Movatterモバイル変換


[0]ホーム

URL:


Vol 83, No 1 (2024)
Original article
Published online: 2023-01-26

open access

Page views2706
Article views/downloads1565
Get Citation

Connect on Social Media

Connect on Social Media

E-mail alerts

Evaluation of congenital rib anomalies with multi-detector computed tomography in the Turkish population

Zulal Oner1,Serkan Oner2,Necati Emre Sahin3,Mahmut Cay4
Pubmed:36794687
Folia Morphol 2024;83(1):182-191.

Abstract

Background: This study aimed to evaluate the congenital anomalies of ribs in the Turkish population using multi-detector computed tomography (CT) and to reveal the prevalence and distribution of these anomalies according to sexes and body sides.Materials and methods: This study included 1120 individuals (592 male, 528 female) over 18 who presented to our hospital with a suspicion of COVID-19 and who had thoracic CT. Anomalies such as a bifid rib, cervical rib, fused rib, Srb anomaly, foramen rib, hypoplastic rib, absent rib, supernumerary rib, pectus carinatum, and pectus excavatum, which were previously defined in the literature, were examined. Descriptive statistics were performed with the distribution of anomalies. Comparisons were made between the sexes and body sides.Results: A prevalence of 18.57% rib variation was observed. Females had 1.3 times more variation than males. Although there was a significant difference in the distribution of anomalies by sex (p = 0.000), there was no difference in terms of body side of anomaly (p > 0.05). The most common anomaly was the hypoplastic rib, followed by the absence of a rib. While the incidence of the hypoplastic rib was similar in females and males, 79.07% of the absent ribs was seen in females (p < 0.05). The study also includes a rare case of bilateral first rib foramen. At the same time, this study includes a rare case of rib spurs extending from the left 11th rib to the 11th intercostal space.Conclusions: This study demonstrates detailed information about congenital rib anomalies in the Turkish population, which may vary between people. Knowing these anomalies is essential for anatomy, radiology, anthropology, and forensic sciences.

ORIGINAL ARTICLE

Folia Morphol.

Vol. 83, No. 1, pp. 182–191

DOI: 10.5603/FM.a2023.0006

Copyright © 2024 Via Medica

ISSN 0015–5659

eISSN 1644–3284

journals.viamedica.pl

Evaluation of congenital rib anomalies with multi-detector computed tomography in the Turkish population

Zulal Oner1Serkan Oner2Necati Emre Sahin3Mahmut Cay4
1Department of Anatomy, Faculty of Medicine, İzmir Bakırçay University, İzmir, Turkey
2Department of Radiology, Faculty of Medicine, İzmir Bakırçay University, İzmir, Turkey
3Department of Anatomy, Faculty of Medicine, Karabük University, Karabük, Turkey
4Department of Anatomy, Faculty of Medicine, Uşak University, Uşak, Turkey

[Received: 16 December 2022; Accepted: 23 January 2023; Early publication date: 26 January 2023]

Address for correspondence: Dr. Zulal Oner, İzmir Bakırçay University, Faculty of Medicine, Department of Anatomy, İzmir, Turkey, tel: +90 (532) 587 34 38, e-mail: zulal.oner@bakircay.edu.tr

This article is available in open access under Creative Common Attribution-Non-Commercial-No Derivatives 4.0 International (CC BY-NC-ND 4.0) license, allowing to download articles and share them with others as long as they credit the authors and the publisher, but without permission to change them in any way or use them commercially.

Background: This study aimed to evaluate the congenital anomalies of ribs in the Turkish population using multi-detector computed tomography (CT) and to reveal the prevalence and distribution of these anomalies according to sexes and body sides.
Materials and methods: This study included 1120 individuals (592 male, 528 female) over 18 who presented to our hospital with a suspicion of COVID-19 and who had thoracic CT. Anomalies such as a bifid rib, cervical rib, fused rib, Srbanomaly, foramen rib, hypoplastic rib, absent rib, supernumerary rib, pectus carinatum, and pectus excavatum, which were previously defined in the literature, were examined. Descriptive statistics were performed with the distribution of anomalies. Comparisons were made between the sexes and body sides.
Results: A prevalence of 18.57% rib variation was observed. Females had 1.3 times more variation than males. Although there was a significant difference in the distribution of anomalies by sex (p = 0.000), there was no difference in terms of body side of anomaly (p > 0.05). The most common anomaly was the hypoplastic rib, followed by the absence of a rib. While the incidence of the hypoplastic rib was similar in females and males, 79.07% of the absent ribs was seen in females (p < 0.05). The study also includes a rare case of bilateral first rib foramen. At the same time, this study includes a rare case of rib spurs extending from the left 11th rib to the 11th intercostal space.
Conclusions: This study demonstrates detailed information about congenital rib anomalies in the Turkish population, which may vary between people. Knowing these anomalies is essential for anatomy, radiology, anthropology, and forensic sciences.(Folia Morphol 2024; 83, 1: 182–191)
Keywords: rib, rib anomalies, thorax, multi-detector computed tomography (MDCT)

INTRODUCTION

There are 12 pairs of ribs, and they consist of bone and cartilage. The ribs articulate with the sternum anteriorly and the thoracic vertebrae posteriorly to form the rib cage. The head, neck, and tubercle form the proximal part of the rib, while the shaft comprises the distal portion. The 11 pairs of intercostal spaces between the ribs have intercostal muscles, nerves, and veins[8]. Ribs are mobile and flexible structures that allow for inspiration and expiration to ensure gas exchange in the lungs, and they protect the heart, lungs, and great vessels in the chest cavity[18].

Congenital rib anomalies are significantly associated with rib development during embryogenesis[24]. The ribs consist of somites located on the dorsal side of the embryo and related to the level of the spine where it is located. One rib follows a pattern that includes the caudal and rostral halves of two adjacent somites. Each somite identity is determined under the control of the Hox gene family, leading to the formation of specific structures associated with its location[21, 24]. The segmentation process forms the somites, where the embryo starts from the cranial end and separates from the presomitic mesoderm towards the caudal end. The somites’ segmental boundary is defined under mesoderm posterior protein 2 (MESP2 gene)[3].

Congenital anomalies of the ribs can be classified as numerical or structural anomalies. Numerical anomalies are classified as supernumerary if more than 12 pairs of ribs are present and absent ribs if less than 12. Structural anomalies include bifid, bifurcated, fused, bridging, and hypoplastic ribs[22]. Additional ribs, such as cervical ribs, are of interest to surgeons because of their clinical implications, such as thoracic outlet syndrome[16]. As a structural anomaly, the bifid rib is usually asymptomatic[4]. It may be an isolated anomaly or associated with pathological malformations[29, 31, 33].

Chest radiographs are commonly used as the initial diagnostic method to evaluate pathologies in this region, such as rib fractures. At the same time, they are known to have a lower sensitivity than computed tomography (CT)[12, 26, 32]. Therefore, the need for more sensitive imaging techniques has led to multi-detector computed tomography (MDCT) use for thoracic imaging[2]. MDCT provides a unique perspective on thoracic anatomy and the disease with shorter acquisition times, more extensive coverage, and superior image resolution[8, 20]. To avoid misdiagnosis, radiologists and surgeons should be familiar with normal rib anatomy, normal rib variants, and the radiological appearance of ribs. In addition, this issue is essential for the correct analysis and identification of the bones found in terms of anthropologists and forensic medicine. Based on this, the present study was planned to evaluate congenital anomalies of ribs in the Turkish population using MDCT.

MATERIALS AND METHOD

This study was approved by 09.02.2022 dated 502 protocol numbered permission of (İzmir Bakırçay) University non-interventional ethics board. In this retrospective study, 1120 cases (592 male, 528 female) aged 18–94 who were referred to our hospital with a suspicion of COVID-19 and had thoracic CT between October 2021 and February 2022 were evaluated. Cases in which the images of all vertebrae between C6 and L1 and all existing ribs could be taken were included. The study did not include images of individuals with a history of surgery and trauma in the thorax and with artifacts on CT images. The presence of comorbid clinical findings was not examined.

Multi-detector computed tomography protocol

All MDCT applications were performed with a routine thoracic CT protocol using a 128-detector spiral CT scanner (GE Optimal CT660, USA). With a tube voltage of 130 kV and 20–300 mA smart dosing technology, images were obtained from axial slices of 5 mm thickness with 1.25 mm axial and 3 mm coronal-sagittal reconstructions.

Image analysis

All CT images transferred to the workstation (Horos, Version 3.3, USA) were evaluated by a specialist radiologist and two anatomists with consensus. All images were scanned from start to finish across the entire image series of axial, coronal, and sagittal planes at a standard bone dose (W/C: 500/2000). Previously defined bifid rib, cervical rib, fused rib, the fusion of the two uppermost ribs (Srb anomaly), foramen rib, hypoplastic rib, absent rib, supernumerary rib, pectus carinatum, and pectus excavatum anomalies were examined. Information about the age, sex, type, and location of the anomaly was recorded in patients with rib anomaly. The lengths (cm) of the 12th ribs, which were evaluated as hypoplastic, were measured.

Statistical analysis

The data were analysed by using SPSS 22.0package programme. In defining the data, number and percentage were used for congenital rib anomalies, while mean±standard deviation was used for hypoplastic 12th rib length. Descriptive statistics were performed, and distribution values were given as percentages.Differences between sexes and body sides were analysed with the Pearson chi-square test.Ap-value less than 0.05was considered statisticallysignificant.

RESULTS

Rib anomaly was detected in 208 (18.57%) cases in 1120 thorax CT images. The mean age of subjects with variation was 53.68 (18–94). Thirteen cases were found to have more than one rib variation. The total number of variations was 221, 96 (43.44%) in males and 125 (56.56%) in females. Body side of rib anomalies by sex is shown in Table 1 and Figure 1. The most frequent anomaly was hypoplastic rib with 52.04%, followed by absent rib with 9.46%. There was statistical significance between sexes according to the distribution of anomalies (p = 0.000). In males, 17 (17.7%) of all anomalies were seen on the right, 12 (12.5%) on the left, and 67 (69.8%) bilateral. In females, these numbers were 15 (12%), 15 (12%), and 95 (76%), respectively. There was no statistically significant difference between the sexes on the side of the body for all anomalies (p > 0.05; Table 2).

Table 1.Distribution of anomalies by gender

Type of anomaly

Gender

Total (%)

Male

Female

Bifid rib

7 (3.17%)

8 (3.62%)

15 (6.79%)

Cervical rib

3 (1.36%)

13 (5.88%)

16 (7.24%)

Fused rib

4 (1.80%)

1 (0.45%)

5 (2.26%)

SRB anomaly

3 (1.36%)

3 (1.36%)

Foramen rib

1 (0.45%)

1 (0.45%)

Hypoplastic rib

53 (23.98%)

62 (28.05%)

115 (52.04%)

Absent rib

9 (4.07%)

34 (15.38%)

43 (19.46%)

Supernumerary rib

12 (5.43%)

3 (1.36%)

15 (6.79%)

Pectus carinatum

4 (1.80%)

1 (0.45%)

5 (2.26%)

Pectus excavatum

2 (0.90%)

2 (0.90%)

Rib spurs

1 (0.45%)

1 (0.45%)

Total

96 (43.44%)

125 (56.56%)

221 (100%)

Pearson chi-square test results: Value: 34.342a, df: 10, p = 0.000 (a. 12 cells [54.5%] have expected count less than 5. The minimum expected count is 0.43).
Figure 1.Distribution graph of all costal anomalies by gender.
Table 2.Body side distribution of all anomalies by sex

Gender

Side

Total

Right

Left

Bilateral

Male

Count

17

12

67

96

Expected count

13.9

11.7

70.4

96.0

% within sex

17.7%

12.5%

69.8%

100.0%

% within side

53.1%

44.4%

41.4%

43.4%

% of total

7.7%

5.4%

30.3%

43.4%

Female

Count

15

15

95

125

Expected count

18.1

15.3

91.6

125.0

% within sex

12.0%

12.0%

76.0%

100.0%

% within side

46.9%

55.6%

58.6%

56.6%

% of total

6.8%

6.8%

43.0%

56.6%

Total

Count

32

27

162

221

Expected count

32.0

27.0

162.0

221.0

% within sex

14.5%

12.2%

73.3%

100.0%

% within side

100.0%

100.0%

100.0%

100.0%

% of total

14.5%

12.2%

73.3%

100.0%

Pearson chi-square test results: Value: 1.519a, df: 2, p = 0.468 (a. 0 cells [0.0%] have expected count less than 5. The minimum expected count is 11.73).

Bifid rib prevalence was found as 1.34%. Fifteen (6.79%) cases were found to have bifid rib variation, and the mean age of these patients was 60.2. Seven of these cases were male, while 8 were female. The bifid rib was found unilateral in all cases, on the right side in 13 cases and on the left side in 2 cases. All bifid ribs were on ribs 3rd–5th (Fig. 2). The results of bifid rib variation did not differ between the sexes (p > 0.05; Table 3).

Figure 2.Bifid appearance on the right fifth rib on the coronal computer tomography image (A) and three-dimensional image (B).
Table 3.Results regarding the bifid rib variation

Gender

Anomaly location

Total

Right side

Left side

3rd rib

4th rib

5th rib

3rd rib

Male

3 (20%)

4 (26.7%)

7 (46.7%)

Female

2 (13.3%)

3 20%)

1 (6.7%)

2 (13.3%)

8 (53.3%)

Total

5 (33.3%)

7 (46.7%)

1 (6.7%)

2 (13.3%)

15 (100.0%)

Pearson chi-square test results: Value: 3.291a, df: 3, p = 0.349 (a. 8 cells [100.0%] have expected count less than 5. The minimum expected count is 0.47).

The fused rib prevalence was 0.45%. Nine fused ribs were found in 5 (2.26%) cases, and the mean age was 51. Five fusions were found in 1 of the cases (Fig. 3). Fused rib was observed in 4 males and 1 female. While 4 of the 9 fused ribs were on the right side, 5 were on the left. There was no difference between the sexes regarding fused rib variation (p > 0.05). Fusions were found between the 5th and 6th, 6th and 7th, and 7th and 8th ribs (Table 4).

Figure 3.Right side(A) and left side(B) thoracic computer tomography images of 5 fusion centres in the same case.
Table 4.Results regarding fused rib variation

Sex

Anomaly location

Total

5th and 6th rib

6th and 7th rib

7th and 8th rib

Right side

Male

2

2

4

Female

Left side

Male

1

2

1

4

Female

1

1

Pearson chi-square test results: Value: 3.938a, df: 4, p = 0.415 (a. 10 cells [100.0%] have expected count less than 5. The minimum expected count is 0.11).

Srb anomaly prevalence was found as 0.27%. Three (1.36%) cases had SRB anomaly, and the mean age 50.33.All the cases were male. All SRB anomalies were unilateral;1was on the right side, while2were on the left (Fig. 4).

Figure 4.Cases with the right (A) and left (B) Srb anomaly.

Foramen rib prevalence was found as 0.09%. The only case (0.45%) with a foramen rib variation was a 26-year-old female. The foramen was located symmetrically on the first ribs (Fig. 5).

Figure 5.Presence of a single foramen on the first rib on both sides on the coronal computed tomography image (A) and three-dimensional image (B).

Cervical rib prevalence was found as 1.43%. There was cervical rib variation in 16 (7.24%) cases, and their mean age was 47.71 years. Thirteen of these cases were female, while 3 were male. Ten cases had bilateral cervical ribs. It was bilateral in all male cases. One of the unilateral cervical ribs was on the right side, while 5 were on the left (Table 5, Fig. 6).

Table 5.Results regarding cases with cervical rib, supernumerary rib, hypoplastic 12th rib, and absent rib

Anomaly type

Anomaly location

Gender

Bilateral

Right side

Left side

Cervical rib

Male (19%)

3 (19%)

Female (81%)

7 (44%)

1 (6%)

5 (31%)

Total (100%)

10 (63%)

1 (6%)

5 (31%)

Supernumerary rib

Male (80%)

8 (53%)

2 (13%)

2 (13%)

Female (20%)

2 (13%)

1 (7%)

Total (100%)

10 (67%)

3 (20%)

2 (13%)

Hypoplastic 12th rib

Male (45%)

43 (38%)

3 (3%)

5 (4%)

Female (55%)

55 (49%)

4 (3%)

3 (3%)

Total (100%)

98 (87%)

7 (6%)

8 (7%)

Absent rib

Male (21%)

9 (21%)

Female (79%)

27 (63%)

3 (7%)

4 (9%)

Total (100%)

36 (84%)

3 (7%)

4 (9%)

Pearson chi-square test results: Value: 25.316a, df: 11, p = 0.008 (a. 18 cells [75.0%] have expected count less than 5. The minimum expected count is 0.40).
Figure 6.Left cervical rib on the coronal computed tomography image.

Supernumerary rib prevalence was found as 1.34%. Fifteen (6.79%) cases had supernumerary ribs, and their mean age was 55.33. Three of the cases were female, while 12 were male. Bilateral 13 ribs were seen in 10 cases and unilateral in 5 (3 on the right, 2 on the left) cases (Table 5).

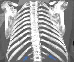
Hypoplastic rib prevalence was found as 10.27%. There were hypoplastic ribs in 115 (52.04%) cases, and their mean age was 52.67. In 2 cases, the first rib was hypoplastic; both were male and on the left side. In 113 cases (51 male, 62 female), the 12th ribs were hypoplastic. Ninety-eight cases had bilateral hypoplastic 12th rib, while 15 (7 on the right, 8 on the left) had unilateral (Table 5). The mean length of all hypoplastic 12th ribs was found to be 3.98 ± 1.58 cm on the left side and 4.00 ± 1.35 cm on the right (p > 0.05; Fig. 7).

Figure 7.Bilateral hypoplastic 12th rib.

Absent rib prevalence was found as 3.84%. There were missing ribs in 43 (19.46%) cases (9 male, 34 female), and their mean age was 54.9. Eleven ribs were observed bilaterally in 36 cases and unilaterally in 7 (3 on the right, 4 on the left). The absent rib in all males was bilateral (Table 5).

Pectus carinatum prevalence was found as 0.45%, while pectus excavatum was found as 0.18%. There were 5 (2.26%) cases (4 male, 1 female) with pectus carinatum, and their mean age was 56.6. There were 2 (0.90%) cases (0 male, 2 female) with pectus excavatum, and their mean age was 48.

Rib spurs extending from the left 11th rib to the 11th intercostal space were observed in 1 (0.45%) case. The case was a 61-year-old male (Fig. 7). The same subject had a comorbidity of fusion anomaly between the 5th and 6th ribs and between the 7th and 8th ribs.

Figure 8.Spurs on the left 11th rib on the coronal computed tomography image (A) and three-dimensional image (B).

DISCUSSION

In this study, which was conducted to discover congenital rib anomalies in the Turkish population using MDCT, 18.57% rib variation was observed in 1120 subjects. Although there was a significant difference in the distribution of anomalies by sex, there was no difference in terms of body side of anomaly. Females were found to have more variations (1.3x) than males. The most frequent anomaly was hypoplastic rib, followed by absent rib anomaly. While the prevalence of hypoplastic rib was similar in females and males, absent rib anomaly was seen about four times more in females.

In a study conducted by Davran et al.[8], congenital rib anomalies were investigated in 650 individuals (231 female, 419 male) with MDCT, and 54 bifid rib anomaly was found in 44 (6.76%). 82% of bifid ribs were in males, and in unilateral ones, both sides were equal[8]. In the present study we conducted with a higher number of cases in the same population, a lower rate of bifid rib variation (1.34%) was found. Unlike the previous study, more bifid rib was found in females and on the right side (6.5x). The most common location of bifid rib variation was 3–5th ribs, similar to previous studies[8, 9, 11, 27].

The cervical rib is a congenital anomaly clinically associated with thoracic outlet syndrome (TOS). A meta-analysis showed that 30% of patients with TOS consist of individuals with cervical ribs[20]. In vascular TOS, compression of the cervical rib to the subclavian artery and vein may cause stenosis or aneurism[21]. As a result of neurological TOS, paraesthesia in the upper extremity or atrophy in intrinsic muscles of the hand may occur. For this reason, resection of the cervical rib, which has been found to cause TOS, is frequently used in treatment[20].

Gülekon et al.[13] found 200 (3%) cervical rib anomalies in the Turkish population on 6630 X-ray images. In a study Brewin et al.[6] conducted to find out the incidence of cervical rib in the London population, the anomaly was found in 10 (0.74%) individuals in 1352 X-ray images and reported that variations were more common in females. In 5 of the 10 cases with cervical rib, variation was on the left side, on the right side in 3 cases, and it was bilateral in 2 cases[6]. According to a study conducted by Bokhari et al.[5] with 1000 chest X-rays, cervical rib rate was found as 3.4%, and two times higher variation rate was reported in females. In the same study, bilateral cervical rib was reported as 41%, 32.3% on the right, and 26.7% on the left[5]. Unlike these studies in literature, in the present study, we conducted with MDCT images of 1120 individuals, the rate of cervical rib variation was found as 1.4%. 63% of these variations were bilateral, 6% on the right, and 31% on the left. In addition, in our study, the cervical rib was 4.3 times more common in females and only bilaterally in males. Similar to other studies, more cervical ribs in females can be used to predict sex in bones with unknown identities. Population-based differences can be seen regarding the rate and side of the anomaly. The high number of cases and sample selection can explain the difference in the results of studies conducted on similar populations. However, this study stands out because some anomalies are difficult to detect by radiography due to the superposition disadvantage.

Rib fusion is a rare condition with a rate of 0.3% in society. It refers to the partial or complete fusion of ribs seen in the anterior or posterior ribs. It is most commonly seen between the first and second ribs. It is thought to be associated with a developmental segmentation defect since vertebral segmentation anomalies can also accompany it[14]. Similarly, fused rib prevalence was found as 0.45% in our study, and it was four times higher in males. However, in our study, the fused rib was seen on ribs 5, 6, 7, and 8, unlike the general appearance.

Srb anomaly is the formation of a solid bone layer with the incomplete fusion of the first and second rib due to one or both of the first ribs being short. The intercostal space between the first and second rib is not seen radiologically[34]. In our study, SRB anomaly was observed with a rate of 0.27%, which was unilaterally similar to other studies.

Foramen rib development is a very rare condition and has been reported to be clinically insignificant[34]. Our literature review found no incidence data or images about this anomaly. The bilateral first rib foramen we found in a female case in our study will contribute to the literature as a scarce variation. The foramen rib should be kept in mind in the differential diagnosis of bone lesions. In addition, the rib spurs we found on the left 11th rib of a male case is a different variation not reported before. This appearance may be related to incomplete rib fusion.

One of the anomalies with the higher prevalence in the society reported in the literature is hypoplastic 12th rib anomalies[19]. A rudimentary 12th rib and asymmetry in the size of this rib are often seen in the lower part of the rib cage. However, this is not clinically significant. Davran et al.[8] found a rudimentary 12th rib with a rate of 9.62%. Our study found the hypoplastic rib rate as 10.27%, similar to the literature. Unlike other studies, hypoplasia was found on the left side first rib in two of the cases.

The supernumerary rib is a rare condition that most commonly presents as a cervical rib originating from C7 or a lumbar rib originating from L1. Supernumerary rib can be a normal variation or seen in some syndromes (Turner syndrome, trisomy 8)[11]. In line with the literature, supernumerary rib was seen in a small number, and its prevalence was 1.34%. In addition, this variation was four times greater in males. The prevalence of absent rib (11 pairs of ribs) in various populations has been reported as between 5% and 8%[11, 34]. In our study, the prevalence of absence of rib was found as 3.84%, and it was 3.8 times higher in females.

Pectus carinatum is a convex forward protrusion of the sternum and costochondral joints, resulting in a pigeon-like appearance. This anomaly is the most common second deformity of the chest wall. This anomaly, seen at a rate of 0.1%, is more common in males[7, 17, 23]. In our study, pectus carinatum prevalence was 0.45%. Pectus excavatum is characterized by varying degrees of depression in the sternum and lower rib cartilage. It is the most common chest wall deformity. According to the literature, it is an anomaly with a rate of 0.4%, and it is more common in males[7, 10, 17, 30]. In our study, the prevalence of pectus excavatum was 0.18%. This difference can be interpreted as environmental or genetic reasons.

Aignătoaei et al.[1] classified the congenital anomalies of ribs according to defects in the period of embryological development. There are three main classes in this classification: results of homeotic transformation, segmentation errors, and anomalies of resegmentation.

The result of homeotic transformation is a condition in which the abnormal state of the homeobox (Hox) genes causes an increase or decrease in the number of ribs due to the formation of false ribs, especially in the passages in the cervicothoracic and thoracolumbar borders[24]. It has been noted that the abnormal state of the Hoxa-4 and Hoxa-5 genes causes the formation of the cervical rib, while the abnormal state of the Hoxa-10 genes causes the formation of the lumbar rib[21, 33]. In this study we conducted in the Turkish population, cervical rib, supernumerary rib, absent rib, and hypoplastic 12th rib anomalies are included in this group, and results of homeotic transformation anomalies constitute the cause of 88.3% of all anomalies.

The segmentation errors are a class of rib anomalies thought to occur during somitogenesis[1]. It is thought to result from an abnormal condition in the Mesp2 transcription factor[25]. This class has been referred to as costal fusion and costal bridges[1]. Since the SRB anomaly is also a fusion in the first and second ribs, this anomaly should also be specified in this developmental error class. In addition, we thought that the rib spur anomaly in our study could be an incomplete costal bridge and included it in this group. According to the current study, 4.2% of the rib variations are due to segmentation errors.

Anomalies of resegmentation are bifid ribs that result from abnormalities in the union of two adjacent somites whose class will form the same condition[1]. We consider the foramen rib in our study should also be in this class. According to this information, 7.5% of the anomalies in our study are caused by anomalies of resegmentation.

Although our study, which had a sufficient sample size, was conducted on a specific population, the results may not be generalized since the data belong to a single hospital. This can explain why studies conducted with similar populations have different results in the literature. In addition, since the study was planned retrospectively, the presence of comorbid clinical findings was not examined. The fact that the findings of the study are based on CT images rather than radiograph can be considered as an advantage as it provides more detailed data. More comprehensive and multi-centre studies are needed to eliminate these conditions, which constitute the limitations of our study.

In addition to our study’s mentioned limitations, we think it will be interesting for anatomy, radiology, anthropology, forensics, and some clinical sciences. According to the study’s results, some variations showing significant sex differences may be helpful for identity analysis in bones found. Rib spurs observed in the left 11th rib in one patient and foramen rib anomalies in the bilateral first rib observed in another patient will be the first cases of these anomalies in the literature. The foramen rib, which can be found in individuals as a congenital anomaly, should not be confused with other bone lesions or injuries. Also, such anomalies can help identify unidentified individuals if previous radiographs are available.

CONCLUSIONS

In conclusion, recognizing rib variations with a wide variational range, which may be symptomatic in some cases, such as the cervical rib, will strengthen the clinician’s hand. Numerical anomalies of the ribs, the most common variations in our study, should be considered because they may cause errors in determining vertebral levels in radiological imaging.

Conflict of interest:None declared

REFERENCES

  1. Aignătoaei AM, Moldoveanu CE, Căruntu ID, et al. Incidental imaging findings of congenital rib abnormalities: a case series and review of developmental concepts. Folia Morphol. 2018; 77(2): 386–392, doi:10.5603/FM.a2017.0080, indexed in Pubmed:28868608.
  2. Alkadhi H, Wildermuth S, Marincek B, et al. Accuracy and time efficiency for the detection of thoracic cage fractures: volume rendering compared with transverse computed tomography images. J Comput Assist Tomogr. 2004; 28(3): 378–385, doi:10.1097/00004728-200405000-00013, indexed in Pubmed:15100544.
  3. Aulehla A, Pourquié O. Signaling gradients during paraxial mesoderm development. Cold Spring Harb Perspect Biol. 2010; 2(2): a000869, doi:10.1101/cshperspect.a000869, indexed in Pubmed:20182616.
  4. Batra D, Lawner BJ. Bifid fifth rib in a 9-year-old girl with chest pain. J Am Osteopath Assoc. 2006; 106(6): 359–360, indexed in Pubmed:16790544.
  5. Bokhari RF, Al-Sayyad MJ, Baeesa SS. Prevalence of cervical ribs and elongated transverse processes in Saudi Arabia. Saudi Med J. 2012; 33(1): 66–69, indexed in Pubmed:22273651.
  6. Brewin J, Hill M, Ellis H. The prevalence of cervical ribs in a London population. Clin Anat. 2009; 22(3): 331–336, doi:10.1002/ca.20774, indexed in Pubmed:19280652.
  7. Celik A, Kutlay H. Chest wall pectus deformities. Turkiye Klinikleri J Thor Surg-Special Topics. 2009; 2: 13–15.
  8. Davran R, Bayarogullari H, Atci N, et al. Congenital abnormalities of the ribs: evaluation with multidetector computed tomography. J Pak Med Assoc. 2017; 67(2): 178–186, indexed in Pubmed:28138167.
  9. Etter L. Osseous abnormalities of the thoracic cage seen in forty thousand consecutive chest photoroentogenograms. Am J Roentogenol. 1944; 51: 359–363.
  10. Fokin AA, Steuerwald NM, Ahrens WA, et al. Anatomical, histologic, and genetic characteristics of congenital chest wall deformities. Semin Thorac Cardiovasc Surg. 2009; 21(1): 44–57, doi:10.1053/j.semtcvs.2009.03.001, indexed in Pubmed:19632563.
  11. Glass RBJ, Norton KI, Mitre SA, et al. Pediatric ribs: a spectrum of abnormalities. Radiographics. 2002; 22(1): 87–104, doi:10.1148/radiographics.22.1.g02ja1287, indexed in Pubmed:11796901.
  12. Griffith JF, Rainer TH, Ching AS, et al. Sonography compared with radiography in revealing acute rib fracture. Am J Roentgenol. 1999; 173(6): 1603–1609, doi:10.2214/ajr.173.6.10584808.
  13. Gulekon I, Barut C, Turgut H. The prevalence of cervical rib in Turkish population. Gazi Med J. 1999; 10: 149–152.
  14. Guttentag AR, Salwen JK. Keep your eyes on the ribs: the spectrum of normal variants and diseases that involve the ribs. Radiographics. 1999; 19(5): 1125–1142, doi:10.1148/radiographics.19.5.g99se011125, indexed in Pubmed:10489169.
  15. Henry BM, Vikse J, Sanna B, et al. Cervical rib prevalence and its association with thoracic outlet syndrome: a meta-analysis of 141 studies with surgical considerations. World Neurosurg. 2018; 110: e965–e978, doi:10.1016/j.wneu.2017.11.148, indexed in Pubmed:29203316.
  16. Huang JH, Zager EL. Thoracic outlet syndrome. Neurosurgery. 2004; 55(4): 897–902, doi:10.1227/01.neu.0000137333.04342.4d, indexed in Pubmed:15458598.
  17. Jeung MY, Gangi A, Gasser B, et al. Imaging of chest wall disorders. Radiographics. 1999; 19(3): 617–637, doi:10.1148/radiographics.19.3.g99ma02617, indexed in Pubmed:10336192.
  18. Kumar N, Guru A, Patil J, et al. Additional circular intercostal space created by bifurcation of the left 3rd rib and its costal cartilage: a case report. J Med Case Rep. 2013; 7: 6, doi:10.1186/1752-1947-7-6, indexed in Pubmed:23298541.
  19. Kurihara Y, Yakushiji YK, Matsumoto J, et al. The ribs: anatomic and radiologic considerations. Radiographics. 1999; 19(1): 105–119; quiz 151, doi:10.1148/radiographics.19.1.g99ja02105, indexed in Pubmed:9925395.
  20. Lawler LP, Fishman EK. Multi-detector row CT of thoracic disease with emphasis on 3D volume rendering and CT angiography. Radiographics. 2001; 21(5): 1257–1273, doi:10.1148/radiographics.21.5.g01se021257, indexed in Pubmed:11553832.
  21. Li Z, Kawasumi M, Zhao B, et al. Transgenic over-expression of growth differentiation factor 11 propeptide in skeleton results in transformation of the seventh cervical vertebra into a thoracic vertebra. Mol Reprod Dev. 2010; 77(11): 990–997, doi:10.1002/mrd.21252, indexed in Pubmed:21049546.
  22. Lim CY, Lee KW, Bin JC, et al. Congenital anomalies of the ribs. J Korean Radiol Society. 1982; 18(3): 487–495, doi:10.3348/jkrs.1982.18.3.487.
  23. Mak SM, Bhaludin BN, Naaseri S, et al. Imaging of congenital chest wall deformities. Br J Radiol. 2016; 89(1061): 20150595, doi:10.1259/bjr.20150595, indexed in Pub­med:26916279.
  24. Mallo M, Vinagre T, Carapuo M. The road to the vertebral formula. Int J Develop Biol. 2009; 53(8-9-10): 1469–1481, doi:10.1387/ijdb.072276mm.
  25. Morimoto M, Kiso M, Sasaki N, et al. Cooperative Mesp activity is required for normal somitogenesis along the anterior-posterior axis. Dev Biol. 2006; 300(2): 687–698, doi:10.1016/j.ydbio.2006.08.043, indexed in Pubmed:16996494.
  26. Omert L, Yeaney W, Protetch J. Efficacy of thoracic computerized tomography in blunt chest trauma. Am Surg. 2022; 67(7): 660–664, doi:10.1177/000313480106700715.
  27. Osawa T, Sasaki T, Matsumoto Y, et al. Bifid ribs observed in the third and the fourth ribs. Kaibogaku Zasshi J Anat. 1998; 73(6): 633–635.
  28. Sanders RJ, Hammond SL. Management of cervical ribs and anomalous first ribs causing neurogenic thoracic outlet syndrome. J Vasc Surg. 2002; 36(1): 51–56, doi:10.1067/mva.2002.123750, indexed in Pubmed:12096257.
  29. Schumacher R, Mai A, Gutjahr P. Association of rib anomalies and malignancy in childhood. Eur J Pediatr. 1992; 151(6): 432–434, doi:10.1007/BF01959357, indexed in Pubmed:1628671.
  30. Semionov A, Kosiuk J, Ajlan A, et al. Imaging of thoracic wall abnormalities. Korean J Radiol. 2019; 20(10): 1441–1453, doi:10.3348/kjr.2019.0181, indexed in Pubmed:31544369.
  31. Song WC, Kim SH, Park DK, et al. Bifid rib: anatomical considerations in three cases. Yonsei Med J. 2009; 50(2): 300–303, doi:10.3349/ymj.2009.50.2.300, indexed in Pubmed:19430569.
  32. Thompson B, Finger W, Tonsfeldt D, et al. Rib radiographs for trauma: Useful or wasteful? Ann Emerg Med. 1986; 15(3): 261–265, doi:10.1016/s0196-0644(86)80561-3.
  33. Wattanasirichaigoon D, Prasad C, Schneider G, et al. Rib defects in patterns of multiple malformations: A retrospective review and phenotypic analysis of 47 cases. Am J Med Genet A. 2003; 122A(1): 63–69, doi:10.1002/ajmg.a.20241.
  34. Yochum T, Rowe L. Essentials of skeletal radiology. 2nd ed. Williams et Wilkins, Baltimore, USA 1996.

This site uses cookies

We use cookies on our website. We use them to ensure the proper functioning of the site and, if you give us your consent, for purposes we set, such as analytics or marketing. We would like to ask your permission to store them on your device. We will not run optional cookies until you have enabled them yourself. If you would like to learn more about how cookies work and how we process personal data related to them, please visit our Privacy Policy page

About cookies

Necessary cookies

Allways active

These cookies are necessary for the proper display and operation of the website. Blocking them may cause the website to malfunction.


Analytical cookies

As part of our website, we use analytical tools, such as Google Analytics, that allow us to verify website traffic. These tools may require the use of cookies.


Community cookies

These are cookies associated with the social networks we use. Accepting them will allow us to associate your visit to the site with our social media profiles.


Marketing cookies

These are cookies responsible for carrying out advertising and marketing activities - consenting to their use will allow us to target you with advertisements based on your previous activities within our website.

Copyright © 2023-2025 Via MedicaRegulationsCookie policyPrivacy StatementLegal Note

[8]ページ先頭

©2009-2025 Movatter.jp