
Photo Josse/Leemage/Corbis/Getty Images DNA from Napoleon’s ill-fated 1812 army reveals what likely led to the soldiers’ demise
Konstantin Nechaev/Alamy Stock Photo ‘London Underground mosquito’ is actually much older than previously thought
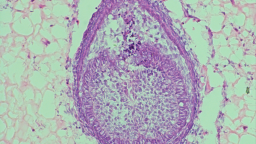
Dr. Xuechen Zhang Scientists are racing to grow human teeth in the lab
Tyler Keillor/Fossil Lab 66 million-year-old dinosaur ‘mummy’ skin was actually a perfect clay mask
Natalia Jagielska Rare look at the last days of the dinosaurs shows they were thriving, scientists say

JPL-Caltech/NASA Astronomers discover previously unknown quasi-moon near Earth
Patrick T. Fallon/AFP/Getty Images Elon Musk calls acting NASA chief ‘Sean Dummy’ as SpaceX moon contract hangs in the balance
Photo Illustration by Jason Lancaster/CNN/Getty Images Why these companies want to send data centers into space









