NCBI Bookshelf. A service of the National Library of Medicine, National Institutes of Health.
Adam MP, Bick S, Mirzaa GM, et al., editors. GeneReviews® [Internet]. Seattle (WA): University of Washington, Seattle; 1993-2025.
Antonio Federico, MD andGian Nicola Gallus, DSci.
Author Information and AffiliationsInitial Posting:July 16, 2003; Last Revision:November 14, 2024.
Estimated reading time: 24 minutes
Cerebrotendinous xanthomatosis (CTX) is a lipid storage disease characterized by infantile-onset diarrhea, childhood-onset cataract, adolescent- to young adult-onset tendon xanthomas, and adult-onset progressive neurologic dysfunction (dementia, psychiatric disturbances, pyramidal and/or cerebellar signs, dystonia, atypical parkinsonism, peripheral neuropathy, and seizures). Chronic diarrhea from infancy and/or neonatal cholestasis may be the earliest clinical manifestation. In approximately 75% of affected individuals, cataracts are the first finding, often appearing in the first decade of life. Xanthomas appear in the second or third decade; they occur on the Achilles tendon, the extensor tendons of the elbow and hand, the patellar tendon, and the neck tendons. Xanthomas have been reported in the lung, bones, and central nervous system. Some individuals show cognitive impairment from early infancy, whereas the majority have normal or only slightly impaired intellectual function until puberty; dementia with slow deterioration in intellectual abilities occurs in the third decade in more than 50% of individuals. Neuropsychiatric symptoms such as behavioral changes, hallucinations, agitation, aggression, depression, and suicide attempts may be prominent. Pyramidal signs (i.e., spasticity) and/or cerebellar signs almost invariably become evident between ages 20 and 30 years.
The biochemical abnormalities that distinguish CTX from other conditions with xanthomas include high plasma and tissue cholestanol concentration, normal-to-low plasma cholesterol concentration, decreased chenodeoxycholic acid (CDCA), increased concentration of bile alcohols and their glyconjugates, and increased concentrations of cholestanol and apolipoprotein B in cerebrospinal fluid.
The diagnosis of CTX is established in aproband with suggestive findings andbiallelic pathogenic variants inCYP27A1 identified bymolecular genetic testing.
Targeted therapy: Long-term treatment with chenodeoxycholic acid (CDCA) normalizes plasma and cerebrospinal fluid concentration of cholestanol and improves neurophysiologic findings.
Supportive treatment: Inhibitors of 3-hydroxy-3-methylglutaryl coenzyme A (HMG-CoA) reductase alone or in combination with CDCA are also effective in decreasing cholestanol concentration and improving clinical signs; however, they may induce muscle damage. Cholic acid treatment decreases cholestanol levels and improves neurologic symptoms in the few individuals in whom it has been tried and may be useful in those who experience side effects with CDCA treatments. Cataract extraction is typically required in at least one eye by age 50 years. Epilepsy, spasticity, and parkinsonism are treated symptomatically.
Surveillance: Annual cholestanol plasma concentration, neurologic and neuropsychological evaluation, brain MRI, echocardiogram, and assessment of bone density.
Agents/circumstances to avoid: Caution has been suggested with statins.
Evaluation of relatives at risk: It is appropriate to clarify the genetic status of apparently asymptomatic older and younger at-risk relatives of an affected individual in order to identify as early as possible those who would benefit from prompt initiation of CDCA treatment and surveillance.
Pregnancy management: Treatment with CDCA should not be interrupted during pregnancy.
CTX is inherited in anautosomal recessive manner. If both parents are known to beheterozygous for aCYP27A1pathogenic variant, each sib of an affected individual has at conception a 25% chance of being affected, a 50% chance of being acarrier, and a 25% chance of inheriting neither of thefamilial pathogenic variants. Carrier testing for at-risk family members and prenatal andpreimplantation genetic testing are possible if bothCYP27A1 pathogenic variants in the family are known.
A consensus paper on the diagnostic criteria and management of cerebrotendinous xanthomatosis (CTX) has been published [Stelten et al 2021a] (full text).
CTX, a lipid storage disease,should be suspected in individuals with the following clinical, laboratory, imaging, and family history findings.
Clinical findings
Laboratory findings
Biochemical Abnormalities in Cerebrotendinous Xanthomatosis
| Analyte | Source | Concentration | |
|---|---|---|---|
| In CTX | Normal | ||
| Cholestanol | Plasma & tissue | ≤5-10x normal | 330±30 µg/dL |
| Bile alcohols | Urine | 14,000±3500 nmol/L | Not detectable |
| Plasma | ≤500-1000x normal | 8.48±3.67 | |
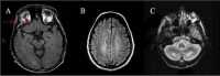
Brain imaging

MRI findings in three persons with CTX A. Signal alterations of cerebral peduncle
Family history is consistent withautosomal recessive inheritance (e.g., affected sibs and/or parentalconsanguinity). Absence of a known family history does not preclude the diagnosis.
The diagnosis of CTXis established in aproband with suggestive findings andbiallelic pathogenic (orlikely pathogenic) variants inCYP27A1 identified bymolecular genetic testing (seeTable 2).
Note: (1) Per ACMG/AMP variant interpretation guidelines, the terms "pathogenic variant" and "likely pathogenic variant" are synonymous in a clinical setting, meaning that both are considered diagnostic and can be used for clinical decision making [Richards et al 2015]. Reference to "pathogenic variants" in thisGeneReview is understood to include likely pathogenic variants. (2) Identification ofbiallelicCYP27A1 variants ofuncertain significance (or of one knownCYP27A1 pathogenic variant and oneCYP27A1 variant of uncertain significance) does not establish or rule out the diagnosis.
Molecular genetic testing approaches can include a combination ofgene-targeted testing (single-gene testing,multigene panel) andcomprehensivegenomic testing (exome sequencing,genome sequencing) depending on thephenotype.
Gene-targeted testing requires that the clinician determine whichgene(s) are likely involved, whereasgenomic testing does not. Individuals with the distinctive findings described inSuggestive Findings are likely to be diagnosed using gene-targeted testing (seeOption 1), whereas those in whom the diagnosis of CTX has not been considered are more likely to be diagnosed using genomic testing (seeOption 2).
Single-gene testing. Sequence analysis ofCYP27A1 is performed first to detectmissense,nonsense, andsplice site variants and small intragenic deletions/insertions. Note: Depending on the sequencing method used, single-exon, multiexon, or whole-gene deletions/duplications may not be detected. If only one or no variant is detected by the sequencing method used, the next step is to perform gene-targeteddeletion/duplication analysis to detect exon and whole-gene deletions or duplications.
Amultigene panel that includesCYP27A1 and other genes of interest (seeDifferential Diagnosis) is most likely to identify the genetic cause of the condition while limiting identification of variants ofuncertain significance and pathogenic variants in genes that do not explain the underlyingphenotype. Note: (1) The genes included in the panel and the diagnosticsensitivity of the testing used for eachgene vary by laboratory and are likely to change over time. (2) Some multigene panels may include genes not associated with the condition discussed in thisGeneReview. (3) In some laboratories, panel options may include a custom laboratory-designed panel and/or custom phenotype-focusedexome analysis that includes genes specified by the clinician. (4) Methods used in a panel may includesequence analysis,deletion/duplication analysis, and/or other non-sequencing-based tests.
For an introduction to multigene panels clickhere. More detailed information for clinicians ordering genetic tests can be foundhere.
Comprehensivegenomic testing does not require the clinician to determine whichgene is likely involved.Exome sequencing is most commonly used;genome sequencing is also possible.
For an introduction to comprehensivegenomic testing clickhere. More detailed information for clinicians ordering genomic testing can be foundhere.
Molecular Genetic Testing Used in Cerebrotendinous Xanthomatosis
| Gene 1 | Method | Proportion of Pathogenic Variants 2 Identified by Method |
|---|---|---|
| CYP27A1 | Sequence analysis 3 | 99% 4 |
| Gene-targeteddeletion/duplication analysis 5 | 1% 4 |
SeeTable A. Genes and Databases forchromosomelocus and protein.
SeeMolecular Genetics for information on variants detected in thisgene.
Sequence analysis detects variants that are benign,likely benign, ofuncertain significance,likely pathogenic, or pathogenic. Variants may includemissense,nonsense, andsplice site variants and small intragenic deletions/insertions; typically,exon or whole-gene deletions/duplications are not detected. For issues to consider in interpretation ofsequence analysis results, clickhere.
Data derived from the subscription-based professional view of Human Gene Mutation Database and Ensembl 105: Dec 2021 [Stenson et al 2020,Howe et al 2021]
Gene-targeteddeletion/duplication analysis detects intragenic deletions or duplications. Methods used may include a range of techniques such asquantitative PCR, long-range PCR, multiplex ligation-dependent probe amplification (MLPA), and agene-targeted microarray designed to detect single-exon deletions or duplications.
Cerebrotendinous xanthomatosis (CTX) is a lipid storage disease characterized by infantile-onset diarrhea, childhood-onset cataract, adolescent- to young adult-onset tendon xanthomas, and adult-onset progressive neurologic dysfunction (dementia, psychiatric disturbances, pyramidal and/or cerebellar signs, dystonia, atypical parkinsonism, peripheral neuropathy, and seizures). Intrafamilial variability is considerable. A suspicion index for diagnosis has been reported based on clinical and laboratory findings [Mignarri et al 2014].
Cerebrotendinous Xanthomatosis: Frequency of Select Features
| Feature | % of Persons w/Feature | |
|---|---|---|
| Infantile-onset diarrhea | 40% | |
| Childhood-onset cataract | 89% | |
| Adolescent- to young adult-onset tendon xanthomas | 78% | |
| Cardiovascular findings | 25% | |
| Osteopenia | 67% | |
| Adult-onset progressive neurologic dysfunction | Intellectual disability | 60% |
| Psychiatric disturbances | 44% | |
| Ataxia | 36% | |
| Spastic paraparesis | 64% | |
| Parkinsonism | 9% | |
| Peripheral neuropathy | 70% | |
| Seizures | 33% | |
Based onMignarri et al [2014]
Gastrointestinal and hepatic findings. Chronic diarrhea from infancy, even in the neonatal period, may be the earliest clinical manifestation of CTX [Cruysberg 2002,Gong et al 2017]. Gallstones have been reported on occasion. Neonatal cholestasis has been identified as a presenting manifestation of CTX [Zhang et al 2021]. Cases with fatal cholestasis [von Bahr et al 2005] and infantile hepatitis in infancy [Clayton et al 2002] have been also reported.
Eye. In approximately 75% of affected individuals, cataracts are the first finding, often appearing in the first decade of life. In 25% of individuals, cataracts are first observed after age 40 years. Cataracts may be visually significant opacities requiring lensectomy or visually insignificant cortical opacities. The appearance can include irregular cortical opacities, anterior polar cataracts, and dense posterior subcapsular cataracts [Cruysberg et al 1995]. Among large study groups of individuals with juvenile-onset cataracts, CTX was diagnosed in 1.8% in the United States [Freedman et al 2019] and 1.55% in Turkey [Atilla et al 2021].
Other findings include palpebral xanthelasmas, optic nerve atrophy and proptosis, paleness of the optic disk, premature retinal senescence with retinal vessel sclerosis, cholesterol-like deposits along vascular arcades, and myelinated nerve fibers [Dotti et al 2001].
Khan et al [2013] reported the unique finding of fleck lenticular opacities in three children with CTX; these affected children also had capsular opacities (posterior only or posterior and anterior) that caused visual symptoms.
Xanthomas appear in the second or third decade. In addition to the classic xanthomas of the Achilles tendon, xanthomas also occur on the extensor tendons of the elbow and hand, the patellar tendon (seeFigure 1), and the neck tendons. Xanthomas have been reported in the lung, bones, and central nervous system [Brienza et al 2015].
Cardiovascular system. Premature atherosclerosis and coronary artery disease have been reported [Valdivielso et al 2004,Androdias et al 2012], as has lipomatous hypertrophy of the atrial septum [Dotti et al 1998,Frih-Ayed et al 2005].
Skeleton. Bone involvement is characterized by granulomatous lesions in the lumbar vertebrae and femur, osteoporosis and increased risk of bone fractures, and impaired adsorption of radiocalcium, which improves with chenodeoxycholic acid treatment [Martini et al 2013]. Osteoporosis is evident by total body densitometry in untreated individuals. Individuals may have marked thoracic kyphosis.
Premature aging. Early-onset cataract, osteopenia with bone fractures and loss of teeth, atherosclerosis, and neurologic impairment with dementia and/or parkinsonism (associated with the characteristic facies) suggest a generalized premature aging process [Dotti et al 1991].
Intellectual disability or dementia following slow deterioration in intellectual abilities occurs in the third decade in more than 50% of individuals [Verrips et al 2000a]. Some individuals show cognitive impairment from early infancy, whereas the majority have normal or only slightly impaired intellectual function until puberty. In the spinal form, mainly characterized by myelopathy and spastic paraparesis, intellect is almost always normal.
Neuropsychiatric symptoms including behavioral changes, hallucinations, agitation, aggression, depression, and suicide attempts may be prominent [Fraidakis 2013].
Pyramidal signs (i.e., spasticity) and/or cerebellar signs are almost invariably present between ages 20 and 30 years. The clinical findings are related to the primary involvement of corticospinal tracts, subcortical white matter, dentate nuclei, and cerebellum cortex involvement that is evident on MRI [Dotti et al 1994,Inglese et al 2003,Mignarri et al 2017,Rosini et al 2017,Catarino et al 2018,Makary et al 2018].
Some individuals present with a spinal form, in which progressive spastic paraparesis is the main clinical concern [Nicholls et al 2015,Catarino et al 2018].
Extrapyramidal manifestations can be considered a late disease manifestation, with parkinsonism the most frequently reported, followed by dystonia, myoclonus, and postural tremor. In a recent review of 79 individuals with CTX, the mean age at onset of a movement disorder was 40±12 years (median 40, range 13-62 years). Movement disorders were found to be mixed in 23% of individuals and were usually part of a complex clinical picture, rather than a prominent finding. Still, in 18% of individuals, a movement disorder was the presenting manifestation [Stelten et al 2019].
Seizures are reported in approximately 50% of individuals with CTX [Pedroso et al 2012].
Peripheral neuropathy is evident on electrophysiologic studies [Ginanneschi et al 2013,Zhang et al 2020], which reveal decreased nerve conduction velocities and abnormalities in somatosensory, motor, brain stem, and visual evoked potentials. Clinical manifestations related to peripheral nerve involvement are distal muscle atrophy and pes cavus. Sensory abnormalities are rarely described.
Heterozygotes are generally asymptomatic; however, clinical findings have been reported in heterozygotes ranging from an increased incidence of cardiovascular disorders to gallstones [Author, personal observation].
Nogenotype-phenotype correlations forCYP27A1 have been identified.
Terms used in the past for CTX and no longer in use include the following:
More than 400 individuals with CTX have been reported worldwide [Stelten et al 2021a], with larger groups of affected individuals being reported in the medical literature from Italy, the Netherlands, Germany, Japan, China, Turkey, Israel, and Spain.
No phenotypes other than those discussed in thisGeneReview are known to be associated withgermline pathogenic variants inCYP27A1.
Selected monogenic disorders that may present with clinical features similar to those of cerebrotendinous xanthomatosis are summarized inTable 4.
Selected Monogenic Disorders in the Differential Diagnosis of Cerebrotendinous Xanthomatosis
| Feature | Genetic Disorder | Gene(s) | MOI |
|---|---|---|---|
| Chronic diarrhea | Congenital diarrhea (OMIMPS214700) | DGAT1 EPCAM GUCY2C MYO5B NEUROG3 PERCC1 PLVAP SLC26A3 SLC9A3 SPINT2 STX3 WNT2B | AR AD 1 |
| Neonatal cholestasis 2 | Alagille syndrome | JAG1 NOTCH2 | AD |
| Dubin-Johnson syndrome (OMIM237500) | ABCC2 | AR | |
| Neonatal intrahepatic cholestasis caused bycitrin deficiency | SLC25A13 | AR | |
| Progressivefamilial intrahepatic cholestasis (seeATP8B1 deficiency & OMIMPS211600) | ABCB4 ABCB11 ATP8B1 NR1H4 SLC51A TJP2 | AR | |
| Juvenile cataracts | Myotonic dystrophy type 1 | DMPK | AD |
| Xanthomas | Sitosterolemia. Note: Tendon xanthomas or tuberous (i.e., planar) xanthomas can occur in childhood & in unusual locations (heels, knees, elbows, & buttocks). | ABCG5 ABCG8 | AR |
| Familial hypercholesterolemia (FH). Note: Common locations of xanthomas incl around eyelids, tendons of elbows, hands, knees, & feet, particularly Achilles tendon. Interdigital xanthomas occur in persons w/homozygous FH. | APOB LDLR PCSK9 | AD | |
| Spastic paraplegia | SeeHereditary Spastic Paraplegia Overview. | >80 genes | AD AR XL Mat |
| Ataxia | SeeHereditary Ataxia Overview. | >130 genes | AD AR XL |
| Intellectual disability | SeeOMIM Autosomal Dominant,Autosomal Recessive,Nonsyndromic X-Linked, &Syndromic X-Linked Intellectual Developmental Disorder Phenotypic Series. | >200 genes | AD AR XL |
| Genetic leukoenceph- alopathies | SeeVanderver [2016]. | >100 genes | AD AR XL Mat |
AD =autosomal dominant; AR =autosomal recessive; Mat = maternal; MOI =mode of inheritance; XL =X-linked
Inheritance isautosomal recessive with the exception ofGUCY2C-related diarrhea, which is inherited in anautosomal dominant manner.
A clinical practice guideline on the diagnosis, treatment, and management of cerebrotendinous xanthomatosis (CTX) has been published, based on expert opinion collected with the Delphi method [Stelten et al 2021a] (full text).
To establish the extent of disease and needs in an individual diagnosed with CTX, the evaluations summarized inTable 5 (if not performed as part of the evaluation that led to the diagnosis) are recommended.
Cerebrotendinous Xanthomatosis: Recommended Evaluations Following Initial Diagnosis
| System/Concern | Evaluation | Comment |
|---|---|---|
| ↑ cholestanol level | Lab testing of lipids incl plasma cholestanol level | |
| Peripheral neuropathy | EMG & NCV studies as baseline | |
| Cardiologic concerns | Cardiac eval incl EKG & echocardiogram | |
| Osteoporosis | Bone density study | |
| Cataracts | Ophthalmologic eval | |
| Neurologic & behavioral concerns | Baseline neurologic & neuropsychiatric eval | |
| Genetic counseling | By genetics professionals 1 | To obtain apedigree & inform affected persons & their families re nature, MOI, & implications of CTX to facilitate medical & personal decision making |
| Family support & resources | Assess need for:
|
MOI =mode of inheritance; NCV = nerve conduction velocity
Medical geneticist, certified genetic counselor, certified advanced genetic nurse
In GeneReviews, a targeted therapy is one that addresses the specific underlying mechanism of disease causation (regardless of whether the therapy is significantly efficacious for one or more manifestation of the genetic condition); would otherwise not be considered without knowledge of the underlying genetic cause of the condition; or could lead to a cure. —ED
Early treatment with chenodeoxycholic acid (CDCA) in presymptomatic individuals appears to prevent clinical manifestations (seeTable 6) [Degrassi et al 2020].
Cerebrotendinous Xanthomatosis: Targeted Therapy
| Manifestation/Concern | Treatment | Considerations/Other |
|---|---|---|
| ↑ cholestanol assoc w/neurologic issues & osteoporosis |
|
|
CDCA = chenodeoxycholic acid; CSF = cerebrospinal fluid; MEP = motor evoked potential; NCV = nerve conduction velocity, SEP = sensory evoked potential
Verrips et al [2020] highlighted the efficacy and safety of therapeutic treatment with CDCA through two retrospective studies.
Cerebrotendinous Xanthomatosis: Treatment of Manifestations
| Manifestation/Concern | Treatment | Considerations/Other |
|---|---|---|
| ↑ cholestanol assoc w/neurologic issues & osteoporosis | Long-term treatment w/CDCA (SeeTargeted Therapy.) | SeeTargeted Therapy. |
| Inhibitors of HMG-CoA reductase (statins such as simvastatin & pravastatin) can be used as alternative treatment alone or in combination w/CDCA. | Caution required when using these drugs: may induce muscle damage or even rhabdomyolysis | |
| ||
| Cataracts | Surgical cataract extraction | Typically required in at least 1 eye by age 50 yrs |
| Epilepsy | Symptomatic treatments | |
| Spasticity | ||
| Parkinsonism | Persons w/CTX & parkinsonism are poorly responsive to levodopa. |
CDCA = chenodeoxycholic acid; HMG-CoA = 3-hydroxy-3-methylglutaryl coenzyme A
Cerebrotendinous Xanthomatosis: Recommended Surveillance
| System/Concern | Evaluation | Frequency |
|---|---|---|
| ↑ cholestanol levels | Cholestanol plasma concentration | Annually |
| Neurologic & neuropsychologic issues | Neurologic & neuropsychologic eval | |
| Brain MRI | ||
| Cardiac concerns | Echocardiogram | |
| Osteoporosis | Bone density eval |
Caution in the use of statins has been suggested [Federico & Dotti 2001]. SeeTable 7.
It is appropriate to clarify the genetic status of apparently asymptomatic older and younger at-risk relatives of an affected individual in order to identify as early as possible those who would benefit from prompt initiation of CDCA treatment and surveillance. Early treatment with CDCA in presymptomatic individuals appears to prevent clinical manifestations (seeTreatment of Manifestations). Evaluations can include:
SeeGenetic Counseling for issues related to testing of at-risk relatives forgenetic counseling purposes.
Treatment with CDCA should not be interrupted during pregnancy.
Gene therapies are under investigation in a mouse model of CTX [Lumbreras et al 2021].
SearchClinicalTrials.gov in the US andEU Clinical Trials Register in Europe for access to information on clinical studies for a wide range of diseases and conditions.
Genetic counseling is the process of providing individuals and families withinformation on the nature, mode(s) of inheritance, and implications of genetic disorders to help themmake informed medical and personal decisions. The following section deals with geneticrisk assessment and the use of family history and genetic testing to clarify geneticstatus for family members; it is not meant to address all personal, cultural, orethical issues that may arise or to substitute for consultation with a geneticsprofessional. —ED.
Cerebrotendinous xanthomatosis (CTX) is inherited in anautosomal recessive manner.
Parents of aproband
Sibs of aproband
Offspring of aproband
Other family members. Each sib of theproband's parents is at a 50% risk of being acarrier of aCYP27A1pathogenic variant.
Carrier testing for at-risk relatives requires prior identification of theCYP27A1 pathogenic variants in the family.
See Management,Evaluation of Relatives at Risk for information on evaluating at-risk relatives for the purpose of early diagnosis and treatment.
Family planning
DNA banking. Because it is likely that testing methodology and our understanding of genes, pathogenic mechanisms, and diseases will improve in the future, consideration should be given to banking DNA from probands in whom a molecular diagnosis has not been confirmed (i.e., the causative pathogenic mechanism is unknown). For more information, seeHuang et al [2022].
Once theCYP27A1 pathogenic variants have been identified in an affected family member, prenatal andpreimplantation genetic testing are possible.
Differences in perspective may exist among medical professionals and within families regarding the use of prenatal andpreimplantation genetic testing. While most health care professionals would consider use of prenatal and preimplantation genetic testing to be a personal decision, discussion of these issues may be helpful.
GeneReviews staff has selected the following disease-specific and/or umbrellasupport organizations and/or registries for the benefit of individuals with this disorderand their families. GeneReviews is not responsible for the information provided by otherorganizations. For information on selection criteria, clickhere.
Information in the Molecular Genetics and OMIM tables may differ from that elsewhere in the GeneReview: tables may contain more recent information. —ED.
Cerebrotendinous Xanthomatosis: Genes and Databases
| Gene | Chromosome Locus | Protein | Locus-Specific Databases | HGMD | ClinVar |
|---|---|---|---|---|---|
| CYP27A1 | 2q35 | Sterol 26-hydroxylase, mitochondrial | CYP27A1 @ LOVD | CYP27A1 | CYP27A1 |
OMIM Entries for Cerebrotendinous Xanthomatosis (View All in OMIM)
Cerebrotendinous xanthomatosis (CTX) is caused bybiallelic pathogenic variants inCYP27A1. Many of the reported pathogenic variants involve splice sites and are predicted to affectmRNA stability or lead to the formation of abnormal mRNA with translation products that are devoid of an adrenodoxin-binding region and/or the heme-binding site, important for enzyme activity. Other pathogenic variants are predicted to result in truncated peptides devoid of function. The associated deficiency of a functional mitochondrial enzyme sterol 27-hydroxylase causes cholestanol and cholesterol accumulation in virtually every tissue.
Mechanism of disease causation. CTX occurs via aloss-of-function mechanism.
NotableCYP27A1 Pathogenic Variants
| Reference Sequences | DNA Nucleotide Change | Predicted Protein Change | Comment [Reference] |
|---|---|---|---|
| NM_000784 | c.355delC | p.(Arg119GlyfsTer24) | Founder variant in Israeli Druze [Falik-Zaccai et al 2008] |
| c.1183C>T | p.Arg395Cys | Commonpathogenic variant [Cali et al 1991; Authors, personal observation] |
Variants listed in the table have been provided by the authors.GeneReviews staff have not independently verified the classification of variants.
GeneReviews follows the standard naming conventions of the Human Genome Variation Society (varnomen
Antonio Federico is Emeritus professor of Clinical Neurology, Department of Medicine, Surgery and Neurosciences, Medical School, University of Siena, Siena Italy.
Gian Nicola Gallus is a postdoctoral fellow in Molecular Biology, Department of Medicine, Surgery and Neurosciences, Medical School, University of Siena, Siena, Italy.
We acknowledge all our colleagues who in the last 40 years have collaborated with us in the investigation of this condition: Prof GC Guazzi, Prof N De Stefano, Prof A Malandrini, Dr C Battisti, Dr E Cardaioli, Dr P Formichi, Dr S Bianchi, Dr A Rufa, Dr F Sicurelli; particular thanks to Prof MT Dotti and Dr A Mignarri, and all the physicians who referred patients from Italy and abroad. We also acknowledge all our patients.
Maria Teresa Dotti, MD; University of Siena (2003-2022)
Antonio Federico, MD (2003-present)
Gian Nicola Gallus, DSci (2003-present)
GeneReviews® chapters are owned by the University of Washington. Permission ishereby granted to reproduce, distribute, and translate copies of content materials fornoncommercial research purposes only, provided that (i) credit for source (http://www.genereviews.org/) and copyright (© 1993-2025 University ofWashington) are included with each copy; (ii) a link to the original material is providedwhenever the material is published elsewhere on the Web; and (iii) reproducers,distributors, and/or translators comply with theGeneReviews® Copyright Notice and UsageDisclaimer. No further modifications are allowed. For clarity, excerptsof GeneReviews chapters for use in lab reports and clinic notes are a permitteduse.
For more information, see theGeneReviews® Copyright Notice and UsageDisclaimer.
For questions regarding permissions or whether a specified use is allowed,contact:ude.wu@tssamda.
Your browsing activity is empty.
Activity recording is turned off.
See more...