Movatterモバイル変換


[0]ホーム

URL:


Lecturio medical combi logo
Lecturio medical logo

Henoch-Schönlein Purpura

Henoch-Schönlein purpura (HSP), also known as immunoglobulin AvasculitisVasculitisInflammation of any one of the blood vessels, including the arteries; veins; and rest of the vasculature system in the body.Systemic Lupus Erythematosus, is an autoimmune small-vesselvasculitisVasculitisInflammation of any one of the blood vessels, including the arteries; veins; and rest of the vasculature system in the body.Systemic Lupus Erythematosus that typically presents as a tetrad ofabdominal painAbdominal PainAcute Abdomen,arthralgiaArthralgiaPain in the joint.Rheumatic Fever,hematuriaHematuriaPresence of blood in the urine.Renal Cell Carcinoma, and purpuricrashRashRocky Mountain Spotted Fever. The pathophysiology involves the deposition ofIgAIgARepresents 15-20% of the human serum immunoglobulins, mostly as the 4-chain polymer in humans or dimer in other mammals. Secretory iga is the main immunoglobulin in secretions.Immunoglobulins: Types and Functionsimmune complexesImmune complexesThe complex formed by the binding of antigen and antibody molecules. The deposition of large antigen-antibody complexes leading to tissue damage causes immune complex diseases.C3 Deficiency in multiple vessels following atriggerTriggerThe type of signal that initiates the inspiratory phase by the ventilatorInvasive Mechanical Ventilation (infection/environmental), and the symptoms depend on the tissues that are involved. The diagnosis is established clinically, but can be supported with laboratory studies andskinSkinThe skin, also referred to as the integumentary system, is the largest organ of the body. The skin is primarily composed of the epidermis (outer layer) and dermis (deep layer). The epidermis is primarily composed of keratinocytes that undergo rapid turnover, while the dermis contains dense layers of connective tissue.Skin: Structure and Functions or kidneybiopsyBiopsyRemoval and pathologic examination of specimens from the living body.Ewing Sarcoma. Management is mostly supportive, but may involvesteroidsSteroidsA group of polycyclic compounds closely related biochemically to terpenes. They include cholesterol, numerous hormones, precursors of certain vitamins, bile acids, alcohols (sterols), and certain natural drugs and poisons. Steroids have a common nucleus, a fused, reduced 17-carbon atom ring system, cyclopentanoperhydrophenanthrene. Most steroids also have two methyl groups and an aliphatic side-chain attached to the nucleus.Benign Liver Tumors andimmunosuppressantsImmunosuppressantsImmunosuppressants are a class of drugs widely used in the management of autoimmune conditions and organ transplant rejection. The general effect is dampening of the immune response.Immunosuppressants in more severe cases.PrognosisPrognosisA prediction of the probable outcome of a disease based on a individual's condition and the usual course of the disease as seen in similar situations.Non-Hodgkin Lymphomas is usually excellent, but somepatientsPatientsIndividuals participating in the health care system for the purpose of receiving therapeutic, diagnostic, or preventive procedures.Clinician–Patient Relationship may develop end-stagerenal failureRenal failureConditions in which the kidneys perform below the normal level in the ability to remove wastes, concentrate urine, and maintain electrolyte balance; blood pressure; and calcium metabolism. Renal insufficiency can be classified by the degree of kidney damage (as measured by the level of proteinuria) and reduction in glomerular filtration rate.Crush Syndrome.

Last updated: Jun 19, 2025

Editorial responsibility:Stanley Oiseth, Lindsay Jones, Evelin Maza

Overview

Definition

Henoch-Schönlein purpura (HSP) is an immunoglobulin A (IgAIgARepresents 15-20% of the human serum immunoglobulins, mostly as the 4-chain polymer in humans or dimer in other mammals. Secretory iga is the main immunoglobulin in secretions.Immunoglobulins: Types and Functions)-mediated small-vesselvasculitisVasculitisInflammation of any one of the blood vessels, including the arteries; veins; and rest of the vasculature system in the body.Systemic Lupus Erythematosus.

Epidemiology

  • Most commonvasculitisVasculitisInflammation of any one of the blood vessels, including the arteries; veins; and rest of the vasculature system in the body.Systemic Lupus Erythematosus in children
  • 90% of cases occur in children 3–15 years of age.
  • 20/100,000 in children versus 5/100,000 in adults
  • More prevalent in whites
  • Men > women (1.2–1.8:1)
  • Rare in the summer months

Etiology

  • Multifactorial: genetic susceptibility and environmental triggers
  • Autoimmune/antigenic secondary to preceding infection (respiratory or GI) in 75% of the cases:
    • Most common identifiable preceding infection:group A streptococcusGroup A StreptococcusA species of gram-positive, coccoid bacteria isolated from skin lesions, blood, inflammatory exudates, and the upper respiratory tract of humans. It is a group a hemolytic Streptococcus that can cause scarlet fever and rheumatic fever.Postinfectious Glomerulonephritis (GAS)
    • OtherinfectionsInfectionsInvasion of the host organism by microorganisms or their toxins or by parasites that can cause pathological conditions or diseases.Chronic Granulomatous Disease:mononucleosisMononucleosisInfectious mononucleosis (IM), also known as “the kissing disease,” is a highly contagious viral infection caused by the Epstein-Barr virus. Its common name is derived from its main method of transmission: the spread of infected saliva via kissing. Clinical manifestations of IM include fever, tonsillar pharyngitis, and lymphadenopathy.Mononucleosis, hepatitis,MycoplasmaMycoplasmaMycoplasma is a species of pleomorphic bacteria that lack a cell wall, which makes them difficult to target with conventional antibiotics and causes them to not gram stain well. Mycoplasma bacteria commonly target the respiratory and urogenital epithelium. Mycoplasma pneumoniae (M. pneumoniae), the causative agent of atypical or “walking” pneumonia.Mycoplasma andCampylobacterCampylobacterCampylobacter (“curved bacteria”) is a genus of thermophilic, S-shaped, gram-negative bacilli. There are many species of Campylobacter, with C. jejuni and C. coli most commonly implicated in human disease.CampylobacterinfectionsInfectionsInvasion of the host organism by microorganisms or their toxins or by parasites that can cause pathological conditions or diseases.Chronic Granulomatous Disease, viral upper respiratoryinfectionsInfectionsInvasion of the host organism by microorganisms or their toxins or by parasites that can cause pathological conditions or diseases.Chronic Granulomatous Disease (URIs)
    • Possible association with precedingMMRMMRA DNA repair pathway involved in correction of errors introduced during DNA replication when an incorrect base, which cannot form hydrogen bonds with the corresponding base in the parent strand, is incorporated into the daughter strand. Excinucleases recognize the base pair mismatch and cause a segment of polynucleotide chain to be excised from the daughter strand, thereby removing the mismatched base.Lynch syndromevaccinationVaccinationVaccination is the administration of a substance to induce the immune system to develop protection against a disease. Unlike passive immunization, which involves the administration of pre-performed antibodies, active immunization constitutes the administration of a vaccine to stimulate the body to produce its own antibodies.Vaccination
  • Can be preceded by insect bites
  • Possibly associated withIgAIgARepresents 15-20% of the human serum immunoglobulins, mostly as the 4-chain polymer in humans or dimer in other mammals. Secretory iga is the main immunoglobulin in secretions.Immunoglobulins: Types and Functions nephropathy (Berger’s disease)
  • Associated withFamilial Mediterranean feverFamilial Mediterranean FeverA group of hereditary autoinflammation diseases, characterized by recurrent fever, abdominal pain, headache, rash, pleurisy; and arthritis. Orchitis; benign meningitis; and amyloidosis may also occur. Homozygous or compound heterozygous mutations in marenostrin gene result in autosomal recessive transmission; simple heterozygous, autosomal dominant form of the disease.Amyloidosis
  • Drug induced:
    • AmpicillinAmpicillinSemi-synthetic derivative of penicillin that functions as an orally active broad-spectrum antibiotic.Penicillins/penicillinPenicillinRheumatic Fever
    • ErythromycinErythromycinA bacteriostatic antibiotic macrolide produced by streptomyces erythreus. Erythromycin a is considered its major active component. In sensitive organisms, it inhibits protein synthesis by binding to 50s ribosomal subunits. This binding process inhibits peptidyl transferase activity and interferes with translocation of amino acids during translation and assembly of proteins.Macrolides and Ketolides
    • QuinidineQuinidineAn optical isomer of quinine, extracted from the bark of the cinchona tree and similar plant species. This alkaloid dampens the excitability of cardiac and skeletal muscles by blocking sodium and potassium currents across cellular membranes. It prolongs cellular action potentials, and decreases automaticity. Quinidine also blocks muscarinic and alpha-adrenergic neurotransmission.Class 1 Antiarrhythmic Drugs (Sodium Channel Blockers)/quinineQuinineAn alkaloid derived from the bark of the cinchona tree. It is used as an antimalarial drug, and is the active ingredient in extracts of the cinchona that have been used for that purpose since before 1633. Quinine is also a mild antipyretic and analgesic and has been used in common cold preparations for that purpose. It was used commonly and as a bitter and flavoring agent, and is still useful for the treatment of babesiosis. Quinine is also useful in some muscular disorders, especially nocturnal leg cramps and myotonia congenita, because of its direct effects on muscle membrane and sodium channels. The mechanisms of its antimalarial effects are not well understood.Antimalarial Drugs
    • LosartanLosartanAn antagonist of angiotensin type 1 receptor with antihypertensive activity due to the reduced pressor effect of angiotensin II.Hypertension Drugs

Pathophysiology

  • A disease of immune-complex deposition
  • Deposition ofIgAIgARepresents 15-20% of the human serum immunoglobulins, mostly as the 4-chain polymer in humans or dimer in other mammals. Secretory iga is the main immunoglobulin in secretions.Immunoglobulins: Types and Functions, C3, andfibrinFibrinA protein derived from fibrinogen in the presence of thrombin, which forms part of the blood clot.Rapidly Progressive Glomerulonephritis in small vessels results invasculitisVasculitisInflammation of any one of the blood vessels, including the arteries; veins; and rest of the vasculature system in the body.Systemic Lupus Erythematosus.
  • NeutrophilsNeutrophilsGranular leukocytes having a nucleus with three to five lobes connected by slender threads of chromatin, and cytoplasm containing fine inconspicuous granules and stainable by neutral dyes.Innate Immunity: Phagocytes and Antigen Presentation andmonocytesMonocytesLarge, phagocytic mononuclear leukocytes produced in the vertebrate bone marrow and released into the blood; contain a large, oval or somewhat indented nucleus surrounded by voluminous cytoplasm and numerous organelles.Innate Immunity: Phagocytes and Antigen Presentation predominate within the inflammatory infiltrate.
  • Multiple antigenic targets have been proposed, but inconsistently identified.
  • Affects tissues supplied by small vessels:
    • SkinSkinThe skin, also referred to as the integumentary system, is the largest organ of the body. The skin is primarily composed of the epidermis (outer layer) and dermis (deep layer). The epidermis is primarily composed of keratinocytes that undergo rapid turnover, while the dermis contains dense layers of connective tissue.Skin: Structure and Functions
    • KidneysKidneysThe kidneys are a pair of bean-shaped organs located retroperitoneally against the posterior wall of the abdomen on either side of the spine. As part of the urinary tract, the kidneys are responsible for blood filtration and excretion of water-soluble waste in the urine.Kidneys: Anatomy
    • GI tract
    • Joints
    • CNS
  • Skin biopsySkin BiopsySecondary Skin Lesions reveals leukocytoclasticvasculitisVasculitisInflammation of any one of the blood vessels, including the arteries; veins; and rest of the vasculature system in the body.Systemic Lupus Erythematosus in the postcapillaryvenulesVenulesThe minute vessels that collect blood from the capillary plexuses and join together to form veins.Veins: Histology.
  • Renal biopsyRenal BiopsyAntineutrophil Cytoplasmic Antibody (ANCA)-Associated Vasculitis reveals immune-complex deposition in themesangiumMesangiumThe thin membranous structure supporting the adjoining glomerular capillaries. It is composed of glomerular mesangial cells and their extracellular matrix.IgA Nephropathy.

Clinical Presentation

  • Classic tetrad:
  • SkinSkinThe skin, also referred to as the integumentary system, is the largest organ of the body. The skin is primarily composed of the epidermis (outer layer) and dermis (deep layer). The epidermis is primarily composed of keratinocytes that undergo rapid turnover, while the dermis contains dense layers of connective tissue.Skin: Structure and Functions (95%–100%):
  • GI (35%–85%):
    • NauseaNauseaAn unpleasant sensation in the stomach usually accompanied by the urge to vomit. Common causes are early pregnancy, sea and motion sickness, emotional stress, intense pain, food poisoning, and various enteroviruses.Antiemetics,vomitingVomitingThe forcible expulsion of the contents of the stomach through the mouth.Hypokalemia
    • Colickyabdominal painAbdominal PainAcute Abdomen 
    • Bloody or non-bloodydiarrheaDiarrheaDiarrhea is defined as ≥ 3 watery or loose stools in a 24-hour period. There are a multitude of etiologies, which can be classified based on the underlying mechanism of disease. The duration of symptoms (acute or chronic) and characteristics of the stools (e.g., watery, bloody, steatorrheic, mucoid) can help guide further diagnostic evaluation.Diarrhea
    • Complications:intussusceptionIntussusceptionIntussusception occurs when a part of the intestine (intussusceptum) telescopes into another part (intussuscipiens) of the intestine. The condition can cause obstruction and, if untreated, progress to bowel ischemia. Intussusception is most common in the pediatric population, but is occasionally encountered in adults.Intussusception (ileo-ileal > ileocecal)
    • Most common GI complication in children, rare in adults
  • ArthralgiaArthralgiaPain in the joint.Rheumatic Fever/arthritisArthritisAcute or chronic inflammation of joints.Osteoarthritis (60%–85%):
    • Transient
    • Migratory
    • Swollen and tender joints
    • May affect 1–2 joints, mainly knee and ankle
    • Nonchronic, non-deforming
  • Renal (20%–54%):
    • HematuriaHematuriaPresence of blood in the urine.Renal Cell Carcinoma (ranging from microscopic to gross) is the most common finding.
    • ProteinuriaProteinuriaThe presence of proteins in the urine, an indicator of kidney diseases.Nephrotic Syndrome in Children (ranging from mild to nephrotic range):
    • HypertensionHypertensionHypertension, or high blood pressure, is a common disease that manifests as elevated systemic arterial pressures. Hypertension is most often asymptomatic and is found incidentally as part of a routine physical examination or during triage for an unrelated medical encounter.Hypertension
    • Possible progression to chronic renal disease, especially in adults
  • Others:
    • ScrotalpainPainAn unpleasant sensation induced by noxious stimuli which are detected by nerve endings of nociceptive neurons.Pain: Types and Pathways/edemaEdemaEdema is a condition in which excess serous fluid accumulates in the body cavity or interstitial space of connective tissues. Edema is a symptom observed in several medical conditions. It can be categorized into 2 types, namely, peripheral (in the extremities) and internal (in an organ or body cavity).Edema (2%–38%)
    • SubcutaneousedemaEdemaEdema is a condition in which excess serous fluid accumulates in the body cavity or interstitial space of connective tissues. Edema is a symptom observed in several medical conditions. It can be categorized into 2 types, namely, peripheral (in the extremities) and internal (in an organ or body cavity).Edema
    • EncephalopathyEncephalopathyHyper-IgM Syndrome
    • KeratitisKeratitisInflammation of the cornea.Herpes Simplex Virus 1 and 2/uveitisUveitisUveitis is the inflammation of the uvea, the pigmented middle layer of the eye, which comprises the iris, ciliary body, and choroid. The condition is categorized based on the site of disease; anterior uveitis is the most common.Diseases of the Uvea
Hallmark purpuric rash of henoch-schönlein purpura

Hallmark purpuric rash of Henoch-Schönlein purpura

Image: “Purpura Schönlein-Henoch” by Mnokel. License:Public Domain
Purpura evident on the distal extremities of a pediatric patient

Purpura evident on the distal extremities of a pediatric patient with Henoch-Schönlein purpura

Image: “Purpura2” by Okwikikim. License:Public Domain

Diagnosis

History and physical exam

Laboratory workup

Laboratory workup is used to rule out differentials and evaluate complications.

  • CBC:
  • Chemistry:
    • Elevated BUN and creatinine
    • Electrolyte disturbance
  • ProthrombinProthrombinA plasma protein that is the inactive precursor of thrombin. It is converted to thrombin by a prothrombin activator complex consisting of factor Xa, factor V, phospholipid, and calcium ions.Hemostasis/partial thromboplastin timePartial thromboplastin timeThe time required for the appearance of fibrin strands following the mixing of plasma with phospholipid platelet substitute (e.g., crude cephalins, soybean phosphatides). It is a test of the intrinsic pathway (factors VIII, IX, XI, and XII) and the common pathway (fibrinogen, prothrombin, factors V and X) of blood coagulation.Hemostasis:
    • Should be normal in HSP
    • Abnormalities should raise the suspicion of alternative diagnoses
  • Acute-phase reactantsAcute-Phase ReactantsInflammation:
  • IgAIgARepresents 15-20% of the human serum immunoglobulins, mostly as the 4-chain polymer in humans or dimer in other mammals. Secretory iga is the main immunoglobulin in secretions.Immunoglobulins: Types and Functions: increased (50%)
  • C3/C4: reduced
  • Factor XIII: reduced (50%)
  • Urine Analysis (UA):

BiopsyBiopsyRemoval and pathologic examination of specimens from the living body.Ewing Sarcoma

  • Reserved for unusual/severe presentations
  • More commonly needed in adultpatientsPatientsIndividuals participating in the health care system for the purpose of receiving therapeutic, diagnostic, or preventive procedures.Clinician–Patient Relationship
  • SkinSkinThe skin, also referred to as the integumentary system, is the largest organ of the body. The skin is primarily composed of the epidermis (outer layer) and dermis (deep layer). The epidermis is primarily composed of keratinocytes that undergo rapid turnover, while the dermis contains dense layers of connective tissue.Skin: Structure and Functions: leukocytoclasticvasculitisVasculitisInflammation of any one of the blood vessels, including the arteries; veins; and rest of the vasculature system in the body.Systemic Lupus Erythematosus in postcapillaryvenulesVenulesThe minute vessels that collect blood from the capillary plexuses and join together to form veins.Veins: Histology
  • Renal biopsyRenal BiopsyAntineutrophil Cytoplasmic Antibody (ANCA)-Associated Vasculitis reveals immune-complex deposition in themesangiumMesangiumThe thin membranous structure supporting the adjoining glomerular capillaries. It is composed of glomerular mesangial cells and their extracellular matrix.IgA Nephropathy
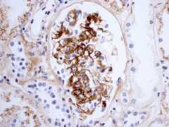
Hsp renal biopsy showing immunostaining for iga

Renal biopsy in Henoch-Schönlein purpura showing immunostaining for IgA

Image: “Henoch-Schönlein nephritis IgA immunostaining” by Lazarus Karamadoukis, Linmarie Ludeman, and Anthony J Williams. License:CC BY 2.0

Imaging

Imaging is used for complicated presentations.

  • Ultrasound:
    • To evaluatescrotal edemaScrotal EdemaMinimal Change Disease
    • To evaluate forintussusceptionIntussusceptionIntussusception occurs when a part of the intestine (intussusceptum) telescopes into another part (intussuscipiens) of the intestine. The condition can cause obstruction and, if untreated, progress to bowel ischemia. Intussusception is most common in the pediatric population, but is occasionally encountered in adults.Intussusception (may show “target signTarget signPseudomembranous Colitis”)
  • AbdominalX-rayX-rayPenetrating electromagnetic radiation emitted when the inner orbital electrons of an atom are excited and release radiant energy. X-ray wavelengths range from 1 pm to 10 nm. Hard x-rays are the higher energy, shorter wavelength x-rays. Soft x-rays or grenz rays are less energetic and longer in wavelength. The short wavelength end of the x-ray spectrum overlaps the gamma rays wavelength range. The distinction between gamma rays and x-rays is based on their radiation source.Pulmonary Function Tests: to evaluate forintestinal obstructionIntestinal obstructionAny impairment, arrest, or reversal of the normal flow of intestinal contents toward the anal canal.Ascaris/Ascariasis
  • MRI/CT head: for neurological symptoms (small vessels)
Target sign typical of intussusception on abdominal ultrasound

Target sign typical of intussusception on abdominal ultrasound

Image: “Pelvic plastron secondary to acute appendicitis in a child presented as appendiceal intussusception. A case report” by Christianakis E, Sakelaropoulos A, Papantzimas C, Pitiakoudis M, Filippou G, Filippou D, Rizos S, Paschalidis N. License:CC BY 2.0

Management

Management

  • Supportive treatment(the only measure needed in mild cases):
    • Rest: bedrest with extremity elevation
    • Hydration
    • Analgesics:
  • Renal involvement:
    • Observation with UA, and measurement of BP weekly for 6 weeks and monthly for 6 months:
    • AntihypertensivesAntihypertensivesThe 1st-line medication classes for hypertension include thiazide-like diuretics, angiotensin-converting enzyme inhibitors (ACEis), angiotensin II receptor blockers (ARBs), and calcium channel blockers (CCBS). Contraindications, adverse effects, and drug-to-drug interactions are agent specific.Hypertension Drugs, if needed
    • CorticosteroidsCorticosteroidsChorioretinitis, if persistentnephritic syndromeNephritic syndromeNephritic syndrome is a broad category of glomerular diseases characterized by glomerular hematuria, variable loss of renal function, and hypertension. These features are in contrast to those of nephrotic syndrome, which includes glomerular diseases characterized by severe proteinuria, although there is sometimes overlap of > 1 glomerular disease in the same individual.Nephritic Syndrome
    • ImmunosuppressantsImmunosuppressantsImmunosuppressants are a class of drugs widely used in the management of autoimmune conditions and organ transplant rejection. The general effect is dampening of the immune response.Immunosuppressants
    • PlasmapheresisPlasmapheresisProcedure whereby plasma is separated and extracted from anticoagulated whole blood and the red cells retransfused to the donor. Plasmapheresis is also employed for therapeutic use.Stevens-Johnson Syndrome (delays progression)
    • End-stage renal disease: kidney transplant
  • Abdominal:
    • CorticosteroidsCorticosteroidsChorioretinitis for severeabdominal painAbdominal PainAcute Abdomen
    • Surgery forintussusceptionIntussusceptionIntussusception occurs when a part of the intestine (intussusceptum) telescopes into another part (intussuscipiens) of the intestine. The condition can cause obstruction and, if untreated, progress to bowel ischemia. Intussusception is most common in the pediatric population, but is occasionally encountered in adults.Intussusception/bowel ischemiaBowel ischemiaMesenteric ischemia is a rare, life-threatening condition caused by inadequate blood flow through the mesenteric vessels, which results in ischemia and necrosis of the intestinal wall. Mesenteric ischemia can be either acute or chronic.Mesenteric Ischemia
  • CNS:immunosuppressantsImmunosuppressantsImmunosuppressants are a class of drugs widely used in the management of autoimmune conditions and organ transplant rejection. The general effect is dampening of the immune response.Immunosuppressants/corticosteroidsCorticosteroidsChorioretinitis
  • ArthralgiaArthralgiaPain in the joint.Rheumatic Fever:corticosteroidsCorticosteroidsChorioretinitis for severe jointpainPainAn unpleasant sensation induced by noxious stimuli which are detected by nerve endings of nociceptive neurons.Pain: Types and Pathways

PrognosisPrognosisA prediction of the probable outcome of a disease based on a individual’s condition and the usual course of the disease as seen in similar situations.Non-Hodgkin Lymphomas

  • ExcellentprognosisPrognosisA prediction of the probable outcome of a disease based on a individual’s condition and the usual course of the disease as seen in similar situations.Non-Hodgkin Lymphomas if:
    • Mild renal symptoms
    • No CNS involvement
    • < 3 years of age
    • Duration < 6 weeks
  • MorbidityMorbidityThe proportion of patients with a particular disease during a given year per given unit of population.Measures of Health Status andmortalityMortalityAll deaths reported in a given population.Measures of Health Status increase in the following cases:
  • ⅔ of cases experience no recurrence.

Differential Diagnosis

  • Acute glomerulonephritisAcute GlomerulonephritisNephritic Syndrome in Children: an immune-mediatedinflammationInflammationInflammation is a complex set of responses to infection and injury involving leukocytes as the principal cellular mediators in the body’s defense against pathogenic organisms. Inflammation is also seen as a response to tissue injury in the process of wound healing. The 5 cardinal signs of inflammation are pain, heat, redness, swelling, and loss of function.Inflammation of the glomeruli. Causes involve primary and secondaryinflammationInflammationInflammation is a complex set of responses to infection and injury involving leukocytes as the principal cellular mediators in the body’s defense against pathogenic organisms. Inflammation is also seen as a response to tissue injury in the process of wound healing. The 5 cardinal signs of inflammation are pain, heat, redness, swelling, and loss of function.Inflammation and often follow a streptococcal infection.Acute glomerulonephritisAcute GlomerulonephritisNephritic Syndrome in Children presents with generalizededemaEdemaEdema is a condition in which excess serous fluid accumulates in the body cavity or interstitial space of connective tissues. Edema is a symptom observed in several medical conditions. It can be categorized into 2 types, namely, peripheral (in the extremities) and internal (in an organ or body cavity).Edema,hypertensionHypertensionHypertension, or high blood pressure, is a common disease that manifests as elevated systemic arterial pressures. Hypertension is most often asymptomatic and is found incidentally as part of a routine physical examination or during triage for an unrelated medical encounter.Hypertension, and dark urine. Diagnosis is based on UA, blood work, and positive streptococcal cultures/titers. Management is mostly supportive.
  • Berger’s disease(IgAIgARepresents 15-20% of the human serum immunoglobulins, mostly as the 4-chain polymer in humans or dimer in other mammals. Secretory iga is the main immunoglobulin in secretions.Immunoglobulins: Types and Functions nephropathy): the most common cause of primary glomerulonephritis worldwide, which presents withIgAIgARepresents 15-20% of the human serum immunoglobulins, mostly as the 4-chain polymer in humans or dimer in other mammals. Secretory iga is the main immunoglobulin in secretions.Immunoglobulins: Types and Functions deposition in the mesangial tissues. A differentiating factor from HSP is the lack of extra-renal manifestations. Definitive diagnosis is based onrenal biopsyRenal BiopsyAntineutrophil Cytoplasmic Antibody (ANCA)-Associated Vasculitis. Management includessteroidsSteroidsA group of polycyclic compounds closely related biochemically to terpenes. They include cholesterol, numerous hormones, precursors of certain vitamins, bile acids, alcohols (sterols), and certain natural drugs and poisons. Steroids have a common nucleus, a fused, reduced 17-carbon atom ring system, cyclopentanoperhydrophenanthrene. Most steroids also have two methyl groups and an aliphatic side-chain attached to the nucleus.Benign Liver Tumors andimmunosuppressantsImmunosuppressantsImmunosuppressants are a class of drugs widely used in the management of autoimmune conditions and organ transplant rejection. The general effect is dampening of the immune response.Immunosuppressants.
  • IdiopathicIdiopathicDermatomyositis thrombocytopenic purpura: immune-mediated destruction ofplateletsPlateletsPlatelets are small cell fragments involved in hemostasis. Thrombopoiesis takes place primarily in the bone marrow through a series of cell differentiation and is influenced by several cytokines. Platelets are formed after fragmentation of the megakaryocyte cytoplasm.Platelets: Histology, which also presents with a purpuricrashRashRocky Mountain Spotted Fever. The differentiating factor is that HSP often results in thrombocytosis. Diagnosis is based on clinical presentation and lowplatelet countsPlatelet countsThe number of platelets per unit volume in a sample of venous blood.Coagulation Studies. Management includessteroidsSteroidsA group of polycyclic compounds closely related biochemically to terpenes. They include cholesterol, numerous hormones, precursors of certain vitamins, bile acids, alcohols (sterols), and certain natural drugs and poisons. Steroids have a common nucleus, a fused, reduced 17-carbon atom ring system, cyclopentanoperhydrophenanthrene. Most steroids also have two methyl groups and an aliphatic side-chain attached to the nucleus.Benign Liver Tumors andsplenectomySplenectomySurgical procedure involving either partial or entire removal of the spleen.Rupture of the Spleen in certain cases.
  • Meningitis in childrenMeningitis in ChildrenMeningitis is inflammation of the meninges around the brain and spinal cord. The majority of cases occur during childhood and are predominantly viral or bacterial in etiology. Clinical presentation is influenced by the age of the child and the causative pathogen, but meningitis typically presents with signs of meningeal irritation, fever, and lethargy.Meningitis in Children:NeisseriaNeisseriaNeisseria is a genus of bacteria commonly present on mucosal surfaces. Several species exist, but only 2 are pathogenic to humans: N. gonorrhoeae and N. meningitidis. Neisseria species are non-motile, gram-negative diplococci most commonly isolated on modified Thayer-Martin (MTM) agar.Neisseria meningiditisinfectionsInfectionsInvasion of the host organism by microorganisms or their toxins or by parasites that can cause pathological conditions or diseases.Chronic Granulomatous Disease present with a similarrashRashRocky Mountain Spotted Fever that is non-blanching and associated with high-gradefeverFeverFever is defined as a measured body temperature of at least 38°C (100.4°F). Fever is caused by circulating endogenous and/or exogenous pyrogens that increase levels of prostaglandin E2 in the hypothalamus. Fever is commonly associated with chills, rigors, sweating, and flushing of the skin.Fever. Diagnosis is established with CSFGram stainGram stainKlebsiella and culture, and the treatment is with antibiotics.
  • Infective endocarditisInfective endocarditisInfective endocarditis (IE) is caused by infection or inflammation of the inner lining of the heart (endocardium), most commonly affecting the heart valves.Endocarditis:inflammationInflammationInflammation is a complex set of responses to infection and injury involving leukocytes as the principal cellular mediators in the body’s defense against pathogenic organisms. Inflammation is also seen as a response to tissue injury in the process of wound healing. The 5 cardinal signs of inflammation are pain, heat, redness, swelling, and loss of function.Inflammation of theendocardiumEndocardiumThe innermost layer of the heart, comprised of endothelial cells.Heart: Anatomy secondary to infection.Infective endocarditisInfective endocarditisInfective endocarditis (IE) is caused by infection or inflammation of the inner lining of the heart (endocardium), most commonly affecting the heart valves.Endocarditis is associated with askinSkinThe skin, also referred to as the integumentary system, is the largest organ of the body. The skin is primarily composed of the epidermis (outer layer) and dermis (deep layer). The epidermis is primarily composed of keratinocytes that undergo rapid turnover, while the dermis contains dense layers of connective tissue.Skin: Structure and FunctionsrashRashRocky Mountain Spotted Fever similar to that seen in HSP. Diagnosis is established with blood cultures andechocardiogramEchocardiogramTransposition of the Great Arteries. Antibiotics are the mainstay of treatment.

References

  1. Dedeoglu, F., Kim, S. (2025). IgA vasculitis (Henoch-Schönlein purpura): Clinical manifestations and diagnosis. Retrieved June 19, 2025, fromhttps://www.uptodate.com/contents/iga-vasculitis-henoch-schonlein-purpura-clinical-manifestations-and-diagnosis
  2. Dedeoglu, F., Kim, S. (2025). IgA vasculitis (Henoch-Schönlein purpura): Management. Retrieved June 19, 2025, fromhttps://www.uptodate.com/contents/iga-vasculitis-henoch-schonlein-purpura-management
  3. Bhimma, R. (2023). Henoch-Schönlein purpura (IgA vasculitis). Retrieved June 19, 2025, fromhttps://emedicine.medscape.com/article/984105-overview
  4. Leung, A.K.C., Barankin, B., Leong, K.F. (2020). Henoch-Schönlein purpura in children: An updated review.Curr Pediatr Rev: 16(4),265–276.https://pubmed.ncbi.nlm.nih.gov/32384035/

Study with Lecturio for

© 2025 Lecturio GmbH. All rights reserved.

USMLE™ is a joint program of the Federation of State Medical Boards (FSMB®) and National Board of Medical Examiners (NBME®). MCAT is a registered trademark of the Association of American Medical Colleges (AAMC). NCLEX®, NCLEX-RN®, and NCLEX-PN® are registered trademarks of the National Council of State Boards of Nursing, Inc (NCSBN®). None of the trademark holders are endorsed by nor affiliated with Lecturio.

Create your free account or log in to continue reading!

Sign up now and get free access to Lecturio with concept pages, medical videos, and questions for your medical education.

User Reviews

Best Week. Best Price. Best Prep! 💸 Get 40% off all plans and certificates now >>

Details
×
Get Premium to test your knowledge

Lecturio Premium gives you full access to all content & features

Get Premium to watch all videos

Verify your email now to get a free trial.

Create a free account to test your knowledge

Lecturio Premium gives you full access to all contents and features—including Lecturio’s Qbank with up-to-date board-style questions.

Get Premium
or log in
0/5 questions correct
Start Test

[8]ページ先頭

©2009-2025 Movatter.jp