
Coexistence ofWolbachia withBuchnera aphidicola and a Secondary Symbiont in the AphidCinara cedri
Laura Gómez-Valero
Mario Soriano-Navarro
Vicente Pérez-Brocal
Abdelaziz Heddi
Andrés Moya
José Manuel García-Verdugo
Amparo Latorre
Corresponding author. Mailing address: Institut Cavanilles de Biodiversitat i Biologia Evolutiva, Universitat de València, Apartat 2085, 46071 València, Spain. Phone: (34) 963543649. Fax: (34) 963543670. E-mail:amparo.latorre@uv.es.
Received 2004 May 19; Accepted 2004 Jul 7.
Abstract
Intracellular symbiosis is very common in the insect world. For the aphidCinara cedri, we have identified by electron microscopy three symbiotic bacteria that can be characterized by their different sizes, morphologies, and electrodensities. PCR amplification and sequencing of the 16S ribosomal DNA (rDNA) genes showed that, in addition to harboringBuchnera aphidicola, the primary endosymbiont of aphids,C. cedri harbors a secondary symbiont (S symbiont) that was previously found to be associated with aphids (PASS, or R type) and an α-proteobacterium that belongs to theWolbachia genus. Using in situ hybridization with specific bacterial probes designed for symbiont 16S rDNA sequences, we have shown thatWolbachia was represented by only a few minute bacteria surrounding the S symbionts. Moreover, the observedB. aphidicola and the S symbionts had similar sizes and were housed in separate specific bacterial cells, the bacteriocytes. Interestingly, in contrast to the case for all aphids examined thus far, the S symbionts were shown to occupy a similarly sized or even larger bacteriocyte space thanB. aphidicola. These findings, along with the facts thatC. cedri harbors theB. aphidicola strain with the smallest bacterial genome and that the S symbionts infect allCinara spp. analyzed so far, suggest the possibility of bacterial replacement in these species.
Insects are prone to intracellular symbiotic associations (endosymbiosis) with microorganisms. Such associations are particularly widespread among members of the orders Homoptera (aphids, whiteflies, mealybugs, psyllids, and cicadas), Blattaria (cockroaches), and Coleoptera (beetles) (4,6,24). In most cases, insects display specific bacterium-bearing host cells (the bacteriocytes), and endosymbionts fail to grow and divide outside of the bacteriocytes. Therefore, the field of intracellular symbiosis was essentially unraveled through approaches such as PCR, electron microscopy, in situ hybridization, DNA sequencing, and molecular phylogeny. For instance, genome sequencing of five insect primary endosymbionts confirmed the nutritional role of and host-symbiont syntrophy proposed for their respective symbioses (1,19,40,45,51).
In aphids (Hemiptera: Aphididae), the primary endosymbiontBuchnera aphidicola, one of the γ-Proteobacteria, is maternally transmitted by entering the embryos of each generation. The insect life cycle is complex, involving alternations of sexual and asexual reproduction. During their reproductive phase, aphids contain within their body cavity a bilobed structure called the bacteriome that consists of 60 to 90 uninucleate, polyploid bacteriocytes. Inside the bacteriocytes,B. aphidicola is enclosed within host-derived vesicles (4).
In nature, all but a few aphid populations harborB. aphidicola (4,32). Exceptions include certain aphid species of the tribe Ceratiphidini that possess extracellular yeast-like symbionts belonging to the subphylumAscomycotina in the abdominal hemocoel instead ofB. aphidicola. The latter association was interpreted as being a symbiont replacement, with an intracellular bacterium being replaced with an extracellular fungus (14). The possibility of natural endosymbiont replacement in aphids has also been postulated by other authors (9,28).
In addition to harboringB. aphidicola, some aphid populations harbor other intracellular bacteria, which are commonly referred to as secondary symbionts (S symbionts). Typically, S symbionts are present in various lineages of aphids. However, in most aphids examined thus far, S symbionts are only represented in small numbers and occupy a limited bacteriocyte area compared toB. aphidicola (4,17). Moreover, the S symbionts are not always confined in specific bacteriocytes and can be found in gut tissues, glands, body fluids, and cells that are surrounding, or even invading, the primary bacteriocytes. At present, five different S symbionts have been found. They include three different lineages within the γ-proteobacteria, provisionally called PASS or R type (7,39,50), PABS or T type (12,39), and PAUS or U type (39), one lineage within the α-proteobacteria, referred to as the PAR (pea aphid rickettsia) symbiont (8,27,48), and aSpiroplasma symbiont (16). S symbionts seem to be the result of multiple independent infections (37), and although they are usually maternally inherited (4,6), their transmission may also occur horizontally from one host to another.
Wolbachia is an obligatory intracellular α-proteobacterium that infects diverse groups of insects and most species of filarial nematodes (3,46,52,54). In arthropods, it causes reproductive alterations to the host, such as cytoplasmic incompatibility (CI), parthenogenesis, genetic male feminization, male killing, and virulence inDrosophila melanogaster (5,26,34,36,52,54). Although there have been established cases of horizontal transfer,Wolbachia organisms are inherited mainly through the maternal lineage of their hosts by vertical transmission. A phylogenetic analysis of worldwideWolbachia strains by the use of fast-evolving genes such asftsZ andwsp split invertebrateWolbachia strains into two major clades, designated A and B, and further divided them into subgroups (55,57). Genomic size determination has shown thatWolbachia genomes are much smaller than the genomes of free-living bacteria (ranging from 0.95 to 1.5 Mb) (43) and closer to the genome sizes of other intracellular bacteria (1,19,40,45,51). Contrary to the genomes of these endosymbionts, the recently sequenced genome ofWolbachia pipientis wMel revealed the existence of very large amounts of repetitive DNA and mobile genetic elements, suggesting that they may have played a key role in shaping the evolution ofWolbachia (56).
Cinara cedri belongs to the subfamily Lachninae of aphids and lives in colonies disposed on branches on the gymnospermCedrus atlantica andCedrus deodora. Gil et al. (18) estimated the genome size of theB. aphidicola strain associated withC. cedri to be 450 kb by pulsed-field gel electrophoresis, making it the smallest bacterial genome reported so far.
In the present paper, we describe and characterize two other bacteria found in the aphidC. cedri in addition toB. aphidicola: an S symbiont (PASS, or R type) that was previously described for aphids andWolbachia. Furthermore, based on the relative abundance of the primary and secondary endosymbionts, we provide additional evidence for endosymbiont competition and replacement during evolution.
MATERIALS AND METHODS
Aphid material and DNA isolation.
C. cedri aphids were collected from cedar trees (Cedrus atlantica) in Llíria (Valencia, Spain) during May and October 2003. Several grams ofC. cedri was used for the present analysis. Bacteriocytes containing bothB. aphidicola and S symbionts were isolated as previously described (18). The total aphid DNA was isolated as described previously (23). Genomic bacterial DNAs were isolated according to a cetyltrimethylammonium bromide-NaCl protocol (2).
Electron microscopy.
Adults, embryos, and eggs from aphids were dissected under a microscope in 0.9% NaCl, prefixed in 0.1 M phosphate buffer (PB) (pH 7.4) at 4°C for 24 h, and washed several times in 0.1 M PB. They were then postfixed in 2% osmium tetroxide in 0.1 M PB for 90 min in darkness, dehydrated in ethanol, and embedded in araldite (Durcupan; Fluka). Semithin sections (1.5 μm) were cut with a diamond knife and stained with toluidine blue. Ultrathin (0.05 μm) sections were cut with a diamond knife, stained with lead citrate, and examined under a transmission electron microscope (JEOL-JEM1010).
16S rDNA amplification and sequencing ofB. aphidicola, S symbiont, andWolbachia fromC. cedri.
To amplify the 16S ribosomal DNAs (rDNAs) of bothB. aphidicola and the S symbiont fromC. cedri, we used the universal γ-proteobacterial primers 16Sup1 (5′-AGAGTTTGATCATGGCTCAGATTG-3′) and 16Slo1 (5′-TACCTTGTTACGACTTCACCCCAG-3′). The PCR conditions were 94°C for 2 min, followed by 30 cycles of 94°C for 15 s, 60°C for 30 s, and 72°C for 1 min. To assess the presence of P (primary) and S symbionts, we digested the PCR products with the SalI restriction enzyme, which specifically recognizesB. aphidicola, and three diagnostic enzymes, SacI, XbaI, and ClaI, that discriminate among R-, T-, and U-type S symbionts, respectively (37,39). To further confirm the restriction analysis results, we cloned the PCR products into a pGEM T-vector (Promega) and sequenced them by using the universal primers T7 and SP6.
To detect the presence of α-proteobacteria, we designed a pair of specific primers from database alignments of 16S rDNAs by using an alignment of sequences from the following organisms: the PAR symbiont,Rickettsia japonica, andWolbachia fromSitophilus oryzae,Drosophila mauritiana, andDrosophila sechellia (Table1). The designed primers were as follows: 16SWup (5′-GCCTAACACATGCAAGTCGAA-3′) and 16SWlo (5′-AGCTTCGAGTGAAACCAATTCCC-3′), corresponding to positions 24 to 45 and 1379 to 1357, respectively, of the 16S rDNA partial sequence of theWolbachia strain associated withD. sechellia (accession numberU17059). PCR mixtures consisted of 1.5 U ofTaq DNA polymerase (Promega), a 200 μM concentration of each deoxynucleoside triphosphate, a 300 nM concentration of each primer, and 10 ng of DNA template in a final volume of 50 μl. An additional positive control ofWolbachia fromS. oryzae (20) was used. The PCR amplification conditions were 94°C for 2 min, followed by 35 cycles of 94°C for 20 s, 63°C for 30 s, and 72°C for 90 s. The 1.3-kb PCR product obtained was purified (Qiaquick PCR purification kit; Qiagen) and directly sequenced by using the PCR primers. Simultaneous sequencing of the positive control discarded the possibility of a contamination byWolbachia fromS. oryzae. Searches in databases and a subsequent BlastN search confirmed the homology withWolbachia within the α-proteobacterial 16S rDNAs. To resolve the phylogenetic position of theWolbachia strain associated withC. cedri in the different subgroups into whichWolbachia has been divided, we amplified and sequenced a fragment of thewsp gene by using the primerswsp 81F (5′-TGGTCCAATAAGTGATGAAGAAAC-3′) andwsp 691R (5′-AAAAATTAAACGCTACTCCA-3′) according to the method described by Zhou et al. (57).
TABLE 1.
Hosts and corresponding associated symbionts, codes, partial gene sequences, and accession numbers of species used in the present work
| Host | Symbiont | Codec | Partial gene sequence | Accession no. |
|---|---|---|---|---|
| γ-Proteobacteria | ||||
| Acyrtosiphon pisum | B. aphidicola | BAp | 16S rDNA | M27039 |
| Cinara cedri | B. aphidicola | BCc | 16S rDNA | AY620431a |
| Cinara tujafilina | S symbiont | SCtj (R) | 16S rDNA | AY136146 |
| Brachycaudus cardui | S symbiont | SBca (S) | 16S rDNA | AY13643 |
| Uroleucon pieloui | S symbiont | SUpi (U) | 16S rDNA | AY136163 |
| Cinara cedri | S symbiont | SCce (R) | 16S rDNA | AY620432a |
| Escherichia colib | E. coli | 16S rDNA | U00096 | |
| α-Proteobacteria | ||||
| Alluropodus melanoleucos | Rickettsia japonica | R.jap | 16S rDNA | L36213 |
| Acyrtosiphon pisum | PAR | R par | 16S rDNA | U42084 |
| Sytophilus oryzae | Wolbachia | wOry | 16S rDNA | AF035160 |
| Drosophila mauritiana | Wolbachia | wMau | 16S rDNA | U17060 |
| Drosophila sechellia | Wolbachia | wSec | 16S rDNA | U17059 |
| Cinara cedri | Wolbachia | wCed | 16S rDNA | AY620430a |
| Drosophila melanogaster (yw67C23) | Wolbachia | wMel1 | wsp | AF020072 |
| Drosophila melanogaster (Aubiry 253) | Wolbachia | wMel2 | wsp | AF020063 |
| Drosophila melanogaster (Cairns) | Wolbachia | wMelCS1 | wsp | AF020064 |
| Drosophila melanogaster (Canton-S) | Wolbachia | wMelCS2 | wsp | AF020065 |
| Drosophila melanogaster (Harwich) | Wolbachia | wMelH | wsp | AF020066 |
| Drosophila simulans (Coff Harbour) | Wolbachia | wCof | wsp | AF020067 |
| Aedes albopictus | Wolbachia | wA1bA | wsp | AF020059 |
| Glossina morsitans | Wolbachia | wMors | wsp | AF020079 |
| Nasonia vitripennis | Wolbachia | wVitA | wsp | AF020081 |
| Glossina centralis | Wolbachia | wCen | wsp | AF020078 |
| Drosophila simulans (Riverside) | Wolbachia | wRi1 | wsp | AF020070 |
| Drosophila auraria | Wolbachia | wRi2 | wsp | AF020062 |
| Muscidifurax uniraptor | Wolbachia | wUni | wsp | AF020071 |
| Drosophila simulans (Hawaii) | Wolbachia | wHa1 | wsp | AF020068 |
| Drosophila sechellia | Wolbachia | wHa2 | wsp | AF020073 |
| Ephestia cautella (A) | Wolbachia | wCauA | wsp | AF020075 |
| Phlebotomus papatasi | Wolbachia | wPap | wsp | AF020082 |
| Glossina austeni | Wolbachia | wAus | wsp | AF020077 |
| Tribolium confusum | Wolbachia | wCon | wsp | AF020083 |
| Laodelphax striatellus | Wolbachia | wStri | wsp | AF020080 |
| Trichogramma deion | Wolbachia | wDei | wsp | AF020084 |
| Culex pipiens | Wolbachia | wPip1 | wsp | AF020061 |
| Culex quinquefasciatus | Wolbachia | wPip2 | wsp | AF020060 |
| Drosophila simulans (Mauritiana) | Wolbachia | wMa | wsp | AF020069 |
| Drosophila simulans (Noumea) | Wolbachia | wNo | wsp | AF020074 |
| Aedes albopictus | Wolbachia | wAlbB | wsp | AF020059 |
| Ephesia cautella | Wolbachia | wCauB | wsp | AF020076 |
| Tagosodes orizicolus | Wolbachia | wOri | wsp | AF020085 |
| Cinara cedri | Wolbachia | wCce | wsp | AY620433a |
Sequences was obtained in the present work.
Escherichia coli is a free-living bacterium.
For the code ofWolbachia species, we followed the work of Zhou et al. (57).
Phylogenetic analysis.
Sequences were aligned with the Clustal X algorithm (47). In the case of thewsp gene, we used a previously published alignment (57) (accession numberDS32273) and added the sequence from this study (see Table1 for a list of species and their individual accession numbers).
Maximum likelihood (ML), maximum parsimony (MP), and distance (neighbor-joining) algorithms were used to perform phylogenetic analyses. The ML and MP algorithms were performed with PAUP 4.0, using the evolution model given by Modeltest (35), and the distance algorithm was performed with Mega software (22), using the Kimura-2 parameter model and pairwise deletion. Bootstrap analyses were done with 1,000 replications, except for the analysis ofwsp with the ML algorithm, which was done with 300 replications.
In situ hybridization.
All experimental procedures for in situ hybridization were conducted under RNase-free conditions. For digoxigenin-labeled probes, we followed a protocol similar to a previously described one (17). For rhodamine-labeled probes, we followed another previously described procedure (20).
Four 5′-end-labeled digoxigenin probes were used. EUB338 was used previously (17), and the remainder were designed for the present work to specifically detectB. aphidicola (BuCc), the S symbiont (SCc), andWolbachia (WCc) inC. cedri. Two 5′-end-labeled rhodamine probes (W1 and W2) were also used (20). They are available upon request.
RESULTS
Electron microscopy.
Semithin serial sections of 1.5 μm fromC. cedri were used to localize the different types of bacteriocytes within the aphid, which are known to be mainly located along the digestive tract (Fig.1a). Two types of bacteriocytes were easily identifiable by their different tonalities after toluidine blue staining (Fig.1b). By electron microscopy and morphological criteria, we identified three kinds of symbionts, namely,B. aphidicola, the S symbiont (both also visible under an optical microscope), andWolbachia (Fig.1c). The first two organisms were found exclusively within their corresponding bacteriocytes, whereasWolbachia was present in defined, small cells.
FIG. 1.
(a) Longitudinal section of aC. cedri adult. Arrows indicate different bacteriocytes. Bar, 500 μm. (b) Semithin serial sections of 1.5 μm fromC. cedri. P, primary symbiont (B. aphidicola) bacteriocytes; S, S symbiont (PASS or R-type); n, nuclei. Bar, 10 μm. (c to f) Electron microscopic images. (c) The three types of bacteria associated withC. cedri can be seen. 1,B. aphidicola; 2, S symbiont; 3,Wolbachia. Arrows show the division of an S symbiont. Bar, 2 μm. (d) Cytoplasm ofB. aphidicola. m, mitochondria; R, RER. Bar, 0.5 μm. (e) Cytoplasm of S-symbiont bacteriocytes. Bar, 0.5 μm. (f) Cytoplasmic expansion of a bacteriocyte containing specificallyWolbachia (arrows) between S-symbiont bacteriocytes. Bar, 2 μm.
TheB. aphidicola bacteriocytes possessed a dense cytoplasm with numerous mitochondria and abundant cisternae of the rough endoplasmic reticulum (RER) (Fig.1d). Dictiosomes and vacuoles were also visible. The nucleus had large dimensions, was very irregular, and contained chromatin, which formed lumps. The plasmatic membrane of the bacteriocytes could be observed surrounding each bacterium. The bacteria appeared to be granulose, and some ribosome-like structures could be identified. The S-symbiont bacteriocytes possessed an electrolucid cytoplasm with some short cisternae of the RER, in contrast with the abundance found in the primary bacteriocytes (Fig.1e). The mitochondria were less numerous than those found inB. aphidicola bacteriocytes. The S symbionts were sphere-like and were surrounded by the plasmatic membrane of the bacteriocyte. Finally, the bacteriocytes containingWolbachia were small and were usually located surrounding the S-symbiont bacteriocytes (Fig.1f). They were scarce and very difficult to localize by light microscopy. The cytoplasm was thin and generally dense and did not contain sizeable accumulations of RER. Occasionally, the bacteria seemed to invade neighboring S symbionts (not shown).
PCR and sequencing of endosymbiont 16S rDNA.
Amplification of endosymbiont 16S rDNAs with universal γ-proteobacterial primers yielded a band of approximately 1,500 bp. Digestion of the PCR product with diagnostic enzymes that discriminate amongB. aphidicola and R-, T-, and U-type S symbionts (39) revealed the presence of two different 16S rDNA fragments that corresponded to two symbionts, specificallyB. aphidicola and an R-type (or PASS) S symbiont (data not shown). Cloning, sequencing, and phylogenetic analyses of the two 16S rDNA bands further confirmed these results (see below).
Amplification with the specific primers designed to amplify α-proteobacteria yielded a band of 1,259 bp that was sequenced and compared with selected α-proteobacterial 16S rDNA sequences from databases by the use of BlastN.
Phylogenetic positions ofC. cedri endosymbionts.
Phylogenetic trees obtained after applying three different phylogenetic procedures yielded similar topologies (Fig.2). Figure2a shows the topology of a tree obtained with 16S rDNAs fromB. aphidicola associated withAcyrthosiphon pisum (BAp) and from three S symbionts (R, T, and U types) associated with different aphids (37) and with the two 16S rDNA γ-proteobacterial sequences obtained fromC. cedri. The sequence corresponding toB. aphidicola (BCc) clustered with the BAp sequence, while the second one clustered with the sequence corresponding to the S symbiont associated withCinara tujafilina, which was previously assigned to the R type (or PASS) (37). This sequence was called SCce (R) (Table1).
FIG. 2.
Phylogenetic trees obtained with the neighbor-joining algorithm by using Kimura-2p and pairwise deletion. (a) Tree based on sequences of 16S rDNAs from selected γ-proteobacteria. BCc and SCceR correspond toB. aphidicola and the R-type S symbiont (PASS) associated with the aphidC. cedri, respectively. (b) Tree based on sequences of 16S rDNAs from selected α-proteobacteria. (c) Tree based onwsp sequences. The topologies obtained by using the MP and ML methods were similar. See Table1 for the codes of all species analyzed. Bootstrap values in panels a and b correspond those obtained by the distance, ML, and MP algorithms, respectively. Values below 50% were not reported. In panels b and c, wCed corresponds toWolbachia associated withC. cedri. In panel c, bootstrap values correspond to those obtained by the distance algorithm. ML and MP values were reported only for the branches corresponding to theWolbachia B group. For the A group, only bootstrap values obtained by the distance method were reported. For the names of species and subgroups, we have followed a previously described system (57).
The first phylogenetic analysis tree with the α-proteobacterial sequences (Fig.2b) clearly showed that the third bacterium found inC. cedri corresponds to theWolbachia strain (wCce in Table1). Due to the paucity of 16S rDNA nucleotide substitution inWolbachia, the tree was useful to differentiate betweenRickettsia andWolbachia but not betweenWolbachia strains. To accomplish this task, we performed a phylogenetic analysis as described by Zhou et al. (57), including the new sequence. As seen in Fig.2c, theWolbachia strain fromC. cedri (wCce) clustered with strains wCon and wStri, which are associated withTribolium confusum andLaodelphax striallus, respectively (Table1).
In situ endosymbiont localization.
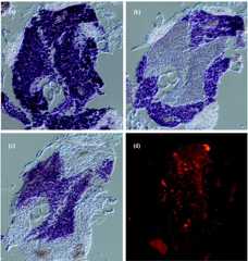
To physically localizeC. cedri-associated bacteria, we performed in situ hybridization with specific oligonucleotide probes for 16S rDNAs. Since it was stated previously that insect tissues generally emit strong autofluorescence (17), we developed nonfluorescent in situ hybridization methods using digoxigenin-labeled probes. Using the eubacterial universal EUB338 16S rDNA probe, we succeeded in identifying and localizing the bacteriocytes ofC. cedri in both adults and embryos (Fig.3a). Two other digoxigenin-specific probes, BuCc and SCc, identified two types of bacteriocytes, those filled withB. aphidicola (Fig.3b) and those filled with S symbionts (Fig.3c). This observation confirmed the results obtained by electron microscopy and demonstrated the bacterial specificity of the probes. Furthermore, an intriguing bacterial space distribution was detected in the three figures, which exhibit three serial sections. WhereasB. aphidicola bacteriocytes were found outside of the bacteriome (Fig.3b), S-symbiont bacteriocytes were concentrated in the interior (Fig.3c). Interestingly, Fig.3b and c and other examined slides (data not shown) show that the S symbiont seems to cover at least 60% of the total bacteriome surface.
FIG. 3.
In situ hybridization of tissue sections fromC. cedri adults by using digoxigenin- and rhodamine-labeled probes (see Materials and Methods). (a) EUB338 digoxigenin probe; (b)B. aphidicola probe (BuCc); (c) S-symbiont probe (SCc); (d) fluorescence in situ hybridization ofWolbachia (red).
Hybridization with the WCc probe designed forWolbachia detection did not give clear results, probably due to the small amount and/or the minute size of these bacteria (Fig.1c and f). To increase the signal, after checking thatC. cedri does not emit any autofluorescence in red wavelengths, we performed fluorescence in situ hybridization by using a combination of two previously described rhodamine-labeledWolbachia probes (20). As a result, several red spots were seen, with some of them disseminated throughout the whole body and some others concentrated around the S-symbiont bacteriocytes (Fig.3d), as shown in Fig.1f. These results also suggest thatWolbachia is always intracellular and absent from the hemolymph.
DISCUSSION
The presence of three distinct endosymbiotic bacteria has already been identified in insects such as the tsetse fly (11). For aphids, most studies referring to multisymbiosis report double infections withB. aphidicola and S symbionts (49).
The association between aphids andB. aphidicola is very ancient, and the congruence of phylogenetic trees of aphids andB. aphidicola indicates a unique infection event about 84 to 164 million years ago, followed by the coevolution of both partners (30,53). During the accommodation to symbiotic life,B. aphidicola has suffered a drastic genome reduction as well as many important molecular and biochemical changes (4,10,29,31).
In contrast toB. aphidicola, S symbionts seem to be the result of multiple independent infections, and in addition to their maternal transmission, they can also be horizontally transmitted from one host to another (37,39), therefore not sharing a long evolutionary history with their hosts. Most studies on the presence of S-symbiont occurrences in aphids have been conducted on members of the tribe Macrosiphini from the subfamily Aphidinae. For the subfamily Lachninae, S symbionts have been visualized by histological techniques inStomaphis yanonis,Nippolachnus piri, andCinara pini (15,17) and amplified by PCR from three new species belonging to theCinara genus (C. cupressi,C. maritimae, andC. tujafilina). In these three species, the S symbiont was characterized as PASS (or R type) (37), which is the same bacterium found associated withC. cedri in the present work. This new finding provides support for the previously stated hypothesis of a stable association between R-type S symbionts and theCinara host clade (37).
The different techniques used to visualize endosymbionts in aphids have shown that P and S symbionts exhibit different morphologies, and in all cases the sizes ofB. aphidicola bacteriocytes overwhelmed those of S-symbiont bacteriocytes. In the present study, however, we found that the P and S symbionts associated withC. cedri have similar sizes (Fig.1 and3b and c), and the S symbiont seems to occupy a similar amount of or more space (up to 60%) thanB. aphidicola. Therefore, sinceB. aphidicola associated withC. cedri possesses the smallest bacterial genome reported so far (450 kb), the possibility of a symbiont replacement in an advanced stage can be suggested.
A comparison of the threeB. aphidicola sequenced genomes (40,45,51) revealed a high degree of gene order conservation since the last common symbiotic ancestor (for a different perspective, see reference38). However, wide variations in genome size have been found, sinceB. aphidicola strains from several aphid subfamilies showed differences of up to 200 kb (18), indicating that genome degradation is still an ongoing process that is probably related to variations in the host lifestyle. Therefore, the evolution of theB. aphidicola genome appears to be degenerative rather than adaptive (29). This degenerative process raises the question of whether these endosymbionts are approaching a minimal genome stage for symbiotic life or are being driven toward extinction. In the latter case, S-symbiont competition with such a reduced and degradedB. aphidicola genome may compensate for the loss of the ability ofB. aphidicola to support host fitness and eventually may replace the P symbiont.
Many aphid species lack S symbionts, which suggests that they may not be essential for host survival (4,39). Nevertheless, different positive effects, such as rescue from heat damage (9,27), host plant specialization and reproduction (41,48), and resistance to parasitoid attack and other natural enemies (13,33), have been described, indicating some putative roles for the S symbionts. The most direct evidence of S symbionts overtaking the role ofB. aphidicola has been obtained by Koga et al. (21) through experiments investigating the biological effects of PASS onA. pisum strains. They have proven that infections with PASS enabled the survival and reproduction ofB. aphidicola-free aphids. Interestingly, they showed that PASS invaded the bacteriocyte space in parallel withB. aphidicola elimination, establishing a novel endosymbiotic system. If this is so, then the distribution of P- and S-symbiont bacteriocytes inC. cedri could be interpreted as the P-symbiont being replaced with the S symbiont. In insects, the best evidence of an endosymbiont replacement was recently found inSitophilus spp. of the family Dryophthoridae (24). The currently ongoing sequencing ofB. aphidicola fromC. cedri in our laboratory will help us to understand whether this reduced genome is still able to perform the necessary functions for symbiotic life or if some of these functions have been overtaken by the abundant S symbionts.
In spite of the high prevalence ofWolbachia throughout arthropod species, no aphid species has been described to be associated with these bacteria before.Rickettsia (PAR) is the only α-proteobacterium that was previously found in aphids, as it was found in the hemolymph ofA. pisum with different levels of infection (7,8,27,49). Here we report the presence ofWolbachia in the aphidC. cedri. If it is confirmed thatC. cedri populations are naturally infected withWolbachia, the phenotypic effects on the host should be further investigated. Nevertheless, according to its phylogenetic position (Fig.2c), we hypothesize that CI is the most probable phenotypic effect (57). The other two host effects (i.e., parthenogenesis and male killing) cannot be excluded. Indeed, since noninfectedC. cedri possesses sexual and asexual lineages, the presence ofWolbachia could increase the prevalence of asexual lineages, as previously described for the Hymenopteran group (42).
Genes encoding homologs of the type IV secretion system, used by many pathogenic bacteria to secrete macromolecules, are also present and expressed inWolbachia (25). It has been postulated thatWolbachia secretes certain molecules that may participate in the expression of CI through the type IV secretion system. It would be interesting to investigate whether an activevir operon containing these genes is also present in strain wCce and whether the secretion of macromolecules affects the two other symbionts that are already established inC. cedri.
Variations in genome size inWolbachia strains reach about 550 kb (43), which is even higher than the up to 200-kb variations found amongB. aphidicola strains (18). This suggests that, similar to the case forB. aphidicola, adaptations to different host lifestyles are taking place inWolbachia. The most reduced genomes correspond toWolbachia strains infecting nematodes (0.95 to 1.1 Mb), which are considered to be more like classical mutualists, and the largest genome was found in the parasitic A group ofWolbachia (43). However, contrary to the gene order conservation observed inB. aphidicola strains, frequent rearrangement events duringWolbachia evolution have been observed (56), which could have important consequences on the virulence of the strains. A comparison of the physical and genetic maps of the virulentWolbachia strain wMelPop with those of the closely related benign strain wMel have shown that the two genomes are largely conserved, with the exception of a single inversion in the chromosome (44). The rearrangements inWolbachia likely correspond to the introduction and massive expansion of repeat element families that are absent from other obligate intracellular species (56).
SinceWolbachia has not been previously found in aphids, its presence inC. cedri may be the product of an infection by horizontal transfer from some other insect. Parasitoids have been proposed as a possible vector for transmittingWolbachia (52). Thus, we hypothesized that the parasitoids of the subfamily Lachninae, the Aphidinae of the genusPauesia, may be good candidates for horizontal transfer events. So far, noWolbachia strain has been described as being present in any species of this genus.
Acknowledgments
Financial support was provided by projects BFM2003-00305 from Ministerio de Ciencia y Tecnología and Grupos 03/204 from Generalitat Valenciana.
We thank J. M. Michelena and P. González for aphid species identification and Rosario Gil and Juan José Canales for critical reading of the manuscript. We also acknowledge the “Servicio de Secuenciación de ácidos nucléicos y proteínas” at SCSIE (Universitat de València) for sequencing support.
REFERENCES
- 1.Akman, L., A. Yamashita, H. Watanabe, K. Oshima, T. Shiba, M. Hattori, and S. Aksoy. 2002. Genome sequence of the endocellular obligate symbiont of tsetse flies,Wigglesworthia glossinidia. Nat. Genet. 32:402-407. [DOI] [PubMed] [Google Scholar]
- 2.Ausubel, F. M., R. Brent, R. E. Kingston, D. D. Moore, J. G. Seidman, J. A. Smith, and K. Struhl. 1989. Current protocols in molecular biology. Greene Publishing, Brooklyn, N.Y.
- 3.Bandi, C., T. J. C. Anderson, C. Genchi, and M. Blaxter. 1998. Phylogeny ofWolbachia in filarial nematodes. Proc. R. Soc. Lond. B 265:2407-2413. [DOI] [PMC free article] [PubMed] [Google Scholar]
- 4.Baumann, P., N. A. Moran, and L. Baumann. 2000. Bacteriocyte-associated endosymbionts of insects, p. 1-67.In M. Dworkin (ed.), The prokaryotes. Springer-Verlag, New York, N.Y.
- 5.Bordenstein, S. R., F. P. O'Hara, and J. H. Werren. 2001.Wolbachia-induced incompatibility precedes other hybrid incompatibilities inNasonia. Nature 409:707-710. [DOI] [PubMed] [Google Scholar]
- 6.Buchner, P. 1965. Endosymbiosis of animals with plant microorganisms. Interscience, New York, N.Y.
- 7.Chen, D. Q., and A. H. Purcel. 1997. Occurrence and transmission of facultative endosymbionts in aphids. Curr. Microbiol. 34:220-225. [DOI] [PubMed] [Google Scholar]
- 8.Chen, D. Q., B. C. Campbell, and A. H. Purcell. 1996. A newRickettsia from a herviborous insect, the pea aphidAcyrthosiphon pisum (Harris). Curr. Microbiol. 33:123-128. [DOI] [PubMed] [Google Scholar]
- 9.Chen, D. Q., C. B. Montllor, and A. H. Purcel. 2000. Fitness effects of two facultative endosymbiotic bacteria on the pea aphidAcyrthosiphon pisum and the blue alfalfa aphid. Entomol. Exp. Appl. 95:315-323. [Google Scholar]
- 10.Clark, M., N. A. Moran, and P. Baumann. 1999. Sequence evolution in bacterial endosymbionts having extreme base composition. Mol. Biol. Evol. 16:1586-1598. [DOI] [PubMed] [Google Scholar]
- 11.Dale, C., S. A. Young, D. T. Haydon, and S. C. Welburn. 2001. The insect endosymbiontSodalis glosinidius utilizes a type III secretion system for cell invasion. Proc. Natl. Acad. Sci. USA 98:1883-1888. [DOI] [PMC free article] [PubMed] [Google Scholar]
- 12.Darby, A. C., L. M. Birkle, S. L. Turner, and A. E. Douglas. 2001. An aphid-borne bacterium allied to the secondary symbionts of whitefly. FEMS Microbiol. Ecol. 36:43-50. [DOI] [PubMed] [Google Scholar]
- 13.Ferrari, J., A. C. Darby, T. J. Daniell, H. C. J. Godfray, and A. E. Douglas. 2004. Linking the bacterial community in pea aphids with host-plant use and natural enemy resistance. Ecol. Entomol. 29:60-65. [Google Scholar]
- 14.Fukatsu, T., and H. Ishikawa. 1996. Phylogenetic position of yeast-like symbionts ofHamiltonaphi styrace (Homoptera, aphididae) based on 18S rDNA sequence. Insect Biochem. Mol. Biol. 26:383-388. [DOI] [PubMed] [Google Scholar]
- 15.Fukatsu, T., and H. Ishikawa. 1998. Differential immunohistochemical visualization of the primary and secondary intracellular symbiotic bacteria of aphids. Appl. Entomol. Zool. 33:321-326. [Google Scholar]
- 16.Fukatsu, T., T. Tsuchida, N. Nikoh, and R. Koga. 2001.Spiroplasma symbiont of the pea aphid,Acyrthosiphon pisum (Insecta: Homoptera). Appl. Environ. Microbiol. 67:1284-1291. [DOI] [PMC free article] [PubMed] [Google Scholar]
- 17.Fukatsu, T., K. Watanabe, and Y. Sekiguchi. 1998. Specific detection of intracellular symbiotic bacteria of aphids by oligonucleotide-probed in situ hybridisation. Appl. Entomol. Zool. 33:461-472. [Google Scholar]
- 18.Gil, R., B. Sabater-Muñoz, A. Latorre, F. J. Silva, and A. Moya. 2002. Extreme genome reduction inBuchnera spp.: toward the minimal genome needed for symbiotic life. Proc. Natl. Acad. Sci. USA 99:4454-4458. [DOI] [PMC free article] [PubMed] [Google Scholar]
- 19.Gil, R., F. J. Silva, E. Zientz, F. Delmotte, F. Gonzalez-Candelas, A. Latorre, C. Rausell, J. Kamerbeek, J. Gadau, B. Holldobler, R. C. H. J. van Ham, R. Gross, and A. Moya. 2003. The genome sequence ofBlochmannia floridanus: comparative analysis of reduced genomes. Proc. Natl. Acad. Sci. USA 100:9388-9393. [DOI] [PMC free article] [PubMed] [Google Scholar]
- 20.Heddi, A., A. M. Grenier, C. Khatchadourian, H. Charles, and P. Nardon. 1999. Four intracellular genomes direct weevil biology: nuclear, mitochondrial, principal endosymbiont, andWolbachia. Proc. Natl. Acad. Sci. USA 96:6814-6819. [DOI] [PMC free article] [PubMed] [Google Scholar]
- 21.Koga, R., T. Tsuchida, and T. Fukatsu. 2003. Changing partners in an obligate symbiosis: a facultative endosymbiont can compensate for loss of the essential endosymbiontBuchnera in an aphid. Proc. R. Soc. Lond. B 270:2543-2550. [DOI] [PMC free article] [PubMed] [Google Scholar]
- 22.Kumar, S., K. Tamura, I. Jakobsen, and M. Nei. 2001. MEGA 2: molecular evolutionary genetic analysis software. Bioinformatics 17:1244-1245. [DOI] [PubMed] [Google Scholar]
- 23.Latorre, A., A. Moya, and F. J. Ayala. 1986. Evolution of mitochondrial DNA inDrosophila suboscura. Proc. Natl. Acad. Sci. USA 83:8649-8653. [DOI] [PMC free article] [PubMed] [Google Scholar]
- 24.Lefèvre, C., H. Charles, A. Vallier, B. Delobel, B. Farell, and A. Heddi. 2004. Endosymbiont phylogenesis in the Dryophthoridae weevils: evidence for bacterial replacement. Mol. Biol. Evol. 21:965-973. [DOI] [PubMed] [Google Scholar]
- 25.Masui, S., T. Sasaki, and H. Ishikawa. 2000. Genes for the type IV secretion system in an intracellular symbiont,Wolbachia, a causative agent of various sexual alterations in arthropods. J. Bacteriol. 182:6529-6531. [DOI] [PMC free article] [PubMed] [Google Scholar]
- 26.Min, K. T., and S. Benzer. 1997.Wolbachia, normally a symbiont ofDrosophila, can be virulent, causing degeneration and early death. Proc. Natl. Acad. Sci. USA 94:10792-10796. [DOI] [PMC free article] [PubMed] [Google Scholar]
- 27.Montllor, C. B., A. Maxmen, and A. H. Purcell. 2002. Facultative bacterial endosymbionts benefit pea aphidsAcyrthosiphon pisum under heat stress. Ecol. Entomol. 27:189-195. [Google Scholar]
- 28.Moran, N. A., and P. Baumann. 1994. Phylogenetics of cytoplasmically inherited microorganisms of arthropods. Trends Ecol. Evol. 9:15-20. [DOI] [PubMed] [Google Scholar]
- 29.Moran, N. A., and J. J. Wernegreen. 2000. Lifestyle evolution in symbiotic bacteria: insights from genomics. Trends Ecol. Evol. 15:321-326. [DOI] [PubMed] [Google Scholar]
- 30.Moran, N. A., M. A. Munson, P. Baumann, and H. Ishikawa. 1993. A molecular clock in endosymbiotic bacteria is calibrated using the insect host. Proc. R. Soc. Lond. B 253:167-171. [Google Scholar]
- 31.Moya, A., A. Latorre, B. Sabater, and F. J. Silva. 2002. Comparative molecular evolution of primary (Buchnera) and putative secondary endosymbionts of aphids based on two protein-coding genes. J. Mol. Evol. 54:127-137. [DOI] [PubMed] [Google Scholar]
- 32.Munson, M. A., M. A. Clark, L. Baumann, N. A. Moran, D. J. Voegtlin, and B. Campbell. 1991. Evidence for the establishment of aphid-eubacterium endosymbiosis in an ancestor of four aphid families. J. Bacteriol. 173:6321-6324. [DOI] [PMC free article] [PubMed] [Google Scholar]
- 33.Oliver, K. M., J. A. Russell, N. A. Moran, and M. S. Hunter. 2003. Facultative bacterial symbionts in aphids confer resistance to parasitic wasps. Proc. Natl. Acad. Sci. USA 10:1803-1807. [DOI] [PMC free article] [PubMed] [Google Scholar]
- 34.O'Neill, S. L., A. A. Hoffmann, and J. H. Werren (ed.). 1997. Influential passengers: inherited microorganisms and arthropod reproduction. Oxford University Press, Oxford, United Kingdom.
- 35.Posada, D., and K. A. Crandall. 1998. Modeltest: testing the model of DNA substitution. Bioinformatics 14:817-818. [DOI] [PubMed] [Google Scholar]
- 36.Rigaud, T. 1997. Inherited microorganisms and sex determination of arthropod hosts, p. 81-101.In S. L. O'Neill, A. A. Hoffmann, and J. H. Werren (ed.), Influential passengers. Oxford University Press, Oxford, United Kingdom.
- 37.Russell, J. A., A. Latorre, B. Sabater-Muñoz, A. Moya, and N. A. Moran. 2003. Side-stepping secondary symbionts: widespread horizontal transfer across and beyond the Aphidoidea. Mol. Ecol. 12:1061-1075. [DOI] [PubMed] [Google Scholar]
- 38.Sabater-Muñoz, B., R. C. H. J. van Ham, A. Moya, F. J. Silva, and A. Latorre. 2004. Evolution of the leucine gene cluster inBuchnera aphidicola: insights from chromosomal versions of the cluster. J. Bacteriol. 186:2646-2654. [DOI] [PMC free article] [PubMed] [Google Scholar]
- 39.Sandström, J. P., J. A. Russell, J. P. White, and N. A. Moran. 2001. Independent origins and horizontal transfer of bacterial symbiont of aphids. Mol. Ecol. 10:217-228. [DOI] [PubMed] [Google Scholar]
- 40.Shigenobu, S., H. Watanabe, M. Hattori, Y. Sakaki, and H. Ishikawa. 2000. Genome sequence of the endocellular bacterial symbiont of aphidsBuchnera sp. APS. Nature 407:81-86. [DOI] [PubMed] [Google Scholar]
- 41.Simon, J. C., S. Carré, M. Boutin, N. Prunier-Leterme, B. Sabater-Muñoz, A. Latorre, and R. Bournoville. 2003. Host-based divergence in populations of the pea aphid: insights from nuclear markers and the prevalence of facultative symbionts. Proc. R. Soc. Lond. B 270:1703-1712. [DOI] [PMC free article] [PubMed] [Google Scholar]
- 42.Stouthamer, R., J. A. J. Breeuwer, and G. D. D. Hurst. 1999.Wolbachia pipientis: microbial manipulation of arthropod reproduction. Annu. Rev. Microbiol. 53:71-102. [DOI] [PubMed] [Google Scholar]
- 43.Sun, L. V., J. M. Foster, G. Tzertzinis, M. Ono, C. Bandi, B. E. Slatko, and S. L. O'Neill. 2001. Determination ofWolbachia genome size by pulsed-field gel electrophoresis. J. Bacteriol. 183:2219-2225. [DOI] [PMC free article] [PubMed] [Google Scholar]
- 44.Sun, L. V., M. Riegler, and S. L. O'Neill. 2003. Development of a physical and genetic map of the virulentWolbachia strainwMelPop. J. Bacteriol. 185:7077-7084. [DOI] [PMC free article] [PubMed] [Google Scholar]
- 45.Tamas, I., L. Klasson, B. Canback, A. K. Naslund, A. S. Eriksson, J. Wernegreen, J. Sandstrom, N. A. Moran, and S. G. Andersson. 2002. 50 million years of genomic stasis in endosymbiotic bacteria. Science 296:2376-2379. [DOI] [PubMed] [Google Scholar]
- 46.Taylor, M. J., and A. Hoerauf. 1999. Wolbachia bacteria of filarial nematodes. Parasitol. Today 15:437-442. [DOI] [PubMed] [Google Scholar]
- 47.Thompson, J. D., T. J. Gibson, F. Plewniak, F. Jeanmougin, and D. G. Higgins. 1997. The CLUSTAL X windows interface: flexible strategies for multiple sequence alignment aided by quality analysis tools. Nucleic Acids Res. 25:4876-4882. [DOI] [PMC free article] [PubMed] [Google Scholar]
- 48.Tsuchida, T., R. Koga, and T. Fukatsu. 2004. Host plant specialization governed by facultative symbiont. Science 303:1989. [DOI] [PubMed] [Google Scholar]
- 49.Tsuchida, T., R. Koga, H. Shibao, T. Matsumoto, and T. Fukatsu. 2002. Diversity and geographic distribution of secondary endosymbiotic bacteria in natural populations of the pea aphidAcyrthosiphon pisum. Mol. Ecol. 11:2123-2135. [DOI] [PubMed] [Google Scholar]
- 50.Unterman, B. M., P. Baumann, and D. L. McLean. 1989. Pea aphid symbiont relationships established by analysis of 16S rRNAs. J. Bacteriol. 171:2970-2974. [DOI] [PMC free article] [PubMed] [Google Scholar]
- 51.van Ham, R. C. H. J., J. Kamerbeek, C. Palacios, C. Rausell, F. Abascal, U. Bastolla, J. M. Fernandez, L. Jimenez, M. Postigo, F. J. Silva, J. Tamames, E. Viguera, A. Latorre, F. Moran, and A. Moya. 2003. Reductive genome evolution inBuchnera aphidicola. Proc. Natl. Acad. Sci. USA 100:581-586. [DOI] [PMC free article] [PubMed] [Google Scholar]
- 52.Vavre, F., F. Fleury, D. Lepetit, P. Fouillet, and M. Boulétreau. 1999. Phylogenetic evidence for horizontal transmission ofWolbachia in host-parasitoid associations. Mol. Biol. Evol. 16:1711-1723. [DOI] [PubMed] [Google Scholar]
- 53.von Dohlen, C. D, and N. A. Moran. 2000. Molecular data support a rapid radiation of aphids in the Cretaceous and multiple origins of host alteration. Biol. J. Linn. Soc. 71:689-717. [Google Scholar]
- 54.Werren, J. H. 1997. Biology of Wolbachia. Annu. Rev. Entomol. 42:587-609. [DOI] [PubMed] [Google Scholar]
- 55.Werren, J. H., W. Zhang, and L. R. Guo. 1995. Evolution and phylogeny ofWolbachia: reproductive parasites of arthropods. Proc. R. Soc. Lond. B 261:55-63. [DOI] [PubMed] [Google Scholar]
- 56.Wu, M., L. V. Sun, J. Vamathevan, M. Riegler, R. Deboy, J. C. Brownlie, E. A. McGraw, W. Martin, C. Esser, N. Ahmadinejad, C. Wiegand, R. Madupu, M. J. Beanan, L. M. Brinkac, S. C. Daugherty, A. S. Durkin, J. F. Kolonay, W. C. Nelson, Y. Mohamoud, P. Lee, K. Berry, M. B. Young, T. Utterback, J. Weidman, W. C. Nierman, I. T. Paulsen, K. E. Nelson, H. Tettelin, S. L. O'Neill, and J. A. Eisen. 2004. Phylogenomics of the reproductive parasite Wolbachia pipientiswMel: a streamlined genome overrun by mobile genetic elements. PLoS Biol. 2:327-341. [DOI] [PMC free article] [PubMed] [Google Scholar]
- 57.Zhou, W., F. Rousset, and S. O'Neill. 1998. Phylogeny and PCR-based classification ofWolbachia strains usingwsp gene sequences. Proc. R. Soc. Lond. B 265:509-515. [DOI] [PMC free article] [PubMed] [Google Scholar]


