Cocaine- and Levamisole-Induced Vasculitis: Defining the Spectrum of Autoimmune Manifestations
- PMID:39274328
- PMCID: PMC11396482
- DOI: 10.3390/jcm13175116
Cocaine- and Levamisole-Induced Vasculitis: Defining the Spectrum of Autoimmune Manifestations
Abstract
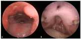
Drug-induced or associated vasculitis is a prevalent form of vasculitis that resembles primary idiopathic antineutrophil cytoplasmic autoantibody (ANCA) vasculitis (AAV). Cocaine is a diffuse psychostimulant drug and levamisole is a synthetic compound used to cut cocaine. Their abuse may result in a spectrum of autoimmune manifestations which could be categorized into three overlapping clinical pictures: cocaine-induced midline destructive lesion (CIMDL), levamisole-adulterated cocaine (LAC) vasculopathy/vasculitis, and cocaine-induced vasculitis (CIV). The mechanisms by which cocaine use leads to disorders resembling AAV are not well understood. Cocaine can cause autoimmune manifestations ranging from localized nasal lesions to systemic diseases, with neutrophils playing a key role through NETosis and ANCA development, which exacerbates immune responses and tissue damage. Diagnosing and treating these conditions becomes challenging when cocaine and levamisole abuse is not suspected, due to the differences and overlaps in clinical, diagnostic, therapeutic, and prognostic aspects compared to primary idiopathic vasculitides.
Keywords: ANCA; CIMDL; CIV; LAC vasculopathy/vasculitis; antineutrophil cytoplasmic autoantibody; cocaine; cocaine-induced midline destructive lesion; cocaine-induced vasculitis; levamisole; levamisole-adulterated cocaine; vasculitis.
Conflict of interest statement
The authors declare no financial support or potential conflicts of interest in this study.
Figures





References
- Culerrier J., Nguyen Y., Karadag O., Yasar Bilge S., Yildrim T.D., Ögüt T.S., Yazisiz V., Bes C., Celfe A., Yazici A., et al. Characteristics and outcome of ANCA-associated vasculitides induced by anti-thyroid drugs: A multicentre retrospective case-control study. Rheumatology. 2024;63:999–1006. doi: 10.1093/rheumatology/kead319. - DOI - PubMed
Publication types
LinkOut - more resources
Full Text Sources
