center.
OVA-Induced Acute Allergic Airway Inflammation
Sensitization-challengeprotocols used in this study are summarized inFigure2. For sensitization, Brown Norway rats (7–9weeks old) were i.p. injected with (500 μL) of 2.0 mg of chickenOVA (Sigma-Aldrich) emulsified in 2.0 mL of Imject Alum [Al(OH)3/Mg(OH)2; Pierce, Rockford, IL] on days 0 and 7,as described by Elwood et al.25 OVA exposuremethods were based on our previously described mouse model of acuteasthma.11 OVA-alone treated rats were exposedto 3 times weekly exposure of 10.0 mg of OVA slowly dissolved in 10.0mL of 0.9% sterile saline solution (Baxter Healthcare Corp., Deerfield,IL) in a 15 L (38.00 × 19.05 × 19.7 cm) acrylic inductionchamber. No more than 6 animals were exposed in the chamber per challenge.OVA aerosol was generated using an ultrasonic nebulizer (Pari Pronebnebulizer, Midlothian, WA) in conjunction with a Pari Proneb pumpat a 1.0% OVA concentration for a total duration of 30 min, as describedin Palmans et al.26
Drug Exposure
For nose-only exposures, rats were exposedin groups of 3–4 rats/group to the appropriate concentrationof drug dissolved in a total volume of 4.5 mL of sterile saline usingan inExpose nose-only inhalation system (SCIREQ, Montreal, QC, Canada)30 min prior to each OVA challenge. Each 4.5 mL of sample was aerosolizedusing a VixOne nebulizer (Westmed, Inc., Tucson, AZ) in conjunctionwith a Pari Proneb pump. Exposures lasted 15 min. All respiratoryparameters were measured 48 h after the final OVA exposure (Figure2). For i.p. administration,the appropriate drug was dissolved in sterile saline at a concentrationof 1.0 mg/kg and injected at the appropriate weight/volume ratio.
Noninvasive Whole-Body Plethysmography (WBP) and MethacholineChallenge
To minimize the impact of circadian influences,all respiratory recordings were performed between 10 am and 3 pm.47−49 For measurement of airway responsiveness to MeCh, a noninvasivebias flow ventilated whole body plethysmography system (EMKA Technologies,Falls Church, VA) was used in spontaneously breathing, unrestrainedrodents. The plethysmograph (PLY3215; diameter 10 in Buxco Electronics,Troy, NY) was ventilated by a continuous flow of 2.5 L/min (Bias FlowRegulator, Vent2, EMKA Technologies, Paris, FR).50 A differential pressure transducer (EMKA Technologies,FR) was connected on one pole to the main chamber and on the secondpole to a reference chamber. The transducer measures pressure differencesbetween both chambers as caused by the respiratory cycle, mainly inhalationand exhalation.51 The IOX2 Software System(IOX 2.8.2.13; EMKA Technologies, FR) provides a breath-by-breathanalysis of pressure signals and transforms these pressure differencesvia computerized calculations to a dimensionless empirically establishedvalue, enhanced pause or PenH. Numerous experiments from our lab11,12 and others52,53 have shown PenH to be a reliableand sensitive measure of bronchoconstriction and a superior measurein assessing the degree of bronchoconstriction compared to other derivedparameters such as box pressure or box flow,53 and it faithfully reproduces the results of forced respiratory techniquessuch as flexiVent (flexiVent, SCIREQ, Montreal, CA).11 Despite these findings, it must be acknowledged that theuse of PenH as a measure of airway mechanics is a matter of debate.54 A large portion of this controversy stems frominterpretation of pulmonary responsiveness using older plethysmographyequipment, in which fluctuations to any ambient parameter (i.e., temperatureand humidity) impact airways resistance calculations.55 As such, the type of WBP is an important factor to consider.Although any data collected from a sealed chamber plethysmograph (PressureWBP)does not represent pulmonary resistance, data gathered from a WBPchamber with a pneumotachograph in its wall (FlowWBP) is correlativewith pulmonary resistance,56 which is thetype of WBP performed in our studies. Accordingly, with appropriatemathematical analysis and a properly calibrated FlowWBP system, PenHdoes quantitatively measure fluctuations in airway resistance regardlessof variations in ambient parameters. Although a degree of cautionshould be exercised using PenH data from a properly calibrated FlowWBPsystem as a proxy for direct measurement using forced ventilationto measure pulmonary airways resistance (FlexiVent), FlexiVent isa terminal assay, whereas FlowWBP can be reliably repeated in thesame cohort of animals, necessitating its use for evaluating largenumbers of drugs and doses such as we have performed.
For theassay, the chamber pressure signal is calibrated by dynamic injectionof 5 mL of room air via syringe (BD; 10 mL syringe with luer-lok tip;Franklin Lakes, NJ).50 Animals are thenplaced in the chamber, where baseline data are recorded for 5 minfollowing a 10 min habituation period in the plethysmograph.53 After measurement of baseline PenH, either aerosolizedsaline (0.9% NaCl Solution) or an aqueous solution of MeCh in increasingconcentrations (4, 8, 16, 32 mg/mL) were nebulized through an inletof the plethysmography chamber for 3 min, followed by measurementsof PenH values for 3 min.51,57 An Aeroneb Pro vibrating-meshnebulizer (Aerogen Ltd., Galway, Ireland) was used to generate aerosol.Following recordings, to prevent a MeCh gradient there was a wash-outperiod of 7 min in which the animal was provided with fresh air.58−60 For studies involving isoproterenol, the above protocol was utilized;however, following the 32 mg/mL MeCh challenge animals were exposedto 30 mg/mL isoproterenol for 3 min, and PenH values were measuredfor 3 min. The dosage of isoproterenol was extrapolated from Voginet al.61 and deemed by Kondo et al.62 not to have lasting myocardial effects. Datafrom the IOX2 software were analyzed using Datanalyst software (Datanalystv2.6.1.14; EMKA Technologies, France) and expressed as the mean SEMof maximal PenH values per group.
For testing, we maintainedsix cohorts of rats: two saline-onlycontrol groups (n = 6/group), and four OVA-sensitizedand exposed groups (n = 6/group). These cohorts werefurther divided into two sets, each set with one saline-only group,and two OVA-exposed and -sensitized groups. In any given testing round,we used one set of treatment groups with one OVA-treated group usedas an OVA-only control that was exposed only to OVA, another OVA-treatedgroup was used as our experimental group for drug pretreatment priorto OVA exposure, and one saline-only control group that was exposedonly to aerosolized saline. The following round we utilized the otherset with the same group designations. On the third round, we returnedto the first set; however, we utilized the previously drug-exposedOVA-treated group as the OVA-only group (to ensure resetting of theimmune response following drug treatments) and the previously usedOVA-only group as the OVA + drug group. This staggering allowed atleast 2 weeks between experimental manipulation on any given rat,so we could ensure the previously drug-treated animal’s responsesreturned to normal prior to another drug treatment and validated thatthere were no cumulative drug effects between trials to confound resultson an ongoing basis. At this rate we could test one experimental drug/doseper week, every week. The same cohorts of rats were used for testingdrugs over periods of about 3–9 months. During this time, themeasured PenH in the control groups, as well as the OVA-only treatedgroup measurements, did not significantly differ between trials, indicatingthat there were no age-related confounding effects on pulmonary responseto OVA over time and that repeated drug exposures did not affect subsequentresponses to OVA exposures and/or drug treatments. As a final test,the terminal round of testing for all rats after completion of experimentaltesting was to reassess the effects of inhaled (R)-DOI (0.1 mg/kg) to ensure animals were still equally responsiveat the end of testing as they were at the beginning several monthsearlier. The first cohort of experimental groups was used to developand validate the model using (R)-DOI only and togenerate lung tissue for gene expression analysis. The second cohortwas used to validate further the model with (R)-DOI,to collect BALF, and to generate lung tissues for histopathologicalanalysis. The third cohort was used for compound screening and theroute of administration experiments.
Histopathology
Lungs were isolated and prepared 48h after the final OVA exposure. Animals were humanely sacrificed byexsanguination under anesthesia (ketamine/xylazine mixture; 100 and10 mg/kg, respectively). A 14-guage angiocatheter (Excel Safelet Catheter,Excel International, Los Angeles, CA) was inserted into the trachea,and a 4–0 silk suture (Oasis, Mettawa, IL) was tied aroundthe trachea. The catheter was withdrawn, and the lungs were removeden bloc. A gentle infusion of 10 mL of Zinc Formal-Fixx Concentrate(Thermo Scientific, Shandon, Inc., Pittsburgh, PA) was used to inflation-fixthe lungs, which were immersed in Zinc Formal-Fixx at room temperatureovernight and dehydrated in a graded series of ethanol solutions.Fixed lungs were embedded in paraffin and sectioned at 4 μmthickness. Each lung section was stained with periodic acid–Schiff(PAS) for examination of mucus cell metaplasia and evaluated as previouslydescribed.63 Adjacent sections were stainedwith hematoxylin and eosin (H&E) to assess severity of interstitialand peribronchial inflammation. Five trained individuals blinded tothe background of the samples assigned a total inflammation scorefor each lung section as follows: 0, normal; 1, inflammatory infiltrationcomprises less than 25% of entire section; 2, inflammatory infiltrate25–50% entire section; and 3, more than 50% of entire sectionexhibits inflammatory infiltration.
Cytokine and ChemokineAnalysis by qRT-PCR
Lungs wereharvested 48 h after the final OVA exposure and frozen until processingat −80 °C. Total RNA was extracted from the left lobeof each rat with TRIzol reagent, purchased from Life Technologies(Carlsbad, CA), following the manufacturer’s instruction. TheRNA pellet was resuspended in nuclease-free H2O, and RNAwas quantified by spectrophotometer (NanoDrop ND-1000; NanoDrop Technologies,Inc., Wilmington, DE). RNA was quantified at A260 and A280, with noRNA utilized that was below a 1.6 260/280 nm ratio. Suitable RNA wasprocessed into first-strand cDNA using the ImProm-II cDNA synthesiskit (Promega, Madison, WI) following the manufacturer’s instructions.Gene expression levels of cytokines were determined using reversetranscription and quantitative real-time PCR (qRT-PCR). The inputcDNA for each reaction was 1000 ng of total RNA. Primers were designedto be compatible with the Universal ProbeLibrary system using theUniversal ProbeLibrary Assay Design Center (Roche Diagnostics, Indianapolis,IN) and synthesized by Integrated DNA Technologies (Coralville, IA).Primer sequences used in this study are listed inTable2. Probes utilized in this reportwere from the Universal ProbeLibrary (Roche Diagnostics, Indianapolis,IN) and are listed with the following universal probe numbers: U78,U21, U2, U106, U17, U124, U5, U68, U89, U15, and U42 forIL-1β,IL-4,IL-5,IL-6,IL-13,Gm-csf,MUC5AC,TNFα, andGusB. Triplicate amplification reactions usingthe first-strand cDNA sample from each rat were performed on a Roche480 LightCycler II LC (Roche Diagnostics) using the qPCR PerfeCTaFastMix II (Quanta Biosciences, Inc., Gaithersburg, MD) followingthe manufacturer’s directions. Amplification ofβ-glucuronidase (GUSB), a housekeeping gene consistently expressedamong all samples, was used as the reference standard. Relative expressionwas determined using the ΔΔ-Ct method. Significance ofexpression was measured using a one-way analysis of variance (ANOVA),with all genes marked as significant exhibiting at least ap < 0.05.
Table 2. qRT-PCR Primer Sequences.
| gene | sequence | amplicon length | |
|---|---|---|---|
| IL-1β | sense | 5′ TGT-GAT-GAA-AGA-CGG-CAC-AC 3′ | 70 nt |
| antisense | 5′ CTT-CTT-TGG-GTA-TTG-TTT-GG 3′ | ||
| IL-4 | sense | 5′ CCT-CCG-TGA-GCT-GTC-TGA-TT 3′ | 63 nt |
| antisense | 5′ CAC–CCA-GGA-CCT-TGA-TGC 3′ | ||
| IL-5 | sense | 5′ TAT-GGG-AGC-TTC-GGC-AAC 3′ | 72 nt |
| antisense | 5′ TTG-ACA-GGT-GGC-AGA-AGT-AAA-A 3′ | ||
| IL-6 | sense | 5′ CCT-GGA-GTT-TGT-GAA-GAA-CAA-CT 3′ | 142 nt |
| antisense | 5′ GGA-AGT-TGG-GGT-AGG-AAG-GA 3′ | ||
| IL-13 | sense | 5′ GGC–CCT-CAG-GGA-GCT-TAT 3′ | 70 nt |
| antisense | 5′ GCT-GTT-GCA-CAG-GGA-AGT-CT 3′ | ||
| Gm-csf | sense | 5′ CAT-CTC-TAA-TGA-GTT-CTC-CAT-CCA-G 3′ | 77 nt |
| antisense | 5′ CCC-GTA-GAC–CCT-GCT-TGT-AT 3′ | ||
| MUC5AC | sense | 5′ GGT-GAC-TGC-GAG-TGC-TTC-T 3′ | 127 nt |
| antisense | 5′ CCT-CTG-GGT-TGT-AGT-AGT-CAC-AGA | ||
| TNFα | sense | 5′ CAG-AGA-AGA-AGC-AGA-CCA-AGG 3′ | 92 nt |
| antisense | 5′ AGG-GAC-TCG-AGG-GGT-CTC 3′ | ||
| GusB | sense | 5′ CTC-TGG-TGG-CCT-TAC-CTG-AT 3′ | 79 nt |
| antisense | 5′ CAG-ACT-CAG-GTG-TTG-TCA-TCG 3′ |
Calcium Flux Assay
Gαq-mediated calciumflux downstream of 5-HT2A receptor activation was determinedusing HEK293 cells stably expressing the human 5-HT2A receptor.650 Cells were seeded in DMEM supplemented with10% fetal bovine serum, 100 units/mL penicillin, 100 mg/mL streptomycin,and 100 mg/mL Zeocin onto 96-well poly-d-lysine plates withclear bottoms (12 000 cells/well) and cultured at 37 °C.The following day, media was aspirated and replaced with serum-freeDMEM for 12 h. On the day of the experiment, the cells were washedonce with HBSS supplemented with 20 mM HEPES, loaded with 75 μLof 3 μM Fluo-2 AM HA (Ion Indicators, LLC) diluted in HBSS–HEPESbuffer, incubated for 1 h at 37 °C, washed again with HBSS–HEPES,and maintained in 50 μL HBSS–HEPES at 25 °C. Theplates of dye-loaded cells were placed into a FlexStation 3 microplatereader (Molecular Devices, LLC) to monitor fluorescence (excitation,485 nm; emission, 525 nm; cutoff, 515 nm). Plates were read for 20s (2 s interval) to establish baseline fluorescence and then challengedwith compounds diluted in a range of 10 pM to 10 μM or bufferand read for an additional 80 s. After obtaining a calcium mobilizationtrace for each sample, the mean baseline fluorescence was subtractedfrom peak fluorescence in each well. EMAX values were determinedby normalization to the maximum 5-HT response (100%) on the same plate.The data were analyzed using nonlinear regression curve-fitting routinesin Graph-Pad Prism 8.0 (GraphPad Software, Inc.) to generate EC50 values. These data for test compounds were then normalizedto 5-HT by calculating a ratio of mean EC50 value acrossall test plates versus same plate response and multiplying it by individualtest compound EC50 values.
Statistics
Allstatistical analysis was performed usingGraphPad Prism (GraphPad Software, La Jolla, CA).
Acknowledgments
Funding was provided by the American AsthmaFoundationand Eleusis Therapeutics. The authors thank Dr. David T. Siefker forhistology staining and scoring; Dr. Javier Gonzalez-Maeso for theHTR2A–/– mice; Dr. Meghan Hibicke,B. DeVellis, and Dr. Sahika Guner for histology analysis and scoring;and F. Lorio for construction of exposure chambers. This paper isdedicated to the memory of Melaine N. Sebastian.
Supporting Information Available
The Supporting Information isavailable free of charge athttps://pubs.acs.org/doi/10.1021/acsptsci.0c00063.
Data and methods for testing(R)-DOIto prevent AHR inHTR2A–/– knockout mice (PDF)
The authorsdeclare the following competing financial interest(s): C.D.N. is supportedby a sponsored research contract from Eleusis Therapeutics and isa member of its Scientific Advisory Board.
Supplementary Material
References
- Nichols D. E.; Nichols C. D. (2008) Serotonin receptors. Chem. Rev.108 (5), 1614–41. 10.1021/cr078224o. [DOI] [PubMed] [Google Scholar]
- Flanagan T.W.; Nichols C. D. (2018) Psychedelicsas anti-inflammatory agents. Int. Rev. Psychiatry30, 363–375. 10.1080/09540261.2018.1481827. [DOI] [PubMed] [Google Scholar]
- Duerschmied D.; Suidan G. L.; Demers M.; Herr N.; Carbo C.; Brill A.; Cifuni S. M.; Mauler M.; Cicko S.; Bader M.; Idzko M.; Bode C.; Wagner D. D. (2013) Plateletserotonin promotes the recruitment of neutrophils to sites of acuteinflammation in mice. Blood121 (6), 1008–15. 10.1182/blood-2012-06-437392. [DOI] [PMC free article] [PubMed] [Google Scholar]
- Shajib M. S.; Khan W. I. (2015) The role of serotoninand its receptors in activationof immune responses and inflammation. Acta Physiol.213 (3), 561–74. 10.1111/apha.12430. [DOI] [PubMed] [Google Scholar]
- Nichols C.D. (2009) Serotonin5-HT(2A) Receptor Function as a Contributing Factor to Both Neuropsychiatricand Cardiovascular Diseases. Cardiovasc. PsychiatryNeurol.2009, 475108. 10.1155/2009/475108. [DOI] [PMC free article] [PubMed] [Google Scholar]
- Kyzar E. J.; Nichols C. D.; Gainetdinov R. R.; Nichols D. E.; Kalueff A. V. (2017) PsychedelicDrugs in Biomedicine. Trends Pharmacol. Sci.38 (11), 992–1005. 10.1016/j.tips.2017.08.003. [DOI] [PubMed] [Google Scholar]
- Stefulj J.; Jernej B.; Cicin-Sain L.; Rinner I.; Schauenstein K. (2000) mRNA expressionof serotonin receptors in cells of the immune tissues of the rat. Brain, Behav., Immun.14 (3), 219–24. 10.1006/brbi.1999.0579. [DOI] [PubMed] [Google Scholar]
- Nichols D. E. (2016) Psychedelics. Pharmacol. Rev.68 (2), 264–355. 10.1124/pr.115.011478. [DOI] [PMC free article] [PubMed] [Google Scholar]
- Yu B.; Becnel J.; Zerfaoui M.; Rohatgi R.; Boulares A. H.; Nichols C. D. (2008) Serotonin 5-hydroxytryptamine(2A) receptor activationsuppresses tumor necrosis factor-alpha-induced inflammation with extraordinarypotency. J. Pharmacol. Exp. Ther.327 (2), 316–23. 10.1124/jpet.108.143461. [DOI] [PubMed] [Google Scholar]
- Nau F. Jr.; Yu B.; Martin D.; Nichols C. D. (2013) Serotonin5-HT2A receptor activation blocks TNF-alpha mediated inflammationin vivo. PLoS One8 (10), e75426 10.1371/journal.pone.0075426. [DOI] [PMC free article] [PubMed] [Google Scholar]
- Nau F. Jr.; Miller J.; Saravia J.; Ahlert T.; Yu B.; Happel K. I.; Cormier S. A.; Nichols C. D. (2015) Serotonin 5-HT(2)receptor activation prevents allergic asthma in a mouse model. American journal of physiology. Lung cellular and molecularphysiology308 (2), L191–8. 10.1152/ajplung.00138.2013. [DOI] [PMC free article] [PubMed] [Google Scholar]
- Flanagan T. W.; Sebastian M. N.; Battaglia D. M.; Foster T. P.; Cormier S. A.; Nichols C. D. (2019) 5-HT2 receptor activationalleviates airway inflammationand structural remodeling in a chronic mouse asthma model. Life Sci.236, 116790. 10.1016/j.lfs.2019.116790. [DOI] [PubMed] [Google Scholar]
- Flanagan T. W.; Sebastian M. N.; Battaglia D. M.; Foster T. P.; Maillet E. L.; Nichols C. D. (2019) Activation of 5-HT2 Receptors Reduces Inflammationin Vascular Tissue and Cholesterol Levels in High-Fat Diet-Fed ApolipoproteinE Knockout Mice. Sci. Rep.9 (1), 13444. 10.1038/s41598-019-49987-0. [DOI] [PMC free article] [PubMed] [Google Scholar]
- Hope D. B.; Smith A. D. (1960) Distribution andactivity of monoamine oxidase in mousetissues. Biochemical journal74, 101–7. 10.1042/bj0740101. [DOI] [PMC free article] [PubMed] [Google Scholar]
- Shen H. W.; Jiang X. L.; Winter J. C.; Yu A. M. (2010) Psychedelic 5-methoxy-N,N-dimethyltryptamine:metabolism, pharmacokinetics, drug interactions, and pharmacologicalactions. Curr. Drug Metab.11 (8), 659–66. 10.2174/138920010794233495. [DOI] [PMC free article] [PubMed] [Google Scholar]
- Koerner-Rettberg C.; Doths S.; Stroet A.; Schwarze J. (2008) Reduced lung functionin a chronic asthma model is associated with prolonged inflammation,but independent of peribronchial fibrosis. PLoSOne3 (2), e1575 10.1371/journal.pone.0001575. [DOI] [PMC free article] [PubMed] [Google Scholar]
- Locke N. R.; Royce S. G.; Wainewright J. S.; Samuel C. S.; Tang M. L. (2007) Comparisonof airway remodeling in acute, subacute, and chronic models of allergicairways disease. Am. J. Respir. Cell Mol. Biol.36 (5), 625–32. 10.1165/rcmb.2006-0083OC. [DOI] [PubMed] [Google Scholar]
- Haczku A.; Moqbel R.; Elwood W.; Sun J.; Kay A. B.; Barnes P. J.; Chung K. F. (1994) Effects of prolonged repeated exposureto ovalbumin in sensitized brown Norway rats. Am. J. Respir. Crit. Care Med.150 (1), 23–7. 10.1164/ajrccm.150.1.8025754. [DOI] [PubMed] [Google Scholar]
- Elwood W.; Lötvall J. O.; Barnes P. J.; Chung K. F. (1992) Effect of dexamethasoneand cyclosporin A on allergen-induced airway hyperresponsiveness andinflammatory cell responses in sensitized Brown-Norway rats. Am. Rev. Respir. Dis.145 (6), 1289–94. 10.1164/ajrccm/145.6.1289. [DOI] [PubMed] [Google Scholar]
- Tarayre J. P.; Aliaga M.; Barbara M.; Tisseyre N.; Vieu S.; Tisne-Versailles J. (1992) Model of bronchialallergic inflammation in the brownNorway rat. Pharmacological modulation. Int.J. Immunopharmacol.14 (5), 847–55. 10.1016/0192-0561(92)90083-W. [DOI] [PubMed] [Google Scholar]
- Wagner E. M.; Jenkins J.; Schmieder A.; Eldridge L.; Zhang Q.; Moldobaeva A.; Zhang H.; Allen J. S.; Yang X.; Mitzner W.; Keupp J.; Caruthers S. D.; Wickline S. A.; Lanza G. M. (2015) Angiogenesisand airway reactivityin asthmatic Brown Norway rats. Angiogenesis18 (1), 1–11. 10.1007/s10456-014-9441-6. [DOI] [PMC free article] [PubMed] [Google Scholar]
- Namovic M. T.; Walsh R. E.; Goodfellow C.; Harris R. R.; Carter G. W.; Bell R. L. (1996) Pharmacological modulation of eosinophil influx intothe lungs of Brown Norway rats. Eur. J. Pharmacol.315 (1), 81–8. 10.1016/S0014-2999(96)00590-0. [DOI] [PubMed] [Google Scholar]
- Zosky G. R.; Sly P. D. (2007) Animal models of asthma. Clin.Exp. Allergy37 (7), 973–88. 10.1111/j.1365-2222.2007.02740.x. [DOI] [PubMed] [Google Scholar]
- Kucharewicz I.; Bodzenta-Lukaszyk A.; Buczko W. (2008) Experimental asthma in rats. Pharmacol. Rep.60 (6), 783–788. [PubMed] [Google Scholar]
- Elwood W.; Lotvall J. O.; Barnes P. J.; Chung K. F. (1991) Characterizationof allergen-induced bronchial hyperresponsiveness and airway inflammationin actively sensitized brown-Norway rats. J.Allergy Clin. Immunol.88 (6), 951–60. 10.1016/0091-6749(91)90253-K. [DOI] [PubMed] [Google Scholar]
- Palmans E.; Kips J. C.; Pauwels R. A. (2000) Prolongedallergen exposure inducesstructural airway changes in sensitized rats. Am. J. Respir. Crit. Care Med.161, 627–635. 10.1164/ajrccm.161.2.9902094. [DOI] [PubMed] [Google Scholar]
- Nagata A.; Yamada Y.; Nakamura A.; Asano T.; Yamada T.; Isaka M.; Itoh M. (1999) Alteration of endogenouscorticosteroidsand catecholamines in allergen- induced eosinophilic inflammationin Brown Norway rats. Allergol. Int.48 (3), 209–215. 10.1046/j.1440-1592.1999.00136.x. [DOI] [Google Scholar]
- Du T.; Sapienza S.; Wang C. G.; Renzi P. M.; Pantano R.; Rossi P.; Martin J. G. (1996) Effect of nedocromil sodium on allergen-inducedairway responses and changes in the quantity of airway smooth musclein rats. J. Allergy Clin. Immunol.98 (2), 400–7. 10.1016/S0091-6749(96)70164-1. [DOI] [PubMed] [Google Scholar]
- Pini L.; Torregiani C.; Martin J. G.; Hamid Q.; Ludwig M. S. (2006) Airwayremodeling in allergen-challenged Brown Norway rats: distributionof proteoglycans. American journal of physiology.Lung cellular and molecular physiology290 (6), L1052–8. 10.1152/ajplung.00122.2005. [DOI] [PubMed] [Google Scholar]
- Curths C.; Wichmann J.; Dunker S.; Windt H.; Hoymann H. G.; Lauenstein H. D.; Hohlfeld J.; Becker T.; Kaup F. J.; Braun A.; Knauf S. (2014) Airway hyper-responsiveness in lipopolysaccharide-challengedcommon marmosets (Callithrix jacchus). Clin.Sci.126 (2), 155–62. 10.1042/CS20130101. [DOI] [PMC free article] [PubMed] [Google Scholar]
- Krane C. M.; Fortner C. N.; Hand A. R.; McGraw D. W.; Lorenz J. N.; Wert S. E.; Towne J. E.; Paul R. J.; Whitsett J. A.; Menon A. G. (2001) Aquaporin 5-deficient mouse lungs are hyperresponsiveto cholinergic stimulation. Proc. Natl. Acad.Sci. U. S. A.98 (24), 14114–9. 10.1073/pnas.231273398. [DOI] [PMC free article] [PubMed] [Google Scholar]
- Pranzatelli M. R. (1990) Evidencefor involvement of 5-HT2 and 5-HT1C receptors in the behavioral effectsof the 5-HT agonist 1-(2,5-dimethoxy-4-iodophenyl aminopropane)-2(DOI). Neurosci. Lett.115 (1), 74–80. 10.1016/0304-3940(90)90520-J. [DOI] [PubMed] [Google Scholar]
- Schreiber R.; Brocco M.; Audinot V.; Gobert A.; Veiga S.; Millan M. J. (1995) (1-(2,5-dimethoxy-4iodophenyl)-2-aminopropane)-inducedhead-twitches in the rat are mediated by 5-hydroxytryptamine (5-HT)2A receptors: modulation by novel 5-HT2A/2C antagonists, D1 antagonistsand 5-HT1A agonists. J. Pharmacol. Exp. Ther.273 (1), 101–112. [PubMed] [Google Scholar]
- Hawkins M.F.; Uzelac S. M.; Baumeister A. A.; Hearn J. K.; Broussard J. I.; Guillot T. S. (2002) Behavioral responses to stress following central andperipheral injection of the 5-HT(2) agonist DOI. Pharmacol., Biochem. Behav.73 (3), 537–44. 10.1016/S0091-3057(02)00822-5. [DOI] [PubMed] [Google Scholar]
- Elmore J. S.; Decker A. M.; Sulima A.; Rice K. C.; Partilla J. S.; Blough B. E.; Baumann M. H. (2018) Comparativeneuropharmacology ofN-(2-methoxybenzyl)-2,5-dimethoxyphenethylamine (NBOMe) hallucinogensand their 2C counterparts in male rats. Neuropharmacology142, 240–250. 10.1016/j.neuropharm.2018.02.033. [DOI] [PMC free article] [PubMed] [Google Scholar]
- Braun U.; Shulgin A. T.; Braun G.; Sargent T. (1977) 3rd, Synthesis andbody distribution of several iodine-131 labeled centrally acting drugs. J. Med. Chem.20 (12), 1543–6. 10.1021/jm00222a001. [DOI] [PubMed] [Google Scholar]
- Sargent T.; Kalbhen D. A.; Shulgin A. T.; Braun G.; Stauffer H.; Kusubov N. (1975) In vivo human pharmacodynamicsof the psychodysleptic4-BR-2,5-dimethoxyphenylisopropylamine labelled with ‘BRor‘BR. Neuropharmacology14 (3), 165–74. 10.1016/0028-3908(75)90001-5. [DOI] [PubMed] [Google Scholar]
- Beránková K.; Szkutová M.; Balíková M. (2007) Distribution profileof 2,5-dimethoxy-4-bromoamphetamine (DOB) in rats after oral and subcutaneousdoses. Forensic Sci. Int.170 (2–3), 94–9. 10.1016/j.forsciint.2007.03.023. [DOI] [PubMed] [Google Scholar]
- Nichols D. E. (2017) Chemistryand Structure-Activity Relationships of Psychedelics. Curr. Top. Behav. Neurosci.36, 1–43. 10.1007/7854_2017_475. [DOI] [PubMed] [Google Scholar]
- Nichols D. E. (2012) Structure-activityrelationships of serotonin 5-HT2A agonists. WIRES Membrane Transport and Signaling1, 559–579. 10.1002/wmts.42. [DOI] [Google Scholar]
- Shulgin A., Shulgin A., and Nichols D. (1991) PIHKAL(Phenethylamines I have known and loved): a chemical love story, Transform Press, Berkley, CA. [Google Scholar]
- Szabo A.; Kovacs A.; Frecska E.; Rajnavolgyi E. (2014) PsychedelicN,N-dimethyltryptamine and 5-methoxy-N,N-dimethyltryptamine modulateinnate and adaptive inflammatory responses through the sigma-1 receptorof human monocyte-derived dendritic cells. PLoSOne9 (8), e106533 10.1371/journal.pone.0106533. [DOI] [PMC free article] [PubMed] [Google Scholar]
- Mei J.; Pasternak G. W. (2001) Molecular cloning and pharmacological characterizationof the rat sigma1 receptor. Biochem. Pharmacol.62 (3), 349–55. 10.1016/S0006-2952(01)00666-9. [DOI] [PubMed] [Google Scholar]
- Shulgin A. T., and Shulgin A. (1997) Tihkal:the continuation, Transform Press, Berkeley, CA. [Google Scholar]
- McCorvy J. D.; Roth B. L. (2015) Structure and function of serotonin G protein-coupledreceptors. Pharmacol. Ther.150, 129–42. 10.1016/j.pharmthera.2015.01.009. [DOI] [PMC free article] [PubMed] [Google Scholar]
- Foxworth J. W.; Reisz G. R.; Pyszczynski D. R.; Knudson S. M. (1995) Oral clonidine inpatients with asthma: no significant effect on airway reactivity. Eur. J. Clin. Pharmacol.48 (1), 19–22. 10.1007/BF00202166. [DOI] [PubMed] [Google Scholar]
- Committee for the Update of theGuide for the Care and Useof Laboratory Animals . (2011) Guidefor the Care and Use of Laboratory Animals, 8th ed., National Academies Press, Washington, DC. [Google Scholar]
- Lai Y.-T.; Huang Y.-S. (2017) Modification and Application of a Commercial Whole-bodyPlethysmograph to Monitor Respiratory Abnormalities in Neonatal Mice. Bio-protocol7 (12), e2343 10.21769/BioProtoc.2343. [DOI] [PMC free article] [PubMed] [Google Scholar]
- Lai Y. T.; Su C. K.; Jiang S. T.; Chang Y. J.; Lai A. C.; Huang Y. S. (2016) Deficiency of CPEB2-Confined Choline AcetyltransferaseExpression in the Dorsal Motor Nucleus of Vagus Causes HyperactivatedParasympathetic Signaling-Associated Bronchoconstriction. J. Neurosci.36 (50), 12661–12676. 10.1523/JNEUROSCI.0557-16.2016. [DOI] [PMC free article] [PubMed] [Google Scholar]
- Pazhoohan S.; Raoufy M. R.; Javan M.; Hajizadeh S. (2017) Effect ofRho-kinase inhibition on complexity of breathing pattern in a guineapig model of asthma. PLoS One12 (10), e0187249 10.1371/journal.pone.0187249. [DOI] [PMC free article] [PubMed] [Google Scholar]
- Kirschvink N.; Vincke G.; Fievez L.; Onclinx C.; Wirth D.; Belleflamme M.; Louis R.; Cataldo D.; Peck M. J.; Gustin P. (2005) Repeated cadmiumnebulizations induce pulmonary MMP-2and MMP-9 production and emphysema in rats. Toxicology211 (1–2), 36–48. 10.1016/j.tox.2005.02.012. [DOI] [PubMed] [Google Scholar]
- Michielsen C. P.; Leusink-Muis A.; Vos J. G.; Bloksma N. (2001) Hexachlorobenzene-inducedeosinophilic and granulomatous lung inflammation is associated within vivo airways hyperresponsiveness in the Brown Norway rat. Toxicol. Appl. Pharmacol.172 (1), 11–20. 10.1006/taap.2001.9126. [DOI] [PubMed] [Google Scholar]
- Hamelmann E.; Schwarze J.; Takeda K.; Oshiba A.; Larsen G. L.; Irvin C. G.; Gelfand E. W. (1997) Noninvasivemeasurement of airwayresponsiveness in allergic mice using barometric plethysmography. Am. J. Respir. Crit. Care Med.156, 766–775. 10.1164/ajrccm.156.3.9606031. [DOI] [PubMed] [Google Scholar]
- Djuric V. J.; Cox G.; Overstreet D. H.; Smith L.; Dragomir A.; Steiner M. (1998) Genetically transmittedcholinergic hyperresponsivenesspredisposes to experimental asthma. Brain, Behav.,Immun.12 (4), 272–84. 10.1006/brbi.1998.0538. [DOI] [PubMed] [Google Scholar]
- Bates J.; Irvin C.; Brusasco V.; Drazen J.; Fredberg J.; Loring S.; Eidelman D.; Ludwig M.; Macklem P.; Martin J.; Milic-Emili J.; Hantos Z.; Hyatt R.; Lai-Fook S.; Leff A.; Solway J.; Lutchen K.; Suki B.; Mitzner W.; Pare P.; Pride N.; Sly P. (2004) The use and misuse of Penh in animal models of lung disease. Am. J. Respir. Cell Mol. Biol.31 (3), 373–4. 10.1165/ajrcmb.31.3.1. [DOI] [PubMed] [Google Scholar]
- Enhorning G.; van Schaik S.; Lundgren C.; Vargas I. (1998) Whole-body plethysmography,does it measure tidal volume of small animals?. Can. J. Physiol. Pharmacol.76 (10–11), 945–951. 10.1139/y99-002. [DOI] [PubMed] [Google Scholar]
- Lomask M. (2006) Further explorationof the Penh parameter. Exp. Toxicol. Pathol.57, 13–20. 10.1016/j.etp.2006.02.014. [DOI] [PubMed] [Google Scholar]
- Pauluhn J. (2003) Respiratoryhypersensitivity to trimellitic anhydride in Brown Norway rats: analysisof dose-response following topical induction and time course followingrepeated inhalation challenge. Toxicology194 (1–2), 1–17. 10.1016/S0300-483X(03)00285-3. [DOI] [PubMed] [Google Scholar]
- Chong B. T.; Agrawal D. K.; Romero F. A.; Townley R. G. (1998) Measurementof bronchoconstrictionusing whole-body plethysmograph: comparison of freely moving versusrestrained guinea pigs. J. Pharmacol. Toxicol.Methods39 (3), 163–8. 10.1016/S1056-8719(98)00021-5. [DOI] [PubMed] [Google Scholar]
- Hirt R. A.; Vondrakova K.; de Arespacochaga A. G.; Gutl A.; van denHoven R. (2007) Effects of cadmium chloride inhalation on airflow limitation to histamine,carbachol and adenosine 5′-monophosphate assessed by barometricwhole body plethysmography in healthy dogs. Vet. J.173 (1), 62–72. 10.1016/j.tvjl.2005.09.016. [DOI] [PubMed] [Google Scholar]
- Arts J. H.; Bloksma N.; Leusink-Muis T.; Kuper C. F. (2003) Respiratory allergyand pulmonary irritation to trimellitic anhydride in Brown Norwayrats. Toxicol. Appl. Pharmacol.187 (1), 38–49. 10.1016/S0041-008X(02)00023-6. [DOI] [PubMed] [Google Scholar]
- Vogin E.E.; Goldhamer R.E.; Scheimberg J.; Carson S.; Boxill G.C. (1970) Teratologystudies in rats and rabbits exposed to an isoproterenol aerosol. Toxicol. Appl. Pharmacol.16 (2), 374–381. 10.1016/0041-008X(70)90008-6. [DOI] [PubMed] [Google Scholar]
- Kondo T.; Ogawa Y.; Sugiyama S.; Ito T.; Satake T.; Ozawa T. (1987) Mechanism of isoproterenol inducedmyocardial damage. Cardiovasc. Res.21 (4), 248–54. 10.1093/cvr/21.4.248. [DOI] [PubMed] [Google Scholar]
- You D.; Ripple M.; Balakrishna S.; Troxclair D.; Sandquist D.; Ding L.; Ahlert T. A.; Cormier S. A. (2008) InchoateCD8+ T cell responses in neonatal mice permit influenza-induced persistentpulmonary dysfunction. J. Immunol.181 (5), 3486–94. 10.4049/jimmunol.181.5.3486. [DOI] [PMC free article] [PubMed] [Google Scholar]
- Braden M. R.; Parrish J. C.; Naylor J. C.; Nichols D. E. (2006) MolecularInteraction of Serotonin 5-HT2A Receptor Residues Phe339(6.51) and Phe340(6.52) with Superpotent 6N-BenzylPhenethylamine Agonists. Mol. Pharmacol.70, 1956–1964. 10.1124/mol.106.028720. [DOI] [PubMed] [Google Scholar]
Associated Data
This section collects any data citations, data availability statements, or supplementary materials included in this article.








