Movatterモバイル変換


[0]ホーム

URL:


Lecturio medical combi logo
Lecturio medical logo

Imaging of the Intestines

Imaging of the intestines is typically performed utilizing a multimodal approach, with clinical suspicion being the primaryindicatorIndicatorMethods for assessing flow through a system by injection of a known quantity of an indicator, such as a dye, radionuclide, or chilled liquid, into the system and monitoring its concentration over time at a specific point in the system.Body Fluid Compartments for which study should be completed and in what order. There are also many differences between outpatient imaging versus emergency or inpatient imaging of the intestines. Imaging varies widely based on the patient’s history, symptoms, and physical exam findings. The patient’s age will also play a factor in the modality chosen. For example,appendicitisAppendicitisAppendicitis is the acute inflammation of the vermiform appendix and the most common abdominal surgical emergency globally. The condition has a lifetime risk of 8%. Characteristic features include periumbilical abdominal pain that migrates to the right lower quadrant, fever, anorexia, nausea, and vomiting.Appendicitis is typically 1st evaluated via ultrasound in the pediatric population versus CT in adults.

Last updated: Dec 15, 2025

Editorial responsibility:Stanley Oiseth, Lindsay Jones, Evelin Maza

Introduction

Imaging modalities

The common radiologic modalities used to evaluate the intestines are the following:

  • Radiography (X-rayX-rayPenetrating electromagnetic radiation emitted when the inner orbital electrons of an atom are excited and release radiant energy. X-ray wavelengths range from 1 pm to 10 nm. Hard x-rays are the higher energy, shorter wavelength x-rays. Soft x-rays or grenz rays are less energetic and longer in wavelength. The short wavelength end of the x-ray spectrum overlaps the gamma rays wavelength range. The distinction between gamma rays and x-rays is based on their radiation source.Pulmonary Function Tests)
  • Ultrasonography (US)
  • CT
  • FluoroscopyFluoroscopyProduction of an image when x-rays strike a fluorescent screen.X-rays

Preparation andorientationOrientationAwareness of oneself in relation to time, place and person.Psychiatric Assessment

Prior to interpretation of any image, the physician should take certain preparatory steps. The same systematic approach should be followed every time:

  • Confirm the name of the patient, date, and time on all images.
  • Obtain knowledge of the patient’s medical history and physical exam.
  • Confirm the appropriate exam and technique for the suspected or confirmed pathology athandHandThe hand constitutes the distal part of the upper limb and provides the fine, precise movements needed in activities of daily living. It consists of 5 metacarpal bones and 14 phalanges, as well as numerous muscles innervated by the median and ulnar nerves.Hand: Anatomy.
  • Compare any available images of the same area taken in the same modality.

Determine theorientationOrientationAwareness of oneself in relation to time, place and person.Psychiatric Assessment of the image:

  • Right or left marker onX-rayX-rayPenetrating electromagnetic radiation emitted when the inner orbital electrons of an atom are excited and release radiant energy. X-ray wavelengths range from 1 pm to 10 nm. Hard x-rays are the higher energy, shorter wavelength x-rays. Soft x-rays or grenz rays are less energetic and longer in wavelength. The short wavelength end of the x-ray spectrum overlaps the gamma rays wavelength range. The distinction between gamma rays and x-rays is based on their radiation source.Pulmonary Function Tests
  • In the United States, standard exam views place a marker (dot) to the patient’s right.
  • For CT/MRI, onaxialAxialComputed Tomography (CT) view, the image is sliced and viewed from inferior to superior (as if you are looking from the patient’s feet up).

Radiography (X-ray)

Overview

  • Medical indications:
    • Emergency care
    • Routine care
      • Signs and symptoms of abdominal infection
      • Monitoringrenal calculiRenal calculiStones in the kidney, usually formed in the urine-collecting area of the kidney (kidney pelvis). Their sizes vary and most contains calcium oxalate.Imaging of the Urinary System burden 
      • SuspectedmassMassThree-dimensional lesion that occupies a space within the breastImaging of the Breast
      • History of ingested foreign object
      • Verification of correct placement of IVs, lines, and tubes 
      • Postoperative evaluation
  • Advantages:
    • Low cost 
    • LowradiationRadiationEmission or propagation of acoustic waves (sound), electromagnetic energy waves (such as light; radio waves; gamma rays; or x-rays), or a stream of subatomic particles (such as electrons; neutrons; protons; or alpha particles).Osteosarcoma dose 
    • Ubiquitous availability
    • Fast
  • Disadvantages:
    • Poor resolution ofsoft tissueSoft TissueSoft Tissue Abscess
    • Exposure to ionizingradiationRadiationEmission or propagation of acoustic waves (sound), electromagnetic energy waves (such as light; radio waves; gamma rays; or x-rays), or a stream of subatomic particles (such as electrons; neutrons; protons; or alpha particles).Osteosarcoma
    • The patient must hold still for the image.

Exam technique

General positioning:

  • RotationRotationMotion of an object in which either one or more points on a line are fixed. It is also the motion of a particle about a fixed point.X-rays:
    • There should be norotationRotationMotion of an object in which either one or more points on a line are fixed. It is also the motion of a particle about a fixed point.X-rays.
    • Pedicles of thespineSpineThe human spine, or vertebral column, is the most important anatomical and functional axis of the human body. It consists of 7 cervical vertebrae, 12 thoracic vertebrae, and 5 lumbar vertebrae and is limited cranially by the skull and caudally by the sacrum.Vertebral Column: Anatomy should be symmetric. 
  • Visualization:
    • Bowel gas should be completelyradiolucentRadiolucentAn object of low density that is permeable to X-rays (looks black)X-rays.
    • Peritoneal fat planes should be visible laterally.

Positioning for specific views:

  • Anteroposterior (AP):
    • The board is against the patient’s back. 
    • TheX-rayX-rayPenetrating electromagnetic radiation emitted when the inner orbital electrons of an atom are excited and release radiant energy. X-ray wavelengths range from 1 pm to 10 nm. Hard x-rays are the higher energy, shorter wavelength x-rays. Soft x-rays or grenz rays are less energetic and longer in wavelength. The short wavelength end of the x-ray spectrum overlaps the gamma rays wavelength range. The distinction between gamma rays and x-rays is based on their radiation source.Pulmonary Function Tests beams in the anterior to posterior direction through the patient.
    • Can be completed supine or upright
    • Upright positioning is better for evaluatingbowel obstructionBowel obstructionAny impairment, arrest, or reversal of the normal flow of intestinal contents toward the anal canal.Ascaris/Ascariasis and free air.
  • Lateral decubitus:
    • The patient is supine.
    • The board is against the patient’s side.
    • Usually, the left side is down on the table (allows for better visualization of free air).

PenetrationPenetrationX-raysis the degree to whichradiationRadiationEmission or propagation of acoustic waves (sound), electromagnetic energy waves (such as light; radio waves; gamma rays; or x-rays), or a stream of subatomic particles (such as electrons; neutrons; protons; or alpha particles).Osteosarcoma has passed through body, resulting in a darker or lighter image.

  • Under-penetration: The film appears whiter, and features are less apparent.
  • Over-penetration: The film appears darker, and features are less apparent.

Interpretation and evaluation

Systematicinside-out approachInside-Out ApproachImaging of the Lungs and Pleura (central to peripheral):

  • Look at the bowel gas pattern.
  • Look forsolid organ silhouettesSolid Organ SilhouettesImaging of the Urinary System (e.g.,liverLiverThe liver is the largest gland in the human body. The liver is found in the superior right quadrant of the abdomen and weighs approximately 1.5 kilograms. Its main functions are detoxification, metabolism, nutrient storage (e.g., iron and vitamins), synthesis of coagulation factors, formation of bile, filtration, and storage of blood.Liver: Anatomy,spleenSpleenThe spleen is the largest lymphoid organ in the body, located in the LUQ of the abdomen, superior to the left kidney and posterior to the stomach at the level of the 9th-11th ribs just below the diaphragm. The spleen is highly vascular and acts as an important blood filter, cleansing the blood of pathogens and damaged erythrocytes.Spleen: Anatomy, kidney).
  • Look peripherally for normal fat planes.
  • Look for evidence of freeintraperitonealIntraperitonealPeritoneum: Anatomy air.
  • Evaluate soft tissues for abnormal calcifications (e.g., stones, masses in pediatrics).
  • Look at the lungbasesBasesUsually a hydroxide of lithium, sodium, potassium, rubidium or cesium, but also the carbonates of these metals, ammonia, and the amines.Acid-Base Balance for evidence ofconsolidationConsolidationPulmonary Function Tests, effusion, and pneumothoraces.
  • Evaluate osseous structures (e.g.,vertebral bodyVertebral bodyMain portion of the vertebra which bears majority of the weight.Vertebral Column: Anatomy height, iliac bones, femurs).
  • Once an abnormality is noted, use a patterned approach to come up with differential diagnoses.

Normal findings

AP view:

  • Bowel gas:
    • Should be present in the small and large bowels
    • Should not distend thesmall bowelSmall bowelThe small intestine is the longest part of the GI tract, extending from the pyloric orifice of the stomach to the ileocecal junction. The small intestine is the major organ responsible for chemical digestion and absorption of nutrients. It is divided into 3 segments: the duodenum, the jejunum, and the ileum.Small Intestine: Anatomy beyond 3 cm
    • Should not distend thececumCecumThe blind sac or outpouching area of the large intestine that is below the entrance of the small intestine. It has a worm-like extension, the vermiform appendix.Colon, Cecum, and Appendix: Anatomy beyond 10 cm
    • Should be uniform throughout the abdomen
    • Thesmall bowelSmall bowelThe small intestine is the longest part of the GI tract, extending from the pyloric orifice of the stomach to the ileocecal junction. The small intestine is the major organ responsible for chemical digestion and absorption of nutrients. It is divided into 3 segments: the duodenum, the jejunum, and the ileum.Small Intestine: Anatomy should have valvulae conniventes, while the large bowel hashaustraHaustraColon, Cecum, and Appendix: Anatomy.
  • Organs:
    • TheliverLiverThe liver is the largest gland in the human body. The liver is found in the superior right quadrant of the abdomen and weighs approximately 1.5 kilograms. Its main functions are detoxification, metabolism, nutrient storage (e.g., iron and vitamins), synthesis of coagulation factors, formation of bile, filtration, and storage of blood.Liver: Anatomy should be visible under the right hemidiaphragm and uniform, with no free air.
    • ThestomachStomachThe stomach is a muscular sac in the upper left portion of the abdomen that plays a critical role in digestion. The stomach develops from the foregut and connects the esophagus with the duodenum. Structurally, the stomach is C-shaped and forms a greater and lesser curvature and is divided grossly into regions: the cardia, fundus, body, and pylorus.Stomach: Anatomy and thecolonColonThe large intestines constitute the last portion of the digestive system. The large intestine consists of the cecum, appendix, colon (with ascending, transverse, descending, and sigmoid segments), rectum, and anal canal. The primary function of the colon is to remove water and compact the stool prior to expulsion from the body via the rectum and anal canal.Colon, Cecum, and Appendix: Anatomy should be visible, with air in the lumen under the left hemidiaphragm. 
    • Renal outlines, if visible, should be in the RUQ and LUQ.
  • Fat planes: peripheral fat planes with normal appearance
  • LungbasesBasesUsually a hydroxide of lithium, sodium, potassium, rubidium or cesium, but also the carbonates of these metals, ammonia, and the amines.Acid-Base Balance
    • Should be clear with minimal lung markings
    • Costophrenic angles should be sharp.
  • Bones:
    • Pedicles should be present and bilaterally symmetric.
    • Vertebral bodyVertebral bodyMain portion of the vertebra which bears majority of the weight.Vertebral Column: Anatomy heights should be gradually bigger as they move inferiorly.
    • Spinous processes should be located on the midline.
Normal abdominal radiograph

Normal abdominal radiograph (upright)

Image by Hetal Verma.
Supine abdominal x-ray

Supine abdominal X-ray showing centrally located small bowel loops with valvular markings crossing the entire width

Image: “Supine abdomen X-Ray showed small bowel dilatation and ectopic lower abdominal position of gastric band” by PSRMMC, Riyadh, Saudi Arabia. License:CC BY 2.0
Stool on supine abdominal X-ray

Supine abdominal X-ray showing stool, appearing as small bubbles of gas

Image by Hetal Verma.

Ultrasonography

Overview

  • Medical indications:
    • Emergency care: concern forappendicitisAppendicitisAppendicitis is the acute inflammation of the vermiform appendix and the most common abdominal surgical emergency globally. The condition has a lifetime risk of 8%. Characteristic features include periumbilical abdominal pain that migrates to the right lower quadrant, fever, anorexia, nausea, and vomiting.Appendicitis
    • Routine care: none
  • Advantages:
    • Low cost 
    • NoradiationRadiationEmission or propagation of acoustic waves (sound), electromagnetic energy waves (such as light; radio waves; gamma rays; or x-rays), or a stream of subatomic particles (such as electrons; neutrons; protons; or alpha particles).Osteosarcoma dose 
    • Widespread availability
    • Fast
  • Disadvantages:
    • Poor resolution 
    • Narrow field of view
    • The patient must hold still for the image.
    • Technician dependent

Exam technique

  • Positioning:
    • Patient:
      • Access to the RLQ
      • Maximize contact between the patient’sskinSkinThe skin, also referred to as the integumentary system, is the largest organ of the body. The skin is primarily composed of the epidermis (outer layer) and dermis (deep layer). The epidermis is primarily composed of keratinocytes that undergo rapid turnover, while the dermis contains dense layers of connective tissue.Skin: Structure and Functions and the ultrasoundprobeProbeA device placed on the patient’s body to visualize a targetUltrasound (Sonography).
    • Visualization: TheappendixAppendixA worm-like blind tube extension from the cecum.Colon, Cecum, and Appendix: Anatomy should be the most superficial to theprobeProbeA device placed on the patient’s body to visualize a targetUltrasound (Sonography) without other organs and/or bowel interposing, although theappendixAppendixA worm-like blind tube extension from the cecum.Colon, Cecum, and Appendix: Anatomy is found in avariableVariableVariables represent information about something that can change. The design of the measurement scales, or of the methods for obtaining information, will determine the data gathered and the characteristics of that data. As a result, a variable can be qualitative or quantitative, and may be further classified into subgroups.Types of Variables location within the abdomen.
  • Depth and gain: determines the field of view and echogenicity characteristics of the tissue

Interpretation and evaluation

  • Size: A normalappendixAppendixA worm-like blind tube extension from the cecum.Colon, Cecum, and Appendix: Anatomy should not exceed 6mmMMMultiple myeloma (MM) is a malignant condition of plasma cells (activated B lymphocytes) primarily seen in the elderly. Monoclonal proliferation of plasma cells results in cytokine-driven osteoclastic activity and excessive secretion of IgG antibodies.Multiple Myeloma in diameter.
  • Echogenicity: homogenous without echogenic/shadowing or endoluminal foci
  • Position: typically in the RLQ of the abdomen
  • Normal organ wall thickness:
    • StomachStomachThe stomach is a muscular sac in the upper left portion of the abdomen that plays a critical role in digestion. The stomach develops from the foregut and connects the esophagus with the duodenum. Structurally, the stomach is C-shaped and forms a greater and lesser curvature and is divided grossly into regions: the cardia, fundus, body, and pylorus.Stomach: Anatomy: 4–6mmMMMultiple myeloma (MM) is a malignant condition of plasma cells (activated B lymphocytes) primarily seen in the elderly. Monoclonal proliferation of plasma cells results in cytokine-driven osteoclastic activity and excessive secretion of IgG antibodies.Multiple Myeloma
    • Small bowelSmall bowelThe small intestine is the longest part of the GI tract, extending from the pyloric orifice of the stomach to the ileocecal junction. The small intestine is the major organ responsible for chemical digestion and absorption of nutrients. It is divided into 3 segments: the duodenum, the jejunum, and the ileum.Small Intestine: Anatomy: 3–4mmMMMultiple myeloma (MM) is a malignant condition of plasma cells (activated B lymphocytes) primarily seen in the elderly. Monoclonal proliferation of plasma cells results in cytokine-driven osteoclastic activity and excessive secretion of IgG antibodies.Multiple Myeloma
    • AppendixAppendixA worm-like blind tube extension from the cecum.Colon, Cecum, and Appendix: Anatomy: up to 2mmMMMultiple myeloma (MM) is a malignant condition of plasma cells (activated B lymphocytes) primarily seen in the elderly. Monoclonal proliferation of plasma cells results in cytokine-driven osteoclastic activity and excessive secretion of IgG antibodies.Multiple Myeloma
    • Large bowel: 2–3mmMMMultiple myeloma (MM) is a malignant condition of plasma cells (activated B lymphocytes) primarily seen in the elderly. Monoclonal proliferation of plasma cells results in cytokine-driven osteoclastic activity and excessive secretion of IgG antibodies.Multiple Myeloma

Normal findings

Table: Normal ultrasonographic appearance
LayersAppearance
Innermost spaceThe interface between the mucosa and the digestive fluidHyperechoicHyperechoicA structure that produces a high-amplitude echo (lighter grays and white)Ultrasound (Sonography)
MucosaHypoechoicHypoechoicA structure that produces a low-amplitude echo (darker grays)Ultrasound (Sonography)
SubmucosaHyperechoicHyperechoicA structure that produces a high-amplitude echo (lighter grays and white)Ultrasound (Sonography)
Muscularis propria (variableVariableVariables represent information about something that can change. The design of the measurement scales, or of the methods for obtaining information, will determine the data gathered and the characteristics of that data. As a result, a variable can be qualitative or quantitative, and may be further classified into subgroups.Types of Variables thickness)HypoechoicHypoechoicA structure that produces a low-amplitude echo (darker grays)Ultrasound (Sonography)
Outermost spaceSerosaHyperechoicHyperechoicA structure that produces a high-amplitude echo (lighter grays and white)Ultrasound (Sonography)
Transverse scan of the upper abdomen of a normal patient

Transverse scan of the upper abdomen of a healthy patient:
The yellow arrows indicate possible intraluminal gas in the stomach. The numbers represent different layers of the stomach.
1: echogenic mucosa and submucosa
2: hypoechoic muscularis propria
3: echogenic subserosa

Image: “Transverse scan of the upper abdomen of a normal patient” by Department of Radiology, Pamela Youde Nethersole Eastern Hospital, Hong Kong. License:CC BY 2.5
Normal sigmoid colon on ultrasound

Normal sigmoid colon with normal haustral folds (white arrow)

Image: “Normal sigmoid colon with normal haustral folds (white arrow)” by Inflammatory Bowel Disease Clinic, Division of Gastroenterology and Hepatology, University of Calgary, Calgary, AB, Canada T2N 2T9. License:CC BY 4.0

Computed Tomography

Overview

  • Medical indications:
    • Follow-up of suspiciousX-rayX-rayPenetrating electromagnetic radiation emitted when the inner orbital electrons of an atom are excited and release radiant energy. X-ray wavelengths range from 1 pm to 10 nm. Hard x-rays are the higher energy, shorter wavelength x-rays. Soft x-rays or grenz rays are less energetic and longer in wavelength. The short wavelength end of the x-ray spectrum overlaps the gamma rays wavelength range. The distinction between gamma rays and x-rays is based on their radiation source.Pulmonary Function Tests/US findings
      • AppendicitisAppendicitisAppendicitis is the acute inflammation of the vermiform appendix and the most common abdominal surgical emergency globally. The condition has a lifetime risk of 8%. Characteristic features include periumbilical abdominal pain that migrates to the right lower quadrant, fever, anorexia, nausea, and vomiting.Appendicitis
      • Suspectedbowel obstructionBowel obstructionAny impairment, arrest, or reversal of the normal flow of intestinal contents toward the anal canal.Ascaris/Ascariasis
      • Radiograph suspicion of freeintraperitonealIntraperitonealPeritoneum: Anatomy air
      • Suspicious soft-tissue calcifications (e.g.,tumorTumorInflammation, calculi,etcETCThe electron transport chain (ETC) sends electrons through a series of proteins, which generate an electrochemical proton gradient that produces energy in the form of adenosine triphosphate (ATP).Electron Transport Chain (ETC).)
    • MalignancyMalignancyHemothorax
      • Suspicious calcifications (neuroblastomaNeuroblastomaNeuroblastoma is a malignancy that arises from the neural crest cell derivatives along the sympathetic chain (neuroblasts) and is most commonly located in the adrenal medulla. The tumor often presents in childhood with a flank mass that crosses the midline.Neuroblastoma)
      • StagingStagingMethods which attempt to express in replicable terms the extent of the neoplasm in the patient.Grading, Staging, and MetastasismalignancyMalignancyHemothorax for metastatic disease
    • Major trauma
      • Evaluation of abdominal viscera
      • Evaluation for hemorrhage with or without active extravasation on delayed images
      • Concern for subtle pathology not seen on US
  • Advantages:
    • Excellent anatomical detail resolution 
    • Structures can be seen in 3 dimensions.
  • Disadvantages:
    • Involves highradiationRadiationEmission or propagation of acoustic waves (sound), electromagnetic energy waves (such as light; radio waves; gamma rays; or x-rays), or a stream of subatomic particles (such as electrons; neutrons; protons; or alpha particles).Osteosarcoma dose
    • The patient must hold still for the exam.
    • Expensive to perform

Exam technique

Standard CT scanningStandard CT scanningImaging of the Liver and Biliary Tract:

  • The patient lies supine on the table. 
  • The table is moved into the CT scanner, which rotates around the patient.
  • The patient is instructed to hold their breath and remain still for the duration of the scan (seconds).
  • Exams can be done with or without IV or oral contrast.
  • Timing of IV contrast dye can help direct the radiology inquiry of certain areas of pathology:
    • A CT with IV contrast is typically performed in the portal venous phase, initially with another set of images at a delayed time point to evaluate for active extravasation.
CT Components

The patient is advanced into the CT machine and the scanner revolves around the patient.

Image by Lecturio.

Interpretation and evaluation

Interpretation should follow a systematic and reproducible pattern.

  • Review the patient’s history and physical exam.
  • Achieve the ideal evaluation with a soft-tissue window/level (W:400 L:50).
  • Compare to any available recent imaging of the interested area.
  • Orient the image:
  • Identify landmark anatomical structures.
  • Observe for “continuity” of parenchyma while scrolling through image slices.
CT Image Planes

Computed tomography (CT) image viewing planes:
A CT scan uses multiple X-rays to create a 2- or 3-dimensional image. The X-ray “slices” are taken in the axial plane and reconstructed into sagittal and coronal planes by a computer to produce the final image.

Image by Lecturio. License:CC BY-NC-SA 4.0

Normal findings

Normal CT findings:

  • Thesmall bowelSmall bowelThe small intestine is the longest part of the GI tract, extending from the pyloric orifice of the stomach to the ileocecal junction. The small intestine is the major organ responsible for chemical digestion and absorption of nutrients. It is divided into 3 segments: the duodenum, the jejunum, and the ileum.Small Intestine: Anatomy diameter should be uniform, without segments of dilatation.
  • TheduodenumDuodenumThe shortest and widest portion of the small intestine adjacent to the pylorus of the stomach. It is named for having the length equal to about the width of 12 fingers.Small Intestine: Anatomy,jejunumJejunumThe middle portion of the small intestine, between duodenum and ileum. It represents about 2/5 of the remaining portion of the small intestine below duodenum.Small Intestine: Anatomy, andileumIleumThe distal and narrowest portion of the small intestine, between the jejunum and the ileocecal valve of the large intestine.Small Intestine: Anatomy should each be in its expected location, with typical fold pattern.
    • Valvulae conniventes decrease distally in thesmall bowelSmall bowelThe small intestine is the longest part of the GI tract, extending from the pyloric orifice of the stomach to the ileocecal junction. The small intestine is the major organ responsible for chemical digestion and absorption of nutrients. It is divided into 3 segments: the duodenum, the jejunum, and the ileum.Small Intestine: Anatomy.
    • HaustraHaustraColon, Cecum, and Appendix: Anatomy are present in thecolonColonThe large intestines constitute the last portion of the digestive system. The large intestine consists of the cecum, appendix, colon (with ascending, transverse, descending, and sigmoid segments), rectum, and anal canal. The primary function of the colon is to remove water and compact the stool prior to expulsion from the body via the rectum and anal canal.Colon, Cecum, and Appendix: Anatomy.
  • The bowel wall thickness should be < 3mmMMMultiple myeloma (MM) is a malignant condition of plasma cells (activated B lymphocytes) primarily seen in the elderly. Monoclonal proliferation of plasma cells results in cytokine-driven osteoclastic activity and excessive secretion of IgG antibodies.Multiple Myeloma when properly distended.
  • Homogenous bowel wall enhancement
Normal axial abdomiinal CT showing intraluminal gas

Normal axial abdominal CT, in the lung window, showing intraluminal gas

Image by Hetal Verma.

Abnormal Findings on X-ray, US, and CT

AppendicitisAppendicitisAppendicitis is the acute inflammation of the vermiform appendix and the most common abdominal surgical emergency globally. The condition has a lifetime risk of 8%. Characteristic features include periumbilical abdominal pain that migrates to the right lower quadrant, fever, anorexia, nausea, and vomiting.Appendicitis

US:

  • Noncompressible, dilatedappendixAppendixA worm-like blind tube extension from the cecum.Colon, Cecum, and Appendix: Anatomy (> 6mmMMMultiple myeloma (MM) is a malignant condition of plasma cells (activated B lymphocytes) primarily seen in the elderly. Monoclonal proliferation of plasma cells results in cytokine-driven osteoclastic activity and excessive secretion of IgG antibodies.Multiple Myeloma)
  • Thickened walls with noperistalsisPeristalsisA movement, caused by sequential muscle contraction, that pushes the contents of the intestines or other tubular organs in one direction.Gastrointestinal Motility
  • With or without a fecalith (also called appendicolith)
  • Fluid collection around theappendixAppendixA worm-like blind tube extension from the cecum.Colon, Cecum, and Appendix: Anatomy suggests a periappendicealabscessAbscessAccumulation of purulent material in tissues, organs, or circumscribed spaces, usually associated with signs of infection.Chronic Granulomatous Disease or containedperforationPerforationA pathological hole in an organ, blood vessel or other soft part of the body, occurring in the absence of external force.Esophagitis.
  • LimitationsLimitationsConflict of Interest: inability of the sound to penetrate air in the bowel loops (anechoicAnechoicA structure that produces no echo at all (looks completely black)Ultrasound (Sonography) images may obscure underlying pathology)

CT:

  • Appendiceal dilatation (> 6mmMMMultiple myeloma (MM) is a malignant condition of plasma cells (activated B lymphocytes) primarily seen in the elderly. Monoclonal proliferation of plasma cells results in cytokine-driven osteoclastic activity and excessive secretion of IgG antibodies.Multiple Myeloma)
  • Wall thickening
  • Fat stranding around theappendixAppendixA worm-like blind tube extension from the cecum.Colon, Cecum, and Appendix: Anatomy
  • With or withoutmassMassThree-dimensional lesion that occupies a space within the breastImaging of the Breast (phlegmon orabscessAbscessAccumulation of purulent material in tissues, organs, or circumscribed spaces, usually associated with signs of infection.Chronic Granulomatous Disease)
  • With or without adjacent freeintraperitonealIntraperitonealPeritoneum: Anatomy air
  • With or without fecalith (also called appendicolith) that appears as a hyperdense structure within the lumen
Appendicytis findings

Ultrasonography (US) findings of appendicitis:
a: enlarged (> 6 mm) and thickened appendix with appendicitis and a rim of periappendiceal fluid
b: enlarged lymph nodes along the ileocolic vessels
c: signs of hyperemia in color imaging

Image: “Appendicytis” by Department of Medical, Surgical and Neuro Sciences, Section of Radiological Sciences, Siena, Italy. License:CC BY 2.0
Appendicitis on contrast-enhanced CT

Appendicitis:
Contrast-enhanced CT scan shows a dilated tubular structure in the RLQ with appendicoliths (arrow).

Image: “Appendicitis” by Monika Sharma and Anjali Agrawal. License:CC BY 2.0

Intestinal obstructionIntestinal obstructionAny impairment, arrest, or reversal of the normal flow of intestinal contents toward the anal canal.Ascaris/Ascariasis andvolvulusVolvulusA volvulus is the twisting or axial rotation of a portion of the bowel around its mesentery. The most common site of volvulus in adults is the colon; most frequently the sigmoid volvulus. Patients typically present with symptoms of bowel obstruction such as abdominal pain, distension, vomiting, and constipation/obstipation.Volvulus

Radiography:

  • Dilatedsmall bowelSmall bowelThe small intestine is the longest part of the GI tract, extending from the pyloric orifice of the stomach to the ileocecal junction. The small intestine is the major organ responsible for chemical digestion and absorption of nutrients. It is divided into 3 segments: the duodenum, the jejunum, and the ileum.Small Intestine: Anatomy: centrally located dilated loops with circumferential circularopacityOpacityImaging of the Lungs and Pleura within it (valvulae conniventes)
  • Dilated large bowel: peripherally located dilated loop with incomplete circularopacityOpacityImaging of the Lungs and Pleura within it (haustration)
  • Presence of air in therectumRectumThe rectum and anal canal are the most terminal parts of the lower GI tract/large intestine that form a functional unit and control defecation. Fecal continence is maintained by several important anatomic structures including rectal folds, anal valves, the sling-like puborectalis muscle, and internal and external anal sphincters.Rectum and Anal Canal: Anatomy signifies a partial obstruction
  • Absence of air in therectumRectumThe rectum and anal canal are the most terminal parts of the lower GI tract/large intestine that form a functional unit and control defecation. Fecal continence is maintained by several important anatomic structures including rectal folds, anal valves, the sling-like puborectalis muscle, and internal and external anal sphincters.Rectum and Anal Canal: Anatomy signifies a complete obstruction
  • 3 or more air-fluid levels indicate obstruction, especially if at varying craniocaudal levels in the same loop of bowel.
  • Sigmoid volvulusSigmoid volvulusVolvulus:coffeeCoffeeA beverage made from ground coffee beans (seeds) infused in hot water. It generally contains caffeine and theophylline unless it is decaffeinated.Constipation bean sign, arises from the left iliac fossa and extends toward the RLQ
  • Cecal volvulusCecal volvulusVolvulus: arises from the right iliac fossa and extends toward the LUQ

CT:

  • Increased sensitivity for detectingbowel ischemiaBowel ischemiaMesenteric ischemia is a rare, life-threatening condition caused by inadequate blood flow through the mesenteric vessels, which results in ischemia and necrosis of the intestinal wall. Mesenteric ischemia can be either acute or chronic.Mesenteric Ischemia/infarction via bowel wall enhancement
  • Can detect portal venous gas
Plain abdominal radiography of patient 2

Plain abdominal X-ray of a patient showing distension of the large bowel and gas-fluid levels as signs of a large bowel obstruction (LBO)

Image: “Plain abdominal radiography of patient 2” by Department of General, Visceral, Vascular and Transplant-Surgery, Julius-Maximilians-University of Würzburg Würzburg Germany. License:CC BY 3.0
Coronal image of the contrast-enhanced CT of the abdomen showing a significantly distended sigmoid colon

Coronal image of an abdominal contrast-enhanced CT showing a significantly distended sigmoid colon looped in an inverted “U” without haustral markings

Image: “CT of the Abdomen” by Department of Medicine, New York-Presbyterian Hospital, Weill Cornell Medical College, New York City, NY, USA. License:CC BY 3.0
Volvulus on CT scan

A CT scan of the abdomen showing the distal colon collapsed with a transition point in the mid-abdomen suggestive of volvulus or band

Image: “Computed tomography scan of the abdomen” by Department of Surgery, Ashford and St Peter’s Hospitals NHS Trust, Guildford Road, Chertsey, Surrey, KT16 0PZ, UK. License:CC BY 2.0
CT abdomen with and without contrast showing fluid-filled gut lumens with wall edema

Abdominal CT showing fluid-filled bowel lumens with wall edema (bowel obstruction)

Image: “CT abdomen with and without contrast showing fluid-filled gut lumens with wall edema” by Department of Internal Medicine, University of Tennessee College of Medicine Chattanooga 960 East Third Street, Suite 208, TN 37403 USA. License:CC BY 3.0
Coffee bean sign (A), whirl sign (B) and bird's beak sign (C) in the diagnosis of sigmoid volvulus

Coffee bean sign (A), whirl sign (B), and bird beak sign (C) in the diagnosis of sigmoid volvulus

Image: “Coffee bean sign (A), whirl sign (B) and bird’s beak sign (C)” by Bezmialem Vakif University, Department of Emergency Medicine, Istanbul, Turkey. License:CC BY 2.0
Supine and upright plain abdominal films showing distended small bowel loops

Supine and upright plain abdominal X-rays showing distended small bowel loops (white arrow) and scant air-fluid levels (black arrow)

Image: “Supine and upright plain abdominal films” by Division of Surgical Oncology, Department of Surgery, Tawam Hospital Affiliated to Johns Hopkins Medicine, Al Ain, UAE. License:CC BY 3.0

PneumoperitoneumPneumoperitoneumA condition with trapped gas or air in the peritoneal cavity, usually secondary to perforation of the internal organs such as the lung and the gastrointestinal tract, or to recent surgery. Pneumoperitoneum may be purposely introduced to aid radiological examination.Perforated Viscus

Radiography:

  • Air under thediaphragmDiaphragmThe diaphragm is a large, dome-shaped muscle that separates the thoracic cavity from the abdominal cavity. The diaphragm consists of muscle fibers and a large central tendon, which is divided into right and left parts. As the primary muscle of inspiration, the diaphragm contributes 75% of the total inspiratory muscle force.Diaphragm: Anatomy in uprightX-raysX-raysX-rays are high-energy particles of electromagnetic radiation used in the medical field for the generation of anatomical images. X-rays are projected through the body of a patient and onto a film, and this technique is called conventional or projectional radiography.X-rays
  • Free air adjacent to theliverLiverThe liver is the largest gland in the human body. The liver is found in the superior right quadrant of the abdomen and weighs approximately 1.5 kilograms. Its main functions are detoxification, metabolism, nutrient storage (e.g., iron and vitamins), synthesis of coagulation factors, formation of bile, filtration, and storage of blood.Liver: Anatomy in left lateral decubitus view
  • Cupola or mustache sign: air trapped underneath thecentral tendonCentral tendonDiaphragm: Anatomy of thediaphragmDiaphragmThe diaphragm is a large, dome-shaped muscle that separates the thoracic cavity from the abdominal cavity. The diaphragm consists of muscle fibers and a large central tendon, which is divided into right and left parts. As the primary muscle of inspiration, the diaphragm contributes 75% of the total inspiratory muscle force.Diaphragm: Anatomy in supineabdominal X-raysAbdominal X-RaysX-rays
  • Rigler sign:
    • Outlining of both sides of the bowel wall by gas
    • May be confused with adjacent dilated bowel loops (CT to differentiate)
  • LucentliverLiverThe liver is the largest gland in the human body. The liver is found in the superior right quadrant of the abdomen and weighs approximately 1.5 kilograms. Its main functions are detoxification, metabolism, nutrient storage (e.g., iron and vitamins), synthesis of coagulation factors, formation of bile, filtration, and storage of blood.Liver: Anatomy sign: reducedliverLiverThe liver is the largest gland in the human body. The liver is found in the superior right quadrant of the abdomen and weighs approximately 1.5 kilograms. Its main functions are detoxification, metabolism, nutrient storage (e.g., iron and vitamins), synthesis of coagulation factors, formation of bile, filtration, and storage of blood.Liver: Anatomy radiodensity in supineX-raysX-raysX-rays are high-energy particles of electromagnetic radiation used in the medical field for the generation of anatomical images. X-rays are projected through the body of a patient and onto a film, and this technique is called conventional or projectional radiography.X-rays due to the accumulation of air anterior to theliverLiverThe liver is the largest gland in the human body. The liver is found in the superior right quadrant of the abdomen and weighs approximately 1.5 kilograms. Its main functions are detoxification, metabolism, nutrient storage (e.g., iron and vitamins), synthesis of coagulation factors, formation of bile, filtration, and storage of blood.Liver: Anatomy
  • Football sign: outlining of the whole abdomen by gas
  • Silver sign (also calledfalciform ligamentFalciform LigamentLiver: Anatomy sign): outlining of thefalciform ligamentFalciform LigamentLiver: Anatomy of theliverLiverThe liver is the largest gland in the human body. The liver is found in the superior right quadrant of the abdomen and weighs approximately 1.5 kilograms. Its main functions are detoxification, metabolism, nutrient storage (e.g., iron and vitamins), synthesis of coagulation factors, formation of bile, filtration, and storage of blood.Liver: Anatomy

CT:

  • Best seen using thelung windowLung WindowComputed Tomography (CT)
  • Extraluminal air
  • Irregular shape (it does not take on a bowel loop shape)
  • Usually detected under the anteriorabdominal wallAbdominal wallThe outer margins of the abdomen, extending from the osteocartilaginous thoracic cage to the pelvis. Though its major part is muscular, the abdominal wall consists of at least seven layers: the skin, subcutaneous fat, deep fascia; abdominal muscles, transversalis fascia, extraperitoneal fat, and the parietal peritoneum.Surgical Anatomy of the Abdomen (anti-dependent abdomen)
Computed tomography findings show a massive pneumoperitoneum

A CT showing a massive pneumoperitoneum

Image: “Computed tomography findings show a massive pneumoperitoneum” by Division of Digestive Surgery, Sanjo General Hospital, 5-1-62 Tsukanome, Sanjo, Niigata 955-0055 Japan. License:CC BY 4.0
Pneumoperitoneum

Pneumoperitoneum:
Big white arrows show air under the diaphragm leading to its elevation. Small white arrows delineate the inferiorly displaced liver border. Empty arrows show Rigler sign.

Image: “Pneumoperitoneum” by G Raghavendra Prasad* and Amtul Aziz. License:CC BY 3.0
A chest radiograph demonstrating pneumoperitoneum in the subdiaphragmatic regions bilaterally

Left: Chest X-ray demonstrating pneumoperitoneum in the subdiaphragmatic regions bilaterally (mustache sign) (arrows):
Right: A plain abdominal X-ray showing several dilated loops of the small intestine (Rigler sign) (arrowheads).

Image: “A chest radiograph demonstrating pneumoperitoneum in the subdiaphragmatic regions bilaterally” by Manabu Kaneko et al. License:CC BY 4.0
Chest radiograph in the sitting posture showing free gas

Chest X-ray in the upright positioning showing free gas in the right and left subdiaphragmatic regions (air under the diaphragm)

Image: “Chest radiograph in the sitting posture showing free gas” by Division of Digestive Surgery, Sanjo General Hospital, 5-1-62 Tsukanome, Sanjo, Niigata 955-0055 Japan. License:CC BY 4.0
Pneumoperitoneum lateral decubitus

Left lateral decubitus X-ray showing free air adjacent to the liver, indicating pneumoperitoneum

Image: “Pneumoperitoneum lateral decubitus” by Bill Rhodes from Asheville. License:CC BY 2.0
Free air on CT scan

Axial abdominal CT in the lung window showing pneumoperitoneum

Image by Hetal Verma.

Pneumatosis intestinalisPneumatosis intestinalisA condition characterized by the presence of multiple gas-filled cysts in the intestinal wall, the submucosa and/or subserosa of the intestine. The majority of the cysts are found in the jejunum and the ileum.Necrotizing Enterocolitis

Axial CT image with intravenous and oral contrast through the level of the mid-abdomen demonstrates massive dilatation of the cecum

Axial CT image with IV and oral contrast through the level of the mid-abdomen demonstrates massive dilatation of the cecum:
There is a prominent air-fluid level (white arrow) and multiple locules of air are noted in the dependent portion of the wall, consistent with pneumatosis intestinalis (square).

Image: “Axial CT image with intravenous and oral contrast through the level of the mid-abdomen demonstrates massive dilatation of the cecum” by Department of Surgery, University of British Columbia, Vancouver, Canada. License:CC BY 2.0
Non contrast computed tomography of the abdomen and pelvis (axial view) shows air in the bowel wall

Non-contrast CT (NCCT) of the abdomen and pelvis (axial view) showing air in the bowel wall:
This radiologic sign is called pneumatosis intestinalis.

Image: “Non contrast computed tomography of the abdomen and pelvis (axial view) shows air in the bowel wall” by Department of Internal Medicine, Michigan State University, East Lansing, Michigan, USA. License:CC BY 2.0
An abdominal computed tomography image demonstrating a large quantity of free air

An abdominal CT scan showing a large quantity of free air in the abdominal cavity (arrows):
Multiple small pockets of air are seen within the wall of the small bowel (arrowheads), consistent with pneumatosis intestinalis.

Image: “An abdominal computed tomography image demonstrating a large quantity of free air” by Manabu Kaneko et al. License:CC BY 4.0
An abdominal X-ray showing pneumatosis intestinalis in the ascending colon

Abdominal X-ray showing pneumatosis intestinalis in the ascending colon

Image: “An abdominal X-ray showing pneumatosis intestinalis in the ascending colon” by James A. Miller et al. License:CC BY 4.0

Pneumobilia and portal venous gas

CT:

  • Pneumobilia
    • Linear, branching lucencies 
    • Centrally located in theliverLiverThe liver is the largest gland in the human body. The liver is found in the superior right quadrant of the abdomen and weighs approximately 1.5 kilograms. Its main functions are detoxification, metabolism, nutrient storage (e.g., iron and vitamins), synthesis of coagulation factors, formation of bile, filtration, and storage of blood.Liver: Anatomy
    • Result of incompetence of the sphincter of Oddi
  • Portal venous gas
    • Linear, branching lucencies 
    • Peripherally located in theliverLiverThe liver is the largest gland in the human body. The liver is found in the superior right quadrant of the abdomen and weighs approximately 1.5 kilograms. Its main functions are detoxification, metabolism, nutrient storage (e.g., iron and vitamins), synthesis of coagulation factors, formation of bile, filtration, and storage of blood.Liver: Anatomy
    • Result of air from the proximal portal venous system
Axial contrast-enhanced computed tomography image of the patient’s abdomen revealing pneumobilia

Axial contrast-enhanced CT image of the patient’s abdomen showing pneumobilia (thick white arrows) and dilated intrahepatic biliary radicles (thin black arrows)

Image: “Axial contrast-enhanced computed tomography image of the patient’s abdomen revealing pneumobilia” by Reham Kaki et al. License:CC BY 4.0
Coronal portal venous phase CT image showing gastric mucosal thickening

Coronal portal venous phase CT showing gastric mucosal thickening and pneumatosis with portal venous gas

Image: “Coronal portal venous phase CT image showing gastric mucosal thickening” by British Institute of Radiology. License:CC BY 4.0

Fluoroscopy

Overview

  • Medical indications:
  • Advantages:
    • Low cost 
    • LowradiationRadiationEmission or propagation of acoustic waves (sound), electromagnetic energy waves (such as light; radio waves; gamma rays; or x-rays), or a stream of subatomic particles (such as electrons; neutrons; protons; or alpha particles).Osteosarcoma dose (although it can become high with prolonged study time)
    • Ubiquitous availability
    • Fast
    • Dynamic imaging
  • Disadvantages:
    • Poor resolution ofsoft tissueSoft TissueSoft Tissue Abscess
    • Exposure to ionizingradiationRadiationEmission or propagation of acoustic waves (sound), electromagnetic energy waves (such as light; radio waves; gamma rays; or x-rays), or a stream of subatomic particles (such as electrons; neutrons; protons; or alpha particles).Osteosarcoma
    • The patient must hold still for the image.

Exam technique

  • Positioning:
    • RotationRotationMotion of an object in which either one or more points on a line are fixed. It is also the motion of a particle about a fixed point.X-rays: There should be norotationRotationMotion of an object in which either one or more points on a line are fixed. It is also the motion of a particle about a fixed point.X-rays unless specified in a particular study protocol.
    • Visualization:
      • Bowel gas should be completelyradiolucentRadiolucentAn object of low density that is permeable to X-rays (looks black)X-rays.
      • Peritoneal fat planes should be visible laterally.
  • Positioning for specific views:
    • AP:
      • The board is against the patient’s back.
      • TheX-rayX-rayPenetrating electromagnetic radiation emitted when the inner orbital electrons of an atom are excited and release radiant energy. X-ray wavelengths range from 1 pm to 10 nm. Hard x-rays are the higher energy, shorter wavelength x-rays. Soft x-rays or grenz rays are less energetic and longer in wavelength. The short wavelength end of the x-ray spectrum overlaps the gamma rays wavelength range. The distinction between gamma rays and x-rays is based on their radiation source.Pulmonary Function Tests beams in a floor-to-ceiling direction through the patient.
      • Can be completed supine or upright
  • PenetrationPenetrationX-rays: degree to whichradiationRadiationEmission or propagation of acoustic waves (sound), electromagnetic energy waves (such as light; radio waves; gamma rays; or x-rays), or a stream of subatomic particles (such as electrons; neutrons; protons; or alpha particles).Osteosarcoma has passed through the body, resulting in darker or lighter image
    • Under-penetration: The film appears whiter, and features are less apparent.
    • Over-penetration: The film appears darker, and features are less apparent.

Interpretation and evaluation

Systematicinside-out approachInside-Out ApproachImaging of the Lungs and Pleura (central to peripheral):

  • Look at the bowel gas pattern.
  • Look forsolid organ silhouettesSolid Organ SilhouettesImaging of the Urinary System (e.g.,liverLiverThe liver is the largest gland in the human body. The liver is found in the superior right quadrant of the abdomen and weighs approximately 1.5 kilograms. Its main functions are detoxification, metabolism, nutrient storage (e.g., iron and vitamins), synthesis of coagulation factors, formation of bile, filtration, and storage of blood.Liver: Anatomy,spleenSpleenThe spleen is the largest lymphoid organ in the body, located in the LUQ of the abdomen, superior to the left kidney and posterior to the stomach at the level of the 9th-11th ribs just below the diaphragm. The spleen is highly vascular and acts as an important blood filter, cleansing the blood of pathogens and damaged erythrocytes.Spleen: Anatomy, kidney).
  • Look peripherally for normal fat planes.
  • Look for evidence of freeintraperitonealIntraperitonealPeritoneum: Anatomy air.
  • Evaluate soft tissues for abnormal calcifications (e.g., stones, masses in pediatrics).
  • Look at the lungbasesBasesUsually a hydroxide of lithium, sodium, potassium, rubidium or cesium, but also the carbonates of these metals, ammonia, and the amines.Acid-Base Balance for evidence ofconsolidationConsolidationPulmonary Function Tests, effusion, and pneumothoraces.
  • Evaluate osseous structures (e.g.,vertebral bodyVertebral bodyMain portion of the vertebra which bears majority of the weight.Vertebral Column: Anatomy height, iliac bones, femurs).
  • Once an abnormality is noted, use a patterned approach to come up with differential diagnoses.

Dynamic approach:

  • Watch theflowFlowBlood flows through the heart, arteries, capillaries, and veins in a closed, continuous circuit. Flow is the movement of volume per unit of time. Flow is affected by the pressure gradient and the resistance fluid encounters between 2 points. Vascular resistance is the opposition to flow, which is caused primarily by blood friction against vessel walls.Vascular Resistance, Flow, and Mean Arterial Pressure of contrast through the bowel for any abnormalities (e.g., obstruction,stenosisStenosisHypoplastic Left Heart Syndrome (HLHS), extravasation).
  • Evaluate muscle contraction.
  • Evaluate mucosal fold patterns.

Common GIfluoroscopyFluoroscopyProduction of an image when x-rays strike a fluorescent screen.X-rays exams:

  • Barium swallow: used for esophageal evaluation
  • Upper GI series: used foresophagusEsophagusThe esophagus is a muscular tube-shaped organ of around 25 centimeters in length that connects the pharynx to the stomach. The organ extends from approximately the 6th cervical vertebra to the 11th thoracic vertebra and can be divided grossly into 3 parts: the cervical part, the thoracic part, and the abdominal part.Esophagus: Anatomy,stomachStomachThe stomach is a muscular sac in the upper left portion of the abdomen that plays a critical role in digestion. The stomach develops from the foregut and connects the esophagus with the duodenum. Structurally, the stomach is C-shaped and forms a greater and lesser curvature and is divided grossly into regions: the cardia, fundus, body, and pylorus.Stomach: Anatomy, andduodenumDuodenumThe shortest and widest portion of the small intestine adjacent to the pylorus of the stomach. It is named for having the length equal to about the width of 12 fingers.Small Intestine: Anatomy evaluation
  • Small bowelSmall bowelThe small intestine is the longest part of the GI tract, extending from the pyloric orifice of the stomach to the ileocecal junction. The small intestine is the major organ responsible for chemical digestion and absorption of nutrients. It is divided into 3 segments: the duodenum, the jejunum, and the ileum.Small Intestine: Anatomy follow-through: used forstomachStomachThe stomach is a muscular sac in the upper left portion of the abdomen that plays a critical role in digestion. The stomach develops from the foregut and connects the esophagus with the duodenum. Structurally, the stomach is C-shaped and forms a greater and lesser curvature and is divided grossly into regions: the cardia, fundus, body, and pylorus.Stomach: Anatomy andsmall intestineSmall intestineThe small intestine is the longest part of the GI tract, extending from the pyloric orifice of the stomach to the ileocecal junction. The small intestine is the major organ responsible for chemical digestion and absorption of nutrients. It is divided into 3 segments: the duodenum, the jejunum, and the ileum.Small Intestine: Anatomy evaluation
  • Gastrostomy tube study 
  • Barium enemaBarium enemaX-ray examination of lower gastrointestinal tract. Imaging is done while a barium compound (e.g., barium sulfate) fills the large intestine via the rectum as a contrast material.Diarrhea
    • Barium is injected rectally for a single- or double-contrast evaluation of the large bowel.
    • Often used to evaluate thecolonColonThe large intestines constitute the last portion of the digestive system. The large intestine consists of the cecum, appendix, colon (with ascending, transverse, descending, and sigmoid segments), rectum, and anal canal. The primary function of the colon is to remove water and compact the stool prior to expulsion from the body via the rectum and anal canal.Colon, Cecum, and Appendix: Anatomy inpatientsPatientsIndividuals participating in the health care system for the purpose of receiving therapeutic, diagnostic, or preventive procedures.Clinician–Patient Relationship who cannot tolerate acolonoscopyColonoscopyEndoscopic examination, therapy or surgery of the luminal surface of the colon.Colorectal Cancer Screening
    • CT colonographyCT colonographyA non-invasive imaging method that uses computed tomographic data combined with specialized imaging software to examine the colon.Colorectal Cancer Screening is a better alternative than abarium enemaBarium enemaX-ray examination of lower gastrointestinal tract. Imaging is done while a barium compound (e.g., barium sulfate) fills the large intestine via the rectum as a contrast material.Diarrhea.
    • It is usually used to evaluate for colonic structural abnormalities.

Normal findings

AP view:

  • Bowel gas:
    • Should be present in the small and large bowels
    • Should not distend thesmall bowelSmall bowelThe small intestine is the longest part of the GI tract, extending from the pyloric orifice of the stomach to the ileocecal junction. The small intestine is the major organ responsible for chemical digestion and absorption of nutrients. It is divided into 3 segments: the duodenum, the jejunum, and the ileum.Small Intestine: Anatomy beyond 3 cm
    • Should not distend thececumCecumThe blind sac or outpouching area of the large intestine that is below the entrance of the small intestine. It has a worm-like extension, the vermiform appendix.Colon, Cecum, and Appendix: Anatomy beyond 10 cm
    • Should be uniform throughout the abdomen
    • Thesmall bowelSmall bowelThe small intestine is the longest part of the GI tract, extending from the pyloric orifice of the stomach to the ileocecal junction. The small intestine is the major organ responsible for chemical digestion and absorption of nutrients. It is divided into 3 segments: the duodenum, the jejunum, and the ileum.Small Intestine: Anatomy should have valvulae conniventes, while the large bowel hashaustraHaustraColon, Cecum, and Appendix: Anatomy.
  • Organs:
    • TheliverLiverThe liver is the largest gland in the human body. The liver is found in the superior right quadrant of the abdomen and weighs approximately 1.5 kilograms. Its main functions are detoxification, metabolism, nutrient storage (e.g., iron and vitamins), synthesis of coagulation factors, formation of bile, filtration, and storage of blood.Liver: Anatomy should be visible under the right hemidiaphragm and uniform, with no free air.
    • ThestomachStomachThe stomach is a muscular sac in the upper left portion of the abdomen that plays a critical role in digestion. The stomach develops from the foregut and connects the esophagus with the duodenum. Structurally, the stomach is C-shaped and forms a greater and lesser curvature and is divided grossly into regions: the cardia, fundus, body, and pylorus.Stomach: Anatomy andcolonColonThe large intestines constitute the last portion of the digestive system. The large intestine consists of the cecum, appendix, colon (with ascending, transverse, descending, and sigmoid segments), rectum, and anal canal. The primary function of the colon is to remove water and compact the stool prior to expulsion from the body via the rectum and anal canal.Colon, Cecum, and Appendix: Anatomy should be visible, with air in the lumen under the left hemidiaphragm. 
    • Renal outlines, if visible, should be in the RUQ and LUQ.
  • Fat planes: peripheral fat planes with normal appearance
  • LungbasesBasesUsually a hydroxide of lithium, sodium, potassium, rubidium or cesium, but also the carbonates of these metals, ammonia, and the amines.Acid-Base Balance
    • Should be clear with minimal lung markings
    • Costophrenic angles should be sharp.
Normal barium swallow shows normal peristalsis (arrow)

Normal barium swallow shows normal peristalsis (arrow)

Image by Hetal Verma.
Barium follow through showing the small bowel

Barium follow-through showing a healthy small bowel

Image: “Barium follow through showing the small bowel” by Glitzy. License:Public Domain
Upper GI series showing a healthy stomach with gastric folds

Upper GI series showing a healthy stomach with gastric folds

Image by Hetal Verma.

Pathologic findings in different types of GIfluoroscopyFluoroscopyProduction of an image when x-rays strike a fluorescent screen.X-rays

Esophageal pathologies found via Barium swallow:

  • Structural esophageal abnormalities
    • Filling defects
    • Diverticula (e.g., Zenker’sdiverticulumDiverticulumA pouch or sac opening from the colon.Diverticular Disease): outpouching of contrast from the lumen
    • Hiatal hernias: gastric folds extending above the diaphragmatic hiatus
  • Esophageal motilityEsophageal MotilityGastrointestinal Motility abnormalities
    • AchalasiaAchalasiaAchalasia is a primary esophageal motility disorder that develops from the degeneration of the myenteric plexus. This condition results in impaired lower esophageal sphincter relaxation and absence of normal esophageal peristalsis. Patients typically present with dysphagia to solids and liquids along with regurgitation.Achalasia
      • Bird beak sign: tapering of theesophagusEsophagusThe esophagus is a muscular tube-shaped organ of around 25 centimeters in length that connects the pharynx to the stomach. The organ extends from approximately the 6th cervical vertebra to the 11th thoracic vertebra and can be divided grossly into 3 parts: the cervical part, the thoracic part, and the abdominal part.Esophagus: Anatomy
      • DilatedesophagusEsophagusThe esophagus is a muscular tube-shaped organ of around 25 centimeters in length that connects the pharynx to the stomach. The organ extends from approximately the 6th cervical vertebra to the 11th thoracic vertebra and can be divided grossly into 3 parts: the cervical part, the thoracic part, and the abdominal part.Esophagus: Anatomy
    • Diffuse esophageal spasmDiffuse esophageal spasmA hypermotility disorder of the esophagus that is characterized by spastic non-peristaltic responses to swallowing; chest pain; and dysphagia.Dysphagia (typically in older individuals)
      • CorkscrewesophagusEsophagusThe esophagus is a muscular tube-shaped organ of around 25 centimeters in length that connects the pharynx to the stomach. The organ extends from approximately the 6th cervical vertebra to the 11th thoracic vertebra and can be divided grossly into 3 parts: the cervical part, the thoracic part, and the abdominal part.Esophagus: Anatomy
      • Uncoordinated esophageal contractions
  • Transluminalesophageal ruptureEsophageal ruptureEsophageal rupture or perforation is a transmural defect that occurs in the esophagus, exposing the mediastinum to GI content. The most common cause of esophageal perforation is iatrogenic trauma by instrumentation or surgical procedures.Esophageal Perforation: contrast material visualized in themediastinumMediastinumThe mediastinum is the thoracic area between the 2 pleural cavities. The mediastinum contains vital structures of the circulatory, respiratory, digestive, and nervous systems including the heart and esophagus, and major thoracic vessels.Mediastinum and Great Vessels: Anatomy
Barium swallow shows a hiatal hernia (arrows)

Barium swallow showing a hiatal hernia (arrows)

Image by Hetal Verma.
Diffuser Oesophagusspasmus

Barium swallow of a patient with diffuse esophageal spasm

Image: “Diffuser Oesophagusspasmus” by Hellerhoff. License:CC BY 3.0
Dilated esophagus with retained column of barium and “bird’s beaking” suggestive of achalasia

Barium swallow: dilated esophagus with a retained column of barium and “bird beak” suggestive of achalasia

Image: “Dilated esophagus with retained column of barium and “bird’s beaking” suggestive of achalasia” by Farnoosh Farrokhi, Michael F. Vaezi. License:CC BY 2.0
ZenkerSchraeg

Barium swallow showing posterior esophageal outpouching (Zenker’s diverticulum)

Image: “Nachweis eines Zenker-Divertikels mittels Breischluck” by Bernd Brägelmann Braegel. License:CC BY 3.0

Gastric pathologies found via upper GI series:

  • Masses (e.g., carcinoma or bezoar)
    • Filling defects
    • Best seen on single-contrast examination
  • Gastric and duodenal ulcers
    • Outpouching of contrast due to break in the mucosal lining
    • Best seen on double-contrast examination
Contrast radiography of our patient on their initial visit

Scirrhous-type gastric cancer distributed in the wide area of the stomach with stricture of the gastric body seen on contrast radiography

Image: “Contrast radiography of our patient on their initial visit” by Department of Hematology and Oncology, Kyushu University Hospital, 3-1-1 Maidashi, Higashi-ku, Fukuoka 812-8582, Japan. License:CC BY 2.0
Barium upper GI series showing a stricture

Barium upper GI series showing a stricture (arrow) in the transition of the 2nd to the 3rd portion of the duodenum

Image: “Barium upper GI series showing a stricture” by Second Department of Surgery, Areteion University Hospital, Athens, Greece. License:CC BY 2.0
Barium meal shows obstruction at pylorus (white arrow) and a crater of an ulcer (black arrow)

Gastric adenocarcinoma presenting with gastric outlet obstruction:
Barium meal shows obstruction at the pylorus (white arrow) and a crater of an ulcer (black arrow).

Image: “Barium meal shows obstruction at pylorus (white arrow) and a crater of an ulcer (black arrow)” by Division of Pediatric Gastroenterology, Hepatology & Nutrition, Children’s Hospital, University of King Saud for Health Sciences, King Fahad Medical City, P.O. Box 59046, Riyadh 11525, Saudi Arabia. License:CC BY 3.0

Small bowelSmall bowelThe small intestine is the longest part of the GI tract, extending from the pyloric orifice of the stomach to the ileocecal junction. The small intestine is the major organ responsible for chemical digestion and absorption of nutrients. It is divided into 3 segments: the duodenum, the jejunum, and the ileum.Small Intestine: Anatomy pathologies found via upper GI series:

  • Crohn’s disease
    • Intraluminal filling defects
    • Fistulas 
    • Lack of bowel movement due to adhesions
    • Narrowing of the lumen
  • Celiac diseaseCeliac diseaseCeliac disease (also known as celiac sprue or gluten enteropathy) is an autoimmune reaction to gliadin, which is a component of gluten. Celiac disease is closely associated with HLA-DQ2 and HLA-DQ8. The immune response is localized to the proximal small intestine and causes the characteristic histologic findings of villous atrophy, crypt hyperplasia, and intraepithelial lymphocytosis.Celiac Disease: reversal of fold patterns between thejejunumJejunumThe middle portion of the small intestine, between duodenum and ileum. It represents about 2/5 of the remaining portion of the small intestine below duodenum.Small Intestine: Anatomy andileumIleumThe distal and narrowest portion of the small intestine, between the jejunum and the ileocecal valve of the large intestine.Small Intestine: Anatomy
  • Small bowelSmall bowelThe small intestine is the longest part of the GI tract, extending from the pyloric orifice of the stomach to the ileocecal junction. The small intestine is the major organ responsible for chemical digestion and absorption of nutrients. It is divided into 3 segments: the duodenum, the jejunum, and the ileum.Small Intestine: AnatomydistortionDistortionDefense Mechanisms: mesenteric reaction from desmoid or carcinoidtumorTumorInflammation
Overhead image from a small bowel

a: Overhead image from a small bowel follow-through in a patient with a history of Crohn’s disease demonstrates evidence of terminal ileal wall thickening, causing narrowing of the lumen
b: Spot view of the terminal ileum in a small bowel follow-through demonstrates similar findings in a second patient with terminal ileitis

Image: “Barium upper GI series showing a stricture (arrow) in the transition of the second to the third portion of the duodenum” by Patel P. License:CC BY 4.0
Small bowel barium follow-through study

Small-bowel barium follow-through study in a patient with Crohn’s disease, showing fistulous tracts between the ascending colon and the 2nd portion of the duodenum (continuous white arrow) and between the jejunum and the lesser sac (dotted white arrow)

Image: “Small bowel barium follow-through study” by Department of Gastroenterology and Hepatology, 424 Military General Hospital, Thessaloniki, Greece. License:CC BY 3.0

Large bowel pathologies found viaBarium enemaBarium enemaX-ray examination of lower gastrointestinal tract. Imaging is done while a barium compound (e.g., barium sulfate) fills the large intestine via the rectum as a contrast material.Diarrhea:

  • Diverticula
    • Outpouching of contrast from the lumen
    • Multiple
    • Mostly in thesigmoidSigmoidA segment of the colon between the rectum and the descending colon.VolvuluscolonColonThe large intestines constitute the last portion of the digestive system. The large intestine consists of the cecum, appendix, colon (with ascending, transverse, descending, and sigmoid segments), rectum, and anal canal. The primary function of the colon is to remove water and compact the stool prior to expulsion from the body via the rectum and anal canal.Colon, Cecum, and Appendix: Anatomy
  • ColonColonThe large intestines constitute the last portion of the digestive system. The large intestine consists of the cecum, appendix, colon (with ascending, transverse, descending, and sigmoid segments), rectum, and anal canal. The primary function of the colon is to remove water and compact the stool prior to expulsion from the body via the rectum and anal canal.Colon, Cecum, and Appendix: Anatomy cancer
    • Narrowing of the lumen
    • Filling defects (apple core appearance)
    • Irregular borders
  • Polyps
    • Filling defects
    • Smooth margins
  • Fistulas: contrast-filled abnormal tract
Barium enema

Barium enema showing multiple colonic diverticula

Image: “Barium enema” by Jacqueline E Collin et al. License:CC BY 3.0
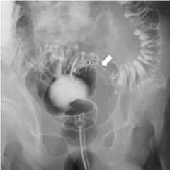
Contrast enema study demonstrating abnormality at the hepatic flexure

Contrast enema study demonstrating abnormality at the hepatic flexure:
The contrast material is detected in the gallbladder, suggesting a cholecystocolonic fistula, which was confirmed by further studies.

Image: “Contrast enema study demonstrating abnormality at the hepatic flexure” by Southern Health and Social Care Trust, Belfast, UK. License:CC BY 3.0
Barium enema showing apple core appearance

Barium enema showing apple core appearance and shouldering (white arrow), suggestive of colon cancer

Image: “Barium enema” by M. Ezzedien Rabie et al. License:CC BY 4.0
Barium enema findings

Barium enema showing a colon tumor as a defect in the sigmoid colon (arrow):
Around the sigmoid colon cancer, there are multiple colon diverticula in the sigmoid colon.

Image: “Barium enema findings” by Department of Surgery, Toyama City Hospital, 2-1 Imaizumi Hokubu-machi, Toyama 939-8511, Japan. License:CC BY 2.0

References

  1. Spechler, S, Talley, N, & Robson, K. (2021). Achalasia: Pathogenesis, clinical manifestations, and diagnosis. UpToDate. Retrieved January 19, 2022, fromhttps://www.uptodate.com/contents/achalasia-pathogenesis-clinical-manifestations-and-diagnosis
  2. Odom, SR. (2021). Overview of gastrointestinal tract perforation. UpToDate. Retrieved January 19, 2022, fromhttps://www.uptodate.com/contents/overview-of-gastrointestinal-tract-perforation
  3. Taylor, GA, Brandt, ML, & Lopez, ME. (2021). Acute appendicitis in children: Diagnostic imaging. UpToDate. Retrieved January 19, 2022, fromhttps://www.uptodate.com/contents/acute-appendicitis-in-children-diagnostic-imaging
  4. Bordeianou, L, & Dante Yeh, D. (2021). Etiologies, clinical manifestations, and diagnosis of mechanical small bowel obstruction in adults. UpToDate. Retrieved January 19, 2022, fromhttps://www.uptodate.com/contents/etiologies-clinical-manifestations-and-diagnosis-of-mechanical-small-bowel-obstruction-in-adults

Create your free account or log in to continue reading!

Sign up now and get free access to Lecturio with concept pages, medical videos, and questions for your medical education.

User Reviews

Details
×
Get Premium to test your knowledge

Lecturio Premium gives you full access to all content & features

Get Premium to watch all videos

Verify your email now to get a free trial.

Create a free account to test your knowledge

Lecturio Premium gives you full access to all contents and features—including Lecturio’s Qbank with up-to-date board-style questions.

Get Premium
or log in
0/5 questions correct
Start Test

[8]ページ先頭

©2009-2026 Movatter.jp