Movatterモバイル変換


[0]ホーム

URL:


CN113440165A - Wearable visual ultrasonic non-invasive monitoring equipment - Google Patents

Wearable visual ultrasonic non-invasive monitoring equipment
Download PDF

Info

Publication number
CN113440165A
CN113440165ACN202110915865.0ACN202110915865ACN113440165ACN 113440165 ACN113440165 ACN 113440165ACN 202110915865 ACN202110915865 ACN 202110915865ACN 113440165 ACN113440165 ACN 113440165A
Authority
CN
China
Prior art keywords
ultrasonic
flexible
monitoring
probe
ultrasonic scanning
Prior art date
Legal status (The legal status is an assumption and is not a legal conclusion. Google has not performed a legal analysis and makes no representation as to the accuracy of the status listed.)
Pending
Application number
CN202110915865.0A
Other languages
Chinese (zh)
Inventor
郑元义
蔡晓军
陈静
贾龙洋
王韧
陈磊
吴建荣
高维
应涛
胡兵
Current Assignee (The listed assignees may be inaccurate. Google has not performed a legal analysis and makes no representation or warranty as to the accuracy of the list.)
Shanghai Sixth Peoples Hospital
Original Assignee
Shanghai Sixth Peoples Hospital
Priority date (The priority date is an assumption and is not a legal conclusion. Google has not performed a legal analysis and makes no representation as to the accuracy of the date listed.)
Filing date
Publication date
Application filed by Shanghai Sixth Peoples HospitalfiledCriticalShanghai Sixth Peoples Hospital
Priority to CN202411605732.3ApriorityCriticalpatent/CN119302686A/en
Priority to CN202110915865.0Aprioritypatent/CN113440165A/en
Publication of CN113440165ApublicationCriticalpatent/CN113440165A/en
Pendinglegal-statusCriticalCurrent

Links

Images

Classifications

Landscapes

Abstract

Translated fromChinese

本发明涉及超声成像监控技术领域,特别涉及一种柔性超声波扫描成像设备。一种可穿戴可视化的超声无创监控设备,包括:柔性超声探头、与柔性超声探头相接的超声扫描主机,所述超声扫描主机与显示设备相连。使用时将超声探头贴于要监控器官表面的皮肤,用医用胶布固定,然后打开超声扫描主机。超声扫描主机将图像传至显示设备即实现监控。本发明的目的在于提供一种可穿戴可视化的超声无创监控设备以获得动态超声录相数据以用于疾病的诊断与治疗,同时提出利用人工智能技术实现对下腔静脉、锁骨下静脉等静脉血管面积、流速等的自动、实时测定方法。

Figure 202110915865

The invention relates to the technical field of ultrasonic imaging monitoring, in particular to a flexible ultrasonic scanning imaging device. A wearable and visualized ultrasonic non-invasive monitoring device comprises: a flexible ultrasonic probe, an ultrasonic scanning host connected with the flexible ultrasonic probe, and the ultrasonic scanning host is connected with a display device. When in use, stick the ultrasound probe to the skin on the surface of the organ to be monitored, fix it with medical tape, and then turn on the ultrasound scanning host. The ultrasonic scanning host transmits the image to the display device to realize monitoring. The purpose of the present invention is to provide a wearable visualized ultrasonic non-invasive monitoring device to obtain dynamic ultrasonic video data for diagnosis and treatment of diseases, and at the same time propose to use artificial intelligence technology to realize the detection of venous blood vessels such as inferior vena cava and subclavian vein. Automatic, real-time measurement method for area, flow velocity, etc.

Figure 202110915865

Description

Wearable visual ultrasonic non-invasive monitoring equipment
Technical Field
The invention relates to the technical field of ultrasonic imaging, in particular to flexible ultrasonic imaging monitoring equipment.
Background
The determination of central venous pressure is important for guiding the formulation of treatment regimens for clinically critical patients. At present, the floating catheter is placed in the inferior vena cava for determination clinically by means of an interventional operation, the method is an invasive method, and has the defects of infection, inconvenience, difficulty in long-term continuous monitoring and the like, and a noninvasive central venous pressure monitoring method is urgently needed clinically. The ultrasonic imaging can carry out non-invasive imaging on blood vessels, and the central venous pressure is found to be positively correlated with the caliber of inferior vena cava in the early period, so the idea of monitoring the central venous pressure by utilizing the ultrasonic image is provided. However, two difficulties have been found to exist: first, most of the existing ultrasound imaging devices are used for one-time scanning imaging, which is difficult to perform continuous monitoring imaging for a long time, and difficult to obtain dynamic ultrasound recording data for diagnosis and treatment of diseases and selection of surgical schemes. The reason for this is that: at present, the geometric dimension of the conventional ultrasonic probe, whether a convex array, a concave array, a linear array or an area array, is fixed. Such as a convex/concave array probe with a fixed radius of curvature of the probe, array element spacing and distribution, etc. Therefore, in order to obtain good contact, it is necessary to closely attach the ultrasonic probe to the detection site and fill up the fine gaps with an ultrasonic couplant. Even so, since the ultrasound probe is rigid, good contact is often not obtained, resulting in a great impact on imaging quality. When human tissue detects, if not soft tissue position, perhaps when the detection target surface curvature continuous variation is irregular, the probe just can't use, has caused very big inconvenience to formation of image and detection, needs medical personnel to hold fixedly in the use, consequently can't carry out continuous control formation of image. Secondly, the automatic calculation and real-time monitoring of the area of the vein can not be achieved due to the lack of artificial intelligence.
Disclosure of Invention
The invention aims to provide a wearable visual ultrasonic non-invasive monitoring device for obtaining dynamic ultrasonic recording data for diagnosis and treatment of diseases. In order to achieve the purpose, the invention adopts the following technical scheme:
a wearable visualized ultrasound non-invasive monitoring device, comprising: the flexible ultrasonic probe, with the supersound scanning host computer that flexible ultrasonic probe meets, supersound scanning host computer links to each other with display device. When in use, the ultrasonic probe is attached to the skin on the surface of an organ to be monitored, fixed by a medical adhesive tape, and then the ultrasonic scanning host is opened. The ultrasonic scanning host transmits the image to the display device to realize monitoring.
Further, the flexible ultrasonic probe comprises a flexible layer medium, the ultrasonic transducer units are arranged in the flexible medium or on the surface of the flexible medium in an array mode, and the shape of the flexible layer medium can be changed so as to be attached to the surface of an ultrasonic treatment/ultrasonic imaging object.
Further, the flexible ultrasound probe includes a housing and a flexible ultrasound probe layer.
Further, the probe frequency of the flexible ultrasonic probe can be selected from: 1-2MH,3-5MHz,5-12MHz and 12-20 MHz.
Further, the display device includes: cell-phone, panel computer, display etc..
Furthermore, computer vision recognition analysis software is arranged in the ultrasonic scanning host machine, and can automatically recognize and analyze the measured elements in the acquired data image.
Furthermore, computer vision recognition analysis software is arranged in the ultrasonic scanning host, and can automatically recognize blood vessels in the acquired data image and calculate the area of the blood vessels.
Further, the ultrasonic imaging device can be used for monitoring the heart, monitoring blood vessels, monitoring muscle movement and monitoring cerebral hemorrhage.
Based on the technical scheme, the invention further provides a visual blood flow monitoring instrument which comprises a flexible ultrasonic probe and an ultrasonic scanning host connected with the flexible ultrasonic probe, wherein the ultrasonic scanning host is connected with a display device.
The technical scheme of the invention has the following beneficial effects:
1. the flexible ultrasonic probe is closely attached to the surface of a detected body, energy loss of ultrasonic waves is reduced, the ultrasonic waves can be transmitted and/or received more accurately, detection precision is improved, accurate detection scanning can be carried out on human tissues, the flexible ultrasonic probe is not limited to soft tissues, and the flexible ultrasonic probe can also be used on the neck or other bone tissues.
2. The acquisition of long-time dynamic ultrasonic recording data can be realized for diagnosis and treatment of diseases.
3. The computer vision recognition analysis software can be used for automatically recognizing and analyzing the measured elements in the acquired data image. The medical care personnel can obtain the health condition of the patient more intuitively and effectively.
Drawings
Fig. 1 is a schematic structural diagram of an embodiment of the present invention.
Fig. 2 is a schematic structural diagram of a flexible ultrasonic probe according to an embodiment of the present invention.
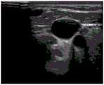
FIG. 3 is an image of a pre-transfusion jugular vein taken in accordance with one embodiment of the present invention.
FIG. 4 is a post-transfusion jugular vein image taken in accordance with one embodiment of the present invention.
FIG. 5 is a graph showing the cross-sectional area changes of the anterior and posterior jugular veins collected in accordance with one embodiment of the present invention.
Description of the drawings: 01 is the cross-sectional area change curve of the jugular vein after blood transfusion, and 02 is the cross-sectional area change curve of the jugular vein before blood transfusion.
Detailed Description
In order to make those skilled in the art better understand the technical solution of the present invention, the following examples further describe the present invention in detail, and the following examples are only used for illustrating the present invention, but not for limiting the scope of the present invention.
A wearable visualized ultrasound non-invasive monitoring device, comprising: the flexibleultrasonic probe 1 and the flexible ultrasonic probe are connected through an ultrasonicscanning host machine 2 of a connectingwire 3, and the ultrasonicscanning host machine 2 is connected with the display device. The flexibleultrasonic probe 1 comprises a flexible layer medium, wherein the ultrasonic transducer units are arranged in an array form on the surface of the flexible medium, and the shape of the flexible layer medium can be changed so as to be attached to the surface of an ultrasonic treatment/ultrasonic imaging object. Theflexible ultrasound probe 1 comprises ahousing 4 and a flexibleultrasound probe layer 5. The display device includes: cell-phone, panel computer, display etc.. Computer vision recognition analysis software is arranged in theultrasonic scanning host 2, and can automatically recognize blood vessels in the acquired data images and calculate the area of the blood vessels.
Specifically, the ultrasonic imaging data acquisition of multiple parts and multiple sections of the jugular vein of 50 cases of pregnant women with normal and gestational hypertension, anemia and hypoproteinemia is completed, dynamic ultrasonic recording data under different parameter conditions are obtained, and video computer identification analysis is carried out on the obtained ultrasonic recording by using computer vision identification analysis software, so that the ultrasonic imaging system is greatly helpful for clinical diagnosis and treatment.
Furthermore, through the ultrasonic image analysis of the jugular vein before and after fluid infusion of normal people and acute blood loss patients, the dynamic monitoring of the jugular vein area can better reflect the clinical fluid infusion effect, and a simple and feasible monitoring mode is hopeful to be provided for clinical treatment.
In summary, the technical scheme provided by the invention realizes automatic identification, area measurement and dynamic tracking of jugular vein blood vessels under the condition of low signal to noise ratio by integrating and combining the flexible ultrasonic probe and the computer vision identification analysis software. The purpose of acquiring the dynamic ultrasonic recording data for a long time is achieved, and a reliable treatment basis is provided for clinical medical diagnosis and treatment. With the popularization of the wearable visual ultrasonic imaging equipment provided by the invention, the comprehensive upgrade of a clinical monitoring instrument is hopefully driven. And the image identification requirement required by multidisciplinary research can be met.
The preferred embodiments of the present invention have been described in detail, however, the present invention is not limited to the specific details of the above embodiments, and various changes may be made to the technical solution of the present invention within the technical idea of the present invention, and these simple modifications are included in the protective scope of the present invention.
It should be noted that, in the foregoing embodiments, various specific technical features and steps described in the above embodiments can be combined in any suitable manner, and in order to avoid unnecessary repetition, various possible combinations of the features and steps are not described separately.
In addition, any combination of the various embodiments of the present invention is also possible, and the same should be considered as the disclosure of the present invention as long as it does not depart from the spirit of the present invention.

Claims (10)

1. A wearable visual ultrasonic non-invasive monitoring equipment is characterized in that: the ultrasonic scanning device comprises a flexible ultrasonic probe and an ultrasonic scanning host machine connected with the flexible ultrasonic probe, wherein the ultrasonic scanning host machine is connected with a display device.
2. A wearable visual ultrasound non-invasive monitoring device according to claim 1, characterized in that: the flexible ultrasound probe comprises a flexible layer medium in or on which the ultrasound transducer elements are arranged in an array.
3. A wearable visual ultrasound non-invasive monitoring device according to claim 1, characterized in that: the flexible ultrasonic probe comprises a shell and a flexible ultrasonic detection layer.
4. A wearable visual ultrasound non-invasive monitoring device according to claim 1, characterized in that: the probe frequency of the flexible ultrasonic probe is selected from the following steps: 1-2MH,3-5MHz,5-12MHz and 12-20 MHz.
5. A wearable visual ultrasound non-invasive monitoring device according to claim 1, characterized in that: the display device includes: cell-phone, panel computer, display.
6. A wearable visual ultrasound non-invasive monitoring device according to claim 1, characterized in that: computer vision recognition analysis software is arranged in the ultrasonic scanning host, and automatic recognition and data analysis are carried out on measured elements in the acquired data images.
7. A wearable visual ultrasound non-invasive monitoring apparatus according to claim 6, characterized in that: computer vision recognition analysis software is arranged in the ultrasonic scanning host, and automatic recognition and area calculation are carried out on blood vessels in the acquired data images.
8. A wearable visual ultrasound non-invasive monitoring device according to claim 1, characterized in that: the ultrasonic imaging device is used for monitoring the heart, monitoring the blood vessels, monitoring the muscle movement and monitoring the cerebral hemorrhage.
9. A visual blood flow monitoring instrument, characterized by: the ultrasonic scanning device comprises a flexible ultrasonic probe and an ultrasonic scanning host connected with the flexible ultrasonic probe, wherein the ultrasonic scanning host is connected with a display device.
10. A visual blood flow monitoring apparatus as claimed in claim 9, wherein: computer vision recognition analysis software is arranged in the ultrasonic scanning host, and automatic recognition and area calculation are carried out on blood vessels in the acquired data images.
CN202110915865.0A2021-08-102021-08-10Wearable visual ultrasonic non-invasive monitoring equipmentPendingCN113440165A (en)

Priority Applications (2)

Application NumberPriority DateFiling DateTitle
CN202411605732.3ACN119302686A (en)2021-08-102021-08-10 A wearable visual ultrasonic non-invasive monitoring device
CN202110915865.0ACN113440165A (en)2021-08-102021-08-10Wearable visual ultrasonic non-invasive monitoring equipment

Applications Claiming Priority (1)

Application NumberPriority DateFiling DateTitle
CN202110915865.0ACN113440165A (en)2021-08-102021-08-10Wearable visual ultrasonic non-invasive monitoring equipment

Related Child Applications (1)

Application NumberTitlePriority DateFiling Date
CN202411605732.3ADivisionCN119302686A (en)2021-08-102021-08-10 A wearable visual ultrasonic non-invasive monitoring device

Publications (1)

Publication NumberPublication Date
CN113440165Atrue CN113440165A (en)2021-09-28

Family

ID=77818467

Family Applications (2)

Application NumberTitlePriority DateFiling Date
CN202411605732.3APendingCN119302686A (en)2021-08-102021-08-10 A wearable visual ultrasonic non-invasive monitoring device
CN202110915865.0APendingCN113440165A (en)2021-08-102021-08-10Wearable visual ultrasonic non-invasive monitoring equipment

Family Applications Before (1)

Application NumberTitlePriority DateFiling Date
CN202411605732.3APendingCN119302686A (en)2021-08-102021-08-10 A wearable visual ultrasonic non-invasive monitoring device

Country Status (1)

CountryLink
CN (2)CN119302686A (en)

Cited By (1)

* Cited by examiner, † Cited by third party
Publication numberPriority datePublication dateAssigneeTitle
WO2023137603A1 (en)*2022-01-192023-07-27潘湘斌Wearable medical apparatus and method

Citations (10)

* Cited by examiner, † Cited by third party
Publication numberPriority datePublication dateAssigneeTitle
US6503202B1 (en)*2000-06-292003-01-07Acuson Corp.Medical diagnostic ultrasound system and method for flow analysis
CN101152646A (en)*2006-09-272008-04-02香港理工大学Flexible ultrasonic transducer array and application device thereof
CN104546009A (en)*2013-10-102015-04-29深圳迈瑞生物医疗电子股份有限公司Dynamic cardiogram detecting device
US20150257733A1 (en)*2014-03-112015-09-17Sonivate Medical, Inc.Wearable imaging system
CN105877780A (en)*2015-08-252016-08-24上海深博医疗器械有限公司Full-automatic ultrasonic scanner and scanning detection method
CN110353727A (en)*2019-06-032019-10-22浙江聚康生物工程有限公司Wireless hand-held color-image forming apparatus and imaging method
CN111110279A (en)*2020-01-132020-05-08卓瑞姆生物技术有限公司Ultrasonic imaging equipment and imaging method thereof
JP2020081068A (en)*2018-11-192020-06-04ゼネラル・エレクトリック・カンパニイUltrasonic probe and ultrasonic device
CN111820946A (en)*2020-06-232020-10-27华中科技大学 A Flexible Velocimetry Device for Doppler Ultrasonic Detection and Its Application
CN216702565U (en)*2021-08-102022-06-10上海市第六人民医院 A wearable visualization ultrasonic non-invasive monitoring instrument

Patent Citations (10)

* Cited by examiner, † Cited by third party
Publication numberPriority datePublication dateAssigneeTitle
US6503202B1 (en)*2000-06-292003-01-07Acuson Corp.Medical diagnostic ultrasound system and method for flow analysis
CN101152646A (en)*2006-09-272008-04-02香港理工大学Flexible ultrasonic transducer array and application device thereof
CN104546009A (en)*2013-10-102015-04-29深圳迈瑞生物医疗电子股份有限公司Dynamic cardiogram detecting device
US20150257733A1 (en)*2014-03-112015-09-17Sonivate Medical, Inc.Wearable imaging system
CN105877780A (en)*2015-08-252016-08-24上海深博医疗器械有限公司Full-automatic ultrasonic scanner and scanning detection method
JP2020081068A (en)*2018-11-192020-06-04ゼネラル・エレクトリック・カンパニイUltrasonic probe and ultrasonic device
CN110353727A (en)*2019-06-032019-10-22浙江聚康生物工程有限公司Wireless hand-held color-image forming apparatus and imaging method
CN111110279A (en)*2020-01-132020-05-08卓瑞姆生物技术有限公司Ultrasonic imaging equipment and imaging method thereof
CN111820946A (en)*2020-06-232020-10-27华中科技大学 A Flexible Velocimetry Device for Doppler Ultrasonic Detection and Its Application
CN216702565U (en)*2021-08-102022-06-10上海市第六人民医院 A wearable visualization ultrasonic non-invasive monitoring instrument

Cited By (1)

* Cited by examiner, † Cited by third party
Publication numberPriority datePublication dateAssigneeTitle
WO2023137603A1 (en)*2022-01-192023-07-27潘湘斌Wearable medical apparatus and method

Also Published As

Publication numberPublication date
CN119302686A (en)2025-01-14

Similar Documents

PublicationPublication DateTitle
JP4602972B2 (en) Ultrasonic diagnostic apparatus and control method of ultrasonic diagnostic apparatus
JP7201759B2 (en) Apparatus and method for detecting increased swelling and/or migration of the brain
WO2019011242A1 (en)Multi-functional measuring device which may determine carotid artery blood pressure
US11701092B2 (en)Automated ultrasound apparatus and methods to non-invasively monitor fluid responsiveness
US20240180523A1 (en)A Portable Ultrasound Device and Method for Ultrasonic Imaging
JP2003529434A (en) Body flow measurement system
JP2007501030A (en) Apparatus and method for early detection of cardiovascular disease using vascular imaging
JPWO2006043528A1 (en) Ultrasonic diagnostic apparatus and control method of ultrasonic diagnostic apparatus
US20250134496A1 (en)Vascular Imaging and Measurement Using Ultrasound
CN113440165A (en)Wearable visual ultrasonic non-invasive monitoring equipment
CN216702565U (en) A wearable visualization ultrasonic non-invasive monitoring instrument
CN104323761A (en)Infrared thermal imaging technology-based vascular endothelial function detection device and detection method thereof
JP2008161546A (en) Ultrasonic diagnostic equipment
WO2024164885A1 (en)Information processing method for intracranial pressure monitoring, device, and use
JP5014132B2 (en) Ultrasonic diagnostic equipment
US11457889B2 (en)System and method of non-invasive continuous echocardiographic monitoring
US20230233176A1 (en)System and method of calibrating cerebral sensor orientation and generating feedback from cerebral sensor injector
Abolhasani et al.Real-time, cuff-less and non-invasive blood pressure monitoring
US12426849B2 (en)Method and apparatus for noninvasive absolute (mean) intracranial pressure (A-ICP) measurement and/or monitoring
CN117379096A (en) Superficial arterial flow velocity and fluctuation monitoring flexible array sensing device, signal acquisition method and system
CN116999090A (en) An image processing system and method for inferior vena cava measurement
WO2024206291A2 (en)A device to assess intracranial pressure (icp) noninvasively
Li et al.Review on Wearable System for Positioning Ultrasound Scanner. Machines 2023, 11, 325
CN119454090A (en) A blood pressure monitoring method and system based on wearable ultrasonic transducer
CA3231543A1 (en)Systems, devices and methods for ultrasound detection of vascular hemodynamic measures

Legal Events

DateCodeTitleDescription
PB01Publication
PB01Publication
SE01Entry into force of request for substantive examination
SE01Entry into force of request for substantive examination
RJ01Rejection of invention patent application after publication
RJ01Rejection of invention patent application after publication

Application publication date:20210928


[8]ページ先頭

©2009-2025 Movatter.jp