
Expression cloning and characterization of a cDNA encoding a novel membrane protein required for the formation ofO-acetylated ganglioside: A putative acetyl-CoA transporter
Akiko Kanamori
Jun Nakayama
Michiko N Fukuda
William B Stallcup
Katsutoshi Sasaki
Minoru Fukuda
Yoshio Hirabayashi
Present address: Central Clinical Laboratories, Shinshu University Hospital, Matsumoto 390, Japan.
To whom reprint requests should be addressed. e-mail:minoru@ljcrf.edu.
To whom reprint requests should be addressed. e-mail:hirabaya@postman.riken.go.jp.
Helen M. Ranney, Alliance Pharmaceutical Corp., San Diego, CA
Received 1996 Oct 21; Accepted 1997 Jan 29.
Abstract
By expression cloning using COS-1 cells stably transfected with GD3-synthase (COS-1/GD3+) as a recipient cell line, we have isolated a cDNA, termed AT-1, encoding a novel protein required for the formation ofO-acetylated (Ac) gangliosides. The cDNA encodes a protein with multitransmembrane spanning domains with a leucine zipper motif. It consists of 549 amino acids and has a molecular mass of 60.9 kDa. Although bothO-Ac-GD3 andO-Ac-GT3 were barely detectable in recipient cells or cells transfected with the vector alone, their amount increased significantly in transfectants containing AT-1. When semi-intact cells prepared by treatment with streptolysin O were incubated with [Ac-14C]Ac-CoA, increased incorporation of radioactivity was found in those cells transfected with AT-1 when compared with the mock transfectants. Northern blot analysis showed two major transcripts of 3.3 and 4.3 kb in all tissues examined. Immunohistochemical study with an antibody specific to the AT-1 protein suggested that it is most probably expressed in the endoplasmic reticulum membrane. Based on these results, the protein encoded by AT-1 is suggested to be an Ac-CoA transporter that is involved in the process ofO-acetylation.
Keywords: acetyl-CoA,O-acetylated sialic acid/multitransmembrane spanning domains/leucine zipper motif
The structural diversity and complexity of sugar chains in membrane gangliosides are caused in part by the occurrence of several different species of sialic acid molecules. WhileN-acetylneuraminic acid (NeuAc) andN-glycolylneuraminic acid are the most prevalent sialic acids in gangliosides in the brain, theirO-acetylated forms are also found as minor components in LD1, B-series gangliosides including GD3 and GT1b, and C-series [NeuAcα(2-8)NeuAcα(2-8)NeuAcα(2-3)Gal-R] gangliosides (1–6). Some biological properties are assumed to be associated with the modification of sialic acids byO-acetylation. For example, the expression of 9-O-acetylated gangliosides is apparently associated with neural cell differentiation and migration (7). 9-O-acetylated GD3 detected by D1.1 antibody in rat brain was found to be localized in germinal cell zones but to disappear from postmitotic cells. It is absent in normal adult brain (8). In the weaver mouse, however, the persistent expression of 9-O-acetylated gangliosides in the adult brain was associated with a defect in cerebellar granule cell migration (9). The attachment of anO-Ac group in sialic acid residues causes significant effects on the enzymes of sialic acid metabolism such as sialidases. Effects are also seen on virus binding, cell adhesion, and the immunogenicity of sialic acid residues of gangliosides (for a review, see ref.10).
In spite of its importance, theO-acetylation mechanism is poorly understood at the molecular and genetic levels. A series of work done by Varki’s group (10) indicates that production ofO-acetylated gangliosides is not a simple process, requiring the colocalization of the acceptor ganglioside GD3, acetyl-CoA (Ac-CoA) transporter, and acetyltransferase in the same Golgi compartment. In fact, it was shown that detection ofin vitro acetyltransferase activity was extremely difficult and the transfer activity was quickly lost once intact cell membrane preparations were treated with detergents (ref.11; A.K., M.F., and Y.H., unpublished observation).
For further understanding of theO-acetylation mechanism, the isolation and characterization of each factor involved in the formation ofO-acetylated gangliosides is necessary. For this purpose, we have used mammalian expression cloning with a newly devised protocol. Previously, we have demonstrated that a single α-2,8-sialyltransferase enzyme, ST8Sia I, can catalyze the formation of both GD3 and GT3 (12). Thus, by transfecting the ST8Sia I cDNA into COS-1 cells, we could prepare a recipient cell line expressing precursor gangliosides, GD3 and GT3, required forO-acetylation. Using this cell line and antibodies specific to theO-Ac-gangliosides (3,8), we have isolated a cDNA, AT-1, encoding an entirely novel protein involved in the expression ofO-acetylated gangliosides. The predicted protein structure andin vitro assay study indicate that this protein is an Ac-CoA translocator or transporter.
MATERIALS AND METHODS
Antibodies.
mAb M6703, specific for GT3 having NeuNAcα(2-8)NeuNAcα(2-8)NeuNAcα(2-3)Galβ(1-R) structure of C-series polysialogangliosides was prepared as described (13). mAb R24 shown to react with GD3 (14), was obtained from American Type Culture Collection. mAb D1.1, which recognizes 9-O-acetylated disialogangliosides, was established as described (8), and mAb 493D4 reacting with 9-O-acetylated GT3 was kindly provided by S. Fujita (Mitsubishi Kasei Institute of Life Sciences) (33). Polyclonal antibodies against the synthetic N-terminal 14-amino acid peptide of the AT-1 protein were prepared as described (15).
Construction of Stable Transfectants for Recipient Cells.
Stable transfectant COS-1 cells expressing GD3 were established as reported (12), and one clone named COS-1/GD3+ was isolated and used as recipient cells for expression cloning. Stable transfectants of human cervical epitheloid carcinoma HeLa cells expressing GD3 and GT3 were also established as reported (12), and one clone named HeLa/GT3+ was isolated and used as recipient cells for establishment of stable transfectants of the cloned cDNA.
Isolation of a cDNA Clone Encoding a Factor Required for Expression of 9-O-Acetylated Gangliosides.
SK-MEL-28 cells were shown to strongly expressO-Ac-GD3 ganglioside (16). A mammalian expression vector-based cDNA library, pcDNAI-SK-MEL-28 constructed from poly(A)+ RNA isolated from human melanoma SK-MEL-28 cells (12), was thus purchased from Invitrogen. COS-1/GD3+ cells (1.2 × 107 cells) were transfected with 20 μg of pcDNAI-SK-MEL-28 using lipofectamine (Life Technologies, Gaithersburg, MD). After 60 hr, the acetylated ganglioside-positive cells were isolated by fluorescence-activated cell sorting (FACStar; Becton Dickinson) using mAb D1.1 (8), which reacts with 9-O-acetylated GD3 (3). Plasmid DNA was isolated by the Hirt procedure (17) from the sorted cells and then amplified in the host bacteria MC1061/P3 in the presence of ampicillin and tetracycline. The plasmids obtained were introduced again to COS-1/GD3+ cells and enrichment ofO-Ac-GD3-positive COS-1 cells was repeated again.
Plasmids isolated from the sorted COS-1/GD3+ cells reactive with mAb D1.1 were subjected to sibling selection. Plasmid DNA was separately transfected into COS-1/GD3+ cells, and the transfectants were screened by immunofluorescence microscopy using mAb D1.1 to isolate a single plasmid, named AT-1, encoding a factor required for expression of 9-O-acetylated gangliosides. The nucleotide sequence was determined in both directions by the dideoxy nucleotide chain termination method as described (12).
Establishment of Stable Transfectants of AT-1.
HeLa/GT3+ cells were cotransfected with AT-1 and pSV2HyB (10:1) and selected by hygromycin B resistance. The transfected cells expressing 9-O-acetylated GT3 were screened by immunofluorescent staining with mAb 493D4, and one clone was isolated and termed HeLa/GT3+/AT-1 cells.
Northern Blot Analysis of Various Human Tissues and Transfectants.
Samples of poly(A)+ RNA prepared from stable transfectants were electrophoresed in an agarose gel containing 2.2 M formaldehyde and transferred to a nylon filter (Hybond TM-N; Amersham). Northern blot analysis of poly(A)+ RNA from human tissues (Human Multiple Tissue Northern Blots; CLONTECH) and cell lines were performed and these blots were hybridized with a gel-purified cDNA insert of AT-1 after labeling with [α-32P]dCTP by multiprime DNA labeling systems (Amersham).
TLC of Glycosphingolipids.
Analytical thin-layer chromatography was carried out on precoated TLC plates (Kieselgel 60; Merck). The solvent system used was chloroform, methanol, and 12 mM MgCl2 in water (5:4:1, by volume). Gangliosides were visualized by resorcinol/HCl reagent. Isolation of gangliosides from 5 × 105 transfected cells and TLC-immunostaining were performed as reported (13). Gangliosides purified from cells were applied onto a plastic plate (Polygram Sil G; Nagel, Doren, Germany) and separated under the same conditions as described above. The plate was subjected to immunostaining with mAbs followed by peroxidase-conjugated goat anti-mouse IgG antibody (Cappel Laboratories). The peroxidase activity was visualized with 4-chloro-1-naphthol/H2O2. Gangliosides was simultaneously analyzed after deacetylation by alkaline treatment.
Permeabilization of Cells by Streptolysin O (SLO) Treatment and Incorporation of Ac-CoA.
Cultured cells were collected by trypsinization and washed successively with PBS and Hepes calcium-free and magnesium-free (HCMF, 0.14 M NaCl/5 mM KCl/6 mM Glc/0.3 mM Na2HPO4/10 mM Hepes, pH 7.4). After treatment with activated SLO (GIBCO/BRL) diluted in HCMF at 28°C for 20 min, the cells were washed and incubated with [Ac-14C]Ac-CoA in transport buffer (TB: 25 mM Hepes·KOH/75 mM KOAc/2.5 m M MgOAc/5 mM EGTA/1.8 mM CaCl2, pH 7.2) at room temperature for various periods. The reactions were quenched by addition of ice-cold TB. After the supernatant was removed by centrifugation, the pellet was washed three times with TB, solubilized with 1% SDS, and the radioactivity was counted.
RESULTS
Isolation of a cDNA Clone Encoding a Novel Factor Required for Expression of 9-O-Acetylated Gangliosides.
To clone a novel factor required for expression of 9-O-acetylated gangliosides, it was necessary to employ recipient cells expressing a precursor ganglioside GD3 but lacking 9-O-acetylated GD3. COS-1/GD3+ cells (12) express GD3 but not 9-O-acetylated GD3 when tested by D1.1 antibody staining. COS-1/GD3+ cells were thus transfected with a human melanoma cell line, SK-MEL-28, cDNA library in pcDNA I. The transfected COS-1 cells positive for D1.1 staining were enriched by cell sorting, and plasmids were isolated from those positive cells. The isolated plasmids were subjected to sibling selection with sequentially smaller, active pools, resulting in isolation of a single plasmid, pcDNA I-AT-1, that directed the expression of the D1.1 antigen at the cell surface. COS-1/GD3+ cells transiently transfected with pcDNAI (mock transfection) or AT-1 were fixed and immunostained with R24 and D1.1 (Fig.1A–D). Although there is no significant difference in R24 reactivity between mock and AT-1 transfectants, expression of 9-O-acetylated GD3 was strongly detected with mAb D1.1 on AT-1 transfectants (Fig.1C). Only weak punctuate staining was detected in mock transfectants (Fig.1D). It is worthy to note that those cells stained heavily with D1.1 antibody were stained weakly with R24 antibody (compare Fig.1A andC). By immunostaining with mAb 493D4, HeLa/GT3+ cells stably transfected with AT-1 were judged to express 9-O-acetylated GT3, while the mock-transfected HeLa cells showed negative staining (Fig.1E andF). These stainings were abolished by alkali-treatment (0.1 M NaOH, 15 min at room temperature, data not shown). These results indicate that AT-1 directs the expression of 9-O-acetylated GD3 and GT3.
Figure 1.
Expression ofO-acetylated gangliosides in the transfected cells. (A–D) COS-1/GD3+ cells were transfected with AT-1 (A andC) or pcDNAI (B andD). Sixty hours after transfection, the cells were fixed and examined by incubation with R24 (A andB) or D1.1 (C andD), followed by rhodamine-conjugated anti-mouse IgG for R24 or fluorescein isothiocyanate-conjugated anti-mouse IgM for D1.1. (E andF) HeLa/GT3+/AT-1 cells (E) and HeLa/GT3+/pcDNAI cells (F) were also fixed and examined by incubation with 493D4. (Bar = 20 μm.) (G Lower) TLC immunostaining ofO-acetylated gangliosides with mAb 493D4. Gangliosides were extracted from 5 × 105 HeLa/GT3+ (before cloning, lanes 3 and 4), HeLa/GT3+/pcDNAI (before cloning, lanes 5 and 6), HeLa/GT3+/AT-1 (before cloning, lanes 7 and 8; after cloning, cell line A in lanes 9 and 10, and cell line B in lanes 11 and 12). Lanes 1 and 2 represent 9-O-Ac-GT3 as a standard. A slower migrating ganglioside is presumably 9-O-Ac GQ3. Ganglioside samples in even numbered lanes were treated with mild alkaline hydrolysis to remove acetyl group before separation. (G Upper) Densitometric analysis of immunostained spots of each lane in theLower panel, performed as described in ref.13.
To confirm that the cells transfected with AT-1 synthesizeO-acetylated gangliosides, total gangliosides were isolated from HeLa/GT3+ cells and from their transient and stable AT-1 transfectants (Fig.1G). HeLa cells, instead of COS-1 cells, were transfected since the total amount of precursor gangliosides such as GD3 and GT3 in HeLa/GT3+ cells is much higher than those in COS-1 cells. Also, the ganglioside composition of COS-1 cells is more complex than HeLa cells and COS-1 cells contain lacto-series gangliosides in addition to ganglio-series, making it difficult to identify immunostained gangliosides. As described before (12), HeLa/GT3+ cells contained only simple gangliosides, GM3, GD3, GT3, and a small amount of a putative GQ3, making them ideal for examining ganglioside composition after transfection with AT-1. Due to the low amount of the GQ3 antigen, the chemical structure has not been characterized further. The possible presence of GQ3 was proposed previously (12). As shown in Fig.1G, the expression ofO-Ac-GT3 and a putativeO-Ac-GQ3 was ≈8 times stronger in AT-1 transfected cells than in mock transfectants. Again, no positive spots were observed when gangliosides were subjected to alkaline hydrolysis (Fig.1G, even numbered lanes).
It is important to note that HeLa/GT3+ and HeLa/GT3+/AT-1 cells contain similar amounts of total gangliosides. Also, no visible differences in the composition of neutral glycolipids and nonacetylated gangliosides have been detected by TLC analysis (data not shown).
Predicted Amino Acid Sequence of AT-1.
The cDNA insert encoding AT-1 contains an open reading frame predicting a protein of 549 amino acid residues with a molecular mass of 60,906 Da (Fig.2A). Homology searches against protein and nucleic acid databases (GenBank, EMBL and Swiss-Prot) showed no significant homology with any known proteins, indicating that the protein encoded by AT-1 is novel (see alsoDiscussion). The hydropathy analysis by the program of Kyte and Doolittle (18) revealed a multitransmembrane protein. The analyses bypsort (19) andtmpred programs (20) predicted that AT-1 protein has the type IIIa membrane protein structure with 6–10 transmembrane domains, respectively (Fig.2B). Interestingly, AT-1 protein contains a leucine zipper motif in the transmembrane domain III (see the underline in Fig.2). This motif is often found in other transporter proteins (21–23).
Figure 2.
Nucleotide sequence and the predicted amino acid sequence of AT-1 protein (A) and hydropathy plot (B). The putative leucine zipper motif is marked with an underline inA. The potentialN-glycosylation sites are boxed inA. Hydropathy plot of the amino acid sequence was analyzed by the method of Kyte and Doolittle (18) with a window size of 10. InB, shaded and closed boxes denote the transmembrane domains predicted bytmpred andpsort programs, respectively.
Northern Blot Analysis of AT-1 mRNA.
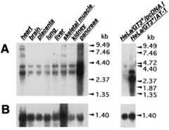
The expression of AT-1 mRNA in various human tissues was examined by Northern blot analysis (Fig.3). Two major transcripts of AT-1 with sizes of 3.3 and 4.3 kb were detected in all tissues examined including heart, brain, placenta, lung, liver, skeletal muscle, kidney, and pancreas. Interestingly, pancreatic tissues expressed the strongest signals among the tissues examined. In the pancreas, the islets of Langerhans were shown by immunocytochemical staining to expressO-acetylated sialoglyco conjugates using mAbs 493D4 and D1.1 (data not shown), in good agreement with the previous result (5). Two transcripts of AT-1 with the size of 2.7 and 3.4 kb were expressed strongly in AT-1 transfected HeLa cells and barely detected in mock-transfected HeLa cells.
Figure 3.
Northern blot analysis of poly(A)+ RNAs from the human tissues and stable transfectants. Human multiple tissue blot (CLONTECH) was used for the analysis of mRNA from human tissue poly(A)+ RNAs. Poly(A)+RNAs from stable transfectants of HeLa cells were isolated as described in the text. The cDNA of AT-1 was labeled with [α-32P]dCTP by the multiple prime DNA labeling system (Amersham) and used as a probe (A). Hybridization with human glyceraldehyde-3-phosphate dehydrogenase (GAPDH) cDNA (B) was performed as control experiments.
Immunohistochemical Localization of AT-1 Protein.
To investigate the subcellular localization of AT-1 protein in the HeLa/GT3+/AT-1 cells, we have prepared a specific antibody to a synthetic peptide (14 amino acid residues of the N terminus). Western blot analysis of the HeLa/GT3+/AT-1 cells with the antibody revealed a major positive band of 54 kDa and a weakly reactive spot at 58 kDa (data not shown). Immunofluorescent analysis using affinity purified anti-AT-1 peptide indicated that this AT-1 protein is localized in the cytoplasm, including the endoplasmic reticulum (Fig.4). This specific staining was not observed with preimmune IgG or in the presence of the peptide antigen (data not shown).
Figure 4.
Immunocytochemical localization of AT-1 protein. The stably transfected cells, HeLa/GT3+/AT-1 (A) and HeLa/GT3+/pcDNAI (B), were fixed, permeabilized with saponin, and incubated with affinity-purified rabbit antibody specific to AT-1 protein, followed by incubation with fluorescein isothiocyanate-conjugated anti-rabbit IgG (Jackson ImmunoResearch). (Bar = 20 μm.)
Incorporation of Ac-CoA into Semi-Intact Cells.
Because it was difficult to prepare the endoplasmic reticulum or Golgi membrane fraction from cultured cells, transporter activity for Ac-CoA was examined using semi-intact HeLa cells. Treatment with SLO generates pores on the plasma membrane in a wide variety of cell types without any damage to intracellular membranes. This allows passage of large molecules like Ac-CoA through the plasma membrane (24–26). As shown in Fig.5, when the semi-intact cells were incubated with [Ac-14C]Ac-CoA (35 μM), increased incorporation of radioactivity was clearly demonstrated in the AT-1-transfected cells. This effect was not seen with the mock transfectants. Similar results were obtained using COS-1/GD3+ and their transfectants with AT-1.14C-Labeled lipids were extracted from HeLa cells and analyzed by TLC. Although the synthesis of labeledO-Ac-GT3 in the transfected cells was elevated, only a trace amount of radioactivity (≈5% of the total radioactivity) was incorporated intoO-Ac-GT3 (data not shown). It was difficult to identify the other radiolabeled compounds since they did not migrate at the positions of known gangliosides or lipids. No significant increased incorporation of14C-radioactivity into particular lipids could be noticed. Upon addition of an inhibitor for the Ac-CoA transporter, CoA (350 μM), the incorporation of radioactivity was reduced to 60% of the control (Fig.5). These results strongly suggest that AT-1 encodes an Ac-CoA transporter.
Figure 5.
Time-dependent incorporation of radioactivity into semi-intact cells from [Ac-14C]Ac-CoA (A) and the effect of CoA on the incorporation (B). (A) Trypsinized cells were permeabilized by treatment with SLO and incubated with [Ac-14C]Ac-CoA [35 μM, 56 mCi/mmol (1 Ci = 37 GBq); Amersham]. The incorporated radioactivity was determined as described in the text. The open circles represent HeLa/GT3+/pcDNAI and the filled circles HeLa/GT3+/AT-1. (B) Indicated amounts (70 and 350 μM) of CoA were added in the reaction mixtures. After 4-hr incubation, the incorporated radioactivities were measured as described. Values are shown as a ratio relative to the control experiment in the absence of CoA using SLO treated HeLa/GT3+/AT-1 cells. The results represent the mean and standard error derived from three replicate assays.
DISCUSSION
Acetylation of sialic acid residues of glycoproteins and gangliosides occurs in the lumen of the Golgi apparatus (10,11). Because the acetate donor, Ac-CoA, is synthesized in the cytosol, Ac-CoA has to be transported into the lumen of the Golgi to drive the enzyme reaction. In 1985, Varki and Diaz (11) proposed the existence of a carrier system for Ac-CoA based on work with intact rat liver Golgi vesicles. However, mainly due to the tightly membrane bound nature and unstable properties of the Ac-CoA transporter protein, the protein has never been purified to homogeneity. Consequently, it could not be characterized at the molecular level. In the present study, by expression cloning we isolated a cDNA that facilitated the acetylation of sialic acid residues of gangliosides GD3 and GT3. The following results suggest that the cloned cDNA does not encode an acetyltransferase itself but the Ac-CoA transporter.
First, the predicted amino acid sequence of AT-1 has multiple transmembrane spanning domains that are typically observed in many transporters including those for neurotransmitters (for a review, see ref.27), glucose (28), ammonia (29), and nucleotide-sugars (21–23). Most transporters contain 6–12 hydrophobic sequences thought to form membrane-spanning α-helices. In the case of the AT-1 protein, the presence of at least six transmembrane domains is predicted bypsort analysis. Moreover, it is important to note that the AT-1 protein contains a leucine-zipper motif which was originally found to be involved in dimerization of transcription factors (30). Very recent studies have shown that the nucleotide-sugar transporter proteins such as those for CMP-NeuAc (21), UDP-Gal (22), and UDP-GlcNAc (23) also possess this structure, suggesting that these proteins exist as homodimers in the Golgi membrane. Recently, rat liver Golgi PAPS transporter (31) was also shown to be a homodimer, although the presence of leucine-zipper structure in the transporter protein is not known. Thus, the AT-1 protein may also be a homodimer with multiple membrane spanning domains. However, the molecular weight of AT-1 protein is substantially larger than those of transporters for CMP-NeuAc, UDP-Gal, and UDP-GlcNAc, suggesting that the AT-1 protein may represent a member of a new transporter family. Because we have the cDNA for a putative Ac-CoA transporter in hand, we shall be able to elucidate the topological structure of AT-1 protein in the native membrane.
Second, to date, all nucleotide-sugar transporters are localized in the Golgi apparatus membrane (22–24). An immunohistochemical study using a specific antibody to AT-1 demonstrated that this protein is diffusely present in the cytoplasm, including the endoplasmic reticulum and possibly Golgi membrane (Fig.4). This finding also indicates that the AT-1 protein may not be an acetyltransferase itself since the acetyltransferase was shown to be enriched in the Golgi membrane (10,11).
Third, it is important to establish whether or not the AT-1 protein hasin vitro transport activity for Ac-CoA. The result ofin vitro assays using semi-intact cells (Fig.5) indicates that AT-1 encodes an Ac-CoA transporter. However, thein vitro incorporation of Ac-CoA could not be completely inhibited by the addition of an inhibitor for the Ac-CoA transporter, CoA (11). This may be partially due to our assay system which includes different kinds of intracellular membranes such as the mitochondria, lysosomes, and Golgi apparatus. Further biochemical studies are required for measurement of Ac-CoA transporter activity of the AT-1 protein.
Finally, although no significant homology with AT-1 exists in known proteins, homology searches identified two hypothetical proteins with high degrees of homology: a putative protein ofSaccharomyces cerevisiae [accession nos.Z36088Z36088 (EMBL) andP38318P38318 (Swiss Prot)] that has 560 amino acids with 35% of identity and a protein fromCaenorhabditis elegans T26C5.3 (EMBL, accession no.Z50859Z50859) that has 632 amino acids and 47% identity on the basis of amino acids. Thus, the ubiquitous and evolutionarily conserved AT-1 molecule is not likely to be sialic acid acetyltransferase. It may have a more general biological function since the occurrence of sialic acid has not been reported in these two organisms. The transcript of AT-1 is more widely distributed in various tissues thanO-acetylated gangliosides (Fig.3), supporting the hypothesis that molecules other than AT-1 protein dictate the regulation ofO-acetylated GD3 expression. During the preparation of this manuscript, isolation of another type of cDNA clone that generatesO-acetylated GD3 gangliosidein vivo has been reported (32). The function of this protein is unknown, although it was judged to be different fromO-acetyltransferase (32). This cDNA encodes a Golgi membrane protein with type II topology possessing no structural similarity to AT-1, suggesting that it is different from AT-1 with regard to its function.
As described above, our findings strongly suggest that AT-1 protein functions as an Ac-CoA transporter, and that it may play a key role in acetylation processes other than that of sialic acid in gangliosides. Further studies will be required to prove its function by reconstitution of purified AT-1 protein in liposomal membrane and demonstration of Ac-CoA transport activity in a reconstituted system.
Acknowledgments
We are grateful to Dr. Yoshitaka Nagai for encouraging this work. We thank Dr. Shinobu Fujita (Mitsubishi Kagaku Institute of Life Science) for a gift of mouse anti-O-Ac-GT3 and Joseph Trotter for carrying out the flow cytometry analysis. We also thank Prof. Richard Pagano (Mayo Clinic) for kind suggestions regarding preparation of semi intact cells, Dr. Edgar Ong for critical reading of the manuscript, and Ms. Susan Greaney for organizing the manuscript. This work was supported by Frontier Research Program grant from the Science and Technology Agency; Grants-in-Aid (08780569 to A.K. and 05274106 to Y.H.) for Science Research from the Ministry of Education, Science, and Culture of Japan; Grants CA 48737 (to M.F.) and P01 CA71932 (to M.N.F.) from the National Cancer Institute, and a grant (to A.K.) for Science Research from Hayashi Memorial Foundation for Female Natural Scientists.
ABBREVIATIONS
- Ac-CoA
acetyl-CoA
- NeuAc
N-acetylneuraminic acid
- GD3
NeuAcα(2-8)NeuAcα(2-3)Galβ(1-4)Glcβ(1-1′)Cer
- GT3
NeuAcα(2-8)NeuAcα(2-8)NeuAcα(2-3)Galβ(1-4)Glcβ(1-1′)Cer
- LD1
NeuAcα(2-8)NeuAcα(2-3)Galβ(1-4)GlcNAcβ(1-3)Galβ(1-4)Glcβ(1-1′)Cer
- GT1b
NeuAcα(2-3)Galβ(1-3)GalNAcβ(1-4)[NeuAcα(2-8)NeuAcα(2-3)]Galβ(1-4)Glcβ(1-1′)Cer
- PAPS
adenosine 3′phosphate 5′-phosphosulfate
- SLO
streptolysin O
Footnotes
References
- 1.Chou D, Flores S, Jungalwala F. J Neurochem. 1990;54:1598–1607. doi: 10.1111/j.1471-4159.1990.tb01210.x. [DOI] [PubMed] [Google Scholar]
- 2.Ghidoni R, Sonnino S, Tettamanti G, Baumann N, Reuter G, Schauer R. J Biol Chem. 1980;255:6990–6995. [PubMed] [Google Scholar]
- 3.Cheresh D A, Varki A P, Varki L M, Stallcup W B, Levine J, Reisfeld R A. J Biol Chem. 1984;259:7453–7459. [PubMed] [Google Scholar]
- 4.Hirabayashi Y, Hirota M, Suzuki Y, Matsumoto M, Obata K, Ando S. Neurosci Lett. 1989;106:193–198. doi: 10.1016/0304-3940(89)90225-5. [DOI] [PubMed] [Google Scholar]
- 5.Klein A, Krishna M, Varki N M, Varki A. Proc Natl Acad Sci USA. 1994;91:7782–7786. doi: 10.1073/pnas.91.16.7782. [DOI] [PMC free article] [PubMed] [Google Scholar]
- 6.Thurin J, Herlyn M, Hindsgaul O, Stromberg N, Karlsson K, Elder D, Steplewski Z, Koprowski H. J Biol Chem. 1985;260:14556–14563. [PubMed] [Google Scholar]
- 7.Stallcup W B, Beasley L, Levine J M. Cold Spring Harbor Symp Quant Biol. 1983;48:761–773. doi: 10.1101/sqb.1983.048.01.078. [DOI] [PubMed] [Google Scholar]
- 8.Levine J M, Beasley L, Stallcup W B. J Neurosci. 1984;4:820–831. doi: 10.1523/JNEUROSCI.04-03-00820.1984. [DOI] [PMC free article] [PubMed] [Google Scholar]
- 9.Johnstone S R, Stallcup W B. J Neurochem. 1988;51:1655–1657. doi: 10.1111/j.1471-4159.1988.tb01138.x. [DOI] [PubMed] [Google Scholar]
- 10.Varki A. Glycobiology. 1992;2:25–40. doi: 10.1093/glycob/2.1.25. [DOI] [PMC free article] [PubMed] [Google Scholar]
- 11.Varki A, Diaz S. J Biol Chem. 1985;260:6600–6608. [PubMed] [Google Scholar]
- 12.Nakayama J, Fukuda M N, Hirabayashi Y, Kanamori A, Sasaki K, Nishi T, Fukuda M. J Biol Chem. 1996;271:3684–3691. [PubMed] [Google Scholar]
- 13.Hirabayashi Y, Hirota M, Matsumoto M, Tanaka N, Obata K, Ando S. J Biochem (Tokyo) 1988;104:973–979. doi: 10.1093/oxfordjournals.jbchem.a122593. [DOI] [PubMed] [Google Scholar]
- 14.Pukel C S, Lloyd K O, Trabassos L R, Dippold W G, Oettgen H F, Old L J. J Exp Med. 1982;155:1133–1147. doi: 10.1084/jem.155.4.1133. [DOI] [PMC free article] [PubMed] [Google Scholar]
- 15.Coligan J E, Kraisbeek A M, Margulies D H, Shecach E M, Strober W, editors. Current Protocols in Immunology. Vol. 2. New York: Wiley; 1992. [Google Scholar]
- 16.Kawashima I, Ozawa H, Kotani M, Suzuki M, Kawano T, Gomibuchi M, Tai T. J Biochem (Tokyo) 1993;114:186–193. doi: 10.1093/oxfordjournals.jbchem.a124153. [DOI] [PubMed] [Google Scholar]
- 17.Hirt B. J Mol Biol. 1967;26:365–369. doi: 10.1016/0022-2836(67)90307-5. [DOI] [PubMed] [Google Scholar]
- 18.Kyte J, Doolittle R F. J Mol Biol. 1982;157:105–132. doi: 10.1016/0022-2836(82)90515-0. [DOI] [PubMed] [Google Scholar]
- 19.Nakai K, Kanehisa M. Genomics. 1992;14:897–911. doi: 10.1016/S0888-7543(05)80111-9. [DOI] [PMC free article] [PubMed] [Google Scholar]
- 20.Hofmann K, Stoffel W. Biol Chem Hoppe-Seyler. 1993;374:166. doi: 10.1515/bchm3.1993.374.7-12.507. (abstr.). [DOI] [PubMed] [Google Scholar]
- 21.Eckhardt M, Muhlenhoff M, Bethe A, Gerardy-Schahn R. Proc Natl Acad Sci USA. 1996;93:7572–7576. doi: 10.1073/pnas.93.15.7572. [DOI] [PMC free article] [PubMed] [Google Scholar]
- 22.Miura N, Ishida N, Hoshino M, Yamauchi M, Hara T, Ayusawa D, Kawakita M. J Biochem (Tokyo) 1996;120:236–241. doi: 10.1093/oxfordjournals.jbchem.a021404. [DOI] [PubMed] [Google Scholar]
- 23.Abeijon C, Robbins P W, Hirschberg C B. Proc Natl Acad Sci USA. 1996;93:5963–5968. doi: 10.1073/pnas.93.12.5963. [DOI] [PMC free article] [PubMed] [Google Scholar]
- 24.Bhakdi S, Tranum-Jensen J, Sziegoleit A. Infect Immun. 1985;47:52–60. doi: 10.1128/iai.47.1.52-60.1985. [DOI] [PMC free article] [PubMed] [Google Scholar]
- 25.Duncan J, Schlegel R. J Cell Biol. 1975;67:160–173. doi: 10.1083/jcb.67.1.160. [DOI] [PMC free article] [PubMed] [Google Scholar]
- 26.Kain S R, Jen T I, Firestone G L. J Biol Chem. 1993;268:19640–19649. [PubMed] [Google Scholar]
- 27.Hucho F, Tsetlin V. J Neurochem. 1996;66:1781–1792. doi: 10.1046/j.1471-4159.1996.66051781.x. [DOI] [PubMed] [Google Scholar]
- 28.Davies A, Ciardelli T L, Leinhard G E, Boyle J M, Whetton A D, Baldwin S A. Biochem J. 1990;266:799–808. [PMC free article] [PubMed] [Google Scholar]
- 29.Marini A-M, Vissers S, Urrestarazu A, Andre B. EMBO J. 1994;13:3456–3463. doi: 10.1002/j.1460-2075.1994.tb06651.x. [DOI] [PMC free article] [PubMed] [Google Scholar]
- 30.Landschulz W H, Johnson P F, McKnight S. Science. 1988;240:1759–1764. doi: 10.1126/science.3289117. [DOI] [PubMed] [Google Scholar]
- 31.Mandon E C, Milla M E, Kempner E, Hirschberg C B. Proc Natl Acad Sci USA. 1994;91:10707–10711. doi: 10.1073/pnas.91.22.10707. [DOI] [PMC free article] [PubMed] [Google Scholar]
- 32.Ogura K, Nara K, Watanabe Y, Kohno K, Tai T, Sanai Y. Biochem Biophy Res Commun. 1996;225:932–938. doi: 10.1006/bbrc.1996.1274. [DOI] [PubMed] [Google Scholar]
- 33.Zhang, G., Li, J., Kurono, S., Fujita, S., Furuya, S. & Hirabayashi, Y. (1997)Glycoconj. J., in press. [DOI] [PMC free article] [PubMed]






