
Frontotemporal Dementias
Elizabeth C Finger,MD, FRCPC
Address correspondence to Dr Elizabeth Finger, LHSC Parkwood Institute, 550 Wellington Road, London, ON N6C 0A7, Canada,Elizabeth.finger@lhsc.on.ca.
Relationship Disclosure: Dr Finger has received personal compensation as a speaker for Western University and receives grant support from the Canadian Institutes of Health Research for this work as well as grant funding from the Alzheimer Society of Canada, the Ministry of Research and Innovation, Ontario Brain Institute, and the Weston Foundation. Dr Finger has provided expert legal testimony for the Ontario Court of Justice.
Unlabeled Use of Products/Investigational Use Disclosure: Dr Finger discusses the unlabeled/investigational use of disease-modifying therapies in development, dopaminergic medications, neuroleptic medications, oxytocin, and selective serotonin reuptake inhibitors for the treatment of frontotemporal dementias.
Abstract
Purpose of Review:
This article reviews the common behavioral and cognitive features of frontotemporal dementia (FTD) and related disorders as well as the distinguishing clinical, genetic, and pathologic features of the most common subtypes.
Recent Findings:
Advances in clinical phenotyping, genetics, and biomarkers have enabled improved predictions of the specific underlying molecular pathology associated with different presentations of FTD. Evaluation of large international cohorts has led to recent refinements in diagnostic criteria for several of the FTD subtypes.
Summary:
The FTDs are a group of neurodegenerative disorders featuring progressive deterioration of behavior or language and associated pathology in the frontal or temporal lobes. Based on anatomic, genetic, and neuropathologic categorizations, the six clinical subtypes of FTD or related disorders are: (1) behavioral variant of FTD, (2) semantic variant primary progressive aphasia, (3) nonfluent agrammatic variant primary progressive aphasia, (4) corticobasal syndrome, (5) progressive supranuclear palsy, and (6) FTD associated with motor neuron disease. Recognition and accurate diagnoses of FTD subtypes will aid the neurologist in the management of patients with FTD.
INTRODUCTION
Frontotemporal dementia (FTD) classically affects adults in their fifties to sixties, although cases have been reported in patients from 30 to more than 90 years of age. FTD is a progressive neurodegenerative disorder; thus, the patient’s history typically reveals a gradual onset and progression of changes in behavior or language deficits for several years prior to presentation to a neurologist. The term FTD is typically used to refer to one of several clinical subtypes including behavioral variant of FTD (bvFTD), semantic variant primary progressive aphasia (PPA), nonfluent agrammatic variant PPA, and FTD associated with motor neuron disease (FTD-MND). FTD-related disorders include two tau-associated neurodegenerative diseases, corticobasal syndrome (CBS) and progressive supranuclear palsy (PSP), which can present with frontal lobe dysfunction. The clinical subtypes of FTD and related disorders are defined by the hallmark patterns of symptoms and signs observed. Variations in clinical presentation across the FTD subtypes are attributed to differences in the brain regions affected by FTD pathology. The term frontotemporal lobar degeneration (FTLD) is reserved for patients with clinical presentations of FTD and identification of an FTD-causing mutation or histopathologic evidence of FTD (on biopsy or postmortem).
EPIDEMIOLOGY OF FRONTOTEMPORAL DEMENTIA
FTD is generally considered to be the second most common cause of early-onset neurodegenerative dementia (before age 65), second only to Alzheimer disease (AD).1 The estimated prevalence of FTD is highest in the 45 to 64 year age group and ranges from 15 to 22 per 100,000 persons ages 45 to 64, with 10% of FTD occurring in patients less than 45 years of age and approximately 30% occurring in patients older than 65.1 There is consensus that the prevalence is likely underestimated due to lack of recognition and diagnosis of the FTD syndromes by non-neurologists.1,2 Of the FTD subtypes, bvFTD is the most common clinical presentation, accounting for more than 50% of patients with autopsy-confirmed FTLD.3 FTD affects both genders in roughly equal distribution.
BEHAVIORAL VARIANT OF FRONTOTEMPORAL DEMENTIA
bvFTD is defined by the gradual onset and progression of changes in behavior, including disinhibition, loss of empathy, apathy, and may include hyperorality and perseverative or compulsive behaviors (Table 5-1).4 Patients presenting with symptoms consistent with bvFTD but with normal brain imaging (ie, CT, MRI, positron emission tomography [PET]/single-photon emission computed tomography [SPECT]) are classified as possible bvFTD, while patients meeting symptom criteria who show focal atrophy, hypometabolism, or hypoperfusion in the frontal or temporal lobes are classified as having probable bvFTD.
Table 5-1.
International Consensus Criteria for Behavioral Variant of Frontotemporal Dementiaa

Symptoms
Disinhibition may manifest in a variety of ways, including increased disclosure of personal information to strangers or acquaintances (eg, medical information, finances), increased sexual interest or comments, loss of manners (such as belching in public), new use of derogatory or racist language in reference to others (eg, calling someone fat or bald in public), and impulsivity (eg, inappropriate spending). Apathy is a common early feature and may present as a loss of interest in usual social and nonsocial activities. Patients may be noted to spend hours sitting on the couch staring at the television or wall. Some patients will develop simple or complex repetitive behaviors such as touching items in a room, counting figures on patterned wallpaper, or picking up scraps of paper in public places. Hyperorality typically involves increased consumption, particularly of sweets, and in the extreme, can include consumption of spoiled foods and inedible objects. Some patients will begin to use tobacco or alcohol for the first time or increase their use of such substances. Although not included in the core criteria, patients with FTD, particularly those withC9ORF72 expanded repeat mutations, may also exhibit psychotic features early in the disease course, including visual or auditory hallucinations and bizarre or somatic delusions.5
Neurologic Examination
Evidence of the above behavioral changes may be observed during the course of the neurologic examination. Patients with bvFTD may show evidence of poor grooming and hygiene on presentation and loss of manners, such as belching during the examination. Either a flat affect may be observed, or conversely, a silly, childlike affect may be seen and manifested by a patient hugging the examiner or giggling after being instructed to stick out his or her tongue or during the testing of the reflexes. Patients with bvFTD may appear obviously restless, standing up and even attempting to leave the room midexamination. Patients with a flat affect may appear apathetic and lack spontaneous speech, giving only brief one- to two-word responses to questions despite preserved language abilities. Although such abnormal behaviors typically increase over the course of the disease, at early stages patient’s conduct may be generally appropriate for the limited time of the examination. Positive snout or grasp reflex may be present, although these frontal release signs are not sensitive or specific for FTD.6 Cranial nerve, motor, sensory, and the remainder of reflex examinations are typically normal.
Neuropsychological Testing in Behavioral Variant of Frontotemporal Dementia
Standard neurocognitive testing in patients with bvFTD classically demonstrates deficits in executive function tasks, with relative sparing in memory and visuospatial domains. However, many patients with early-stage disease may still perform well on executive tasks, particularly those patients with right temporal predominant atrophy. It is now appreciated that some patients with bvFTD have significant episodic memory deficits.7 While specific standardized tests of social cognition are in validation stages for bvFTD, patients with bvFTD generally show poor performance on tasks of facial expression recognition, particularly for negative emotions, as well as on theory of mind tasks, such as visual cartoons in which they must understand the mental state of others. Consideration of qualitative aspects of performance during neurocognitive testing including behaviors and error types may be more helpful than raw scores in detecting bvFTD. Specifically, during testing, patients with bvFTD may appear restless, apathetic, perseverative, confabulatory, and impulsive, failing to wait for the examiner to finish task instructions and including expletives in phonemic fluency tests.8
Neuroimaging Characteristics
Atrophy or hypometabolism of the right frontal or right temporal lobe is the hallmark neuroimaging finding in patients with bvFTD (Case 5-1). Bilateral frontal lobe involvement may also be seen, although when atrophy is observed in the dominant hemisphere, language symptoms are typically also present (see later discussion of semantic variant PPA and nonfluent agrammatic variant PPA). Patterns of atrophy in other brain regions vary according to mutation type. Patients withC9ORF72 expanded repeats demonstrate atrophy predominantly in the frontal lobes, with some atrophy also observed in the anterior temporal lobes, parietal lobes, occipital lobes, and cerebellum and thalamus; inMAPT mutations, atrophy is greatest in the anteromedial temporal lobes; patients with bvFTD andGRN mutations show temporal, insular, and parietal lobe atrophy.10,11 On fluorodeoxyglucose positron emission tomography (FDG-PET) imaging, hypometabolism in the right temporal or right or bilateral frontal lobes is suggestive of FTD (Figure 5-212). Patterns of frontal or anterior temporal hypoperfusion with preserved parietal signal on SPECT can distinguish FTD from AD with a sensitivity and specificity of approximately 80%.13 Similar patterns of hypometabolism on FDG-PET imaging show approximately 90% diagnostic accuracy when distinguishing FTD from AD.14 PET amyloid imaging shows a similarly high accuracy of distinguishing FTD from AD, with patients with FTD typically showing low levels of amyloid binding on PET (amyloid negative), while patients with AD show elevated amyloid binding (amyloid positive).12 Several PET tau ligands are currently under investigation in FTD but are not validated to date.
Figure 5-2.

Example of amyloid (Pittsburgh compound B [PiB]) and fluorodeoxyglucose positron emission tomography (FDG-PET) scans demonstrating typical patterns of diffuse amyloid deposition and temporal and parietal hypometabolism in Alzheimer disease (A) in contrast to the absence of amyloid deposition and presence of frontal hypometabolism in a patient with frontotemporal dementia–motor neuron disease, confirmed on autopsy to have frontotemporal lobar degeneration (FTLD) with TDP-43 inclusions (B).
AD = Alzheimer disease; DVR = distribution volume ratio; neg = negative; pos = positive; SUVR = standardized uptake value ratio.
Modified with permission from Rabinovici GD, et al, Neurology.12www.neurology.org/content/77/23/2034.full. © 2011 American Academy of Neurology.
Case 5-1
A 54-year-old man presented to the psychiatric emergency department for bizarre behavior, claiming he had won the lottery. The family reported that 6 years prior to presentation he became less organized managing his finances. The family discovered 3 years ago that bills, including the mortgage, were going unpaid, and he had accumulated significant credit card debt. His affect became flat and his family reported that it was “hard to get a reaction out of him.” He began to cook in an impulsive way, turning the burners on maximum for everything. The patient had lost his job for inappropriate borrowing of money from clients 1 year prior to presentation. He began buying multiple lottery tickets each week, and despite financial difficulties, he purchased a luxury motorcycle. He began wearing the same clothing multiple days in a row and required encouragement to shower. He lost interest in his hobbies and spent increasing amounts of time “staring” at the television. Family history was negative for any neurodegenerative diseases, although his father died in his forties of a myocardial infarction, and his mother died in her early sixties of cancer. On examination, the patient was mildly unkempt, with a flat affect, and appeared apathetic. His speech was fluent with preserved naming, repetition, and comprehension. Cranial nerves were intact, including normal saccades. There was no evidence of bradykinesia. Sensory and motor examinations were normal. He had mild difficulty performing the Luria hand sequence (a three-step hand movement sequence of fist-side-flat) on the left compared to the right. Snout and grasp reflexes were absent (normal). On cognitive testing, he scored 26 out of 30 on the Mini-Mental State Examination (MMSE) and 14 out of 30 on the Montreal Cognitive Assessment (MoCA), losing points for attention, concentration, working memory items, and Trail Making B test sample. Semantic and phonemic fluency were both moderately impaired. MRI imaging demonstrated bifrontal and temporal atrophy (Figure 5-1). Subsequent genetic testing forC9ORF72,GRN, andMAPT did not reveal any pathogenic mutations. A diagnosis of probable behavioral variant of frontotemporal dementia (FTD) was made. He was advised to stop driving and was reported to the Department of Transportation. Family were referred to a social worker and an FTD caregiver support group. Citalopram 20 mg/d was started with modest improvement of the obsessive behaviors.
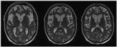
Figure 5-1.

T2-weighted axial MRI shows bifrontal and temporal atrophy in the patient inCase 5-1 with sporadic behavioral variant of frontotemporal dementia.
Comment. There is commonly a long delay between the onset of symptoms and time of presentation, given the subtle nature of the personality and behavior changes that are the hallmark of early FTD. Patients often accumulate significant debt prior to diagnosis. It is important for caregivers to put a power of attorney in place for care and finances to limit patients’ access to spending money. In patients with frontal lobe deficits, inattention and impulsivity pose significant risks during driving and typically are indications for driving cessation. While there are no treatments specifically approved for use in patients with FTD, off-label use of selective serotonin reuptake inhibitors (SSRIs) may help with agitation, obsessive-compulsive behaviors, and hyperphagia.9
Diagnostic Challenges in Behavioral Variant of Frontotemporal Dementia
Making and confirming a diagnosis of bvFTD can be challenging as the personality or behavioral changes are insidious, and diagnosis in the early stages is highly reliant on caregiver reports of behavioral changes. Furthermore, the degree of frontal atrophy can overlap with that observed in normal controls.15 The termbvFTD phenocopy syndrome has been used to characterize patients who present with a history obtained from a caregiver that meets symptom-based criteria for possible FTD but who lack focal atrophy on neuroimaging and who do not progress to demonstrate objective behavioral or cognitive deficits.16 Patients with bvFTD phenocopy syndrome who fail to progress have increased rates of mood disorders, substance abuse, obsessive-compulsive personality traits, Asperger syndrome traits, or recent intense life events that likely contribute to the observed behaviors.17 Thus, careful consideration of the patient’s baseline personality, life events, and relationship factors that may influence behavior, and the caregiver’s perspective on behaviors, is necessary.18
SEMANTIC VARIANT PRIMARY PROGRESSIVE APHASIA
The hallmark symptom of semantic variant PPA, previously called semantic dementia, is the loss of word meaning.19 Due to atrophy in the dominant anterior temporal pole (Case 5-2), patients with semantic variant PPA demonstrate anomia and single-word comprehension deficits and may ask what words mean (ie, “What is spaghetti?”). While fluency and grammar are generally maintained, speech becomes increasingly empty, with vague words or jargon phrases replacing specific nouns and verbs (Table 5-220). Patients with semantic variant PPA may lose the normal give and take of conversation, talking incessantly and requiring interruption to conduct the examination. Patients with semantic variant PPA also demonstrate abnormal behaviors, largely overlapping with those described above for patients with bvFTD, likely due to involvement of the right anterior temporal lobe and connections to the orbitofrontal cortex.21,22 Patients with right-sided temporal atrophy may present with behavioral features and relatively preserved language, but over time will also develop semantic deficits. As the disease progresses and begins to involve the posterior temporal regions and visual temporal association areas, patients may also develop visual agnosia and prosopagnosia.
Table 5-2.
Diagnostic Criteria for Semantic Variant Primary Progressive Aphasiaa

Case 5-2
A 69-year-old right-handed retired secretary was referred for a neurologic consultation for difficulties with “memory” and behavior. She had a long history of anxiety and depression that had been managed by medications until 2 years prior to presentation, when she was dismissed from her volunteer job for “lacking control.” Her family noted trouble with word comprehension, as the patient would ask, “What is a screwdriver?” and “What is a buffet?” Circumlocutions were noted in her descriptions, such as describing a pizza as a “round thing.” This was followed by lack of recognition of objects. For example, when her husband handed her an ice cream cone, she grabbed at the ice cream on top rather than from the cone. Recently, she had not recognized her niece and nephew or herself in photographs. The patient stopped initiating household chores, such as doing the dishes or laundry, and appeared confused when attempting such tasks. According to her husband, she was “always walking, pacing, or standing.” She became very self-centered and seemed to lack appreciation of others’ needs. She became fixated on daily routines even if inconvenient to others. Her personal hygiene declined. Family history was notable for multiple family members on her mother’s side with anxiety and depression. There was no known history of neurodegenerative dementia or amyotrophic lateral sclerosis in any family members.
On examination, while her speech rate was generally high, she used frequent fillers, such as “thing” or “da da da.” Her responses to direct questions were tangential. The remainder of her neurologic examination was normal, including the absence of frontal release signs. On further cognitive testing, she scored 8 out of 30 on the Mini-Mental State Examination (MMSE), typically not understanding the question being asked. Her clock drawing skills were reasonably preserved. Semantic fluency was severely impaired with only two animals named in 1 minute. In contrast, phonemic fluency was only mildly impaired with a total of 20 F-A-S Test words named over the 3 minutes (patient was given 1 minute to list words beginning with the letterF, followed by 1 minute to list words beginning withA, and then 1 minute to list words beginning with the letterS). Naming on the Western Aphasia Battery was impaired, with only 11 out of 20 items correct and some evidence of visual object agnosia, including nonrecognition of a pipe. Deficits in semantic association were also demonstrated on the Pyramid and Palm Trees Test. Trail Making B test was normal at the 50th percentile.
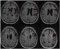
Review of a recently performed brain MRI demonstrated severe anterior left temporal lobe atrophy and moderate atrophy of the right temporal pole (Figure 5-3). A diagnosis of semantic variant primary progressive aphasia was made.
Figure 5-3.

Imaging of the patient inCase 5-2.A, Axial fluid-attenuated inversion recovery (FLAIR) MRI demonstrating left temporal pole atrophy suggestive of semantic variant primary progressive aphasia.B, With disease progression, severe atrophy is observed in the left temporal pole as well as significant atrophy in the right temporal pole on axial FLAIR MRI.
Comment. This patient demonstrates a classic presentation of semantic variant primary progressive aphasia. Often, the family members may identify the chief complaint as memory deficits, but with careful assessment, it is clear that loss of word meaning and comprehension deficits underlie the observed changes. Behavioral features are usually present early on and progress with increasing atrophy of the right temporal lobe.
Neuropsychological Testing in Semantic Variant Primary Progressive Aphasia
Patients with semantic variant PPA demonstrate deficits in single-word comprehension when asked to define single words (eg, “What is an accordion?”). Speech production during picture descriptions (ie, cookie jar theft picture) shows a normal or near-normal word production rate but frequent use of filler words (Case 5-2). Tests of semantic associations, such as the palms and pyramids task, show deficits for words, and over time, often for picture stimuli. (In the palms and pyramids task, patients are shown a stimulus [a picture or word] and must choose the related picture or word from two choices; eg, a vest is shown with choices of a bowtie [correct] and necklace [incorrect]). Patients with semantic variant PPA may show an interesting pattern of episodic memory deficits opposite to that observed in AD, with better recall of recent events and people and relative loss of more remote autobiographic memories.23
Neurologic Examination
Loquacious but empty, tangential, or repetitive speech is evident during the course of the interview and examination. Patients may repeat short catch phrases or jokes. The remainder of the neurologic examination, including frontal reflexes, is typically normal.
Neuroimaging
Atrophy of the dominant anterior temporal pole is the hallmark finding in semantic variant PPA (Figure 5-3).24 While involvement is typically asymmetric at onset, over time the contralateral temporal lobe is also affected.
NONFLUENT AGRAMMATIC VARIANT PRIMARY PROGRESSIVE APHASIA
Nonfluent agrammatic variant PPA, also known as progressive nonfluent aphasia, features progressively nonfluent, agrammatic speech that is hesitant or halting (Table 5-320). Grammatical errors are observed in spontaneous speech and frequently include omission of small, closed class words (eg, and, or, a, the), dropping of verb endings, and errors in subject/verb agreement (Case 5-3). Patients with nonfluent agrammatic PPA frequently also demonstrate apraxia of speech, defined as impaired motor speech planning, manifest by articulation deficits.25 Although comprehension is generally preserved in early stages of disease, deficits comprehending grammatically complex sentences such as those featuring objective relative clauses are common (ie, “The lion was killed by the tiger. Which animal is alive?”). Patients presenting with nonfluent agrammatic variant PPA may also demonstrate or develop behavioral changes of bvFTD or features of CBS or PSP. Longitudinal, autopsy-confirmed studies of patients presenting with nonfluent agrammatic variant PPA demonstrate several final clinical and pathologic diagnoses, most commonly bvFTD, PSP, or CBS.26
Table 5-3.
Diagnostic Criteria for Nonfluent Agrammatic Variant Primary Progressive Aphasiaa

Case 5-3
A 66-year-old woman presented for a neurologic consultation because of difficulty speaking. She reported 2 to 3 years of gradually increasing deficits in “getting the words out.” She stated, “I know what I want to say, but the words get stuck at the tip of my tongue.” Her spouse noticed that at times she would get part of the sound of the word correct, and part wrong, such as calling a “fork” a “fort.” She had also developed a mild stutter. Her husband noticed she was often able to describe the meaning of the word, even when she could not say the word itself.
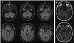
On examination, she demonstrated halting, hesitant speech although she could generally answer questions appropriately. She correctly named a chair and key, but could not name the glove, instead gesturing to her hand. She could not name cactus, but said “it is a thing that grows…desert…ouch.” During repetition she omitted small words and made paraphasic errors. She followed all verbal and written commands. When asked to write a sentence, she wrote, “Today very sunny outside.” When asked to describe the picnic scene from the Western Aphasia Battery, she demonstrated word-finding deficits, paraphasic errors, and hesitations (item she was pointing to in parentheses): “The carpet, and man, and woman…on their black (blanket). Man’s food…food there (sandals). The man…bag…bark(book). The man glass (glasses). Bag (basket). Boy has a kite…a gags…(dog). Girl…song…sand…make (rake), sarvs (shovels), cake…cast (castle). Man on dark (dock) and fish. Sailboat and two babli (people)Ithere. A house there. A carI garange (garage) there and flangs (flag). Tree.” The remainder of her neurologic examination was unremarkable. Neuroimaging demonstrated atrophy in the leftinferior frontal lobe (Figure 5-4).
Figure 5-4.

Imaging of the patient inCase 5-3 who presented with nonfluent agrammatic variant primary progressive aphasia. Axial fluid-attenuated inversion recovery (FLAIR) MRI demonstrating left posterior frontal and frontoinsular atrophy (circled in red).
One year later, the patient presented with further deficits in articulatory speech consistent with verbal apraxia. She also demonstrated worsening short-term verbal memory deficits and new difficulty with dressing (despite normal strength). On examination, mild rigidity and odd involuntary posturing of her right arm were noted, with ideomotor apraxia and deterioration of handwriting (Figure 5-5).
Figure 5-5.

Handwriting sample and attempt at clock drawing of the patient inCase 5-3 with corticobasal syndrome including symptoms of the nonfluent agrammatic variant primary progressive aphasia. The handwriting sample demonstrates spelling and grammatical errors, as well as difficulty forming and spacing letters. Visual construction deficits are apparent on the clock drawing.
Comment. This patient initially presented with symptoms meeting criteria for nonfluent agrammatic variant primary progressive aphasia and indicative of dominant frontal lobe pathology. Over time, her symptoms progressed to include apraxia and alien limb phenomenon, consistent with evolution to corticobasal syndrome. In addition to progression to corticobasal syndrome, patients presenting with nonfluent agrammatic variant primary progressive aphasia may also develop symptoms consistent with behavioral variant of frontotemporal dementia or progressive supranuclear palsy.
Neurologic Examination
Nonfluent speech with word-finding difficulties, circumlocutions, stuttering, and grammatical errors with relative preservation of comprehension is typically observed, although deficits may be mild at first. Subtle right-side motor deficits (slower fine motor movements, pronator drift) may be observed in some patients with more widespread pathology in the left (or dominant) frontal lobe.
Neuroimaging
Nonfluent agrammatic variant PPA is associated with atrophy of the dominant inferior frontal lobe (Figure 5-4).
PROGRESSIVE SUPRANUCLEAR PALSY
Although originally classified as a Parkinson-plus syndrome, PSP is now also included as an FTD-related disorder based on the presence of frontal lobe involvement and tau pathology. Prior to the onset of hallmark features including early postural instability and vertical gaze impairments, approximately 20% of patients with PSP first present with FTD symptoms, including behavioral changes or progressive language deficits (Table 5-4). The most common behavioral symptoms in patients with PSP include apathy, disinhibition, anxiety, dysphoria, stereotypic or repetitive behaviors, and up to 30% of patients with PSP will meet criteria for bvFTD.26,27 Patients with PSP may also present with primary apraxia of speech, combined apraxia of speech and progressive nonfluent aphasia, or develop these symptoms during the disease course.25 In patients presenting with primary apraxia of speech, atrophy or hypometabolism is found in the superior premotor cortex and supplementary motor area, and PSP is the most common underlying pathology.28
Table 5-4.
Clinical Presentations of Progressive Supranuclear Palsy

Neurologic Examination
In the most common subtype of PSP, Richardson syndrome, increased axial rigidity of the neck and trunk, slowed vertical saccades, dysarthria, apathy or depression, and general slowing of speech and thought are observed.26 Gait is often narrow based in early stages of the disease despite a history of falls and imbalance. As the disease progresses, patients often develop ophthalmoplegia particularly of vertical gaze, akinetic rigid parkinsonism, dystonia, verbal apraxia, pseudobulbar palsy, and frontal release signs.
Neuropsychological Testing
Cognitive deficits are found in the majority of patients with PSP. Most commonly, patients with PSP demonstrate cognitive slowing and poorer performance on timed tests of executive function and verbal fluency.27 Comprehension and memory are generally preserved.
Neuroimaging
Structural imaging in PSP may reveal midbrain atrophy referred to as the hummingbird sign on sagittal images (Figure 5-629), as well as hypometabolism in frontal, caudate, midbrain, and thalamic regions on FDG-PET.30
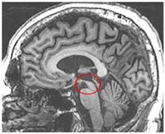
Figure 5-6.

Midbrain atrophy in progressive supranuclear palsy. Midsagittal MRI in a patient with progressive supranuclear palsy demonstrating thinning of the rostral midbrain resulting in the hummingbird sign.
Modified with permission from Boeve B, Parkinsonism Relat Disord.29www.sciencedirect.com/science/article/pii/S1353802011700608. © 2011 Elsevier Ltd.
CORTICOBASAL DEGENERATION
Corticobasal degeneration (CBD) is a progressive neurodegenerative disorder affecting the frontal and parietal cortices and basal ganglia associated with abnormal 4-repeat tau isoform pathology. The termcorticobasal syndrome (CBS) is used to describe patients presenting with the clinical features associated with CBD but who lack histologic confirmation, as CBS presentations may be associated with a variety of underlying neuropathologies including AD, FTD, and CBD. CBD is typically sporadic, although occasionally CBS is the presenting phenotype for patients withMAPT,GRN, orC9ORF72 mutations. Classic features of CBS include apraxia and alien limb phenomenon, frontal deficits, and extrapyramidal motor symptoms such as myoclonus or rigidity. Five phenotypic presentations of CBD have recently been proposed (Table 5-5).31 As in PSP, patients with CBD may first present with behavioral changes, executive function deficits, or language features consistent with early frontal lobe pathology. Behavioral changes include those described for bvFTD. Language presentations of CBS are most commonly agrammatic nonfluent aphasia or apraxia of speech. Symptoms referable to the parietal lobes, including apraxias and visuospatial deficits, may also be a presenting feature.32 Motor abnormalities may be absent in as many as approximately 50% of patients at the time of presentation with cognitive deficits, although during the course of the disease the majority of patients will show motor features. Approximately 30% of patients with CBS will develop alien limb syndrome, in which one arm may levitate or assume involuntary postures or movements, and 25% will have cortical sensory deficits.31
Table 5-5.
Proposed Clinical Phenotypes Associated With the Pathology of Corticobasal Degenerationa

Neurologic Examination
Patients presenting with frontal or aphasic subtypes of CBS may present with inappropriate behavioral features described above for bvFTD, or language deficits consistent with nonfluent agrammatic variant PPA, or apraxia of speech. Asymmetric limb rigidity and bradykinesia are the most common motor findings, present in approximately 50% of patients at the time of presentation.31 Ideomotor apraxia is a frequent finding and may also be asymmetric. Other motor features can include tremor, postural instability and falls, axial rigidity, dystonia including blepharospasm, alien limb, and myoclonus. Cortical sensory deficits may include sensory extinction, agraphesthesia, and astereognosia.
Neuropsychological Testing
Performance patterns on cognitive testing may vary according to the subtype. Many patients with CBS will demonstrate deficits on tasks of executive function, writing, visuospatial, and construction tasks (Figure 5-5). Patients presenting with dominant frontal lobe involvement may show word-finding deficits, agrammatism, and spelling errors similar to patients with nonfluent agrammatic PPA.32
Neuroimaging
Structural brain imaging in patients with CBS may show asymmetric frontal and parietal lobe atrophy,33 although imaging findings may overlap with those seen in other FTDs and AD. Thus, diagnosis at present is based on clinical criteria, with neuroimaging performed to rule out other structural causes of symptoms.
FRONTOTEMPORAL DEMENTIA–MOTOR NEURON DISEASE
Frontotemporal dementia symptoms are found in approximately 30% of patients diagnosed with amyotrophic lateral sclerosis (ALS). Patients with FTD-ALS may present with behavioral changes consistent with bvFTD or a milder dysexecutive profile including verbal fluency deficits.34 Hallucinations and delusions are more common in patients with FTD-ALS, in particular in patients withC9ORF72 expanded repeat mutations (see the following section on genetic risk factors), the most common genetic cause of familial FTD-ALS.35,36
PROGNOSIS
The average survival for patients diagnosed with FTD is approximately 7 to 10 years. Estimates differ somewhat according to FTD subtype, with survival in FTD-MND averaging just 2 to 3 years, approximately 6 to 8 years in PSP, approximately 9 to 10 years in bvFTD and nonfluent agrammatic variant PPA, and the longest median survival in patients with semantic variant PPA of approximately 12 years.2 Common proximate causes of death in patients with FTD related to the disease include pneumonia or complications of falls.
RISK FACTORS
Although approximately 50% to 60% of FTD is considered to be sporadic in etiology, genetic mutations account for the majority of risk factors identified for developing FTD.
Environmental
To date there have been few studies of environmental risk factors for FTD. Retrospective case-control studies have found an increased incidence of head injury in patients with a clinical diagnosis of FTD (odds ratios of 3 to 4).37,38 While repetitive concussions have been linked to progressive neuropsychiatric symptoms, cognitive deficits, and pathologic tau deposition in the frontal and temporal lobes in chronic traumatic encephalopathy,39 the relationship of isolated concussion or mild head injury in relation to chronic traumatic encephalopathy and other forms of FTD is not yet understood.
Genetic
Approximately 40% of FTD is associated with an autosomal dominant pattern of inheritance, with remaining cases considered sporadic.40 A careful family history considering not only diagnosis, but also possible FTD symptoms in other family members is essential, as FTD was rarely diagnosed before the 1990s, and family members may have been misdiagnosed with AD, vascular dementia, or late-onset psychiatric disorders. bvFTD and nonfluent agrammatic variant PPA are the most common phenotypes in genetic FTD, although CBS presentations can also occur. Semantic variant PPA is almost always sporadic. PSP is not associated with the FTD mutations described below, although is linked to the H1 haplotype in theMAPT gene (seeBox 1 Glossary of Gene and Protein Abbreviations). Mutations in approximately eight genes have been linked to FTD, accounting for approximately 50% of familial FTD, with mutations inGRN,C9ORF72, andMAPT accounting for the majority of cases of genetically confirmed FTD (Table 5-635,36,41–53).41 Several other genetic mutations are known to be rare causes of familial FTD, including mutations in theCHMP2B gene encoding charged multivesicular body protein 2B and mutations in the gene for valosin-containing protein (VCP), which is associated with the clinical triad of FTD, inclusion body myopathy, and Paget disease. Of interest, variants in the gene for transmembrane protein 106B (TMEM106B) have been identified to confer protection and delay onset of FTD in patients withGRN andC9ORF72 mutations.54 A genetic mutation may be found in approximately 6% of patients with no family history of FTD; thus, referral to a genetic counselor for consideration of genetic testing may be considered for all patients presenting with FTD.55
Table 5-6.
Frontotemporal Dementia Gene Mutationsa

Box 1 Glossary of Gene and Protein Abbreviations.
C9ORF72: Chromosome 9 open reading frame 72
CHMP2B: Charged multivesicular body protein 2B
FUS: Fused in Sarcoma RNA binding protein
GRN: Progranulin
MAPT: Microtubule-associated protein tau
TDP-43: Transactive response DNA binding protein 43 kDa
TMEM106B: Transmembrane protein 106B
VCP: Valosin containing protein
NEUROPATHOLOGY
Abnormal accumulations of tau or TDP-43 account for the majority of pathologically confirmed cases of FTD, with FUS inclusions most common in the remaining 10% (Figure 5-756).55 Abnormal aggregations of tau can be found in patients with sporadic bvFTD, CBS, nonfluent agrammatic variant PPA, and PSP as well asMAPT-associated familial FTD (Figure 5-857). Tau inclusions are rare in patients with semantic variant PPA. Abnormal TDP-43 inclusions account for the majority of the remaining tau-negative patients. TDP-43 pathology is found in patients with semantic variant PPA, FTD-MND, and bvFTD, as well as in genetic variants includingC9ORF72,GRN, andVCP mutations. TDP-43 pathology is characterized by four patterns that show associations with FTD clinical phenotypes (Figure 5-957). FUS pathology is associated with an earlier age of onset of FTD, prominent neuropsychiatric features, and a more rapid course.55 It has been hypothesized that von Economo neurons, large bipolar neurons in layer V of the cortex, in the anterior cingulate region and frontoinsular junction may be the first site of disease pathology, as early loss of these neurons is found in patients with FTD compared to AD and controls.58
Figure 5-7.

Neuropathologic classification of frontotemporal lobar degeneration. aFTLD-U = atypical frontotemporal lobar degeneration; AGD = argyrophilic grain disease; ALS = amyotrophic lateral sclerosis; BIBD = basophilic inclusion body disease; CBD = corticobasal degeneration; CTE = chronic traumatic encephalopathy; DLDH = dementia lacking distinctive histology; FTLD = frontotemporal lobar degeneration; FTD-3 = frontotemporal dementia associated with chromosome 3; FTLD-FUS = frontotemporal lobar degeneration with fused in sarcoma proteinopathy; FTLD-ni = frontotemporal lobar degeneration with no inclusions; FTLD-tau = frontotemporal lobar degeneration with tauopathy; FTLD-TDP = frontotemporal lobar degeneration with TDP-43 proteinopathy; FTLD-UPS = frontotemporal lobar degeneration with involvement of the ubiquitin proteasome system; MSTD = multiple system tauopathy with dementia; NIFID = neuronal intermediate filament inclusion dementia; PiD = Pick disease; PSP = progressive supranuclear palsy; TPSD = tangle predominant senile dementia; Ub = ubiquitin; WMT-GGI = white matter tauopathy with globular glial inclusions; 3R = 3 microtubule-binding repeats; 4R = 4 microtubule-binding repeats; ?-opathies = subtype without a hallmark protein aggregate identified to date; + = inclusions present; − = inclusions absent.
a Unclassifiable andMAPT related: 3R, 4R, or both.
Reprinted with permission from Bigio EH, Arch Pathol Lab Med.56www.archivesofpathology.org/doi/abs/10.5858/arpa.2012-0075-RA. © 2013 College of American Pathologists.
Figure 5-8.

Pathologic features in frontotemporal lobar degeneration with tauopathy.A, Pick bodies in the temporal cortex of a patient with Pick disease;B, tufted astrocyte in a patient with progressive supranuclear palsy;C, a globose tangle in a case with progressive supranuclear palsy;D, astrocytic plaque as a hallmark lesion of corticobasal degeneration;E, neuronal and glial tau pathology in the frontal cortex of a patient withMAPT gene mutation.Panels A,C, andD are tau immunohistochemistry;Panels B andE are Gallyas-Braak silver stain. Scale bars: 50 mm.
Reprinted with permission from Neumann M, et al, Expert Rev Mol Med.57journals.cambridge.org/action/displayAbstract?fromPage=online&aid=5988276&fileId=S1462399409001136. © 2009 Cambridge University Press.
Figure 5-9.

Types of TDP-43 pathology in frontotemporal lobar degeneration.A, Type A is characterized by compact neuronal cytoplasmic inclusions and short neurites and is most commonly associated with behavioral variant of frontotemporal dementia, progressive nonfluent aphasia, andGRN mutations.B, Type B is characterized by compact and granular cytoplasmic inclusions and is associated with frontotemporal dementia–motor neuron disease, behavioral variant of frontotemporal dementia, andC9ORF72 expanded repeats.C, Type C is characterized by long neurites and is found in semantic variant primary progressive aphasia.D, Type D is characterized by numerous neuronal intranuclear inclusions and is found in patients withVCP mutations.
Reprinted with permission from Neumann M, et al, Expert Rev Mol Med.57journals.cambridge.org/action/displayAbstract?fromPage=online&aid=5988276&fileId=S1462399409001136. © 2009 Cambridge University Press.
CEREBROSPINAL FLUID AND SERUM BIOMARKERS
At present, CSF biomarkers may help to distinguish between FTD and AD, but there are no validated biomarkers that can reliably distinguish patients with FTD from controls or other non-AD dementias. The presence of an AD pattern of biomarkers is considered an exclusion criterion for probable FTD.4 CSF biomarkers demonstrating reduced amyloid-β42 (Aβ42) and increased tau/phosphorylated-tau can distinguish AD from FTD (sensitivity of approximately 80%, specificity of approximately 80%), in which tau levels are normal or low and Aβ42 levels are higher than in AD.59 To aid in FTD diagnosis and track disease progression, several candidate CSF biomarkers are currently under investigation, including neurofilament light chains, TDP-43, and progranulin. Low serum progranulin levels can predictGRN mutation status in carriers and patients; however, serum and CSF progranulin levels are only modestly correlated and may vary as a function of age, gender, and other genetic factors.60
DIAGNOSTIC WORKUP OF PATIENTS WITH SUSPECTED FRONTOTEMPORAL DEMENTIA
Assessment of patients with possible FTD requires a thorough history with the patient and caregiver or informant. As most patients with bvFTD and semantic variant PPA will have limited insight into their symptoms, it is essential to obtain a history of behavioral, cognitive, or functional decline from a reliable informant who has known the patient for some time in order to assess the extent to which behavior represents a change from baseline personality traits and habits. Ascertainment of behavioral changes can be facilitated by standardized questionnaires such as the Frontal Behavioral Inventory61 or the Frontotemporal Dementia Rating Scale (available atwww.ftdrg.org/ace-r-download/frontotemporal-dementia-rating-scale-frs-download/).62,63 A full neurologic examination should be performed, including assessment of vertical saccades, axial tone, the presence of parkinsonism, cortical sensory tests, apraxia testing, and frontal release signs. Brain imaging, preferably MRI, is essential to rule out structural and vascular abnormalities and to assess for patterns of focal atrophy. When structural imaging is inconclusive, FDG-PET or SPECT imaging may help to identify the presence of hypometabolism or hypoperfusion and whether the pattern observed is most consistent with FTD. Where available, Pittsburgh compound B (PiB)-PET imaging or CSF Aβ1-42 and tau analysis may aid in distinguishing FTD from frontal or language presentations of AD. For patients interested in genetic testing, or those with a family history suggestive of FTD or ALS, referral to a genetic counselor for consideration of genetic testing is indicated. Knowledge of genetic status can confirm a diagnosis of familial FTD and may aid referral of patients and carriers to current and future clinical trials targeting specific FTD mutations.
PATIENT MANAGEMENT
There are currently no therapies specifically approved for FTD. Thus, education and supportive management of safety and behavioral issues for the patient and caregiver are essential in supporting patients with FTD.64,65
Supportive Management and Follow-up Assessments
A power of attorney for personal care and finances should be put into place for patients with FTD, as impaired judgment and impulsivity can result in significant financial difficulties. There are few studies of driving safety in patients with FTD. Those available suggest that the risk of accidents is increased even in patients with mild disease and is related to inattention, impulsivity, and poor emotion regulation. Careful and frequent reassessment of patient’s behavioral symptoms and cognitive testing performance when considering driving privileges is necessary, potentially supported by on-road driving assessments. Caregivers and families should also be counseled regarding gun safety or other potentially hazardous activities or pastimes. Speech and swallowing assessments are indicated to optimize communication strategies and screen for dysphagia, which is common, particularly in patients with nonfluent agrammatic variant PPA and PSP. Physical therapy evaluations of gait when falls or balance problems are reported and occupational therapy assessments of home safety are also indicated. Caregivers should be referred to local FTD or dementia support groups for support and education of behavioral management strategies. The changes in behavior chart offers helpful strategies for problematic behaviors (www.theaftd.org/wp-content/uploads/2011/09/Packet-Changes-in-behavior-chart.pdf).66
Pharmacologic Treatment
Current treatment approaches are limited to symptomatic treatments that employ off-label uses of medications modulating neurotransmitter systems, usually to modify difficult behaviors.9,67 Most commonly, selective serotonin reuptake inhibitors (SSRIs), such as citalopram, or trazodone are used to improve behavioral symptoms including disinhibition, agitation/irritability, or compulsive behaviors (Table 5-79,68–75). Psychosis and aggression may require neuroleptic medications, although gold standard randomized clinical trials of these agents are not available in patients with FTD. If needed, initiation at a low dose and frequent reassessment of efficacy and need for continued use are required given black box warnings for this class of medications due to increased mortality. Although parkinsonism in patients with FTD is usually not dopamine responsive, as a fraction of patients may benefit, a trial of carbidopa/levodopa titrating up to 25 mg/250 mg 3 times daily for parkinsonism is generally indicated. Cholinesterase inhibitors may frequently increase agitation in patients with bvFTD and, thus, are not indicated. For patients with CBS or nonfluent agrammatic variant PPA who have memory deficits, approximately 30% to 40% may have underlying AD pathology, and therefore a 2- to 3-month trial of a cholinesterase inhibitor is warranted. A double-blind, placebo-controlled randomized trial of memantine for cognitive and behavioral symptoms of FTD showed no benefit.76 Clinical trials of novel agents targeting specific genes, related proteins and pathways for tau, progranulin, andC9ORF72 are anticipated in the near future.
Table 5-7.
Treatment Approaches for Behavioral Symptoms in Frontotemporal Dementiaa

CONCLUSION
The FTDs can be recognized based on careful parsing of clinical features and neuroimaging characteristics. Consideration of referral for genetic counseling and genetic testing is indicated for most patients given the high incidence of hereditary FTD. Although not yet widely available for clinical use, molecular-specific diagnostic tools (eg, tau PET imaging, TDP-43 and tau biomarkers) and treatments are under development, making accurate recognition and diagnosis of FTD and FTD subtype essential for appropriate counseling and management.
KEY POINTS
Frontotemporal dementia classically affects adults in their fifties to sixties, although cases have been reported from 30 to more than 90 years of age.
The prevalence of frontotemporal dementia is likely underestimated due to lack of recognition and diagnosis of the frontotemporal dementia syndromes by non-neurologists.
Behavioral variant of frontotemporal dementia is defined by the gradual onset and progression of changes in behavior, including disinhibition, loss of empathy, apathy, and may include hyperorality and perseverative or compulsive behaviors.
Patients with frontotemporal dementia may exhibit psychotic features early in the disease course, including visual or auditory hallucinations and bizarre or somatic delusions.
Standard neurocognitive testing in behavioral variant of frontotemporal dementia classically demonstrates deficits in executive function tasks, with relative sparing in memory and visuospatial domains.
Consideration of qualitative aspects of performance during neurocognitive testing, such as impulsive behaviors and error types, may be more helpful than raw scores in detecting behavioral variant of frontotemporal dementia.
Consideration of the patient’s baseline personality, life events, and relationship factors that may influence behavior, and the caregiver’s perspective on behaviors, is necessary for accurate diagnosis of behavioral variant frontotemporal dementia.
The hallmark symptom of semantic variant primary progressive aphasia is the loss of word meaning.
Atrophy of the dominant anterior temporal pole is the characteristic finding in semantic variant primary progressive aphasia.
Hallmark features of nonfluent agrammatic variant primary progressive aphasia include nonfluent speech with word-finding difficulties, circumlocutions, stuttering, and grammatical errors with relative preservation of comprehension.
Approximately 20% of patients with progressive supranuclear palsy first present with frontotemporal dementia symptoms including behavioral changes or progressive language deficits.
Most commonly, patients with progressive supranuclear palsy demonstrate cognitive slowing and poorer performance on timed tests of executive function and verbal fluency.
In patients presenting with primary apraxia of speech, progressive supranuclear palsy is the most common underlying pathology.
Patients with corticobasal degeneration may first present with behavioral changes, executive function deficits, or language features consistent with early frontal lobe pathology.
Frontotemporal dementia symptoms are found in approximately 30% of patients diagnosed with amyotrophic lateral sclerosis.
Approximately 40% of frontotemporal dementia cases are associated with an autosomal dominant pattern of inheritance, with remaining cases considered sporadic.
A genetic mutation may be found in approximately 6% of patients with no family history of frontotemporal dementia; thus, referral to a genetic counselor for consideration of genetic testing may be considered for all patients presenting with frontotemporal dementia.
Abnormal accumulations of tau or TDP-43 account for the majority of pathologically confirmed cases of frontotemporal dementia, with FUS inclusions most common in the remaining 10%.
CSF biomarkers may help to distinguish between frontotemporal dementia and Alzheimer disease, but at present there are no validated biomarkers that can reliably distinguish patients with frontotemporal dementia from controls or other non-Alzheimer disease dementias.
REFERENCES
- 1.Knopman DS, Roberts RO.Estimating the number of persons with frontotemporal lobar degeneration in the US population. J Mol Neurosci2011;45(3):330–335. doi:10.1007/s12031-011-9538-y. [DOI] [PMC free article] [PubMed] [Google Scholar]
- 2.Onyike CU, Diehl-Schmid J.The epidemiology of frontotemporal dementia. Int Rev Psychiatry2013;25(2):130–137. doi:10.3109/09540261.2013.776523. [DOI] [PMC free article] [PubMed] [Google Scholar]
- 3.Snowden JS, Thompson JC, Stopford CL, et al. The clinical diagnosis of early-onset dementias: diagnostic accuracy and clinicopathological relationships. Brain2011;134(pt 9):2478–2492. doi:10.1093/brain/awr189. [DOI] [PubMed] [Google Scholar]
- 4.Rascovsky K, Hodges JR, Knopman D, et al. Sensitivity of revised diagnostic criteria for the behavioural variant of frontotemporal dementia. Brain2011;134(pt 9):2456–2477. doi:10.1093/brain/awr179. [DOI] [PMC free article] [PubMed] [Google Scholar]
- 5.Snowden JS, Rollinson S, Thompson JC, et al. Distinct clinical and pathological characteristics of frontotemporal dementia associated with C9ORF72 mutations. Brain2012;135(pt 3):693–708. doi:10.1093/brain/awr355. [DOI] [PMC free article] [PubMed] [Google Scholar]
- 6.Links KA, Merims D, Binns MA, et al. Prevalence of primitive reflexes and Parkinsonian signs in dementia. Can J Neurol Sci2010;37(5):601–607. doi:10.1017/S0317167100010763. [DOI] [PubMed] [Google Scholar]
- 7.Pennington C, Hodges JR, Hornberger M.Neural correlates of episodic memory in behavioral variant frontotemporal dementia. J Alzheimers Dis2011;24(2):261–268. doi:10.3233/JAD-2011-101668. [DOI] [PubMed] [Google Scholar]
- 8.Rankin KP, Santos-Modesitt W, Kramer JH, et al. Spontaneous social behaviors discriminate behavioral dementias from psychiatric disorders and other dementias. J Clin Psychiatry2008;69(1):60–73. [DOI] [PMC free article] [PubMed] [Google Scholar]
- 9.Manoochehri M, Huey ED.Diagnosis and management of behavioral issues in frontotemporal dementia. Curr Neurol Neurosci Rep2012;12(5):528–536. doi:10.1007/s11910-012-0302-7. [DOI] [PMC free article] [PubMed] [Google Scholar]
- 10.Rohrer JD, Nicholas JM, Cash DM, et al. Presymptomatic cognitive and neuroanatomical changes in genetic frontotemporal dementia in the Genetic Frontotemporal dementia Initiative (GENFI) study: a cross-sectional analysis. Lancet Neurol2015;14(3):253–262. doi:10.1016/S1474-4422(14)70324-2. [DOI] [PMC free article] [PubMed] [Google Scholar]
- 11.Whitwell JL, Weigand SD, Boeve BF, et al. Neuroimaging signatures of frontotemporal dementia genetics: C9ORF72, tau, progranulin and sporadics. Brain2012;135(pt 3):794–806. doi:10.1093/brain/aws001. [DOI] [PMC free article] [PubMed] [Google Scholar]
- 12.Rabinovici GD, Rosen HJ, Alkalay A, et al. Amyloid vs FDG-PET in the differential diagnosis of AD and FTLD. Neurology2011;77(23):2034–2042. doi:10.1212/WNL.0b013e31823b9c5e. [DOI] [PMC free article] [PubMed] [Google Scholar]
- 13.McNeill R, Sare GM, Manoharan M, et al. Accuracy of single-photon emission computed tomography in differentiating frontotemporal dementia from Alzheimer’s disease. J Neurol Neurosurg Psychiatry2007;78(4):350–355. doi:10.1136/jnnp.2006.106054. [DOI] [PMC free article] [PubMed] [Google Scholar]
- 14.Foster NL, Heidebrink JL, Clark CM, et al. FDG-PET improves accuracy in distinguishing frontotemporal dementia and Alzheimer’s disease. Brain2007;130(pt 10):2616–2635. doi:10.1093/brain/awm177. [DOI] [PubMed] [Google Scholar]
- 15.Chow TW, Binns MA, Freedman M, et al. Overlap in frontotemporal atrophy between normal aging and patients with frontotemporal dementias. Alzheimer Dis Assoc Disord2008;22(4):327–335. doi:10.1097/WAD.0b013e31818026c4. [DOI] [PubMed] [Google Scholar]
- 16.Hornberger M, Shelley BP, Kipps CM, et al. Can progressive and non-progressive behavioural variant frontotemporal dementia be distinguished at presentation?J Neurol Neurosurg Psychiatry2009;80(6):591–593. doi:10.1136/jnnp.2008.163873. [DOI] [PubMed] [Google Scholar]
- 17.Gossink FT, Dols A, Kerssens CJ, et al. Psychiatric diagnoses underlying the phenocopy syndrome of behavioural variant frontotemporal dementia. J Neurol Neurosurg Psychiatry2016;87(1):64–68. doi:10.1136/jnnp-2014-308284. [DOI] [PubMed] [Google Scholar]
- 18.Miller BL.Frontotemporal dementia. New York: Oxford University Press, 2014. [Google Scholar]
- 19.Snowden JS, Goulding PJ, Neary D.Semantic dementia: a form of circumscribed cerebral atrophy. Behav Neurol1989;2:167–182. [Google Scholar]
- 20.Gorno-Tempini ML, Hillis AE, Weintraub S, et al. Classification of primary progressive aphasia and its variants. Neurology2011;76(100):1006–1014. doi:10.1212/WNL.0b013e31821103e6. [DOI] [PMC free article] [PubMed] [Google Scholar]
- 21.Rankin KP, Gorno-Tempini ML, Allison SC, et al. Structural anatomy of empathy in neurodegenerative disease. Brain2006;129(pt 11):2945–2956. doi:10.1093/brain/awl254. [DOI] [PMC free article] [PubMed] [Google Scholar]
- 22.Kamminga J, Kumfor F, Burrell JR, et al. Differentiating between right-lateralised semantic dementia and behavioural-variant frontotemporal dementia: an examination of clinical characteristics and emotion processing. J Neurol Neurosurg Psychiatry2015;86(10):1082–1088. doi:10.1136/jnnp-2014-309120. [DOI] [PubMed] [Google Scholar]
- 23.McCarthy RA, Warrington EK.Past, present, and prospects: reflections 40 years on from the selective impairment of semantic memory (Warrington, 1975). Q J Exp Psychol (Hove)2015:1–28. doi:10.1080/17470218.2014.980280. [DOI] [PubMed] [Google Scholar]
- 24.Rohrer JD, Rosen HJ.Neuroimaging in frontotemporal dementia. Int Rev Psychiatry2013;25(2):221–229. doi:10.3109/09540261.2013.778822. [DOI] [PubMed] [Google Scholar]
- 25.Josephs KA, Boeve BF, Duffy JR, et al. Atypical progressive supranuclear palsy underlying progressive apraxia of speech and nonfluent aphasia. Neurocase2005;11(4):283–296. doi:10.1080/13554790590963004. [DOI] [PubMed] [Google Scholar]
- 26.Litvan I, Agid Y, Calne D, et al. Clinical research criteria for the diagnosis of progressive supranuclear palsy (Steele-Richardson-Olszewski syndrome): report of the NINDS-SPSP international workshop. Neurology1996;47(1):1–9. doi:10.1212/WNL.47.1.1. [DOI] [PubMed] [Google Scholar]
- 27.Kobylecki C, Jones M, Thompson JC, et al. Cognitive-behavioural features of progressive supranuclear palsy syndrome overlap with frontotemporal dementia. J Neurol2015;262(4):916–922. doi:10.1007/s00415-015-7657-z. [DOI] [PubMed] [Google Scholar]
- 28.Josephs KA, Duffy JR, Strand EA, et al. Characterizing a neurodegenerative syndrome: primary progressive apraxia of speech. Brain2012;135(pt 5):1522–1536. doi:10.1093/brain/aws032. [DOI] [PMC free article] [PubMed] [Google Scholar]
- 29.Boeve BF.Progressive supranuclear palsy. Parkinsonism Relat Disord2012;18(suppl 1):S192–S194. doi:10.1016/S1353-8020(11)70060-8. [DOI] [PubMed] [Google Scholar]
- 30.Zalewski N, Botha H, Whitwell JL, et al. FDG-PET in pathologically confirmed spontaneous 4R-tauopathy variants. J Neurol2014;261(4):710–716. doi:10.1007/s00415-014-7256-4. [DOI] [PubMed] [Google Scholar]
- 31.Armstrong MJ, Litvan I, Lang AE, et al. Criteria for the diagnosis of corticobasal degeneration. Neurology2013;80(5):496–503. doi:10.1212/WNL.0b013e31827f0fd1. [DOI] [PMC free article] [PubMed] [Google Scholar]
- 32.Murray R, Neumann M, Forman MS, et al. Cognitive and motor assessment in autopsy-proven corticobasal degeneration. Neurology2007;68(16):1274–1283. doi:10.1212/01.wnl.0000259519.78480.c3. [DOI] [PubMed] [Google Scholar]
- 33.Whitwell JL, Jack CR, Jr, Boeve BF, et al. Imaging correlates of pathology in corticobasal syndrome. Neurology2010;75(21):1879–1887. doi:10.1212/WNL.0b013e3181feb2e8. [DOI] [PMC free article] [PubMed] [Google Scholar]
- 34.Strong MJ, Grace GM, Freedman M, et al. Consensus criteria for the diagnosis of frontotemporal cognitive and behavioural syndromes in amyotrophic lateral sclerosis. Amyotroph Lateral Scler2009;10(3):131–146. doi:10.1080/17482960802654364. [DOI] [PubMed] [Google Scholar]
- 35.Renton AE, Majounie E, Waite A, et al. A hexanucleotide repeat expansion in C9ORF72 is the cause of chromosome 9p21-linked ALS-FTD. Neuron2011;72(2):257–268. doi:10.1016/j.neuron.2011.09.010. [DOI] [PMC free article] [PubMed] [Google Scholar]
- 36.DeJesus-Hernandez M, Mackenzie IR, Boeve BF, et al. Expanded GGGGCC hexanucleotide repeat in noncoding region of C9ORF72 causes chromosome 9p-linked FTD and ALS. Neuron2011;72(2):245–256. doi:10.1016/j.neuron.2011.09.011. [DOI] [PMC free article] [PubMed] [Google Scholar]
- 37.Rosso SM, Landweer EJ, Houterman M, et al. Medical and environmental risk factors for sporadic frontotemporal dementia: a retrospective case-control study. J Neurol Neurosurg Psychiatry2003;74(11):1574–1576. doi:10.1136/jnnp.74.11.1574. [DOI] [PMC free article] [PubMed] [Google Scholar]
- 38.Kalkonde YV, Jawaid A, Qureshi SU, et al. Medical and environmental risk factors associated with frontotemporal dementia: a case-control study in a veteran population. Alzheimers Dement2012;8(3):204–210. doi:10.1016/j.jalz.2011.03.011. [DOI] [PubMed] [Google Scholar]
- 39.Stern RA, Daneshvar DH, Baugh CM, et al. Clinical presentation of chronic traumatic encephalopathy. Neurology2013;81(13):1122–1129. doi:10.1212/WNL.0b013e3182a55f7f. [DOI] [PMC free article] [PubMed] [Google Scholar]
- 40.Rohrer JD, Guerreiro R, Vandrovcova J, et al. The heritability and genetics of frontotemporal lobar degeneration. Neurology2009;73(18):1451–1456. doi:10.1212/WNL.0b013e3181bf997a. [DOI] [PMC free article] [PubMed] [Google Scholar]
- 41.Le Ber I.Genetics of frontotemporal lobar degeneration: an up-date and diagnosis algorithm. Rev Neurol (Paris)2013;169(10):811–819. doi:10.1016/j.neurol.2013.07.014. [DOI] [PubMed] [Google Scholar]
- 42.Cruts M, Gijselinck I, van der Zee J, et al. Null mutations in progranulin cause ubiquitin-positive frontotemporal dementia linked to chromosome 17q21. Nature2006;442(7105):920–924. doi:10.1038/nature05017. [DOI] [PubMed] [Google Scholar]
- 43.Hutton M, Lendon CL, Rizzu P, et al. Association of missense and 5’-splice-site mutations in tau with the inherited dementia FTDP-17. Nature1998;393(6686):702–705. doi:10.1038/31508. [DOI] [PubMed] [Google Scholar]
- 44.Watts GD, Wymer J, Kovach MJ, et al. Inclusion body myopathy associated with Paget disease of bone and frontotemporal dementia is caused by mutant valosin-containing protein. Nat Genet2004;36(4):377–381. doi:10.1038/ng1332. [DOI] [PubMed] [Google Scholar]
- 45.Benajiba L, Le Ber I, Camuzat A, et al. TARDBP mutations in motoneuron disease with frontotemporal lobar degeneration. Ann Neurol2009;65(4):470–473. doi:10.1002/ana.21612. [DOI] [PubMed] [Google Scholar]
- 46.Broustal O, Camuzat A, Guillot-Noël L, et al. FUS mutations in frontotemporal lobar degeneration with amyotrophic lateral sclerosis. J Alzheimers Dis2010;22(3):765–769. doi:10.3233/JAD-2010-100837. [PubMed] [Google Scholar]
- 47.Fecto F, Yan J, Vemula SP, et al. SQSTM1 mutations in familial and sporadic amyotrophic lateral sclerosis. Arch Neurol2011;68(11):1440–1446. doi:10.1001/archneurol.2011.250. [DOI] [PubMed] [Google Scholar]
- 48.Rubino E, Rainero I, Chiò A, et al. SQSTM1 mutations in frontotemporal lobar degeneration and amyotrophic lateral sclerosis. Neurology2012;79(15):1556–1562. doi:10.1212/WNL.0b013e31826e25df. [DOI] [PMC free article] [PubMed] [Google Scholar]
- 49.Rademakers R, Baker M, Nicholson AM, et al. Mutations in the colony stimulating factor 1 receptor (CSF1R) gene cause hereditary diffuse leukoencephalopathy with spheroids. Nat Genet2011;44(2):200–205. doi:10.1038/ng.1027. [DOI] [PMC free article] [PubMed] [Google Scholar]
- 50.Guerreiro R, Kara E, Le Ber I, et al. Genetic analysis of inherited leukodystrophies: genotype-phenotype correlations in the CSF1R gene. JAMA Neurol2013;70(7):875–882. doi:10.1001/jamaneurol.2013.698. [DOI] [PMC free article] [PubMed] [Google Scholar]
- 51.Skibinski G, Parkinson NJ, Brown JM, et al. Mutations in the endosomal ESCRTIII-complex subunit CHMP2B in frontotemporal dementia. Nat Genet2005;37(8):806–808. doi:10.1038/ng1609. [DOI] [PubMed] [Google Scholar]
- 52.Gellera C, Tiloca C, Del Bo R, et al. ; SLAGEN Consortium. Ubiquilin 2 mutations in Italian patients with amyotrophic lateral sclerosis and frontotemporal dementia. J Neurol Neurosurg Psychiatry2013;84(2):183–187. doi:10.1136/jnnp-2012-303433. [DOI] [PubMed] [Google Scholar]
- 53.Kim HJ, Kim NC, Wang YD, et al. Mutations in prion-like domains in hnRNPA2B1 and hnRNPA1 cause multisystem proteinopathy and ALS. Nature2013;495(442):467–473. doi:10.1038/nature11922. [DOI] [PMC free article] [PubMed] [Google Scholar]
- 54.Finch N, Carrasquillo MM, Baker M, et al. TMEM106B regulates progranulin levels and the penetrance of FTLD in GRN mutation carriers. Neurology2011;76(5):467–474. doi:10.1212/WNL.0b013e31820a0e3b. [DOI] [PMC free article] [PubMed] [Google Scholar]
- 55.Rademakers R, Neumann M, Mackenzie IR.Advances in understanding the molecular basis of frontotemporal dementia. Nat Rev Neurol2012;8(8):423–434. doi:10.1038/nrneurol.2012.117. [DOI] [PMC free article] [PubMed] [Google Scholar]
- 56.Bigio EH.Making the diagnosis of frontotemporal lobar degeneration. Arch Pathol Lab Med2013;137(3):314–325. doi:10.5858/arpa.2012-0075-RA. [DOI] [PMC free article] [PubMed] [Google Scholar]
- 57.Neumann M, Tolnay M, Mackenzie IR.The molecular basis of frontotemporal dementia. Expert Rev Mol Med2009;11:e23doi:10.1017/S1462399409001136. [DOI] [PubMed] [Google Scholar]
- 58.Seeley WW, Carlin DA, Allman JM, et al. Early frontotemporal dementia targets neurons unique to apes and humans. Ann Neurol2006;60(6):660–667. doi:10.1002/ana.21055. [DOI] [PubMed] [Google Scholar]
- 59.Grossman M, Farmer J, Leight S, et al. Cerebrospinal fluid profile in frontotemporal dementia and Alzheimer’s disease. Ann Neurol2005;57(5):721–729. doi:10.1002/ana.20477. [DOI] [PubMed] [Google Scholar]
- 60.Nicholson AM, Finch NA, Thomas CS, et al. Progranulin protein levels are differently regulated in plasma and CSF. Neurology2014;82(21):1871–1878. doi:10.1212/WNL.0000000000000445. [DOI] [PMC free article] [PubMed] [Google Scholar]
- 61.Kertesz A, Davidson W, Fox H.Frontal behavioral inventory: diagnostic criteria for frontal lobe dementia. Can J Neurol Sci1997;24(1):29–36. [DOI] [PubMed] [Google Scholar]
- 62.FRONTIER: Frontotemporal Dementia Research Group. Frontotemporal dementia rating scale (FRS)-download.www.ftdrg.org/ace-r-download/frontotemporal-dementia-rating-scale-frs-download/. Accessed February 1, 2016. [Google Scholar]
- 63.Mioshi E, Hsieh S, Savage S, et al. Clinical staging and disease progression in frontotemporal dementia. Neurology2010;74(20):1591–1597. [DOI] [PubMed] [Google Scholar]
- 64.Shinagawa S, Nakajima S, Plitman E, et al. Non-pharmacological management for patients with frontotemporal dementia: a systematic review. J Alzheimers Dis2015;45(1):283–293. doi:10.3233/JAD-142109. [DOI] [PubMed] [Google Scholar]
- 65.Mendez MF, Lauterbach EC, Sampson SM.ANPA Committee on Research. An evidence-based review of the psychopathology of frontotemporal dementia: a report of the ANPA Committee on Research. J Neuropsychiatry Clin Neurosci2008;20(2):130–149. doi:10.1176/appi.neuropsych.20.2.130. [DOI] [PubMed] [Google Scholar]
- 66.Association for Frontotemproal Degeneration. Changes in behavior.www.theaftd.org/wp-content/uploads/2011/09/Packet-Changes-in-behavior-chart.pdf. Published 2009. Accessed February 1, 2016. [Google Scholar]
- 67.Tsai RM, Boxer AL.Treatment of frontotemporal dementia. Curr Treat Options Neurol2014;16(11):319doi:10.1007/s11940-014-0319-0. [DOI] [PMC free article] [PubMed] [Google Scholar]
- 68.Swartz JR, Miller BL, Lesser IM, Darby AL.Frontotemporal dementia: treatment response to serotonin selective reuptake inhibitors. J Clin Psychiatry1997;58(5):212–216. [PubMed] [Google Scholar]
- 69.Herrmann N, Black SE, Chow T, et al. Serotonergic function and treatment of behavioral and psychological symptoms of frontotemporal dementia. Am J Geriatr Psychiatry2012;20(9):789–797. doi:10.1097/JGP.0b013e31823033f3. [DOI] [PubMed] [Google Scholar]
- 70.Moretti R, Torre P, Antonello RM, et al. Olanzapine as a treatment of neuropsychiatric disorders of Alzheimer’s disease and other dementias: a 24-month follow-up of 68 patients. Am J Alzheimers Dis Other Demen2003;18(4):205–214. [DOI] [PMC free article] [PubMed] [Google Scholar]
- 71.Lebert F, Stekke W, Hasenbroekx C, Pasquier F.Frontotemporal dementia: a randomised, controlled trial with trazodone. Dement Geriatr Cogn Disord2004;17(4):355–359. doi:10.1159/000077171. [DOI] [PubMed] [Google Scholar]
- 72.Curtis RC, Resch DS.Case of pick’s central lobar atrophy with apparent stabilization of cognitive decline after treatment with risperidone. J Clin Psychopharmacol2000;20(3):384–385. [DOI] [PubMed] [Google Scholar]
- 73.Fellgiebel A, Müller MJ, Hiemke C, et al. Clinical improvement in a case of frontotemporal dementia under aripiprazole treatment corresponds to partial recovery of disturbed frontal glucose metabolism. World J Biol Psychiatry2007;8(2):123–126. [DOI] [PubMed] [Google Scholar]
- 74.Mendez MF, Shapira JS, Miller BL.Stereotypical movements and frontotemporal dementia. Mov Disord2005;20(6):742–745. [DOI] [PubMed] [Google Scholar]
- 75.Ikeda M, Shigenobu K, Fukuhara R, et al. Efficacy of fluvoxamine as a treatment for behavioral symptoms in frontotemporal lobar degeneration patients. Dement Geriatr Cogn Disord2004;17(3):117–121. doi:10.1159/000076343. [DOI] [PubMed] [Google Scholar]
- 76.Boxer AL, Knopman DS, Kaufer DI, et al. Memantine in patients with frontotemporal lobar degeneration: a multicentre, randomised, double-blind, placebo-controlled trial. Lancet Neurol2013;12(2):149–156. doi:10.1016/S1474-4422(12)70320-4. [DOI] [PMC free article] [PubMed] [Google Scholar]