
Differential Expression of LIGHT and Its Receptors in Human Placental Villi and Amniochorion Membranes
Ryan M Gill
Jian Ni
Joan S Hunt
Accepted 2002 Aug 15.
Abstract
mRNA encoding LIGHT (homologous tolymphotoxins, exhibitsinducible expression, competes with herpes simplex virusglycoprotein D forHVEM, a receptor expressed byT lymphocytes), a member of the tumor necrosis factor superfamily of ligands, as well as mRNAs encoding LIGHT receptors [HVEM, LTβR, and TR6 (DcR3)] are present in placentas and cytotrophoblast cells at term. To establish translation of these messages and determine directions for functional studies, term placentas, amniochorion membranes, and purified cytotrophoblast cells were evaluated by immunoblotting and immunohistochemistry. Ligand and receptor proteins were identified in lysates from all three sources although the soluble receptor, TR6, was scarce in placentas and all receptors were in low abundance in cytotrophoblast cells. These results were confirmed and cell type-specific expression was documented by immunohistochemistry. Ligand and receptor proteins were differentially expressed according to cell type. For example, HVEM was identified on syncytiotrophoblast but not in villous mesenchymal cells; amnion epithelial cells were positive for all proteins whereas chorion membrane cytotrophoblasts exhibited none. Because LIGHT is a powerful cytokine that can alter gene expression and promote apoptosis, these experiments suggest that ligand-receptor interactions may critically influence structural and functional aspects of human placentas through as yet undefined autocrine/paracrine pathways.
The placenta and extraplacental membranes, which are derived from the implanted blastocyst, are tolerated by the mother throughout pregnancy. Mechanisms underlying maternal acceptance of these semi-allogeneic tissues are as yet unclear but are believed to include immune modulation by tumor necrosis factor α (TNFα) and its closely related superfamily members, FasL and TNF related apoptosis inducing ligand (TRAIL). 1-3
LIGHT [homologous tolymphotoxins, exhibitsinducible expression, competes with herpes simplex virus (HSV)glycoprotein D forHVEM, a receptor expressed byT lymphocytes], a newly identified member of this growing family of molecules, is reportedly transcribed in human placentas. 4-6 It is not known whether these messages are translated and no potential functions have been suggested. Much is known of the involvement of LIGHT in the human immune system. LIGHT, as with other members in this superfamily, forms a homotrimer. 6,7 LIGHT has both cytosolic and membrane-bound forms. 8 The membrane-bound form may be cleaved by matrix metalloproteinases to act as a soluble protein. 8-10 Soluble LIGHT enhances mixed lymphocyte reactions (MLR) 6 and is a major mediator of graft-versus-host disease. 11 LIGHT is reportedly required for dendritic cell-mediated primary allogeneic T cell responses, 9 is known to induce T lymphocyte proliferation and secretion of Th-1 cytokines, 9,11 and participates in the induction of cell-mediated immunity. 9,11,12 LIGHT, as with most members of the TNF superfamily, has the ability to trigger apoptosis in some tumor cells in culture andin vivo. 11,13
The increasingly varied roles postulated for LIGHT indicate that function will depend on receptor expression and cytokine environment. LIGHT binds to three receptors, TR6 (DcR3), HVEM, and LTβR 5-7,14,15 (Figure 1) ▶ . TR6 is a soluble receptor that competes with HVEM for LIGHT binding, 15,16 abrogates LIGHT-mediated apoptosis, 15-17 prolongs the survival time of mice receiving heart allografts, 16 and favors Th-2 lymphokine production in a MLR. 16 HVEM is present on T cells and is important in LIGHT-mediated T cell costimulation. 5,6,9,11,18,19 LTβR is not found on T or B cells but is found on stromal cells and in some tumor cells, where it transduces apoptotic signals. 5-7,20 The messages for all three receptors have been detected in the human placenta, but translation and cellular localization remain unknown. 4,14,21,22
Figure 1.
A schematic illustration of LIGHT and its related TNF superfamily members.Arrows indicate receptor-ligand interactions.
In this study, our goal was to identify translated proteins in the LIGHT ligand/receptor system and establish their cellular localization in term placentas, amniochorion, and purified cytotrophoblast cells. We have uncovered potential autocrine, juxtacrine, and paracrine signaling pathways that may be important in placental structure and function.
Materials and Methods
Reagents
All reagents were obtained from Sigma Chemical Company (St. Louis, MO) unless otherwise noted.
Cell Lines and Tissues
The human trophoblast-derived choriocarcinoma cell line, JAR, was purchased from the American Type Culture Collection (ATCC no. HTB-144) (Manassas, VA). Human placentas were obtained from normal cesarean section delivery at term, in accordance with a protocol approved by the Human Subjects Committee of the University of Kansas Medical Center. Samples were taken randomly from the floating villi and reflected amniochorion for further analysis. Underlying pathology was not evident on histological examination of the samples.
Isolation of Term Cytotrophoblasts
Cytotrophoblasts were isolated from term placenta by enzymatic digestion and gradient centrifugation as described. 23,24 Cytotrophoblasts were further purified from this cell suspension by removal of HLA-A,B,C-positive cells using the monoclonal antibody W6/32 (ATCC no. HB95) and goat anti-mouse Ig-conjugated magnetic microbeads (Miltenyi Biotec Inc., Auburn, CA) according to the protocol recommended by the manufacturer. To assess purity of cytotrophoblasts, Cytospin (Shandon, Pittsburgh, PA) preparations of cells were analyzed by immunohistochemical staining using mouse anti-pan cytokeratin (Lu-5) (Bio Genex, San Ramon, CA), which detects all trophoblast cells, and mouse anti-CD14 (Zymed, San Francisco, CA), which detects contaminating macrophages. Less than one percent of the cells was immunoreactive for CD14. We further qualified the purity of our samples by immunoblotting and immunohistochemical staining using mouse anti-βhCG (clone CG05) (Neomarkers, Fremont, CA) to detect any contaminating syncytial fragments. 23 Less than 4% of the cytospin-prepared cells demonstrated immunoreactivity for βhCG, suggesting very few contaminating syncytial fragments. βhCG protein was not detectable by immunoblot in these samples indicating that highly pure populations of cytotrophoblasts were isolated. Purified cells were immediately lysed for protein and RNA preparations.
Analysis by RT-PCR
Whole placenta (n = 1), cytotrophoblasts purified from a different placenta (n = 1), and JAR cells were analyzed. RNA was isolated from 8 × 106 cells, or 100 mg tissue, using 1 ml TRIzol (Life Technologies, Gaithersburg, MD) according to the manufacturer’s protocol. Total RNA was treated with DNase I (AMP-D1) according to the manufacturer’s instructions. First-strand cDNA synthesis was then performed using this treated total RNA and Moloney murine leukemia virus reverse transcriptase (Life Technologies) according to the enzyme manufacturer’s protocol. Ten μl of each 1:5 diluted cDNA sample were used in the subsequent 50 μl PCR reaction for the LIGHT primer pair. Four μl (50 μl reaction) of cDNA were used for the β-actin primer pair. Primers were derived from human LIGHT cDNA (forward: 5′-CAAGAGCGAAGGTCTCACGAGGTC-3′ and reverse 5′-TCACACCATGAAAGCCCCGAAGTAAG-3′) and human β-actin cDNA (forward 5′-CACCCCGTGCTGCTGACCGAGGCC-3′ and reverse 5′-CCACACGGAGTACTTGCGCTCAGG-3′) sequences, respectively (National Center for Biotechnology Information databases), using the PrimerSelect program (DNASTAR Inc., Madison, WI), and were synthesized by Gemini Biotech (Alachua, FL). The amplification schedule for LIGHT was: 94°C for 5 minutes; 38 cycles of 94°C for 45 seconds, 60°C for 45 seconds, 72°C for 2 minutes; and 72°C for 7 minutes. The amplification schedule for β-actin was: 94°C for 45 seconds; 30 cycles of 94°C for 45 seconds; 60°C for 30 seconds; 72°C for 2 minutes; and 72°C for 7 minutes. All reactions were conducted in a GeneAmp PCR System 2400 thermocycler (Applied Biosystems, Foster City, CA). Products were analyzed by electrophoresis of 10 μl of each reaction through 2% agarose (Amresco 3:1, Solon, OH), 0.05 μg/ml ethidium bromide, followed by UV transillumination. The correct sequence of product derived from LIGHT primers was confirmed by dRhodamine terminator cycle sequencing using the ABI 310 DNA sequencer (Applied Biosystems) in the Center for Reproductive Sciences at the University of Kansas Medical Center.
Analysis by Immunoblotting
Protein samples were prepared from homogenized placental tissue (n = 3) and lysed primary cells purified from the same placentas (n = 3). Protein quantification was performed as per the manufacturer’s protein assay protocol (Bio-Rad Laboratories, Richmond, CA). Fifty μg of total protein were separated by electrophoresis on 15% polyacrylamide SDS-PAGE gels. Proteins were electrophoretically transferred to 0.2 μm-supported nitrocellulose (Schleicher & Schuell, Keene, NH), for 75 minutes at 100 volts (27°C) in Na2CO3/NaHCO3 buffer (pH 9.9). For detection of specific proteins, primary antibodies were prepared in Tris-buffered saline (TBS) with 0.05% Tween-20 (TBS-T) and 3% nonfat milk (Bio-Rad Laboratories) and incubated on the membranes for approximately 15 hours at 4°C (Table 1) ▶ . Membranes were washed in TBS-T and incubated with the respective secondary antibody-enzyme conjugates for 1 hour at 27°C (Table 1) ▶ . Membranes were washed in TBS-T and subjected to chemiluminescent detection (Pierce, Rockford, IL).
Table 1.
Summary of Antibodies Utilized
| Human antigen | Species | Isotype | Conjugation | Immunoblot concentration | Immunohistochemistry concentration | Source* |
|---|---|---|---|---|---|---|
| LIGHT | Mouse | IgG1 (monoclonal) | – | 2.00 μg/ml | – | J. Ni |
| LIGHT (C-20) | Goat | IgG (polyclonal) | – | – | 10.0 μg/ml | SCB |
| TR6/DcR3 | Rabbit | IgG (polyclonal) | – | 0.10 μg/ml | 10.0 μg/ml | J. Ni |
| HVEM (N-19) | Goat | IgG (polyclonal) | – | 0.40 μg/ml | 10.0 μg/ml | SCB |
| LTβR (N-15) | Goat | IgG (polyclonal) | – | 0.20 μg/ml | 10.0 μg/ml | SCB |
| Control | Mouse | IgG1 (monoclonal) | – | 2.00 μg/ml | 10.0 μg/ml | BDP |
| Control | Goat | IgG (polyclonal) | – | 0.40 μg/ml | 10.0 μg/ml | Vector |
| Control | Rabbit | IgG (polyclonal) | – | 0.10 μg/ml | 10.0 μg/ml | Vector |
| Mouse IgG | Goat | IgG (polyclonal) | HRP† | 0.08 μg/ml | – | BDP |
| Goat IgG | Rabbit | IgG (polyclonal) | HRP | 0.08 μg/ml | – | JL |
| Rabbit IgG | Goat | IgG (polyclonal) | HRP | 0.08 μg/ml | – | JL |
| Mouse IgG | Horse | IgG (polyclonal) | Biotin | – | 5.0 μg/ml | Vector |
| Goat IgG | Horse | IgG (polyclonal) | Biotin | – | 5.0 μg/ml | Vector |
| Rabbit IgG | Goat | IgG (polyclonal) | Biotin | – | 5.0 μg/ml | Vector |
*J. Ni: Dr. J. Ni, Human-Human Hybridoma, Inc., Bethesda, MD; SCB: Santa Cruz Biotechnology, Santa Cruz CA; BDP: BD Pharmingen, San Diego CA; Vector: Vector, Burlingame CA; JL: Jackson Immunoresearch Laboratories, West Grove, PA.
†Horseradish peroxidase.
Analysis by Immunohistochemistry
One cm3 samples were surgically excised, at random from 4 placentas, from both cotyledons embedded in basal plate and amniochorion membranes, fixed in 4% paraformaldehyde, and then embedded in paraffin blocks. Paraffin sections were deparaffinized in Histoclear (National Diagnostics, Atlanta, GA) and rehydrated in an ethanol gradient. Tissue sections were blocked with 10% normal horse or goat serum for 1 hour at 27°C. The blocker was removed and primary antibody was added (Table 1) ▶ . The tissue sections were incubated for 15 hours at 4°C. Washes were performed in phosphate-buffered saline (PBS) with 0.3% Tween-20 (PBS-T) and the peroxidase block was performed with 0.5% H2O2 in methanol for 30 minutes. The respective biotinylated secondary antibody was added and incubated for 1 hour at 27°C (Table 1) ▶ . Following washes with PBS-T, the streptavidin peroxidase label (Zymed) was incubated for 10 minutes at 27°C. The sections were washed with PBS and the 3-amino-9-ethylcarbozole in N,N-dimethylformamide (AEC) color development substrate (Zymed) was incubated for 10 minutes at 27°C. Sections were washed in water and counterstained with Mayer’s hematoxylin.
Results
Characterization of LIGHT in the Human Placenta at Term
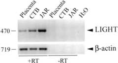
We used RT-PCR to test for LIGHT message in placenta, purified cytotrophoblasts, and JAR cells (a choriocarcinoma-derived cell line). We detected LIGHT message in all three samples (Figure 2) ▶ . Our findings agree with previous reports that placenta and JAR cells contain message for LIGHT 4,5,7 and we demonstrate, for the first time, LIGHT message in purified cytotrophoblast cells.
Figure 2.
RT-PCR of whole placenta, purified cytotrophoblasts, and JAR cells. β-actin was used as a loading control. The sequence of the 470-bp product matches that of human LIGHT.
Immunoblotting was used to establish the presence of LIGHT protein in human term placentas. LIGHT protein was detected in lysates from three placentas as well as in their matching amniochorion membranes (Figure 3) ▶ . LIGHT protein was also detected in lysates of purified cytotrophoblast cells (Figure 3) ▶ .
Figure 3.
Immunoblot of whole placenta, amniochorion and purified cytotrophoblast protein for LIGHT [predicted molecular weight (M.W.), 26.4 kd], TR6 (predicted M.W., 32.7 kd), HVEM (predicted M.W., 30.4 kd) and LTβR (predicted M.W., 46.7 kd). LIGHT migrates at approximately 33 kd, TR6 at 35 kd, HVEM at 50 kd and LTβR at 75 kd. Actual migration significantly differs from the predicted molecular weight for HVEM and LTβR, suggesting post-translational modifications.
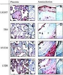
LIGHT protein was localized in sections of placentas and fetal membranes using immunohistochemistry. LIGHT protein was observed in placental mesenchymal cells (Figure 4A) ▶ and in the syncytiotrophoblast layer (Figure 4A) ▶ . We noted that a small proportion of placental syncytiotrophoblast demonstrated patchy immunoreactivity with anti-LIGHT (< 1 to 2%, data not shown). In the amniochorion, LIGHT protein was strongly expressed by the amnion and fetal mesenchymal cells and was detectable in the decidua capsularis (Figure 4B) ▶ . LIGHT protein was not detected in the chorion (Figure 4B) ▶ . The negative controls were not immunoreactive for goat IgG (Figure 4, A and B) ▶ .
Figure 4.

Immunolocalization of LIGHT, TR6, HVEM, and LTβR in term human placenta and amniochorion.A,C,E, andG show placenta andB,D,F, andH show amniochorion immunolocalized for LIGHT, TR6, HVEM, and LTβR and their controls, respectively. Annotations: a, amnion; m, mesenchymal layer; c, chorion; d, decidua.A:Arrow (vertical), syncytiotrophoblast layer;arrow (horizontal), mesenchymal cell.B: Arrow (vertical), amnion;arrow (horizontal), mesenchymal cell;arrow (blue), decidua capsularis.C:Arrow (vertical), mesenchymal cell;arrow (horizontal), syncytiotrophoblast layer.D: Arrow (horizontal), amnion;arrow (vertical), mesenchymal cell;arrow (blue), decidua capsularis.E: Arrow, syncytiotrophoblast layer.F:Arrow (horizontal), amnion;arrow (vertical), decidua capsularis.G:Arrow (vertical), mesenchymal cell;arrow (horizontal), syncytiotrophoblast layer.H:Arrow (vertical), amnion;arrow (horizontal), mesenchymal cell;arrow (blue), decidua capsularis. Table 1 ▶ has antibody specifications. Images captured at magnification, ×200.
Localization of LIGHT’s Soluble Receptor in the Human Placenta at Term
Immunoblot experiments showed an intense signal for TR6 protein in amniochorion lysates (Figure 3) ▶ . Although TR6 protein was not detected in lysates of placental villi unless the blots were overexposed (data not shown) it was readily detected in purified cytotrophoblasts (Figure 3) ▶ .
Immunohistochemical studies demonstrated weak signals for TR6 protein in the syncytiotrophoblast layer and in the villous mesenchymal cells of term placentas (Figure 4C) ▶ . By contrast, TR6 protein was abundantly expressed in the amnion and in the decidua capsularis (Figure 4D) ▶ . TR6 protein was detected in most fetal mesenchymal cells adjacent to the amnion but was not observed in the chorion (Figure 4D) ▶ . The negative controls were not immunoreactive for rabbit IgG (Figure 4, C and D) ▶ .
Localization of LIGHT’s Membrane-Bound Receptors in the Human Placenta at Term
HVEM and LTβR protein were detected in placenta, amniochorion, and cytotrophoblast lysates by immunoblotting (Figure 3) ▶ . HVEM and LTβR migrate as larger molecular weight proteins than their amino acid content would suggest, which is not uncommon among TNF receptor (TNFR) superfamily members given their potential for post-translational modification. 25
Immunohistochemical studies detected HVEM protein in the syncytiotrophoblast layer (Figure 4E) ▶ . HVEM protein was also localized to the amnion and decidua capsularis (Figure 4F) ▶ . HVEM protein was not detected in villous (Figure 4E) ▶ or membrane (Figure 4F) ▶ fetal mesenchymal cells. LTβR protein was localized throughout the placenta (Figure 4G) ▶ . The amnion, fetal mesenchymal cells, and decidua capsularis all contained immunoreactive LTβR (Figure 4H) ▶ . HVEM (Figure 4F) ▶ and LTβR (Figure 4H) ▶ protein were not detected in chorion membranes. The negative controls were not immunoreactive for goat IgG (Figure 4, E–H) ▶ .
The immunoblot and immunohistochemistry data for LIGHT, TR6, HVEM, and LTβR are summarized in Tables 2 and 3 ▶ ▶ .
Table 2.
Summary of Immunoblot Results
| Ligands | Receptors | |||
|---|---|---|---|---|
| LIGHT | TR6 | HVEM | LTβR | |
| Term tissue (n = 3) | ||||
| Placenta | +* | 0 | + | + |
| Fetal membranes | + | + | + | + |
| Primary cells (n = 3) | ||||
| Cytotrophoblasts (purified) | + | + | + | + |
*+, positive; 0, negative.
Table 3.
Summary of Immunohistochemical Results
| Ligand | Receptors | |||
|---|---|---|---|---|
| LIGHT | TR6 | HVEM | LTβR | |
| Term placenta (n = 4) | ||||
| Syncytiotrophoblast layer | +* | + | + | + |
| Fetal mesenchymal cells | + | + | 0 | + |
| Term fetal membranes (n = 4) | ||||
| Amnion | + | + | + | + |
| Fetal mesenchymal cells | + | + | 0 | + |
| Cytotrophoblasts (chorion) | 0 | 0 | 0 | 0 |
| Decidua capsularis | + | + | + | + |
*+, positive; 0, negative.
Discussion
This study provides evidence that LIGHT, TR6, HVEM, and LTβR proteins are expressed in term human placenta and amniochorion. By examining these tissues we established that the syncytiotrophoblast layer expressed LIGHT, HVEM, LTβR and, to a lesser extent, TR6 protein; villous mesenchymal cells expressed only LIGHT, LTβR, and TR6 protein; amnion epithelial cells and the decidua capsularis expressed LIGHT and all of its receptors whereas cells in the chorion membrane did not exhibit either ligand or receptor proteins; and purified cytotrophoblasts expressed all four proteins.
The biological implications of the expression patterns are as yet unclear. The interaction of the placenta with active maternal immune cells could initiate a cascade of biochemical events that culminate in placental demise but this clearly does not happen. There is increasing evidence that LIGHT promotes inflammation, yet the syncytiotrophoblast layer, which is exposed to immune cells in circulating maternal blood, expresses this cytokine. This suggests an alternative function for LIGHT at the maternal fetal interface. HSV can gain entry into T cells through HVEM 14 and LIGHT can interfere with this process. 5 Evolutionary pressure to prevent entry of virus might have driven the expression of LIGHT on T cells, 5,8 and this might also account for its presence on syncytiotrophoblast. The fetal mesenchymal cells, which are not exposed to maternal immune cells under normal conditions, also express LIGHT. In this environment, LIGHT may be able to promote inflammation 6,9,11,12,26 and contribute to placental defense from circulating pathogens, as is the case with LIGHT in other contexts.
LIGHT shares significant homology with TNFα and seems to possess the same capacity to activate or suppress the proliferation of distinct cellular populations. Both TNFα and LIGHT receptors can recruit specific intracellular factors [TNF receptor-associated factor-1 (TRAF-1), and TRAF-2], initiating a cascade of events culminating in NFκB activation. 7,27-30 TNFα has been detected in the uterus, embryo, and placenta and has been postulated to play a positive role in female reproduction. 31-38 Given the sequence homology, shared signal transduction pathway, and mutual localization in the placenta, it is reasonable to suggest that LIGHT and TNFα might act similarly to promote homeostasis in maternal and fetal tissues during pregnancy.
A notable finding in this study was that TR6 was weakly expressed in the term placenta but easily detected in the amniochorion. The high level of TR6 expression in the amnion suggests that this protein is secreted into the amniotic fluid where it may modulate the actions of LIGHT and FasL. Infection and preterm labor have been associated with high levels of TNFα in human amniotic fluid. 39 The level of soluble TNFR in amniotic fluid varies with gestational age and has been postulated to protect the fetus from excess TNFα. 40 Similarly, TR6 may be important in neutralizing excess LIGHT in the amniotic fluid.
The co-expression of LTβR and HVEM on the cytotrophoblasts and in cells located in the decidua capsularis recapitulates the dual expression observed in some tumor cell lines in which LIGHT causes apoptosis. 41 LIGHT, as with TNFα, 42 may therefore be able to promote apoptosis in human cytotrophoblasts and this interaction could be modulated by autocrine or paracrine TR6 expression. It would be interesting to explore the relative expression level of LTβR and HVEM proteins in pathological specimens as these proteins exhibit some variable expression in our samples of normal placenta.
The results of the present study locate LIGHT, TR6, HVEM, and LTβR protein in specific maternal and fetal cells important in the maintenance of human pregnancy. Studies on the function and regulation of placental LIGHT have yet to be done but sequence homology and cellular localization data suggest that this cytokine will mirror TNFα as a powerful and potentially pleiotropic mediator of successful pregnancy.
Acknowledgments
We thank Dr. Judith Pace and the P30/U54 Reproductive Sciences Center for providing cultured cell lines and purified W6/32 monoclonal antibody.
Footnotes
Address reprint requests to Joan S. Hunt, Ph.D., Departments of Anatomy and Cell Biology and Pathology and Laboratory Medicine, University of Kansas Medical Center, 3901 Rainbow Blvd, Kansas City, KS 66160-7400. E-mail:jhunt@kumc.edu.
Supported by National Institutes of Health grants HD24212 and HD33994 (to J.S.H.) and from the Lawson-Mann fellowship (to R.M.G.).
References
- 1.Phillips TA, Ni J, Pan G, Ruben SM, Wei Y, Pace J, Hunt JS: TRAIL (Apo-2L) and TRAIL receptors in human placentas: implications for immune privilege. J Immunol 1999, 162:6053-6059 [PubMed] [Google Scholar]
- 2.Runic R, Lockwood CJ, Ma Y, Dipasquale B, Guller S: Expression of Fas ligand by human cytotrophoblasts: implications in placentation and fetal survival. J Clin Endocrinol 1996, 81:3119-3122 [DOI] [PubMed] [Google Scholar]
- 3.Hunt JS, Vassmer D, Ferguson TA, Miller L: Fas ligand is positioned in mouse uterus and placenta to prevent trafficking of activated leukocytes between the mother and the conceptus. J Immunol 1997, 158:4122-4128 [PubMed] [Google Scholar]
- 4.Phillips TA, Ni J, Hunt JS: Death-inducing tumor necrosis factor (TNF) superfamily ligands and receptors are transcribed in human placentas, cytotrophoblasts, placental macrophages, and placental cell lines. Placenta 2001, 22:663-672 [DOI] [PubMed] [Google Scholar]
- 5.Mauri DN, Ebner R, Montgomery RI, Kochel KD, Cheung TC, Yu GL, Ruben S, Murphy M, Eisenberg RJ, Cohen GH, Spear P, Ware C: LIGHT, a new member of the TNF superfamily, and lymphotoxic α are ligands for herpesvirus entry mediator. Immunity 1998, 8:21-30 [DOI] [PubMed] [Google Scholar]
- 6.Harrop JA, McDonnell PC, Brigham-Burke M, Lyn SD, Minton J, Tan KB, Dede K, Spampanato J, Silverman C, Hensley P, DiPrinzio R, Emery JG, Deen K, Eichman C, Chabot-Fletcher M, Truneh A, Young P: Herpesvirus entry mediator ligand (HVEM-L), a novel ligand for HVEM/TR2, stimulates proliferation of T-cells and inhibits HT29 cell growth. J Biol Chem 1998, 273:27548-27556 [DOI] [PubMed] [Google Scholar]
- 7.Rooney IA, Butrovich KD, Glass AA, Borboroglu S, Benedict CA, Whitbeck JC, Cohen GH, Eisenberg RJ, Ware CF: The lymphotoxin β receptor is necessary and sufficient for LIGHT-mediated apoptosis of tumor cells. J Biol Chem 2000, 275:14307-14315 [DOI] [PubMed] [Google Scholar]
- 8.Granger SW, Butrovich KD, Houshmand P, Edwards WR, Ware CF: Genomic characterization of LIGHT reveals linkage to an immune response locus on chromosome 19p13.3 and distinct isoforms generated by alternate splicing or proteolysis. J Immunol 2001, 167:5122-5128 [DOI] [PubMed] [Google Scholar]
- 9.Tamada K, Shimozaki K, Chapoval AI, Zhai Y, Su J, Chen S, Hsieh S, Nagata S, Ni J, Chen L: LIGHT, a TNF-like molecule, co-stimulates T cell proliferation and is required for dendritic cell-mediated allogenic T cell response. J Immunol 2000, 164:4105-4110 [DOI] [PubMed] [Google Scholar]
- 10.Morel Y, Schiano de Colella J, Harrop J, Deen KC, Holmes SD, Wattam TA, Khandejar SS, Truneh A, Sweet RW, Gastaut J, Olive D, Costello RT: Reciprocal expression of the TNF family receptor herpes virus entry mediator and its ligand LIGHT on activated T cells: LIGHT down-regulates its own receptors. J Immunol 2000, 165:4397-4404 [DOI] [PubMed] [Google Scholar]
- 11.Tamada K, Shimozaki K, Chapoval AI, Zhu G, Sica G, Flies D, Boone T, Hsu H, Fu Y, Nagata S, Ni J, Chen L: Modulation of T-cell-mediated immunity in tumor and graft-versus-host disease models through the LIGHT co-stimulatory pathway. Nat Med 2000, 6:283-289 [DOI] [PubMed] [Google Scholar]
- 12.Morel Y, Truneh A, Sweet RW, Olive D, Costello RT: The TNF superfamily members LIGHT and CD154 (CD40 ligand) co-stimulate induction of dendritic cell maturation and elicit specific CTL activity. J Immunol 2001, 167:2479-2486 [DOI] [PubMed] [Google Scholar]
- 13.Chen M, Hsu T, Luh T, Hseih S: Overexpression of Bcl-2 enhances LIGHT and interferon-γ-mediated apoptosis in Hep3BT2 cells. J Biol Chem 2000, 275:38794-38801 [DOI] [PubMed] [Google Scholar]
- 14.Montgomery RI, Warner MS, Lum BJ, Spear PG: Herpes simplex virus-1 entry into cells mediated by a novel member of the TNF/NGF receptor family. Cell 1996, 87:427-436 [DOI] [PubMed] [Google Scholar]
- 15.Yu K, Kwon B, Ni J, Zhai Y, Ebner R, Kwon BS: A newly identified member of the tumor necrosis factor receptor superfamily (TR6) suppresses LIGHT-mediated apoptosis. J Biol Chem 1999, 274:13733-13736 [DOI] [PubMed] [Google Scholar]
- 16.Zhang J, Salcedo TW, Wan X, Ullrich S, Hu B, Gregorio T, Feng P, Qi S, Chen H, Cho YH, Li Y, Moore PA, Wu J: Modulation of T-cell responses to alloantigens by TR6/DcR3. J Clin Invest 2001, 107:1459-1468 [DOI] [PMC free article] [PubMed] [Google Scholar]
- 17.Roth W, Isenmann S, Nakamura M, Platten M, Wick W, Kleihues P, Bahr M, Ohgaki H, Ashkenazi A, Weller M: Soluble decoy receptor 3 is expressed by malignant gliomas and suppresses CD95 ligand-induced apoptosis and chemotaxis. Cancer Res 2001, 61:2759-2765 [PubMed] [Google Scholar]
- 18.Harrop JA, Reddy M, Dede K, Brigham-Burke M, Lyn S, Tan KB, Silverman C, Eichman C, DiPrinzio R, Spampanato J, Porter T, Holmes S, Young PR, Truneh A: Antibodies to TR2 (herpesvirus entry mediator), a new member of the TNF receptor superfamily, block T cell proliferation, expression of activation markers, and production of cytokines. J Immunol 1998, 161:1786-1794 [PubMed] [Google Scholar]
- 19.Kwon BS, Tan KB, Ni J, Oh-OK-Kwi, Lee ZH, Kim KK, Kim Y-J, Wang S, Gentz R, Yu G-L, Harrop J, Lyn SD, Silverman C, Porter TG, Truneh A, Young PR: A newly identified member of the tumor necrosis factor receptor superfamily with a wide tissue distribution and involvement in lymphocyte activation. J Biol Chem 1997, 272:14272-14276 [DOI] [PubMed] [Google Scholar]
- 20.Browning JL, Sizing ID, Lawton P, Bourdon PR, Rennert PD, Majeau GR, Ambrose CM, Hession C, Miatkowski K, Griffiths DA, Ngam-ek A, Meier W, Benjamin CD, Hochman PS: Characterization of lymphotoxin-αβ complexes on the surface of mouse lymphocytes. J Immunol 1997, 159:3288-3298 [PubMed] [Google Scholar]
- 21.Pitti RM, Marsters SA, Lawrence DA, Roy M, Kischkel FC, Dowd P, Huang A, Donahue CJ, Sherwood SW, Baldwin DT, Godowski PJ, Wood WI, Gurney AL, Hillan KJ, Cohen RL, Goddard AD, Botstein D, Ashkenazi A: Genomic amplification of a decoy receptor for Fas ligand in lung and colon cancer. Nature 1998, 396:699-702 [DOI] [PubMed] [Google Scholar]
- 22.Degli-Esposti MA, Davis-Smith T, Din W, Smolak PJ, Goodwin RG, Smith CA: Activation of the lymphotoxin β receptor by cross-linking induces chemokine production and growth arrest in A375 melanoma cells. J Immunol 1997, 158:1756-1762 [PubMed] [Google Scholar]
- 23.Kliman HJ, Nestler JE, Sermasi E, Sanger JM, Strauss JM, III: Purification, characterization, and in vitro differentiation of cytotrophoblasts from human term placentae. Endocrinology 1986, 118:1567-1582 [DOI] [PubMed] [Google Scholar]
- 24.Douglas GC, King BF: Isolation of pure villous cytotrophoblasts from term human placenta using immunomagnetic microspheres. J Immunol Methods 1989, 119:259-268 [DOI] [PubMed] [Google Scholar]
- 25.Smith CA, Davis T, Anderson D, Solam L, Beckmann MP, Jerzy R, Dower SK, Cosman D, Goodwin RG: A receptor for tumor necrosis factor defines an unusual family of cellular and viral proteins. Science 1990, 248:1019-1023 [DOI] [PubMed] [Google Scholar]
- 26.Shaikh RB, Santee S, Granger SW, Butrovich K, Cheung T, Kronenberg M, Cheroutre H, Ware CF: Constitutive expression of LIGHT on T cells leads to lymphocyte activation, inflammation, and tissue destruction. J Immunol 2001, 167:6330-6337 [DOI] [PubMed] [Google Scholar]
- 27.Rothe M, Wong SC, Henzel WJ, Goeddel DV: A novel family of putative signal transducers associated with the cytoplasmic domain of the 75 kDa tumor necrosis factor receptor. Cell 1994, 78:681-692 [DOI] [PubMed] [Google Scholar]
- 28.Rothe M, Sarma V, Dixit VM, Goeddel DV: TRAF2-mediated activation of NF-κ B by TNF receptor 2 and CD40. Science 1995, 269:1424-1427 [DOI] [PubMed] [Google Scholar]
- 29.Marsters SA, Ayres TM, Skubatch M, Gray CL, Rothe M, Ashkenazi A: Herpesvirus entry mediator, a member of the tumor necrosis factor receptor (TNFR) family, interacts with members of the TNFR-associated factor family and activates the transcription factors NF-κB and AP-1. J Biol Chem 1997, 272:14029-14032 [DOI] [PubMed] [Google Scholar]
- 30.Hsu H, Solovyev I, Colombero A, Elliot R, Kelley M, Boyle WJ: ATAR, a novel tumor necrosis factor receptor family member, signals through TRAF2 and TRAF5. J Biol Chem 1997, 272:13471-13474 [DOI] [PubMed] [Google Scholar]
- 31.Yelavarthi KK, Chen H-L, Yang Y, Fishback JL, Cowley BD, Hunt JS: Tumor necrosis factor-α mRNA and protein in rat uterine and placental cells. J Immunol 1991, 146:3840-3848 [PubMed] [Google Scholar]
- 32.Hunt JS, Chen H-L, Hu X-L, Tabibzadeh S: Tumor necrosis factor-α mRNA and protein in human endometrium. Biol Reprod 1992, 47:141-147 [DOI] [PubMed] [Google Scholar]
- 33.Hunt JS, Chen H-L, Hu X-L, Pollard JW: Normal distribution of tumor necrosis factor-α messenger ribonucleic acid and protein in virgin and pregnant osteopetrotic (op/op) mice. Biol Reprod 1993, 49:441-452 [DOI] [PubMed] [Google Scholar]
- 34.Philippeaux M-M, Piguet PF: Expression of tumor necrosis factor-α and its mRNA in the endometrial mucosa during the menstrual cycle. Am J Pathol 1993, 143:480-486 [PMC free article] [PubMed] [Google Scholar]
- 35.Roby KF, Hunt JS: Mouse endometrial tumor necrosis factor-α mRNA and protein: localization and regulation by estradiol and progesterone. Endocrinology 1994, 135:2780-2789 [DOI] [PubMed] [Google Scholar]
- 36.Crainie M, Guilbert L, Wegmann TG: Expression of novel cytokine transcripts in the murine placenta. Biol Reprod 1990, 43:999-1005 [DOI] [PubMed] [Google Scholar]
- 37.Chen H-L, Yang Y, Hu X-L, Yelavarthi KK, Fishback JL, Hunt JS: Tumor necrosis factor-α mRNA and protein are present in human placental and uterine cells at early and late stages of gestation. Am J Pathol 1991, 139:327-335 [PMC free article] [PubMed] [Google Scholar]
- 38.Zolti M, Ben-Rafael Z, Meirom R, Shemesh M, Bider D, Mashiach S, Apte RN: Cytokine involvement in oocytes and early embryos. Fertil Steril 1991, 56:265-272 [DOI] [PubMed] [Google Scholar]
- 39.Romero R, Manogue KH, Mitchell MD, Wu YK, Oyarzun E, Hobbins JC, Cerami A: Infection and labor: IV. Cachectin-tumor necrosis factor in the amniotic fluid of women with intra-amniotic infection and preterm labor. Am J Obstet Gynecol 1989, 161:336-341 [DOI] [PubMed] [Google Scholar]
- 40.Austgulen R, Liabakk N-B, Brockhaus M, Espevik T: Soluble TNF receptors in amniotic fluid and in urine from pregnant women. J Reprod Immunol 1992, 11:105-116 [DOI] [PubMed] [Google Scholar]
- 41.Zhai Y, Guo R, Hsu T, Yu G, Ni J, Kwon BS, Jiang G, Lu J, Tan J, Ugustus M, Carter K, Rojas L, Zhu F, Lincoln C, Endress G, Xing L, Wang S, Oh K, Gentz R, Ruben S, Lippman ME, Hsieh S, Yang D: LIGHT, a novel ligand for lymphotoxin β receptor and TR2/HVEM, induces apoptosis and suppresses in vivo tumor formation via gene transfer. J Clin Invest 1998, 102:1142-1151 [DOI] [PMC free article] [PubMed] [Google Scholar]
- 42.Yui J, Garcia-Lloret M, Wegmann TG, Guilbert LJ: Cytotoxicity of tumor necrosis factor-α and γ-interferon against primary human placental trophoblasts. Placenta 1994, 15:819-835 [DOI] [PubMed] [Google Scholar]


