Granulomatosis with polyangiitis (GPA, formerly known as Wegener's granulomatosis) is a rare autoimmune disease of unknown etiology. It leads to a necrotizinggranulomatous inflammationGranulomatous InflammationChalazion of small and medium-sized blood vessels of thenoseNoseThe nose is the human body's primary organ of smell and functions as part of the upper respiratory system. The nose may be best known for inhaling oxygen and exhaling carbon dioxide, but it also contributes to other important functions, such as tasting. The anatomy of the nose can be divided into the external nose and the nasal cavity.Nose Anatomy (External & Internal), sinuses,throatThroatThe pharynx is a component of the digestive system that lies posterior to the nasal cavity, oral cavity, and larynx. The pharynx can be divided into the oropharynx, nasopharynx, and laryngopharynx. Pharyngeal muscles play an integral role in vital processes such as breathing, swallowing, and speaking.Pharynx: Anatomy,lungsLungsLungs are the main organs of the respiratory system. Lungs are paired viscera located in the thoracic cavity and are composed of spongy tissue. The primary function of the lungs is to oxygenate blood and eliminate CO2.Lungs: Anatomy, andkidneysKidneysThe kidneys are a pair of bean-shaped organs located retroperitoneally against the posterior wall of the abdomen on either side of the spine. As part of the urinary tract, the kidneys are responsible for blood filtration and excretion of water-soluble waste in the urine.Kidneys: Anatomy. Early stages of GPA often present with localized manifestations such asinfectionsInfectionsInvasion of the host organism by microorganisms or their toxins or by parasites that can cause pathological conditions or diseases.Chronic Granulomatous Disease of the upper respiratory tract,skinSkinThe skin, also referred to as the integumentary system, is the largest organ of the body. The skin is primarily composed of the epidermis (outer layer) and dermis (deep layer). The epidermis is primarily composed of keratinocytes that undergo rapid turnover, while the dermis contains dense layers of connective tissue.Skin: Structure and Functions lesions, and/orconstitutional symptomsConstitutional SymptomsAntineutrophil Cytoplasmic Antibody (ANCA)-Associated Vasculitis. Later stages can present withrenal failureRenal failureConditions in which the kidneys perform below the normal level in the ability to remove wastes, concentrate urine, and maintain electrolyte balance; blood pressure; and calcium metabolism. Renal insufficiency can be classified by the degree of kidney damage (as measured by the level of proteinuria) and reduction in glomerular filtration rate.Crush Syndrome and severe respiratory disease. Early diagnosis and treatment of granulomatosis with polyangiitis (which involves the administration ofcorticosteroidsCorticosteroidsChorioretinitis and immunosuppressive agents such asmethotrexateMethotrexateAn antineoplastic antimetabolite with immunosuppressant properties. It is an inhibitor of tetrahydrofolate dehydrogenase and prevents the formation of tetrahydrofolate, necessary for synthesis of thymidylate, an essential component of DNA.Antimetabolite Chemotherapy) may lead to a fullremissionRemissionA spontaneous diminution or abatement of a disease over time, without formal treatment.Cluster Headaches but without treatment, the condition has a highmortalityMortalityAll deaths reported in a given population.Measures of Health Status rate.
Last updated: May 14, 2025

Uniform granular cytoplasmic staining of c-ANCA
Image: “C anca” by Malittle. License:CC0 1.0

Erythematous nodule on the right shin in a patient with GPA
Image: “Initial lesion: erythematous nodule on right shin” by Section of Internal Medicine, Department of Medicine, The Aga Khan University Hospital, P.O. Box 3500, Stadium Road, Karachi 74800, Pakistan. License:CC BY 3.0
Example of a collapsed nasal bridge (saddle nose deformity) seen in GPA. The patient also shows orbital involvement with proptosis (protrusion of the eyeball), eyelid edema, and limitation of ocular movements. Orbital involvement typically does not occur until years after disease onset.
Image: “Anterior and lateral appearance of the patient” by Ophthalmic Research Center, Shahid Beheshti University of Medical Sciences, Tehran, Iran. License:CC BY 2.5| 1. Nasal or oralinflammationInflammationInflammation is a complex set of responses to infection and injury involving leukocytes as the principal cellular mediators in the body’s defense against pathogenic organisms. Inflammation is also seen as a response to tissue injury in the process of wound healing. The 5 cardinal signs of inflammation are pain, heat, redness, swelling, and loss of function.Inflammation | Painful or painlessoral ulcersOral ulcersA loss of mucous substance of the mouth showing local excavation of the surface, resulting from the sloughing of inflammatory necrotic tissue. It is the result of a variety of causes, e.g., denture irritation, aphthous stomatitis; necrotizing gingivitis, toothbrushing, and various irritants.Chédiak-Higashi Syndrome or purulent or bloody nasal discharge |
|---|---|
| 2. Abnormal chest radiograph | Pulmonary nodules, fixed pulmonary infiltrates, or pulmonary cavities |
| 3. Abnormal urinary sediment | Microscopic haematuria with or without red cell casts (glomerulonephritis) |
| 4.Granulomatous inflammationGranulomatous InflammationChalazion | ThebiopsyBiopsyRemoval and pathologic examination of specimens from the living body.Ewing Sarcoma of an artery or perivascular area showsgranulomatous inflammationGranulomatous InflammationChalazion. |

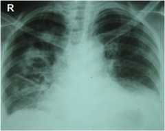
Chest radiography: Multiple nodular and cavitating lesions are visible predominately on the right side with multiple patchy infiltrates typical of granulomatosis with polyangiitis. Costophrenic angles are obliterated owing to small bi-basal pleural effusion.
Image: “Chest radiography at presentation” by Department of Pharmacology and Pharmacy, Faculty of Medicine University of Colombo, PO Box 271, Kynsey Road, Colombo 08, Sri Lanka. License:CC BY 4.0
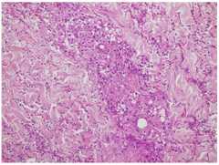
Skin biopsy: Vasculitis involving the superficial and deep dermis showing fibrinoid necrosis of vessel wall with granuloma formation, neutrophilic infiltrate, and nuclear debris.
Image: “Skin biopsy” by Section of Internal Medicine, Department of Medicine, The Aga Khan University Hospital, P.O. Box 3500, Stadium Road, Karachi 74800, Pakistan. License:CC BY 3.0USMLE™ is a joint program of the Federation of State Medical Boards (FSMB®) and National Board of Medical Examiners (NBME®). MCAT is a registered trademark of the Association of American Medical Colleges (AAMC). NCLEX®, NCLEX-RN®, and NCLEX-PN® are registered trademarks of the National Council of State Boards of Nursing, Inc (NCSBN®). None of the trademark holders are endorsed by nor affiliated with Lecturio.
Sign up now and get free access to Lecturio with concept pages, medical videos, and questions for your medical education.
Best Week. Best Price. Best Prep! 💸 Get 40% off all plans and certificates now >>
Lecturio Premium gives you full access to all content & features
Verify your email now to get a free trial.
Lecturio Premium gives you full access to all contents and features—including Lecturio’s Qbank with up-to-date board-style questions.