
arterier

Arterier erblodårer som førerblod frahjertet og ut i kroppen. De årene som fører blod til hjertet fra kroppen kallesvener. Arterier kalles også pulsårer.
Den største arterien eraorta, hovedpulsåren, som går ut fra hjertets venstrehovedkammer. Nest størst erlungearteriestammen (truncus pulmonalis), som springer ut fra høyre hovedkammer og er den eneste arterien som fører oksygenfattig blod, bortsett fra lungearteriene(arteriae pulmonales) og navlesnorarteriene undersvangerskapet.
Vanligvis er arteriene i kroppen fra 0,1 til omtrent 10 millimeter i diameter. De minste arteriene (under 0,1 millimeter) før overgangen til kapillarene kallesarterioler.
Oppbygning

Den elastiske arterieveggen er kraftig og bygd opp av tre lag:
- tunica intima, det innerste laget, som består av celler (plateepitel) på en elastisk membran
- tunica media, det midterste laget, som består av glatt ringmuskulatur med elastiske fibre
- tunica adventitia, det ytterste laget, som består av løst bindevev som fester arterien til det omkringliggende vevet.

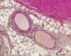
Arterie. Snitt gjennom arterieveggen.
Klassifisering
Det er to hovedtyper arterier:
- Elastiske arterier, som finnes i nærheten av hjertet. De er gjerne større blodkar og har evnen til å utvide seg undersystolen, det vil si når hjertet pumper blodet ut i arteriene. Når arteriene faller tilbake til sin normale størrelse, «skyves» blodet videre i kretsløpet. Hjertets støtvise aktivitet (pulsen) vil på den måten bli omgjort til en mer kontinuerlig blodstrøm. Den arterielle blodstrømmen blir jevnere jo lenger ut i kretsløpet man kommer, samtidig som trykket avtar.
- Muskulære arterier,som mest finnes lenger vekk fra hjertet (i periferien). De har en mindre andelelastiske fibre, men har sirkulærglatt muskulatur, og kan innsnevres og utvides etter behov gjennomdet autonome nervesystemet.
I arteriolene er den elastiske andelen itunica media ofte fragmentert, og består gjerne av bare ett lag glatte muskelceller.
Arterieveggen selv har ganske små arterioler(vasa vasorum) som forsyner denne muskulaturen. Det er bare det innerste cellelaget,endotelet ellertunica intima,som ernæres direkte fra blodstrømmen.

Navnsetting
Arteriene får gjerne navn etter den kroppsregionen de går gjennom, og samme blodåre vil ha segmenter med ulike navn. For eksempel skifter hovedarterien gjennom armen navn fra kragebeinsregionen(arteria subclavia) via armhulen(arteria axillaris), overarmen(arteria brachialis) og til de to underarmsarteriene(arteria radialisogarteria ulnaris), uten at disse overgangene danner verken eksakte eller synlige grenser.
Der hvor en arterie passerer et størreledd, løser den seg gjerne opp i et karnett(rete arteriosum), og etterpå samles den igjen, slik at blodet kan ledes utenom steder på leddet der de ville blitt avklemt vedfleksjon.

Puls og blodtrykk
Som nevnt blir det et visst blodtrykksfall jo lenger ut (perifert) i kretsløpet man kommer. Blodtrykksfallet er likevel mindre enn man skulle tro, ettersom arteriene stadig blir mindre jo lengre avstand de har fra hjertet.
Puls

Selv om arteriene ikke er synlige, annet enn inetthinnen(retina), kan de føles som pulserende støt på visse steder på kroppen. De vanligste pulsstedene er:
- på siden avhalsen(arteria carotis communis)
- på innsiden av overarmen(arteria brachialis)
- ved håndleddets tommelfingerside(arteria radialis)
- ilysken(arteria femoralis)
- på innsiden avankelen (arteria tibialis posterior)
- på fotryggen(arteria dorsalis pedis)
Dersom en arterie ligger mot et fast eller beinete underlag, vil pulsen føles sterkere eller bedre enn på arterier som er omgitt av fett og løst bindevev. Derfor føles radialisarterien på håndleddet bedre enn ulnarisarterien, enda de er omtrent like store.
Blodtrykk
Blodtrykket måles gjerne med et blodtrykksapparat, som i prinsippet er en oppblåsbar mansjett rundt overarmen med en tilhørende trykkmåler. Mansjetten pumpes opp til den distale pulsen ikke lenger kan føles på håndleddet. Deretter slippes luften langsomt ut, og man leser av på måleren idet første pulsstøt kjennes. Dette trykket kallessystolisk trykk og kan være rundt 120–160mm Hg.
Dersom man lytter på arterien med etstetoskop, likedistalt for mansjetten(arteria cubitalis), vil man kunne høre en pulserende «lyd» når trykket langsomt reduseres. Den representerer det systoliske trykket, når blodtrykket er kraftig nok til å «åpne» den sammenklemte arterien. I fasen mellom systolene er imidlertid blodtrykket mindre, og åren klapper sammen igjen så lenge mansjetten er stram nok. Det er først når dette ikke lenger skjer, og man ikke hører noe fra arterien, at trykket mellom systolene – kalt detdiastoliske trykket – er nådd og blodet kan strømme fritt i åren. Dette trykket kan være 70–90mm Hg hos en voksen.
Blodtrykket uttrykkes ofte som en slags brøk, med det høyeste/systoliske trykket først. Det kan for eksempel uttrykkes som 150/80.
Kollateraler og anastomoser
Som regel går det flere parallelle arterier til samme organområde, slik at det alltid tilføres oksygenrikt blod, selv om en av arteriene skulle lukkes, som for eksempel avblodpropp og ved avklemming under operasjoner. Et slikt system med omledende arterier kalleskollateraler.
Noenorganer, for eksempelhjertet, har et svakt utviklet kollateralnett. I slike tilfeller brukes betegnelsenendearterier. En blodpropp i en slik arterie uten tilstrekkelige kollateraler får gjerne alvorlige følger (for eksempelhjerteinfarkt).
Arteriovenøseanastomoser er direkte forbindelser mellom en arterie/arteriole og en vene, utenkapillarer imellom, slik man for eksempel kan finne i fingertuppene.
Regulering
Tilførselen av blod til et organ er i første rekke avhengig av hjertets evne til å pumpe. Men samtidig er arteriolenes diameter og mulighet til å endre denne etter behov, av betydning.
Som annen muskulatur har også karveggen en viss grunnspenning, entonus. Den kan opprettholdes dels ved hjelp avdet autonome nervesystemet, avhengig av funksjonen og aktiviteten til det enkelte organ, og dels ved den glatte muskulaturens selvstyring, påvirket av blodets trykk ogoksygen-/karbondioksid-innhold. Arteriolene kan også påvirkes lokalt ved strekk i vevet omkring dem, eller ved visse stoffer i vevsvæsken.
Deefferente fibrene er i hovedsakadrenerge (overfører impulsene ved hormonetadrenalin), og har karkontraherende effekt med økning av blodtrykket. Også hormoner somangiotensin kan påvirke den arterielle blodstrømmen.
Sykdommer
Arteriene utsettes for relativt store mekaniske krefter, og det oppstår lavgradig betennelse i reparasjonen av skadene etter de mekaniske kreftene. Det kan utvikle segaterosklerose (åreforkalkning) som følge av slike slitasjer. I forlengelsen av aterosklerose kan det oppståhøyt blodtrykk,hjerteinfarkt,hjerneslag,røykebein,aortastenose,aneurismer og så videre. Kosthold og livsstil, samtdiabetes, vil også påvirke dette.
Arteriene kan videre rammes avrevmatiske sykdommer somtemporalisarteritt og andrearteritter.
Utvikling i fosterlivet
Les mer i Store norske leksikon
Kommentarer
Kommentarer til artikkelen blir synlig for alle. Ikke skriv inn sensitive opplysninger, for eksempel helseopplysninger. Fagansvarlig eller redaktør svarer når de kan. Det kan ta tid før du får svar.
Du må være logget inn for å kommentere.
