Movatterモバイル変換


[0]ホーム

URL:


CN114359488A - Skin three-dimensional model reconstruction method and system based on sequence CT image - Google Patents

Skin three-dimensional model reconstruction method and system based on sequence CT image
Download PDF

Info

Publication number
CN114359488A
CN114359488ACN202210277331.4ACN202210277331ACN114359488ACN 114359488 ACN114359488 ACN 114359488ACN 202210277331 ACN202210277331 ACN 202210277331ACN 114359488 ACN114359488 ACN 114359488A
Authority
CN
China
Prior art keywords
image
skin
air
dimensional model
sequence
Prior art date
Legal status (The legal status is an assumption and is not a legal conclusion. Google has not performed a legal analysis and makes no representation as to the accuracy of the status listed.)
Granted
Application number
CN202210277331.4A
Other languages
Chinese (zh)
Other versions
CN114359488B (en
Inventor
叶建平
Current Assignee (The listed assignees may be inaccurate. Google has not performed a legal analysis and makes no representation or warranty as to the accuracy of the list.)
Shenzhen Yitu Intelligent Technology Co ltd
Original Assignee
Shenzhen Yitu Intelligent Technology Co ltd
Priority date (The priority date is an assumption and is not a legal conclusion. Google has not performed a legal analysis and makes no representation as to the accuracy of the date listed.)
Filing date
Publication date
Application filed by Shenzhen Yitu Intelligent Technology Co ltdfiledCriticalShenzhen Yitu Intelligent Technology Co ltd
Priority to CN202210277331.4ApriorityCriticalpatent/CN114359488B/en
Publication of CN114359488ApublicationCriticalpatent/CN114359488A/en
Application grantedgrantedCritical
Publication of CN114359488BpublicationCriticalpatent/CN114359488B/en
Activelegal-statusCriticalCurrent
Anticipated expirationlegal-statusCritical

Links

Images

Landscapes

Abstract

The invention provides a skin three-dimensional model reconstruction method and a system based on a sequence CT image, belonging to the technical field of medical treatment, wherein the method comprises the following steps: acquiring a sequence CT image; preprocessing the sequence CT image to obtain an air threshold value; segmenting the sequence CT image by utilizing an air threshold value to obtain a first binary image comprising a human body area and a bed plate area; removing the bed board area of the first binarized image to obtain a second binarized image containing a human body area; filling up the holes in the human body area in the second binary image to obtain a third binary image; and performing three-dimensional reconstruction on the third binary image by using a three-dimensional reconstruction method to obtain a skin three-dimensional model. When the method is used for generating the skin three-dimensional model, the background around the human skin boundary in the sequence CT image can be automatically identified, the influence of the bed plate and the air in the human body on the body contour in the sequence CT image is further eliminated, the manual operation is reduced, and the timeliness is improved.

Description

Skin three-dimensional model reconstruction method and system based on sequence CT image
Technical Field
The invention belongs to the technical field of medical treatment, and particularly relates to a skin three-dimensional model reconstruction method and system based on sequential CT images.
Background
On the premise that 3D visualization of CT (computed tomography) images is more and more widely applied, the efficiency of processing sequence CT images and reconstructing three-dimensional models gradually becomes a focus of people's attention, and how to rapidly and automatically reconstruct three-dimensional models of different tissues or organs in sequence CT images is an urgent problem to be solved for scientific research and practical application. In the sequential CT image, the skin three-dimensional model is the basis of a medical application system, for example, a puncture planning system and a navigation positioning system need to be assisted according to the mark points on the skin surface, and for example, the skin three-dimensional model is also needed for 3D printing model, virtual reality and augmented reality applications, so how to quickly and accurately reconstruct the skin three-dimensional model in the sequential CT image is a problem to be solved.
At present, in the reconstruction process of the skin three-dimensional model, a seed region needs to be manually set or the skin three-dimensional model can be obtained through manual intervention treatment, the whole treatment process needs more manual operations, time is consumed, timeliness is poor, and meanwhile, technical personnel who need to treat have certain medical image cognition.
Disclosure of Invention
Aiming at the defects in the prior art, the invention provides the skin three-dimensional model reconstruction method and system based on the sequence CT images, which can automatically reconstruct the skin three-dimensional model, reduce manual operation and improve timeliness.
In a first aspect, a skin three-dimensional model reconstruction method based on sequential CT images includes:
acquiring a sequence CT image;
preprocessing the sequence CT image to obtain an air threshold value which is automatically denoised in the sequence CT image;
segmenting the sequence CT image by utilizing an air threshold value to obtain a first binary image comprising a human body area and a bed plate area;
removing the bed board area of the first binarized image to obtain a second binarized image containing a human body area;
filling up the holes in the human body area in the second binary image to obtain a third binary image;
and performing three-dimensional reconstruction on the third binary image by using a three-dimensional reconstruction method to obtain a skin three-dimensional model.
Preferably, the preprocessing the sequential CT image to obtain the automatically denoised air threshold in the sequential CT image specifically includes:
reconstructing the sequential CT images into three-dimensional data;
respectively taking pixel values of a plurality of voxels at each corner of the stereo data, and respectively averaging the pixel values of each corner to obtain an air average pixel value of each corner in the stereo data;
comparing the average pixel value of the air with an air standard threshold value to obtain an air standard threshold value representing an angle of the air; wherein an air criterion threshold characterizing an angle of air is less than the air criterion threshold; the air standard threshold is-500;
the air criterion thresholds characterizing the corners of the air are averaged to obtain the air threshold.
Preferably, the segmenting the sequence CT image by using the air threshold to obtain the first binarized image including the body region and the bed plate region specifically includes:
comparing and judging the pixel value of each voxel in the sequence CT image with an air threshold value;
setting the labeled value of the pixel value larger than the air threshold value as a first labeled value;
setting the pixel value marking value smaller than or equal to the air threshold value as a second marking value;
and removing the voxels with the second labeling value from the sequential CT image to obtain a first binarized image.
Preferably, the first noted value is 1 and the second noted value is 0.
Preferably, the removing the bed plate area of the first binarized image to obtain the second binarized image including the human body area specifically includes:
performing logical open operation on the first binarized image, and separating a human body area and a bed board area to obtain a separated binarized image with the human body area and the bed board area separated;
and extracting and separating the maximum connected region in the binary image to obtain a second binary image.
Preferably, filling up the hole in the human body region in the second binarized image to obtain a third binarized image specifically includes:
negating the labeled value of each voxel in the second binary image to obtain a negated binary image;
extracting the maximum connected region in the inverted binary image to obtain a human body binary image;
and negating the labeled value of each voxel in the human body binary image to obtain a third binary image.
Preferably, the three-dimensional reconstruction of the third binarized image by using the three-dimensional reconstruction method to obtain the three-dimensional model of the skin specifically includes:
performing three-dimensional reconstruction on the third binary image by using a three-dimensional reconstruction method to obtain a skin preliminary model;
and optimizing the skin preliminary model, and reducing the number of triangular surfaces in the skin preliminary model to obtain a skin three-dimensional model.
Preferably, after obtaining the three-dimensional model of the skin, the method further comprises:
and displaying or outputting the three-dimensional model of the skin.
In a second aspect, a skin three-dimensional model reconstruction system based on sequential CT images includes:
a collecting unit: for acquiring sequential CT images;
a pretreatment unit: the automatic denoising method comprises the steps of preprocessing a sequence CT image to obtain an automatic denoising air threshold value in the sequence CT image;
an air separation unit: the system comprises a sequence CT image acquisition unit, a sequence CT image acquisition unit and a sequence CT image acquisition unit, wherein the sequence CT image acquisition unit is used for acquiring a sequence CT image by utilizing an air threshold value to acquire a first binarized image comprising a human body area and a bed board area;
a bed plate removing unit: the bed board area is used for removing the first binarized image to obtain a second binarized image containing a human body area;
an air filling unit: the second binarization image is used for filling up the holes of the human body area in the second binarization image to obtain a third binarization image;
a reconstruction unit: and the three-dimensional reconstruction method is used for performing three-dimensional reconstruction on the third binary image to obtain a skin three-dimensional model.
Preferably, the method further comprises the following steps:
an output unit: for displaying or outputting the three-dimensional model of the skin.
According to the technical scheme, the skin three-dimensional model reconstruction method and system based on the sequential CT images can automatically identify the background around the human body skin boundary in the sequential CT images, further eliminate the influence of the bed plate and the air in the body on the sequential CT images, obtain the segmentation data of the complete body contour in the sequential CT images, and reconstruct the skin three-dimensional model by using the three-dimensional reconstruction method, and have the following advantages:
1. the efficiency of reconstructing the skin three-dimensional model by the sequence CT image is greatly improved, and the timeliness is improved.
2. No anyone is needed to interact in the processing process, so that manual operation is reduced, and the conditions of errors and errors caused by manual operation are reduced while the efficiency is improved.
3. The efficiency of the application of the skin three-dimensional model is improved, and the time is gained for the subsequent other treatment and application.
Drawings
In order to more clearly illustrate the detailed description of the invention or the technical solutions in the prior art, the drawings that are needed in the detailed description of the invention or the prior art will be briefly described below. Throughout the drawings, like elements or portions are generally identified by like reference numerals. In the drawings, elements or portions are not necessarily drawn to scale.
Fig. 1 is a flowchart of a skin three-dimensional model reconstruction method according to an embodiment.
FIG. 2 is a flowchart of a pre-processing method according to an embodiment.
Fig. 3 is a schematic diagram of stereo data provided by an embodiment.
Fig. 4 is a flowchart of an air separation method according to an embodiment.
Fig. 5 is a flowchart of a method for dividing a bed slab according to an embodiment.
Fig. 6 is a flowchart of a hole filling method according to an embodiment.
Fig. 7 is a flowchart of a model reconstruction method according to an embodiment.
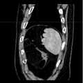
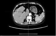
Fig. 8a is a schematic diagram of a sequence of CT images viewed from a transverse direction.
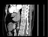
Figure 8b is a schematic representation of a sequence of CT images viewed from the sagittal plane.
Fig. 8c is a schematic view of a sequence of CT images viewed from the coronal direction.
Fig. 9a is a schematic view of the second binarized image viewed from the cross-sectional direction.
Fig. 9b is a schematic diagram of the second binarized image viewed from the sagittal plane direction.
Fig. 9c is a schematic view of the second binarized image as viewed from the coronal plane direction.
Fig. 10a is a schematic view of the third binarized image viewed from the transverse direction.
Fig. 10b is a schematic diagram of the third binarized image viewed from the sagittal plane direction.
Fig. 10c is a schematic diagram of the third binarized image viewed from the coronal plane direction.
Fig. 11a is a schematic diagram of obtaining a third binarized image.
Fig. 11b is a schematic diagram of obtaining a three-dimensional model of the skin.
Fig. 11c is a schematic diagram of the fusion of the third binarized image and the three-dimensional model of the skin.
FIG. 11d is a schematic diagram of the fusion of a three-dimensional model of the skin and sequential CT images.
Fig. 12a is a schematic diagram of the superposition of the three-dimensional model of the skin and the binary image viewed from the cross section direction.
FIG. 12b is a schematic diagram of the superposition of the skin three-dimensional model and the binary image viewed from the sagittal plane direction.
Fig. 12c is a schematic diagram of the superposition of the three-dimensional model of the skin viewed from the coronal direction and the binarized image.
Fig. 13a is a schematic diagram of a three-dimensional model of chest skin obtained by the method.
Fig. 13b is a schematic diagram of the three-dimensional model of the abdominal skin obtained by this method.
Fig. 13c is a schematic diagram of a three-dimensional model of abdominal plus pelvic skin obtained by the method.
Fig. 14 is a block diagram of a skin three-dimensional model reconstruction system according to an embodiment.
Detailed Description
Embodiments of the present invention will be described in detail below with reference to the accompanying drawings. The following examples are only for illustrating the technical solutions of the present invention more clearly, and therefore are only examples, and the protection scope of the present invention is not limited thereby. It is to be noted that, unless otherwise specified, technical or scientific terms used herein shall have the ordinary meaning as understood by those skilled in the art to which the invention pertains.
It will be understood that the terms "comprises" and/or "comprising," when used in this specification and the appended claims, specify the presence of stated features, integers, steps, operations, elements, and/or components, but do not preclude the presence or addition of one or more other features, integers, steps, operations, elements, components, and/or groups thereof.
It is also to be understood that the terminology used in the description of the invention herein is for the purpose of describing particular embodiments only and is not intended to be limiting of the invention. As used in the specification of the present invention and the appended claims, the singular forms "a," "an," and "the" are intended to include the plural forms as well, unless the context clearly indicates otherwise.
As used in this specification and the appended claims, the term "if" may be interpreted contextually as "when", "upon" or "in response to a determination" or "in response to a detection". Similarly, the phrase "if it is determined" or "if a [ described condition or event ] is detected" may be interpreted contextually to mean "upon determining" or "in response to determining" or "upon detecting [ described condition or event ]" or "in response to detecting [ described condition or event ]".
Example (b):
a skin three-dimensional model reconstruction method based on sequential CT images, referring to fig. 1, comprising:
s1: acquiring a sequence CT image;
s2: preprocessing the sequence CT image to obtain an air threshold value which is automatically denoised in the sequence CT image;
s3: segmenting the sequence CT image by utilizing an air threshold value to obtain a first binary image comprising a human body area and a bed plate area;
s4: removing the bed board area of the first binarized image to obtain a second binarized image containing a human body area;
s5: filling up the holes in the human body area in the second binary image to obtain a third binary image;
s6: and performing three-dimensional reconstruction on the third binary image by using a three-dimensional reconstruction method to obtain a skin three-dimensional model.
In the present embodiment, the serial CT images may be DICOM 3.0-compliant serial CT images read from a CT inspection device or a pacs (picture archiving and communication system) system. If the data packet read from the CT examination equipment or the PACS system contains a plurality of stages, the data in the data packet needs to be subjected to stage operation, and proper stage data is selected for skin three-dimensional model reconstruction. The staging of sequential CT images is determined primarily by the study ID and series ID of the images. For example, in the staging operation, the study ID and the series ID of each image are read first, the images with the same study ID and series ID are divided into the same stage, and the images in the same stage can be stored in different directories respectively.
In this embodiment, because the change of the shooting environment may cause noise in the sequence CT images, for example, the shooting environment is too dark or too bright, different shooting spaces, and different shooting parameters may cause noise in the sequence CT images, and cause different pixel values of voxels characterizing air in different sequence CT images, the method uses an air threshold to segment air in the sequence CT images, eliminates an image background of the sequence CT images, and obtains a first binarized image only including a human body region and a bed plate region.
In this embodiment, after segmenting the image background of the sequential CT image, the method then eliminates the bed plate area in the sequential CT image. Because a person lies on the bed plate or leans against the back plate to shoot the CT, the obtained sequential CT image comprises a human body area and a bed plate area, the bed plate area comprises voxels representing the bed plate or the back plate, and in order to reconstruct the skin three-dimensional model, the bed plate area in the sequential CT image needs to be separated, so that the influence of the bed plate on the reconstruction of the skin three-dimensional model is eliminated.
In this embodiment, since air also exists inside the human body, when the method performs air segmentation on the sequence CT image, voxels representing the air inside the human body are removed in addition to voxels representing the air outside the human body, so to solve the problem that holes exist in a human body region due to the removal of the voxels representing the air inside the human body, the voxels of the holes need to be filled in the human body region, so that the complete skin of the human body can be obtained, and finally, the three-dimensional reconstruction method is used to perform three-dimensional reconstruction on the third binary image to obtain the three-dimensional skin model.
The skin three-dimensional model reconstruction method can automatically identify the background around the human body skin boundary in the sequence CT image, further eliminate the influence of the bed plate and the air in the body on the sequence CT image, obtain the segmentation data of the complete body contour in the sequence CT image, and reconstruct the skin three-dimensional model by utilizing the three-dimensional reconstruction method, and has the following advantages:
1. the efficiency of reconstructing the skin three-dimensional model by the sequence CT image is greatly improved, and the timeliness is improved.
2. No anyone is needed to interact in the processing process, so that manual operation is reduced, and the conditions of errors and errors caused by manual operation are reduced while the efficiency is improved.
3. The efficiency of the application of the skin three-dimensional model is improved, and the time is gained for the subsequent other treatment and application.
Further, in some embodiments, referring to fig. 2, preprocessing the sequential CT images to obtain the air threshold specifically includes:
s11: reconstructing the sequential CT images into three-dimensional data;
s12: respectively taking pixel values of a plurality of voxels at each corner of the stereo data, and respectively averaging the pixel values of each corner to obtain an air average pixel value of each corner in the stereo data;
s13: comparing the average pixel value of the air with an air standard threshold value to obtain an air standard threshold value representing an angle of the air; wherein an air criterion threshold characterizing an angle of air is less than the air criterion threshold;
s14: the air criterion thresholds characterizing the corners of the air are averaged to obtain the air threshold.
In the present embodiment, referring to fig. 3, the stereo data may be obtained by reading sequential CT images in a top-down manner. Assuming that the resolution of the sequential CT image conforming to DICOM3.0 is 512 × 512, if there are 400 sequential CT images in a session, the reconstructed volume data is a volume data with three-dimensional space, and the volume is 512 × 400, where each coordinate position in the volume data is called a voxel.
In this embodiment, the stereo data is generally a cube with 8 corners. The method includes the steps that pixel values of a plurality of voxels are taken in each corner of stereo data, for example, pixel values of 9 voxels are taken near each corner, the pixel values of the 9 voxels are averaged to obtain an air average pixel value of each corner, then the method can obtain air average pixel values of 8 corners, then the air average pixel values of 8 corners are sequentially compared with an air standard threshold, the air standard threshold can be set to be-500, when the air average pixel value is smaller than-500, the corner is indicated to be air, finally the air average pixel value of 8 corners which is indicated to be air is selected, and the selected air average pixel value is averaged to obtain the air threshold of the CT image.
In this embodiment, in the serial CT image, the DICOM data standard defines that the pixel value of the voxel representing air is-1024, and the lowest pixel value of the adipose tissue representing the lowest pixel in the human body region is about-100, so there are some excessive pixels on the contact surface between air and body skin, and generally-500 is taken as the boundary to distinguish the skin tissue. However, due to different CT devices and different scanning parameters, some sequence CT images have noise, so that the pixel value representing air is higher than-1024, and since the noise characteristics of the whole sequence CT images are consistent, the method can calculate air noise in addition to the air threshold by using the above method, and calculate the air threshold by using the air noise, where the calculation formula is as follows: t2= -500+ (T1+1024), T2 is the air threshold, T1 is the actual air average pixel value, and T1+1024 is the air noise.
Further, in some embodiments, referring to fig. 4, segmenting the sequence CT image using the air threshold to obtain a first binarized image including the body region and the couch plate region specifically includes:
s21: comparing and judging the pixel value of each voxel in the sequence CT image with an air threshold value;
s22: setting the labeled value of the pixel value larger than the air threshold value as a first labeled value;
s23: setting the pixel value marking value smaller than or equal to the air threshold value as a second marking value;
s24: and removing the voxels with the second labeling value from the sequential CT image to obtain a first binarized image.
In this embodiment, when performing air segmentation on the sequential CT image, binarization of the sequential CT image is required. The binarization may be performed by labeling voxels representing air as one value and voxels representing non-air as another value, and the binarization is performed to distinguish air regions from non-air regions in the sequential CT images.
In this embodiment, when the method performs binarization, the first labeled value is 1, the second labeled value is 0, that is, the pixel value greater than the air threshold is labeled as 1, and the pixel value less than or equal to the air threshold is labeled as 0, so that the non-air region of the sequence CT image can be labeled by 1, and the air region of the sequence CT image can be labeled by 0. And finally, removing the voxels marked as 0 in the sequence CT image to obtain a non-air region of the sequence CT image. In this way, the method can automatically determine the air threshold value for air segmentation, and does not need manual segmentation of air in the CT images of the sequence.
Further, in some embodiments, referring to fig. 5, the removing the bed plate area of the first binarized image to obtain the second binarized image including the human body area specifically includes:
s31: performing logical open operation on the first binarized image, and separating a human body area and a bed board area to obtain a separated binarized image with the human body area and the bed board area separated;
s32: and extracting and separating the maximum connected region in the binary image to obtain a second binary image.
In this embodiment, since the sequence CT images segmented by air include voxels characterizing the human body and the bed plate, the method also needs to separate the bed plate region out of the non-air region. Because the bed board shape of the CT inspection equipment, different body states of a human body and different contact parts between the human body and the CT inspection equipment can cause the adhesion of the human body and the bed board in a non-air area, namely, the body outline in a binary image is communicated with a bed board high-density area, and because the general bed board high-density area does not exceed 3 voxels, the method can carry out logical opening operation with the radius of 3 pixels on the first binary image, the logical opening operation can not change the shape of the body outline, and the communication between the body outline and the back board can be disconnected, the operation can separate the human body area from the bed board area in the sequence CT image, and a complete human body area can be obtained. Since the human body area in the sequence CT image is far larger than the bed plate area, the method extracts the maximum communication area to obtain the human body area, so that the influence of the bed plate in the sequence CT image can be eliminated.
Further, in some embodiments, referring to fig. 6, filling up the hole in the human body region in the second binarized image to obtain a third binarized image specifically includes:
s41: negating the labeled value of each voxel in the second binary image to obtain a negated binary image;
s42: extracting the maximum connected region in the inverted binary image to obtain a human body binary image;
s43: and negating the labeled value of each voxel in the human body binary image to obtain a third binary image.
In this embodiment, since the method labels the non-air region as 1 and the air region as 0 when performing air segmentation, the method negates the labeled value of each voxel in the second binarized image when filling up the void in the human body region in the second binarized image, for example, if the labeled value of a voxel is 1, then negate to obtain 0, and if the labeled value of a voxel is 0, then negate to obtain 1. At this time, because the volume of the low-threshold part (namely the part of the air inside the human body) in the human body region is far smaller than that of the human body region, and the region of the air inside the human body is not communicated with the region outside the human body, the low-threshold part in the human body region can be eliminated by extracting the maximum communication region at this time, the complete region outside the human body is obtained, finally, the label value of each voxel in the extracted maximum communication region is negated, and the label value of each voxel in the human body region is reduced to 1, so that the binary image of the human body region without holes can be automatically and effectively segmented on the premise of not changing the shape and the contour of the binary image.
Further, in some embodiments, referring to fig. 7, the three-dimensional reconstruction of the third binarized image by using the three-dimensional reconstruction method to obtain the three-dimensional model of the skin specifically includes:
s51: performing three-dimensional reconstruction on the third binary image by using a three-dimensional reconstruction method to obtain a skin preliminary model;
s52: and optimizing the skin preliminary model, and reducing the number of triangular surfaces in the skin preliminary model to obtain a skin three-dimensional model.
In this embodiment, the three-dimensional reconstruction method may be a Marching Cub method, but considering that the skin should be a smooth surface, the skin preliminary model may be optimized after the skin preliminary model is obtained, so as to reduce the number of triangle faces in the skin preliminary model and obtain a final skin three-dimensional model, and thus the method can realize automatic reconstruction of the skin three-dimensional model in the sequence CT images.
Further, in some embodiments, after obtaining the three-dimensional model of the skin, the method further includes:
and displaying or outputting the three-dimensional model of the skin.
In this embodiment, after the skin three-dimensional model is obtained by the method, the skin three-dimensional model may be subjected to 3D visualization in a 3D view, or may be saved as a format file STL of Mesh for output.
To further illustrate the accuracy of the three-dimensional model of the skin generated by this method, the present embodiment provides the following example for illustration:
fig. 8a-8c are raw three-dimensional data of sequential CT images viewed from three directions, the transverse, sagittal and coronal planes, respectively. Fig. 9a to 9c are the second binarized images obtained after the method removes the bed plate area, respectively, and it can be seen from fig. 9a to 9c that none of the skin surface contours of the human body area is damaged. Fig. 10a to 10c are respectively third binarized images obtained after filling the cavity by the method, and it can be seen from fig. 10a to 10c that the third binarized images are completely overlapped with the original three-dimensional data of the sequence CT image, and the lung region with a low threshold value is effectively filled. As can be seen from FIGS. 11a-11d, after another serial CT image is reconstructed by the method, the three-dimensional model of the skin can be fused with the third binary image and the serial CT image. And finally mapping the obtained three-dimensional model of the skin back to a 2D mode, and comparing the coincidence degree of the skin boundary in the three-dimensional model of the skin and the binary image to obtain figures 12a-12 c. In addition, the three-dimensional models of the skin of other parts of the human body obtained by the method are shown in figures 13a-13 c.
A skin three-dimensional model reconstruction system based on sequential CT images, see fig. 14, comprising:
the acquisition unit 1: for acquiring sequential CT images;
the pretreatment unit 2: the automatic denoising method comprises the steps of preprocessing a sequence CT image to obtain an automatic denoising air threshold value in the sequence CT image;
air separation unit 3: the system comprises a sequence CT image acquisition unit, a sequence CT image acquisition unit and a sequence CT image acquisition unit, wherein the sequence CT image acquisition unit is used for acquiring a sequence CT image by utilizing an air threshold value to acquire a first binarized image comprising a human body area and a bed board area;
the bed plate removing unit 4: the bed board area is used for removing the first binarized image to obtain a second binarized image containing a human body area;
air filling unit 5: the second binarization image is used for filling up the holes of the human body area in the second binarization image to obtain a third binarization image;
the reconstruction unit 6: and the three-dimensional reconstruction method is used for performing three-dimensional reconstruction on the third binary image to obtain a skin three-dimensional model.
Further, in some embodiments, thepreprocessing unit 2 is specifically configured to:
reconstructing the sequential CT images into three-dimensional data;
respectively taking pixel values of a plurality of voxels at each corner of the stereo data, and respectively averaging the pixel values of each corner to obtain an air average pixel value of each corner in the stereo data;
comparing the average pixel value of the air with an air standard threshold value to obtain an air standard threshold value representing an angle of the air; wherein an air criterion threshold characterizing an angle of air is less than the air criterion threshold; the air standard threshold is-500;
the air criterion thresholds characterizing the corners of the air are averaged to obtain the air threshold.
Further, in some embodiments, theair separation unit 3 is specifically configured to:
comparing and judging the pixel value of each voxel in the sequence CT image with an air threshold value;
setting the labeled value of the pixel value larger than the air threshold value as a first labeled value;
setting the pixel value marking value smaller than or equal to the air threshold value as a second marking value;
and removing the voxels with the second labeling value from the sequential CT image to obtain a first binarized image.
Further, in some embodiments, the first labeled value is 1 and the second labeled value is 0.
Further, in some embodiments, the bedplate removing unit 4 is specifically configured to:
performing logical open operation on the first binarized image, and separating a human body area and a bed board area to obtain a separated binarized image with the human body area and the bed board area separated;
and extracting and separating the maximum connected region in the binary image to obtain a second binary image.
Further, in some embodiments, theair refill unit 5 is specifically configured to:
negating the labeled value of each voxel in the second binary image to obtain a negated binary image;
extracting the maximum connected region in the inverted binary image to obtain a human body binary image;
and negating the labeled value of each voxel in the human body binary image to obtain a third binary image.
Further, in some embodiments, thereconstruction unit 6 is specifically configured to:
performing three-dimensional reconstruction on the third binary image by using a three-dimensional reconstruction method to obtain a skin preliminary model;
and optimizing the skin preliminary model, and reducing the number of triangular surfaces in the skin preliminary model to obtain a skin three-dimensional model.
Further, in some embodiments, the method further comprises:
an output unit 7: for displaying or outputting the three-dimensional model of the skin.
For the sake of brief description, the system provided by the embodiment of the present invention may refer to the corresponding content in the foregoing embodiments.
Finally, it should be noted that: the above embodiments are only used to illustrate the technical solution of the present invention, and not to limit the same; while the invention has been described in detail and with reference to the foregoing embodiments, it will be understood by those skilled in the art that: the technical solutions described in the foregoing embodiments may still be modified, or some or all of the technical features may be equivalently replaced; such modifications and substitutions do not depart from the spirit and scope of the present invention, and they should be construed as being included in the following claims and description.

Claims (10)

CN202210277331.4A2022-03-212022-03-21Skin three-dimensional model reconstruction method and system based on sequence CT imageActiveCN114359488B (en)

Priority Applications (1)

Application NumberPriority DateFiling DateTitle
CN202210277331.4ACN114359488B (en)2022-03-212022-03-21Skin three-dimensional model reconstruction method and system based on sequence CT image

Applications Claiming Priority (1)

Application NumberPriority DateFiling DateTitle
CN202210277331.4ACN114359488B (en)2022-03-212022-03-21Skin three-dimensional model reconstruction method and system based on sequence CT image

Publications (2)

Publication NumberPublication Date
CN114359488Atrue CN114359488A (en)2022-04-15
CN114359488B CN114359488B (en)2022-06-10

Family

ID=81094981

Family Applications (1)

Application NumberTitlePriority DateFiling Date
CN202210277331.4AActiveCN114359488B (en)2022-03-212022-03-21Skin three-dimensional model reconstruction method and system based on sequence CT image

Country Status (1)

CountryLink
CN (1)CN114359488B (en)

Citations (9)

* Cited by examiner, † Cited by third party
Publication numberPriority datePublication dateAssigneeTitle
CN101334895A (en)*2008-08-072008-12-31清华大学 An Image Segmentation Method for Dynamically Enhanced Breast Magnetic Resonance Image Sequences
CN103337071A (en)*2013-06-192013-10-02北京理工大学Device and method for structure-reconstruction-based subcutaneous vein three-dimensional visualization
CN105303605A (en)*2015-10-262016-02-03哈尔滨理工大学Orthopedic surgery operation simulation system on the basis of force feedback
CN105590322A (en)*2016-01-282016-05-18珠海和佳医疗设备股份有限公司Extraction method of skin area in medical image
CN105976339A (en)*2016-05-112016-09-28妙智科技(深圳)有限公司Method and device for automatically removing bed plate in CT image based on Gaussian model
US20180263698A1 (en)*2017-03-202018-09-20MedicalTek Co. LtdImage registration and augmented reality system and method augmented reality thereof
US20200066008A1 (en)*2018-08-212020-02-27Shanghai United Imaging Healthcare Co., Ltd.Systems and methods for iterative reconstruction
CN111053598A (en)*2019-12-032020-04-24天津大学Augmented reality system platform based on projector
CN114155140A (en)*2021-12-012022-03-08江苏瑞尔医疗科技有限公司 A method for removing bed plate in CT image

Patent Citations (9)

* Cited by examiner, † Cited by third party
Publication numberPriority datePublication dateAssigneeTitle
CN101334895A (en)*2008-08-072008-12-31清华大学 An Image Segmentation Method for Dynamically Enhanced Breast Magnetic Resonance Image Sequences
CN103337071A (en)*2013-06-192013-10-02北京理工大学Device and method for structure-reconstruction-based subcutaneous vein three-dimensional visualization
CN105303605A (en)*2015-10-262016-02-03哈尔滨理工大学Orthopedic surgery operation simulation system on the basis of force feedback
CN105590322A (en)*2016-01-282016-05-18珠海和佳医疗设备股份有限公司Extraction method of skin area in medical image
CN105976339A (en)*2016-05-112016-09-28妙智科技(深圳)有限公司Method and device for automatically removing bed plate in CT image based on Gaussian model
US20180263698A1 (en)*2017-03-202018-09-20MedicalTek Co. LtdImage registration and augmented reality system and method augmented reality thereof
US20200066008A1 (en)*2018-08-212020-02-27Shanghai United Imaging Healthcare Co., Ltd.Systems and methods for iterative reconstruction
CN111053598A (en)*2019-12-032020-04-24天津大学Augmented reality system platform based on projector
CN114155140A (en)*2021-12-012022-03-08江苏瑞尔医疗科技有限公司 A method for removing bed plate in CT image

Non-Patent Citations (1)

* Cited by examiner, † Cited by third party
Title
袁琳: "肺实质统计建模与可视化系统", 《中国优秀博硕士学位论文全文数据库(硕士)信息科技辑》*

Also Published As

Publication numberPublication date
CN114359488B (en)2022-06-10

Similar Documents

PublicationPublication DateTitle
US7447344B2 (en)System and method for visualization of pulmonary emboli from high-resolution computed tomography images
CN111402277B (en)Object outline segmentation method and device for medical image
JP2011514190A (en) Method and system for segmentation and modeling of anatomical structures in images
WO2010024985A1 (en)System and method for recognition and labeling of anatomical structures in medical imaging scans
CN111275722A (en)Lung segment and liver segment segmentation method and system
WO2003046817A1 (en)Detection and analysis of lesions in contact with a structural boundary
CN111583385A (en) A personalized deformation method and system for a deformable digital human anatomy model
CN117152173A (en) A coronary artery segmentation method and system based on DUNetR model
CN115330817A (en) Pneumothorax lesion segmentation method and related equipment based on Swin-Unet and morphological processing
CN118334273A (en)Automatic extraction method, device and storage medium for aortic sinus ostium plane
US11551371B2 (en)Analyzing symmetry in image data
Hill et al.Medical image registration using knowledge of adjacency of anatomical structures
CN114359488B (en)Skin three-dimensional model reconstruction method and system based on sequence CT image
CN112116623B (en)Image segmentation method and device
CN117876677B (en) Medical small target segmentation method and system based on multi-scale feature fusion and two-stage joint learning
CN118967927A (en) A combined hepatobiliary medical image processing and analysis software system
Han et al.Automatic segmentation editing for cortical surface reconstruction
CN116309647B (en) Brain lesion image segmentation model construction method, image segmentation method and equipment
CN114463304B (en)Method for segmenting and labeling brain atlas and operation navigation system
CN116645389A (en) A personalized vascular thrombus three-dimensional structure modeling method and system
Linguraru et al.Multi-organ automatic segmentation in 4D contrast-enhanced abdominal CT
CN116934885A (en)Lung segmentation method, device, electronic equipment and storage medium
CN112712508A (en)Method and device for determining pneumothorax
CN117476219B (en) Auxiliary method and auxiliary system for locating CT tomographic images based on big data analysis
CN113222886B (en)Jugular fossa and sigmoid sinus groove positioning method and intelligent temporal bone image processing system

Legal Events

DateCodeTitleDescription
PB01Publication
PB01Publication
SE01Entry into force of request for substantive examination
SE01Entry into force of request for substantive examination
GR01Patent grant
GR01Patent grant

[8]ページ先頭

©2009-2025 Movatter.jp