Therapy with a severe acute respiratory syndrome-associated coronavirus-neutralizing human monoclonal antibody reduces disease severity and viral burden in golden Syrian hamsters
- PMID:16453264
- PMCID: PMC7109703
- DOI: 10.1086/500143
Therapy with a severe acute respiratory syndrome-associated coronavirus-neutralizing human monoclonal antibody reduces disease severity and viral burden in golden Syrian hamsters
Abstract
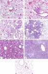
Background: Immunotherapy with monoclonal antibodies (MAbs) offers safe interventions for the prevention of infection in patients after organ transplantation and for the treatment of cancers and autoimmune diseases. MAb 201 is a severe acute respiratory syndrome-associated coronavirus (SARS-CoV)-specific MAb that prevents establishment of viral replication in vitro and prevents viral replication in vivo when administered prophylactically. The efficacy of MAb 201 in the treatment of SARS was evaluated in golden Syrian hamsters, an animal model that supports SARS-CoV replication to high levels and displays severe pathological changes associated with infection, including pneumonitis and pulmonary consolidation.
Methods: Golden Syrian hamsters that were intranasally inoculated with SARS-CoV were treated with various doses of MAb 201 or an irrelevant MAb 24 h after inoculation. Two to 7 days after infection, the hamsters were killed, and their lungs were collected for evaluation of viral titers and pathological findings.
Results: Postexposure treatment with MAb 201 can alleviate the viral burden and associated pathological findings in a golden Syrian hamster model of SARS-CoV infection. After a hamster is treated with MAb 201, its viral burden is reduced by 102.4-103.9 50% tissue-culture infectious doses per gram of tissue, and the severity of associated pathological findings, including interstitial pneumonitis and consolidation, is also remarkably reduced.
Conclusions: The demonstration of successful postexposure MAb 201 therapy in an animal model that demonstrates viral replication and associated pulmonary pathological findings suggests that MAb 201 may be useful in the arsenal of tools to combat SARS.
Figures



References
Publication types
MeSH terms
Substances
Grants and funding
LinkOut - more resources
Full Text Sources
Other Literature Sources
Miscellaneous
