Palytoxin-induced acute respiratory failure
- PMID:27843763
- PMCID: PMC5099280
- DOI: 10.1016/j.rmcr.2016.10.014
Palytoxin-induced acute respiratory failure
Abstract
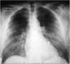
Palytoxin is one of the most potent toxins known to mankind and poses a high risk to humans through ingestion, inhalation and dermal routes [1,2]. Although the exact mechanism of action is unknown it is postulated that palytoxin binds to the Na+/K + ATPase pump resulting in K+ efflux, Ca2+ influx and membrane depolarization leading to widespread secondary pharmacological actions [2]. Palytoxin is highly toxic and can affect multiple organs causing severe symptoms including death. Palytoxin poisoning is mainly developed after ingesting seafood. We are reporting a case of suspected inhalational palytoxin poisoning in a healthy healthcare provider from who developed severe respiratory distress within 12 hours of exposure to vapors. We have highlighted diagnostic clues and clinical features in the patients' history that may help intensivists to diagnose a case of ARDS secondary to palytoxin poisoning.
Figures
References
- Deeds J.R., Schwartz M.D. Human risk associated with palytoxin exposure. Toxicon Off. J. Int. Soc. Toxinol. 2010;56:150. - PubMed
- Tubaro A., Durando P., Del Favero G. Case definitions for human poisonings postulated to palytoxins exposure. Toxicon Off. J. Int. Soc. Toxinol. 2011;57:478. - PubMed
- Durando P., Ansaldi F., Oreste P. Ostreopsis ovata and human health: epidemiological and clinical features of respiratory syndrome outbreaks from a two-year syndromic surveillance, 2005–06, in north-west Italy. Euro Surveill. 2007;12 E070607.1. - PubMed
- Bernasconi M., Berger D., Tamm M., Stolz D. Aquarism: an innocent leisure activity? Palytoxin-induced acute pneumonitis. Respiration. 2012;84:436–439. - PubMed
Publication types
LinkOut - more resources
Full Text Sources
Other Literature Sources
Miscellaneous


