










技术领域technical field
本发明涉及核磁共振图像处理领域,具体是一种脑部FLAIR核磁共振影像的图像强度标准化方法。The invention relates to the field of nuclear magnetic resonance image processing, in particular to a method for image intensity standardization of brain FLAIR nuclear magnetic resonance images.
背景技术Background technique
随着人工智能技术的发展,对脑部MRI影像中的病变部位进行自动分割成为当下脑部医学图像处理的研究热点。但自动分割的前提是图像具有统一的强度分布范围和一致的图像对比度,否则会影响后续分割结果的准确率。当前,核磁共振成像(MagneticResonance Image,MRI)的主要缺点之一是对图像强度缺乏标准的和可量化的解释。具体表现为,当使用不同的核磁共振扫描设备或不同的扫描协议时,不同病人的核磁共振影像在强度分布范围和图像对比度上存在差异。此外,由于受一些不可控因素的影响,即使是使用同一核磁共振设备对同一病人的同一部位进行扫描,不同时刻的扫描结果在图像强度和对比度上仍然存在差异。因此,对MRI图像进行去差异化的标准化处理是自动分割前的重要环节。With the development of artificial intelligence technology, automatic segmentation of lesions in brain MRI images has become a research hotspot in current brain medical image processing. However, the premise of automatic segmentation is that the image has a uniform intensity distribution range and consistent image contrast, otherwise the accuracy of subsequent segmentation results will be affected. Currently, one of the major drawbacks of Magnetic Resonance Image (MRI) is the lack of a standard and quantifiable interpretation of image intensity. Specifically, when different MRI scanning equipment or different scanning protocols are used, there are differences in the intensity distribution range and image contrast of MRI images of different patients. In addition, due to some uncontrollable factors, even if the same MRI equipment is used to scan the same part of the same patient, there are still differences in image intensity and contrast between the scanning results at different times. Therefore, de-differentiation and normalization of MRI images is an important step before automatic segmentation.
发明内容SUMMARY OF THE INVENTION
由于脑部液体衰减反转恢复序列图像(fluid attenuated inversion recovery,FLAIR)是识别脑部病变常用且主要的数据源,如脑白质高信号。因此,本发明针对脑部FLAIR核磁共振影像提供一种脑部FLAIR核磁共振影像的图像强度标准化方法。Because fluid attenuated inversion recovery (FLAIR) images in the brain are a common and main data source for identifying brain lesions, such as white matter hyperintensity. Therefore, the present invention provides an image intensity standardization method for brain FLAIR magnetic resonance images for brain FLAIR magnetic resonance images.
为实现上述发明目的,本发明采用一下技术方案:In order to realize the above-mentioned purpose of the invention, the present invention adopts the following technical solutions:
一种脑部FLAIR核磁共振影像的图像强度标准化方法,所述方法的步骤为:A method for normalizing image intensity of brain FLAIR nuclear magnetic resonance images, the steps of the method are:
第一步:确定截断点Step 1: Determine the truncation point
待处理的脑部FLAIR图像集合称为样本数据集,从样本数据集中随机选取一个样本作为训练样本,在剩下的样本中随机选取一个作为测试样本;分别统计训练样本和测试样本的直方图,并记样本的标志点分别为Ltrain={mintr,maxtr,htr}和Ltest={minte,maxte,hte};其中,min是直方图的最小强度值点;max点与截断点是同一点;min和max之间的区域是IOI;h是直方图曲线上最高峰值对应的强度值点,min点和h点是固定的,max点亦即截断点;截断点的确定需要经过初步标定和比例调整两个步骤:The set of brain FLAIR images to be processed is called a sample data set. One sample is randomly selected from the sample data set as a training sample, and one of the remaining samples is randomly selected as a test sample; the histograms of the training samples and the test samples are counted separately, And the mark points of the samples are Ltrain ={mintr ,maxtr ,htr } and Ltest ={minte ,maxte ,hte }; where min is the minimum intensity value point of the histogram; max point It is the same point as the cutoff point; the area between min and max is IOI; h is the intensity value point corresponding to the highest peak on the histogram curve, the min point and h point are fixed, and the max point is the cutoff point; It is determined that two steps of preliminary calibration and scale adjustment are required:
步骤1:初步标定Step 1: Preliminary Calibration
初步标定就是在直方图上选取一个大致合理的强度值作为截断点的初始位置,记为cut_off';当直方图中首次出现四个体素个数不多于3的连续强度值时,认为这四个强度值及其右侧的所有强度都是由强度异常的瑕玷或病变部位产生高强度值,用这4个连续值中的第1个强度值作为初始截断点,该值满足cut_off'<maximum;若直方图中不存在四个体素个数少于3的连续强度值时,令cut_off'=maximum;Preliminary calibration is to select a roughly reasonable intensity value on the histogram as the initial position of the cut-off point, denoted as cut_off'; when four continuous intensity values with no more than 3 voxels appear for the first time in the histogram, it is considered that these four Each intensity value and all the intensities to the right of it are high-intensity values generated by abnormally intense blemishes or lesions, and the first intensity value among these 4 consecutive values is used as the initial cutoff point, which satisfies cut_off'< maximum; if there are no four continuous intensity values with less than 3 voxels in the histogram, let cut_off'=maximum;
步骤2:比例调整Step 2: Scale Adjustment
在直方图曲线上,高波峰对应的强度值表明具有该强度的体素个数最多,可以用高波峰对应的体素区域的强度信息识别不同FLAIR图像间的强度差异;如果高峰值偏低,说明图像整体偏暗;高峰值偏高,说明图像整体偏亮;高峰值相近,说明图像间的亮度相近;可用高峰值与截断点的比率代表图像的对比度,这里简称为“对比比率”,记为C;由于不同FLAIR图像的对比比率不同,将以训练样本的对比比率为基准,通过调整测试样本的初始截断点位置,使测试样本的对比比率与训练样本的对比比率接近,从而实现图像强度标准化的目的;调整后的截断点为最终的截断点,记为cut_off,具体调整步骤如下;On the histogram curve, the intensity value corresponding to the high peak indicates that the number of voxels with this intensity is the largest, and the intensity information of the voxel region corresponding to the high peak can be used to identify the intensity difference between different FLAIR images; if the high peak is too low, It means that the image is dark as a whole; the high peak value is high, the image is bright as a whole; the high peak value is similar, the brightness between the images is similar; the ratio of the high peak value to the cut-off point can be used to represent the contrast of the image, which is referred to as "contrast ratio" here. is C; since the contrast ratio of different FLAIR images is different, the contrast ratio of the training sample will be used as the benchmark, and the initial truncation point position of the test sample will be adjusted to make the contrast ratio of the test sample and the contrast ratio of the training sample close to achieve image intensity. The purpose of standardization; the adjusted truncation point is the final truncation point, denoted as cut_off, and the specific adjustment steps are as follows;
步骤①:由于是以训练样本为基准,因此,训练样本的初始截断点不需要调整即为最终截断点。因此,可令cut_offtr=cut_off′tr;Step 1: Since the training sample is used as the benchmark, the initial truncation point of the training sample does not need to be adjusted to be the final truncation point. Therefore, let cut_offtr = cut_off'tr;
步骤②:分别根据公式(1)和公式(2)计算训练样本的对比比率Ctr和测试样本在初始截断点下的对比比率Cte;Step 2: Calculate the contrast ratio Ctr of the training sample and the contrast ratio Cte of the test sample under the initial cutoff point according to formula (1) and formula (2) respectively;
Ctr=htr/cut_offtr (1)Ctr =htr /cut_offtr (1)
Cte=hte/cut_off′te (2)Cte =hte /cut_off′te (2)
步骤③:令Cte=Ctr,根据公式(3)重新计算测试样本的截断点。计算产生的新的截断点记为cut_offnew;Step ③: Let Cte =Ctr , and recalculate the cut-off point of the test sample according to formula (3). The new truncation point generated by the calculation is recorded as cut_offnew ;
步骤④:如果cut_offnew>cut_off′te,说明初始截断后的测试样本的对比比率高于训练样本的对比比率,需将测试样本的初始截断点位置右移至cut_offnew,移动后的截断点的位置即为最终位置,即cut_offte=cut_offnew;但cut_offnew不应超出直方图上的最大强度值点的范围,即应满足cut_offnew;若cut_offnew>max imum时,应令cut_offnew=maximum;Step 4: If cut_offnew > cut_off′te , it means that the contrast ratio of the initial truncated test sample is higher than that of the training sample, and the initial cutoff point position of the test sample needs to be moved to the right to cut_offnew , and the value of the moved cutoff point is higher than that of the training sample. The position is the final position, that is, cut_offte =cut_offnew ; but cut_offnew should not exceed the range of the maximum intensity value point on the histogram, that is, cut_offnew should be satisfied; if cut_offnew >max imum, cut_offnew =maximum ;
步骤⑤:如果cut_offnew<cut_off′te,说明初始截断后的测试样本的对比比率低于训练样本的对比比率,需将测试样本的初始截断点位置左移至cut_offnew才能与训练样本的对比比率保持一致;但左移截断点意味着扩大长尾区域,因此,需要进一步检查直方图上位于[cut_offnew,cut_off′te]的区域。检查步骤如下:Step ⑤: If cut_offnew <cut_off'te , it means that the contrast ratio of the initial truncated test sample is lower than that of the training sample, and the initial truncation point position of the test sample needs to be moved left to cut_offnew to compare with the training sample. Be consistent; but shifting the cut point to the left means expanding the long-tailed region, so the region on the histogram at [cut_offnew , cut_off′te ] needs to be further examined. The inspection steps are as follows:
①若[cut_offnew,cut_off′te)区域出现体素个数大于10的强度值,我们认为该强度值不应包含在长尾区中,需将cut_offnew右移至该强度值的下一个邻近值;若[cut_offnew,cut_off′te)区域没有体素个数大于10的强度值,则跳转到第③步;①If an intensity value with a number of voxels greater than 10 appears in the [cut_offnew , cut_off′te ) area, we believe that the intensity value should not be included in the long tail region, and we need to move cut_offnew to the right next to the intensity value value; if there is no intensity value with the number of voxels greater than 10 in the [cut_offnew , cut_off′te ) area, skip to
②再从右移后的cut_offnew位置向强度值增大的方向重复第一步操作,继续检查[cut_offnew,cut_off′te),直到不再包含体素个数大于10的强度值;② Repeat the first step from the right-shifted cut_offnew position to the direction of increasing the intensity value, and continue to check [cut_offnew , cut_off′te ) until the intensity value with the number of voxels greater than 10 is no longer included;
③从cut_offnew位置开始,向强度值增大的方向检查[cut_offnew,cut_off′te),当首次出现三个体素个数不多于5的连续强度值时,我们认为这三个连续值中的第1个值可作为cut_offnew右移的最终值,并令cut_offte=cut_offnew;否则,令cut_offte=cut_off′te-1;③ Starting from the position of cut_offnew , check [cut_offnew , cut_off′te ) in the direction of increasing intensity value. When three continuous intensity values with no more than 5 voxels appear for the first time, we consider that among the three continuous values The first value of can be used as the final value of the right shift of cut_offnew , and let cut_offte =cut_offnew ; otherwise, let cut_offte =cut_off'te -1;
第二步:线性归一化Step 2: Linear Normalization
使用线性归一化方法实现对原始数据的等比例缩放;归一化公式如下:Use the linear normalization method to achieve equal scaling of the original data; the normalization formula is as follows:
其中,Vtr_norm是归一化后的训练样本体素值,Vte_norm是归一化后的测试样本体素值,Vtr是训练样本中强度值处于训练样本IOI区域的体素对应的强度值,Vte是测试样本中强度值处于测试样本IOI区域的体素对应的强度值;Among them, Vtr_norm is the normalized training sample voxel value, Vte_norm is the normalized test sample voxel value, and Vtr is the intensity value corresponding to the voxel in the training sample whose intensity value is in the IOI region of the training sample , Vte is the intensity value corresponding to the voxel whose intensity value is in the IOI region of the test sample in the test sample;
归一化后的数据通过如下公式被转换成新的强度值,该强度值就是标准化后的强度值;The normalized data is converted into a new intensity value by the following formula, which is the normalized intensity value;
其中,是标准化后训练样本的体素强度值,是标准化后测试样本的体素强度值,max_intensity_range是新的强度分布范围的最大值。in, is the voxel intensity value of the training sample after normalization, is the voxel intensity value of the normalized test sample, and max_intensity_range is the maximum value of the new intensity distribution range.
与现有技术相比,本发明的有益效果为:本发明方法在FLAIR图像的灰度直方图上寻找截断点(cut_off_point),将灰度值大于截断点的体素进行标记,使其不参与线性归一化操作,而对强度值小于截断点的体素进行强度标准化和归一化操作;本发明方法不管直方图中存在多少个峰值,只关注波峰最高的峰值,使得标准化步骤更加简单。Compared with the prior art, the beneficial effects of the present invention are: the method of the present invention searches for a cutoff point (cut_off_point) on the grayscale histogram of the FLAIR image, and marks the voxels whose grayscale value is greater than the cutoff point, so that they do not participate in the cutoff point. Linear normalization operation is performed, and intensity normalization and normalization operations are performed on voxels whose intensity value is less than the cutoff point; the method of the present invention only pays attention to the peak with the highest peak regardless of how many peaks exist in the histogram, which makes the normalization step simpler.
附图说明Description of drawings
图1直方图曲线上的标记点示意图;Figure 1 is a schematic diagram of the marked points on the histogram curve;
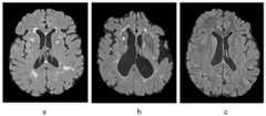
图2标准化前训练样本和测试样本的横向切片;a.训练样本,b.测试样本#1,c.测试样本#2;Figure 2. Transverse slices of training samples and test samples before normalization; a. training sample, b. testing
图3标准化前训练样本与测试样本的直方图曲线;Fig. 3 Histogram curve of training samples and test samples before normalization;
图4训练样本直方图曲线上的标志点;Figure 4. Mark points on the training sample histogram curve;
图5是图4中强度值大于220的部分直方图;Fig. 5 is the partial histogram of the intensity value greater than 220 in Fig. 4;
图6测试样本#1的直方图曲线上的标志点及初始截断点;Figure 6. Mark points and initial cut-off points on the histogram curve of
图7放大图6的直方图并截取其中强度值大于229的部分;Fig. 7 enlarges the histogram of Fig. 6 and intercepts the part where the intensity value is greater than 229;
图8测试样本#2的直方图曲线上的标志点及初始截断点;Figure 8. Mark points and initial cut-off points on the histogram curve of
图9放大图8的直方图并截取其中强度值大于175的部分;Fig. 9 enlarges the histogram of Fig. 8 and intercepts the part where the intensity value is greater than 175;
图10标准化后的训练样本和测试样本的横向切片;a.训练样本,b.测试样本#1,c.测试样本#2;Figure 10. Horizontal slices of normalized training samples and test samples; a. training sample, b.
图11标准化后的训练样本与测试样本直方图曲线。Fig. 11 Histogram curves of training samples and test samples after normalization.
具体实施方式Detailed ways
以下结合具体实施例对本发明做进一步说明。The present invention will be further described below with reference to specific embodiments.
本发明所针对的脑部FLAIR核磁共振影像均已做过颅骨剔除处理。The FLAIR nuclear magnetic resonance images of the brain targeted by the present invention have all undergone skull removal processing.
通过观察多例脑部FLAIR影像的强度分布直方图,发现这些直方图曲线都是双峰曲线,且包含一个尖锐突出的高峰和一个矮峰。在直方图曲线上,高峰值过后曲线呈明显下降趋势,且在高强度值区域形成一段体素个数趋近于零的长尾,如图1所示。这段长尾对应FLAIR影像中零星分布的高亮体素,这些高亮体素通常是强度异常的瑕玷,不具有实际意义,因此,我们应关注长尾以外的直方图区域,这一区域称为强度兴趣区(Intensity ofInterest,IOI)。对强度值属于IOI内的体素进行线性归一化,而将强度值属于IOI以外的体素直接标记为病变体素,使其不再参与分割过程。By observing the intensity distribution histograms of several cases of brain FLAIR images, it is found that these histogram curves are all bimodal curves, and contain a sharp peak and a short peak. On the histogram curve, the curve shows an obvious downward trend after the high peak value, and a long tail with the number of voxels approaching zero is formed in the area of high intensity value, as shown in Figure 1. This long tail corresponds to the sporadically distributed high-brightness voxels in the FLAIR image. These high-brightness voxels are usually blemishes of abnormal intensity and have no practical significance. Therefore, we should pay attention to the histogram area outside the long tail. This area It is called the Intensity of Interest (IOI). The voxels whose intensity values belong to the IOI are linearly normalized, and the voxels whose intensity values belong to the outside of the IOI are directly marked as lesion voxels, so that they no longer participate in the segmentation process.
用截断点来界定和标识直方图长尾区域的起点,截断点实质上代表的是剔除异值点后的图像强度的最大值。直方图上的最大强度值点(maximum)和截断点之间的区域为长尾区,如图1所示。A truncation point is used to define and identify the starting point of the long tail region of the histogram, and the truncation point essentially represents the maximum value of the image intensity after removing outliers. The area between the maximum intensity value point (maximum) and the cut-off point on the histogram is the long tail region, as shown in Figure 1.
在直方图上定义三个强度值标志点L={min,max,h},如图1所示。其中,min是直方图的最小强度值点;max点与截断点是同一点;min和max之间的区域是IOI;h是直方图曲线上最高峰值对应的强度值点。事实上,在直方图产生时,min点和h点便已生成,因此,min点和h点是固定的。Three intensity value marker points L={min, max, h} are defined on the histogram, as shown in FIG. 1 . Among them, min is the minimum intensity value point of the histogram; the max point and the truncation point are the same point; the area between min and max is the IOI; h is the intensity value point corresponding to the highest peak on the histogram curve. In fact, when the histogram is generated, the min and h points are already generated, so the min and h points are fixed.
实施例1Example 1
从测试样本集中随机选取两个样本作为测试样本。图2是分别从训练样本、测试样本#1和测试样本#2的MRI数据中选取的位于横切120/256位置的切片图像。图3是三个样本的直方图曲线,从图3可以看出,测试样本2的波峰对应的强度值明显低训练样本,测试样本1的波峰对应的强度值接近训练样本,这也是为什么图2中的测试样本1的切片亮度与训练样本接近,测试样本2的切片亮度相对训练样本偏暗的原因。接下来对三个样本进行图像强度的标准化统一处理。Two samples are randomly selected from the test sample set as test samples. Figure 2 is a slice image selected from the MRI data of the training sample,
第一步:对训练样本进行截断点的标定Step 1: Calibration of truncation points for training samples
图4是进行了截断点初始标定后的训练样本直方图,htr=135,mintr=0,maximumtr=234。图5是对图4的直方图进行放大,并只显示强度值大于220的区域。从图5可以看出,在直方图的高强度值区域不存在四个体素个数少于3的连续强度值,因此,初始截断点等于最大强度值,即cut_off′tr=234。此外,由于是以训练样本为基准,因此,训练样本的初始截断点不需要调整即为最终截断点,则cut_offtr=235。根据公式(1)计算训练样本的对比比率为Ctr=0.574。FIG. 4 is a histogram of training samples after initial calibration of truncation points, htr =135, mintr =0, maximumtr =234. Figure 5 is a magnification of the histogram of Figure 4, and only shows areas with intensity values greater than 220. It can be seen from Fig. 5 that there are no four continuous intensity values with less than 3 voxels in the high intensity value region of the histogram. Therefore, the initial cutoff point is equal to the maximum intensity value, that is, cut_off'tr =234. In addition, since the training sample is used as the benchmark, the initial cutoff point of the training sample does not need to be adjusted to be the final cutoff point, so cut_offtr =235. According to formula (1), the contrast ratio of the training samples is calculated as Ctr =0.574.
第二步:对测试样本#1进行截断点的标定Step 2: Calibration of the truncation point for
图6是测试样本#1的直方图,hte=127,minte=0,max imumte=254。我们对该样本的直方图进行放大,并只关注强度值大于220的区域,如图7所示。如图7中斜纹矩形条所示,229~232这四个连续的强度值所对应的体素个数均不多于3,因此,初始截断点选择229,即cut_off′te=229。根据公式(2)计算的对比比率为Cte=0.554。根据公式(3)计算新的截断点cut_offnew=221。进一步检查直方图上[221,229)的区域,从图7可见,强度值221~225体素个数均大于10,则根据步骤5,应将cut_offnew移至226,然后继续检查直方图上位于[226,229)的区域,没有发体素个数不多于5的三个连续的强度值,所以,截断点的最终位置为228,如图7所示。Figure 6 is a histogram of
第三步:对测试样本#2进行截断点的标定Step 3: Calibration of the truncation point for
图8是测试样本#2的直方图,hte=104,minte=0,max imumte=207。我们对该样本的直方图进行放大,并只关注强度值大于175的区域,如图9所示。如图9中斜纹矩形条所示,190~193这四个连续的强度值所对应的体素个数均不多于3,因此,初始截断点选择190,即cut_off′te=190。根据公式(2)计算的对比比率为Cte=0.547。根据公式(3)计算新的截断点cut_offnew=181。进一步检查直方图上位于[181,190)的区域,从图9可见,该区域不存在体素个数均大于10的强度值,则继续检查[181,190)区域,发现181~183这三个连续的强度值对应的体素个数不多于5,见图9中白色矩形条,则截断点的最终位置为181,如图9所示。Figure 8 is a histogram of
第四步:线性归一化与强度转换Step 4: Linear Normalization and Intensity Transformation
分别使用公式(4)和(5)对训练样本和测试样本进行线性归一化,然后,令max_intensity_range=255,并分别使用公式(6)和(7)对线性归一化后的训练样本和测试样本进行强度转换,图10是与图2相对应的转换后的结果。图11是三个样本的直方图曲线,从图11可以看出,强度标准化处理后,直方图曲线形态和波峰位置基本接近。Use formulas (4) and (5) to linearly normalize the training samples and test samples, respectively, then, let max_intensity_range=255, and use formulas (6) and (7) to linearly normalize the training samples and The test samples were subjected to intensity conversion, and Figure 10 is the converted result corresponding to Figure 2 . Fig. 11 is the histogram curve of the three samples. It can be seen from Fig. 11 that after the intensity normalization process, the shape of the histogram curve and the position of the wave peak are basically close.
以上所述,仅为本发明较佳的具体实施方式,但本发明的保护范围并不局限于此,任何熟悉本技术领域的技术人员在本发明披露的技术范围内,根据本发明的技术方案及其构思以等同替换或改变,都应涵盖在本发明的保护范围内。The above is only a preferred embodiment of the present invention, but the protection scope of the present invention is not limited to this. Any equivalent replacement or change of its concept should be included within the protection scope of the present invention.
| Application Number | Priority Date | Filing Date | Title |
|---|---|---|---|
| CN201910098215.4ACN109859150B (en) | 2019-01-31 | 2019-01-31 | Image Intensity Normalization Method for Brain FLAIR Magnetic Resonance Imaging |
| Application Number | Priority Date | Filing Date | Title |
|---|---|---|---|
| CN201910098215.4ACN109859150B (en) | 2019-01-31 | 2019-01-31 | Image Intensity Normalization Method for Brain FLAIR Magnetic Resonance Imaging |
| Publication Number | Publication Date |
|---|---|
| CN109859150A CN109859150A (en) | 2019-06-07 |
| CN109859150Btrue CN109859150B (en) | 2022-03-22 |
| Application Number | Title | Priority Date | Filing Date |
|---|---|---|---|
| CN201910098215.4AActiveCN109859150B (en) | 2019-01-31 | 2019-01-31 | Image Intensity Normalization Method for Brain FLAIR Magnetic Resonance Imaging |
| Country | Link |
|---|---|
| CN (1) | CN109859150B (en) |
| Publication number | Priority date | Publication date | Assignee | Title |
|---|---|---|---|---|
| CN111161226A (en)* | 2019-12-20 | 2020-05-15 | 西北工业大学 | A Uniform Segmentation Method of Cerebral Cortex Surface Based on Spectral Clustering Algorithm |
| Publication number | Priority date | Publication date | Assignee | Title |
|---|---|---|---|---|
| US5727080A (en)* | 1995-05-03 | 1998-03-10 | Nec Research Institute, Inc. | Dynamic histogram warping of image histograms for constant image brightness, histogram matching and histogram specification |
| US6584216B1 (en)* | 1999-11-23 | 2003-06-24 | The Trustees Of The University Of Pennsylvania | Method for standardizing the MR image intensity scale |
| CN104299204A (en)* | 2013-07-17 | 2015-01-21 | 王垒 | Histogram local image contrast enhancing method and histogram local image contrast enhancing device |
| CN105608676A (en)* | 2015-12-23 | 2016-05-25 | 浙江宇视科技有限公司 | Video image enhancement method and device |
| Publication number | Priority date | Publication date | Assignee | Title |
|---|---|---|---|---|
| US7492486B2 (en)* | 2005-12-08 | 2009-02-17 | Xerox Corporation | Systems and methods for adaptive dynamic range adjustment for images |
| US9805473B2 (en)* | 2008-09-19 | 2017-10-31 | Siemens Healthcare Gmbh | Method and system for segmentation of brain structures in 3D magnetic resonance images |
| US20150016701A1 (en)* | 2013-07-12 | 2015-01-15 | The Johns Hopkins University | Pulse sequence-based intensity normalization and contrast synthesis for magnetic resonance imaging |
| Publication number | Priority date | Publication date | Assignee | Title |
|---|---|---|---|---|
| US5727080A (en)* | 1995-05-03 | 1998-03-10 | Nec Research Institute, Inc. | Dynamic histogram warping of image histograms for constant image brightness, histogram matching and histogram specification |
| US6584216B1 (en)* | 1999-11-23 | 2003-06-24 | The Trustees Of The University Of Pennsylvania | Method for standardizing the MR image intensity scale |
| CN104299204A (en)* | 2013-07-17 | 2015-01-21 | 王垒 | Histogram local image contrast enhancing method and histogram local image contrast enhancing device |
| CN105608676A (en)* | 2015-12-23 | 2016-05-25 | 浙江宇视科技有限公司 | Video image enhancement method and device |
| Title |
|---|
| On Standardizing the MR Image Intensity Scale;La´szlo´ G, Nyu´ l,Jayaram K. Udupa;《Magnetic Resonance in Medicine》;19990722;第42卷(第6期);全文* |
| Robust Intensity Standardization in Brain Magnetic;Giorgio De Nunzio , Rosella Cataldo , Alessandra Carlà;《Journal of Digital Imaging》;20151210;第28卷(第6期);全文* |
| 磁共振图像灰度不均匀校正算法研究;朱涵友;《中国优秀硕士学位论文全文数据库信息科技辑》;20180915;全文* |
| Publication number | Publication date |
|---|---|
| CN109859150A (en) | 2019-06-07 |
| Publication | Publication Date | Title |
|---|---|---|
| CN108615051B (en) | Diabetic retinal image classification method and system based on deep learning | |
| CN109903284B (en) | A method and system for automatic identification of HER2 immunohistochemical images | |
| Palumbo et al. | Evaluation of the intra-and inter-method agreement of brain MRI segmentation software packages: A comparison between SPM12 and FreeSurfer v6. 0 | |
| CN112465852B (en) | An improved region growing method for infrared image segmentation of power equipment | |
| Kurata et al. | Automatic segmentation of uterine endometrial cancer on multi-sequence MRI using a convolutional neural network | |
| CN112288704B (en) | Visualization method for quantifying glioma invasiveness based on nuclear density function | |
| CN112907581A (en) | MRI (magnetic resonance imaging) multi-class spinal cord tumor segmentation method based on deep learning | |
| TWI624807B (en) | Iterative analysis of medical images | |
| CN110751636A (en) | A method for detecting retinal arteriosclerosis in fundus images based on an improved codec network | |
| CN110033458A (en) | It is a kind of based on pixel gradient distribution image threshold determine method | |
| CN110288618A (en) | A multi-object segmentation method for images with uneven illumination | |
| CN109859150B (en) | Image Intensity Normalization Method for Brain FLAIR Magnetic Resonance Imaging | |
| CN112071418A (en) | Prediction system and method for peritoneal metastasis of gastric cancer based on contrast-enhanced CT radiomics | |
| CN115760858A (en) | Kidney pathological section cell identification method and system based on deep learning | |
| CN105787918A (en) | Analyzing and processing method for analyzing and processing magnetic resonance image of acute ischemic stroke | |
| CN115690073B (en) | A method, device and medium for local characterization of ceramic microstructures in laser additive manufacturing | |
| CN119342359B (en) | Dynamic white balance adjustment method and system for hysteroscope visual field optimization | |
| CN120107236A (en) | A method for predicting benign and malignant thyroid nodules based on automatic segmentation and semi-supervised learning | |
| CN112561880B (en) | A method for incorporating prior knowledge into deep learning-guided magnetic resonance image classification | |
| Liu et al. | Faster r-cnn based robust circulating tumor cells detection with improved sensitivity | |
| CN112200815A (en) | Thyroid nodule ultrasonic image segmentation method based on semantic segmentation network PSPNet | |
| Born et al. | Three-step segmentation of the lower airways with advanced leakage-control | |
| Skodras et al. | Object recognition in the ovary: quantification of oocytes from microscopic images | |
| Saad et al. | Automatic Brain Lesion Detection and Classification Based On Diffusion-Weighted Imaging Using Adaptive Thresholding and A Rule Based Classifier | |
| Ma et al. | The analysis of different types of anorectal abscesses was conducted using the MRI 3D reconstruction technique |
| Date | Code | Title | Description |
|---|---|---|---|
| PB01 | Publication | ||
| PB01 | Publication | ||
| SE01 | Entry into force of request for substantive examination | ||
| SE01 | Entry into force of request for substantive examination | ||
| GR01 | Patent grant | ||
| GR01 | Patent grant |