Movatterモバイル変換


[0]ホーム

URL:


CN113693584A - Method for selecting depression symptom predictive variable, computer device and storage medium - Google Patents

Method for selecting depression symptom predictive variable, computer device and storage medium
Download PDF

Info

Publication number
CN113693584A
CN113693584ACN202110977612.6ACN202110977612ACN113693584ACN 113693584 ACN113693584 ACN 113693584ACN 202110977612 ACN202110977612 ACN 202110977612ACN 113693584 ACN113693584 ACN 113693584A
Authority
CN
China
Prior art keywords
depression
brain
map
patients
baseline
Prior art date
Legal status (The legal status is an assumption and is not a legal conclusion. Google has not performed a legal analysis and makes no representation as to the accuracy of the status listed.)
Granted
Application number
CN202110977612.6A
Other languages
Chinese (zh)
Other versions
CN113693584B (en
Inventor
马小红
杨潇
赵连生
王敏
杜玥
Current Assignee (The listed assignees may be inaccurate. Google has not performed a legal analysis and makes no representation or warranty as to the accuracy of the list.)
West China Hospital of Sichuan University
Original Assignee
West China Hospital of Sichuan University
Priority date (The priority date is an assumption and is not a legal conclusion. Google has not performed a legal analysis and makes no representation as to the accuracy of the date listed.)
Filing date
Publication date
Application filed by West China Hospital of Sichuan UniversityfiledCriticalWest China Hospital of Sichuan University
Priority to CN202110977612.6ApriorityCriticalpatent/CN113693584B/en
Publication of CN113693584ApublicationCriticalpatent/CN113693584A/en
Application grantedgrantedCritical
Publication of CN113693584BpublicationCriticalpatent/CN113693584B/en
Activelegal-statusCriticalCurrent
Anticipated expirationlegal-statusCritical

Links

Images

Classifications

Landscapes

Abstract

Translated fromChinese

本发明属于抑郁症诊断技术领域,具体涉及一种抑郁症症状预测变量的选择方法、计算机设备及存储介质。本发明的方法包括如下步骤:对抑郁症患者和正常对照进行考察,采集一般资料、汉密尔顿抑郁量表评分和静息态功能磁共振成像扫描数据;在抑郁症患者接受治疗且个体临床症状缓解后,再次采集上述资料;对静息态功能磁共振成像扫描数据进行处理得到DC大脑图;根据得到的DC大脑图,分析抑郁症患者治疗前后大脑功能活动的变化,找到能够表征抑郁症症状缓解的变量。本发明进一步提供了实现上述方法的计算机设备。本发明能够为抑郁症的早期临床疗效预测提供客观支持依据,降低疾病的社会负担,具有很好的应用前景。

Figure 202110977612

The invention belongs to the technical field of depression diagnosis, and in particular relates to a selection method, computer equipment and storage medium for predicting variables of depression symptoms. The method of the invention includes the following steps: inspecting depression patients and normal controls, collecting general data, Hamilton Depression Scale scores and resting-state functional magnetic resonance imaging scan data; after depression patients receive treatment and individual clinical symptoms are relieved , collect the above data again; process the resting-state fMRI scan data to obtain the DC brain map; according to the obtained DC brain map, analyze the changes of brain function activities in patients with depression before and after treatment, and find out the symptoms that can represent the relief of depression symptoms. variable. The present invention further provides a computer device for implementing the above method. The invention can provide objective supporting basis for early clinical efficacy prediction of depression, reduce the social burden of the disease, and has a good application prospect.

Figure 202110977612

Description

Method for selecting depression symptom predictive variable, computer device and storage medium
Technical Field
The invention belongs to the technical field of depression diagnosis, and particularly relates to a method for selecting a depression symptom predictive variable, computer equipment and a storage medium.
Background
Depression is the most common depressive disorder, with significant and persistent mood swings as the primary clinical feature, the major type of mood disorder. Each episode lasts at least 2 weeks, more than long, or even years, and most cases have a tendency to have recurrent episodes, most of which can be alleviated, and some of which can have residual symptoms or become chronic.
The treatment of depression mainly comprises methods such as drug therapy, psychological therapy, physical therapy and the like. The early prediction of the treatment effect is carried out in advance after the treatment, which is helpful for the selection and adjustment of treatment strategies by doctors, improves the treatment effect and reduces the social burden of diseases.
Resting functional magnetic resonance imaging (rs-fMRI) is a method for studying functional connections or networks within the brain. In the past decade, studies of patients with depression using resting functional magnetic resonance imaging have found that abnormalities in some brain regions are important in the mood management and regulation of depression, and that abnormal functional connections in the brain may be regulated by antidepressant therapy.
In the prior art, the study of the relationship between depression and brain region abnormality by resting state functional magnetic resonance imaging is mostly carried out by selecting several regions or networks of interest in advance for further study by using seed-based analysis (JAMA pathology 70, 373-382; neuropsychology: the official publication of the American College of neuropsychology 30, 1334-1344). However, for depression, the neural targets at which abnormalities occur are not known. Also, due to the complex etiology of depression, these aberrant neural targets may vary from individual to individual or over the course of treatment. Therefore, it is difficult to accurately correlate depression with abnormalities in the brain region with the above-mentioned methods in the prior art, and further, it is impossible to predict the development of the depression in the latter stage by the resting-state functional magnetic resonance imaging method.
Disclosure of Invention
Aiming at the difficulties in the prior art, the invention provides a method for selecting a depression symptom predictive variable, a computer device and a storage medium, aiming at early predicting the treatment effect and the disease development of depression patients.
A method of selecting a predictive variable for a symptom of depression comprising the steps of:
step 1, inspecting depression patients and normal controls, and collecting general data, Hamilton depression scale scores and resting state functional magnetic resonance imaging scanning data; the general data includes age, gender, and educational age;
step 2, collecting Hamilton depression scale scores and resting state function magnetic resonance imaging scanning data for depression patients and normal controls again after the depression patients receive treatment and the individual clinical symptoms are relieved;
step 3, processing the rest state functional magnetic resonance imaging scanning data acquired in the step 1 and the step 2 to obtain a DC brain image, acquiring a baseline DC brain image through the rest state functional magnetic resonance imaging scanning data acquired in the step 1, and acquiring a follow-up DC brain image through the rest state functional magnetic resonance imaging scanning data acquired in the step 2;
and 4, analyzing the change of the brain function activity of the depression patient before and after treatment according to the DC cerebral graph obtained in the step 3, and finding out a variable capable of representing the relief of the depression symptom.
Preferably, in step 2, the method for confirming the individual clinical symptom relief of the depression patients is to evaluate the depression patients after receiving treatment by using a Hamilton depression scale, and the individual clinical symptom relief is judged if the Hamilton depression scale score is less than 7.
Preferably, in step 2, patients with depression are evaluated on the hamilton depression scale at 8 weeks, 24 weeks and 48 weeks after receiving treatment.
Preferably, in step 3, the step of obtaining the DC brain map using the resting-state functional magnetic resonance imaging scan data includes:
step 3A, preprocessing the resting state functional magnetic resonance imaging scanning data;
step 3B, degree center index analysis: calculating Pearson correlation r between the blood oxygen dependent signal time sequences of each pair of voxels by utilizing the preprocessed resting state functional magnetic resonance imaging scanning data to obtain a functional connection matrix covering the whole brain;
step 3C, measuring the weight of the functional connection in the functional connection matrix by adopting a threshold value method, and converting the functional connection matrix into a binary matrix according to the threshold value r being greater than 0.25;
step 3D, calculating the connectivity D of each voxel according to the binary matrix obtained in the step 3C;
and 3E, performing Z conversion on the connectivity D of each voxel obtained in the step 3D to obtain a DC cerebral graph.
Preferably, in step 3A, the pretreatment comprises: removing at least one of the first 10 time point data, the layer time correction, the head movement correction estimation, the linear trend in the removed signal and the low-pass filtering of 0.01-0.08 Hz;
and/or, in step 3E, the obtained DC brain map is also normalized by performing 6mm full-width half-height gaussian smoothing on the DC brain map.
Preferably, the step 4 specifically comprises the following steps:
step 4A, counting the DC brain graph obtained in the step 3, and taking a brain area with changed time point specificity function of the depression patient as a central node;
step 4B, analyzing the functional connection indexes of the central node and each area of the brain, and analyzing the change of the functional connection indexes in a baseline DC cerebral graph and a follow-up DC cerebral graph of the depression patient;
step 4C, calculating the HAMD reduction rate of the depression patient before and after treatment, wherein the calculation formula is as follows:
HAMD score ═ baseline score-follow up score ]/baseline score × 100%;
wherein the baseline score is the HAMD score assessed using the hamilton depression scale in step 1 and the follow-up score is the HAMD score assessed using the hamilton depression scale in step 2;
and 4D, performing linear regression model analysis on the change of the functional connection index obtained in the step 4B and the HAMD reduction rate obtained in the step 4C to obtain a functional connection index related to the HAMD reduction rate, namely a variable capable of representing depression symptom relief.
Preferably, the method for determining the brain region with time-point-specific function change of the depression patient comprises the following steps:
step 4Aa, counting the DC brain image obtained in the step 3 by adopting a linear model, wherein the linear model takes diagnosis multiplied by time point as an independent variable and takes general data acquired in the step 1 as a covariate; in independent variables, the diagnosis refers to a depressed patient or a normal control, and the time point refers to a baseline DC brain map or a follow-up DC brain map;
and step 4Ab, performing simple effect analysis on the areas where the significant interaction is found in the statistical result of the step 4Aa, wherein the simple effect analysis comprises the following steps: baseline DC profile for depression patients vs follow-up DC profile for depression patients, baseline DC profile for normal controls vs follow-up DC profile for normal controls, baseline DC profile for depression patients vs normal controls, follow-up DC profile for depression patients vs normal controls; identifying as a region specific for the time point change a region where the baseline DC profile of the normal control vs the follow-up DC profile of the normal control shows a significant functional change; after excluding the areas specific for the time point changes, the areas of the baseline DC profile of the depressed patients versus the follow-up DC profile of the depressed patients showing significant functional changes were identified as brain areas of time-specific functional changes in the depressed patients.
The invention also provides a computer device for selecting the depression symptom predictive variable, which comprises a memory, a processor and a computer program stored on the memory and running on the processor, wherein the processor executes the program to realize the method for selecting the depression symptom predictive variable.
The present invention also provides a computer-readable storage medium having stored thereon a computer program for implementing the above-described method for selecting a predictive variable for symptoms of depression.
In the present invention, the "depression symptom predictive variable" or "variable" refers to at least one index selected from indexes of functional connection between all central nodes and respective regions of the brain in the DC brain map, the selected index having a correlation with the condition of the depression patient. After obtaining the 'depression symptom predictive variable' or 'variable', a researcher (or doctor) can further analyze the variable in a subsequent resting state functional magnetic resonance imaging test, so as to predict and analyze the subsequent treatment effect and the disease development of depression patients. In the present invention, the term "significant" means that the p-value is less than 0.05 by statistical analysis, for example: "significant interaction" refers to an interaction having a p-value of less than 0.05.
By adopting the technical scheme of the invention, the brain function connection index of the use centrality (DC) can be analyzed, the brain is regarded as a huge and complete network, and a researcher (or doctor) is allowed to obtain variables capable of predicting the development condition of depression symptoms of individual patients with depression without selecting a priori interested area. In the subsequent diagnosis and treatment process of the depression patient, corresponding variables in other detection data (such as later-stage resting-state functional magnetic resonance imaging scanning data) of the depression patient are further analyzed, and the early prediction of the treatment effect and the disease development in the remission stage can be realized. The invention has good application prospect in the diagnosis and treatment of depression patients.
Obviously, many modifications, substitutions, and variations are possible in light of the above teachings of the invention, without departing from the basic technical spirit of the invention, as defined by the following claims.
The present invention will be described in further detail with reference to the following examples. This should not be understood as limiting the scope of the above-described subject matter of the present invention to the following examples. All the technologies realized based on the above contents of the present invention belong to the scope of the present invention.
Drawings
FIG. 1 is a schematic flow chart of example 1 of the present invention;
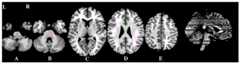
fig. 2 shows the results of the centrality analysis and the interaction analysis of the time points in embodiment 1 of the present invention.
Detailed Description
It should be noted that, in the embodiment, the algorithm of the steps of data acquisition, transmission, storage, processing, etc. which are not specifically described, as well as the hardware structure, circuit connection, etc. which are not specifically described, can be implemented by the contents disclosed in the prior art.
Example 1
The embodiment provides a method for selecting a depression symptom predictive variable and a computer device, wherein the computer device comprises a memory, a processor and a computer program which is stored on the memory and can run on the processor, and the processor executes the program to realize the method for selecting the depression symptom predictive variable.
The flow of the method for selecting the predictive variable of the symptoms of the depression is shown in figure 1, and specifically comprises the following steps:
step 1, inspecting depression patients and normal controls, and collecting general data, Hamilton depression scale scores and resting state functional magnetic resonance imaging scanning data; the general data includes age, gender, and educational age;
step 2, collecting Hamilton depression scale scores and resting state function magnetic resonance imaging scanning data for depression patients and normal controls again after the depression patients receive treatment and the individual clinical symptoms are relieved; the method for confirming the individual clinical symptom relief of depression patients is to evaluate the individual clinical symptom relief by using Hamilton depression scale at 8 weeks, 24 weeks and 48 weeks after the depression patients receive treatment, and when the HAMD score is less than 7, the individual clinical symptom relief is judged.
Step 3, processing the rest state functional magnetic resonance imaging scanning data acquired in the step 1 and the step 2 to obtain a DC brain image, acquiring a baseline DC brain image through the rest state functional magnetic resonance imaging scanning data acquired in the step 1, and acquiring a follow-up DC brain image through the rest state functional magnetic resonance imaging scanning data acquired in the step 2;
the method for obtaining the DC brain map by using the resting state functional magnetic resonance imaging scanning data comprises the following steps:
step 3A, preprocessing the resting state functional magnetic resonance imaging scanning data; the pretreatment comprises the following steps: removing at least one of the first 10 time point data, the layer time correction, the head movement correction estimation, the linear trend in the removed signal and the low-pass filtering of 0.01-0.08 Hz;
step 3B, degree center index analysis: calculating Pearson correlation r between blood oxygen dependent (BOLD) signal time sequences of each pair of voxels by utilizing preprocessed resting state functional magnetic resonance imaging scanning data to obtain a functional connection matrix covering the whole brain;
the element in the functional connection matrix is r (i, j), and r (i, j) >0.25 indicates that a functional connection exists between the voxel i and the voxel j.
Step 3C, measuring the weight of the functional connection in the functional connection matrix by adopting a threshold value method, and converting the functional connection matrix into a binary matrix according to the threshold value r being greater than 0.25;
the element in the binary matrix is dijWhen r (i, j)>At 0.25, dij1 is ═ 1; when r (i, j) is less than or equal to 0.25, dij=0。
Step 3D, calculating the connectivity D of each voxel according to the binary matrix obtained in the step 3C;
for any voxel i, the connectivity is the total number of voxels (j) with which there is a contiguous functional connection, and the calculation formula of the connectivity D is as follows:
Di=Σdij
where j is 1,2, … N, i ≠ j, and N is the total number of voxels.
And 3E, performing Z conversion on the connectivity D of each voxel obtained in the step 3D to obtain a DC brain map, and normalizing the obtained DC brain map by performing 6mm full-width half-height Gaussian smoothing on the DC brain map.
Step 4, analyzing the change of brain function activities before and after treatment according to the DC cerebral graph before and after treatment, and finding out a variable capable of representing depression symptom relief, wherein the specific steps are as follows:
step 4A, counting the DC brain graph obtained in the step 3, and taking a brain area with changed time point specificity function of the depression patient as a central node;
the method for determining the brain area with the time-point specific function change of the depression patient comprises the following steps:
step 4Aa, counting the DC brain map obtained in the step 3 by adopting a linear model in SPM8 software, wherein the linear model takes diagnosis multiplied by time point as an independent variable and general data acquired in the step 1 as a covariate; in independent variables, the diagnosis refers to a depressed patient or a normal control, and the time point refers to a baseline DC brain map or a follow-up DC brain map;
and step 4Ab, performing simple effect analysis on the areas where the significant interaction is found in the statistical result of the step 4Aa, wherein the simple effect analysis comprises the following steps: baseline DC profile for depression patients vs follow-up DC profile for depression patients, baseline DC profile for normal controls vs follow-up DC profile for normal controls, baseline DC profile for depression patients vs normal controls, follow-up DC profile for depression patients vs normal controls; identifying as a region specific for the time point change a region where the baseline DC profile of the normal control vs the follow-up DC profile of the normal control shows a significant functional change; after excluding the areas specific for the time point changes, the areas of the baseline DC profile of the depressed patients versus the follow-up DC profile of the depressed patients showing significant functional changes were identified as brain areas of time-specific functional changes in the depressed patients.
Step 4B, analyzing the functional connection indexes of the central node and each area of the brain, and analyzing the change of the functional connection indexes in a baseline DC cerebral graph and a follow-up DC cerebral graph of the depression patient;
step 4C, calculating the HAMD reduction rate of the depression patient before and after treatment, wherein the calculation formula is as follows:
HAMD score ═ baseline score-follow up score ]/baseline score × 100%;
wherein the baseline score is the HAMD score assessed using the hamilton depression scale in step 1 and the follow-up score is the HAMD score assessed using the hamilton depression scale in step 2;
and 4D, performing linear regression model analysis on the change of the functional connection index obtained in the step 4B and the HAMD reduction rate obtained in the step 4C to obtain a functional connection index related to the HAMD reduction rate, namely a variable capable of representing depression symptom relief. The term "correlated with the HAMD reduction ratio" means that the correlation with the change in the dependent variable (HAMD reduction ratio) in the regression analysis has a statistical significance.
An example of the variable selection of a depression patient by the above method is shown in fig. 2, and fig. 2 is an interaction analysis graph of diagnosis x time point in step 4Aa, in which (a) is the left temporomandibular gyrus, (B) is the right cerebellar gyrus, (C) is the left lingual gyrus, and (D) is the left dorsal medial prefrontal gyrus. L represents the left hemisphere, and R represents the right hemisphere.
Further regression analysis found that DC changes in the D brain region shown in fig. 2, i.e., the left dorsal medial prefrontal gyrus, correlated with the extent of clinical remission in depression patients (B3.404, p < 0.001).
The embodiment shows that the variable which can most accurately predict the treatment effect of the depression and the disease development in the remission stage can be obtained for the individual with depression without selecting a priori interested area. After obtaining the variable, the researcher (or doctor) further analyzes the corresponding variable in other detection data (such as later resting state functional magnetic resonance imaging scanning data) of the depression patient, and can predict the later treatment effect of the depression patient and whether the depression can be relieved. The invention can provide objective support basis for early clinical curative effect prediction of depression, reduces social burden of diseases and has good application prospect.

Claims (9)

Translated fromChinese
1.一种抑郁症症状预测变量的选择方法,其特征在于,包括如下步骤:1. a selection method of depression symptom predictor variable, is characterized in that, comprises the steps:步骤1,基线评估:对抑郁症患者和正常对照进行考察,采集一般资料、汉密尔顿抑郁量表评分和静息态功能磁共振成像扫描数据;所述一般资料包括年龄、性别和和受教育年限;Step 1. Baseline assessment: Depressed patients and normal controls are examined, and general information, Hamilton Depression Scale scores and resting-state functional magnetic resonance imaging scan data are collected; the general information includes age, gender, and years of education;步骤2,随访评估:在抑郁症患者接受治疗且个体临床症状缓解后,再次对抑郁症患者和正常对照采集汉密尔顿抑郁量表评分和静息态功能磁共振成像扫描数据;Step 2, follow-up assessment: after the depression patients receive treatment and the individual clinical symptoms are relieved, the Hamilton Depression Scale scores and resting-state functional magnetic resonance imaging scan data are collected again from the depression patients and normal controls;步骤3,对步骤1和步骤2采集得到的静息态功能磁共振成像扫描数据进行处理得到DC大脑图,通过步骤1采集的静息态功能磁共振成像扫描数据得到基线DC大脑图,通过步骤2采集的静息态功能磁共振成像扫描数据得到随访DC大脑图;Step 3: Process the resting-state fMRI scan data collected in steps 1 and 2 to obtain a DC brain map, and obtain a baseline DC brain map through the resting-state fMRI scan data collected in step 1. 2. The collected resting-state functional magnetic resonance imaging scan data obtained the follow-up DC brain map;步骤4,根据步骤3得到的DC大脑图,分析抑郁症患者治疗前后大脑功能活动的变化,找到能够表征抑郁症症状缓解的变量。Step 4, according to the DC brain map obtained in step 3, analyze the changes of brain function activities of the patients with depression before and after treatment, and find variables that can represent the relief of symptoms of depression.2.按照权利要求1所述的抑郁症症状预测变量的选择方法,其特征在于:步骤2中,确认抑郁症患者个体临床症状缓解的方法是在抑郁症患者接受治疗后使用汉密尔顿抑郁量表进行评估,得到汉密尔顿抑郁量表评分<7则判断为个体临床症状缓解。2. according to the selection method of the described depression symptom predictor variable of claim 1, it is characterized in that: in step 2, confirming that the method for relieving individual clinical symptoms of depression patient is to use Hamilton Depression Scale to carry out after depression patient receives treatment. Evaluation, the Hamilton Depression Scale score <7 was judged as individual clinical symptoms relief.3.按照权利要求2所述的抑郁症症状预测变量的选择方法,其特征在于:步骤2中,抑郁症患者接受治疗后第8周、第24周和第48周分别使用汉密尔顿抑郁量表进行评估。3. The method for selecting a predictor of symptoms of depression according to claim 2, wherein in step 2, the patients with depression were treated with the Hamilton Depression Scale in the 8th week, the 24th week and the 48th week respectively after receiving treatment. Evaluate.4.按照权利要求1所述的抑郁症症状预测变量的选择方法,其特征在于:步骤3中,利用静息态功能磁共振成像扫描数据得到DC大脑图的步骤包括:4. according to the selection method of the described depression symptom predictor variable of claim 1, it is characterized in that: in step 3, the step that utilizes resting state functional magnetic resonance imaging scan data to obtain DC brain map comprises:步骤3A,对静息态功能磁共振成像扫描数据进行预处理;Step 3A, preprocessing the resting-state functional magnetic resonance imaging scan data;步骤3B,度中心指标分析:利用预处理后的静息态功能磁共振成像扫描数据,计算每对体素的血氧依赖信号时间序列之间的皮尔逊相关r,获得覆盖全脑的功能连接矩阵;Step 3B, analysis of the degree center index: using the preprocessed resting-state fMRI scan data, calculate the Pearson correlation r between the blood oxygen-dependent signal time series of each pair of voxels, and obtain the functional connectivity covering the whole brain matrix;步骤3C,采用阈值法测量所述功能连接矩阵中功能连接的权重,按照r>0.25的阈值将所述功能连接矩阵换算成二值矩阵;Step 3C, adopt the threshold method to measure the weight of functional connection in the functional connection matrix, and convert the functional connection matrix into a binary matrix according to the threshold of r>0.25;步骤3D,根据步骤3C得到的二值矩阵,计算每个体素的连接度D;Step 3D, calculate the connection degree D of each voxel according to the binary matrix obtained in Step 3C;步骤3E,将步骤3D得到每个体素的连接度D进行Z转换得到DC大脑图。Step 3E, Z-transform the connectivity D of each voxel obtained in step 3D to obtain the DC brain map.5.按照权利要求4所述的抑郁症症状预测变量的选择方法,其特征在于:步骤3A中,所述预处理包括:去除前10个时间点数据、层时间校正、头动校正估计、去除信号中的线性趋势和0.01–0.08Hz低通滤波中的至少一项;5. The method for selecting a predictor of depression symptoms according to claim 4, wherein in step 3A, the preprocessing comprises: removing the first 10 time point data, layer time correction, head movement correction estimation, removing At least one of a linear trend in the signal and 0.01–0.08 Hz low-pass filtering;和/或,步骤3E中,还对得到的DC大脑图进行标准化,所述标准化的方法为对所述DC大脑图进行6mm全宽半高高斯平滑。And/or, in step 3E, the obtained DC brain map is also standardized, and the normalization method is to perform 6mm full-width half-height Gaussian smoothing on the DC brain map.6.按照权利要求1所述的抑郁症症状预测变量的选择方法,其特征在于:步骤4具体包括如下步骤:6. according to the selection method of the described depression symptom predictor variable of claim 1, it is characterized in that: step 4 specifically comprises the steps:步骤4A,对步骤3得到的DC大脑图进行统计,将对抑郁症患者时点特异性功能改变的脑区作为中心节点;In step 4A, the DC brain map obtained in step 3 is counted, and the brain region with time-specific functional changes of the depressed patient is taken as the central node;步骤4B,分析所述中心节点与大脑各个区域的功能连接指标,分析抑郁症患者的基线DC大脑图和随访DC大脑图中所述功能连接指标的变化;Step 4B, analyzing the functional connectivity indicators of the central node and each region of the brain, analyzing the changes of the functional connectivity indicators in the baseline DC brain map and follow-up DC brain maps of the depressed patient;步骤4C,计算抑郁症患者治疗前和治疗后的HAMD减分率,计算公式为:Step 4C, calculate the HAMD score reduction rate before and after the treatment of the depression patient, and the calculation formula is:HAMD减分率=[基线分数-随访分数]/基线分数×100%;HAMD score reduction rate = [baseline score - follow-up score]/baseline score × 100%;其中,所述基线分数为步骤1中使用汉密尔顿抑郁量表进行评估得到的HAMD评分,所述随访分数为步骤2中使用汉密尔顿抑郁量表进行评估得到的HAMD评分;Wherein, the baseline score is the HAMD score obtained by using the Hamilton Depression Scale to evaluate in step 1, and the follow-up score is the HAMD score obtained by using the Hamilton Depression Scale to evaluate in step 2;步骤4D,对步骤4B得到的功能连接指标的变化和步骤4C得到的HAMD减分率进行线性回归模型分析,得到与HAMD减分率相关的功能连接指标,即得能够表征抑郁症症状缓解的变量。Step 4D, perform linear regression model analysis on the change of the functional connectivity index obtained in step 4B and the HAMD score reduction rate obtained in step 4C, and obtain the functional connectivity index related to the HAMD score reduction rate, that is, a variable that can characterize the relief of depression symptoms .7.按照权利要求6所述的抑郁症症状预测变量的选择方法,其特征在于:所述抑郁症患者时点特异性功能改变的脑区的确定方法为:7. according to the selection method of the depression symptom predictor variable described in claim 6, it is characterized in that: the determination method of the brain region of described depression patient time-specific function change is:步骤4Aa,采用线性模型对步骤3得到的DC大脑图进行统计,所述线性模型以诊断×时点为自变量,以步骤1采集的一般资料为协变量;自变量中,所述诊断是指抑郁症患者或正常对照,所述时点是指基线DC大脑图或随访DC大脑图;Step 4Aa, use a linear model to perform statistics on the DC brain map obtained in step 3. The linear model takes the diagnosis × time point as an independent variable, and takes the general data collected in step 1 as a covariate; among the independent variables, the diagnosis refers to: Depressed patients or normal controls, the time point refers to the baseline DC brain map or follow-up DC brain map;步骤4Ab,对步骤4Aa的统计结果中发现显著交互作用的区域进行简单效应分析,所述简单效应分析包括:抑郁症患者的基线DC图vs抑郁症患者的随访DC图、正常对照的基线DC图vs正常对照的随访DC图、抑郁症患者的基线DC图vs正常对照的基线DC图、抑郁症患者的随访DC图vs正常对照的随访DC图;将正常对照的基线DC图vs正常对照的随访DC图表现出显著功能改变的区域认定为时点改变特异性的区域;排除所述时点改变特异性的区域后,将抑郁症患者的基线DC图vs抑郁症患者的随访DC图表现出显著功能改变的区域认定为抑郁症患者时点特异性功能改变的脑区。Step 4Ab, simple effect analysis is performed on the regions where significant interaction is found in the statistical results of step 4Aa, and the simple effect analysis includes: the baseline DC map of depressed patients vs the follow-up DC map of depressed patients, and the baseline DC map of normal controls Follow-up DC map vs normal controls, baseline DC map of depressed patients vs baseline DC map of normal controls, follow-up DC map of depressed patients vs follow-up DC map of normal controls; baseline DC map of normal controls vs follow-up of normal controls Regions with significant functional changes on the DC map were identified as time-point-specific changes; after exclusion of the time-point-specific changes, baseline DC maps in patients with depression vs follow-up DC maps in patients with depression showed significant The functionally altered regions were identified as time-point-specific functionally altered brain regions in patients with depression.8.一种计算机设备,用于抑郁症症状预测变量的选择,包括存储器、处理器及存储在存储器上并可在处理器上运行的计算机程序,其特征在于,所述处理器执行所述程序时实现权利要求1-7任一项所述抑郁症症状预测变量的选择方法。8. A computer device for the selection of a predictor of symptoms of depression, comprising a memory, a processor and a computer program stored on the memory and running on the processor, wherein the processor executes the program When realizing the selection method of the predictors of depression symptoms according to any one of claims 1-7.9.一种计算机可读存储介质,其特征在于:其上存储有计算机程序,所述计算机程序用于实现权利要求1-7任一项所述抑郁症症状预测变量的选择方法。9. A computer-readable storage medium, characterized in that: a computer program is stored thereon, and the computer program is used to implement the method for selecting a predictor of depression symptoms according to any one of claims 1-7.
CN202110977612.6A2021-08-242021-08-24 Selection method, computer equipment and storage medium of depression symptom predictor variablesActiveCN113693584B (en)

Priority Applications (1)

Application NumberPriority DateFiling DateTitle
CN202110977612.6ACN113693584B (en)2021-08-242021-08-24 Selection method, computer equipment and storage medium of depression symptom predictor variables

Applications Claiming Priority (1)

Application NumberPriority DateFiling DateTitle
CN202110977612.6ACN113693584B (en)2021-08-242021-08-24 Selection method, computer equipment and storage medium of depression symptom predictor variables

Publications (2)

Publication NumberPublication Date
CN113693584Atrue CN113693584A (en)2021-11-26
CN113693584B CN113693584B (en)2023-08-11

Family

ID=78668941

Family Applications (1)

Application NumberTitlePriority DateFiling Date
CN202110977612.6AActiveCN113693584B (en)2021-08-242021-08-24 Selection method, computer equipment and storage medium of depression symptom predictor variables

Country Status (1)

CountryLink
CN (1)CN113693584B (en)

Cited By (2)

* Cited by examiner, † Cited by third party
Publication numberPriority datePublication dateAssigneeTitle
CN114652310A (en)*2022-03-142022-06-24东南大学 An objective diagnostic marker of psychomotor retardation in depression based on cerebral blood flow
CN117954073A (en)*2023-10-172024-04-30浙江大学 A depressive disorder treatment efficacy prediction system based on multimodal data

Citations (7)

* Cited by examiner, † Cited by third party
Publication numberPriority datePublication dateAssigneeTitle
US5724987A (en)*1991-09-261998-03-10Sam Technology, Inc.Neurocognitive adaptive computer-aided training method and system
CN102293656A (en)*2011-05-252011-12-28四川大学华西医院Emotional stability evaluation system based on magnetic resonance imaging and evaluation method thereof
CN103886591A (en)*2014-03-062014-06-25西安电子科技大学Brain nuclei Granger causal analysis method based on RYGB surgery weight losing
CN109480841A (en)*2017-09-132019-03-19复旦大学Abnormal brain area precise positioning and antidote based on functional mri
WO2020121299A1 (en)*2018-12-092020-06-18The Medical Research, Infrastructure and Health Services Fund of the Tel Aviv Medical CenterStress disorder training
CN113080876A (en)*2021-04-222021-07-09南京脑科医院Parkinson disease depression auxiliary diagnosis method based on functional magnetic resonance image
CN113100780A (en)*2021-03-042021-07-13北京大学Automatic processing method for synchronous brain electricity-function magnetic resonance data

Patent Citations (7)

* Cited by examiner, † Cited by third party
Publication numberPriority datePublication dateAssigneeTitle
US5724987A (en)*1991-09-261998-03-10Sam Technology, Inc.Neurocognitive adaptive computer-aided training method and system
CN102293656A (en)*2011-05-252011-12-28四川大学华西医院Emotional stability evaluation system based on magnetic resonance imaging and evaluation method thereof
CN103886591A (en)*2014-03-062014-06-25西安电子科技大学Brain nuclei Granger causal analysis method based on RYGB surgery weight losing
CN109480841A (en)*2017-09-132019-03-19复旦大学Abnormal brain area precise positioning and antidote based on functional mri
WO2020121299A1 (en)*2018-12-092020-06-18The Medical Research, Infrastructure and Health Services Fund of the Tel Aviv Medical CenterStress disorder training
CN113100780A (en)*2021-03-042021-07-13北京大学Automatic processing method for synchronous brain electricity-function magnetic resonance data
CN113080876A (en)*2021-04-222021-07-09南京脑科医院Parkinson disease depression auxiliary diagnosis method based on functional magnetic resonance image

Non-Patent Citations (9)

* Cited by examiner, † Cited by third party
Title
QIANG WEI等: "The Changes of Functional Connectivity Strength in Electroconvulsive Therapy for Depression: A Longitudinal Study", 《FRONT. NEUROSCI》, vol. 12, pages 1 - 7*
YINGCHAN WANG等: "Temporal Dynamics in Degree Centrality of Brain Functional Connectome in First-Episode Schizophrenia with Different Short-Term Treatment Responses: A Longitudinal Study", 《NEUROPSYCHIATR DIS TREAT》, vol. 17, pages 1505 - 1516*
YUEDI SHEN等: "Sub-hubs of baseline functional brain networks are related to early improvement following two-week pharmacological therapy for major depressive disorder", 《HUMAN BRAIN MAPPING》, vol. 36, no. 8, pages 2915 - 2927*
史家波;阎锐;杨昱音;刘海燕;陈瑜;汤浩;卢青;姚志剑;: "5年随访未转相的抑郁症患者基线脑低频振幅及功能连接特征研究", 临床精神医学杂志, no. 06, pages 10 - 13*
张晋;冯正直;: "基于不同自我相关条件下抑郁情绪个体解释偏向的特点研究", 第三军医大学学报, no. 06, pages 114 - 118*
朱瑞瑞;张平;闫海清;贵永?;王昊亮;朱欣茹;张林丽;宋景贵;: "卒中后抑郁患者静息态局部脑活动与默认网络功能连接改变的磁共振成像研究", 中国卒中杂志, no. 04, pages 51 - 57*
李鹏;王长明;李峰;李先斌;周艳;王传跃;: "早发抑郁患者功能磁共振成像对下脑区静息态自发活动与疾病严重程度的相关性研究", 中国医学装备, no. 06, pages 68 - 73*
郁仁强;张志伟;吕发金;高玉军;彭刚;杜莲;刘欢;: "静息态功能磁共振研究未治疗首次发作重症抑郁症患者默认网络功能连接", 西部医学, no. 04, pages 122 - 127*
陈诚等: "首发抑郁症的患者静息态脑网络度中心度与认知功能研究", 《神经疾病与精神卫生》, vol. 21, no. 1, pages 10 - 14*

Cited By (2)

* Cited by examiner, † Cited by third party
Publication numberPriority datePublication dateAssigneeTitle
CN114652310A (en)*2022-03-142022-06-24东南大学 An objective diagnostic marker of psychomotor retardation in depression based on cerebral blood flow
CN117954073A (en)*2023-10-172024-04-30浙江大学 A depressive disorder treatment efficacy prediction system based on multimodal data

Also Published As

Publication numberPublication date
CN113693584B (en)2023-08-11

Similar Documents

PublicationPublication DateTitle
Oh et al.Identifying schizophrenia using structural MRI with a deep learning algorithm
Escudero et al.Early detection and characterization of Alzheimer's disease in clinical scenarios using Bioprofile concepts and K-means
US20240156414A1 (en)Method for Predicting Age from Resting-State Scalp EEG Signals Using Deep Convolutional Neural Networks
Liu et al.Left ventricular hypertrophy detection using electrocardiographic signal
CN113693584A (en)Method for selecting depression symptom predictive variable, computer device and storage medium
Liu et al.Benchmarking methods for mapping functional connectivity in the brain
CN117612731A (en)Method for constructing chronic disease risk model
Yoo et al.Design and technical validation to generate a synthetic 12-lead electrocardiogram dataset to promote artificial intelligence research
Sun et al.Dissecting heterogeneity in major depressive disorder via normative model-driven subtyping of functional brain networks
CN118762826B (en) Method for predicting coronary artery stenosis and FFR based on big data of coronary artery diagnosis and treatment
Lombardi et al.Detecting sepsis from photoplethysmography: strategies for dataset preparation
Padhy et al.A lightweight efficientNetB3 explainable model for enhancing prediction of cardiac arrhythmia using ECG signals
Romme et al.Analysis and visualization of the effect of multiple sclerosis on biological brain age
Ribino et al.Exploratory analysis of longitudinal data of patients with dementia through unsupervised techniques
JP2023545704A (en) Systems and methods for exposome clinical applications
LiaqatExtreme events in the temporal variability of brain signals, a new biomarker of healthy brain function across the lifespan
Wetchasit et al.Using machine learning to predict heart failure: evaluating model performance on clinical data
Gilani et al.Automated classification of congestive heart failure severity using time domain, frequency domain and non-linear heart rate variability measures
CN117637154B (en)Nerve internal department severe index prediction method and system based on optimization algorithm
Huang et al.Predicting the longitudinal efficacy of medication for depression using electroencephalography and machine learning
CN113947577B (en)Method, system, device, processor and storage medium for realizing brain image feature normalization processing based on healthy population distribution
Tarmizi et al.Photoplethysmography Bio-Signal Extraction for Classifying Diabetes Mellitus Diseases Using Pretrained Deep Learning Networks
Ren et al.Construction of machine learning models for recognizing comorbid anxiety in epilepsy patients based on their clinical and quantitative EEG features
Valcheva et al.Data Classification Analysis for Alzheimer Disease Diagnostic
US20250318767A1 (en)System and Method for Mental Diagnosis Using EEG

Legal Events

DateCodeTitleDescription
PB01Publication
PB01Publication
SE01Entry into force of request for substantive examination
SE01Entry into force of request for substantive examination
GR01Patent grant
GR01Patent grant

[8]ページ先頭

©2009-2025 Movatter.jp