
Pleural Effusion in Adults—Etiology, Diagnosis, and Treatment
Berthold Jany,Prof. Dr. med.
Tobias Welte,Prof. Dr. med.
*Julius-Maximilians-Universität Würzburg Klinikum Würzburg Mitte, Standort Missioklinik Pneumologie Adalbert-Stifter-Weg 16, D-97082 Würzburg, Germany
Received 2019 Jan 14; Accepted 2019 May 6; Issue date 2019 May.
Abstract
Background
Pleural effusion is common in routine medical practice and can be due to many different underlying diseases. Precise differential diagnostic categorization is essential, as the treatment and prognosis of pleural effusion largely depend on its cause.
Methods
This review is based on pertinent publications retrieved by a selective search in PubMed and on the authors’ personal experience.
Results
The most common causes of pleural effusion are congestive heart failure, cancer, pneumonia, and pulmonary embolism. Pleural fluid puncture (pleural tap) enables the differentiation of a transudate from an exudate, which remains, at present, the foundation of the further diagnostic work-up. When a pleural effusion arises in the setting of pneumonia, the potential development of an empyema must not be overlooked. Lung cancer is the most common cause of malignant pleural effusion, followed by breast cancer. Alongside the treatment of the underlying disease, the specific treatment of pleural effusion ranges from pleurodesis, to thoracoscopy and video-assisted thoracoscopy (with early consultation of a thoracic surgeon), to the placement of a permanently indwelling pleural catheter.
Conclusion
The proper treatment of pleural effusion can be determined only after meticulous differential diagnosis. The range of therapeutic options has recently become much wider. More data can be expected in the near future concerning diagnostic testing for the etiology of the effusion, better pleurodetic agents, the development of interventional techniques, and the genetic background of the affected patients.
Pleural effusion, the pathological accumulation of fluid in the pleural space, is very common. It can be estimated, on the basis of registry data from the United States, that some 400 000 to 500 000 persons per year in Germany suffer from this condition (precise German figures are unavailable). Its causes vary widely, ranging from fairly harmless effusions accompanying viral pleuritis to prognostically highly relevant ones due to congestive heart failure or cancer. Patients with a non-malignant pleural effusion have a one-year mortality in the range of 25% to 57% (1). The need to treat a pleural effusion and the therapeutic options for it are largely a function of its cause, which thus needs to be precisely determined in every case.
The incidence of pleural effusion.
It can be estimated, on the basis of registry data from the United States, that some 400 000 to 500 000 persons per year in Germany suffer from pleural effusion.
Learning objectives
This article should enable the reader, whatever his or her medical specialty, to:
name the potential causes and differential diagnoses of pleural effusion;
know the most important steps in the diagnostic evaluation, depending on the likely cause; and
gain an overview of the current therapeutic options.
Physiology and pathophysiology
The spectrum of causes.
The causes of pleural effusion vary widely, ranging from fairly harmless effusions accompanying viral pleuritis to prognostically highly relevant ones due to congestive heart failure or cancer.
Both the visceral and the parietal pleura play an important role in fluid homeostasis in the pleural space. The mean rate of both the production and the absorption of pleural fluid is normally 0.2 mL/kg/hr, which implies that the entire volume of the pleural fluid normally turns over within one hour (2). The parietal side of the pleura accounts for most of the production of pleural fluid, and for most of its resorption as well. Pleural effusion due to left-heart failure is an exception to this rule, in which the fluid comes from the visceral pleura. The volume of the pleural fluid is determined by the balance of the hydrostatic and oncotic pressure differences that are present between the systemic and pulmonary circulation and the pleural space (2). Pleural fluid is resorbed via lymphatic vessels in the parietal pleura. The flow in these vessels can increase by a factor of 20 if more than the usual amount of pleural fluid is produced; thus, the pleural lymphatic resorbing system has a large reserve capacity. In health, the production and resorption of pleural fluid are at equilibrium. A pleural effusion represents a disturbance of this equilibrium, probably because of both increased production and decreased resorption. Low oncotic pressure (e.g., in hypoalbuminemia), elevated pulmonary capillary pressure, increased permeability, lymphatic obstruction, and diminished negative intrapleural pressure are all pathophysiological components that lead to the clinically relevant and distinguishing features of a pleural effusion—transudate vs. exudate.
Clinical presentations
The presenting manifestations of pleural effusion are largely determined by the underlying disease (table 1). Many patients have no symptoms that can be traced solely to the effusion itself. Such symptoms, if present, reflect an inflammatory response of the pleura, a restriction of pulmonary mechanics, or a disturbance of gas exchange.
Table 1. The most common causes of pleural effusion*.
| Congestive heart failure | transudate | – history of heart disease– edema, hypoxia |
| Cancer | exudate | – history of cancer(lung, breast; lymphoma)– intrathoracic mass |
| Bacterial pneumonia | exudate | – cough– fever– infiltrate |
| Pulmonary embolism | transudate or exudate | – dyspnea– immobilization– pleuritic chest pain |
* Characterization by Light criteria and clinical features (after Refs. 8, 14, 28)
Clinical presentation.
The presenting manifestations of pleural effusion are largely determined by the underlying disease. Congestive heart failure is the most common cause.
Dyspnea.
The most common symptom of pleural effusion is dyspnea. The severity of dyspnea is only loosely correlated with the size of the effusion.
The most common symptom arising from a pleural inflammatory response is pleuritic pain, which is mediated by the parietal pleura (the visceral pleura contains no nociceptors or nociceptive nerve fibers). The pain is usually felt in the region of the pathological abnormality, and it is often linked to the respiratory cycle. Such localized pleuritic pain improves or disappears as soon as a pleural effusion arises. Some patients describe a diffuse, painful sensation of pressure in the chest—particularly when the pathological process directly involves the parietal pleura, e.g., in the case of a pleural empyema, a primary malignant tumor, or pleural carcinomatosis. Pleural effusions in these situations are usually of the exudative type.
The most common symptom of pleural effusion is dyspnea. The severity of dyspnea is only loosely correlated with the size of the effusion (3). Large pleural effusions take up space in the chest that is normally filled by pulmonary parenchyma and are thus associated with a diminution of all lung volumes. Nor do the lung volumes immediately change when a pleural effusion (even a large one) is drained. The rapid clinical improvement of dyspnea after a pleural effusion is drained probably reflects the transition to a more favorable length-tension curve of the respiratory muscles, particularly the diaphragm (3).
Some patients complain of a dry cough, which can be explained as a manifestation of pleural inflammation or lung compression due to a large effusion. Pleural effusions can also markedly impair the quality of sleep (4).
The importance of the clinical history
After the initial determination that either a unilateral or a bilateral pleural effusion is present, the clinical history is very important. The patient should be asked about respiratory infections in the recent past, fever, weight loss, and malaise. The temporal course is highly relevant as well: Did the symptoms arise rapidly or over a longer time, perhaps over several weeks? What other, chronic illnesses does the patient have? Information about any history of heart disease is essential, as congestive heart failure is the commonest cause of bilateral pleural effusion. Some 75% of patients with pulmonary embolism and pleural effusion complain of pleuritic chest pain (5). The final important components of the clinical history are the drugs currently taken and any prior exposure to asbestos.
Physical examination
The breath sounds are uni- or bilaterally diminished or absent at the bases, and there is basal dullness to percussion. Tachypnea may be present if the effusion is large. A pleural rub can sometimes be heard in the initial stage of a parapneumonic effusion. In clinical practice, the determination whether a pleural effusion is uni- or bilateral is generally made from a chest x-ray. The history and physical examination serve as a guide to further testing and can often suggest with high accuracy whether a transudate or an exudate is present. If, for example, the patient displays the clinical signs of congestive heart failure, with peripheral edema, tachycardia, a third heart sound, distended neck veins, and bilateral dullness to percussion at the lung bases, then a pleural effusion of cardiac origin is highly likely, and we are thus probably dealing with a transudate rather than an exudate. In this situation, a diagnostic pleural tap can generally be dispensed with, and the treatment of the underlying illness is the main consideration.
If the examination reveals ascites in a patient with known hepatic cirrhosis along with evidence of a bilateral pleural effusion, hepatic hydrothorax is likely.
Lung volumes.
Large pleural effusions take up space in the chest that is normally filled by pulmonary parenchyma and are thus associated with a diminution of all lung volumes.
Chest x-ray.
In clinical practice, the determination whether a pleural effusion is uni- or bilateral is generally made from a chest x-ray.
The situation is different when unilateral dullness to percussion points to a likely unilateral pulmonary effusion. The differential diagnosis is often difficult in such cases, and the probability of an exudate is much higher.
The causes of pleural effusion
Pleural effusion has a wide differential diagnosis. Its most common causes are congestive heart failure, cancer, pneumonia, and pulmonary embolism. A delayed etiological diagnosis can be associated with markedly higher morbidity and mortality, e.g., if the patient develops a pulmonary empyema on the basis of a parapneumonic effusion. The degree of prognostic relevance of a pleural effusion ranges all the way from innocuous (as when a pleural effusion is an accompanying radiological finding in a patient with viral pneumonia) to very serious (as in pulmonary embolism with secondary effusion formation, a diagnosis that is not infrequently missed).
Non-malignant pleural infusions are not infrequently indicators of a poor prognosis in patients with cardiac, renal, or hepatic failure, with a one-year mortality of 57%, 46%, and 25%, respectively (1).
A number of rarer diseases can be associated with pleural effusion, almost always of the exudative type. 30–50% of patients with systemic lupus erythematosus have a pleural effusion (“polyserositis”). Pleural effusion is also not infrequently seen in patients suffering from granulomatosis with polyangiitis (Wegener disease), rheumatoid arthritis, and Langerhans-cell granulomatosis (5).
21% of patients suffering from idiopathic and familial pulmonary hypertension (iPAH und fPAH) have a pleural effusion, mostly unilateral (6).
Multimorbidity.
In view of the aging of the population and the correspondingly increasing prevalence of multimorbidity, pleural effusions often have more than one cause.
One of the more common causes of unexplained pleural effusion is pulmonary embolism. 20–55% of patients with pulmonary embolism have a pleural effusion. The frequency of pleural effusion in pulmonary embolism is correlated with the severity of the embolism and with the occurrence of pulmonary infarction. Clinically, these patients are characterized by an apparent discrepancy between the volume of the effusion, which is often not very large, and the severe accompanying dyspnea (7).
An attempt is generally made to trace an unexplained pleural effusion to a single cause. In view of the aging of the population and the correspondingly increasing prevalence of multimorbidity, a prospective observational study was carried out to investigate the question of monocausality of pleural effusions. Bintcliffe et al. found that 70% of 126 patients with a pleural effusion did, indeed, have a single cause for it, but 30% had more than one cause. Multifactorial pleural effusion can present a diagnostic and therapeutic challenge (8) (Tables 1 and2).
Table 2. The differential diagnosis of pleural effusion depending on type(transudate or exudate) (after Refs. 5, 8, 28).
| Transudate | |
| Congestive heart failure | often bilateral |
| Hepatic cirrhosis | hepatic hydrothorax |
| Nephrotic syndrome | hypoalbuminuria |
| Pulmonary embolism | exudate also possible |
| Myxedema | rare |
| Sarcoidosis | rare |
| Exudate | |
| Cancer | pleural metastasis lung cancer breast cancer |
| mesothelioma | |
| Infection in pleural space | parapneumonic, i.e., accompanying pneumonia (community-acquired or nosocomial) |
| empyema | |
| tuberculosis | |
| Pulmonary embolism | transudate also possible |
| Gastrointestinal disease | pancreatitis |
| intra-abdominal abscess | |
| esophageal perforation | |
| Rheumatic disease, vasculitis | rheumatoid arthritis |
| systemic lupus erythematosus | |
| Sjögren syndrome | |
| amyloidosis | |
| granulomatosis with polyangiitis (Wegener disease) | |
| systemic sclerosis | |
| Lymphangioleiomyomatosis | |
| Langerhans cell granulomatosis | |
| Meigs syndrome | |
| Drugs | |
| Radiation-induced | |
| Hematothorax | |
| Chylothorax (not covered in this review!) | chylous fluid obtained by puncture |
Drugs, too, can cause pleural effusion. Some that have been identified as causes include nitrofurantoin, dantrolene, methysergide, amiodarone, interleukin-2, procarbazine, methotrexate, clozapine, phenytoin, and beta-blockers. Physicians suspecting pleural effusion caused by a drug can consultwww.pneumotox.com for further useful information.
Imaging techniques
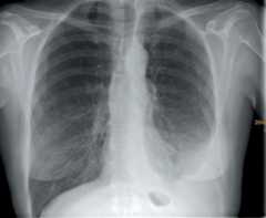
If a pleural effusion is suspected, a chest x-ray should be obtained (Figure 1) (9). A postero-anterior view reveals effusions of volume 200 mL or larger, a lateral view effusions of volume 50 mL or larger. A lateral decubitus view can be used to confirm the free flow of the effusion around the lung.
Figure 1:
Chest x-ray of a 59-year-old woman with a left-sided pleural effusion. Further work-up revealed a pleural mesothelioma as the cause.
Radiology Dept., Klinikum Würzburg Mitte, with the kind permission of Prof. H.-J. Langen
Chest ultrasound is very useful (10) and is better than computerized tomography (CT) at revealing pleural septa. This is especially important if multiple punctures are needed. Ultrasound-assisted pleural puncture markedly lowers the risk of iatrogenic pneumothorax, with an odds ratio of 0.3 95% confidence interval [0.2; 0.7] ((11, (12). Ultrasound is particularly helpful for critically ill or ventilated patients in the supine position—a situation in which chest x-ray is less sensitive (13).
Imaging studies.
If a pleural effusion is suspected, a chest x-ray should be obtained. Chest ultrasound is better than computerized tomography (CT) at revealing pleural septa.
Chest CT reveals pleural effusions that cannot be seen on conventional chest x-rays. It can distinguish pleural fluid from pleural tissue proliferation, and it provides clues to the potential causes of the effusion (pneumonia, cancer, pulmonary embolism). If possible, it should be performed after an initial puncture with drainage of the effusion, because the effusion itself may hide relevant underlying pleural and pulmonary pathology. Chest CT with contrast is particularly useful in the diagnosis of pleural empyema and the delimitation of lung abscesses. Imaging criteria for distinguishing benign from malignant pleural changes have been prospectively validated (9), but chest CT cannot be used to distinguish pleural carcinosis from mesothelioma.
Indications for thoracentesis
A diagnostic puncture of a pleural effusion to obtain a small quantity of fluid (ca. 50 mL) is always indicated when the cause of the effusion is unclear. Puncture to obtain larger volumes is indicated to relieve effusion-related symptoms, such as dyspnea (9,10). Timely thoracentesis or the insertion of a pleural drain is necessary if a pleural effusion is large and leads to respiratory or cardiac decompensation. An effusion in a patient with pneumonia should be tapped to rule out pleural empyema (14,15).
Patients with bilateral pleural effusions do not always need to have a diagnostic or therapeutic tap; rather, any underlying disease that has been identified (congestive heart failure, nephrotic syndrome, etc.) should be treated. A diagnostic puncture is indicated if the patient has pleuritic chest pain, symptoms that are out of proportion to the size of the effusion, or an unexplained lack of response to treatment (9).
The puncture should be carried out under ultrasonographic guidance (10,12).
The risk of iatrogenic pneumothorax after thoracentesis is 0.61–6.0 %. It is recommended that the patient be closely observed for 1–4 hr after the intervention, as pneumothorax usually becomes clinically evident during this time. For the same reason, a chest x-ray is generally not needed after thoracentesis as long as no new symptoms arise (11)
The tapping of pleural effusions under ultrasonic guidance plays an important role in intensive-care medicine, particularly in intubated and ventilated patients and for the diagnostic evaluation of smaller effusions of unknown cause (13)
Puncture for pleural effusion
Except in emergency situations (marked dyspnea, suspected pleural empyema), punctures for pleural effusion should be carried out during normal working hours, because punctures at other times are associated with higher procedure-related risks (pneumothorax, infection) (10).
Diagnostic puncture.
A diagnostic puncture of a pleural effusion to obtain a small quantity of fluid (ca. 50 mL) is always indicated when the cause of the effusion is unclear.
Punctures or drain insertions that do not have to be performed on an emergency basis should be carried out in the setting of an INR that is less than 1.5. A current chest x-ray should be available, and the intervention should be performed under ultrasonographic guidance.
The puncture is performed under aseptic technique, generally with a 21-gauge needle and a 50 mL syringe outfitted with a three-way stopcock. Commercially available systems are helpful (10).
If pH measurement is indicated, a heparinized blood-gas syringe is used, which is kept closed until the measurement. The removed fluid is divided into aliquots for microbiological (5 mL), biochemical (2–5 mL), and cytological (20–40 mL) analysis. Blood-culture bottles increase the sensitivity for the detection of bacterial pathogens, especially anaerobes. Sending pleural fluid in blood-culture bottles is not recommended for the detection of Mycobacterium tuberculosis (16).
Analysis of the pleural fluid
Macroscopic appearance
Decompensation.
Timely thoracentesis or the insertion of a pleural drain is necessary if a pleural effusion is large and leads to respiratory or cardiac decompensation.
The gross appearance of the fluid may already provide clues to the diagnosis. Milky fluid is typical of chylothorax, pus is proof of empyema, and a bloody effusion is more common when a malignancy is the cause (as long as the tap itself has not caused iatrogenic bleeding). Chylothorax can be distinguished from empyema by centrifugation: chylous fluid remains milky, but empyema fluid displays a clear supernatant (17).
Distinguishing transudates from exudates
Whether a pleural effusion is a transudate or an exudate determines its further evaluation and treatment (18). Lactate dehydrogenase (LDH) and protein are measured in order to differentiate the two possibilities. The distinguishing criteria have proven their worth in many years of use (19) and are 99.5% sensitive for the diagnosis of an exudate. They can correctly tell the difference between a transudate and an exudate in 93–96% of cases (9,20). Cholesterol measurement can also help: a cholesterol concentration above 55 mg/dL combined with an LDH concentration above 200 U/mL is highly specific for the presence of an exudate.
It must be borne in mind, however, that diuretic drugs given to treat congestive heart failure can elevate the concentrations of protein, LDH, and lipids in a pleural effusion, and that obtainng effusion fluid by pleural tap after cardiac decompensation has already occurred can lead to the incorrect identification of an exudate, which will be followed by further unnecessary diagnostic testing (9).
pH values
If an infectious cause is suspected for a non-purulent pleural effusion, its pH should be tested by an appropriate method. Pleural fluid acidosis is found in complicated pleural infections, tuberculosis, rheumatoid arthritis, and malignant effusions. Among patients with malignant effusions, acidosis of the effusion fluid is correlated with shorter survival; these patients generally have more extensive disease and a lower chance of successful pleurodesis (21). If the pH is less than 7.2, a pleural drain should be inserted without delay, even if the effusion is clearly of parapneumonic origin (15). A meta-analysis (18) has shown that low pH is the best indicator of a complicated course of parapneumonic pleural effusion.
Transudate or exudate.
Whether a pleural effusion is a transudate or an exudate determines its further evaluation and treatment.
Acidosis.
Pleural fluid acidosis is found in complicated pleural infections, tuberculosis, rheumatoid arthritis, and malignant effusions.
Glucose, amylase
The glucose concentration is normally the same in pleural fluid as in the blood. A low glucose concentration in a pleural effusion is found in empyema, tuberculosis, malignancy, and rheumatoid arthritis (9). One in two patients with acute pancreatitis has a pleural effusion with an elevated amylase concentration (9).
NTproBNP
N-terminal pro-B-type natriuretic peptide, or NTproBNP for short, is a sensitive biomarker for systolic and diastolic heart failure, and its concentrations in the blood and in pleural effusion fluid are very closely correlated. Even if an effusion is found to be of the exudative type, an elevated NTproBNP level makes it very likely that congestive heart failure is the cause. Measurement of the NTproBNP level in peripheral blood suffices in most cases. A negative NTproBNP finding in the blood rules out congestive heart failure as the cause of a pleural effusion with near-absolute certainty (22).
Differential blood-cell count
A differential blood-cell count in the pleural effusion fluid can further narrow down the differential diagnosis. An elevated concentration of neutrophils is often seen in acute processes, such as parapneumonic effusion, empyema, and effusion due to pulmonary embolism. On the other hand, a predominantly lymphocytic picture is more common in tuberculosis, longstanding pleural effusions, congestive heart failure, or malignant etiology (9). Nonetheless, the differential blood-cell count in the pleural fluid alone does not enable precise determination of the cause of the effusion.
Microbiological diagnostic evaluation
Gram staining can help identify the underlying pathogen. The microbiological identification of a pathogenic organism in a non-purulent parapneumonic effusion succeeds in only 25% of cases (23). Microbiological investigation yields a large percentage of false-negative findings.
Application of the polymerase chain reaction (PCR) with use of the 16S-rRNA gene improves sensitivity compared to conventional culture techniques (24,25).
If tuberculous pleuritis is suspected, microbiological examination and culture should be performed (16). If possible, 30–50 mL of fresh, untreated puncture fluid should be sent for mycobacterial diagnostic testing (caveat: not in blood-culture bottles) (16).
Differential blood-cell count.
A differential blood-cell count in the pleural effusion fluid can help narrow down the differential diagnosis. Nonetheless, the differential blood-cell count alone does not enable precise determination of the cause.
The number of tubercle bacilli in the pleural fluid is usually low. Microbiological examination has less than 5% sensitivity for the detection of acid-fast bacilli; culture yields a somewhat higher sensitivity of 10–20 % (9). PCR is often insufficiently informative because there are endogenous inhibitor substances in the effusion fluid (16). In unclear cases, further invasive diagnostic procedures must be performed, e.g., pleural biopsy or video-assisted thoracoscopy (VATS) with culture and histological detection of caseating epithelioid-cell granulomata.
Cytology
In approximately 50% of lung cancers (26) and 60% of all cancers taken together (9), the malignant nature of a pleural effusion can be confirmed cytologically. The yield of positive tumor diagnoses is highest for adeno-carcinoma and lower for mesothelioma, squamous-cell carcinoma, lymphoma, and sarcoma. A 20–60 mL sample of the effusion fluid should be sent for cytological examination. The medium to be used should be ascertained in advance by communication with the cytopathology laboratory. For the diagnosis of mesothelioma, histological examination is always advisable.
Tumor markers
There is insufficient evidence to support the routine measurement of tumor markers in pleural effusion fluid, or of serum tumor markers, for the etiological categorization of pleural effusions of unclear origin. The role of mesothelin in patients with mesothelioma cannot yet be conclusively judged. In one study, the use of a multiplex protein biochip with 120 biomarkers enabled the differentiation of a malignant from a tuberculous effusion, and of an effusion due to adenocarcinoma of the lung from one due to mesothelioma (27) (Box,Table 3,Figure 2).
eBox 1. Special considerations in malignant pleural effusion: pleurodesis and tunneled pleural catheters.
Fluid is removed in a controlled manner via an intercostally inserted drain. A volume of up to 1.5 L can be removed again after a 2-hour interval. Post-expansion pulmonary edema is a recognized problem but arises rarely (<1%) if less than 1.5 L of fluid is removed. After full expansion of the lung, lidocaine is instilled into the pleural space, followed by 4–5 g of sterile talcum in 50 mL normal saline. The catheter is clamped shut for 1–2 hours and removed in 24–48 hours (30).
According to a Cochrane analysis, talcum is now the preferred pleurodetic agent because of its high efficacy (37). Tetracycline and bleomycin are still used, but are less effective (26). Successful pleurodesis depends on complete pulmonary re-expansion with approximation of the parietal and visceral pleura. Adequate analgesia is important, because pleurodesis is painful. Suction to empty the pleural space is not always necessary; if used, it should be no higher than -20 cmH2O. The patient need not be turned after instillation of the pleurodetic agent.
Thoracoscopic pleurodesis with talcum powder is suitable for patients with adequate performance status. It is safe and has few complications. If video-assisted thoracoscopy is performed for a diagnostic indication and confirms the neoplastic origin of the effusion, pleurodesis can be performed immediately in the same procedure (30).
A increasingly used method in recent years for patients with recurrent malignant pleural effusion is the insertion of an indwelling, tunneled pleural catheter attached to a vacuum flask. This enables long-term treatment of the effusion with little impairment of the quality of life. It is safe and can be performed on an outpatient basis as well.
In case of a trapped lung, i.e., inadequate lung expansion or hydropneumothorax after drainage of a malignant effusion, specific treatment is indicated. Drainage lessens pressure on the surrounding tissue and makes the diaphragm more mobile, thereby improving respiratory mechanics and relieving dyspnea. Surgical decortication is another therapeutic option to be considered. Talcum pleurodesis and long-term catheter drainage are comparably effective, but patients with pleural catheters have fewer hospital admissions (38).
For patients with adequate lung expansion after drainage of a malignant effusion, a prospective, randomized trial has shown a higher success rate with a pleural catheter combined with talcum pleurodesis (43%) than with a catheter alone (23%) (39).
Table 3. Pleural puncture: the analysis of pleural effusion fluid (modified from ref. 9).
| Recommended tests for any diagnostic pleural puncture | |
| Lactate dehydrogenase (LDH) and protein | 3–5 mL; blood drawing in parallel as per Light criteria |
| Microscopy and culture | 5 mL; aerobic/anaerobic blood culture flasks where indicated |
| Cytology, differental blood-cell count | remaining volume of punctate |
| Recommended tests in case of particular clinical suspicion | |
| pH | suspected infection despite non-purulent effusion; in a heparinized blood-gas syringe |
| Glucose | suspected rheumatic disease |
| Acid-fast bacilli; culture for M. tuberculosis; PCR | 30–50 mL; suspected tuberculous pleuritis; untreated fluid, not in a blood-culture flask |
| Triglycerides and cholesterol | chylothorax |
| Amylase | pancreatitis |
| Hematocrit | hematothorax; EDTA tube |
EDTA, ethylenediaminetetraacetate; M., Mycobacterium; PCR, polymerase chain reaction
Figure 2.
Practical diagnostic/therapeutic algorithm for pleural effusion
CHF, congestive heart failure; CT, computerized tomography; LDH, lactate dehydrogenase;
NTproBNP, N-terminal pro-B-type natriuretic peptide
The need for further diagnostic studies
Malignant pleural effusion.
Lung cancer is the most common cause of malignant pleural effusion, accounting for more than one-third of cases, followed by breast cancer (16.8%) and malignant lymphoma (11.5%).
If the imaging findings and the analysis of the pleural effusion fluid are inconclusive, pleural biopsy may be needed. CT-guided needle biopsy of the pleura is markedly more sensitive for the diagnosis of malignant pleural changes than the previously common biopsy procedure with an Abrams needle (9).
If a patient is already known to have lung cancer with a pleural effusion, but no malignant cells are found in the tapped pleural effusion fluid, a VATS or “internal-medical” thoracoscopy should be performed before any local treatment with curative intent (surgery, radiotherapy) (26). Thoracoscopy has the advantage of enabling direct inspection of the pleural surface, targeted tissue sampling, and, if necessary, pleurodesis (a procedure causing the two pleural surfaces to adhere to each other).
If the patient simultaneously has hemoptysis, bronchial obstruction, or an intrapulmonary mass seen on a thoracic imaging study, bronchoscopy is indicated.
The special features of malignant pleural effusion
A pleural effusion in a patient with cancer is associated with a poor prognosis, but this is highly variable. Patients with hematologic malignancies or pleural mesothelioma live almost a year on average, while patients with lung cancer have the worst prognosis, with an average survival time of only 2–3 months (28). The LENT score enables a sufficiently precise stratification into high-, intermediate-, and low-risk groups; this can aid in decision-making regaqrding the invasiveness of further treatment (29).
Most malignant pleural effusions cause symptoms, and the spatial extent of pleural effusions is correlated with the probability of malignant disease, i.e., the larger a (unilateral) effusion is, the more likely that cancer is the cause. Lung cancer is the most common cause, accounting for more than one-third of cases, followed by breast cancer (16.8%) and malignant lymphoma (11.5%). The choice among the available treatment options should be made on the basis of the symptoms, clinical condition of the patient, type of tumor, response to systemic treatment, and re-expansion of the lung after a therapeutic tap. These options include:
expectant management (watching and waiting),
therapeutic emptying of the pleural space by puncture,
insertion of a pleural drain and instillation of a pleurodetic agent,
pleurodesis via thoracoscopy, and
insertion of a pleural catheter.
Pleural biopsy.
If the imaging findings and the analysis of the pleural effusion fluid are inconclusive, pleural biopsy may be needed for the further evaluation of malignant pleural changes.
Therapeutic puncture is always indicated for patients who are acutely dyspneic because of a large effusion. No more than 1.5 L of effusion fluid should be removed at one time. Therapeutic puncture is usually followed by recurrence of the effusion, and thus pleurodesis is indicated for patients whose life expectancy is greater than 1 month. Repeated pleural punctures are not only stressful for the patient; they also very commonly lead to the formation of adhesions and to loculation of the effusion, so that complete emptying is no longer possible (Table 4; see eBox 1 for details on pleurodesis and tunneled pleural catheters).
Table 4. Relative frequencies of types of primary malignancy causing malignant pleural effusion, n = 2040 (ref. 30).
| Type of malignancy | n (%) |
| Lung cancer | 764 (37.5%) |
| Breast cancer | 343 (16.8%) |
| Lymphoma | 234 (11.5%) |
| Gastrointestinal cancers | 141 (6.9%) |
| Gynecological/urological cancers | 191 (9.4%) |
| Other | 148 (7.8%) |
| Unknown primary malignancy | 219 (10.7%) |
The special features of pleural infections
Patients with pneumonia who additionally develop a parapneumonic pleural effusion have a higher mortality (31). The same is true to an even larger extent of pleural empyema, a condition whose incidence is increasing (32,33). The mortality of nosocomial pleural infections is significantly higher than that of community-acquired ones (47 % versus 17 % [34]). Delays in the diagnosis of an empyema and delays of proper drainage treatment are especially dangerous. These measures must be taken without delay after antibiotic treatment is initiated in conformity with the existing guidelines (15). The option of early thoracic-surgical intervention should be decided on by an interdisciplinary treatment team (35) (for hepatic hydrothorax, seeeBox 2). A new study of VATS in the management of parapneumonic pleural empyema underscores the high success rate of early intervention but nonetheless reveals a high mortality (in-hospital mortality of 8.1%), particularly when the appropriate diagnosis and treatment are delayed (36).
eBox 2. Pleural effusion in hepatic cirrhosis: hepatic hydrothorax.
A pleural effusion (transudate) in a patient with hepatic cirrhosis is usually a sign of hepatic decompensation and is called hepatic hydrothorax. Some 4–10% of patients with advanced cirrhosis develop hepatic hydrothorax, usually on the right side. Ascites is simultaneously present in nearly all cases, but isolated hydrothorax can also occur, because the intrathoracic pressure is negative. The primary treatment of this type of pleural effusion is treatment of the associated ascites in conformity with the appropriate guidelines (40).
If the response to this treatment is inadequate, pleural puncture may be needed. In cases of intractable hepatic hydrothorax or spontaneous bacterial empyema (SBEM), the treatment should be discussed by an interdisciplinary team. The options include, among others, transjugular intrahepatic portal-systemic shunting and video-assisted thoracoscopy.
Therapeutic puncture.
Repeated pleural punctures very commonly lead to the formation of adhesions and to loculation of the effusion, so that complete emptying is no longer possible.
BOX. The Light criteria (19) for differentiating a transudate from an exudate.
A pleural effusion is an exudate if at least one of the following criteria is met:
protein concentration in effusion divided by serum protein concentration >0.5
lactate dehydrogenase (LDH) concentration in effusion >200 IU
LDH concentration in effusion divided by serum LDH concentration >0.6
Further Information on CME.
Participation in the CME certification program is possible only over the Internet: cme.aerzteblatt.de. This unit can be accessed until 18 August 2019. Submissions by letter, e-mail, or fax cannot be considered.
The following CME units can still be accessed for credit:
Hearing Impairment in Old Age: Detection, Treatment, and Associated Risks” (issue 17/2019) until 21 July 2019
Otitis Externa” (issue 13/2019) until 23 June 2019
Acute Renal Failure of Nosocomial Origin” (issue 9/2019) until 26 May 2019
This article has been certified by the North Rhine Academy for Continuing Medical Education. Participants in the CME program can manage their CME points with their 15-digit “uniform CME number” (einheitliche Fortbildungsnummer, EFN), which is foun on the CME card (8027XXXXXXXXXXX). The EFN must be stated during registration onwww.aerzteblatt.de (“Mein DÄ”) or else entered in “Meine Daten,” and the participant must agree to communication of the results.
CME credit for this unit can be obtained via cme.aerzteblatt.de until 18 August 2019. Only one answer is possible per question. Please select the answer that is most appropriate.
Question 1
What is the most common cause of bilateral pleural effusion?
congestive heart failure
pleural carcinomatosis
pulmonary embolism
pneumonia
systemic lupus erythematosus
Question 2
What percentage of patients with pulmonary embolism have a pleural effusion?
0.5–5%
10–15%
20–55%
55–75%
90–95%
Question 3
A p-a chest x-ray obtained because of suspected community-acquired pneumonia shows an infiltrate, as well as a 6-cm-high pleural effusion on the same side. What is the next measure that should be taken?
insertion of a chest drain with suction
insertion of a chest drain without suction
computerized tomography (CT) of the chest
diagnostic pleural tap
rapid initiation of empirical antibiotic treatment with no further measures
Question 4
What is the risk of pneumothorax after puncture of a pleural effusion?
0.1–0.5%
0.6–6%
6–10%
10–20%
20–30%
Question 5
The distinction between a transudate and an exudate is determinative for the further evaluation and treatment of a pleural effusion. What parameter(s) is/are among the Light criteria for drawing this distinction?
NTproBNP in the effusion fluid
mesothelin in the effusion fluid
amylase in the effusion fluid
protein and LDH in the effusion fluid and in the serum
triglycerides and cholesterol in the effusion fluid and in the serum
Question 6
When tuberculous pleuritis is suspected, pleural effusion fluid is obtained for diagnostic testing. How should the specimen be sent to the laboratory?
5 mL in an EDTA tube
5 mL in a citrate tube
10 mL in an aerobic blood-culture bottle
10 mL in an anaerobic blood-culture bottle
30–50 mL fresh and without additives
Question 7
Malignant pleural effusion due to what type of primary malignancy is associated with the worst prognosis?
lung cancer
breast cancer
malignant lymphoma
gastrointestinal tumors
ovarian cancer
Question 8
What drug can contribute to the development of a pleural effusion?
infliximab
methotrexate
lisinopril
fluconazole
mirtazapine
Question 9
A patient with a locally restricted, right-sided, histologically confirmed adenocarcinoma of the lung has a pleural effusion on the same side. No malignant cells are found in a specimen of effusion fluid obtained by tap. What remains to be done before any treatment with curative intent is initiated?
differential blood-cell count to determine the main tumor markers
magnetic resonance imaging
CT-guided transthoracic pleural puncture
ultrasound-guided transthoracic pleural puncture
thoracoscopy
Question 10
A parapneumonic pleural effusion may develop into a prognostically unfavorable pleural empyema. How is the latter diagnosis made?
pH <7.2 in the effusion fluid
elevated serum CRP
purulent effusion fluid
increasing leukocytosis in peripheral blood
worsening fever despite antibiotic treatment
► Participation is possible only via the Internet: cme.aerzteblatt.de
Acknowledgments
Translated from the original German by Ethan Taub, M.D.
Footnotes
Conflict of interest statement
The authors state that they have no conflict of interest.
References
- 1.Walker SP, Morley AJ, Stadon L, et al. Nonmalignant pleural effusions. Chest. 2017;151:1099–1105. doi: 10.1016/j.chest.2016.12.014. [DOI] [PubMed] [Google Scholar]
- 2.Miserocchi G. Mechanisms controlling the volume of pleural fluid and extravascular lung water. Eur Respir Rev. 2009;18:244–252. doi: 10.1183/09059180.00002709. [DOI] [PubMed] [Google Scholar]
- 3.Thomas R, Jenkins S, Eastwood PR, et al. Physiology of breathlessness associated with pleural effusions. Curr Opin Pulm Med. 2015;21:338–354. doi: 10.1097/MCP.0000000000000174. [DOI] [PMC free article] [PubMed] [Google Scholar]
- 4.Marcondes BF, Vargas F, Paschoal FH, et al. Sleep in patients with large pleural effusion: impact of thoracocentesis. Sleep Breath. 2012;16:483–489. doi: 10.1007/s11325-011-0529-6. [DOI] [PubMed] [Google Scholar]
- 5.Anevlavis S, Tzouvelekis A, Bouros D. Mechanisms of pleural involvement in orphan diseases. Respiration. 2012;83:5–12. doi: 10.1159/000335128. [DOI] [PubMed] [Google Scholar]
- 6.Tang K, Robbins IM, Light RW. Incidence of pleural effusions in idiopathic and familial pulmonary arterial hypertension patients. Chest. 2009;136:688–693. doi: 10.1378/chest.08-0659. [DOI] [PubMed] [Google Scholar]
- 7.Choi SH, Cha SI, Shin KM, et al. Clinical relevance of pleural effusion in patients with pulmonary embolism. Respiration. 2017;93:271–278. doi: 10.1159/000457132. [DOI] [PubMed] [Google Scholar]
- 8.Bintcliffe OJ, Hooper CE, Rider IJ, et al. Unilateral pleural effusions with more than one apparent etiology A prospective observational study. Ann Am Thorac Soc. 2016;13:1050–1056. doi: 10.1513/AnnalsATS.201601-082OC. [DOI] [PubMed] [Google Scholar]
- 9.Hooper C, Lee YCG, Maskell N. Investigation of a unilateral pleural effusion in adults: British Thoracic Society pleural disease guideline 2010. Thorax. 2010;65(Suppl 2):ii4–ii17. doi: 10.1136/thx.2010.136978. [DOI] [PubMed] [Google Scholar]
- 10.Havelock T, Teoh R, Laws D, et al. Pleural procedures and thoracic ultrasound: British Thoracic Society pleural disease guideline 2010. Thorax. 2010;65(Suppl 2):ii61–ii76. doi: 10.1136/thx.2010.137026. [DOI] [PubMed] [Google Scholar]
- 11.Schnell J, Beer M, Eggeling S, et al. S3-Leitlinie: Diagnostik und Therapie von Spontanpneumothorax und postinterventionellem Pneumothorax. Zentralbl Chir. 2018;143:12–43. doi: 10.1055/a-0588-4444. [DOI] [PubMed] [Google Scholar]
- 12.Gordon CE, Feller-Kopmann D, Balk EM, Smetana GW. Pneumothorax following thoracocentesis: a systematic review and metaanalysis. Arch Int Med. 2010;170:332–339. doi: 10.1001/archinternmed.2009.548. [DOI] [PubMed] [Google Scholar]
- 13.Brogi E, Gargani L, Bignami E, et al. Thoracic ultrasound for pleural effusion in the intensive care unit: a narrative review from diagnosis to treatment. Crit Care. 2017;21 doi: 10.1186/s13054-017-1897-5. [DOI] [PMC free article] [PubMed] [Google Scholar]
- 14.Porcel JM. Distinguishing complicated from uncomplicated parapneumonic effusions. Curr Opin Pulm Med. 2015;21:346–351. doi: 10.1097/MCP.0000000000000164. [DOI] [PubMed] [Google Scholar]
- 15.Ewig S, Höffken G, Ker WV, et al. S3 Leitlinie Behandlung von erwachsenen Patienten mit ambulanter Pneumonie und Prävention - Update 2016. Pneumologie. 2016;70:151–200. doi: 10.1055/s-0042-101873. [DOI] [PubMed] [Google Scholar]
- 16.Schaberg T, Bauer T, Brinkmann F, et al. S2k-Leitlinie: Tuberkulose im Erwachsenenalter. Pneumologie. 2017;71:325–397. doi: 10.1055/s-0043-105954. [DOI] [PubMed] [Google Scholar]
- 17.McGrath EE, Blades Z, Anderson PB. Chylothorax: aetiology, diagnosis and therapeutic options. Respir Med. 2010;104:1–8. doi: 10.1016/j.rmed.2009.08.010. [DOI] [PubMed] [Google Scholar]
- 18.Heffner JE, Brown LK, Barbieri C, et al. Pleural fluid chemical analysis in parapneumonic effusions. A meta-analysis. Am J Respir Crit Care Med. 1995;151:1700–1808. doi: 10.1164/ajrccm.151.6.7767510. [DOI] [PubMed] [Google Scholar]
- 19.Light RW, MacGregor MI, Luchsinger PC, Ball WC. Pleural effusions: the diagnostic separation of transudates and exudates. Ann Intern Med. 1972;77:507–513. doi: 10.7326/0003-4819-77-4-507. [DOI] [PubMed] [Google Scholar]
- 20.Saguil A, Wryck K, Hallgren J. Diagnostic approach to pleural effusion. Am Fam Physician. 2014;90:99–104. [PubMed] [Google Scholar]
- 21.Heffner JE, Nietert PJ, Barbieri C. Pleural fluid pH as a predictor of survival for patients with malignant pleural effusions. Chest. 2000;117:79–86. doi: 10.1378/chest.117.1.79. [DOI] [PubMed] [Google Scholar]
- 22.Han ZJ, Wu XD, Cheng JJ, et al. Diagnostic accuracy of natriuretic peptides for heart failure in patients with pleural effusion: a systematic review and updated meta-analysis. PLoS ONE. 2015;10 doi: 10.1371/journal.pone.0134376. e0134376. [DOI] [PMC free article] [PubMed] [Google Scholar]
- 23.Porcel JM, Esquerda A, Vives M, Bielsa S. Etiology of pleural effusions: analysis of more than 3,000 consecutive thoracocenteses. Arch Bronchoneumol. 2014;50:161–165. doi: 10.1016/j.arbres.2013.11.007. [DOI] [PubMed] [Google Scholar]
- 24.Rampini SK, Bloemberg GV, Keller PM, et al. Broad-range 16S rRNA gene polymerase chain reaction for diagnosis of culture-negative bacterial infections. Clin Infect Dis. 2011;53:1245–1251. doi: 10.1093/cid/cir692. [DOI] [PubMed] [Google Scholar]
- 25.Insa R, Marin M, Martin A, et al. Systematic use of universal 16S rRNA gene polymerase chain reaction (PCR) and sequencing for processing pleural effusions improves conventional culture techniques. Medicine (Baltimore) 2012;91:103–110. doi: 10.1097/MD.0b013e31824dfdb0. [DOI] [PubMed] [Google Scholar]
- 26.Leitlinienprogramm Onkologie (Deutsche Krebsgesellschaft, Deutsche Krebshilfe, AWMF) Prävention, Diagnostik, Therapie und Nachsorge des Lungenkarzinoms, Langversion 1.0, 2018, AWMF-Registernummer: 020/007OL.www.leitlinienprogramm-onkologie.de/Lungenkarzinom.98.0.html (last accessed on 10 November 2018) [Google Scholar]
- 27.Porcel JM, Esquerda A, Martinez-Alonso M, et al. Identifying thoracic malignancies through pleural fluid biomarkers A predictive multivariate model. Medicine. 2016;95 doi: 10.1097/MD.0000000000003044. e3044. [DOI] [PMC free article] [PubMed] [Google Scholar]
- 28.Feller-Kopman D, Light R. Pleural disease. New Engl J Med. 2018;378:740–751. doi: 10.1056/NEJMra1403503. [DOI] [PubMed] [Google Scholar]
- 29.Clive AO, Kahan BC, Hooper CE, et al. Predicting survival in malignant pleural effusion: development and validation of the LENT prognostic score. Thorax. 2014;69:1098–1104. doi: 10.1136/thoraxjnl-2014-205285. [DOI] [PMC free article] [PubMed] [Google Scholar]
- 30.Roberts ME, Neville E, Berristford RG, et al. Management of malignant pleural effusion: British Thoracic Society pleural disease guideline 2010. Thorax. 2010;65(Suppl 2):ii32–ii40. doi: 10.1136/thx.2010.136994. [DOI] [PubMed] [Google Scholar]
- 31.Menéndez R, Torres A, Zalacaín R, et al. Risk factors of treatment failure in community acquired pneumonia: implications for disease outcome. Thorax. 2004;59:960–965. doi: 10.1136/thx.2003.017756. [DOI] [PMC free article] [PubMed] [Google Scholar]
- 32.Davies HE, Davies RJO, Davies CWH, et al. Management of pleural infection in adults: British Thoracic Society pleural disease guideline 2010. Thorax. 2010;65(Suppl 2):ii41–ii53. doi: 10.1136/thx.2010.137000. [DOI] [PubMed] [Google Scholar]
- 33.Grijalva CG, Zhu Y, Nuorti JP, et al. Emergence of parapneumonic empyema in the USA. Thorax. 2011;66:663–668. doi: 10.1136/thx.2010.156406. [DOI] [PMC free article] [PubMed] [Google Scholar]
- 34.Maskell NA, Batt S, Hedley EL, et al. The bacteriology of pleural infection by genetic and standard methods and its mortality significance. Am J Respir Crit Care Med. 2006;174:817–823. doi: 10.1164/rccm.200601-074OC. [DOI] [PubMed] [Google Scholar]
- 35.Scarci M, Abah U, Solli P, et al. EACTS expert consensus statement for surgical management of pleural empyema. Eur J Cardiothorac Surg. 2015;48:642–653. doi: 10.1093/ejcts/ezv272. [DOI] [PubMed] [Google Scholar]
- 36.Höfken H, Herrmann D, Ewig S, Volmerig J, Hecker E. Video-assisted thoracoscopic surgery of parapneumonic empyema—a 10-year single-centre experience. Pneumologie. 2018;72:843–850. doi: 10.1055/a-0648-0145. [DOI] [PubMed] [Google Scholar]
- 37.Clive AO, Jones HE, Bhatnagar R, et al. Interventions for the management of malignant pleural effusions: a network meta-analysis. Cochrane Database Syst Rev. 2016;5 doi: 10.1002/14651858.CD010529.pub2. CD010529. [DOI] [PMC free article] [PubMed] [Google Scholar]
- 38.Thomas R, Fysh ETH, Smith NA, et al. Effect of an indwelling pleural catheter vs talc pleurodesis on hospitalization days in patients with malignant pleural effusion The AMPLE randomized clinical trial. JAMA. 2017;318:1903–1912. doi: 10.1001/jama.2017.17426. [DOI] [PMC free article] [PubMed] [Google Scholar]
- 39.Bhatnagar R, Keenan EK, Morley AJ, et al. Outpatient talc administration by indwelling pleural catheter for malignant effusion. N Engl J Med. 2018;378:1313–1322. doi: 10.1056/NEJMoa1716883. [DOI] [PubMed] [Google Scholar]
- 40.Gerbes AL, Gülberg V, Sauerbruch T, et al. S3-Leitlinie Aszites, spontan bakterielle Peritonitis, hepatorenales Syndrom. Z Gastroenterol. 2011;49:749–779. doi: 10.1055/s-0031-1273405. [DOI] [PubMed] [Google Scholar]

