



技术领域technical field
本发明涉及太阳能热发电技术领域,尤其涉及一种利用铝矾土和苏州土制备的太阳能储热复相陶瓷材料及方法。The invention relates to the technical field of solar thermal power generation, in particular to a solar heat storage composite ceramic material and method prepared by using bauxite and Suzhou soil.
背景技术Background technique
太阳能储热陶瓷材料是用于下一代高效太阳能塔式高温热发电技术的关键材料,要求其服役温度高(一般需要耐温1300~1500℃),致密度高,储热密度大,且抗热震性能好(适应白天晚上太阳能波动产生的高低温热冲击)。人们使用刚玉、碳化硅、莫来石、锆石英等制造高温储热材料,但这些材料均由人工合成原料制备,成本较高(储热材料占太阳能热发电技术总成本的40%左右),制约了太阳能热发电技术的发展。Solar heat storage ceramic materials are the key materials used in the next generation of high-efficiency solar tower high-temperature thermal power generation technology, which require high service temperature (generally need to withstand temperature of 1300-1500 ℃), high density, high heat storage density, and heat resistance Good shock performance (to adapt to the high and low temperature thermal shock generated by solar fluctuations during the day and night). People use corundum, silicon carbide, mullite, zirconium quartz, etc. to manufacture high-temperature heat storage materials, but these materials are prepared from synthetic raw materials, and the cost is relatively high (heat storage materials account for about 40% of the total cost of solar thermal power generation technology), Restricted the development of solar thermal power generation technology.
另外,如发明专利《一种致密化的莫来石-刚玉-SiC太阳能热发电用复相储热陶瓷材料及其制备方法》(CN111269015A)中,以碳化硅为主要原材料,加入少量铝矾土和高岭土制备储热陶瓷材料,其储热密度为996J·g-1,体积密度为2.30g·cm-3,强度最高仅为77.05MPa;发明专利《一种改性SiC基太阳能热发电用储热陶瓷及其制备方法》中,通过添加Fe2O3作为改性剂对上述专利进行改进,其性能有所提升,储热密度为1202.18J·g-1,体积密度仅为2.55g·cm-3,强度为121.88MPa;但是由于上述储热陶瓷的主要原料均为碳化硅,生产成本较高,同时碳化硅在高温下易被氧化,故这种储热材料寿命较短使用成本较高,且只能作为中温储热陶瓷材料使用,服役温度较低(仅有800℃~1000℃);发明专利《一种莫来石刚玉复相材料的制备方法》(CN101602605)中,使用高铝矾土、高岭土作为原料,还使用氧化钇、氧化锰、羧甲基纤维素,制备了莫来石刚玉复相陶瓷材料,其体积密度达2.88g·cm-3,但因为使用了氧化钇、氧化锰、羧甲基纤维素这些添加剂,生产成本相对较高,同时,这种材料气孔率为2.22%,未达到致密化效果,因此储热密度不高。In addition, as in the invention patent "A Densified Mullite-Corundum-SiC Multiphase Heat Storage Ceramic Material for Solar Thermal Power Generation and Its Preparation Method" (CN111269015A), silicon carbide is used as the main raw material, and a small amount of bauxite is added and kaolin to prepare heat storage ceramic materials, the heat storage density is 996J·g-1 , the bulk density is 2.30g·cm-3 , and the highest strength is only 77.05MPa; the invention patent "a modified SiC-based solar thermal power generation storage In "Thermal Ceramics and Its Preparation Method", the above patent is improved by adding Fe2 O3 as a modifier, and its performance has been improved. The heat storage density is 1202.18J·g-1 and the bulk density is only 2.55g·cm-3 , the strength is 121.88MPa; however, since the main raw material of the above heat storage ceramics is silicon carbide, the production cost is high, and silicon carbide is easily oxidized at high temperature, so the life of this heat storage material is short and the cost of use is high , and can only be used as a medium-temperature heat storage ceramic material, and the service temperature is low (only 800°C to 1000°C); Alumina and kaolin were used as raw materials, and yttrium oxide, manganese oxide, and carboxymethyl cellulose were also used to prepare mullite corundum composite ceramic materials. The bulk density reached 2.88g·cm-3 . Additives such as manganese oxide and carboxymethyl cellulose have relatively high production costs. At the same time, the porosity of this material is 2.22%, which has not achieved the densification effect, so the heat storage density is not high.
发明内容Contents of the invention
本发明的目的在于克服上述技术不足,提供一种利用铝矾土和苏州土制备的太阳能储热复相陶瓷材料及方法,该材料仅以铝矾土和苏州土作为主要原料,成本低,且具有服役温度高、高致密度、高强度、抗热震性好的优点。The object of the present invention is to overcome the above-mentioned technical deficiencies, and provide a solar heat storage composite ceramic material and method prepared by using bauxite and Suzhou soil. The material only uses bauxite and Suzhou soil as main raw materials, and the cost is low. It has the advantages of high service temperature, high density, high strength and good thermal shock resistance.
为达到上述技术目的,本发明提供一种利用铝矾土和苏州土制备的太阳能储热复相陶瓷材料的技术方案:In order to achieve the above-mentioned technical purpose, the present invention provides a technical scheme of a solar heat storage composite ceramic material prepared by using bauxite and Suzhou soil:
按质量百分比计,原料包括40~55%的煅烧铝矾土和45~60%的苏州土。In terms of mass percentage, the raw materials include 40-55% calcined bauxite and 45-60% Suzhou soil.
进一步地,按质量百分比计,煅烧铝矾土的主要成分包括:氧化铝55~75%,二氧化硅15~35%,氧化铁和氧化钛5~10%,其他杂质含量不超过5%。Further, in terms of mass percentage, the main components of the calcined bauxite include: 55-75% of aluminum oxide, 15-35% of silicon dioxide, 5-10% of iron oxide and titanium oxide, and the content of other impurities does not exceed 5%.
进一步地,按质量百分比计,苏州土的主要成分包括:二氧化硅35~55%,氧化铝30~50%,氧化铁和氧化钛0.5~2%,其他杂质含量不超过8%。Furthermore, in terms of mass percentage, the main components of Suzhou soil include: 35-55% of silicon dioxide, 30-50% of aluminum oxide, 0.5-2% of iron oxide and titanium oxide, and no more than 8% of other impurities.
进一步地,煅烧铝矾土和苏州土的粒径均为250~325目。Further, the particle diameters of the calcined bauxite and the Suzhou soil are both 250-325 mesh.
本发明还提供一种利用铝矾土和苏州土制备太阳能储热复相陶瓷材料的方法的技术方案:包括以下步骤:The present invention also provides a technical scheme of a method for preparing a solar heat storage composite ceramic material by using bauxite and Suzhou soil: comprising the following steps:
(1)将煅烧铝矾土和苏州土按配比混合均匀,得到混合粉料;(1) Mix calcined bauxite and Suzhou soil uniformly according to the proportioning ratio to obtain mixed powder;
(2)混合粉料经过造粒和陈腐,制得坯料;(2) The mixed powder is granulated and aged to obtain a billet;
(3)坯料经过压制成型,得到生坯;(3) The blank is pressed and formed to obtain a green body;
(4)生坯干燥得到坯体;(4) the green body is dried to obtain the green body;
(5)坯体经过1600~1640℃烧成,得到太阳能储热复相陶瓷材料。(5) The green body is fired at 1600-1640° C. to obtain a solar heat storage composite phase ceramic material.
进一步地,步骤(1)中,采用球磨方式将煅烧铝矾土和苏州土混合均匀。Further, in step (1), the calcined bauxite and Suzhou soil are uniformly mixed by ball milling.
进一步地,步骤(2)中,采用喷雾干燥法向混合粉料中加入质量分数为2~4%的水进行造粒,造粒后陈腐24h以上,制得坯料。Further, in step (2), water with a mass fraction of 2-4% is added to the mixed powder by a spray drying method for granulation, and after granulation, it is stale for more than 24 hours to obtain a billet.
进一步地,步骤(3)中,压制成型的压强为30~40MPa。Further, in step (3), the pressure of the compression molding is 30-40 MPa.
进一步地,步骤(4)中,干燥是在85~100℃下保温24h~48h。Further, in step (4), drying is carried out at 85-100°C for 24h-48h.
进一步地,步骤(5)中,烧成过程中,升温速率为3~5℃/min,且每隔100℃保温30~60min,升温至1600~1640℃时保温1.5~2.5h。Further, in step (5), during the firing process, the heating rate is 3-5 °C/min, and the temperature is kept at 100 °C for 30-60 min, and when the temperature is raised to 1600-1640 °C, the temperature is kept at 1.5-2.5 h.
与现有技术相比,本发明的有益效果包括:Compared with the prior art, the beneficial effects of the present invention include:
1、本发明仅采用煅烧铝矾土和苏州土这两种相对价格较低的原料,未添加任何价格高的其他原料,生产工艺也是无压氧化气氛烧结,故成本较低;与碳化硅储热陶瓷相比,生产成本降低近80%。本发明有益于大幅降低太阳能热发电技术的发电成本。1. The present invention only uses calcined bauxite and Suzhou soil, two relatively low-priced raw materials, and does not add any other high-priced raw materials. The production process is also sintered in a pressureless oxidation atmosphere, so the cost is low; compared with silicon carbide storage Compared with thermal ceramics, production costs are reduced by nearly 80%. The invention is beneficial to greatly reduce the power generation cost of the solar thermal power generation technology.
2、本发明的高温储热复相陶瓷材料综合性能较好。本发明所得材料的主晶相为莫来石(含量为90~95%),次晶相为刚玉(含量为5~10%),长棒状的莫来石和短柱状的刚玉交错生长,形成密集的网状结构,因此获得了较高的致密度、储热密度和强度,同时,也正是这样的结构,使其耐高温和抗热震性能也较好。本发明大幅延长了储热陶瓷材料的使用寿命,因而也大幅降低了太阳能热发电成本。2. The high-temperature heat storage multi-phase ceramic material of the present invention has better comprehensive performance. The main crystal phase of the material obtained in the present invention is mullite (the content is 90-95%), the secondary crystal phase is corundum (the content is 5-10%), and the long rod-shaped mullite and the short columnar corundum grow alternately to form dense The network structure, so it has a higher density, heat storage density and strength, at the same time, it is this structure that makes it better in high temperature resistance and thermal shock resistance. The invention greatly prolongs the service life of the heat storage ceramic material, thereby greatly reducing the cost of solar thermal power generation.
附图说明Description of drawings
图1为本发明实施例1中的太阳能高温储热复相陶瓷材料的XRD图。Fig. 1 is an XRD pattern of the solar high-temperature heat storage composite ceramic material in Example 1 of the present invention.
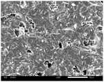
图2为本发明实施例1中的太阳能高温储热复相陶瓷材料的SEM图。Fig. 2 is an SEM image of the solar high-temperature heat storage composite ceramic material in Example 1 of the present invention.
图3为本发明实施例1中的太阳能高温储热复相陶瓷材料经抗热震循环30次试验后的XRD图。Fig. 3 is an XRD pattern of the solar high-temperature heat storage composite ceramic material in Example 1 of the present invention after 30 cycles of thermal shock resistance tests.
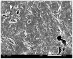
图4为本发明实施例1中的太阳能高温储热复相陶瓷材料经抗热震循环30次试验后的SEM图。Fig. 4 is an SEM image of the solar high-temperature heat storage composite ceramic material in Example 1 of the present invention after 30 cycles of thermal shock resistance tests.
具体实施方式detailed description
为了使本发明的目的、技术方案及优点更加清楚明白,以下结合附图及实施例,对本发明进行进一步详细说明。应当理解,此处所描述的具体实施例仅仅用以解释本发明,并不用于限定本发明。In order to make the object, technical solution and advantages of the present invention clearer, the present invention will be further described in detail below in conjunction with the accompanying drawings and embodiments. It should be understood that the specific embodiments described here are only used to explain the present invention, not to limit the present invention.
本发明提供一种服役温度高、高致密度、高强度、抗热震等综合性能好且成本低廉的铝矾土和苏州土制备太阳能高温储热复相陶瓷材料的方法,本发明制备方法包括以下步骤:The present invention provides a method for preparing solar high-temperature heat storage composite ceramic materials from bauxite and Suzhou soil with good comprehensive performance such as high service temperature, high density, high strength, and thermal shock resistance, and low cost. The preparation method of the present invention includes The following steps:
(1)原料处理:将煅烧铝矾土、苏州土粉球磨混合30min,制得均匀混合250~325目的粉料,煅烧铝矾土和苏州土粉的质量百分比为(40~55):(45~60)。球磨时料球比为1:2。其中,煅烧铝矾土的主要成分如下:氧化铝含量55~75%,二氧化硅含量15~35%,氧化铁和氧化钛含量5~10%,其他杂质含量不超过5%,煅烧铝矾土的粒径为250~325目;苏州土的主要成分如下:二氧化硅35~55%,氧化铝含量30~50%,氧化铁和氧化钛量0.5~2%,其他杂质含量不超过8%,苏州土的粒径为250~325目。(1) Raw material treatment: Mix calcined bauxite and Suzhou soil powder by ball milling for 30 minutes to obtain a uniformly mixed 250-325 mesh powder. The mass percentage of calcined bauxite and Suzhou soil powder is (40-55): (45 ~60). The ratio of material to ball during ball milling is 1:2. Among them, the main components of calcined bauxite are as follows: the content of alumina is 55-75%, the content of silicon dioxide is 15-35%, the content of iron oxide and titanium oxide is 5-10%, and the content of other impurities does not exceed 5%. The particle size of the soil is 250-325 mesh; the main components of Suzhou soil are as follows: 35-55% of silicon dioxide, 30-50% of alumina, 0.5-2% of iron oxide and titanium oxide, and no more than 8% of other impurities. %, the particle size of Suzhou soil is 250-325 mesh.
(2)造粒和陈腐:采用喷雾干燥法向混合粉料中加入质量分数为2~4%的水进行造粒,造粒后陈腐24h以上,制得坯料。(2) Granulation and staling: add water with a mass fraction of 2-4% to the mixed powder by spray drying method for granulation, and stale for more than 24 hours after granulation to obtain a billet.
由于本发明中采用较多的苏州土,因此可以采用水作为粘结剂,无需添加传统的聚乙烯醇溶液,即可获得可塑性强的混合料,便于造粒。Since more Suzhou soil is used in the present invention, water can be used as a binder without adding traditional polyvinyl alcohol solution, and a highly plastic mixture can be obtained, which is convenient for granulation.
(3)半干压成型:使用液压机将陈腐好的坯料压制成型,压强为30~40MPa,制得高温储热复相陶瓷材料生坯。(3) Semi-dry pressing molding: Use a hydraulic press to press the stale billet with a pressure of 30-40 MPa to obtain a green body of high-temperature heat storage composite ceramic material.
(4)干燥:将成型好的生坯置于干燥箱中,在85~100℃下干燥24h~48h,得到坯体。(4) Drying: place the shaped green body in a drying oven, and dry it at 85-100°C for 24h-48h to obtain the green body.
(5)烧成:将干燥好的坯体放入匣钵中,再将匣钵置于电阻炉中在一定温度下烧成(3~5℃/min的升温速率升温至1600℃~1640℃并保温1.5~2.5h),制得一种致密化的太阳能高温储热材料。(5) Firing: Put the dried green body into the sagger, then place the sagger in a resistance furnace and fire at a certain temperature (heating rate of 3-5°C/min to 1600°C-1640°C and heat preservation for 1.5 to 2.5 hours), a densified solar high-temperature heat storage material is prepared.
本发明采用的铝矾土和苏州土均是一种铝含量较高的粘土矿物,成本低廉且耐高温性能好,通过控制其质量百分比,在不添加其他原料以及添加剂的同时,结合特定的烧成工艺,生成以莫来石为主晶相、以刚玉为次晶相的储热复相陶瓷材料,长棒状的莫来石和短柱状的刚玉交错生长,形成密集的网状结构,利于提高所得材料的致密度、储热密度和强度,且耐高温和抗热震性能好,因此本发明能够有效降低成本,且材料综合性能较好。Both the bauxite and Suzhou soil used in the present invention are clay minerals with high aluminum content, low cost and good high temperature resistance. Through the forming process, a heat storage multi-phase ceramic material with mullite as the main crystal phase and corundum as the secondary crystal phase is produced. Long rod-shaped mullite and short columnar corundum grow alternately to form a dense network structure, which is conducive to improving the yield. The material has high density, heat storage density and strength, and high temperature resistance and thermal shock resistance, so the invention can effectively reduce the cost, and the comprehensive performance of the material is good.
本发明所得太阳能高温储热材料不含碳化硅,经过高温烧成后是纯氧化物体系,实际使用温度会高于烧成温度,保守估计,本发明的储热陶瓷材料耐高温,至少可在1300~1500℃高温环境使用。The solar high-temperature heat storage material obtained in the present invention does not contain silicon carbide, and is a pure oxide system after high-temperature firing. The actual use temperature will be higher than the firing temperature. 1300 ~ 1500 ℃ high temperature environment.
下面通过具体的实施例对本发明做进一步详细说明。The present invention will be described in further detail below through specific examples.
实施例1Example 1
(1)原料处理:将煅烧铝矾土、苏州土粉球磨混合30min,制得均匀混合250~325目的粉料,煅烧铝矾土和苏州土粉的质量百分比为50:50。球磨时料球比为1:2。其中,煅烧铝矾土的主要成分如下:氧化铝含量72.72%,二氧化硅含量20.81%,氧化铁(1.56%)、氧化钛(3.59%)总含量5.15%,其他杂质含量为1.32%,煅烧铝矾土的粒径为250~325目;苏州土的主要成分为二氧化硅45.14%,氧化铝含量37.88%,氧化铁(0.30%)、氧化钛(0.27%)总含量0.57%,灼减量16%,其他杂质含量不超过0.41%,苏州土的粒径为250~325目。(1) Raw material treatment: ball mill and mix calcined bauxite and Suzhou soil powder for 30 minutes to obtain uniformly mixed 250-325 mesh powder. The mass percentage of calcined bauxite and Suzhou soil powder is 50:50. The ratio of material to ball during ball milling is 1:2. Among them, the main components of calcined bauxite are as follows: alumina content 72.72%, silica content 20.81%, iron oxide (1.56%), titanium oxide (3.59%) total content 5.15%, other impurities content 1.32%, calcined The particle size of bauxite is 250-325 mesh; the main components of Suzhou soil are silica 45.14%, alumina content 37.88%, iron oxide (0.30%) and titanium oxide (0.27%) total content 0.57%. content of 16%, and the content of other impurities does not exceed 0.41%. The particle size of Suzhou soil is 250-325 mesh.
(2)造粒和陈腐:采用喷雾干燥法向混合粉料中加入质量分数为4%的水,造粒后陈腐24h,制得坯料。(2) Granulation and aging: add water with a mass fraction of 4% to the mixed powder by spray drying method, and aging for 24 hours after granulation to obtain a billet.
(3)半干压成型:使用液压机将陈腐好的坯料压制成型,压强为30MPa,制得高温储热复相陶瓷材料生坯。(3) Semi-dry pressing: use a hydraulic press to press and form the stale billet with a pressure of 30 MPa to obtain a high-temperature heat storage composite ceramic material green body.
(4)干燥:将成型好的生坯置于干燥箱中,在95℃下干燥24h,得到坯体。(4) Drying: the formed green body is placed in a drying oven, and dried at 95° C. for 24 hours to obtain a green body.
(5)烧成:将干燥好的坯体放入匣钵中,再将匣钵置于电阻炉中在一定温度下烧成(5℃/min的升温速率升至1000℃,中途每隔100℃保温30min,1000℃之后以3℃/min的升温速率升温至1620℃中途每100℃保温60min,在最高温度保温2h),制得一种太阳能高温储热复相陶瓷材料。(5) Firing: Put the dried green body into the sagger, then place the sagger in a resistance furnace and fire at a certain temperature (the heating rate of 5°C/min rises to 1000°C, and every 100°C in the middle ℃ for 30 minutes, after 1000 ℃ with a heating rate of 3 ℃ / min to 1620 ℃, every 100 ℃ for 60 minutes, at the highest temperature for 2 hours), a solar high temperature heat storage composite ceramic material was prepared.
经测试,本发明的储热复相陶瓷材料耐高温,可在1300~1500℃高温环境使用;根据阿基米德原理及静力称重法,使用湘潭湘仪仪器有限公司生产的TXT型数显陶瓷吸水率测定仪和日本岛津生产的AuY120电子分析天平,测得材料的吸水率为0.12%,显气孔率为0.35%,体积密度为2.83g·cm-3,致密度较高;采用深圳瑞格尔公司制造的RGM-4100微机控制电子万能试验机测得抗折强度高达155.44MPa(测试条件为:跨距28mm,载荷加载速率0.5mm/min);其储热能力强,使用法国塞塔拉姆公司生产的C80微量热仪测得材料比热容达1.423kJ/kg·K(25~800℃),储热密度高达1102.3J·g-1(25~800℃);其抗热震性能较好,采用湖北英山建力电炉制造有限公司产SX-2-5-12型箱式节能电阻炉对样品进行抗热震实验(热震实验流程为:将烧成的样品放入热震炉中以5℃/min的速率升温至1000℃,保温15min后取出冷却至室温,此为1次热震过程),经30次热震循环试验后(1000℃~室温,气冷),本发明的高温储热材料无裂纹,其显气孔率和体积密度与热震前相比保持不变,其抗折强度增至166.15MPa,达到并超过《耐火材料抗热震性试验方法》(GB/T 30873-2014)中的相关要求。After testing, the heat storage multiphase ceramic material of the present invention is resistant to high temperature and can be used in a high temperature environment of 1300-1500°C; according to Archimedes' principle and static weighing method, the TXT type produced by Xiangtan Xiangyi Instrument Co., Ltd. is used The apparent ceramic water absorption tester and the AuY120 electronic analytical balance produced by Shimadzu, Japan, measured the water absorption rate of the material to be 0.12%, the apparent porosity rate to 0.35%, and the bulk density to be 2.83g·cm-3 , which was relatively dense; The RGM-4100 microcomputer-controlled electronic universal testing machine manufactured by Shenzhen Ruigel Company has measured a flexural strength as high as 155.44MPa (test conditions: span 28mm, load loading rate 0.5mm/min); The C80 microcalorimeter produced by Setaram Company measured the specific heat capacity of the material up to 1.423kJ/kg K (25-800°C), and the heat storage density was as high as 1102.3J g-1 (25-800°C); its thermal shock resistance The performance is good, and the SX-2-5-12 box-type energy-saving resistance furnace produced by Hubei Yingshan Jianli Electric Furnace Manufacturing Co., Ltd. is used to carry out the thermal shock resistance test of the sample (the thermal shock test process is: put the fired sample into the hot In the shock furnace, the temperature was raised to 1000°C at a rate of 5°C/min, and after holding for 15 minutes, it was taken out and cooled to room temperature, which was a thermal shock process), after 30 thermal shock cycle tests (1000°C ~ room temperature, air cooling), The high-temperature heat storage material of the present invention has no cracks, its apparent porosity and bulk density remain unchanged compared with those before the thermal shock, and its flexural strength increases to 166.15MPa, reaching and exceeding the "Test Method for Thermal Shock Resistance of Refractory Materials" ( Relevant requirements in GB/T 30873-2014).
由图1所示,经XRD分析,实施例1制备的高温储热陶瓷材料为莫来石、刚玉复相材料,该材料中主晶相为莫来石,次晶相为刚玉,莫来石含量为90.5%,刚玉含量为9.5%。As shown in Figure 1, through XRD analysis, the high-temperature heat storage ceramic material prepared in Example 1 is a mullite and corundum composite phase material. The main crystal phase in this material is mullite, and the secondary crystal phase is corundum and mullite. The content is 90.5%, and the content of corundum is 9.5%.
由图2材料的SEM图可以看出,实施例1制备的高温储热复相陶瓷材料的结构较为致密,材料中含有少量闭气孔,平均孔径在12μm左右,材料中莫来石与刚玉交织生长形成网状结构,少量玻璃相填充在晶粒周围,使材料具有较高的抗折强度。From the SEM image of the material in Figure 2, it can be seen that the structure of the high-temperature heat storage composite ceramic material prepared in Example 1 is relatively dense, the material contains a small amount of closed pores, and the average pore size is about 12 μm, and the mullite and corundum in the material interweave and grow A network structure is formed, and a small amount of glass phase is filled around the crystal grains, so that the material has high flexural strength.
由图3所示,经XRD分析,实施例1制备的高温储热复相陶瓷材料经30次热震循环实验(1000℃~室温)后,该材料莫来石含量为92.4%,刚玉含量为7.6%,按上述相同的方式进行测试,吸水率为0.11%,显气孔率为0.31%,体积密度为2.83g·cm-3,同时其抗折强度进一步提升高到166.15MPa,提升了6.89%,可满足新一代太阳能热发电技术对高温储热材料的性能要求。As shown in Fig. 3, by XRD analysis, after 30 thermal shock cycle experiments (1000°C-room temperature) of the high-temperature heat storage composite ceramic material prepared in Example 1, the material has a mullite content of 92.4%, and a corundum content of 7.6%, tested in the same way as above, the water absorption rate is 0.11%, the apparent porosity is 0.31%, the bulk density is 2.83g·cm-3 , and its flexural strength is further increased to 166.15MPa, which is an increase of 6.89%. , which can meet the performance requirements of the new generation of solar thermal power generation technology for high temperature heat storage materials.
由图4中可以看出,实施例1制备的高温储热复相陶瓷材料在热震过程中发生莫来石晶粒的长大和晶界迁移,材料的断裂方式由沿晶断裂逐渐转变为穿晶断裂,液相逐渐填充气孔,因此,制备的高温储热陶瓷材料经30次热震循环实验(1000℃~室温)后,抗折强度有所增加,体积密度基本保持不变,因此表明,制备的高温储热陶瓷材料具有良好的抗热震性能。It can be seen from Figure 4 that the mullite grain growth and grain boundary migration occurred during the thermal shock process of the high-temperature heat storage composite ceramic material prepared in Example 1, and the fracture mode of the material gradually changed from intergranular fracture to through-grain fracture. The crystals are broken, and the liquid phase gradually fills the pores. Therefore, after 30 thermal shock cycle experiments (1000 ° C ~ room temperature), the prepared high-temperature heat storage ceramic material has an increased flexural strength and a basically unchanged bulk density. Therefore, it is shown that, The prepared high-temperature heat storage ceramic material has good thermal shock resistance.
实施例2(考察原料比例的影响)Embodiment 2 (investigate the influence of raw material ratio)
将步骤(1)煅烧铝矾土和苏州土粉的质量百分比调整为40:60,步骤(2)中加入质量分数为3%的水,其它步骤及条件同实施例1。Adjust the mass percentage of calcined bauxite and Suzhou soil powder in step (1) to 40:60, add water with a mass fraction of 3% in step (2), and other steps and conditions are the same as in Example 1.
经测试,本发明的太阳能高温储热复相陶瓷材料耐高温,可在1300~1500℃高温环境使用,显气孔率为0.27%,体积密度为2.80g·cm-3,抗折强度为139.49MPa,经30次热震循环试验后(1000℃~室温,气冷),本发明的太阳能高温储热复相陶瓷材料无裂纹,其显气孔率和体积密度与热震前相比保持不变,其抗折强度略微下降,达到131.84MPa,能满足高温储热材料的相关要求。After testing, the solar high-temperature heat storage multi-phase ceramic material of the present invention is high-temperature-resistant and can be used in a high-temperature environment of 1300-1500°C, with an apparent porosity of 0.27%, a bulk density of 2.80g·cm-3 , and a flexural strength of 139.49MPa , after 30 thermal shock cycle tests (1000°C to room temperature, air-cooled), the solar high-temperature heat storage composite ceramic material of the present invention has no cracks, and its apparent porosity and volume density remain unchanged compared with those before the thermal shock. Its flexural strength decreased slightly, reaching 131.84MPa, which can meet the relevant requirements of high-temperature heat storage materials.
对比例1(考察原料比例的影响)Comparative example 1 (investigate the influence of raw material ratio)
将步骤(1)煅烧铝矾土和苏州土粉的质量百分比调整为30:70,步骤(2)中加入质量分数为2%的水,其它步骤及条件同实施例1。Adjust the mass percentage of calcined bauxite and Suzhou soil powder in step (1) to 30:70, add water with a mass fraction of 2% in step (2), and other steps and conditions are the same as in Example 1.
经测试,对比例1的储热陶瓷材料耐高温,可在1 300~1 500℃高温环境使用,显气孔率为0.25%,体积密度为2.75g·cm-3,抗折强度为108.61MPa,经30次热震循环试验后(1000℃~室温,气冷),对比例1的高温储热材料无裂纹,其显气孔率和体积密度与热震前相比保持不变,其抗折强度下降,达到98.69MPa。After testing, the heat storage ceramic material of Comparative Example 1 is resistant to high temperature and can be used in a high temperature environment of 1 300 to 1 500 °C, with an apparent porosity of 0.25%, a bulk density of 2.75 g·cm-3 , and a flexural strength of 108.61 MPa. After 30 thermal shock cycle tests (1000°C to room temperature, air-cooled), the high-temperature heat storage material of Comparative Example 1 had no cracks, its apparent porosity and bulk density remained unchanged compared with those before thermal shock, and its flexural strength Decrease and reach 98.69MPa.
对比例2(考察原料比例的影响)Comparative example 2 (investigate the impact of raw material ratio)
将步骤(1)煅烧铝矾土和苏州土粉的质量百分比调整为60:40,步骤(2)中加入质量分数为4%的水,其它步骤及条件同实施例1。Adjust the mass percentage of calcined bauxite and Suzhou soil powder in step (1) to 60:40, add water with a mass fraction of 4% in step (2), and other steps and conditions are the same as in Example 1.
经测试,对比例1的储热陶瓷材料耐高温,可在1300~1500℃高温环境使用,在1620℃下材料未烧结,此时显气孔率为10.35%,体积密度为2.69g·cm-3,抗折强度为129.27MPa。After testing, the heat storage ceramic material of Comparative Example 1 is resistant to high temperature and can be used in a high temperature environment of 1300-1500°C. The material is not sintered at 1620°C. At this time, the apparent porosity is 10.35%, and the bulk density is 2.69g·cm-3 , The flexural strength is 129.27MPa.
对比例3(考察原料比例的影响)Comparative example 3 (investigate the impact of raw material ratio)
将步骤(1)煅烧铝矾土和苏州土粉的质量百分比调整为70:30,步骤(2)中加入质量分数为4.5%的水,其它步骤及条件同实施例1。Adjust the mass percentage of calcined bauxite and Suzhou soil powder in step (1) to 70:30, add water with a mass fraction of 4.5% in step (2), and other steps and conditions are the same as in Example 1.
经测试,对比例3的储热陶瓷材料耐高温,可在1300~1500℃高温环境使用,在1620℃下材料未烧结,此时显气孔率为14.31%,体积密度为2.63g·cm-3,抗折强度为122.23MPa。After testing, the heat storage ceramic material of Comparative Example 3 is resistant to high temperature and can be used in a high temperature environment of 1300-1500°C. The material is not sintered at 1620°C. At this time, the apparent porosity is 14.31%, and the bulk density is 2.63g·cm-3 , The flexural strength is 122.23MPa.
对上述实施例1-2以及对比例1-3所得的储热陶瓷材料进行测试,结果如下表1所示。The heat storage ceramic materials obtained in the above-mentioned Examples 1-2 and Comparative Examples 1-3 were tested, and the results are shown in Table 1 below.
表1实施例1-2以及对比例1-3的原料比例及测试结果Table 1 embodiment 1-2 and the raw material ratio and test result of comparative example 1-3
比较实施例1,实施例2和对比例1(其中造粒过程中加水量有略微区别,是由于原料比例不同进行的适应性调整,保证造粒可塑性,且自由水在干燥过程中会排出,不影响后续所得材料性能,因此可以形成单因素变量试验),依次降低了材料中煅烧铝矾土和苏州土的比值,结果发现,储热材料的显气孔率、体积密度和抗折强度均有所降低。这是因为随着铝矾土和苏州土比值的降低,材料中的w(Al2O3)/w(SiO2)值降低,因此烧结后材料的体积密度有所降低,同时,也造成烧结后样品中的莫来石含量降低,玻璃相相对增多,玻璃相填充气孔,使得显气孔率有所降低,但莫来石的相对含量和晶粒发育形貌是影响材料抗折强度的主要因素,因此使得其抗折强度有所下降。Comparative Example 1, Example 2 and Comparative Example 1 (wherein the amount of water added in the granulation process is slightly different, due to the adaptive adjustment carried out due to the different proportions of raw materials, to ensure the plasticity of granulation, and free water will be discharged during the drying process, It does not affect the properties of the subsequent obtained materials, so a single factor variable test can be formed), and the ratio of calcined bauxite and Suzhou soil in the material is successively reduced. lowered. This is because as the ratio of bauxite to Suzhou soil decreases, the w(Al2 O3 )/w(SiO2 ) value in the material decreases, so the bulk density of the material after sintering decreases, and at the same time, it also causes sintering The mullite content in the final sample decreases, the glass phase increases relatively, and the glass phase fills the pores, which reduces the apparent porosity, but the relative content of mullite and the grain development morphology are the main factors affecting the flexural strength of the material , thus reducing its flexural strength.
比较实施例1、对比例2和对比例3,依次升高了材料中煅烧铝矾土和苏州土的比值,此时材料中的Al/Si比升高,同时也造成烧成时高温下液相含量减少,导致材料的烧成温度更高。由于实验室设备限制,无法再提升烧成温度,因此对比例2和对比例3的材料在1620℃烧成时未达到烧结状态,从而显气孔率较大,体积密度较小,未达到高温储热相关要求。Comparing Example 1, Comparative Example 2, and Comparative Example 3, the ratio of calcined bauxite to Suzhou soil in the material was increased in turn. At this time, the Al/Si ratio in the material increased, and it also caused the liquid to burn at high temperature. The phase content is reduced, resulting in a higher firing temperature of the material. Due to the limitations of laboratory equipment, the firing temperature cannot be raised any further. Therefore, the materials of Comparative Examples 2 and 3 did not reach the sintered state when fired at 1620°C, so the apparent porosity was large, the bulk density was small, and the high-temperature storage heat related requirements.
因此,本发明优选的煅烧铝矾土和苏州土的质量百分比为(40~55):(45~60)。Therefore, the preferred mass percentage of calcined bauxite and Suzhou soil in the present invention is (40-55): (45-60).
对比例4(考察不同烧成温度的影响)Comparative example 4 (investigate the influence of different firing temperatures)
(1)原料处理:将煅烧铝矾土、苏州土粉球磨混合30min,制得均匀混合250~325目的粉料,煅烧铝矾土和苏州土粉的质量百分比为50:50。球磨时料球比为1:2。(1) Raw material treatment: ball mill and mix calcined bauxite and Suzhou soil powder for 30 minutes to obtain uniformly mixed 250-325 mesh powder. The mass percentage of calcined bauxite and Suzhou soil powder is 50:50. The ratio of material to ball during ball milling is 1:2.
(2)造粒和陈腐:采用喷雾干燥法向混合粉料中加入质量分数为3%的水,造粒后陈腐24h,制得坯料。(2) Granulation and aging: add water with a mass fraction of 3% to the mixed powder by spray drying method, and aging for 24 hours after granulation to obtain a billet.
(3)半干压成型:使用液压机将陈腐好的坯料压制成型,压强为30MPa,制得高温储热复相陶瓷材料生坯。(3) Semi-dry pressing: use a hydraulic press to press and form the stale billet with a pressure of 30 MPa to obtain a high-temperature heat storage composite ceramic material green body.
(4)干燥:将成型好的生坯置于干燥箱中,在95℃下干燥24h,得到坯体。(4) Drying: the formed green body is placed in a drying oven, and dried at 95° C. for 24 hours to obtain a green body.
(5)烧成:将干燥好的坯体放入匣钵中,再将匣钵置于电阻炉中在一定温度下烧成(5℃/min的升温速率升至1000℃,中途每隔100℃保温30min,1000℃之后以3℃/min的升温速率升温至1580℃中途每100℃保温60min,在最高温度保温2h),制得一种太阳能高温储热材料。(5) Firing: Put the dried green body into the sagger, then place the sagger in a resistance furnace and fire at a certain temperature (the heating rate of 5°C/min rises to 1000°C, and every 100°C in the middle ℃ for 30 minutes, after 1000 ℃, the temperature was raised to 1580 ℃ at a rate of 3 ℃/min, and every 100 ℃ was kept for 60 minutes, and the highest temperature was kept for 2 hours), and a solar high-temperature heat storage material was prepared.
经测试,对比例3所得的储热材料耐高温,可在1300~1500℃高温环境使用,显气孔率为7.78%,体积密度为2.68g·cm-3,抗折强度为90.70MPa。对比例4相对实施例1,降低了材料的烧成温度,结果发现显气孔率增大、体积密度和抗折强度均减小,这时候因为样品在1580℃时未达到烧结状态,材料未达到致密化,同时作为主晶相的莫来石晶粒未发育完全,因此造成抗折强度大幅降低。After testing, the heat storage material obtained in Comparative Example 3 is resistant to high temperature and can be used in a high temperature environment of 1300-1500°C, with an apparent porosity of 7.78%, a bulk density of 2.68g·cm-3 and a flexural strength of 90.70MPa. Compared with Example 1, Comparative Example 4 lowered the sintering temperature of the material. It was found that the apparent porosity increased, and the bulk density and flexural strength decreased. At this time, because the sample did not reach the sintered state at 1580 ° C, the material did not reach the sintered state. Densification, while the mullite grains as the main crystal phase are not fully developed, resulting in a significant decrease in flexural strength.
由此可知本发明烧成温度优选1600~1640℃,更进一步优选为1600~1620℃。From this, it can be seen that the firing temperature in the present invention is preferably 1600-1640°C, more preferably 1600-1620°C.
对比例5(考察原料种类的影响)Comparative example 5 (investigate the influence of raw material type)
将苏州土替换成茂名高岭土,其它条件同实施例1。Suzhou soil is replaced with Maoming kaolin, and other conditions are the same as in Example 1.
(1)原料处理:将煅烧铝矾土、茂名高岭土粉球磨混合30min,制得均匀混合250~325目的粉料,煅烧铝矾土和苏州土粉的质量百分比为50:50。球磨时料球比为1:2。其中,煅烧铝矾土的主要成分如下:氧化铝含量72.72%,二氧化硅含量20.81%,氧化铁、氧化钛含量5.15%,其他杂质含量为1.32%,煅烧铝矾土的粒径为250~325目;茂名高岭土的主要成分为二氧化硅50.68%,氧化铝含量34.93%,氧化铁、氧化钛含量1.02%,灼减量12.34%,其他杂质含量不超过1.03%,茂名高岭土的粒径为250~325目。(1) Raw material treatment: ball mill and mix calcined bauxite and Maoming kaolin powder for 30 minutes to obtain uniformly mixed 250-325 mesh powder. The mass percentage of calcined bauxite and Suzhou clay powder is 50:50. The ratio of material to ball during ball milling is 1:2. Among them, the main components of calcined bauxite are as follows: the content of alumina is 72.72%, the content of silicon dioxide is 20.81%, the content of iron oxide and titanium oxide is 5.15%, the content of other impurities is 1.32%, and the particle size of calcined bauxite is 250~ 325 mesh; the main components of Maoming kaolin are silica 50.68%, alumina content 34.93%, iron oxide and titanium oxide content 1.02%, loss on ignition 12.34%, and other impurities not exceeding 1.03%. The particle size of Maoming kaolin is 250-325 mesh.
(2)造粒和陈腐:采用喷雾干燥法向混合粉料中加入质量分数为4%的水,造粒后陈腐24h,制得坯料。(2) Granulation and aging: add water with a mass fraction of 4% to the mixed powder by spray drying method, and aging for 24 hours after granulation to obtain a billet.
(3)半干压成型:使用液压机将陈腐好的坯料压制成型,压强为30MPa,制得高温储热复相陶瓷材料生坯。(3) Semi-dry pressing: use a hydraulic press to press and form the stale billet with a pressure of 30 MPa to obtain a high-temperature heat storage composite ceramic material green body.
(4)干燥:将成型好的生坯置于干燥箱中,在95℃下干燥24h,得到坯体。(4) Drying: the formed green body is placed in a drying oven, and dried at 95° C. for 24 hours to obtain a green body.
(5)烧成:将干燥好的坯体放入匣钵中,再将匣钵置于电阻炉中在一定温度下烧成(5℃/min的升温速率升至1000℃,中途每隔100℃保温30min,1000℃之后以3℃/min的升温速率升温至1600℃中途每100℃保温60℃,在最高温度保温2h),制得一种太阳能高温储热材料。(5) Firing: Put the dried green body into the sagger, then place the sagger in a resistance furnace and fire at a certain temperature (the heating rate of 5°C/min rises to 1000°C, and every 100°C in the middle ℃ for 30 minutes, after 1000 ℃, the temperature was raised to 1600 ℃ at a rate of 3 ℃/min, and the temperature was kept at 60 ℃ for every 100 ℃, and the temperature was kept at the highest temperature for 2 hours), and a solar high-temperature heat storage material was prepared.
经测试,对比例5的储热材料耐高温,可在1300~1500℃高温环境使用,显气孔率为0.47%,体积密度为2.76g·cm-3,抗折强度为124.23MPa,经30次热震循环试验后(1000℃~室温,气冷),本发明的高温储热材料无裂纹,其显气孔率和体积密度与热震前相比保持不变,其抗折强度略微下降,达到118.46MPa。After testing, the heat storage material of Comparative Example 5 is resistant to high temperature and can be used in a high temperature environment of1300-1500 °C. After thermal shock cycle test (1000°C ~ room temperature, air cooling), the high-temperature heat storage material of the present invention has no cracks, its apparent porosity and bulk density remain unchanged compared with those before thermal shock, and its flexural strength decreases slightly, reaching 118.46 MPa.
对比例5中通过茂名高岭土代替实施例1中的苏州土,结果发现,储热材料的体积密度和抗折强度有所降低。这是因为相比于苏州土,茂名高岭土的SiO2含量相对较多,Al2O3相对较少,因此材料中的w(Al2O3)/w(SiO2)值降低,烧结温度有所降低,但同时也造成烧结后样品中的莫来石含量降低,玻璃相相对增多,烧结后材料的体积密度有所降低,因此使得其抗折强度有所下降,且显气孔率降低,不利于提高储热密度。In Comparative Example 5, Maoming kaolin was used to replace Suzhou soil in Example 1, and it was found that the bulk density and flexural strength of the heat storage material were reduced. This is because compared with Suzhou soil, Maoming kaolin has relatively more SiO2 content and less Al2 O3 , so the w(Al2 O3 )/w(SiO2 ) value in the material is lower and the sintering temperature is lower. However, at the same time, the content of mullite in the sintered sample decreases, the glass phase increases relatively, and the bulk density of the sintered material decreases, so the flexural strength decreases and the apparent porosity decreases. It is beneficial to increase the heat storage density.
综上所述,本发明的储热陶瓷材料耐高温,可在1300~1500℃高温环境使用,且显气孔率在0.27~0.35%,体积密度在2.8~2.83g·cm-3,致密度较高,抗折强度高达139.49~155.44MPa;其储热能力强,比热容可达1.423kJ/kg·K(25~800℃),储热密度高达1102.3J·g-1(25~800℃);其抗热震性能较好,经30次热震循环试验后(1000℃~室温,气冷),本发明的高温储热材料无裂纹,其显气孔率和体积密度与热震前相比保持不变,其抗折强度能够增至166.15MPa,达到并超过《耐火材料抗热震性试验方法》(GB/T 30873-2014)中的相关要求。In summary, the heat storage ceramic material of the present invention is resistant to high temperature and can be used in a high temperature environment of 1300-1500°C, and has an apparent porosity of 0.27-0.35%, a bulk density of 2.8-2.83 g·cm-3 , and a relatively dense density. High, the flexural strength is as high as 139.49-155.44MPa; its heat storage capacity is strong, the specific heat capacity can reach 1.423kJ/kg K (25-800°C), and the heat storage density is as high as 1102.3J g-1 (25-800°C); Its thermal shock resistance is good. After 30 thermal shock cycle tests (1000 ° C ~ room temperature, air cooling), the high-temperature heat storage material of the present invention has no cracks, and its apparent porosity and volume density remain the same as those before thermal shock. unchanged, its flexural strength can be increased to 166.15MPa, which meets and exceeds the relevant requirements in the "Test Methods for Thermal Shock Resistance of Refractory Materials" (GB/T 30873-2014).
与现有技术相比,本发明的优势在于:Compared with the prior art, the present invention has the advantages of:
1、本发明的高温储热复相陶瓷材料生产成本较低。本发明仅采用煅烧铝矾土和苏州土这两种相对价格较低的原料,未添加任何价格高的其他原料,本发明的原料成本仅为1300~1 400元/吨,生产工艺也是无压氧化气氛烧结,故成本较低。与碳化硅储热陶瓷相比,生产成本降低近80%。本发明有益于大幅降低太阳能热发电技术的发电成本。1. The production cost of the high-temperature heat storage multiphase ceramic material of the present invention is relatively low. The present invention only uses calcined bauxite and Suzhou soil, two relatively low-priced raw materials, without adding any other high-priced raw materials. The raw material cost of the present invention is only 1,300-1,400 yuan/ton, and the production process is also pressureless. Oxidizing atmosphere sintering, so the cost is low. Compared with silicon carbide heat storage ceramics, the production cost is reduced by nearly 80%. The invention is beneficial to greatly reduce the power generation cost of the solar thermal power generation technology.
2、本发明的高温储热复相陶瓷材料综合性能较好。本发明的材料的主晶相为莫来石(含量为90~95%),次晶相为刚玉(含量为5~10%),长棒状的莫来石和短柱状的刚玉交错生长,形成密集的网状结构,因此获得了较高的致密度、储热密度和强度,同时,也正是这样的结构,使其耐高温和抗热震性能也较好。本发明大幅延长了储热陶瓷材料的使用寿命,因而也大幅降低了太阳能热发电成本。2. The high-temperature heat storage multi-phase ceramic material of the present invention has better comprehensive performance. The main crystal phase of the material of the present invention is mullite (content is 90-95%), the secondary crystal phase is corundum (content is 5-10%), long rod-shaped mullite and short columnar corundum grow alternately, forming dense The network structure, so it has a higher density, heat storage density and strength, at the same time, it is this structure that makes it better in high temperature resistance and thermal shock resistance. The invention greatly prolongs the service life of the heat storage ceramic material, thereby greatly reducing the cost of solar thermal power generation.
以上所述本发明的具体实施方式,并不构成对本发明保护范围的限定。任何根据本发明的技术构思所做出的各种其他相应的改变与变形,均应包含在本发明权利要求的保护范围内。The specific embodiments of the present invention described above do not constitute a limitation to the protection scope of the present invention. Any other corresponding changes and modifications made according to the technical concept of the present invention shall be included in the protection scope of the claims of the present invention.
| Application Number | Priority Date | Filing Date | Title |
|---|---|---|---|
| CN202211319168.XACN115594493B (en) | 2022-10-26 | 2022-10-26 | Solar heat storage multiphase ceramic material prepared from bauxite and Suzhou soil and method |
| Application Number | Priority Date | Filing Date | Title |
|---|---|---|---|
| CN202211319168.XACN115594493B (en) | 2022-10-26 | 2022-10-26 | Solar heat storage multiphase ceramic material prepared from bauxite and Suzhou soil and method |
| Publication Number | Publication Date |
|---|---|
| CN115594493Atrue CN115594493A (en) | 2023-01-13 |
| CN115594493B CN115594493B (en) | 2023-09-22 |
| Application Number | Title | Priority Date | Filing Date |
|---|---|---|---|
| CN202211319168.XAActiveCN115594493B (en) | 2022-10-26 | 2022-10-26 | Solar heat storage multiphase ceramic material prepared from bauxite and Suzhou soil and method |
| Country | Link |
|---|---|
| CN (1) | CN115594493B (en) |
| Publication number | Priority date | Publication date | Assignee | Title |
|---|---|---|---|---|
| CN118812243A (en)* | 2023-04-20 | 2024-10-22 | 宜兴市光明特种瓷件有限公司 | Alumina ceramic and preparation method thereof |
| Publication number | Priority date | Publication date | Assignee | Title |
|---|---|---|---|---|
| JP2000302524A (en)* | 1999-04-15 | 2000-10-31 | Agency Of Ind Science & Technol | Manufacture of ceramic substrate for poly crystalline silicon thin film type solar cell using kaolin clay |
| CN102759292A (en)* | 2012-08-02 | 2012-10-31 | 朱建良 | Lessing ring-shaped ceramic heat-accumulation body and manufacturing process thereof |
| CN105130388A (en)* | 2015-08-24 | 2015-12-09 | 天津城建大学 | Preparation method for mullite whisker reinforced ceramic material |
| CN110105059A (en)* | 2019-05-17 | 2019-08-09 | 山东工业职业学院 | A kind of highly heatproof and shockproof, low creep hot-blast stove brick and its manufacturing method |
| US20200046009A1 (en)* | 2018-08-09 | 2020-02-13 | Chun-Shyong LEE | Heat-transforming ceramic roasting cylinder and coffee bean roaster using the same |
| CN111377723A (en)* | 2020-03-24 | 2020-07-07 | 洛阳中超新材料股份有限公司 | Low-cost environment-friendly corundum-mullite honeycomb ceramic heat accumulator and preparation method thereof |
| CN111440003A (en)* | 2020-04-07 | 2020-07-24 | 山东淄博沈淄耐火材料有限公司 | Bottom brick special for high-temperature section of tin bath of novel float glass kiln and preparation method thereof |
| CN112142490A (en)* | 2020-09-27 | 2020-12-29 | 江西新科环保股份有限公司 | Metal honeycomb ceramic heat accumulator |
| CN113321494A (en)* | 2021-06-11 | 2021-08-31 | 武汉理工大学 | Oxidation-resistant long-life heat absorption and storage integrated corundum-mullite ceramic and preparation method thereof |
| US20210384426A1 (en)* | 2020-06-05 | 2021-12-09 | Wuhan University Of Science And Technology | Phase change thermal storage ceramic and preparation method thereof |
| WO2022144014A1 (en)* | 2020-12-31 | 2022-07-07 | 郑州轻工业大学 | Mullite-based micro-nano-porous heat insulating refractory material and preparation method therefor |
| Publication number | Priority date | Publication date | Assignee | Title |
|---|---|---|---|---|
| JP2000302524A (en)* | 1999-04-15 | 2000-10-31 | Agency Of Ind Science & Technol | Manufacture of ceramic substrate for poly crystalline silicon thin film type solar cell using kaolin clay |
| CN102759292A (en)* | 2012-08-02 | 2012-10-31 | 朱建良 | Lessing ring-shaped ceramic heat-accumulation body and manufacturing process thereof |
| CN105130388A (en)* | 2015-08-24 | 2015-12-09 | 天津城建大学 | Preparation method for mullite whisker reinforced ceramic material |
| US20200046009A1 (en)* | 2018-08-09 | 2020-02-13 | Chun-Shyong LEE | Heat-transforming ceramic roasting cylinder and coffee bean roaster using the same |
| CN110105059A (en)* | 2019-05-17 | 2019-08-09 | 山东工业职业学院 | A kind of highly heatproof and shockproof, low creep hot-blast stove brick and its manufacturing method |
| CN111377723A (en)* | 2020-03-24 | 2020-07-07 | 洛阳中超新材料股份有限公司 | Low-cost environment-friendly corundum-mullite honeycomb ceramic heat accumulator and preparation method thereof |
| CN111440003A (en)* | 2020-04-07 | 2020-07-24 | 山东淄博沈淄耐火材料有限公司 | Bottom brick special for high-temperature section of tin bath of novel float glass kiln and preparation method thereof |
| US20210384426A1 (en)* | 2020-06-05 | 2021-12-09 | Wuhan University Of Science And Technology | Phase change thermal storage ceramic and preparation method thereof |
| CN112142490A (en)* | 2020-09-27 | 2020-12-29 | 江西新科环保股份有限公司 | Metal honeycomb ceramic heat accumulator |
| WO2022144014A1 (en)* | 2020-12-31 | 2022-07-07 | 郑州轻工业大学 | Mullite-based micro-nano-porous heat insulating refractory material and preparation method therefor |
| CN113321494A (en)* | 2021-06-11 | 2021-08-31 | 武汉理工大学 | Oxidation-resistant long-life heat absorption and storage integrated corundum-mullite ceramic and preparation method thereof |
| Title |
|---|
| 郭海珠, 中国建材工业出版社, pages: 74 - 75* |
| Publication number | Priority date | Publication date | Assignee | Title |
|---|---|---|---|---|
| CN118812243A (en)* | 2023-04-20 | 2024-10-22 | 宜兴市光明特种瓷件有限公司 | Alumina ceramic and preparation method thereof |
| Publication number | Publication date |
|---|---|
| CN115594493B (en) | 2023-09-22 |
| Publication | Publication Date | Title |
|---|---|---|
| CN113563103B (en) | A method for preparing gradient alumina porous ceramics by tape casting | |
| CN101759430B (en) | A kind of method for preparing porous mullite | |
| CN106946553A (en) | A kind of ceramic saggar of low-cost long-life and preparation method thereof | |
| CN113321494B (en) | Oxidation-resistant long-life heat absorption and storage integrated corundum-mullite ceramic and preparation method thereof | |
| CN110028303B (en) | Reinforced porcelain prepared from common domestic ceramic blank and preparation method thereof | |
| CN102746013A (en) | Light high-strength silicon nitride and silicon carbide combined refractory material and preparation method thereof | |
| CN103289649B (en) | A kind of High-temperature composite phase-change heat storage and preparation method thereof | |
| CN114988903A (en) | High-strength low-shrinkage porous ceramic and preparation method thereof | |
| CN115594493B (en) | Solar heat storage multiphase ceramic material prepared from bauxite and Suzhou soil and method | |
| CN114988894A (en) | Light thermal shock-resistant mullite cordierite rotary tube and preparation method thereof | |
| CN115286353B (en) | A kind of heat storage material and its preparation method and application | |
| CN104418608B (en) | Low temperature firing method of silicon carbide porous ceramics | |
| CN115893984A (en) | Ceramic vermiculite heat insulation plate and preparation process thereof | |
| CN105439620A (en) | Method for preparing porous silicon nitride by spark plasma sintering | |
| CN108455993B (en) | Building refractory material and preparation method thereof | |
| CN112573932B (en) | Homogeneous body re-sintered fused zirconia mullite brick and preparation method thereof | |
| CN111269015B (en) | Densified mullite-corundum-SiC composite heat storage ceramic material for solar thermal power generation and preparation method thereof | |
| CN105669241A (en) | Preparation method of closed-pore-structure light fireproof corundum | |
| CN102206084B (en) | Silicon heat-insulating product with high refractoriness under load and low volume weight, and preparation method thereof | |
| CN116535231B (en) | A kind of high specific strength porous mullite ceramic and preparation method thereof | |
| CN111807834A (en) | A kind of aluminum titanate ceramic for casting and preparation method thereof | |
| CN117164335A (en) | Urban sludge sintered insulating brick and preparation method thereof | |
| CN110028314B (en) | High-thermal-shock-stability cordierite-mullite kiln furniture and preparation method thereof | |
| CN114716233A (en) | Microporous corundum castable and production method thereof | |
| CN108285350A (en) | A kind of tri compound SiC based refractories and preparation method thereof |
| Date | Code | Title | Description |
|---|---|---|---|
| PB01 | Publication | ||
| PB01 | Publication | ||
| SE01 | Entry into force of request for substantive examination | ||
| SE01 | Entry into force of request for substantive examination | ||
| GR01 | Patent grant | ||
| GR01 | Patent grant |