- 2015.03.27
- PR
大人になってからの「歯列矯正」にかかる費用と期間のホントのところ

【執筆・監修】岡崎 弘典
おかざき歯科クリニック 院長

前歯の歯並びが気になっていたけれどなかなか歯列矯正に踏み切れなかった方も多いのではないでしょうか。歯列矯正とは歯を動かして歯並びや噛み合わせの治療をしていくことです。最近は子供の時から行う方が多いようですが、実は大人になってからでも 歯列矯正をして歯並びをきれいにすることもできるのです。また、前歯だけやセラミックを使って歯茎に負担をかけずに前歯をきれいにすることもできます。今回は大人の歯列矯正の方法とデメリット、また、事例をご紹介します。ぜひ、参考にしてください。
1.大人の歯列矯正の5つの治療法と費用と期間
1−1.歯並びと噛み合わせが最もきれいになるブラケット矯正
ブラケット矯正は歯並びと噛み合わせを治すことができる矯正治療です。ブラケット矯正は一つ一つの歯に矯正装置をつけ動かすために、0.1mm単位で歯の位置を決めることができます。そのため最も歯並びや噛み合わせをきれいにできる方法です。
デメリット
ブラケット矯正はもっとも歯を動かせる反面、周りからは目立つ治療法です。しかし、現在はブラケットが透明なものや歯を動かすワイヤーも白いものがあり、目立たずに治療ができます。
また、歯を動かす距離が大きいと歯茎が下がったり、歯と歯の間の隙間が広がることがあります。歯周病が進行している方の場合は強くこの傾向が出ます。
費用と期間
費用は80万円程度と毎月の処置料が5千円程度です。期間は2年半から3年程度かかります。
上下奥歯も含めた透明ブラケット矯正による治療例
上下すべての歯に透明なブラケットをつけて全体的な治療を行っています。


ブラケットによる歯列矯正の流れと実際の治療の様子をわかりやすく動画にまとめましたので、こちらでご覧ください。
1−2.目立たず噛み合わせがきれいになる裏側矯正(舌側矯正)
きれいな歯並びにしたいけれど歯の表面にブラケットがつくのが気になる方にオススメなのが舌側ブラケット矯正です。歯の内側にブラケットが付くために目立たなく矯正治療ができます。
デメリット
歯の内側には体の中で最も敏感な舌があります。ブラケットがこの舌が動く位置に付くために違和感が他の治療よりも多くなります。また、通常のブラケット矯正よりも費用は1.5倍程度になります。
費用と期間
費用は120万円程度と毎月の処置料1万円程度、期間は3年程度かかります。
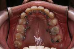
上下の歯の裏側にブラケット装置をつけている治療例
*新宿の常盤矯正歯科医院より写真提供
見た目には歯列矯正をしているようには見えませんが、歯の裏側に矯正装置のブラケットが付いています。



1−3.目立たず小さな凸凹を治すことができるマウスピース矯正
マウスピース矯正はマウスピースをつけ替えながら少しずつ歯を動かしていく矯正治療です。透明なマウスピースを使うために目立つことはありません。凸凹がある場合は歯を削って小さくしながら歯の入る隙間を作っていきます。
デメリット
抜歯をしなくてはいけないような歯を動かす距離が大きい場合には向いていません。小さな凸凹やすきっ歯治療に効果的です。完全に歯を動かすことは難しいため多少の傾きや段差が残ることがあります。また、マウスピースは自分で取り外しが可能なため、使わなければ戻ってしまったり、時間が余計にかかってしまうことがあります。
費用と期間
費用は上下で80万円程度、上だけ下だけの治療をすることもあります。期間は1年から2年程度、使い方によっては長く時間がかかることもあります。詳しくは「マウスピース矯正/30代から60代の女性に人気の透明な歯列矯正」を参考にしてください。
マウスピース矯正による治療例



1−4.気になる前歯だけを治す部分矯正
部分矯正は気になる前歯だけをきれいに治す方法です。ブラケット矯正や舌側矯正、マウスピース矯正でも行うことができます。奥歯の噛み合わせを変える必要がないため歯周病の方や高年齢の方にもできる方法です。
重なりが大きい歯を抜歯したり、歯を削って小さくして隙間を作って歯並びを治します。
デメリット
歯並びを治すことはできますが、噛み合わせを治すことはできません。上下の歯をしっかり噛ませるような治療はできないのです。
費用と期間
費用は15万円程度から80万円程度です。期間は3ヶ月から1年程度です。詳しくは「前歯だけを矯正する部分矯正/短期間で治す5つの方法と費用」を参考にしてください。
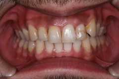
部分矯正とインプラントを組み合わせた治療例


1−5.部分矯正とセラミックで期間を短縮できるハイブリット矯正
歯を失っている部分や被せてある歯を利用して、部分矯正とセラミック治療を一緒に行う方法です。歯の移動距離を小さくすることによって歯や歯茎へのダメージを少なくします。またセラミック治療を行うことで噛み合わせを治すこともできます。歯や歯茎の負担が軽いために大人の方には特におすすめの治療法です。
デメリット
被せていない歯を削らなくてはいけないこともあります。また、矯正とセラミックの費用が両方かかってしまいます。
費用と期間
矯正の費用は15万円から30万円程度、セラミックは1本10万円程度です。
部分矯正とセラミックのハイブリット矯正にて治療例
上顎の前歯の部分矯正とセラミックを3本にて治療を行っています。



出っ歯を部分矯正とセラミックで治療する流れと実際の治療の様子をわかりやすく動画にまとめましたので、こちらでご覧ください。
2.矯正治療法の比較
| 目立たない | 治療範囲 | 精度 | 違和感 | コスト | |
| 裏側矯正 | ◎ | すべて | ◎ | 強い | 120万円〜 |
| マウスピース矯正 | ◎ | 簡単なもの | △ | 少ない | 80万〜 |
| 透明ブラケット | ◯ | すべて | ◎ | 普通 | 70万円〜 |
| 部分矯正 | ◎〜X | 簡単なもの | △ | 少ない | 5万円〜 |
| ハイブリット矯正 | ◯ | 簡単なもの | ◎ | 少ない | 15万円〜+セラミックの費用 |
3.大人の歯列矯正のトラブル
3−1.治療中の痛み
大人の歯列矯正は歯茎や骨が、一度固まった状態から歯を動かす必要があります。骨が固くなっているため歯の動き始めに強く痛みが出ることがあります。痛みが強ければ痛み止めをのんでください。ただし、のみすぎると痛み止めの中に歯の動きを悪くする成分が含まれていますので、必要な時にのむようにしてください。詳しくは「ロキソニンやロキソニンSで歯痛を効果的に止める方法と注意すべき副作用」を参考にしてください。
3−2.歯が動かない、歯と歯の間に隙間が残る
大人の歯列矯正では動かない歯が出てくることがあります。無理に動かそうとすると周りの歯が動いてしまったり、歯の周りの骨が溶けたり、根が短くなることもあります。無理に動かさず、被せ物で対応することも必要です。
3−3.矯正治療後の歯茎下がり
歯の位置が極端にずれていたり、もともと歯の周りに骨がない場合は歯列矯正を行うことによって歯茎下がりが目立ってしまうことがあります。歯周病の検査などではじめから予想されていればいいのですが、急に歯茎下がりが起こると驚きますよね。歯周病を伴っている大人の歯列矯正の場合は起こり得ることです。矯正の前後に歯茎の移植を行い、歯茎下がりを改善することができます。

3−4.矯正治療中に被せ物が取れる
大人の方は口の中に虫歯治療をした際のセラミックや金属が入っていることがあります。矯正治療中に取れてしまうと、歯が動かせなくなってしまうことがあります。矯正治療がしやすいような仮の被せ物などで治療する必要があります。
3−5.治療中治療後の歯周病の悪化
矯正治療は歯を動かしながら歯を移動させます。歯周ポケットが深い歯を気づかずに動かしてしまうと、急速に歯周病が悪化し、矯正治療後に歯を抜歯しなくてはいけない場合もあるのです。大人の矯正治療を行う場合は3次元CTで歯周病の状態を確認した上で、治療を行う必要があります。
3−6.後戻りしやすいので保定装置は長めに使う
大人の歯列矯正は治療の後、戻ろうとする力が長く残ります。そのため後戻りを防ぐための保定装置(ほていそうち)を長め、できれば3年から5年程度はつけておく必要があります。それでも自然の動きで多少戻ることもありますので、気になる方は半永久的に装置を付けておく必要があります。詳しくは「今からが重要!矯正後のリテーナーが必要な理由/使用法と期間」を参考にしてください。
4.大人の歯列矯正で知っておきたい4つのメリット
4−1.コンプレックスが解消される
前歯の歯並びは誰もが気になっているものです。長年治そうかどうか悩んでいる方も多いです。矯正治療をすることによって口元に自信をもち、笑ったり、話したりが楽しくなる方が多いです。
4−2.噛み合わせのバランスが良くなり顔のゆがみが取れる
歯並びが悪いと片側で噛んでいたり、噛む力が弱くなってしまいます。顔の輪郭は筋肉で出来ているため、バランスよく噛めないと顔がゆがんでしまいます。歯列矯正で歯並びを改善することによって左右の噛み合わせのバランスが良くなり、顔のゆがみが取れてきます。詳しくは「噛み合わせが悪いことによって起こる体の異常と治療法」を参考にしてください。
4−3.歯磨きがしやすくなり、虫歯や歯周病が予防できる
歯並びが悪いと歯が重なっている部分にプラークが溜まり、虫歯や歯周病になりやすくなります。歯磨きやデンタルフロスなどもやりにくく、口臭の原因にもなります。
4−4.矯正治療後長く歯を使える
歯並びが悪い部分の治療は、力がかかる方向が変わってしまったり、無理な形で詰め物やかぶせ物を行なわなければなりません。そのため取れたり再治療を繰り返すことが多くなります。歯並びがきれいになると、歯の治療も噛み合わせのバランスを見ながら治療ができるために長く使える治療ができます。
5.大人の矯正歯科選びの4つのポイント
5−1.歯並びだけでなく歯周病や虫歯についての検査を行っている
30代以上の8割はなんらかの歯周病の状態になっています。歯列矯正を行う前に歯周病の状態は改善しておかないと、治療後に歯周病が悪化してしまう可能性があるのです。そのため歯周病の検査や矯正治療前に歯周病治療を行っている歯医者を紹介してくれる矯正歯科で治療を受けた方がいいです。
5−2.全顎矯正だけでなく部分矯正も行ってくれる
大人は子供と違い噛み合わせがしっかりと確立しています。そのため無理に噛み合わせを変えると顎関節症や、矯正後噛みにくくなることもあります。奥歯の噛み合わせがしっかりとしている場合、前歯だけの歯列矯正を提案してくれる矯正歯科がお勧めです。詳しくは「前歯だけを矯正する部分矯正/短期間で治す5つの方法と費用」を参考にしてください。
5−3.見た目にも気を付けてくれる
社会人になると銀のブラケットを前歯につけるのはいろいろ言われてしまう場合もあります。目立たないブラケットやマウスピース矯正、裏側矯正などを提案してくれる矯正歯科がお勧めです。噛み合わせによってはできない場合もありますが、いくつかの選択肢とお勧めの方法を教えてくれれば、安心できます。詳しくは「マウスピース矯正/30代から60代の女性に人気の透明な歯列矯正」を参考にしてください。
5−4.被せ物やその後の治療にも対応してくれる
矯正治療後、被せ物をやりかえなくてはいけなかったり、矯正治療中に虫歯が見つかり治療をしなければいけない時に、矯正歯科で行ってくれたり、適切な歯医者をきちんと紹介してくれる矯正歯科がおすすめです。矯正治療だけ行い、その後のフォローがないと患者さんはどこで治療をすればいいのかわからなくなりますよね。最後まで責任を持って治療を行ってくれる矯正歯科がおすすめです。詳しくは「大人の歯の歯列矯正!歯並びを治す5つの方法と費用と期間」を参考にしてください。
おすすめクリニック
おかざき歯科クリニックの基本情報
ホームページ http://www.okazaki-dental.com
電話番号 045-828-6480
住所 神奈川県横浜市戸塚区品濃町1835ー29コーポレート東戸塚
診療時間 月・火・水・金 9:30~13:00 14:30~19:00
土 9:00~13:00 14:00~18:00
木・日・祝日:休診日
院長経歴

岡崎 弘典
日本口腔インプラント学会
日本矯正歯科学会
マロ・クリニック研修オールオンフォーインプラント、ポルトガル・リスボン2010年
イナーキ・ガンボレラ研修審美インプラント、スペイン・サンセバスチャン2012年
ヨーロッパ・オッセオインテグレーション協会 イタリア・ローマ 2014年
ITIワールドシンポジウム スイス・バーゼル2017年
障がい者歯科一次医療機関
神奈川県摂食・嚥下障害歯科医療相談医
がん歯科医療連携登録医
伊豆稲取 村松歯科医院矯正科 主任
まとめ
すべての歯にブラケットをつけて行う矯正だけが歯列矯正ではありません。自分にあった歯列矯正の方法があるはずです。歯並びがきれいになるだけで、自信が持てる自分になれます。






