





技术领域technical field
本发明属于体外再建软骨组织,特别涉及一种用骨基质凝胶构建组织工程软骨的方法。The invention belongs to the reconstruction of cartilage tissue in vitro, in particular to a method for constructing tissue engineered cartilage with bone matrix gel.
背景技术Background technique
目前国内外组织工程研究的进展为软骨疾病的研究和治疗开辟了新的途径,是未来医学由“替代”向“重建”转变的重要手段之一,其发展前景令人鼓舞。随着分子生物学和细胞生物学的飞速发展,对各种疾病的基础理论研究,已不仅在整体动物、离体器官和组织水平上,人们日益认识到,从分子和细胞水平,尤其从活组织细胞的角度研究细胞的形态和功能,对研究各种疾病的病因、发病机理、病理变化以及治疗等问题,具有非常重要的意义。组织工程是生物医学和材料科学交叉融合的产物,其含义是应用生命科学和工程学原理及方法,认识哺乳动物正常和病理组织的结构功能关系,研究、开发生物代用品,以修复、维持或改善人体组织和器官的形态和功能。目前国内外有个别报道用骨基质明胶(bone matrix gelatin,BMG)植入肌肉组织,能诱导骨、软骨生成。而目前的研究中尚存在不少问题亟待解决:1).种子细胞:组织工程的先决条件是足够数量的、具有再生能力和功能的种子细胞。软骨组织工程中软骨种子细胞的主要来源是软骨和间充质干细胞(是以骨髓为主的);目前,国内外采用人或动物的软骨,用酶消化、分离、培养,能获得高存活率、高纯度、足够数量的软骨细胞,方法比较成熟。但软骨细胞长期培养、传代,容易发生去分化,逐渐变为扁平的成纤维细胞样细胞,丧失软骨细胞的分化表型。给予骨形态发生蛋白(BMP)、胰岛素样生长因子(IGF)、转化生长因子(TGF)等细胞因子,能促进软骨细胞的分化和保持其表型。骨髓间充质干细胞(亦有用脂肪基质干细胞、胚胎干细胞等)作为软骨种子细胞的来源,日益受到重视,分离的骨髓间充质干细胞加入TGF和成纤维细胞生长因子(FGF)培养,可分化为具合成分泌II型胶原等软骨特异性标记物的软骨细胞,用其修复关节软骨取得良好的效果。且因骨髓具有取材方便、对供体损伤小等优点,其应用前景更为看好。但骨髓基质干细胞是由多种细胞组成的,需要进一步纯化,并需选择合适的条件诱导其向软骨细胞分化。因此,如何在体内外调控软骨细胞的增殖、分化,并维持其表型特征是需要进一步研究的问题。2).三维细胞支架:种植软骨细胞的支架也是软骨组织工程成功的关键。支架材料应具有良好的生物相容性、无毒副作用、具多孔三维结构、生物可降解性、良好的细胞贴附界面、可塑性和一定的机械强度。目前,国内外研究的生物材料很多,如聚乳酸(PLA)、聚羟基乙酸(PGA)、骨基质明胶(BMG)、胶原海绵、藻酸盐、透明质酸等,但各材料还都存在一些问题。如目前国内外较为看好,应用也最广泛的PGA和PLA是人工合成的高分子聚合物,具良好的生物相容性、可降解性和可塑性等,但两者均为疏水性物质,对细胞吸附力较弱,降解产物为酸性,对细胞生长不利。目前虽采取了许多改进措施,但作为合成材料,仍存在缺乏细胞识别信号、费用昂贵等缺点。BMG以天然骨材料制备而来,具有很好的生物相容性、可降解性,并因其含有BMP,故具有较强的诱导骨、软骨生长、分化和维持其表型的作用,但也存在材料孔隙不均一,植入体内后吸收过快、机械强度不足和人骨材料来源不足等缺点,这些都是需要进一步研究解决的问题。3).组织工程软骨的形成:软骨种子细胞与骨基质明胶构建组织工程化软骨的稳定性融合是最终要解决的问题。将软骨细胞-支架复合物植入无胸腺裸鼠皮下,是产生组织工程软骨的常用方法。我国学者曹谊林等在耳形PGA支架上接种软骨细胞,经体外培养后植入裸鼠背部皮下,成功地再造了人耳形软骨。目前对人鼻形软骨、支气管软骨、半月板软骨和关节软骨等也有研究。在有免疫功能的动物体内,也已成功地移植自体或同种异体软骨细胞-支架复合物,形成软骨组织或修复关节软骨缺损。植入早期局部有轻度炎症反应,或淋巴细胞浸润,以后逐渐消退,一般不影响软骨的生成。4).组织工程软骨的评价和临床应用:组织工程软骨在应用于临床之前必须通过严格的生物学、机械力学评价和动物实验验证。通过大体观察、组织形态学、组织化学、免疫组织化学和原位杂交等技术,分析组织工程软骨的外形特征,软骨细胞的形态、分布及活性,软骨基质的成分、含量比例等。通过对比测试组织工程软骨的压缩模数、表面渗透性、聚集模数等,了解其机械性能。通过各种动物实验,研究组织工程软骨移植到实验动物模型的有效性、安全性和免疫反应性等。目前研制的组织工程软骨只能替代缺损组织的部分功能,维持时间较短,离永久性功能重建尚有一定距离。而对于人类临床应用,除需解决以上述及的问题外,还需就如何建立评价体系,保证组织工程软骨的质量,以及移植物对机体的长期效果和安全性如何等问题予以深入的研究和解决。在生物支架材料研究方面,目前国内外采用的种类很多,在具有良好的生物相容性、无毒副作用、具多孔三维结构、生物可降解性、良好的细胞贴附界面、可塑性和一定的机械强度等要素上各有所长和一些有待改善的问题。At present, the progress of tissue engineering research at home and abroad has opened up a new way for the research and treatment of cartilage diseases, and it is one of the important means for the transformation of future medicine from "replacement" to "reconstruction". Its development prospect is encouraging. With the rapid development of molecular biology and cell biology, the basic theoretical research on various diseases has not only been done at the level of whole animals, isolated organs and tissues, but people have increasingly realized that from the molecular and cellular levels, especially from the living The study of cell morphology and function from the perspective of tissue cells is of great significance to the study of the etiology, pathogenesis, pathological changes and treatment of various diseases. Tissue engineering is the product of the cross-integration of biomedicine and material science. Its meaning is to apply the principles and methods of life science and engineering to understand the relationship between the structure and function of mammalian normal and pathological tissues, and to research and develop biological substitutes to repair, maintain or Improve the form and function of human tissues and organs. At present, there are individual reports at home and abroad that implanting bone matrix gelatin (BMG) into muscle tissue can induce bone and cartilage formation. However, there are still many problems to be solved in the current research: 1). Seed cells: the prerequisite for tissue engineering is a sufficient number of seed cells with regeneration ability and function. The main source of cartilage seed cells in cartilage tissue engineering is cartilage and mesenchymal stem cells (mainly bone marrow); at present, human or animal cartilage is used at home and abroad, digested with enzymes, separated, and cultured to obtain a high survival rate , high purity, sufficient number of chondrocytes, the method is relatively mature. However, chondrocytes are prone to dedifferentiation after long-term culture and passage, and gradually become flat fibroblast-like cells, losing the differentiated phenotype of chondrocytes. Bone morphogenetic protein (BMP), insulin-like growth factor (IGF), transforming growth factor (TGF) and other cytokines can promote the differentiation of chondrocytes and maintain their phenotype. Bone marrow mesenchymal stem cells (also useful adipose stromal stem cells, embryonic stem cells, etc.) as the source of cartilage seed cells have received increasing attention. The isolated bone marrow mesenchymal stem cells are cultured with TGF and fibroblast growth factor (FGF), and can be differentiated into Chondrocytes that synthesize and secrete cartilage-specific markers such as type II collagen have achieved good results in repairing articular cartilage. And because bone marrow has the advantages of convenient extraction and less damage to the donor, its application prospect is more promising. However, bone marrow stromal stem cells are composed of a variety of cells, which need to be further purified, and appropriate conditions must be selected to induce their differentiation into chondrocytes. Therefore, how to regulate the proliferation and differentiation of chondrocytes in vitro and in vivo, and maintain their phenotypic characteristics are issues that need further study. 2). Three-dimensional cell scaffold: the scaffold for planting chondrocytes is also the key to the success of cartilage tissue engineering. Scaffold materials should have good biocompatibility, no toxic side effects, porous three-dimensional structure, biodegradability, good cell attachment interface, plasticity and certain mechanical strength. At present, there are many biomaterials studied at home and abroad, such as polylactic acid (PLA), polyglycolic acid (PGA), bone matrix gelatin (BMG), collagen sponge, alginate, hyaluronic acid, etc. question. For example, PGA and PLA, which are more optimistic at home and abroad and are the most widely used, are artificially synthesized polymers with good biocompatibility, degradability and plasticity, but both are hydrophobic substances, which are harmful to cells. The adsorption force is weak, and the degradation product is acidic, which is not good for cell growth. Although many improvement measures have been taken at present, as a synthetic material, there are still shortcomings such as lack of cell recognition signals and high cost. BMG is prepared from natural bone materials, has good biocompatibility and degradability, and because it contains BMP, it has a strong effect of inducing bone and cartilage growth, differentiation and maintaining its phenotype, but also There are disadvantages such as inhomogeneous material pores, rapid absorption after implantation, insufficient mechanical strength, and insufficient source of human bone materials. These are problems that need further research and solution. 3). Formation of tissue-engineered cartilage: the stable fusion of cartilage seed cells and bone matrix gelatin to construct tissue-engineered cartilage is the ultimate problem to be solved. Subcutaneous implantation of chondrocyte-scaffold complexes into athymic nude mice is a common method for generating tissue-engineered cartilage. Cao Yilin, a Chinese scholar, inoculated chondrocytes on ear-shaped PGA scaffolds, cultured them in vitro and implanted them subcutaneously in the back of nude mice, successfully recreating human ear-shaped cartilage. At present, human nasal cartilage, bronchial cartilage, meniscal cartilage and articular cartilage have also been studied. Autologous or allogeneic chondrocyte-scaffold complexes have also been successfully transplanted in immunocompetent animals to form cartilage tissue or repair articular cartilage defects. In the early stage of implantation, there is a mild local inflammatory reaction or lymphocyte infiltration, which gradually subsides later, and generally does not affect the formation of cartilage. 4).Evaluation and clinical application of tissue-engineered cartilage: Tissue-engineered cartilage must pass strict biological and mechanical evaluation and animal experiment verification before it is applied clinically. Through gross observation, histomorphology, histochemistry, immunohistochemistry and in situ hybridization techniques, the appearance characteristics of tissue engineered cartilage, the morphology, distribution and activity of chondrocytes, the composition and content ratio of cartilage matrix, etc. were analyzed. By comparing and testing the compression modulus, surface permeability, and aggregation modulus of tissue-engineered cartilage, understand its mechanical properties. Through various animal experiments, the effectiveness, safety and immune reactivity of tissue engineered cartilage transplantation into experimental animal models are studied. The currently developed tissue engineered cartilage can only replace part of the function of the defective tissue, and the maintenance time is relatively short, and there is still a certain distance from permanent functional reconstruction. For human clinical application, in addition to solving the above-mentioned problems, it is necessary to conduct in-depth research and research on how to establish an evaluation system, ensure the quality of tissue engineered cartilage, and the long-term effect and safety of grafts on the body. solve. In terms of bioscaffold research, there are currently many types of materials used at home and abroad. They have good biocompatibility, no side effects, porous three-dimensional structure, biodegradability, good cell attachment interface, plasticity and certain mechanical properties. Strength and other elements have their own strengths and some problems that need to be improved.
发明内容Contents of the invention
本发明的目的在于提供一种用骨基质凝胶构建组织工程软骨的方法,用本发明构建的组织工程软骨能够获得正常或接近正常结构与功能的骨软骨组织。The object of the present invention is to provide a method for constructing tissue engineered cartilage with bone matrix gel, and the tissue engineered cartilage constructed by the present invention can obtain osteochondral tissue with normal or close to normal structure and function.
为达到上述目的,本发明采用的制备方法是:For achieving the above object, the preparation method that the present invention adopts is:
1)种子细胞获取1) Seed cell acquisition
软骨细胞的分离培养Isolation and culture of chondrocytes
①取材:出生4周左右的新西兰死兔1只,脱毛,洗涤干净,用0.1%的新洁尔灭浸泡20-30分钟,以无菌操作截取肱骨近端,股骨近、远端和胫骨近端,置于含P/S各100个单位/ml的D-Hanks′液中,清除一切软组织,片状削下各关节面软骨,置入盛有含P/S各100个单位/ml的D-Hanks′液的容器内,而后吸出液体弃去,用10ml质量百分比浓度为0.05%的透明质酸酶室温下消化3分钟,弃去酶液,用含P/S各100个单位/ml的D-Hanks′液洗涤后,将软骨切成1mm3大小的小粒;①Materials: 1 New Zealand dead rabbit about 4 weeks old, depilated, washed, soaked in 0.1% bromogeramine for 20-30 minutes, cut off the proximal humerus, proximal and distal femur and proximal tibia by aseptic operation, and put them in In the D-Hanks' solution containing 100 units/ml of P/S, remove all soft tissues, cut off the articular cartilage in pieces, and put it into D-Hanks' solution containing 100 units/ml of P/S ' solution container, then suck out the liquid and discard it, digest it with 10ml of hyaluronidase with a mass percent concentration of 0.05% at room temperature for 3 minutes, discard the enzyme solution, and use D- After washing with Hanks' solution, cut the cartilage into1mm3 pellets;
②细胞分离:将软骨小粒转入消化小室内室,加入5ml质量百分比浓度为0.2%的胰蛋白酶,于37℃磁力搅拌下消化30分钟,而后吸出酶液弃去,再加入5ml质量百分比浓度为0.2%的胶原酶,于37℃磁力搅拌下消化60分钟,吸出含细胞酶液,置入对半盛有含15%体积比的小牛血清和P/S各100个单位/ml的DMEM培养液的10ml离心管内,在1500rpm离心3分钟,弃去上清收集细胞,重复消化一次后合并两次收集的细胞,用含P/S各100个单位/ml的D-Hanks′液或含15%体积比的小牛血清和P/S各100个单位/ml的DMEM培养液洗涤1-2次;②Cell separation: Transfer the cartilage granules into the digestion chamber, add 5ml of trypsin with a mass percentage concentration of 0.2%, digest at 37°C for 30 minutes under magnetic stirring, then suck out the enzyme solution and discard it, then add 5ml of trypsin with a mass percentage concentration of Digest with 0.2% collagenase at 37°C for 60 minutes under magnetic stirring, suck out the enzyme solution containing cells, and place in half of the DMEM containing 15% volume ratio of calf serum and 100 units/ml of P/S for culture centrifuge at 1500rpm for 3 minutes, discard the supernatant to collect the cells, repeat the digestion once, combine the collected cells twice, and use D-Hanks' solution containing 100 units/ml of P/S or containing 15 Wash 1-2 times with the calf serum of % volume ratio and the DMEM culture fluid of 100 units/ml of P/S;
③原代培养:以40万个/瓶将细胞接种于5cm×5cm×3cm的培养瓶中,培养基为含15%体积比的小牛血清和P/S各100个单位/ml的DMEM培养液4ml,于37℃的CO2培养箱中培养,首次换液间隔72小时,以后则隔日换液,直至形成细胞单层;③Primary culture: 400,000 cells/bottle were inoculated into a 5cm×5cm×3cm culture flask, and the medium was cultured in DMEM containing 15% volume ratio of calf serum and 100 units/ml of P/S Cultured in a CO2 incubator at 37°C with 4ml of liquid solution, the interval between changing the liquid for the first time was 72 hours, and changing the liquid every other day thereafter until a monolayer of cells was formed;
④传代培养:将原代培养已形成细胞单层的各瓶中培养液弃去,用含P/S各100个单位/ml的D-Hanks′液将细胞洗1-2次,加入4ml质量百分比浓度为0.25%trypsin+0.02%EDTA的消化酶液,于37℃消化10分钟,将含细胞酶液倒入50ml离心管内,再用含P/S各100个单位/ml的D-Hanks′液或含15%体积比的小牛血清和P/S各100个单位/ml的DMEM培养液2ml洗涤1-2次,使瓶内细胞全部洗脱下来,于1500rpm离心3分钟,弃去上清即获得软骨细胞;④ Subculture: Discard the culture medium in each bottle that has formed a cell monolayer in the primary culture, wash the cells 1-2 times with D-Hanks' solution containing 100 units/ml of P/S each, and add 4ml Digest the digestive enzyme solution with a percentage concentration of 0.25% trypsin+0.02% EDTA at 37°C for 10 minutes, pour the cell-containing enzyme solution into a 50ml centrifuge tube, and then use D-Hanks' containing 100 units/ml of P/S solution or 2ml of DMEM culture solution containing 15% volume ratio of calf serum and P/S of 100 units/ml, washed 1-2 times to wash all the cells in the bottle, centrifuged at 1500rpm for 3 minutes, discarded Obtain chondrocytes after clearing;
2)骨基质凝胶BMG的制备:2) Preparation of bone matrix gel BMG:
①相对无菌条件下取新西兰兔长骨和干骺端松质骨,除去所有软组织及骨髓后用蒸馏水洗净;①The long bones and metaphyseal spongy bones of New Zealand rabbits were taken under relatively aseptic conditions, and all soft tissues and bone marrow were removed and washed with distilled water;
②用3mol/L的叠氮钠冲洗2~3次再用蒸馏水洗;用1∶1氯仿/甲醇于室温磁力搅拌下过夜脱脂,蒸馏水洗;②Rinse with 3mol/L sodium azide for 2-3 times and then wash with distilled water; use 1:1 chloroform/methanol to degrease overnight under magnetic stirring at room temperature, then wash with distilled water;
③用0.6mol/L的盐酸在4℃磁力搅拌脱钙,期间每4小时换液一次,直至骨块变软且具一定弹性时终止脱钙,再用蒸馏水洗至中性;③Decalcify with 0.6mol/L hydrochloric acid at 4°C with magnetic stirring, during which time the liquid is changed every 4 hours until the bone becomes soft and has a certain degree of elasticity, then decalcification is terminated, and then washed with distilled water until neutral;
④4℃磁力搅拌下:用2mol/L氯化钙处理1小时,蒸馏水洗;0.5mol/L的EDTA处理1小时,蒸馏水洗;8mol/L氯化锂处理1小时,蒸馏水洗;④ Under magnetic stirring at 4°C: treat with 2mol/L calcium chloride for 1 hour, wash with distilled water; treat with 0.5mol/L EDTA for 1 hour, wash with distilled water; treat with 8mol/L lithium chloride for 1 hour, wash with distilled water;
⑤无菌蒸馏水55℃处理1小时;⑤ Treat with sterile distilled water at 55°C for 1 hour;
⑥将处理好的BMG修剪成实验设计所需的尺寸,冻干,60钴源照射灭菌后于0℃~-20℃冰箱内保存备用;⑥ Trim the processed BMG to the size required for the experimental design, freeze-dry, sterilize with 60 cobalt source and store in the refrigerator at 0℃~-20℃ for later use;
3)组织工程软骨的构建:3) Construction of tissue engineered cartilage:
将分离培养收获的种子细胞按4-10万/mm2密度接种于皮质骨或松质骨BMG上进行体外培养,培养基为含15%体积比的小牛血清和P/S各100个单位/ml的DMEM培养液,每3天换液一次。Inoculate the seed cells harvested by separation and culture on cortical bone or cancellous bone BMG at a density of 4-100,000/mm2 for in vitro culture, and the medium is 100 units each of calf serum and P/S containing 15% volume ratio /ml of DMEM culture medium, and change the medium every 3 days.
本发明种子细胞获取还可用基质干细胞分离培养诱导为软骨细胞,采用密度梯度离心和粘附分离法获取骨髓间充质干细胞:取四月龄左右新西兰纯种兔或成人行骨髓穿刺,抽取骨髓按1∶1的体积比缓慢注于70%的Percoll细胞分离液表面,于1500转离心20分钟,吸取上层和中层之间的含有骨髓间充质干细胞的液层,用含15%体积比的小牛血清和P/S各100个单位/ml的DMEM培养液将骨髓间充质干细胞制成单细胞悬液,计数有核细胞后接种于培养瓶中进行单层培养,第一次5天,以后每3天更换含15%体积比的小牛血清和P/S各100个单位/ml的DMEM培养液一次,约2周形成细胞单层后进行传代;将原代培养已形成细胞单层的各瓶中培养液弃去,用含P/S各100个单位/ml的D-Hanks′液将细胞洗1-2次,加入4ml质量百分比浓度为0.25%trypsin+0.02%EDTA的消化酶液,于37℃消化10分钟,将含细胞酶液倒入离心管内,再用含P/S各100个单位/ml的D-Hanks′液或含15%体积比的小牛血清和P/S各100个单位/ml的DMEM培养液2ml洗涤,使瓶内细胞全部洗脱下来,1500rpm离心3分钟弃去上清,用含15%体积比的小牛血清和P/S各100个单位/ml的DMEM培养液制成细胞悬液,计数细胞后接种进行传代培养,此时加入诱导骨髓间充质干细胞向软骨细胞转化的诱导因子:10ng/ml转化生长因子β1,10ng/ml胰岛素样生长因子和50μg/ml维生素C,以诱导骨髓间充质干细胞转化为软骨细胞。The seed cells of the present invention can also be induced into chondrocytes by separation and culture of stromal stem cells, and bone marrow mesenchymal stem cells are obtained by using density gradient centrifugation and adhesion separation methods: taking about four months old New Zealand purebred rabbits or adults for bone marrow puncture, extracting bone marrow by The volume ratio of 1:1 was slowly injected on the surface of 70% Percoll cell separation medium, centrifuged at 1500 rpm for 20 minutes, the liquid layer containing bone marrow mesenchymal stem cells between the upper layer and the middle layer was sucked, and a small volume ratio of 15% was used. Bone marrow mesenchymal stem cells were made into a single cell suspension with bovine serum and P/S of 100 units/ml each in DMEM culture medium, counted nucleated cells and inoculated them in culture flasks for monolayer culture, the first 5 days, Afterwards, replace the DMEM medium containing 15% calf serum by volume and 100 units/ml of P/S every 3 days, and subculture after about 2 weeks to form a cell monolayer; the primary culture has formed a cell monolayer Discard the culture fluid in each bottle, wash the cells 1-2 times with D-Hanks' solution containing 100 units/ml of P/S, and add 4ml of digestive enzyme with mass percent concentration of 0.25% trypsin+0.02% EDTA solution, digested at 37°C for 10 minutes, pour the cell-containing enzyme solution into a centrifuge tube, and then use D-Hanks' solution containing 100 units/ml of P/S or calf serum containing 15% volume ratio and P/S Wash with 2ml of DMEM culture medium with 100 units/ml of S each to elute all the cells in the bottle, centrifuge at 1500rpm for 3 minutes, discard the supernatant, and use 100 units each of calf serum containing 15% volume ratio and P/S /ml of DMEM culture medium to make cell suspension, count the cells and inoculate for subculture. At this time, add inducing factors that induce the transformation of bone marrow mesenchymal stem cells into chondrocytes: 10ng/ml transforming growth factor β1, 10ng/ml insulin-like growth factors and 50 μg/ml vitamin C to induce the transformation of bone marrow mesenchymal stem cells into chondrocytes.
本发明在计数有核细胞后接种于培养瓶中进行单层培养时可在培养瓶底预铺以5μg/ml纤维粘连蛋白,以促进骨髓间充质干细胞的粘附。In the present invention, 5 μg/ml fibronectin can be pre-coated on the bottom of the culture bottle to promote the adhesion of the bone marrow mesenchymal stem cells when the nucleated cells are counted and inoculated in the culture bottle for monolayer culture.
由于本发明采用骨基质明胶,发挥其具有较好的生物相容性、可降解性,较强的诱导骨、软骨生长、分化作用的优势,克服植入体内后吸收过快、机械强度不足的问题;开展异种骨基质明胶使用的实验研究以克服人骨材料来源不足等问题,将取得用本发明构建的组织工程软骨能够获得正常或接近正常结构与功能的骨软骨组织的良好效果。Since the present invention adopts bone matrix gelatin, it has better biocompatibility, degradability, and stronger advantages of inducing bone and cartilage growth and differentiation, and overcomes the problems of too fast absorption and insufficient mechanical strength after implantation. Problem: Carry out experimental research on the use of heterogeneous bone matrix gelatin to overcome problems such as insufficient sources of human bone materials, and will achieve good results that the tissue engineered cartilage constructed by the present invention can obtain normal or close to normal structure and function of osteochondral tissue.
附图说明Description of drawings
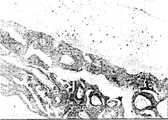
图1是本发明软骨细胞复合皮质骨BMG培养6天的切片HE染色图,10X;Fig. 1 is the slice HE staining figure that chondrocyte composite cortical bone BMG of the present invention is cultivated for 6 days, 10X;
图2是本发明软骨细胞复合松质骨BMG培养6天的切片HE染色图,10X;Fig. 2 is the slice HE staining figure of chondrocyte composite cancellous bone BMG of the present invention cultured for 6 days, 10X;
图3是本发明软骨细胞复合皮质骨BMG培养12天的切片HE染色图;,10X;Fig. 3 is the slice HE staining figure of chondrocyte composite cortical bone BMG of the present invention cultured 12 days; , 10X;
图4是本发明软骨细胞复合松质骨BMG培养12天的切片PG染色图,10X;Fig. 4 is the slice PG staining picture of chondrocyte composite cancellous bone BMG of the present invention cultured for 12 days, 10X;
图5是本发明软骨细胞复合皮质骨BMG培养18天的切片HE染色图,10X;Fig. 5 is the slice HE staining picture of chondrocyte composite cortical bone BMG of the present invention cultured for 18 days, 10X;
图6是本发明软骨细胞复合松质骨BMG培养18天的切片HE染色图,10X;Fig. 6 is the slice HE staining figure of chondrocyte composite cancellous bone BMG of the present invention cultured for 18 days, 10X;
图7是本发明软骨细胞复合皮质骨BMG培养18天的切片PG染色图,10X;Fig. 7 is the section PG staining picture of chondrocyte composite cortical bone BMG of the present invention cultured for 18 days, 10X;
图8是本发明软骨细胞复合松质骨BMG培养18天的切片PG染色图,20X;Fig. 8 is the slice PG staining picture of the chondrocyte composite cancellous bone BMG of the present invention cultured for 18 days, 20X;
图9是本发明软骨细胞复合皮质骨BMG培养24天的切片HE染色图;,10X;Fig. 9 is the slice HE staining picture of chondrocyte composite cortical bone BMG of the present invention cultured for 24 days;, 10X;
图10是本发明软骨细胞复合松质骨BMG培养24天的切片胶原染色图,10X;Fig. 10 is the section collagen staining figure of chondrocyte composite cancellous bone BMG of the present invention cultured for 24 days, 10X;
具体实施方式Detailed ways
实施例1:Example 1:
1)种子细胞获取1) Seed cell acquisition
软骨细胞的分离培养Isolation and culture of chondrocytes
①取材:出生4周左右的新西兰死兔1只,用质量百分比浓度为8%的硫化钠脱毛,流水洗涤干净,用0.1%的新洁尔灭浸泡20-30分钟;以无菌操作截取肱骨近端,股骨近、远端和胫骨近端,置于盛有含P/S各100个单位/ml的D-Hanks′液的容器中,清除一切软组织,片状削下各关节面软骨,置入含P/S各100个单位/ml的D-Hanks′液的容器内,而后吸出液体弃去,用10ml质量百分比浓度为0.05%的透明质酸酶室温下消化3分钟,弃去酶液,用含P/S各100个单位/ml的D-Hanks′液洗涤后,将软骨片切成1mm3大小的软骨小粒;①Materials: 1 New Zealand dead rabbit about 4 weeks old was born, depilated with 8% sodium sulfide by mass percentage, washed with running water, soaked in 0.1% bromogeramine for 20-30 minutes; cut off the proximal humerus by aseptic operation, The proximal and distal ends of the femur and the proximal end of the tibia were placed in a container containing D-Hanks' solution containing 100 units/ml of P/S each, and all soft tissues were removed, and the cartilage of each articular surface was sliced off, and placed in a container containing P/S each of 100 units/ml of D-Hanks' solution, then suck out the liquid and discard it, digest it with 10ml hyaluronidase with a mass percentage concentration of 0.05% at room temperature for 3 minutes, discard the enzyme solution, and use After washing with D-Hanks' solution containing 100 units/ml of P/S, the cartilage slices were cut into small cartilage granules with a size of1 mm;
②细胞分离:将软骨小粒转入消化小室内室,加入5ml质量百分比浓度为0.2%的胰蛋白酶,于37℃磁力搅拌下消化30分钟,而后吸出酶液弃去,再加入5ml质量百分比浓度为0.2%的胶原酶,于37℃磁力搅拌下消化60分钟,吸出含细胞酶液,置入对半盛有含15%体积比的小牛血清和P/S各100个单位/ml的DMEM培养液的10ml离心管内,在1500rpm离心3分钟,弃去上清,收集细胞,重复消化一次后合并两次收集的细胞,用D-Hanks′液洗涤1-2次;②Cell separation: Transfer the cartilage granules into the digestion chamber, add 5ml of trypsin with a mass percentage concentration of 0.2%, digest at 37°C for 30 minutes under magnetic stirring, then suck out the enzyme solution and discard it, then add 5ml of trypsin with a mass percentage concentration of Digest with 0.2% collagenase at 37°C for 60 minutes under magnetic stirring, suck out the enzyme solution containing cells, and place in half of the DMEM containing 15% volume ratio of calf serum and 100 units/ml of P/S for culture centrifuge at 1500rpm for 3 minutes, discard the supernatant, collect the cells, repeat the digestion once, combine the collected cells twice, and wash 1-2 times with D-Hanks' solution;
③原代培养:以40万个/瓶将细胞接种于5cm×5cm×3cm的培养瓶中,培养基为含15%体积比的小牛血清和P/S各100个单位/ml的DMEM培养液4ml,于37℃的CO2培养箱中培养,培养中每日在倒置显微镜下观察细胞生长情况,原代培养一般在24小时内细胞贴壁,48-72小时细胞开始有伸突,并开始分裂增殖,兔软骨细胞在10天左右可行成单层,;③Primary culture: 400,000 cells/bottle were inoculated into a 5cm×5cm×3cm culture flask, and the medium was cultured in DMEM containing 15% volume ratio of calf serum and 100 units/ml of P/S cultured in a CO2 incubator at 37°C, and observed the cell growth under an inverted microscope every day during the culture. Generally, the cells in the primary culture adhered to the wall within 24 hours, and the cells began to protrude within 48-72 hours. Start to divide and proliferate, and the rabbit chondrocytes can form a single layer in about 10 days;
④传代培养:将原代培养已形成细胞单层的各瓶中培养液弃去,用含P/S各100个单位/ml的D-Hanks′液将细胞洗1-2次,加入4ml质量百分比为0.25%trypsin+0.02%EDTA的消化酶液,于37℃消化10分钟,在倒置显微镜下观察细胞脱壁后,将含细胞酶液倒入50ml离心管内,再用含P/S各100个单位/ml的D-Hanks′液2ml洗涤1-2次,使瓶内细胞全部洗脱下来,于1500rpm离心3分钟,弃去上清即获得细胞;④ Subculture: Discard the culture medium in each bottle that has formed a cell monolayer in the primary culture, wash the cells 1-2 times with D-Hanks' solution containing 100 units/ml of P/S each, and add 4ml The digestive enzyme solution with a percentage of 0.25% trypsin + 0.02% EDTA was digested at 37°C for 10 minutes. After observing the detachment of the cells under an inverted microscope, pour the enzyme solution containing the cells into a 50ml centrifuge tube, and then use 100% P/S each Wash 1-2 times with 2 ml of D-Hanks' solution of 1 unit/ml to elute all the cells in the bottle, centrifuge at 1500 rpm for 3 minutes, discard the supernatant to obtain the cells;
此方法动物和消化酶用量均较少,基质消化完全,细胞获得量较多,一只兔子可获得软骨细胞一千万以上。但因酶作用强度大以及消化时间长,细胞在分离时受损伤较大,原代接种后死亡比率相对较大,为了使实验结果更可靠,而且为了增加细胞数量,一般多于传第一代细胞进行实验研究。传代细胞基本都能成活,而且细胞获得数量大(可上亿),实验重复性好,结果较为稳定。This method consumes less animals and digestive enzymes, the matrix is completely digested, and the amount of cells obtained is larger. One rabbit can obtain more than 10 million chondrocytes. However, due to the strong enzyme action and long digestion time, the cells are more damaged during separation, and the death rate after the primary inoculation is relatively large. In order to make the experimental results more reliable and to increase the number of cells, generally more than the first generation cells for experimental research. Passage cells can basically survive, and the number of cells obtained is large (up to hundreds of millions), the experiment repeatability is good, and the results are relatively stable.
2)骨基质凝胶(BMG)的制备:2) Preparation of bone matrix gel (BMG):
①相对无菌条件下取新西兰兔长骨和干骺端松质骨,除去所有软组织及骨髓后用蒸馏水洗净;①The long bones and metaphyseal spongy bones of New Zealand rabbits were taken under relatively aseptic conditions, and all soft tissues and bone marrow were removed and washed with distilled water;
②用3mol/L的叠氮钠冲洗2~3次,蒸馏水洗;用1∶1氯仿/甲醇于室温磁力搅拌下过夜脱脂,蒸馏水洗;② Rinse with 3mol/L sodium azide 2-3 times, wash with distilled water; degrease overnight with 1:1 chloroform/methanol under magnetic stirring at room temperature, and wash with distilled water;
③用0.6mol/L的盐酸在4℃磁力搅拌脱钙,期间每4小时换液一次,直至骨块变软且具一定弹性时终止脱钙,再用蒸馏水洗至中性;③Decalcify with 0.6mol/L hydrochloric acid at 4°C with magnetic stirring, during which time the liquid is changed every 4 hours until the bone becomes soft and has a certain degree of elasticity, then decalcification is terminated, and then washed with distilled water until neutral;
④4℃磁力搅拌下用2mol/L氯化钙处理1小时,蒸馏水洗;0.5mol/L EDTA处理1小时,蒸馏水洗;8mol/L氯化锂处理1小时,蒸馏水洗;④Treat with 2mol/L calcium chloride for 1 hour under magnetic stirring at 4°C, wash with distilled water; treat with 0.5mol/L EDTA for 1 hour, wash with distilled water; treat with 8mol/L lithium chloride for 1 hour, wash with distilled water;
⑤无菌蒸馏水55℃处理1小时;⑤ Treat with sterile distilled water at 55°C for 1 hour;
⑥将处理好的BMG修剪成实验设计所需的尺寸,冻干,60钴源照射灭菌后于0℃~-20℃冰箱内保存备用;⑥ Trim the processed BMG into the size required for the experimental design, freeze-dry, sterilize with60 cobalt source and store in the refrigerator at 0℃~-20℃ for later use;
3)组织工程软骨的构建:3) Construction of tissue engineered cartilage:
将分离培养收获的种子细胞按4-10万/mm2密度接种于皮质骨或松质骨BMG上进行体外培养,培养基为含15%体积比的小牛血清和P/S各100个单位/ml的DMEM培养液,每3天换液一次。Inoculate the seed cells harvested by separation and culture on cortical bone or cancellous bone BMG at a density of 4-100,000/mm2 for in vitro culture, and the medium is 100 units each of calf serum and P/S containing 15% volume ratio /ml of DMEM culture medium, and change the medium every 3 days.
实施例2:Example 2:
1)种子细胞获取1) Seed cell acquisition
软骨细胞的分离培养Isolation and culture of chondrocytes
基质干细胞分离培养诱导为软骨细胞:Separation and culture of stromal stem cells to induce chondrocytes:
①采用密度梯度离心和粘附分离法获取骨髓间充质干细胞:取四月龄左右新西兰纯种兔,抽取骨髓按1∶1的体积比缓慢注于70%的Percoll细胞分离液表面,于1500转离心30分钟,吸取上层和中层之间的含有骨髓间充质干细胞的液层,用含15%体积比的小牛血清和P/S各100个单位/ml的DMEM培养液将骨髓间充质干细胞制成单细胞悬液,计数有核细胞后接种于培养瓶中进行单层培养,第一次5天,以后每3天更换含15%体积比的小牛血清和P/S各100个单位/ml的DMEM培养液一次,约2周形成细胞单层后进行传代;①Using density gradient centrifugation and adhesion separation to obtain bone marrow mesenchymal stem cells: take New Zealand purebred rabbits about four months old, extract bone marrow and slowly inject it on the surface of 70% Percoll cell separation medium at a volume ratio of 1:1, at 1500 Spin centrifuge for 30 minutes, absorb the liquid layer containing bone marrow mesenchymal stem cells between the upper layer and the middle layer, and fill the bone marrow mesenchymal stem cells with DMEM culture solution containing 15% volume ratio of calf serum and P/S 100 units/ml each. Stem cells were made into a single cell suspension, and the nucleated cells were counted and inoculated in culture flasks for monolayer culture. The first 5 days were replaced every 3 days with calf serum containing 15% volume ratio and 100 P/S each. 1 unit/ml of DMEM culture medium once, after about 2 weeks to form a monolayer of cells, then subculture;
②传代培养诱导转化为软骨细胞:将原代培养已形成细胞单层的各瓶中培养液弃去,用含P/S各100个单位/ml的D-Hanks′液将细胞洗1-2次,加入4ml质量百分比为0.25%trypsin+0.02%EDTA的消化酶液,于37℃消化10分钟,将含细胞酶液倒入离心管内,在倒置显微镜下观察细胞脱壁后,将含细胞酶液倒入离心管内,再用含P/S各100个单位/ml的D-Hanks′液2ml洗涤,使瓶内细胞全部洗脱下来,1500rpm离心3分钟弃去上清,用含15%体积比的小牛血清和P/S各100个单位/ml的DMEM培养液制成细胞悬液,计数细胞后接种进行传代培养,此时加入诱导骨髓间充质干细胞向软骨细胞转化的诱导因子:10ng/ml转化生长因子β1,10ng/ml胰岛素样生长因子和50μg/ml维生素C,以诱导骨髓间充质干细胞转化为软骨细胞;② Subculture to induce transformation into chondrocytes: Discard the culture medium in each bottle that has formed a monolayer of cells in the primary culture, and wash the cells with D-Hanks' solution containing 100 units/ml of P/S each for 1-2 First, add 4ml of digestive enzyme solution with a mass percentage of 0.25% trypsin + 0.02% EDTA, digest at 37°C for 10 minutes, pour the cell-containing enzyme solution into a centrifuge tube, observe the detachment of the cells under an inverted microscope, and then add the cell-containing enzyme Pour the solution into a centrifuge tube, wash with 2ml of D-Hanks' solution containing 100 units/ml of P/S each, so that all the cells in the bottle are eluted, centrifuge at 1500rpm for 3 minutes, discard the supernatant, and wash with 15% volume Ratio calf serum and 100 units/ml of P/S DMEM culture fluid were used to make cell suspension, count the cells and inoculate for subculture, at this time, add inducing factors that induce bone marrow mesenchymal stem cells to transform into chondrocytes: 10ng/ml transforming growth factor β1, 10ng/ml insulin-like growth factor and 50μg/ml vitamin C to induce bone marrow mesenchymal stem cells to transform into chondrocytes;
③其它如脂肪干细胞等可参照骨髓间充质干细胞分离法获取。③Others such as adipose stem cells can be obtained by referring to the separation method of bone marrow mesenchymal stem cells.
2)骨基质凝胶(BMG)的制备:2) Preparation of bone matrix gel (BMG):
①相对无菌条件下取新西兰兔长骨和干骺端松质骨,除去所有软组织及骨髓后用蒸馏水洗净;①The long bones and metaphyseal spongy bones of New Zealand rabbits were taken under relatively aseptic conditions, and all soft tissues and bone marrow were removed and washed with distilled water;
②用3mol/L的叠氮钠冲洗2~3次,蒸馏水洗;用1∶1氯仿/甲醇于室温磁力搅拌下过夜脱脂,蒸馏水洗;② Rinse with 3mol/L sodium azide 2-3 times, wash with distilled water; degrease overnight with 1:1 chloroform/methanol under magnetic stirring at room temperature, and wash with distilled water;
③用0.6mol/L的盐酸在4℃磁力搅拌脱钙,期间每4小时换液一次,直至骨块变软且具一定弹性时终止脱钙,再用蒸馏水洗至中性;③Decalcify with 0.6mol/L hydrochloric acid at 4°C with magnetic stirring, during which time the liquid is changed every 4 hours until the bone becomes soft and has a certain degree of elasticity, then decalcification is terminated, and then washed with distilled water until neutral;
④4℃磁力搅拌下用2mol/L氯化钙处理1小时,蒸馏水洗;0.5mol/L EDTA处理1小时,蒸馏水洗;8mol/L氯化锂处理1小时,蒸馏水洗;④Treat with 2mol/L calcium chloride for 1 hour under magnetic stirring at 4°C, wash with distilled water; treat with 0.5mol/L EDTA for 1 hour, wash with distilled water; treat with 8mol/L lithium chloride for 1 hour, wash with distilled water;
⑤无菌蒸馏水55℃处理1小时;⑤ Treat with sterile distilled water at 55°C for 1 hour;
⑥将处理好的BMG修剪成实验设计所需的尺寸,冻干,60钴源照射灭菌后于0℃~-20℃冰箱内保存备用;⑥ Trim the processed BMG into the size required for the experimental design, freeze-dry, sterilize with60 cobalt source and store in the refrigerator at 0℃~-20℃ for later use;
3)组织工程软骨的构建:3) Construction of tissue engineered cartilage:
将分离培养收获的种子细胞按4-10万/mm2密度分别接种于皮质骨和松质骨BMG上进行体外培养,培养基为含15%体积比的小牛血清和P/S各100个单位/ml的DMEM培养液,每3天换液一次。The seed cells harvested by separation and culture were inoculated on cortical bone and cancellous bone BMG at a density of 4-100,000/mm2 for in vitro culture, and the medium was calf serum containing 15% volume ratio and 100 P/S each unit/ml of DMEM culture medium, and change the medium every 3 days.
实施例3:Example 3:
1)种子细胞获取1) Seed cell acquisition
软骨细胞的分离培养Isolation and culture of chondrocytes
基质干细胞分离培养诱导为软骨细胞:Separation and culture of stromal stem cells to induce chondrocytes:
①采用密度梯度离心和粘附分离法获取骨髓间充质干细胞:对成人行骨髓穿刺,抽取骨髓按1∶1的体积比缓慢注于70%的Percoll细胞分离液表面,于1500转离心30分钟,吸取上层和中层之间的含有骨髓间充质干细胞的液层,用含15%体积比的小牛血清和P/S各100个单位/ml的DMEM培养液将骨髓间充质干细胞制成单细胞悬液,计数有核细胞后接种于培养瓶中进行单层培养,第一次5天,以后每3天更换含15%体积比的小牛血清和P/S各100个单位/ml的DMEM培养液一次,约2周形成细胞单层后进行传代;①Using density gradient centrifugation and adhesion separation to obtain bone marrow mesenchymal stem cells: Bone marrow puncture was performed on adults, and the bone marrow was extracted and injected slowly on the surface of 70% Percoll cell separation medium at a volume ratio of 1:1, and centrifuged at 1500 rpm for 30 minutes , absorb the liquid layer containing bone marrow mesenchymal stem cells between the upper layer and the middle layer, and prepare the bone marrow mesenchymal stem cells with DMEM culture medium containing 15% volume ratio of calf serum and 100 units/ml of P/S Single cell suspension, count the nucleated cells and inoculate in a culture bottle for monolayer culture, the first 5 days, then every 3 days, replace with calf serum containing 15% volume ratio and P/S 100 units/ml each DMEM culture medium once, and subculture after about 2 weeks to form a cell monolayer;
②传代培养诱导转化为软骨细胞:将原代培养已形成细胞单层的各瓶中培养液弃去,用含P/S各100个单位/ml的D-Hanks′液将细胞洗1-2次,加入4ml质量百分比为0.25%trypsin+0.02%EDTA的消化酶液,于37℃消化10分钟,将含细胞酶液倒入离心管内,在倒置显微镜下观察细胞脱壁后,将含细胞酶液倒入离心管内,再用含P/S各100个单位/ml的D-Hanks′液2ml洗涤,使瓶内细胞全部洗脱下来,1500rpm离心3分钟弃去上清,用含15%体积比的小牛血清和P/S各100个单位/ml的DMEM培养液制成细胞悬液,计数细胞后接种进行传代培养,此时加入诱导骨髓间充质干细胞向软骨细胞转化的诱导因子:10ng/ml转化生长因子β1,10ng/ml胰岛素样生长因子和50μg/ml维生素C,以诱导骨髓间充质干细胞转化为软骨细胞;② Subculture to induce transformation into chondrocytes: Discard the culture medium in each bottle that has formed a monolayer of cells in the primary culture, and wash the cells with D-Hanks' solution containing 100 units/ml of P/S each for 1-2 First, add 4ml of digestive enzyme solution with a mass percentage of 0.25% trypsin + 0.02% EDTA, digest at 37°C for 10 minutes, pour the cell-containing enzyme solution into a centrifuge tube, observe the detachment of the cells under an inverted microscope, and then add the cell-containing enzyme Pour the solution into a centrifuge tube, wash with 2ml of D-Hanks' solution containing 100 units/ml of P/S each, so that all the cells in the bottle are eluted, centrifuge at 1500rpm for 3 minutes, discard the supernatant, and wash with 15% volume Ratio calf serum and 100 units/ml of P/S DMEM culture fluid were used to make cell suspension, count the cells and inoculate for subculture, at this time, add inducing factors that induce bone marrow mesenchymal stem cells to transform into chondrocytes: 10ng/ml transforming growth factor β1, 10ng/ml insulin-like growth factor and 50μg/ml vitamin C to induce bone marrow mesenchymal stem cells to transform into chondrocytes;
③其它如脂肪干细胞等可参照骨髓间充质干细胞分离法获取。③Others such as adipose stem cells can be obtained by referring to the separation method of bone marrow mesenchymal stem cells.
2)骨基质凝胶(BMG)的制备:2) Preparation of bone matrix gel (BMG):
①相对无菌条件下取新西兰兔长骨和干骺端松质骨,除去所有软组织及骨髓后用蒸馏水洗净;①The long bones and metaphyseal spongy bones of New Zealand rabbits were taken under relatively aseptic conditions, and all soft tissues and bone marrow were removed and washed with distilled water;
②用3mol/L的叠氮钠冲洗2~3次,蒸馏水洗;用1∶1氯仿/甲醇于室温磁力搅拌下过夜脱脂,蒸馏水洗;② Rinse with 3mol/L sodium azide 2-3 times, wash with distilled water; degrease overnight with 1:1 chloroform/methanol under magnetic stirring at room temperature, and wash with distilled water;
③用0.6mol/L的盐酸在4℃磁力搅拌脱钙,期间每4小时换液一次,直至骨块变软且具一定弹性时终止脱钙,再用蒸馏水洗至中性;③Decalcify with 0.6mol/L hydrochloric acid at 4°C with magnetic stirring, during which time the liquid is changed every 4 hours until the bone becomes soft and has a certain degree of elasticity, then decalcification is terminated, and then washed with distilled water until neutral;
④4℃磁力搅拌下用2mol/L氯化钙处理1小时,蒸馏水洗;0.5mol/L EDTA处理1小时,蒸馏水洗;8mol/L氯化锂处理1小时,蒸馏水洗;④Treat with 2mol/L calcium chloride for 1 hour under magnetic stirring at 4°C, wash with distilled water; treat with 0.5mol/L EDTA for 1 hour, wash with distilled water; treat with 8mol/L lithium chloride for 1 hour, wash with distilled water;
⑤无菌蒸馏水55℃处理1小时;⑤ Treat with sterile distilled water at 55°C for 1 hour;
⑥将处理好的BMG修剪成实验设计所需的尺寸,冻干,60钴源照射灭菌后于0℃~-20℃冰箱内保存备用;⑥ Trim the processed BMG into the size required for the experimental design, freeze-dry, sterilize with60 cobalt source and store in the refrigerator at 0℃~-20℃ for later use;
3)组织工程软骨的构建:3) Construction of tissue engineered cartilage:
将分离培养收获的种子细胞按4-10万/mm2密度分别接种于皮质骨和松质骨BMG上进行体外培养,培养基为含15%体积比的小牛血清和P/S各100个单位/ml的DMEM培养液,每3天换液一次。The seed cells harvested by separation and culture were inoculated on cortical bone and cancellous bone BMG at a density of 4-100,000/mm2 for in vitro culture, and the medium was calf serum containing 15% volume ratio and 100 P/S each unit/ml of DMEM culture medium, and change the medium every 3 days.
按照本发明的制备方法制得的工程软骨,参见图1,2,种植于BMG的软骨细胞培养6d形成细胞薄层;参见图3、4,培养12d形成8~10层细胞的类软骨组织,细胞周围氨基多糖染色明显;参见图5、6、7、8,培养18d形成12~15层细胞的类软骨组织,细胞周围氨基多糖染色更明显并出现胶原成分;参见图9、10,培养到24d直至42d形成20层以上细胞的类软骨组织。不同的是,培养在皮质骨BMG形成的类软骨组织围绕于BMG表面,类似于关节表面软骨;培养在松质骨BMG形成的类软骨组织,细胞分布于松质骨BMG网眼中形成浑然一体。According to the engineered cartilage prepared by the preparation method of the present invention, see Figures 1 and 2, the chondrocytes planted in the BMG are cultured for 6 days to form a thin layer of cells; see Figures 3 and 4, the cartilage-like tissue with 8 to 10 layers of cells is formed after being cultivated for 12 days, The staining of amino polysaccharides around the cells is obvious; see Figures 5, 6, 7, and 8, cartilage-like tissue with 12 to 15 layers of cells is formed after 18 days of culture, and the staining of amino polysaccharides around the cells is more obvious and collagen components appear; see Figures 9 and 10, cultured to From 24d to 42d, cartilage-like tissue with more than 20 layers of cells was formed. The difference is that the cartilage-like tissue cultured on cortical bone BMG surrounds the BMG surface, similar to articular surface cartilage; the cartilage-like tissue cultured on cancellous bone BMG has cells distributed in the mesh of cancellous bone BMG to form a seamless body.
I.复合皮质骨BMG组织工程软骨毒损实验:I. Composite cortical bone BMG tissue engineered cartilage toxicity test:
采用细胞培养方法,将培养的新西兰纯种幼兔软骨细胞种植于自体皮质骨骨基质明胶(BMG)上,于体外再建软骨组织模型。采用配伍组设计,加入含不同浓度的可疑KBD致病因子T-2毒素、雪腐镰刀菌烯醇(NIV)、脱氧雪腐镰刀菌烯醇(DON)和保护因子硒,作用于体外再建软骨组织,建立软骨变性坏死模型。结果见对照组BMG表面有多层软骨细胞。组间随着T-2、NIV和DON毒素浓度的增加,细胞密度降低,损伤加剧,并出现坏死;加硒后趋势不变,与相应未加硒组比较损伤减轻。Using cell culture method, the cultured New Zealand purebred young rabbit chondrocytes were planted on the autologous cortical bone matrix gelatin (BMG), and the cartilage tissue model was rebuilt in vitro. Compatibility group design was adopted, and different concentrations of suspected KBD pathogenic factor T-2 toxin, nivalenol (NIV), deoxynivalenol (DON) and protective factor selenium were added to rebuild cartilage in vitro Tissues to establish a cartilage degeneration and necrosis model. The results showed that there were multiple layers of chondrocytes on the BMG surface of the control group. With the increase of T-2, NIV and DON toxin concentrations among the groups, the cell density decreased, the damage was aggravated, and necrosis appeared; the trend remained unchanged after adding selenium, and the damage was alleviated compared with the corresponding group without selenium.
II.复合松质骨BMG组织工程软骨移植修复关节软骨缺损:II. Composite cancellous bone BMG tissue engineered cartilage transplantation to repair articular cartilage defects:
手术将体外培养12天形成的松质骨BMG-软骨细胞复合体植于同种异体兔膝关节的骨软骨缺损处(直径4mm),术后2、4、8、12、24周进行功能评价及解剖显微镜、组织学、电镜等动态观察。结果见全部实验兔于术后10天内恢复正常活动;术后2周软骨细胞在松质骨BMG支架间分裂增殖形成软骨团块;随着术后2、4、8周时间的延长,BMG支架间形成的软骨细胞团块逐渐增大,BMG逐渐被吸收,至8周BMG被完全吸收,形成软骨组织;术后24周骨软骨缺损处以软骨组织修复。松质骨BMG在体内与宿主组织有较好的组织相容性,并具有可降解性,结合体外实验结果,认为松质骨BMG是一种合适的细胞支架,软骨细胞负载于松质骨BMG上能修复兔关节骨软骨缺损。The cancellous bone BMG-chondrocyte complex formed in vitro cultured for 12 days was implanted in the osteochondral defect (diameter 4mm) of the allogeneic rabbit knee joint, and the functional evaluation was performed at 2, 4, 8, 12, and 24 weeks after operation And dissecting microscope, histology, electron microscope and other dynamic observation. The results showed that all experimental rabbits resumed normal activities within 10 days after operation; 2 weeks after operation, chondrocytes split and proliferated between cancellous bone BMG scaffolds to form cartilage clumps; The chondrocyte clumps formed between the two groups gradually increased, and the BMG was gradually absorbed. At 8 weeks, the BMG was completely absorbed and formed cartilage tissue; at 24 weeks after operation, the osteochondral defect was repaired with cartilage tissue. Cancellous bone BMG has good histocompatibility with host tissue in vivo and is degradable. Combined with the results of in vitro experiments, it is considered that cancellous bone BMG is a suitable cell scaffold, and chondrocytes are loaded on cancellous bone BMG It can repair the osteochondral defects of rabbit joints.
III.结论:III. Conclusion:
软骨细胞种植于骨基质明胶体外培养1~6周,能获得具分泌氨基多糖和胶原功能的类软骨组织;培养在皮质骨BMG形成的类软骨组织较适合用于体外功能代谢和损伤实验研究;培养在松质骨BMG形成的类软骨组织较适合用于移植修复骨软骨缺损。Chondrocytes are planted in bone matrix gelatin and cultured in vitro for 1 to 6 weeks to obtain cartilage-like tissue with the function of secreting aminopolysaccharide and collagen; cartilage-like tissue formed in cortical bone BMG is more suitable for in vitro functional metabolism and injury experiments; Cartilage-like tissue cultured in cancellous bone BMG is more suitable for transplantation and repair of osteochondral defects.
本发明将体外分离培养或诱导培养的软骨细胞种植在骨基质明胶(BMG)上,构建组织工程软骨,已经获得近似于正常结构与功能的骨软骨组织,用于体外组织细胞功能和代谢研究及用于移植修复骨软骨缺损。In the present invention, chondrocytes isolated and cultured in vitro are planted on bone matrix gelatin (BMG) to construct tissue engineered cartilage, and osteochondral tissue similar to normal structure and function has been obtained, which is used for in vitro tissue cell function and metabolism research and Used for transplantation to repair osteochondral defects.
| Application Number | Priority Date | Filing Date | Title |
|---|---|---|---|
| CN 200310118986CN1297658C (en) | 2003-12-11 | 2003-12-11 | Tissue engineering cartilage construction method using bone matrix gelatin |
| Application Number | Priority Date | Filing Date | Title |
|---|---|---|---|
| CN 200310118986CN1297658C (en) | 2003-12-11 | 2003-12-11 | Tissue engineering cartilage construction method using bone matrix gelatin |
| Publication Number | Publication Date |
|---|---|
| CN1546654A CN1546654A (en) | 2004-11-17 |
| CN1297658Ctrue CN1297658C (en) | 2007-01-31 |
| Application Number | Title | Priority Date | Filing Date |
|---|---|---|---|
| CN 200310118986Expired - Fee RelatedCN1297658C (en) | 2003-12-11 | 2003-12-11 | Tissue engineering cartilage construction method using bone matrix gelatin |
| Country | Link |
|---|---|
| CN (1) | CN1297658C (en) |
| Publication number | Priority date | Publication date | Assignee | Title |
|---|---|---|---|---|
| CN101831402A (en)* | 2010-04-12 | 2010-09-15 | 山西医科大学第二医院 | Experimental method for enzymolysis, digestion and acquisition in vitro of rabbit knee cartilage unit |
| CN105238747A (en)* | 2015-09-24 | 2016-01-13 | 深圳华毓造血干细胞研究有限公司 | Method for culturing mesenchymal stem cells by artificial simulation of bone marrow microenvironment |
| Publication number | Priority date | Publication date | Assignee | Title |
|---|---|---|---|---|
| GB0415080D0 (en)* | 2004-07-05 | 2004-08-04 | Ucl Biomedica Plc | Methods for preparing tissue equivalent implants and products thereof |
| CN102093979A (en)* | 2009-12-14 | 2011-06-15 | 中国人民解放军军事医学科学院野战输血研究所 | Method for separating cells from different tissues |
| CN101829362B (en)* | 2010-04-12 | 2013-04-03 | 山西医科大学第二医院 | Experimental method for establishing tissue engineering cartilage in vitro by taking knee-joint cartilage unit of rabbit as seed cell |
| CN102350009A (en)* | 2011-10-21 | 2012-02-15 | 山西奥瑞生物材料有限公司 | Preparation method of composite bone matrix gelatin polylactic acid porous bioactive material |
| CN102526806B (en)* | 2012-01-20 | 2013-12-18 | 陕西博鸿生物科技有限公司 | Tissue engineering cartilage and preparation method thereof |
| CN102614547B (en)* | 2012-03-13 | 2015-04-15 | 中山大学中山眼科中心 | Method for rapidly constructing multilayer cells |
| CN105641748B (en)* | 2016-01-28 | 2019-01-18 | 山东省文登整骨医院 | A kind of injectable bone-grafting material and preparation method |
| CN106978391A (en)* | 2017-04-06 | 2017-07-25 | 西藏农牧学院 | Poultry tibia growth plate chondrigen is for cell separation digestion enzyme liquid and the isolated culture method of tibia growth plate cartilage primary cell |
| CN107899087B (en)* | 2017-12-27 | 2020-10-16 | 上海交通大学医学院附属第九人民医院 | Temporomandibular joint biological condyle constructed based on related tissue engineering technology |
| CN111686305B (en)* | 2020-06-16 | 2022-05-13 | 天晴干细胞股份有限公司 | Preparation method of gel composition for promoting bone healing and regeneration |
| CN115581811B (en)* | 2022-11-03 | 2024-04-02 | 上海交通大学医学院附属第九人民医院 | Autologous tissue engineering living cell meibomian substitute and preparation method and application thereof |
| CN115645619A (en)* | 2022-11-09 | 2023-01-31 | 陕西宏康祥润生物技术有限公司 | Bone matrix gelatin scaffold material, preparation method thereof and method for constructing cartilage-like bone by using bone matrix gelatin scaffold material |
| Publication number | Priority date | Publication date | Assignee | Title |
|---|---|---|---|---|
| CN101831402A (en)* | 2010-04-12 | 2010-09-15 | 山西医科大学第二医院 | Experimental method for enzymolysis, digestion and acquisition in vitro of rabbit knee cartilage unit |
| CN105238747A (en)* | 2015-09-24 | 2016-01-13 | 深圳华毓造血干细胞研究有限公司 | Method for culturing mesenchymal stem cells by artificial simulation of bone marrow microenvironment |
| Publication number | Publication date |
|---|---|
| CN1546654A (en) | 2004-11-17 |
| Publication | Publication Date | Title |
|---|---|---|
| Yin et al. | Induction of mesenchymal stem cell chondrogenic differentiation and functional cartilage microtissue formation for in vivo cartilage regeneration by cartilage extracellular matrix-derived particles | |
| CN101574540B (en) | Tissue engineering bone/cartilage double-layer scaffold and construction method and application thereof | |
| JP5483035B2 (en) | Method for producing porous three-dimensional support using animal tissue powder and porous three-dimensional support produced using the same | |
| Dahlin et al. | Articular chondrocytes and mesenchymal stem cells seeded on biodegradable scaffolds for the repair of cartilage in a rat osteochondral defect model | |
| US6886568B2 (en) | Method for fabricating cell-containing implants | |
| US8202551B2 (en) | Tissue engineered cartilage, method of making same, therapeutic and cosmetic surgical applications using same | |
| CN1297658C (en) | Tissue engineering cartilage construction method using bone matrix gelatin | |
| Gao et al. | Vitalisation of tubular coral scaffolds with cell sheets for regeneration of long bones: a preliminary study in nude mice | |
| CN1973910A (en) | Histoengineering bone and its making process | |
| CN108865986B (en) | Mesenchymal stem cell preparation for repairing articular cartilage damage/defect and preparation method and application thereof | |
| CN102416201A (en) | Preparation method and application of a transforming growth factor composite scaffold for cartilage repair in vivo | |
| CN111840642B (en) | Preparation method and application of cartilage acellular matrix composite scaffold | |
| Song et al. | Fabrication and development of artificial osteochondral constructs based on cancellous bone/hydrogel hybrid scaffold | |
| CN1836034A (en) | Methods of producing neurons | |
| CN107376025B (en) | Preparation method and application of cell-scaffold composite material for cartilage injury repair | |
| CN111514374A (en) | A method for promoting cartilage repair based on tissue engineered cartilage constructed by co-culture system | |
| CN102971019B (en) | Method for complex tissue engineering | |
| RU2240135C1 (en) | Cell culture comprising precursor cells of osteogenesis, implant based on thereof and its applying for recovery bone integrity | |
| CN106924814A (en) | The construction method of one boar source collagem membrane Autologous Chondrocyte compound rest | |
| Chiu et al. | Nanomaterials for cartilage tissue engineering | |
| CN1954890A (en) | Preparation method and application of tissue engineering osteochondral compound | |
| CN103874763A (en) | Preparation of parental cell bank from foetal tissue | |
| CN100349621C (en) | Method for inducing bone marrow substrate stem cell into cartilage | |
| CN116271216A (en) | Preparation method of bionic cartilage-promoting 3D printing tissue engineering trachea | |
| Lucaciu et al. | Tissue engineered bone versus alloplastic commercial biomaterials in craniofacial reconstruction |
| Date | Code | Title | Description |
|---|---|---|---|
| C06 | Publication | ||
| PB01 | Publication | ||
| C10 | Entry into substantive examination | ||
| SE01 | Entry into force of request for substantive examination | ||
| C14 | Grant of patent or utility model | ||
| GR01 | Patent grant | ||
| C17 | Cessation of patent right | ||
| CF01 | Termination of patent right due to non-payment of annual fee | Granted publication date:20070131 Termination date:20101211 |