Movatterモバイル変換


[0]ホーム

URL:


Get YourFree First Exam for New Patients by Year End
Get YourFree First Exam for New Patients by Year End
VCA Logo

Dental Disease in Cats

By Courtney Barnes, BSc, DVM; Malcolm Weir, DVM, MSc, MPH; Lorraine Hiscox DVM FAVD Dip. AVDC; Jan Bellows, DVM, Dipl. AVDC, ABVP
Print Vet Bio Print Article

How common is dental disease in cats?

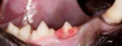
Cat's tooth with inflamed gum.A cat's tooth with a resorptive lesionDental disease is one of the most common medical conditions seen by veterinarians. More than half of all cats over the age of three have some form of dental disease.

What are the clinical signs of dental disease?

Many cats do not display signs of dental disease that their owners can detect. To detect hidden disease, it is important that your cat has complete, oral examinations under general anesthetic, with intraoral X-rays (radiographs), beginning early in the cat’s life.

If your cat does show signs, they may include pawing at the mouth, head shaking, or jaw chattering. The cat may chew with obvious discomfort, drop food from their mouth, swallow with difficulty, or drool excessively. The saliva may contain blood. Halitosis (bad breath) is also common.

"Dental disease and oral pain may account for some cats’ finicky appetites."

Dental disease and oral pain may account for some cats’ finicky appetites. Many cats refuse dry food or swallow it whole (no chewing) and demonstrate a preference for moist or canned foods. Some cats have a decreased interest in food or may hesitantly approach their food bowl with reluctance to eat, which may lead to noticeable weight loss.

What are the most common dental diseases in cats?

The most common dental diseases in cats are gingivitis (inflammation of the gums caused by the accumulation of plaque), periodontal disease (a progression from gingivitis), and tooth resorption (formerly called feline oral resorptive lesions or cervical neck lesions).

What is periodontal disease?

Periodontal disease describes infection and associated inflammation of the periodontium (the tissues surrounding the tooth). Four tissues comprise the periodontium: the gingiva (gums), the cementum (covering the root surface), the periodontal ligament (attaching the tooth root to the bone), and the bone surrounding the tooth.

Periodontal disease starts with gingivitis (inflammation of the gums). Gingivitis results from plaque (bacterial slime) that accumulates on tooth surfaces and contacts the gingiva. Plaque is a biofilm and home to many thousands of bacteria.

Some of this plaque is naturally removed during eating or by the cat's tongue. However, without daily brushing, plaque quickly builds and eventually mineralizes (over 36-48 hours), forming hard tartar (also called calculus). Tartar has a rough surface that plaque can stick to more readily. Untreated gingivitis may lead to further inflammation of other tissues of the periodontium. Progression of periodontal disease leads to loss of tooth support and eventual loss of the tooth.

There may be other consequences of periodontal disease due to the loss of bone, including oronasal fistula (a hole from the mouth into the nose), jaw fracture, and abscessation with draining tracts that develop in the mouth, on the face, or under the chin. Some studies indicate that the bacteria from severe oral disease, which gets into the bloodstream, may also be associated with pathological changes in major organs, such as the heart, liver, and kidney.

What is tooth resorption?

Tooth resorption is the slow, progressive destruction of the tooth (crown and root), resulting in  "holes" in the affected teeth. Once sensitive parts of the tooth are exposed (dentin and pulp), these lesions become intensely painful, and the only effective and humane treatment is to extract the tooth. While the cause of this disease is unknown, poor oral hygiene can play a role in the disease process (see the handout called “Tooth Resorption in Cats” for further details).

What is stomatitis?

Less commonly, cats may develop severe oral inflammation called stomatitis. This is a complex condition for which no specific cause has been identified. It is believed that cats who develop this disease have an extreme reaction to oral bacteria and plaque. The degree and extent of the ensuing inflammation can be excruciating, significantly lower the cat’s quality of life, and cause intense distress for the cat and owner.

"Each cat is different, and medication choices can vary depending on the cat’s response."

Treatment involves a detailed oral evaluation under general anesthetic, with intraoral radiographs and the extraction of any teeth affected by periodontitis, along with a thorough periodontal cleaning of the remaining healthy teeth. Afterward, various forms of therapy are instituted, which combine oral home care and medications, such as anti-inflammatories, antibiotics, or immunomodulators.

Each cat is different, and medication choices can vary depending on the cat’s response. Studies have shown that up to 60% of cats can have their disease significantly decreased or even resolved, while 40% continue to struggle with varying degrees of oral inflammation. Stomatitis cases are best referred to a board-certified veterinary dentist who can tailor therapy to the individual cat.

Can kittens get gingivitis?

As the teeth erupt, there is an increased redness in the gums, and this is known as eruption gingivitis. It should resolve as development progresses. However, some kittens will develop juvenile gingivitis (sometimes called juvenile hyperplastic gingivitis) that starts at the time of tooth eruption and may be mistaken for eruption gingivitis. Juvenile gingivitis will persist beyond tooth eruption and is often diagnosed between 6 and 12 months old. Treatment includes frequent, detailed dental assessments, including intraoral X-rays, thorough periodontal cleaning under general anesthetic, and intense home care to keep the dental tissues as clean as possible.

What should I do if my cat shows signs of dental problems?

If you see evidence of tartar accumulation or gingivitis, or your cat exhibits signs of mouth pain or discomfort, you should take the cat to your veterinarian for an oral examination. They will advise you on the most appropriate course of treatment, which may involve having your cat's teeth examined, professionally cleaned, and X-rayed under general anesthesia.

A routine dental cleaning involves a thorough dental examination, followed by scaling and polishing to remove the plaque and tartar from all tooth surfaces. Teeth with advanced periodontal disease or tooth resorption causing pain will need to be extracted. The rate of tartar accumulation is highly variable between individual cats and, in some cases, professional cleaning may be required every 6–12 months. Your veterinarian will help you determine how often your cat needs their teeth cleaned.

"A full general anesthetic is required for dentistry."

Do not try to remove tartar yourself with any form of metallic instrument. Aside from potentially harming your cat’s mouth or your cat harming you, you may damage the tooth’s surface by creating microscopic scratches. These scratches allow bacteria to cling to and encourage faster plaque formation, which only worsens the problem. Maintaining a smooth tooth surface is essential and is why your human dental hygienist always polishes your teeth after removing tartar with dental instruments.

A full general anesthetic is required for dentistry. While some of the tartar may be removed with scaling on a cooperative, awake animal, it is cosmetic only and does not diagnose or treat any dental disease present.

What can I do to help prevent dental disease in my cat?

Cat getting its teeth brushed by veterinarian.The best way to prevent dental disease is to reduce the rate at which plaque and tartar build up on the teeth. Recent advances in pet nutrition have resulted in the development of water additives, treats, and kibble diets that can reduce tartar accumulation.

The Veterinary Oral Health Council evaluates dental products for effectiveness, and their seal of acceptance will only be found on products that have been shown to reduce the accumulation of plaque and/or tartar. You can visit their website (vohc.org) for a list of plaque-control products. Your veterinarian can help you decide which options are right for your cat.

The most effective way to reduce plaque and tartar is to brush your cat’s teeth daily (see the handout “Brushing Your Cat’s Teeth” for more information). Several toothbrushes are designed for a cat's mouth. Never use human toothpaste. Human toothpastes are foaming products and contain ingredients such as fluoride that should not be swallowed. Use pet toothpaste that is non-foaming and safe to be swallowed – these are available in flavors your cat will find appealing.

You can help train your cat to accept toothbrushing by rubbing a cotton swab (i.e., Q-tip®) dipped in tuna juice on your cat's teeth. While the tuna juice has no beneficial dental cleaning effects, it helps your cat positively associate the tuna juice and the toothbrushing experience.

With gentleness, patience, and perseverance, it is possible to brush your cat’s teeth and provide the oral care needed to prevent dental disease.

© Copyright 2024 LifeLearn Inc. Used and/or modified with permission under license.

Share

Free First Exam

VCA-exam-Circle-Icon

Get YourFree First Exam
For New Patients by Year End

Get Coupon

   

Book an Appointment

VCA-Calendar-Circle-Icon

Locate a nearby
hospital and schedule
your appointment —
it's that easy!

Book an Appointment

Related Articles

[8]ページ先頭

©2009-2025 Movatter.jp