
MR Findings of Alprazolam Injection into the Femoral Artery with Microembolization and Rhabdomyolysis
Eric C Wang
Felix S Chew
Eric C. Wang and Felix S. Chew are from the University of Washington, Department of Radiology, Seattle, WA, United States of America.
Collection date 2006.
This is an open access article under the CC BY-NC-ND license (http://creativecommons.org/licenses/by-nc-nd/4.0/).
Introduction
Intravenous drug abuse unfortunately remains an extremely common problem worldwide, accounting for innumerable medical issues ranging from the transmission of human immunodeficiency virus (HIV) and other blood-borne diseases to skin necrosis to vasculitis to death [1]. We present a case of intra-arterial injection of alprazolam into the right femoral artery resulting in microembolization, acute ischemia and rhabdomyolysis of the thigh, as documented by magnetic resonance (MR) and laboratory findings.
Abbreviations: HIV, human immunodeficiency virus; MR, magnetic resonance; IV, intravenous; ED, emergency department; STIR, short tau inversion recovery; FSE, fast spin echo
Case Report
A 29 year old intravenous (IV) drug user presented to the emergency department (ED) with complaints of acute excruciating right leg pain. On the morning of admission, the patient crushed three tablets of alprazolam 0.5 mg, filtered it through sterile water, and attempted to inject his right femoral vein but mistakenly injected the femoral artery, as evidenced by a reported large backflow of blood. The patient's right lower extremity then immediately turned cold and mottled, with what he described as 10/10 pain.
The patient's past medical history was remarkable for polysubstance abuse, abscess drainange one month prior, and methadone treatment. Current medications included methadone 49 mg once per day.
On physical exam, the patient refused to move the right lower extremity, which was mottled and blanched with palpation. Ankle-brachial indices were greater than 1.0, normal and symmetric bilaterally. Vascular ultrasound evaluation demonstrated normal arterial flow of the right distal external iliac, common femoral, proximal profunda and superficial femoral arteries with normal waveform contour and velocities. The right common femoral, profunda and femoral veins also demonstrated normal, spontaneous, phasic flow. However, the right greater saphenous vein was occluded, likely unrelated to this episode.
Urinalysis was positive for opiates, benzodiazepines, and methamphetamines. At presentation leukocyte count was minimally elevated at 12,000 cells/µL (normal 4,300-10,000). Serum creatine kinase and myoglobin were extremely elevated at 16,060 U/L (normal 30-285) and 1,281 ng/mL (normal 18-124) respectively. Urine myoglobin was also extremely elevated at 50,300 µg/L (normal 0-52). Serum creatinine remained normal throughout the hospital stay.
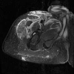
Magnetic resonance imaging of the right thigh demonstrated extensive high short tau inversion recovery (STIR) signal abnormality in the thigh musculature, involving portions of the anterior, adductor, and posterior compartments. In the anterior compartment, the greatest involvement was of the vastus lateralis and rectus femoris, with less involvement of the vastus medialis and vastus intermedius. The sartorius and gracilis were involved to a moderate extent. In the adductor compartment, the adductor magnus was most severely involved, with lesser involvement of the adductor longus and brevis. In the posterior compartment, the semimembranosus was most involved with minimal involvement of the biceps femoris and virtual sparing of the semitendinosus. Subfascial fluid collections were present surrounding all compartments, greatest along the lateral aspect of the anterior compartment (Figure 1,Figure 2a,Figures 2 b-c,Figure 2d). Vascular surgery was consulted and agreed with nonoperative treatment. Medical therapy consisting of low molecular weight heparin, aspirin, and amlodipine was initiated in order to prevent vessel spasm and thrombosis. Leukocytosis ensued on hospital day two with peak of 29,600 per microliter, at which point vancomycin was started empirically for presumed bacteremia secondary to intravenous drug use. However, it was eventually decided the leukocytosis was secondary to rhabdomyolysis, and the vancomycin was discontinued after two days. Pain in the right lower extremity decreased, and the patient was discharged home the following day and scheduled to follow-up in methadone clinic.
Figure 1.

Axial tau fast spin echo (FSE) of the right thigh demonstrating normal musculature with extensive subcutaneous and subfascial edema. [Powerpoint Slide]
Figure 2a.

Axial STIR images of the right thigh in axial planes demonstrating extensive high signal abnormality in the adductor, anterior, and posterior compartments, representing edema and ischemia from alprazolam microembolism. [Powerpoint Slide]
Figures 2 b-c.
STIR images of the right thigh in axial planes demonstrating extensive high signal abnormality in the adductor, anterior, and posterior compartments, representing edema and ischemia from alprazolam microembolism. [Powerpoint Slide]
Figure 2d.

Coronal STIR image of the right thigh in coronal planes demonstrating extensive high signal abnormality in the adductor, anterior, and posterior compartments, representing edema and ischemia from alprazolam microembolism. [Powerpoint Slide]
Discussion
Intravenous drug users often develop bacteremia, endocarditis, cutaneous infections, ulcers, and abscesses from their activities [1,2]. However, inadvertent or deliberate intra-arterial injection also occurs commonly, causing severe tissue ischemia and necrosis. Immediately after injection, the patient feels intense pain and burning, followed by edema and cyanosis of the arterial territory within hours [3,4]. In the most severe of cases, necrosis may occur, leading to amputation. Several differing mechanisms have been suggested that might explain the cause of such vascular injury. The drug itself may cause direct vasoconstriction as in the case of cocaine or amphetamines, or the additives in the drugs may cause vasospasm or thrombosis [5]. Finally, the drug mixture microparticles may act as emboli, especially when oral drug formulations are injected [6,7].
In this case, the intra-arterial injection of alprazolam caused microembolism resulting in right thigh muscle ischemia and rhabdomyolysis in the vascular distribution of the femoral artery. Fortunately, there was no compartment syndrome and the patient escaped without surgery.
MR is a highly sensitive technique for the imaging of skeletal muscle. It is extremely sensitive for evaluating pathologic processes including inflammation, infection, autoimmune disease, neoplasm, and trauma, among others. However, while the signal changes in skeletal muscle on MR may be extremely sensitive, they may not always be specific, and oftentimes the interpretation is highly affected by clinical history, laboratory findings, and histologic findings. In this case the history of intra-arterial drug injection provides important relevant data to guide the MR interpretation of necrosis and rhabdomyolysis.
Subfascial fluid collections were also present, and in the appropriate clinical setting necrotizing fasciitis should be considered. Gadolinium has a role in distinguishing between necrotizing and non-necrotizing fasciitis; necrotizing fasciitis will not demonstrate enhancement of the fascia [8]. However, gadolinium was not administered for this patient because of the credible history given by the patient and the low clinical suspicion for necrotizing fasciitis. Furthermore, it should be emphasized that although necrotizing fasciitis may be suggested by certain MR, computed tomography, and even ultrasound findings, the diagnosis of necrotizing fasciitis is not solely an imaging diagnosis and is highly reliant on clinical picture and laboratory findings [8].
Our institution utilizes a protocol of T1 FSE, STIR, and T1 FSE with fat saturation on most non-neoplastic skeletal and soft tissue MR examinations. The T1 sequence is crucial to evaluate for mass lesions, fatty infiltration, blood products, or proteinaceous material. The STIR sequence is highly sensitive for free water and used primarily for evaluation of muscle edema.
The management of intra-arterial drug injection resulting in only mild to moderate limb ischemia has traditionally been nonsurgical, consisting of heparin as well as limb elevation and pain control [4]. Many other medical treatment regimens have been utilized, including vasodilators, anticoagulants, and corticosteroids [9,10,11], but clinical efficacy has yet to be rigorously established. If edema and ischemia are more severe and lead to compartment syndrome, emergent faciotomy is necessary to preserve the limb and to avoid possible amputation.
In summary, patients with a known history of intravenous drug use and reported sudden onset of extremity pain after injection should be under high suspicion for intra-arterial injection with microembolism. Such patients are best evaluated with MR utilizing a T1 and STIR and/or T2 fat saturation sequence. Given this history, the diagnosis of muscle ischemia or necrosis is a relatively straight forward one, and the MR findings are sensitive and specific for detecting muscle edema and ischemia.
Footnotes
Published: September 7, 2006
References
- 1.Cherubin CE, Sapira JD. The medical complications of drug addiction and the medical assessment of the intravenous drug user: 25 years later. Ann Intern Med. 1993 Nov 15;119(10):1017–1028. doi: 10.7326/0003-4819-119-10-199311150-00009.[PubMed] [DOI] [PubMed] [Google Scholar]
- 2.Beaufoy A. Infections in intravenous drug users: a two-year review. Can J Infect Control. 1993 Spring;8(1):7–9.[PubMed] [PubMed] [Google Scholar]
- 3.Woodburn KR, Murie JA. Vascular complications of injecting drug misuse. Br J Surg. 1996 Oct;83(10):1329–1334. doi: 10.1002/bjs.1800831005.[PubMed] [DOI] [PubMed] [Google Scholar]
- 4.Treiman GS, Yellin AE, Weaver FA, Barlow WE, Treiman RL, Gaspar MR. An effective treatment protocol for intraarterial drug injection. J Vasc Surg. 1990 Oct;12(4):456–465. doi: 10.1067/mva.1990.22784.[PubMed] discussion 465-6. [DOI] [PubMed] [Google Scholar]
- 5.Heng MC, Feinberg M, Haberfelde G. Erythematous cutaneous nodules caused by adulterated cocaine. J Am Acad Dermatol. 1989;21:570–572. doi: 10.1016/s0190-9622(89)80230-0.[PubMed] [DOI] [PubMed] [Google Scholar]
- 6.Somers WJ, Lowe FC. Localized gangrene of the scrotum and penis: a complication of heroin injection into the femoral vessels. J Urol. 1986;136:111–113. doi: 10.1016/s0022-5347(17)44750-1.[PubMed] [DOI] [PubMed] [Google Scholar]
- 7.Bahia H, Moazzam A, Ramakrishnan A. Penoscrotal necrosis complicating intravenous drug abuse. Br J Plast Surg. 1999;52:324–325.[PubMed] [PubMed] [Google Scholar]
- 8.Fugitt JB, Puckett ML, Quigley MM, Kerr SM. Necrotizing fasciitis. Radiographics. 2004 Sep-Oct;24(5):1472–1476. doi: 10.1148/rg.245035169.[PubMed] [DOI] [PubMed] [Google Scholar]
- 9.Silverman SH, Turner WW., Jr Intraarterial drug abuse: new treatment options. J Vasc Surg. 1991 Jul;14(1):111–116. doi: 10.1067/mva.1991.27972.[PubMed] [DOI] [PubMed] [Google Scholar]
- 10.Stueber K. The treatment of intraarterial pentazocine injection injuries with intraarterial reserpine. Ann Plast Surg. 1987 Jan;18(1):41–46. doi: 10.1097/00000637-198701000-00010.[PubMed] [DOI] [PubMed] [Google Scholar]
- 11.Andreev A, Kavrakov T, Petkov D, Penkov P. Severe acute hand ischemia following an accidental intraarterial drug injection, successfully treated with thrombolysis and intraarterial Iloprost infusion. Angiology. 1995 Oct;46(10):963–967. doi: 10.1177/000331979504601013.[PubMed] [DOI] [PubMed] [Google Scholar]
