Movatterモバイル変換


[0]ホーム

URL:


CN114032432A - Biological high-entropy alloy and preparation method thereof - Google Patents

Biological high-entropy alloy and preparation method thereof
Download PDF

Info

Publication number
CN114032432A
CN114032432ACN202111025849.0ACN202111025849ACN114032432ACN 114032432 ACN114032432 ACN 114032432ACN 202111025849 ACN202111025849 ACN 202111025849ACN 114032432 ACN114032432 ACN 114032432A
Authority
CN
China
Prior art keywords
pressure
preparation
alloy
entropy alloy
melting
Prior art date
Legal status (The legal status is an assumption and is not a legal conclusion. Google has not performed a legal analysis and makes no representation as to the accuracy of the status listed.)
Pending
Application number
CN202111025849.0A
Other languages
Chinese (zh)
Inventor
马腾飞
李巧玉
赵曦
王晓红
董多
朱冬冬
张元祥
周兆忠
Current Assignee (The listed assignees may be inaccurate. Google has not performed a legal analysis and makes no representation or warranty as to the accuracy of the list.)
Quzhou University
Original Assignee
Quzhou University
Priority date (The priority date is an assumption and is not a legal conclusion. Google has not performed a legal analysis and makes no representation as to the accuracy of the date listed.)
Filing date
Publication date
Application filed by Quzhou UniversityfiledCriticalQuzhou University
Priority to CN202111025849.0ApriorityCriticalpatent/CN114032432A/en
Publication of CN114032432ApublicationCriticalpatent/CN114032432A/en
Pendinglegal-statusCriticalCurrent

Links

Images

Classifications

Landscapes

Abstract

Translated fromChinese

本发明公开了一种生物高熵合金及其制备方法,属于材料加工领域。制备方法如下,以对人体无毒副作用的Ti、Zr、Ta、Nb、Sn合金元素为基础,将一定化学计量比的Ti、Zr、Ta、Nb、Sn颗粒通过真空电弧熔炼的方法制备合金铸锭,再切取试样在高压六面顶的腔体中进行高压凝固,先将压力升高至预设压力2~15GPa,同时启动测温装置,并快速将样品加热到预设的熔化温度,在该温度下保温保压5~10min,关闭电源停止加热,待自然冷却到室温,卸压后取出试样,得到高压凝固高熵合金材料。本发明通过合金成分设计、采用真空电弧熔炼加高压凝固两步法制备低偏析、单相生物高熵合金材料,为低偏析、高性能新材料制备提供新思路。

Figure 202111025849

The invention discloses a biological high-entropy alloy and a preparation method thereof, belonging to the field of material processing. The preparation method is as follows. Based on Ti, Zr, Ta, Nb, Sn alloy elements that have no toxic and side effects on human body, Ti, Zr, Ta, Nb, Sn particles in a certain stoichiometric ratio are prepared by vacuum arc melting method to prepare alloy casting. The ingot is cut, and the sample is cut into the cavity of the high-pressure six-sided roof for high-pressure solidification. First, the pressure is raised to the preset pressure of 2-15GPa, and the temperature measuring device is activated at the same time, and the sample is quickly heated to the preset melting temperature. The temperature was kept under pressure for 5-10 minutes, and the power was turned off to stop heating. After cooling to room temperature naturally, the samples were taken out after pressure relief to obtain high-pressure solidified high-entropy alloy materials. The present invention prepares low-segregation, single-phase biological high-entropy alloy materials by means of alloy composition design and a two-step method of vacuum arc melting and high-pressure solidification, and provides a new idea for the preparation of low-segregation and high-performance new materials.

Figure 202111025849

Description

Biological high-entropy alloy and preparation method thereof
Technical Field
The invention belongs to the technical field of metal material processing, and particularly relates to a preparation method of a biological high-entropy alloy material.
Background
The high-entropy alloy is a brand-new alloy design concept proposed at the beginning of this century, and is a multi-principal-element high-entropy alloy which takes five or more alloy elements as principal elements and each element is 5-35% in content, so that the design concept of a single principal element of the traditional alloy is broken, and a new idea is created for the field of alloy design. The unique component characteristics of the high-entropy alloy enable the high-entropy alloy to have excellent performances which cannot be simultaneously possessed by traditional alloys such as high strength, hard wear resistance and corrosivity, and the high-entropy alloy has wide application prospects in the fields of aerospace, nuclear power and biomedicine. In addition, according to experimental results, the TiNbTaZrMo high-entropy alloy has more excellent biocompatibility than pure titanium and stainless steel. Earlier researches show that the high-entropy alloy with the BCC structure has lower overall elastic modulus, can achieve better matching with human body, and is more suitable to be used as an implant material. The high-entropy alloy contains higher refractory metal elements, and is easy to segregate in the smelting process, so that a Laves phase which is not beneficial to performance is formed, and a single-phase alloy cannot be obtained. Therefore, how to prepare the low segregation single-phase biological high-entropy alloy is one of the technical problems to be solved urgently at present.
Disclosure of Invention
The invention aims to prepare a low-segregation and single-phase biological high-entropy alloy by alloy component design and adopting vacuum consumable melting and high-pressure solidification, and provides a biological high-entropy alloy and a preparation method thereof based on the low-segregation and single-phase biological high-entropy alloy.
In order to achieve the purpose, the invention adopts the following specific technical scheme:
in a first aspect, the invention provides a biological high-entropy alloy, which is a low-segregation and single-phase BCC structure Ti-Zr-Ta-Nb-Sn high-entropy alloy material prepared by adopting a two-step method of vacuum arc melting and high-pressure solidification after proportioning raw materials on the basis of Ti, Zr, Ta, Nb and Sn alloy elements which have no toxic or side effect on a human body.
In a second aspect, the invention provides a preparation method of a biological high-entropy alloy, which comprises the following steps:
taking Ti, Zr, Ta, Nb and Sn particles as raw materials, weighing the raw materials according to the component proportion of the alloy, and then placing the raw materials in a vacuum arc melting furnace for multiple times of vacuum consumable melting until the components of the alloy are uniform to obtain an ingot; cutting a columnar sample from an ingot, placing the columnar sample in a cavity of a high-pressure six-top mold for high-pressure solidification, raising the pressure to a preset pressure in the high-pressure solidification process, heating the columnar sample to a preset melting temperature, keeping the temperature and the pressure for a certain time at the melting temperature, stopping heating, naturally cooling to room temperature, releasing the pressure, taking out the sample, and finally obtaining the low-segregation single-phase BCC structure Ti-Zr-Ta-Nb-Sn high-entropy alloy material.
Preferably, each component in the Ti-Zr-Ta-Nb-Sn high-entropy alloy is Ti: 25-45%; zr: 20-35%; ta: 5-25%; nb: 5-25%; sn: 10 to 25 percent.
Preferably, the Ti, Zr, Ta, Nb and Sn particles have a purity of > 99% and a particle size of phi 3mm x 5 mm.
Preferably, the raw material is placed in a crucible of a vacuum arc melting furnace for melting, wherein Sn and Ti particles with lower melting points are placed at the bottom of the crucible, and Zr, Ta and Nb particles with higher melting points are placed on the upper layer; vacuumizing the vacuum arc melting furnace, and then reversely filling argon as a protective atmosphere.
Preferably, the number of times of the vacuum consumable melting is 5 or more.
Preferably, in the vacuum consumable melting process, the current is 350-450A, and the voltage is 20-40V.
Preferably, the preset pressure in the high-pressure solidification process is 2-15 GPa.
Preferably, the heat preservation and pressure maintaining time in the high-pressure solidification process is 5-10 min.
Preferably, the melting temperature during the high pressure solidification is 1600 ℃ to 1700 ℃.
In a third aspect, the invention provides a biological high-entropy alloy prepared by the preparation method in any one of the second aspects.
Compared with the prior art, the invention has the following beneficial effects:
1. the high-entropy alloy prepared by the invention has low segregation and a single-phase structure, has excellent mechanical property and corrosion property, is simple in process and convenient to operate, and is suitable for industrial large-scale production.
2. The invention adopts the high-pressure solidification technology, can obtain a nanometer precipitated phase while eliminating segregation, and improves the mechanical property of the alloy.
3. The invention adopts the high-pressure solidification technology, can widen the component range of the high-entropy alloy, obtains the single-phase high-entropy alloy in a wider range, and widens the preparation process window of the high-entropy alloy.
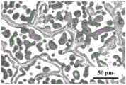
Drawings
FIG. 1 is a structural gold phase diagram of a Ti35Zr25Ta15Nb15Sn10 high-entropy alloy solidified under normal pressure;
FIG. 2 is a structural gold phase diagram of a Ti35Zr25Ta15Nb15Sn10 high-entropy alloy solidified under the condition of 4 GPa.
Detailed Description
The invention will be further elucidated and described with reference to the drawings and the detailed description.
The invention provides a biological high-entropy alloy, which is a low-segregation and single-phase BCC structural Ti-Zr-Ta-Nb-Sn biological high-entropy alloy prepared by adopting a two-step method of vacuum arc melting and high-pressure solidification after the alloy components are proportioned on the basis of Ti, Zr, Ta, Nb and Sn alloy elements which have no toxic or side effect on a human body.
The component proportion in the high-entropy alloy can be optimized according to the actual situation. Preferably, the Ti-Zr-Ta-Nb-Sn high-entropy alloy comprises the following components in percentage by atom: 25-45%; zr: 20-35%; ta: 5-25%; nb: 5-25%; sn: 10 to 25 percent.
The alloy material is prepared by a two-step method of vacuum arc melting and high-pressure solidification, and the mechanical property and the corrosion property of the alloy can be improved. The preparation method of the biological high-entropy alloy is detailed below, and comprises the following specific steps:
(1) vacuum arc melting: ti, Zr, Ta, Nb and Sn particles are used as raw materials, the raw materials are weighed according to the component proportion of the alloy, and then the raw materials are all put into a water-cooled copper crucible of a vacuum arc melting furnace, Sn and Ti particles with lower melting points are put at the bottom of the water-cooled copper crucible when the raw materials are placed, and Zr, Ta and Nb particles with higher melting points are put on the upper layer. After the raw materials are put well, vacuumizing the vacuum arc melting furnace, then reversely filling argon as a protective atmosphere, and then carrying out vacuum consumable melting. The vacuum self-consumption smelting needs to be carried out for multiple times so as to ensure the uniformity of alloy components and finally obtain the cast ingot. And (3) fully and uniformly annealing the alloy cast ingot, processing the alloy cast ingot into a columnar sample by using a wire cutting machine, washing the columnar sample by using alcohol ultrasonic vibration, and drying the columnar sample for 120min at 350 ℃ for standby.
(2) High-pressure solidification: and (3) assembling the dry columnar sample obtained in the step (1) with a high-pressure six-side set (pyrophyllite mold, graphite and zirconia ceramic can be adopted), putting the assembled sample into a cavity position of the high-pressure six-side set, and starting a high-pressure solidification test after aligning the hammer heads. In the high-pressure solidification test process, the pressure is increased to a preset pressure, the temperature measuring device is started at the same time, the temperature is rapidly heated to a preset melting temperature, the temperature and the pressure are kept for a certain time at the preset temperature, and the power supply is turned off to stop heating. And naturally cooling to room temperature, releasing the pressure, and taking out to finally obtain the low segregation, single-phase biological high-entropy alloy.
In the preparation process, the technological parameters of each step can be optimized and adjusted according to the actual conditions.
In the vacuum arc melting stage and the vacuum consumable melting process, the current applied to generate the arc between the electrodes can be controlled to be 350-450A, and the voltage can be controlled to be 20-40V. The specific operation of the vacuum consumable melting may depend on the vacuum arc melting furnace used. Generally speaking, when the first melting is carried out, current and voltage are applied to the electrodes inside for arc striking, the lower current is preferably kept after the arc striking is successful, and then the current is gradually increased to melt the raw material in the water-cooled copper crucible, so that various alloy elements with different melting points can be melted and fully mixed. And turning over and remelting after each subsequent smelting. In order to ensure the alloy components to be uniform, each sample is melted for 5 times at least.
In the high-pressure solidification stage, the preset pressure as the pressure boosting end point can be set to be 2-15 GPa, the heat preservation and pressure maintaining time can be set to be 5-10 min, and the melting temperature after heating can be set to be 1600-1700 ℃. Of course, the specific parameters in the preparation process of the biological high-entropy alloy can be optimized according to actual conditions, and the parameters are only recommended parameters.
The following examples are provided to demonstrate specific effects of the present invention.
Comparative example
1) Sponge titanium, Zr, Ta, Nb and Sn metal particles with the purity of more than 99 percent and the particles of phi 3mm multiplied by 5mm are weighed and mixed according to the component proportion (according to the atomic percentage, Ti: 35 percent; zr: 25 percent; ta: 15 percent; nb: 15 percent; sn: 10%) and mixing them uniformly, then placing them into water-cooled copper crucible of vacuum arc melting furnace, in which the Sn and Ti granules with lower melting point are placed in the bottom portion of water-cooled copper crucible, and the Zr, Ta and Nbi granules with higher melting point are placed in the upper portion. After the raw materials are put well, the vacuum-pumping is carried out in the vacuum arc melting furnace to ensure that the internal negative pressure reaches 4.0x10-4And (3) after Pa, reversely filling argon as a protective atmosphere, and then carrying out vacuum consumable melting, wherein the current applied between electrodes in the melting process is 400A, and the voltage is 30V. The vacuum consumable melting is carried out for 5 times totally, and finally Ti35Zr25Ta15Nb15Sn10 alloy cast ingots are obtained.
2) Wire-cutting the Ti35Zr25Ta15Nb15Sn10 alloy ingot obtained in the step 1), and cutting a cylindrical sample of phi 3x3.7mm at the central part of the ingot for microstructure observation.
3) Grinding the cylindrical sample obtained in the step 2) to 2000 meshes by using sand paper, carrying out ultrasonic cleaning on the cylindrical sample by using absolute ethyl alcohol after mechanical polishing, and then corroding the cylindrical sample by using 5% HF + 5% HNO3 corrosive liquid, wherein the microstructure observation is shown in figure 1.
Examples
1) Sponge titanium, Zr, Ta, Nb and Sn metal particles with the purity of more than 99 percent and the particles of phi 3mm multiplied by 5mm are weighed and mixed according to the component proportion (according to the atomic percentage, Ti: 35 percent; zr: 25 percent; ta: 15 percent; nb: 15 percent; sn: 10%) and mixing them uniformly, then placing them into water-cooled copper crucible of vacuum arc melting furnace, in which the Sn and Ti granules with lower melting point are placed in the bottom portion of water-cooled copper crucible, and the Zr, Ta and Nbi granules with higher melting point are placed in the upper portion. After the raw materials are put well, the vacuum-pumping is carried out in the vacuum arc melting furnace to ensure that the internal negative pressure reaches 4.0x10-4And (3) after Pa, reversely filling argon as a protective atmosphere, and then carrying out vacuum consumable melting, wherein the current applied between electrodes in the melting process is 400A, and the voltage is 30V. The vacuum consumable melting is carried out for 5 times totally, and finally Ti35Zr25Ta15Nb15Sn10 alloy cast ingots are obtained.
2) Linearly cutting the Ti35Zr25Ta15Nb15Sn10 alloy ingot in the step 1), and cutting a cylinder with phi 3x3.7mm at the central part of the ingot for high-pressure solidification;
3) and 2) polishing surface oxides of the cylindrical sample obtained in the step 2) by using 400-mesh carborundum paper, assembling the cylindrical sample by using a pyrophyllite mould, placing the completely assembled pyrophyllite module at the position of a cavity of a cubic hydraulic press, and starting a high-pressure solidification test after aligning the hammer heads. The high-pressure solidification test comprises the following steps: pressurizing the cylindrical sample to 4GPa by a cubic hydraulic press through a pyrophyllite mould; then starting a temperature measuring device, manually adjusting the heating power of the hammer head to slowly increase the temperature of the hammer head, transferring the temperature to an alloy sample in the die through pyrophyllite heat conduction, and stopping heating after the temperature is increased to a melting temperature of 1600-1700 ℃; and (3) keeping the temperature and the pressure for 10min at the temperature, naturally cooling the alloy sample to room temperature under the pressure, releasing the pressure and taking out the alloy sample, namely the low segregation single-phase biological high-entropy alloy.
4) Grinding the alloy sample obtained in the step 3) to 2000 meshes by using sand paper, carrying out ultrasonic cleaning on the alloy sample by using absolute ethyl alcohol after mechanical polishing, and then corroding the alloy sample by using 5% HF + 5% HNO3 corrosive liquid, wherein the microstructure of the alloy sample is shown in figure 2.
Comparing the samples obtained in the above examples and comparative examples, it can be seen that the structure directly obtained by vacuum arc melting (fig. 1) has obvious segregation and forms a complex large-size precipitated phase (tens of micrometers), and after 4GPa high-pressure solidification (fig. 2), segregation in the alloy is basically eliminated, the precipitated phase is obviously inhibited, a fine and dispersed precipitated phase (micro-nano scale) is formed, and a single-phase BCC structure biological high-entropy alloy is obtained by vacuum consumable melting and high-pressure solidification.
The above-described embodiments are merely preferred embodiments of the present invention, which should not be construed as limiting the invention. Various changes and modifications can be made by one of ordinary skill in the pertinent art without departing from the spirit and scope of the present invention. Therefore, the technical scheme obtained by adopting the mode of equivalent replacement or equivalent transformation is within the protection scope of the invention.

Claims (10)

Translated fromChinese
1.一种生物高熵合金,其特征在于,该合金是以对人体无毒副作用的Ti、Zr、Ta、Nb、Sn合金元素为基础,将原料配比后采用真空电弧熔炼加高压凝固两步法制备的低偏析、单相BCC结构Ti-Zr-Ta-Nb-Sn高熵合金材料。1. a biological high-entropy alloy, is characterized in that, this alloy is based on Ti, Zr, Ta, Nb, Sn alloying elements that have no toxic and side effects to human body, and adopts vacuum arc smelting and high-pressure solidification after the raw material proportioning. Low-segregation, single-phase BCC structure Ti-Zr-Ta-Nb-Sn high-entropy alloy materials prepared by one-step method.2.一种生物高熵合金的制备方法,其特征在于,步骤如下:2. a preparation method of biological high-entropy alloy, is characterized in that, step is as follows:以Ti、Zr、Ta、Nb、Sn颗粒为原材料,按合金的成分配比称重后,置于真空电弧熔炼炉内进行多次真空自耗熔炼,直至合金成分均匀后得到铸锭;从铸锭上切取柱状试样并置于高压六面顶的腔体中进行高压凝固,高压凝固过程中先将压力升高至预设压力,再将柱状试样加热到预设的熔化温度,在熔化温度下保温保压一定时间后停止加热,待自然冷却到室温后卸压并取出试样,得到低偏析的单相BCC结构Ti-Zr-Ta-Nb-Sn高熵合金材料。Using Ti, Zr, Ta, Nb, Sn particles as raw materials, after weighing according to the composition ratio of the alloy, it is placed in a vacuum arc melting furnace for multiple vacuum consumable melting until the alloy composition is uniform to obtain an ingot; The cylindrical sample is cut from the ingot and placed in the cavity of the high-pressure six-sided roof for high-pressure solidification. During the high-pressure solidification process, the pressure is first increased to the preset pressure, and then the cylindrical sample is heated to the preset melting temperature. The temperature was kept under pressure for a certain period of time, and then the heating was stopped. After cooling to room temperature, the pressure was released and the sample was taken out to obtain a low-segregation single-phase BCC structure Ti-Zr-Ta-Nb-Sn high-entropy alloy material.3.如权利要求2所述的制备方法,其特征在于,所述Ti-Zr-Ta-Nb-Sn高熵合金中的各组元按照原子百分比为Ti:25~45%;Zr:20~35%;Ta:5~25%;Nb:5~25%;Sn:10~25%。3 . The preparation method according to claim 2 , wherein each component in the Ti-Zr-Ta-Nb-Sn high-entropy alloy is Ti: 25-45%; Zr: 20-20% according to atomic percentage. 4 . 35%; Ta: 5-25%; Nb: 5-25%; Sn: 10-25%.4.如权利要求2所述的制备方法,其特征在于,所述原材料置于真空电弧熔炼炉的坩埚内进行熔炼,其中熔点较低的Sn、Ti颗粒放在坩埚的底部,而上层放置熔点较高的Zr、Ta、Nb颗粒;真空电弧熔炼炉内抽真空后再反充氩气作为保护气氛。4. preparation method as claimed in claim 2 is characterized in that, described raw material is placed in the crucible of vacuum arc smelting furnace and carries out smelting, wherein Sn, Ti particles with lower melting point are placed at the bottom of crucible, and upper layer places melting point High Zr, Ta, Nb particles; vacuum arc melting furnace and then backfill with argon as a protective atmosphere.5.如权利要求2所述的制备方法,其特征在于,所述真空自耗熔炼的次数为5次以上。5 . The preparation method according to claim 2 , wherein the number of times of the vacuum consumable smelting is more than 5 times. 6 .6.如权利要求2所述的制备方法,其特征在于,所述真空自耗熔炼过程中,电极间用于产生电弧所施加的电流为350-450A,电压为20-40V。6 . The preparation method according to claim 2 , wherein in the vacuum consumable smelting process, the electric current applied between the electrodes for generating the arc is 350-450A, and the voltage is 20-40V. 7 .7.如权利要求2所述的制备方法,其特征在于,高压凝固过程中的预设压力为2~15GPa。7 . The preparation method according to claim 2 , wherein the preset pressure in the high-pressure solidification process is 2-15 GPa. 8 .8.如权利要求2所述的制备方法,其特征在于,高压凝固过程中的保温保压时间为5~10min。8 . The preparation method according to claim 2 , wherein the time of heat preservation and pressure retention in the high-pressure solidification process is 5-10 min. 9 .9.如权利要求2所述的制备方法,其特征在于,高压凝固过程中的熔化温度为1600℃-1700℃。9 . The preparation method according to claim 2 , wherein the melting temperature in the high-pressure solidification process is 1600° C.-1700° C. 10 .10.一种如权利要求2~9任一所述制备方法制备的生物高熵合金。10. A biological high-entropy alloy prepared by the preparation method according to any one of claims 2 to 9.
CN202111025849.0A2021-09-022021-09-02Biological high-entropy alloy and preparation method thereofPendingCN114032432A (en)

Priority Applications (1)

Application NumberPriority DateFiling DateTitle
CN202111025849.0ACN114032432A (en)2021-09-022021-09-02Biological high-entropy alloy and preparation method thereof

Applications Claiming Priority (1)

Application NumberPriority DateFiling DateTitle
CN202111025849.0ACN114032432A (en)2021-09-022021-09-02Biological high-entropy alloy and preparation method thereof

Publications (1)

Publication NumberPublication Date
CN114032432Atrue CN114032432A (en)2022-02-11

Family

ID=80140005

Family Applications (1)

Application NumberTitlePriority DateFiling Date
CN202111025849.0APendingCN114032432A (en)2021-09-022021-09-02Biological high-entropy alloy and preparation method thereof

Country Status (1)

CountryLink
CN (1)CN114032432A (en)

Citations (3)

* Cited by examiner, † Cited by third party
Publication numberPriority datePublication dateAssigneeTitle
CN105734312A (en)*2016-03-102016-07-06北京科技大学Biomedical TiZrNbTa high-entropy alloy and preparation method thereof
CN109280829A (en)*2018-12-142019-01-29东北大学秦皇岛分校 A kind of high-strength casting Mg-Zn-Cu-Zr alloy and preparation method thereof
CN112760527A (en)*2020-12-222021-05-07衢州学院High-pressure directional solidification material and method thereof

Patent Citations (3)

* Cited by examiner, † Cited by third party
Publication numberPriority datePublication dateAssigneeTitle
CN105734312A (en)*2016-03-102016-07-06北京科技大学Biomedical TiZrNbTa high-entropy alloy and preparation method thereof
CN109280829A (en)*2018-12-142019-01-29东北大学秦皇岛分校 A kind of high-strength casting Mg-Zn-Cu-Zr alloy and preparation method thereof
CN112760527A (en)*2020-12-222021-05-07衢州学院High-pressure directional solidification material and method thereof

Non-Patent Citations (1)

* Cited by examiner, † Cited by third party
Title
李贺军等: "《液固高压成形技术与应用》", 31 January 2013, 国防工业出版社*

Similar Documents

PublicationPublication DateTitle
CN103602874B (en)High strength low elastic modulus TiZrNbHf high-entropy alloy and preparation method
CN102181809B (en)Large-size metallic glass composite material with tensile ductility and preparation method thereof
CN103602872B (en)A kind of TiZrNbVMo xhigh-entropy alloy and preparation method thereof
CN110218907B (en) A kind of boron-containing titanium-based composite powder for 3D printing and preparation method thereof
CN113667875B (en)MoNbTaTiVSix high-entropy alloy and preparation method thereof
CN107419154A (en)One kind has hyperelastic TiZrHfNbAl high-entropy alloys and preparation method thereof
CN108998715A (en)Infusibility high entropy alloy material and preparation method thereof with large plastometric set ability
CN106521238B (en)Y containing nanometer2O3The high-strength TiAl alloy of fine grain and preparation method thereof
CN102925822B (en)Metal glass composite material with high-oxygen content and preparation method thereof
CN108220741B (en)A kind of bio-medical high-entropy alloy and preparation method thereof
CN113652593A (en) A kind of MoxNbTayTiV high entropy alloy and preparation method thereof
CN113373366B (en)Multi-element refractory high-entropy alloy and preparation method thereof
CN113621861B (en) A kind of MoNbTaTiVCrx high entropy alloy and preparation method thereof
CN110777273B (en)Method for improving room temperature plasticity of refractory high-entropy alloy
CN114686741B (en)Refractory high-entropy alloy with coating and preparation method thereof
CN108588534A (en)A kind of in-situ authigenic enhances multi-principal elements alloy and preparation method thereof at carbide dispersion
CN108546863A (en)A kind of more pivot high temperature alloys and preparation method thereof
CN113322422A (en)Hybrid phase reinforced zirconium-based amorphous composite material and preparation method thereof
CN111676410A (en) A kind of high-strength and high-toughness CoFeNiTiV high-entropy alloy and preparation method thereof
CN113862546B (en) A kind of high-strength, high-toughness, high-entropy alloy and preparation method thereof
CN113430406B (en)Precipitation strengthening CoCrNiAlNb multi-principal-element alloy and preparation method thereof
CN111004942A (en) A kind of nanometer network structure TiBw/Ti composite material and preparation method
CN111850327B (en) A kind of preparation method and product of porous NiTi alloy based on selective dissolution
CN114134355A (en) A method for strengthening and toughening of refractory high-entropy alloys
CN114045446A (en) A Zr-based amorphous alloy with nano-scale thermoplastic forming ability and its preparation method and application

Legal Events

DateCodeTitleDescription
PB01Publication
PB01Publication
SE01Entry into force of request for substantive examination
SE01Entry into force of request for substantive examination
RJ01Rejection of invention patent application after publication

Application publication date:20220211

RJ01Rejection of invention patent application after publication

[8]ページ先頭

©2009-2025 Movatter.jp