Movatterモバイル変換


[0]ホーム

URL:


CN113209365B - A kind of multifunctional closed hemostatic wound dressing and preparation method thereof - Google Patents

A kind of multifunctional closed hemostatic wound dressing and preparation method thereof
Download PDF

Info

Publication number
CN113209365B
CN113209365BCN202110599634.3ACN202110599634ACN113209365BCN 113209365 BCN113209365 BCN 113209365BCN 202110599634 ACN202110599634 ACN 202110599634ACN 113209365 BCN113209365 BCN 113209365B
Authority
CN
China
Prior art keywords
solution
stirring
preparation
mass fraction
wound dressing
Prior art date
Legal status (The legal status is an assumption and is not a legal conclusion. Google has not performed a legal analysis and makes no representation as to the accuracy of the status listed.)
Active
Application number
CN202110599634.3A
Other languages
Chinese (zh)
Other versions
CN113209365A (en
Inventor
李飞翰
杨黄浩
张进
潘高星
林倩
潘佳铭
刘泽群
Current Assignee (The listed assignees may be inaccurate. Google has not performed a legal analysis and makes no representation or warranty as to the accuracy of the list.)
Fuzhou Bomei Biotechnology Co ltd
Original Assignee
Fuzhou University
Priority date (The priority date is an assumption and is not a legal conclusion. Google has not performed a legal analysis and makes no representation as to the accuracy of the date listed.)
Filing date
Publication date
Application filed by Fuzhou UniversityfiledCriticalFuzhou University
Priority to CN202110599634.3ApriorityCriticalpatent/CN113209365B/en
Publication of CN113209365ApublicationCriticalpatent/CN113209365A/en
Application grantedgrantedCritical
Publication of CN113209365BpublicationCriticalpatent/CN113209365B/en
Activelegal-statusCriticalCurrent
Anticipated expirationlegal-statusCritical

Links

Images

Classifications

Landscapes

Abstract

Translated fromChinese

本发明公开了一种多功能封闭止血伤口敷料,由壳聚糖、负载凝血因子的纳米颗粒、普朗尼克Pluronic F‑127和儿茶酚在室温条件下均匀混合制备而成。本发明的一种多功能封闭止血伤口敷料在湿润环境下粘合速度快,具有止血效率高、抑菌性强、安全无毒、生物相容性好、价格低廉、便于操作等优点,适用于大动脉止血,制备方法简单,可规模化生产。

Figure 202110599634

The invention discloses a multifunctional closed hemostatic wound dressing, which is prepared by uniformly mixing chitosan, nanoparticles loaded with coagulation factors, Pluronic F-127 and catechol at room temperature. The multifunctional closed hemostatic wound dressing of the invention has the advantages of fast adhesion in a humid environment, high hemostatic efficiency, strong bacteriostatic properties, safety and non-toxicity, good biocompatibility, low price, easy operation and the like, and is suitable for use in The aorta hemostasis has the advantages of simple preparation method and large-scale production.

Figure 202110599634

Description

Multifunctional closed hemostatic wound dressing and preparation method thereof
Technical Field
The invention belongs to the field of biomaterial preparation and biomedical application, and particularly relates to a composite hemostatic material prepared from blood coagulation factor-loaded nanoparticles, Pluronic F-127, chitosan and catechol, and a preparation method thereof.
Background
The research and development of a new generation of high-efficiency hemostatic material to meet the requirements of military treatment on stepness and high hemostasis efficiency is always an urgent research hotspot of military war guarantee and clinical medicine at present. The hemostatic materials in the market at present mainly comprise fibrin glue, oxidized regenerated cellulose, cyanoacrylate, zeolite, chitosan and the like. For example, the Quikclot hemostatic material developed by Z-medical company is a composite zeolite hemostatic material based on 75% synthetic zeolite, which has a remarkable hemostatic effect but has obvious side effects of water absorption and heat release, animal experiments show that the highest temperature of water absorption and heat release of the material can reach about 100 ℃, which can cause serious thermal injury to injured tissues, and the powdery hemostatic material is easy to remain in a vessel cavity, thus causing inconvenience for subsequent treatment. Fibrin glue can form fibrin clot to adhere to wound surface, can reduce the formation of hematoma on wound surface, and is suitable for stopping bleeding after peritoneum and abdominal cavity viscera bleeding. The oxidized regenerated cellulose has the functions of inhibiting bacteria and preventing postoperative adhesion, is suitable for hemostasis of organs in abdominal cavity, but is avoided in neurosurgery operation. The cyanoacrylate also has strong adhesion effect, can fill the tissue defect part and stimulate the growth of granulation tissue, so the cyanoacrylate is suitable for skin injury patients. Most of the hemostatic products are only used in non-war time, and are effective for partial small bleeding of wounds, and no quick and effective hemostatic material is available in the market at present in the aspect of large-scale acute bleeding occurring in war, acute burst explosion and other events. Therefore, it is necessary to develop a medical biological adhesive with fast hemostasis, good biocompatibility and high adhesive strength in a humid environment in vivo.
Chitosan is a natural mucopolysaccharide having good biocompatibility, and has been widely used as a biomedical material. The chitosan can promote hemostasis by adsorbing platelets in a solid state; in the liquid state, chitosan also has the function of aggregating erythrocytes. Based on the advantages, the hemostatic material taking chitosan as the base material shows good application effect in the aspect of wound hemostasis. In addition, chitosan also has the effect of inhibiting the growth of various bacteria and fungi. The wound dressing made of chitosan has water and oxygen absorption and oxygen permeability, and wound tissues under the dressing can obtain enough oxygen, thereby being beneficial to epithelial cells to gather from the periphery to cover the wound. Patent CN106822986B discloses a preparation method of a chitosan-agar oligosaccharide porous bead hemostatic material, which comprises S1, preparing a chitosan-agar oligosaccharide composite solution; s2, adding across-linking agent 1, 3-diglycidyl ether glycerol into the composite alcohol solution, dropwise adding the chitosan-agar oligosaccharide composite solution into the composite alcohol solution containing 1, 3-diglycidyl ether glycerol under the condition of ultrasonic power of 130-150W, stopping ultrasonic after dropwise adding, and stirring at 600-800 rpm for 30 minutes; and S3, filtering the beads, washing and freeze-drying to obtain the microsphere. The hemostatic material prepared by the technical scheme has good biocompatibility, safety and no toxicity; can promote blood coagulation rapidly, can finish rapid hemostasis in a certain application range, but has no adhesion to wet tissues and is not suitable for aortic hemorrhage and visceral hemorrhage. And the preparation steps are complicated, so that the method is not suitable for batch production.
Disclosure of Invention
In order to solve the technical problems, the invention provides a composite hemostatic material prepared from blood coagulation factor-loaded nanoparticles, Pluronic F-127 (nonionic triblock copolymer formed by polyoxyethylene-polyoxypropylene-polyoxyethylene), chitosan and catechol, wherein the blood coagulation factor-loaded PVA (polyvinyl alcohol) nanoparticles are used as a matrix material, and the Pluronic F-127 subjected to terminal thiolation is used as an adhesive to form a double network inside by virtue of self-assembly and chelation between the catechol and chitosan biomacromolecules. The prepared composite hemostatic material has the advantages of high bonding strength in a humid environment, high hemostatic efficiency, strong antibacterial activity, safety, no toxicity, good biocompatibility, low price, convenience in operation and the like, and is suitable for large-range acute hemorrhage.
The technical scheme provided by the invention is as follows:
a preparation method of the multifunctional closed hemostatic wound dressing comprises the following steps:
(1) dissolving a chitosan solution in an aluminum chloride hexahydrate solution, and stirring at a constant temperature to obtain a solution S1;
(2) adding bovine serum albumin and a blood coagulation factor into the polyvinyl alcohol solution, and stirring to obtain a solution S2;
(3) adding polycaprolactone into dichloromethane, and stirring to obtain a solution S3;
(4) emulsifying S2 in S3, and evaporating the organic solvent to obtain a solution S4;
(5) diluting 10wt% Pluronic F-127 in Hepes buffer, and stirring at room temperature to obtain solution S5;
(6) dissolving catechol in a mixed solution of deionized water and ethanol, and stirring at constant temperature to obtain a solution S6;
(7) and uniformly mixing the solutions S1, S4, S5 and S6 at room temperature to obtain the multifunctional closed hemostatic wound dressing.
Preferably, in the solution S1 in the step (1), the concentration of chitosan is 0.001-10 g/mL; the concentration of the aluminum chloride hexahydrate is 0.001-10 g/mL; the stirring temperature is 10-60 ℃; the stirring time is 0.5-6 h.
Preferably, in the solution S2 in the step (2), the mass fraction of the polyvinyl alcohol is 0.2-5%; the mass fraction of the bovine serum albumin is 0.01-0.5%; the mass fraction of the blood coagulation factor is 0.01-0.5%; the stirring temperature is 30-50 ℃; the stirring time is 1-4 h.
Preferably, in the solution S3 in the step (3), the mass fraction of polycaprolactone is 0.5-5%; the stirring temperature is 30-50 ℃; the stirring time is 1-4 h.
Preferably, in the step (4), S2 is emulsified in S3, stirred and evaporated for 0.5-3 h by using a magnetic stirrer.
Preferably, in the solution S5 in the step (5), the mass fraction of the Pluronic Pluronic F-127 is 0.01-0.1%.
Preferably, in the solution S6 in the step (6), the concentration of the catechol is 0.001-10 g/mL; the stirring temperature is 20-35 ℃; the stirring time is 15-30 min.
Preferably, in the step (7), the mass ratio of the solution S1 to the solution S6 to the solution S5 to the solution S4 is 1: 500: 0.1: 500-500: 1: 2.5: 1; the mixing speed is 0.01-1 mL/min; the stirring time is 1-10 min.
The invention also discloses a composite hemostatic material prepared by any one of the preparation methods.
Compared with the prior art, the invention has the following technical advantages:
(1) the composite hemostatic material can self-assemble in molecules to form a double-layer supramolecular network, wherein a protonated amino group on a chitosan side chain and a catechol group of catechol generate hydrogen bond action, and a first layer of cross-linked network is formed through self-assembly and chelation among macromolecules; the Pluronic F-127 wraps the blood coagulation factor nano-particles with negative charges, the whole body is negatively charged, and the chitosan side chain protonated amino group generates electrostatic interaction to form a second layer of cross-linked network inside. In addition, the cationic effect of chitosan can rapidly capture and activate red blood cells and platelets; pluronic is a surfactant and forms micelles in water to diffuse out nanoparticles, so that Pluronic F-127 can improve the diffusivity of the nanoparticles, and the blood coagulation factor nanoparticles can rapidly permeate skin mucosa, thereby accelerating the release of the blood coagulation factor. By means of covalent crosslinking of catechol and chitosan and electrostatic interaction between Pluronic F-127 and chitosan, a double network is formed inside the prepared composite hemostatic material, so that gaps among hydrogel stable molecules are very small, wounds can be sealed, the effect of rapid hemostasis is achieved, and the use of large-dose hemorrhage is met.
(2) The double-layer supermolecule network formed among different materials in the invention greatly enhances the adhesion effect and good tensile property of the composite hemostatic material in a wet environment, and the added blood coagulation factor nanoparticles can specifically adsorb red blood cells, improve the success rate of underwater hemostasis and have very wide application prospect.
(3) On one hand, the composite hemostatic material prepared by the invention promotes blood coagulation based on the function of the chitosan/blood coagulation factor nano-particles for aggregating erythrocytes; on the other hand, the rapid sealing of injured tissues can be realized based on the ultra-strong wet tissue bonding capacity of a large amount of phenolic hydroxyl contained in the catechol solution, the prepared hemostatic material has the advantages of high bonding speed in a wet environment, high hemostatic efficiency, strong antibacterial activity, safety, no toxicity, good biocompatibility, low price, convenience in operation and the like, is suitable for aortic hemostasis, is simple in preparation method, and can be produced in a large scale.
Drawings
FIG. 1 is the result of cytotoxicity test of the novel multifunctional closed hemostatic wound dressing prepared in example 6 of the present invention;
FIG. 2 is a graph showing the results of a wet adhesion strength test of the novel multifunctional occlusive hemostatic wound dressing prepared in example 6 of the present invention;
FIG. 3 is the test result of the mechanical strength of the novel multifunctional closed hemostatic wound dressing prepared in example 6 of the present invention;
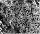
fig. 4 is a scanning electron microscope image of the novel multifunctional closed hemostatic wound dressing prepared in example 6 of the present invention.
Detailed Description
For a further understanding of the invention, reference will now be made to the preferred embodiments of the invention by way of example, and it is to be understood that the description is intended to further illustrate features and advantages of the invention, and not to limit the scope of the claims.
Example 1
A preparation method of a novel multifunctional closed hemostatic wound dressing comprises the following steps:
(1) 15 g of aluminum hexachloride was dissolved in water, and 15 g of chitosan was added thereto, followed by stirring at 40 ℃ for 6 hours, to obtain a solution S1 in which the concentration of chitosan was 0.67 g/mL and the concentration of aluminum chloride hexahydrate was 0.67 g/mL.
(2) Adding 2 g of PVA into deionized water, stirring for 4h at 40 ℃, adding 25 mg of BSA and 10 mg of blood coagulation factor, and dissolving to obtain a blood coagulation factor-loaded nanoparticle solution S2, wherein the mass fraction of the polyvinyl alcohol is 2%, the mass fraction of the bovine serum albumin is 0.025%, and the mass fraction of the blood coagulation factor is 0.01%;
(3) dissolving 250 mg of PCL (polycaprolactone) in dichloromethane, stirring at 30 ℃ for 4h to obtain a solution S3, wherein the mass fraction of the polycaprolactone is 3%;
(4) emulsifying the solution S2 in the solution S3 by using a probe type ultrasonic homogenizer, and stirring for 2 hours by using a magnetic stirrer to completely evaporate the organic solvent to obtain a solution S4;
(5) diluting Pluronic F-127 with 10% by mass in Hepes buffer solution to 0.02% to obtain solution S5;
(6) dissolving 15 g of catechol in deionized water and ethanol (1: 1) solution, and stirring at 30 ℃ for 20 min to obtain solution S6, wherein the concentration of the catechol is 1 g/mL;
(7) mixing the solution S1, the solution S4, the solution S6 and the solution S5 according to the weight ratio of 20: 10: 100: 1 for 10 min to obtain the composite hemostatic material with adhesive property.
Example 2
A preparation method of a novel multifunctional closed hemostatic wound dressing comprises the following steps:
(1) dissolving 20 g of aluminum chloride hexahydrate in water, adding 20 g of chitosan, and stirring at 45 ℃ for 4 hours to obtain a solution S1, wherein the concentration of the chitosan is 1 g/mL; the concentration of the aluminum chloride hexahydrate is 1 g/mL;
(2) adding 4 g of PVA into deionized water, stirring for 4h at 35 ℃, adding 25 mg of BSA and 10 mg of blood coagulation factor, and dissolving to obtain a solution S2, wherein the mass fraction of the polyvinyl alcohol is 4%, the mass fraction of the bovine serum albumin is 0.025%, and the mass fraction of the blood coagulation factor is 0.01%;
(3) 100 mg of PCL was dissolved in dichloromethane; stirring at 30 ℃ for 4h to obtain a solution S3, wherein the mass fraction of polycaprolactone is 1%;
(4) emulsifying the solution S2 in the solution S3 by using a probe type ultrasonic homogenizer, and stirring for 2 hours by using a magnetic stirrer to completely evaporate the organic solvent to obtain a solution S4;
(5) diluting Pluronic F-127 with 10% by mass in Hepes buffer solution to 0.03% to obtain solution S5;
(6) dissolving 20 g of catechol in deionized water and ethanol (1: 1) solution, and stirring at 35 ℃ for 20 min to obtain solution S6, wherein the concentration of the catechol is 0.67 g/mL;
(7) mixing the solution S1, the solution S4, the solution S6 and the solution S5 according to the weight ratio of 20: 20: 80: 1 for 10 min to obtain the composite hemostatic material with adhesive property.
Example 3
A preparation method of a novel multifunctional closed hemostatic wound dressing comprises the following steps:
(1) dissolving 20 g of aluminum chloride hexahydrate in water, adding 20 g of chitosan, and stirring at 45 ℃ for 4 hours to obtain a solution S1, wherein the concentration of the chitosan is 1 g/mL, and the concentration of the aluminum chloride hexahydrate is 1 g/mL;
(2) adding 2 g of PVA into deionized water, stirring for 4h at 45 ℃, adding 30mg of BSA and 15 mg of blood coagulation factor, and dissolving to obtain a solution S2, wherein the mass fraction of the polyvinyl alcohol is 4%, the mass fraction of the bovine serum albumin is 0.03%, and the mass fraction of the blood coagulation factor is 0.015%;
(3) 200 mg of PCL was dissolved in dichloromethane; stirring at 35 ℃ for 3.5 h to obtain a solution S3, wherein the mass fraction of polycaprolactone is 2%;
(4) emulsifying the solution S2 in the solution S3 by using a probe type ultrasonic homogenizer, and stirring for 3 hours by using a magnetic stirrer to completely evaporate the organic solvent to obtain a solution S4;
(5) diluting Pluronic F-127 with 10% by mass in Hepes buffer solution to 0.02% to obtain solution S5;
(6) dissolving 40 g of catechol in deionized water and ethanol (1: 1) solution, and stirring at 35 ℃ for 20 min to obtain solution S6, wherein the concentration of the catechol is 1.5 g/mL;
(7) mixing the solution S1, the solution S4, the solution S6 and the solution S5 according to the weight ratio of 20: 20: 100: 1 for 10 min to obtain the composite hemostatic material with adhesive property.
Example 4
A preparation method of a novel multifunctional closed hemostatic wound dressing comprises the following steps:
(1) dissolving 9 g of aluminum chloride hexahydrate in water, adding 9 g of chitosan, and stirring at 45 ℃ for 4 hours to obtain a solution S1, wherein the concentration of the chitosan is 0.43 g/mL, and the concentration of the aluminum chloride hexahydrate is 0.43 g/mL;
(2) adding 1 g of PVA into deionized water, stirring for 4h at 30 ℃, and then adding 20mg of BSA and 20mg of blood coagulation factor to dissolve to obtain a solution S2, wherein the mass fraction of the polyvinyl alcohol is 1%, the mass fraction of the bovine serum albumin is 0.02%, and the mass fraction of the blood coagulation factor is 0.02%;
(3) 300 mg of PCL was dissolved in dichloromethane; stirring at 35 ℃ for 3.5 h to obtain a solution S3, wherein the mass fraction of polycaprolactone is 3.5%;
(4) emulsifying the solution S2 in the solution S3 by using a probe type ultrasonic homogenizer, and stirring for 2 hours by using a magnetic stirrer to completely evaporate the organic solvent to obtain a solution S4;
(5) diluting Pluronic F-127 with 10% by mass in Hepes buffer solution to 0.04% to obtain solution S5;
(6) dissolving 9 g of catechol in deionized water and ethanol (1: 1) solution, and stirring at 35 ℃ for 20 min to obtain solution S6, wherein the concentration of the catechol is 0.43 g/mL;
(7) mixing the solution S1, the solution S4, the solution S6 and the solution S5 according to the weight ratio of 15: 50: 150: 1 for 10 min to obtain the hemostatic composite material with adhesive performance.
Example 5
A preparation method of a novel multifunctional closed hemostatic wound dressing comprises the following steps:
(1) dissolving 9 g of aluminum chloride hexahydrate in water, adding 9 g of chitosan, and stirring at 45 ℃ for 4 hours to obtain a solution S1, wherein the concentration of the chitosan is 0.43 g/mL, and the concentration of the aluminum chloride hexahydrate is 0.43 g/mL;
(2) adding 2 g of PVA into deionized water, stirring for 64h at 30 ℃, and then adding 20mg of BSA and 20mg of blood coagulation factor to dissolve to obtain a solution S2, wherein the mass fraction of the polyvinyl alcohol is 2%, the mass fraction of the bovine serum albumin is 0.02%, and the mass fraction of the blood coagulation factor is 0.02%;
(3) 300 mg of PCL was dissolved in dichloromethane; stirring at 30 ℃ for 4h to obtain a solution S3, wherein the mass fraction of polycaprolactone is 3.5%;
(4) emulsifying the solution S2 in the solution S3 by using a probe type ultrasonic homogenizer, and stirring for 2 hours by using a magnetic stirrer to completely evaporate the organic solvent to obtain a solution S4;
(5) diluting Pluronic F-127 with 10% by mass in Hepes buffer solution to 0.04% to obtain solution S5;
(6) dissolving 10 g of catechol in deionized water and ethanol (1: 1) solution, and stirring at 35 ℃ for 20 min to obtain solution S6, wherein the concentration of the catechol is 0.54 g/mL;
(7) mixing the solution S1, the solution S4, the solution S6 and the solution S5 according to the weight ratio of 20: 10: 100: 1 for 10 min to obtain the composite hemostatic material with adhesive property.
Example 6
A preparation method of a novel multifunctional closed hemostatic wound dressing comprises the following steps:
(1) dissolving 20 g of aluminum chloride hexahydrate in water, adding 20 g of chitosan, and stirring at 45 ℃ for 4 hours to obtain a solution S1, wherein the concentration of the chitosan is 1 g/mL, and the concentration of the aluminum chloride hexahydrate is 1 g/mL;
(2) adding 2 g of PVA into deionized water, stirring for 4h at 40 ℃, and then adding 30mg of BSA and 30mg of blood coagulation factor to dissolve to obtain a solution S2, wherein the mass fraction of the polyvinyl alcohol is 2%, the mass fraction of the bovine serum albumin is 0.03%, and the mass fraction of the blood coagulation factor is 0.03%;
(3) 150 mg of PCL was dissolved in dichloromethane; stirring at 30 ℃ for 4h to obtain a solution S3, wherein the mass fraction of polycaprolactone is 1.5%;
(4) emulsifying the solution S2 in the solution S3 by using a probe type ultrasonic homogenizer, and stirring for 2 hours by using a magnetic stirrer to completely evaporate the organic solvent to obtain a solution S4;
(5) diluting Pluronic F-127 with 10% by mass in Hepes buffer solution to 0.03% to obtain solution S5;
(6) dissolving 20 g of catechol in deionized water and ethanol (1: 1) solution, and stirring at 35 ℃ for 20 min to obtain solution S6, wherein the concentration of the catechol is 0.67 g/mL;
(7) mixing the solution S1, the solution S4, the solution S6 and the solution S5 according to the weight ratio of 50: 50: 150: 1 for 10 min to obtain the composite hemostatic material with adhesive property.
Example 7
A preparation method of a novel multifunctional closed hemostatic wound dressing comprises the following steps:
(1) dissolving 9 g of aluminum chloride hexahydrate in water, adding 9 g of chitosan, and stirring at 45 ℃ for 4 hours to obtain a solution S1, wherein the concentration of the chitosan is 0.43 g/mL, and the concentration of the aluminum chloride hexahydrate is 0.43 g/mL;
(2) adding 2 g of PVA into deionized water, stirring for 4h at 40 ℃, and then adding 15 mg of BSA and 15 mg of blood coagulation factor to dissolve to obtain a solution S2, wherein the mass fraction of the polyvinyl alcohol is 2%, the mass fraction of the bovine serum albumin is 0.015%, and the mass fraction of the blood coagulation factor is 0.015%;
(3) 300 mg of PCL was dissolved in dichloromethane; stirring at 40 ℃ for 3 h to obtain a solution S3, wherein the mass fraction of polycaprolactone is 3.5%;
(4) emulsifying the solution S2 in the solution S3 by using a probe type ultrasonic homogenizer, and stirring for 2 hours by using a magnetic stirrer to completely evaporate the organic solvent to obtain a solution S4;
(5) diluting Pluronic F-127 with 10% by mass in Hepes buffer solution to 0.03% to obtain solution S5;
(6) dissolving 9 g of catechol in deionized water and ethanol (1: 1) solution, and stirring at 35 ℃ for 20 min to obtain solution S6, wherein the concentration of the catechol is 0.67 g/mL;
(7) mixing the solution S1, the solution S4, the solution S6 and the solution S5 according to the weight ratio of 50: 50: 200: 1 for 10 min to obtain the composite hemostatic material with adhesive property.
Example 8
A preparation method of a novel multifunctional closed hemostatic wound dressing comprises the following steps:
(1) dissolving 9 g of aluminum chloride hexahydrate in water, adding 15 g of chitosan, and stirring at 45 ℃ for 4 hours to obtain a solution S1, wherein the concentration of the chitosan is 0.71 g/mL, and the concentration of the aluminum chloride hexahydrate is 0.71 g/mL;
(2) adding 1 g of PVA into deionized water, stirring for 4h at 45 ℃, and then adding 20mg of BSA and 10 mg of blood coagulation factor to dissolve to obtain a solution S2, wherein the mass fraction of the polyvinyl alcohol is 1%, the mass fraction of the bovine serum albumin is 0.02%, and the mass fraction of the blood coagulation factor is 0.01%;
(3) 250 mg of PCL was dissolved in dichloromethane; stirring at 50 ℃ for 2.5 h to obtain a solution S3, wherein the mass fraction of polycaprolactone is 2%;
(4) emulsifying the solution S2 in the solution S3 by using a probe type ultrasonic homogenizer, and stirring for 2 hours by using a magnetic stirrer to completely evaporate the organic solvent to obtain a solution S4;
(5) diluting Pluronic F-127 with 10% by mass in Hepes buffer solution to 0.02% to obtain solution S5;
(6) dissolving 15 g of catechol in deionized water and ethanol (1: 1) solution, and stirring at 35 ℃ for 20 min to obtain solution S6, wherein the concentration of the catechol is 1 g/mL;
(7) mixing the solution S1, the solution S4, the solution S6 and the solution S5 according to the weight ratio of 25: 25: 150: 1 for 10 min to obtain the composite hemostatic material with adhesive property.
Example 9
A preparation method of a novel multifunctional closed hemostatic wound dressing comprises the following steps:
(1) dissolving 15 g of aluminum hexachloride in water, adding 15 g of chitosan, and stirring at 50 ℃ for 5 hours to obtain a solution S1, wherein the concentration of the chitosan is 0.67 g/mL, and the concentration of the aluminum hexachloride hexahydrate is 0.67 g/mL;
(2) adding 3 g of PVA into deionized water, stirring for 4h at 50 ℃, adding 25 mg of BSA and 25 mg of blood coagulation factor, and dissolving to obtain a solution S2, wherein the mass fraction of the polyvinyl alcohol is 3%, the mass fraction of the bovine serum albumin is 0.025%, and the mass fraction of the blood coagulation factor is 0.025%;
(3) 200 mg of PCL was dissolved in dichloromethane; stirring at 30 ℃ for 4h to obtain a solution S3, wherein the mass fraction of polycaprolactone is 2%;
(4) emulsifying the solution S2 in the solution S3 by using a probe type ultrasonic homogenizer, and stirring for 2 hours by using a magnetic stirrer to completely evaporate the organic solvent to obtain a solution S4;
(5) diluting Pluronic F-127 with 10% by mass in Hepes buffer solution to 0.04% to obtain solution S5;
(6) dissolving 15 g of catechol in deionized water and ethanol (1: 1) solution, and stirring at 35 ℃ for 20 min to obtain solution S6, wherein the concentration of the catechol is 1 g/mL;
(7) mixing the solution S1, the solution S4, the solution S6 and the solution S5 according to the weight ratio of 50: 50: 250: 1 for 10 min to obtain the composite hemostatic material with adhesive property.
Measurement of Performance
The hemostatic materials prepared in examples 1-9 were used in rat heart hemostasis experiments, as shown in table 1: the composite hemostatic material prepared by the invention can rapidly stop bleeding within 5s, the medical gauze can stop bleeding within about 20s, and meanwhile, the prepared material can be adhered to wet environments such as heart and the like, is expected to replace the traditional operation suture line and becomes a new generation of hemostatic medical material.
TABLE 1 hemostatic material prepared according to the present invention used for rat heart hemostasis data
Figure DEST_PATH_IMAGE001
TABLE 2 test results of medical Properties of hemostatic materials prepared according to the present invention
Figure 545574DEST_PATH_IMAGE002
As can be seen from the medical performance test results in Table 2, the hemostatic material prepared by the invention has good non-toxicity, no allergy and no irritation. The cytotoxicity test results shown in fig. 1 show that the composite hemostatic material of the present invention has a cell activity of more than 90% after co-culturing with cells for 1,3, and 7 days, and thus the hemostatic material has good biological safety.
Cytotoxicity test:
in a 96-well plate, the material was placed in the wells and 100.0 μ L of LO2 cell suspension (density = 5000 cells mL) was added-1) And at 5% CO2Incubate at 37 ℃ for 1,3, and 7 days in a humid atmosphere, and replace the medium every other day. At predetermined time intervals, the original medium in the wells of the cell culture plate was removed, 100.0 μ L of fresh serum-free medium (containing 10% CCK-8 reagent) was added per well, and cultured at 5% for 45 minutes at 37 ℃. Cells seeded in 96-well plates without extraction medium served as positive controls. Absorbance was measured at 450 nm using a microplate reader (model 550, Bio-Rad, Hercules, Calif., USA). The specific results are shown in FIG. 1.
Wet adhesion test:
the adhesion properties of the hydrogels were tested on a 100N load cell using an Instron machine 1185 (Instron, Boston, MA, USA) according to lap shear test (ASTM F2255-05) standard. To prepare the test samples, fresh pig skin obtained from a supermarket was cut into 4.0cm rectangular sections x 1.0cm, with a sheet thickness of 0.2cm, and soaked with PBS buffer before use. For better application in the hydrogel, the sections were removed and the remaining PBS buffer was ground with filter paper. The hydrogel was then coated directly onto the opposite sides of the two pigskin sheets with a contact area of 1.0 x 1.0 square centimeters. After contacting the two pigskin pieces with a load of 250.0g for 40min, they were placed in a tester to evaluate the adhesive strength of the hydrogel at room temperature. Finally, the adhesive strength of the hydrogel was measured to be 70.93. + -. 5.63 kPa.
Mechanical strength test:
tensile strength measurements were performed by texture analyzer (SMS, ltd. hamilton, MA, USA) at room temperature to measure the mechanical properties of the composite hydrogels. Each sample was cut into a 30.0 mm rectangular block × 10.0 mm × 2.0 mm, and the stretching rate was set to 10.0 mm min-1 for the stretching test until breakage. The stress intensity was finally measured to be 194.54. + -. 0.91 kPa, and the Young's modulus was 10.67. + -. 1.18 kPa.
And (3) scanning electron microscope test:
the morphology of the hydrogel was studied using a Scanning Electron Microscope (SEM). Prior to observation, the lyophilized samples were coated with a thin gold conductive layer using a sputter coater. Then, the surface structure of the hydrogel was examined using Nova NanoSEM 230 (FEI corporation, Hillsboro, OR, USA). The hydrogel was found to exhibit a porous structure.
It will be understood by those skilled in the art that the foregoing is merely a preferred embodiment of the invention, and is not intended to limit the invention, and that any modification, equivalent replacement or improvement made within the spirit and principle of the invention should be included within the scope of protection of the invention.

Claims (9)

Translated fromChinese
1.一种多功能封闭止血伤口敷料的制备方法,其特征在于,包括以下步骤:1. a preparation method of a multifunctional closed hemostatic wound dressing, is characterized in that, comprises the following steps:(1)将壳聚糖溶液溶解于六水合氯化铝溶液,恒温搅拌得到溶液S1;(1) Dissolving chitosan solution in aluminum chloride hexahydrate solution, stirring at constant temperature to obtain solution S1;(2)在聚乙烯醇溶液中加入牛血清白蛋白和凝血因子,搅拌得到溶液S2;(2) Add bovine serum albumin and coagulation factor to the polyvinyl alcohol solution, and stir to obtain solution S2;(3)将聚己内酯加入二氯甲烷中,搅拌得到溶液S3;(3) adding polycaprolactone to dichloromethane and stirring to obtain solution S3;(4)将S2在S3中乳化、蒸发有机溶剂得到溶液S4;(4) Emulsify S2 in S3 and evaporate the organic solvent to obtain solution S4;(5)将10wt%的普朗尼克Pluronic F-127稀释于Hepes 缓冲液中,室温环境下搅拌得到溶液S5;(5) Dilute 10wt% Pluronic F-127 in Hepes buffer and stir at room temperature to obtain solution S5;(6)将儿茶酚溶解于去离子水和乙醇的混合溶液中,恒温搅拌得到溶液S6;(6) Dissolving catechol in a mixed solution of deionized water and ethanol, stirring at constant temperature to obtain solution S6;(7)将溶液S1、S4、S5、S6室温下混合均匀,得到所述多功能封闭止血伤口敷料。(7) Mix the solutions S1, S4, S5, and S6 uniformly at room temperature to obtain the multifunctional closed hemostatic wound dressing.2.根据权利要求1所述的制备方法,其特征在于:步骤(1)所述溶液S1中,壳聚糖的浓度为0.001~10 g/mL;六水合氯化铝的浓度为0.001~10 g/mL;搅拌温度为10~60℃;搅拌时间为0.5~6 h。2. The preparation method according to claim 1, characterized in that: in the solution S1 of step (1), the concentration of chitosan is 0.001-10 g/mL; the concentration of aluminum chloride hexahydrate is 0.001-10 g/mL g/mL; stirring temperature is 10~60℃; stirring time is 0.5~6 h.3.根据权利要求1所述的制备方法,其特征在于:步骤(2)所述溶液S2中,聚乙烯醇的质量分数为0.2~5%;牛血清白蛋白的质量分数为0.01~0.5%;凝血因子的质量分数为0.01~0.5%;搅拌温度为30~50℃;搅拌时间为1~4 h。The preparation method according to claim 1, characterized in that: in the solution S2 of step (2), the mass fraction of polyvinyl alcohol is 0.2-5%; the mass fraction of bovine serum albumin is 0.01-0.5% ; The mass fraction of coagulation factor is 0.01~0.5%; the stirring temperature is 30~50℃; the stirring time is 1~4 h.4.根据权利要求1所述的制备方法,其特征在于:步骤(3)所述溶液S3中,聚己内酯的质量分数为0.5~5%;搅拌温度为30~50℃;搅拌时间为1~4 h。The preparation method according to claim 1, characterized in that: in the solution S3 of step (3), the mass fraction of polycaprolactone is 0.5-5%; the stirring temperature is 30-50°C; the stirring time is 1 to 4 hours.5.根据权利要求1所述的制备方法,其特征在于:步骤(4)中,将S2在S3中乳化,采用磁力搅拌器搅拌蒸发0.5~3 h。The preparation method according to claim 1, characterized in that: in step (4), S2 is emulsified in S3, and a magnetic stirrer is used to stir and evaporate for 0.5-3 h.6.根据权利要求1所述的制备方法,其特征在于:步骤(5)所述溶液S5中,普朗尼克Pluronic F-127的质量分数为0.01~0.1%。6 . The preparation method according to claim 1 , wherein in the solution S5 in step (5), the mass fraction of Pluronic F-127 is 0.01-0.1%. 7 .7.根据权利要求1所述的制备方法,其特征在于:步骤(6)所述溶液S6中,儿茶酚的浓度为0.001~10 g/mL;搅拌温度为20~35℃;搅拌时间为15~30 min。The preparation method according to claim 1, characterized in that: in the solution S6 of step (6), the concentration of catechol is 0.001~10 g/mL; the stirring temperature is 20~35°C; the stirring time is 15~30 minutes.8.根据权利要求1所述的制备方法,其特征在于:步骤(7)中,溶液S1、溶液S6、溶液S5、溶液S4的质量比为1:500:0.1:500~500:1:2.5:1;搅拌时间为1~10 min。The preparation method according to claim 1, wherein in step (7), the mass ratio of solution S1, solution S6, solution S5, and solution S4 is 1:500:0.1:500~500:1:2.5 : 1; stirring time is 1~10 min.9.如权利要求1~8任一项所述的制备方法制得的多功能封闭止血伤口敷料。9. The multifunctional closed hemostatic wound dressing prepared by the preparation method according to any one of claims 1 to 8.
CN202110599634.3A2021-05-312021-05-31 A kind of multifunctional closed hemostatic wound dressing and preparation method thereofActiveCN113209365B (en)

Priority Applications (1)

Application NumberPriority DateFiling DateTitle
CN202110599634.3ACN113209365B (en)2021-05-312021-05-31 A kind of multifunctional closed hemostatic wound dressing and preparation method thereof

Applications Claiming Priority (1)

Application NumberPriority DateFiling DateTitle
CN202110599634.3ACN113209365B (en)2021-05-312021-05-31 A kind of multifunctional closed hemostatic wound dressing and preparation method thereof

Publications (2)

Publication NumberPublication Date
CN113209365A CN113209365A (en)2021-08-06
CN113209365Btrue CN113209365B (en)2022-04-01

Family

ID=77081703

Family Applications (1)

Application NumberTitlePriority DateFiling Date
CN202110599634.3AActiveCN113209365B (en)2021-05-312021-05-31 A kind of multifunctional closed hemostatic wound dressing and preparation method thereof

Country Status (1)

CountryLink
CN (1)CN113209365B (en)

Families Citing this family (2)

* Cited by examiner, † Cited by third party
Publication numberPriority datePublication dateAssigneeTitle
CN114425097B (en)*2022-04-072022-06-14天新福(北京)医疗器材股份有限公司Absorbable tissue occlusion gel and preparation method thereof
CN116120592A (en)*2022-12-082023-05-16南京仁为医药科技有限公司 A kind of adhesive F127-chitosan thermosensitive hydrogel and its preparation method

Citations (22)

* Cited by examiner, † Cited by third party
Publication numberPriority datePublication dateAssigneeTitle
EP1112094A1 (en)*1998-09-102001-07-04Schering AktiengesellschaftCoated medical devices and implants
WO2006038866A1 (en)*2004-10-012006-04-13Bio Polymer Products Of Sweden AbImproved coating comprising a bioadhesive polyphenolic protein derived from a byssus-forming mussel
CN101485899A (en)*2008-01-162009-07-22广州倍绣生物技术有限公司Method for preparing fibrin ferment-chitosan self-assembly nano particle and use thereof
CN102105141A (en)*2008-04-162011-06-22一般财团法人化学及血清疗法研究所Method of producing thrombin-immobilized bioabsorbable sheet preparation
CN102146134A (en)*2011-01-062011-08-10中国科学技术大学Method for efficiently extracting and purifying blood coagulation factor IX and blood coagulation factor X
CN102295696A (en)*2011-08-162011-12-28山东泰邦生物制品有限公司Method for preparing coagulation factor VIII, fibrinogen and fibronectin from cryoprecitation
WO2012060544A1 (en)*2010-11-012012-05-10Ajou University Industry-Academic Cooperation FoundationImmobilization method of bioactive molecules using polyphenol oxidase
AU2011381641A1 (en)*2011-11-212014-04-17Innotherapy Inc.Hydrogel comprising catechol group-coupled chitosan or polyamine and poloxamer comprising thiol group coupled to end thereof, preparation method thereof, and hemostat using same
CN104004231A (en)*2014-06-122014-08-27东南大学Biomacromolecule interpenetrating polymer network hydrogel and preparation method thereof
CN104013990A (en)*2014-06-182014-09-03海南建科药业有限公司Modified chitosan having catechol group and biomedical material prepared from modified chitosan
CN105213317A (en)*2014-07-012016-01-06中国科学院大连化学物理研究所 A hydrogel microsphere embedded with coagulation-related enzymes
CN105477674A (en)*2014-10-102016-04-13北京铂铱电气科技有限公司Hemostasis composite material based on chitosan and marine mussel mucin and preparation method of hemostasis composite material
CN106334209A (en)*2015-07-082017-01-18北京师范大学Polydopamine modified chitosan hemostatic dressing
KR20170116811A (en)*2016-04-122017-10-20아주대학교산학협력단Injectable double network hydrogels and biomedical use thereof
CN107308489A (en)*2017-05-172017-11-03广西品位生物科技有限公司A kind of biological fluids of biogum
CN107412840A (en)*2017-09-132017-12-01冯威It is a kind of that there is the hemostatic composition for stablizing drug effect
CN108744023A (en)*2018-06-152018-11-06福州大学A kind of fibroin albumen medical bio adhesive and preparation method thereof
CN109172857A (en)*2018-09-102019-01-11中国药科大学A kind of outer wound compound hemostatic material and preparation method thereof
CN109395153A (en)*2018-10-292019-03-01王景硕A kind of wound repair materials
CN109999217A (en)*2019-04-032019-07-12温州医科大学附属第一医院A kind of natural polyphenol-Pluronic gel is in preparation for closing the application in tissue damage medicine
US10568984B2 (en)*2014-07-162020-02-25Nanyang Technology UniversityBiological tissue adhesive composition and method of preparation thereof
US10588860B2 (en)*2010-11-182020-03-17University Of South FloridaPoly(vinyl benzoate) nanoparticles for molecular delivery

Family Cites Families (1)

* Cited by examiner, † Cited by third party
Publication numberPriority datePublication dateAssigneeTitle
CA2655026C (en)*2006-06-152016-08-02Microvention, Inc.Embolization device constructed from expansible polymer

Patent Citations (22)

* Cited by examiner, † Cited by third party
Publication numberPriority datePublication dateAssigneeTitle
EP1112094A1 (en)*1998-09-102001-07-04Schering AktiengesellschaftCoated medical devices and implants
WO2006038866A1 (en)*2004-10-012006-04-13Bio Polymer Products Of Sweden AbImproved coating comprising a bioadhesive polyphenolic protein derived from a byssus-forming mussel
CN101485899A (en)*2008-01-162009-07-22广州倍绣生物技术有限公司Method for preparing fibrin ferment-chitosan self-assembly nano particle and use thereof
CN102105141A (en)*2008-04-162011-06-22一般财团法人化学及血清疗法研究所Method of producing thrombin-immobilized bioabsorbable sheet preparation
WO2012060544A1 (en)*2010-11-012012-05-10Ajou University Industry-Academic Cooperation FoundationImmobilization method of bioactive molecules using polyphenol oxidase
US10588860B2 (en)*2010-11-182020-03-17University Of South FloridaPoly(vinyl benzoate) nanoparticles for molecular delivery
CN102146134A (en)*2011-01-062011-08-10中国科学技术大学Method for efficiently extracting and purifying blood coagulation factor IX and blood coagulation factor X
CN102295696A (en)*2011-08-162011-12-28山东泰邦生物制品有限公司Method for preparing coagulation factor VIII, fibrinogen and fibronectin from cryoprecitation
AU2011381641A1 (en)*2011-11-212014-04-17Innotherapy Inc.Hydrogel comprising catechol group-coupled chitosan or polyamine and poloxamer comprising thiol group coupled to end thereof, preparation method thereof, and hemostat using same
CN104004231A (en)*2014-06-122014-08-27东南大学Biomacromolecule interpenetrating polymer network hydrogel and preparation method thereof
CN104013990A (en)*2014-06-182014-09-03海南建科药业有限公司Modified chitosan having catechol group and biomedical material prepared from modified chitosan
CN105213317A (en)*2014-07-012016-01-06中国科学院大连化学物理研究所 A hydrogel microsphere embedded with coagulation-related enzymes
US10568984B2 (en)*2014-07-162020-02-25Nanyang Technology UniversityBiological tissue adhesive composition and method of preparation thereof
CN105477674A (en)*2014-10-102016-04-13北京铂铱电气科技有限公司Hemostasis composite material based on chitosan and marine mussel mucin and preparation method of hemostasis composite material
CN106334209A (en)*2015-07-082017-01-18北京师范大学Polydopamine modified chitosan hemostatic dressing
KR20170116811A (en)*2016-04-122017-10-20아주대학교산학협력단Injectable double network hydrogels and biomedical use thereof
CN107308489A (en)*2017-05-172017-11-03广西品位生物科技有限公司A kind of biological fluids of biogum
CN107412840A (en)*2017-09-132017-12-01冯威It is a kind of that there is the hemostatic composition for stablizing drug effect
CN108744023A (en)*2018-06-152018-11-06福州大学A kind of fibroin albumen medical bio adhesive and preparation method thereof
CN109172857A (en)*2018-09-102019-01-11中国药科大学A kind of outer wound compound hemostatic material and preparation method thereof
CN109395153A (en)*2018-10-292019-03-01王景硕A kind of wound repair materials
CN109999217A (en)*2019-04-032019-07-12温州医科大学附属第一医院A kind of natural polyphenol-Pluronic gel is in preparation for closing the application in tissue damage medicine

Non-Patent Citations (4)

* Cited by examiner, † Cited by third party
Title
Catechol-Functionalized Chitosan/Pluronic Hydrogels for Tissue Adhesives and Hemostatic Materials;Ji Hyun Ryu et al;《American Chemical Society》;20110521;第2653–2659页*
In-vivo anti-diabetic and wound healing potential of chitosan/alginate/maltodextrin/pluronic-based mixed polymeric micelles: Curcumin therapeutic potential;Muhammad Usman Akbar et al;《International Journal of Biological Macromolecules》;20181231;第2418–2430页*
Qi Zhou et al.Preparation and characterization of thermosensitive pluronic F127-b-poly(ε-caprolactone) mixed micelles.《Colloids and Surfaces B: Biointerfaces》.2011,第45–57页.*
壳聚糖/泊洛沙姆复合温敏水凝胶的制备;冯天琪等;《吉林农业大学学报》;20210414;第1-7页*

Also Published As

Publication numberPublication date
CN113209365A (en)2021-08-06

Similar Documents

PublicationPublication DateTitle
Zhang et al.A low-swelling and toughened adhesive hydrogel with anti-microbial and hemostatic capacities for wound healing
Li et al.One-pot, self-catalyzed synthesis of self-adherent hydrogels for photo-thermal, antimicrobial wound treatment
CN113941025B (en)Tissue-adhesive hydrogel and application thereof
Ghobril et al.The chemistry and engineering of polymeric hydrogel adhesives for wound closure: a tutorial
CN113769156B (en)Hybrid fiber sponge with functions of hemostasis and wound repair and preparation method thereof
Zhang et al.An injectable serotonin–chondroitin sulfate hydrogel for bio-inspired hemostatic adhesives with high wound healing capability
CN113209365B (en) A kind of multifunctional closed hemostatic wound dressing and preparation method thereof
Shen et al.Light emitting CMC-CHO based self-healing hydrogel with injectability for in vivo wound repairing applications
CN113214476B (en)Bionic glycomacropeptide hydrogel and preparation method and application thereof
Mehmood et al.Harnessing bi-layered supramolecular Janus tissue-adhesive/anti-adhesive fibrous hydrogel for efficient hemostasis, wound healing, and suppressing postoperative tissue adhesion
Zheng et al.An Electroconductive and Antibacterial Adhesive Nanocomposite Hydrogel for High‐Performance Skin Wound Healing
CN114392382B (en)Double-bionic gel hemostatic composite material for emergency and preparation method thereof
CN113633817A (en)In-situ polymerization strongly-adhered antibacterial hemostatic hydrogel and preparation method and application thereof
CN114848668B (en) Composition with functions of promoting wound healing and rapid hemostasis
Zhang et al.A bioactive composite sponge based on biomimetic collagen fibril and oxidized alginate for noncompressible hemorrhage and wound healing
Li et al.Mussel-inspired methacrylated gelatin-dopamine/quaternized chitosan/glycerin sponges with self-adhesion, antibacterial activity, and hemostatic ability for wound dressings
Wei et al.By endowing polyglutamic acid/polylysine composite hydrogel with super intrinsic characteristics to enhance its wound repair potential
CN114344555A (en)Multifunctional hemostatic material and preparation method thereof
Liu et al.A mussel inspired polyvinyl alcohol/collagen/tannic acid bioadhesive for wet adhesion and hemostasis
CN113663116A (en)Ion-based hydrogel with hemostasis and adhesion resistance and preparation method and application thereof
Wang et al.Coagulation/anticoagulation-regulable and tough extracellular matrix hydrogels
CN115671374A (en) A kind of silk fibroin-based hemostatic viscose powder and preparation method thereof
CN120114635A (en) A hydrogel with photothermal multiple antibacterial hemostatic functions and its preparation method and application
Sang et al.Wool keratin/zeolitic imidazolate framework-8 composite shape memory sponge with synergistic hemostatic performance for rapid hemorrhage control
CN118649279B (en)Self-gelling antibacterial adjustable-adhesiveness rapid hemostatic powder and preparation method thereof

Legal Events

DateCodeTitleDescription
PB01Publication
PB01Publication
SE01Entry into force of request for substantive examination
SE01Entry into force of request for substantive examination
GR01Patent grant
GR01Patent grant
TR01Transfer of patent right

Effective date of registration:20221027

Address after:Room 202, Building 9, No. 33, Jinzhou North Road, Xinjian Town, Cangshan District, Fuzhou City, Fujian Province 350028

Patentee after:Fuzhou Bomei Biotechnology Co.,Ltd.

Address before:School of petrochemical industry, Fuzhou University, No.1 Xueyuan Road, Qianhuang Town, Quangang District, Quanzhou City, Fujian Province, 362801

Patentee before:FUZHOU University

TR01Transfer of patent right

[8]ページ先頭

©2009-2025 Movatter.jp